Dentists Journal

Top Ten Stories of the Week
12/31/2022

All Dentists Journal · Previous Week · This Week · All Time List · Headlines

Share

Can Acid Reflux Harm My Teeth?

Health conditions in other parts of the body can impact your oral health in significant ways.

What is GERD (Gastro Esophageal Reflux Disease)?

This is a chronic disease that occurs when stomach acid gets a wrong direction and flows up into the esophagus (a tube that connects stomach with the mouth), the throat and even into the mouth. Acid reflux and heartburn more than twice a week may indicate GERD.

Normally, the ring of muscles at the top of the stomach is strong and prevents acids from leaking. However, if the sphincter is not working properly, the acid can move up causing erosion on the walls of your esophagus, your mouth, gums, and teeth. This medical condition affects approximately every fifth adult in US.

 GERD symptoms include heartburn, or burning sensation in the chest, nausea after eating, coughing, and buildup of mucus, sore throat, hiccups, and change in the voice. Acid reflux can also cause dry mouth.

While many people may be aware they are experiencing acid reflux through all these symptoms, not everyone experiences them (“clinically silent reflux”), and your dentist may be the first to notice it during routine oral exam.

Yet over time, untreated GERD can damage the lining of the esophagus, causing ulcers and even cancer. Repeated acid reflux can eat away your teeth and damage the gums

How Stomach Acid Affects Your Teeth

On the pH scale, which measures acidity, a normal, healthy pH is around 7.0 (the same as pure water). A more acidic pH of 5.5 or lower begins to dissolve tooth enamel ( the tooth protective layer). Stomach acid measures pH of 2.0. That is strong enough to break down food, and is also capable of causing serious dental damage.

Unfortunately, you may not notice how acids affect your oral health until severe damage has been done. Teeth can become thin, sharp, chipped, pitted, yellow and sensitive. This high acidity saliva can also damage the surrounding tissues of the mouth, and is linked to periodontal (gum) disease

Symptoms to watch out:

·        Teeth develop a yellow discoloration

·        General increase of the teeth sensitivity

·        Developing more than usual cavities

·        Teeth becoming shorter and sharper

·        Unexplained gum and periodontal disease in presence of good oral hygiene.

Protecting Your Teeth

Some of the ways your dentist can help protecting your teeth from the effects of acid reflux.

Professionally administered re-mineralizing treatments, including varnishes, rinses, or gel.  This is usually done in the dental office.

Prescribed oral rinses, gels and high-fluoride toothpastes for home use. If you have concerns about fluoride, toothpastes that contain ACP (amorphous calcium phosphate) can also be beneficial in preventing erosion.

Recommend mouth rinse, which can effectively neutralize stomach acid.

Fabricate bonded restorations such as veneers or crowns to restore and protect eroded teeth.

Some of the ways you can help your teeth and control GERD

To stimulate saliva production, chew sugar-free xylitol gum. Saliva helps neutralize acid and contains Calcium and other minerals that help build the tooth surface.

Refrain from brushing your teeth right after an acid reflux episode. Instead, rinse your mouth out with water. To neutralize the acid, mix half a teaspoon of baking soda into a cup of water and rinse, or chew on a sugar-free antacid tablet.

If you suffer from xerostomia (dry mouth), use a saliva substitute or chew green tea gum, which can increase saliva flow and reduce acidity in the mouth.

Lifestyle changes can also be helpful in controlling the uncomfortable symptoms of GERD.  These include: reduce alcohol and tobacco, spicy food, caffeine and acidic beverages. Try to finish last meal three hours before bedtime and avoid lying down right after eating.  There are prescription (or over-the-counter) medications for controlling this condition.

(12/23/2022)
by Advanced Dentistry Of Alhambra

More Information: https://www.daradds.com/blog/2019/05/22/how-acid-reflux-can-affect-your-teeth/


Views: 488
Share
Share

How To Relieve Sensitive Teeth?

There are different reasons for sensitive teeth, but it’s often triggered if you mix hot and cold food or beverages, or when you eat a mix of sweet and sour. Sometimes tooth sensitivity can also be triggered by cold air.

Tooth sensitivity is triggered by the dentin, the layer under the enamel where the nerves live, being exposed. The dentin consists of small canals, that are open in each end, that lead into the nerve. Sensitive teeth symptoms appear when this nerve is unprotected against temperature fluctuations.

Reasons why this happens can be bad dental care and mouth hygiene, or that you’ve brushed your teeth so hard that the gums have been pushed back, leading to the roots of the teeth being visible. Other reasons can be:

• Wear and tear on the enamel because of teeth grinding

• Cavity in a tooth which has been filled with bacteria and now is oversensitive

• Dental plaque

• Tooth decay near the gums, or other gum diseases

• High intake of acidic food and beverages

• Use of teeth whitening products that lead to an increased teeth sensitivity

• Dental treatments can also lead to tooth sensitivity, but should disappear after 4-6 weeks after the treatment has been done.

TREATMENT OF TOOTH SENSITIVITY

Few people actually go to the dentist because of tooth sensitivity. There are several things you can do yourself to treat it.

• Brushing your teeth daily with a soft toothbrush

• Use a fluoride toothpaste, fluoride can reduce tooth sensitivity

• Avoid food and beverages with a lot of acidity

• Drink water instead of juice and soft drinks

• Do not brush your teeth right after eating sour food or drinks

• Use a mouth guard to avoid teeth grinding.

(12/25/2022)
by Jordan Oral Care

More Information: https://www.jordanoralcare.com/how-to-relieve-sensitive-teeth/


Views: 487
Share
Share

General Dentist vs. Cosmetic Dentist: Who Should You See?

You know that you should see your dentist twice a year to get your teeth cleaned and checked out. Working with a general dentist can help you keep your smile as healthy as can be. But what can you do if you're concerned about the way your teeth look? Just as you'd see a cosmetic surgeon for aesthetic treatments on the body, you might see a cosmetic dentist for aesthetic treatments that improve the appearance of your teeth.

Learn more about the differences between a general dentist vs. cosmetic dentist, and find out if you need to see one or the other for the treatment you want.

What Do General and Cosmetic Dentists Do?

Your general dentist is your go-to resource for your overall oral health. As the British Columbia Dental Association notes, a general dentist typically diagnoses oral diseases, provides preventive treatments (such as cleanings), examines and interprets your X-rays and puts together treatment plans to help you achieve or maintain your oral health.

A cosmetic dentist focuses on the appearance of your teeth and gums. As the American Academy of Cosmetic Dentistry (AACD) describes, cosmetic dentists provide a wide range of aesthetic procedures, such as teeth whitening, dental implants, teeth bonding and veneers.

Educational Requirements for a General Dentist

To become a dentist, a person needs to graduate from an accredited dental school and earn either a Doctor of Dental Surgery (DDS) degree or a Doctor of Medicine in Dentistry (DMD) degree. As the American Dental Association (ADA) points out, DDS and DMD degrees are the same thing. Schools simply select which term to use for the degree.

Earning a dental degree prepares a person for a career as a general dentist. Just as some medical doctors pursue additional training to specialize in a particular area, some dentists may also choose to specialize in certain treatment areas. For example, they can complete additional training so that they can treat gum disease, provide orthodontic treatment or replace missing teeth. The ADA notes that there are 10 recognized dental specialties. Depending on the subject, a dentist can complete anywhere from one to eight years of additional education to earn certification in a specialty, as the ADA outlines.

Training for Cosmetic Dentists

Interestingly enough, cosmetic dentistry isn't one of the 10 specialties recognized by the ADA. However, even though it's not a recognized specialty, there are ways for a person who wants to become a cosmetic dentist to set themselves apart and complete specialized training beyond dental school.

Several programs exist that offer advanced training to dentists who wish to specialize in cosmetic dentistry or offer cosmetic dental services to patients, according to the AACD. The AACD also has an accreditation program that recognizes dentists who have passed a multiyear examination process that includes a written test, clinical cases and an oral exam. According to the AACD, there are just 350 accredited members globally, and seeing one of these dentists can help you be more confident that you are getting treatment from a highly trained professional.

Which Type of Dentist Should You See?

If you want your teeth whitened professionally, are considering veneers or are in need of a dental implant or restoration, you might wonder who should you see — a cosmetic or general dentist? It all depends. There's a chance that your general dentist might have completed additional training in the area or that they have experience performing the particular treatment you want. If not, then they will likely refer you to another dentist who has more expertise with the procedure.

If you decide to see a cosmetic dentist instead of a general dentist for treatment, it's a good idea to do some research first. The AACD also has a member directory that you can search.

Whether you decide to work with a general dentist vs. cosmetic dentist, discuss the treatment you want extensively before you begin. You'll want to get a realistic idea of what the treatment will entail in terms of time and expense and if it will give you the smile you desire.

(12/23/2022)
by Colgate

More Information: https://www.colgate.com/en-us/oral-health/dental-visits/general-dentist-vs-cosmetic-dentist-who-should-you-see


Views: 569
Share
Share

Don’t Skip Brushing Your Teeth Before Going To Bed

After a long day, the only thing on your mind is climbing into your warm bed. With the stress of the day weighing you down, you often skip brushing your teeth as the only thing you want to do is sleep. Despite the American Dental Association recommending that you brush your teeth twice a day, after a busy day, skipping it does not seem like a large concern because you will just do it in the morning. However, if you do not do it before going to bed, you are opening the door to potential dental issues, like tooth decay and gum disease.

Don’t Skip Brushing Your Teeth

Your toothbrush is your first line of defense against tooth decay and gum disease because it removes food particles, plaque, and tartar accumulations, which host bacteria. To keep the buildup to a minimum, it is recommended that you brush twice a day for two minutes each session to ensure that you clean all surfaces of the teeth well.

However, the American Dental Association reports that only seven out of ten Americans brush their teeth twice a day. If you skip it even once a day, you are allowing bacteria and plaque to accumulate in the mouth. This is especially harmful at night because your mouth often becomes dry, which increases bacteria growth, raising your risk for gum disease and tooth decay. Not to mention, plaque sits on your teeth longer, which allows it to turn into tartar. If this occurs, your chance of developing gum disease significantly increases.

Protect Your Smile

After a long day, caring for your teeth can seem like a chore. However, it is vital that you take two minutes before climbing into bed to brush. It is recommended that you use a soft-bristled toothbrush and fluoride toothpaste to achieve the best results.

Hold it at a 45-degree angle and make gentle sweeping motions to clean every surface, including the backside of the teeth. Do not forget to clean your tongue and cheeks to reduce bacteria. The entire process should take about 2 minutes.

If you did not floss your teeth in the morning, it is best to take a couple of extra minutes to clean in between each tooth. By going so, you will help to prevent oral health complications while you sleep so you can wake up with one less worry on your mind.

Get a Healthy Smile Today

In addition to your home oral hygiene habits, you will need to see your dentist every six months for a cleaning and checkup. With the right preventive care, you will protect your teeth and gums to ensure you maintain a healthy, beautiful smile.

About Painesville Dental Group

At Painesville Dental Group, we are committed to keeping smiles healthy. Since 1969, we have provided comprehensive care to help our patients reach their oral health goals in our comfortable and caring office. If you have any questions about your oral hygiene habits, please contact our office today to schedule a consultation.

(12/26/2022)
by Painesville Dental Group

More Information: https://www.painesvilledentalgroup.com/blog/brushing-your-teeth/


Views: 536
Share
Share

What Is A Gumline Cavity?

If you’ve recently joined the cavity club or are worried you may be a future member, know that you’re not alone. Tooth decay is relatively common, with a survey conducted by Public Health England in 2018 reporting that 27% of adults had tooth decay. While receiving a cavity diagnosis is never the ideal experience, it’s important to learn about the common causes, treatments and prevention tactics that can help stop it from worsening or lessen the risk of future cavities.

Causes of Gumline Cavities

A dental cavity forms when plaque, a sticky bacterial film that builds up inside the mouth, start to demineralise the surface of the tooth. This bacteria combines with sugar from the diet to produce acids that dissolve the tooth's enamel, the hard surface that works as a protective layer against tooth decay. And when this protective layer begins to wear, different types of cavities have the potential to form.

Have you ever wondered what areas of the mouth are most prone to tooth decay? Well, not all teeth are created equal. Plaque tends to accumulate more easily in certain areas. For example, the pits and fissures of the back teeth (molars) are a hot spot for plaque and the spaces in between the teeth. Plaque also builds up easily along the gumline, and when this plaque isn't removed, a gumline cavity can form.

Gumline cavities can also be associated with exposed tooth roots. Gum tissue usually protects the roots, but the roots will be vulnerable if the gum tissue recedes. That's because roots are covered in a material called cementum, which is much weaker than tooth enamel.

Treatment of Gumline Cavities

As outlined by Bupa, there are several standard treatments for cavities, with moderate cases normally treated with a filling. To create a filling, a dental professional numbs the surrounding area of the problematic tooth, drills, or lasers to remove the decayed material, and then fills in the hole with a protective material like composite resin or dental amalgam.

Tooth decay at gumline treatment is similar to other cavity treatments, but with some small differences. If the cavity extends beneath the gumline, it can be challenging for the dental professional to access it with their drill or laser. In these situations, your dentist may perform minor gum surgery to access the cavity.

How to Prevent Gumline Cavities

Toothbrushing

While there's no such thing as guaranteed gumline cavity prevention, you can take daily, consistent steps to fight them. The best way to prevent cavities is to brush your teeth at least twice a day. Remember to brush along your gumline with a proper brushing technique that involves placing your toothbrush at a 45-degree angle to your gumline and using a back-and-forth motion to brush along each tooth. Once the gumline area is clean, move on to the rest of the tooth surfaces for complete cleaning.

Interdental Cleaning

For the hard-to-reach plaque around your teeth and gumline, a daily routine of flossing will also help to prevent cavities. To floss beneath your gumline, curve the floss around the base of each of your teeth and make sure to be gentle to avoid cutting or bruising the gum tissue. Water flossing is an excellent alternative to flossing, while mouthwash should also be added to your daily oral health routine to rinse out bacteria.

Professional Teeth Cleanings

And like all preventative health measures, a regular dental check-up is paramount to your overall oral health. A dental professional can thoroughly clean your teeth and remove plaque and tartar from along the gumline that you could not remove with your at-home measures. They can then thoroughly examine your mouth and look for conditions like gum recession that could put you at risk of gumline cavities.

No one enjoys receiving the news of a cavity at the gumline diagnosis. Still, the more you know about this specific type of tooth decay - its causes, prevention and treatment - the more confident you'll feel with whatever next steps your dental professional recommends. With an excellent oral hygiene routine and help from a dental professional, you can reduce the chances of a gumline cavity or proactively treat it if recently diagnosed.

(12/24/2022)
by colgate

More Information: https://www.colgate.ie/oral-health/cavities/what-is-a-gumline-cavity


Views: 631
Share
Share

Rinsing After Brushing Your Teeth: Right Or Wrong?

If you rinse after you brush your teeth, do you really get all of the benefits that your toothpaste can provide? Many people are used to rinsing their teeth with water right after they brush their teeth, but here is why you should think twice before doing that. 

How to Choose a Toothpaste for Your Teeth

Choosing the best toothpaste for you is a personal choice. If you don’t know what your specific dental needs are, speaking to your dentist or hygienist is an easy way to learn what your smile could benefit from. Toothpaste comes in many forms – from a gel, power, to paste, however, not all toothpastes are created equal. Once you’ve spoken with your dentist, Everyday Health explains the first thing you should do is make sure the toothpaste you’re choosing is safe and will do what it claims to do. 

Fluoride toothpastes are regulated by the US Food and Drug Administration (FDA) since they make disease-fighting claims. Due to this, these products will display a ‘drug facts’ panel on the packaging and list the ingredients and other relevant information. However, toothpastes without fluoride are considered cosmetic products and are not regulated by the FDA. To be safe when shopping for toothpaste, look for the American Dental Association’s (ADA) seal of approval.

The ADA’s seal of approval is a symbol that indicates the toothpaste manufacturer has participated in a voluntary testing program conducted by the ADA to determine a product’s safety and effectiveness. For example, any toothpaste that has sugar as an ingredient will not get the ADA seal of approval. 

Should You Use Fluoride?

One of the best things you can do for your dental health is using fluoride. Fluoride is not just beneficial to those younger in age — adults can benefit from fluoride, too. Everyday Health continues explaining that the fluoride in toothpaste can heal and remineralize microscopic cavities as they form, hardening the tooth surface, and making it more resistant to the acid attack of bacteria. 

Fluoride is safe for children and adults, however, it’s important to make sure you supervise children using a fluoride toothpaste. If too much is swallowed, it can cause issues, however, children often can’t swallow enough fluoride from brushing alone to cause any serious problems. While this may be, it is still important to monitor your child and make sure those under 5 years old only brush with a pea-sized amount of toothpaste. 

How to Brush Your Teeth

We often learn to brush our teeth from a young age, but everyone could use a refresher after a while. To properly brush your teeth, you should slightly angle the brush towards the gums and move in small, circular motions. You should be brushing the entire surface of each tooth gently, stopping right near the gumline to prevent injury to the gum tissue. 

Should You Rinse after You Brush Your Teeth? 

This is the part many people do wrong. You’ve brushed your teeth, but then rinse after brushing. If you want to truly benefit from your toothpaste, you should not rinse your mouth with water immediately after brushing. Rather, you should spit out any excess toothpaste and wait to eat or drink for 30 minutes afterwards. If you rinse your mouth immediately after brushing, you will wash away the concentrated fluoride in the remaining toothpaste, diluting it and reducing it’s benefits. 

When to See Your Dentist 

A good rule of thumb is to see your dentist for regular checkups and cleanings every six months, or sooner depending on the condition of your oral health. If you begin to experience signs of tooth sensitivity, pain, bleeding, or other issues within your mouth, you should make an appointment to see your dentist as soon as possible. 

At Stonebrook Family Dental, Dr. Kevin Varley offers a number of dental services that help you improve and maintain a healthy smile that will last you a lifetime. We offer services such as:

Routine cleanings and exams. These are important as they act as a ‘reset’ button for your mouth. In these exams, we can also catch early signs of any issues before they turn into larger, painful problems.

Digital and panoramic X-rays 

Fillings

Kid-focused Dental Treatment

Fillings, crowns, and bridges

Custom-fit mouthguards and nightguards 

Root canal therapy

Dental implant placement and restorations

Tooth extractions

Wisdom teeth removal and bone grafts 

Gum disease treatment 

Sedation dentistry, which can help those with dental fears receive the dental treatment they need in a calm, effective way. 

(12/27/2022)
by Aurora Dentist

More Information: https://www.auroradentist.com/rinsing-after-brushing-your-teeth-right-or-wrong/


Views: 433
Share
Share

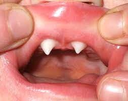
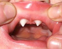
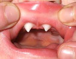
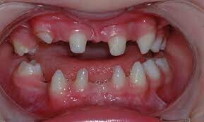
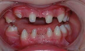
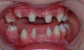
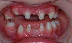
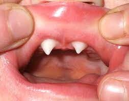
What Is Oligodontia?

If you have missing teeth from a condition or trait you were born with, you may have what's known as oligodontia. What exactly is oligodontia? What is it caused by? Does it increase your risk for any other health problems? We're here to help you understand what qualifies as oligodontia, the associated genetics, and what you can do to treat it.

Oligodontia: What Is It?

Dental agenesis is a term that refers to those born without one or more teeth. According to the Oral Health Group, this is the most common congenital (affects you from birth) condition in humans. Oligodontia is a specific type of agenesis that causes you to be born without six or more teeth (not counting wisdom teeth).

Causes of teeth absent from birth include:

Genetic syndromes

Inherited characteristics not related to a genetic syndrome (non-syndromic)

Viral infection during pregnancy

Metabolic dysfunction

Exposure to radiation

Tumors (benign and cancerous)

Missing teeth not only affect your appearance but can impact your ability to chew and your overall oral health. Related problems to your health typically accompany Oligodontia. These missing teeth can cause the reduced size of your alveolar process, lowered height of your face, and other issues in tooth development.

Genetic Causes

Your genetics have an incredible breadth of impact on your health and development. If one or both of your parents experience a genetic disorder or mutation, it’s not a guarantee that you will develop the same condition.

Genetic causes are varied, given that oligodontia is caused by both genetic syndromes and inherited family traits. Some conditions and genes that alter other processes in your development can also affect your teeth' development.

In addition to being connected with mutations in individual genes, Oligodontia is associated with other genetic conditions, according to Orphanet.

Associated health conditions may include:

Hypohidrotic ectodermal dysplasia (HED)

Odonto-onycho-dermal dysplasia (OODD)

Schöpf-Schulz-Passarge syndrome (SSPS)

Genes connected with the development of oligodontia include:

MSX1

PAX9

LTBP3

WNT10A

EDA

EDARADD

IKBKG

There’s no way to know on your own if you’ve inherited mutations in these genes unless you’ve received genetic screening, sequencing, or professional diagnosis. If you’re interested in finding out about your genetics or associated risk factors, schedule an appointment with your dental or medical professional for expert advice.

Associated Risks and Complications

Because oligodontia has various underlying causes, the presentation may differ between individuals. Some experience few or no symptoms, while others experience difficulty speaking and chewing or changes to their facial appearance.

Some people with oligodontia are more likely to develop cancer, a condition known as oligodontia-cancer predisposition syndrome. This risk is associated with a mutation in the AXIN2 gene. This condition may increase your chance of developing gastrointestinal polyposis, colorectal cancer, and breast cancer, according to Orphanet.

Important note: It’s vital to detect and treat cancer early, but keep in mind that not everyone who experiences oligodontia is at greater risk of cancer. If you believe you have oligodontia, it’s a great idea to schedule an appointment with your dental or medical professional so they can guide your treatment and diagnosis with their expert knowledge.

Oligodontia: Treatment

Replacing your teeth missing from congenital conditions can be challenging, but luckily you have dental professionals at your disposal, including orthodontists, oral surgeons, periodontists, and prosthodontists.

There’s no “one size fits all” solution to oligodontia because your specific case presentation and causes can vary greatly. The alveolar process that connects to the roots of your teeth may be underdeveloped, requiring bone grafting. If your bite is misaligned, you may benefit from an orthodontic solution like braces.

Options for replacing your missing teeth include:

Dental implants

Fixed bridges

Partial dentures

Oligodontia can be difficult to assess and manage on your own. It’s imperative to schedule an appointment with your dental or medical professional for their insight into your unique case because it can be related to other health conditions and risks. You’ve done a great job preparing yourself by reading up on this condition and its causes.

(12/28/2022)
by Colgate

More Information: https://www.colgate.com/en-us/oral-health/mouth-and-teeth-anatomy/what-is-oligodontia


Views: 619
Share
Share

What a Sore Throat and Tongue Can Mean

Having a sore throat is uncomfortable and inconvenient, and even more so when accompanied by a sore tongue. The combination of a sore throat and tongue is not a rare symptom of certain conditions, but your diagnosis depends on the other signs and symptoms you experience.

Causes of a Sore Tongue and Throat

Mouth ulcers are a common reason for a painful throat and tongue . Whether they're caused by canker sores, cuts from sharp foods or a bacterial infection, they can affect any of the soft tissues inside your mouth – including your tongue, inner cheeks and the gum tissue surrounding your teeth. However, don't count out conditions such as candidiasis, thrush or burning mouth syndrome as other common reasons for a sore throat and tongue.

Signs and Symptoms

Patients who have any of these conditions typically show some or all of the following signs:

Tiny, red or white spots on the tongue and throat

Blisters containing fluid

Sore and swollen throat

Pain and difficulty swallowing

Tongue swelling

Tooth sensitivity to hot foods

It is also possible to have a fever and experience chills or sweating alongside this oral irritation.

Treatment Options

The first step in determining the cause of your sore tongue and throat is to find (and deter) the cause of the pain itself. Move to quit smoking, step up your oral health regimen by brushing after each meal and rinse your mouth daily with a Peroxyl based mouthwash. This type of mouthrinse has a bubbling action that specifically cleans and soothes ulcers and other mouth irritations. If your sore throat and tongue are indeed related to oral hygiene, this should eliminate the cause and promote long-term healing. Of course, feel free to use non-prescription medications such as lozenges and ibuprofen to reduce swelling in the interim.

When to See a Doctor

Most mouth sores and irritations disappear within 14 days. But if your sore throat and tongue returns, or if it lasts longer than this period with no sign of clearing, make an appointment with your doctor. Alternatively, sore throats that are exceptionally severe – or bring with it fever of over 101, according to the Indian Dental Association– might indicate a bacterial infection that requires antibiotic treatment. You may also be a candidate for more comprehensive treatments to tonsillitis, swollen glands or a thyroid condition.

Keep in mind cancers of the head and neck can also cause symptoms such as a sore throat and tongue, but symptoms often persist beyond a few weeks in spite of treatment. They may also be accompanied by a hoarseness, coughing, trouble breathing, ear pain or unexpected weight loss.

With proper dental care and a good oral care regimen, however, you can protect your teeth and tongue from basic health problems and deal with related concerns immediately when they arise.

(12/27/2022)
by Colgate

More Information: https://www.colgate.com/en-in/oral-health/mouth-sores-and-infections/sore-throat-and-tongue-1215


Views: 466
Share
Share

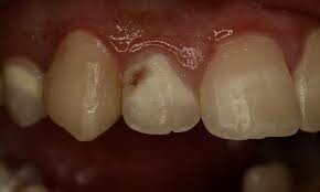
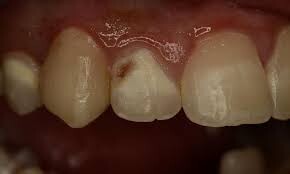
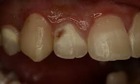
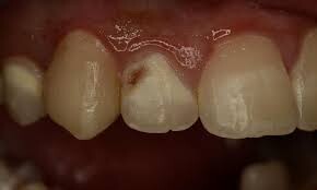
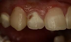
Tooth Decay Symptoms to Be Mindful Of

If your teeth have white spots on them, or if you feel tooth pain when you eat or drink, it’s likely you’re experiencing tooth decay symptoms.

Tooth decay is the softening of your tooth enamel and refers to the damage of the structure of the tooth caused by acids that are created when plaque bacteria break down sugar in your mouth. If this loss of mineral from the enamel is left untreated, a cavity, or hole in the tooth, can eventually form. Without treatment, these holes grow larger over time and may even destroy the whole tooth.

You can’t reverse tooth decay but detecting it early on can prevent it from worsening and causing more serious health issues.

What Are the Early Stages of Tooth Decay?

Early tooth decay symptoms are often visible. You know decay has begun when chalky white areas on the surface of the tooth appear due to the loss of calcium and build-up of plaque. If you look closely into your mouth while brushing your teeth, you may see these chalky white areas in the grooves of your teeth.

If the tooth decay progresses, bacteria in the plaque begins to metabolize sugars from food consumed. The buildup of these acids causes tooth enamel to deteriorate, a process referred to as demineralization of the tooth surface.

This demineralization of tooth enamel appears as white spots on the affected tooth. Left untreated, the enamel starts breaking underneath the tooth surface and a lesion forms within the tooth.

Now that the decay is affecting the inside of the tooth, it can be more difficult to detect until it becomes more serious. Signs of later stage tooth decay include:

Pain or tooth sensitivity during eating or drinking

A noticeable hole or pit in the affected tooth (sometimes these holes are only visible on a dental x-ray)

Pus around a tooth

Bad breath

What Happens If Tooth Decay Is Left Untreated?

An untreated cavity can lead to the more serious symptoms mentioned above, a cavity, or worse, a bacterial infection in the tooth called a tooth abscess. If the tooth abscess is not treated by the dentist (antibiotic prescription, drainage of abscess, root canal procedure, or removal of the infected tooth), the tooth decay may spread to the pulp (causing the tooth to die) and to other parts of your body (jaw, head, neck, brain). In rare cases, it can lead to sepsis.

If you believe you have tooth decay, connect with a trustworthy and experienced dentist to book an appointment.

How Do You Treat Rotten Teeth?

It depends on how rotten your teeth are. The severity of the tooth decay will determine your course of treatment. Since you can’t treat rotten teeth yourself, book an appointment with your West Kelowna dentist and he or she will decide the best treatment plan for you.

Fluoride treatments

Fillings

Crowns

Root canals

Tooth extractions

Antibiotics

If it doesn’t cause any pain, try to brush and floss your teeth to the best of your ability before seeing the dentist about your tooth decay symptoms.

 

(12/26/2022)
by True Dental

More Information: https://truedental.ca/tooth-decay-symptoms/


Views: 558
Share
Share

Sensitive Gums? Three Surprising Causes

The gums are often a neglected part of your oral health routine. Although you may brush regularly and see your dentist for scheduled check-ups, your teeth usually steal the show. Even when you notice your gums are sore or swollen, you might mistake the pain for a cavity. But gum health is extremely important and should be made a top priority when caring for your oral health. After all, this tissue is trusted to protect your teeth and keep them healthy, and while periodontal disease is the culprit in many cases, sensitive gums can be a symptom of other oral irritants too.

Symptoms of Gum Sensitivity

Swelling and tenderness are often signs of gingivitis, but it's not the only condition that can leave your gums feeling less than robust. It's understandable to assume tender gums are the result of gingivitis, but this isn't always the case. When your gums become sensitive to hot and cold – or inflamed and sore after applying moderate pressure (when brushing your teeth, for example) – gingivitis is just one of the possible causes. Consider your symptoms to see if it's the result of one of the following surprising causes of sensitive gums:

1. Brushing Too Hard

Some individuals' gums can be sensitive to pressure, particularly when suffering from gum disease, so brushing too hard or using a highly abrasive toothpaste can leave them feeling irritable. You don't need a stiff toothbrush to get a great clean; rather, it's about technique. Consider a soft-bristled toothbrush with softer bristles and polishing cups that allow you to focus on brushing more gently. Massage your gums in back and forth motions rather than brush harshly to remove bacteria that may have already calcified into tartar (which needs dental assistance). And, if you do notice your toothpaste irritates your gums, consider one made specifically for sensitive mouths.

2. Hormonal Changes

Believe it or not, changes in your hormones can actually result in sensitive gums as well. Gums become more sensitive, according to the Singapore Ministry of Health (MOH), because hormonal fluctuations – such as those common during puberty, menstruation, pregnancy and menopause – may affect the gum and increase a woman's risk to periodontal disease. This can result in gum and tooth decay, so it's important to see your dentist as scheduled during pregnancy and mention any changes in oral health to your OB/GYN to avoid lasting damage.

3. Food or Appliance Irritation

Certain acidic foods and new oral appliances can leave your gums feeling sensitive and sore, respectively. Acidic foods, in particular, can cause irritation, and even visible sores, on the tender tissue of the gum line. Canker sores and even gums that are recessed can be an unfortunate side effect of consuming things like citrus fruit, soda and sugary brands of yoghurt in excess. Therefore, try eliminating acidic foods from your diet and see if your sensitivity goes away over the next few days. The same goes for oral appliances: braces, retainers, dentures and mouth guards can all tug at your gum line, leaving it extra tender if they've temporarily exposed more sensitive underlying tissue. In some cases, this sensitivity will go away as your mouth adapts to the appliance. If your gums continue to hurt, however, see your dentist or orthodontist to ensure you get the right fit with less sensitivity.

Gum disease is often the reason for periodontal soreness, but it's not always the reason for your sensitivity. Gums that are sensitive without bleeding might be trying to tell you a different story. Before attributing the pain to gingivitis, consider some of the other causes – you might be surprised at which of your habits could be causing sore gums.

(12/29/2022)
by Colgate

More Information: https://www.colgate.com/en-sg/oral-health/tooth-sensitivity/sensitive-gums-three-surprising-causes


Views: 420
Share