Dentists Journal

Top Ten Stories of the Week
1/28/2023

All Dentists Journal · Previous Week · This Week · All Time List · Headlines

Share

How To Properly Brush Your Teeth in Four Steps

Proper and routine tooth brushing techniques are the first line of defense in the fight against tooth and gum decay. For healthy teeth and gums, consider the following tooth brushing techniques.

Choose The Right ToothbrushFirst, the right toothbrush is the foundation on which to lay a proper tooth brushing strategy. The wrong kind of toothbrush can strip enamel and dentin from the surface of the tooth. This can cause discomfort and sensitivity to hot and cold foods and beverages.A soft to medium bristle brush is optimal. Also, be sure to replace the brush about every four weeks, before the bristles splay. Splayed bristles are jagged and rough against the tooth’s surface and can wear down the protective enamel and dentin.When toothbrushes are manufactured, the bristles are rounded into soft, even domes. Over time, the domes wear out and become serrated, and start to scrape at the tooth like a knife. Positioning the toothbrush correctly will also protect enamel and dentin while cleaning off plaque and bacteria.

Proper Brush PositionMost people brush with a ‘sawing’ motion. This does not clean the plaque that sticks around the edges of the tooth or in between the teeth. Holding the brush incorrectly causes it to skip over the surface of the tooth, leaving plaque and tartar to build up over time. By positioning the brush at the correct angle, the surface of the tooth is contacting with the brush and getting cleaned at all levels.Place the toothbrush at a 45-degree angle, and brush in a gentle, circular motion, being sure to make contact with all sides of the tooth. To properly clean the insides of the top and bottom teeth, angle the brush vertically and make an upward, swiping motion.

Don’t Brush Too Hard!Also, be careful not to scrub too hard or fast. Too hard, and gums can, over time, recede from the base of the tooth. This can lead to sensitivity, gum infections, and gum decay. Brush too fast and quick, and the tooth will not get fully and properly cleaned. Each brushing session should last about two minutes.If proper techniques are employed, teeth only need brushed twice per day; once in the morning, and again at night before bed and after all meals are taken. However, flossing can be unlimited.

Don’t Overdo ItToo much of a good thing is rarely a good thing and brushing too frequently is no different. Frequent and improper brushing will weaken the tooth and cause the gums to recede.

In addition to a proper tooth brushing regimen, visiting the dentist for routine cleanings is a proven way to prevent tooth decay and gum disease.

The caring and keeping of one’s natural teeth is an important health issue. Using the right toothbrush, replacing it frequently, and positioning it correctly over the tooth will protect the enamel and gums. Failure to follow these simple steps can lead to pain, decay and gum disease, and expensive, preventable dental procedures.

(01/23/2023)
by Ramon Bana, DDS

More Information: https://www.drramonbana.com/blog/how-to-properly-brush-your-teeth-in-4-steps/


Views: 568
Share
Share

Seven Ways To make Oral Hygiene Easier At Work

You spend most of your day at work. Be sure to bring good habits and the right supplies with you.

Oral hygiene is important throughout the day, not just in the mornings and evenings. That means paying attention to your teeth and gums even while you’re at work. It may not seem that easy to keep up with your oral care at the office, especially when you’re busy with multiple tasks, or working long hours. But there are many ways to make oral care more convenient while you’re on the job. Look after your teeth with these seven workplace tips.

1. Consider your smile

Think about the number of co-workers, clients and managers you come face to face with in a typical workday. That just might be the motivation you need to look after your mouth at work! Wouldn’t you want your smile to be at its cleanest, and your breath at its freshest? Perhaps there’s never been a deal killed because of onion breath or a shred of lettuce in your teeth, but the bottom line is it still might not be the good impression you hope to make.

2. Get over yourself

Are you too embarrassed to brush your teeth at the workplace sink? Let it go. “I think there’s nothing wrong with going into a public washroom to brush your teeth,” says Jacki Blatz, a dental hygienist and owner of Dentique Dental Hygiene Centre in Fort Saskatchewan, Alberta. “It’s part of your everyday routine for oral care, just like fitness may be part of your everyday routine.”

3. Stock up on supplies

Keep a toothbrush, paste and dental floss stored in your work station, not in your purse or briefcase. An Academy of General Dentistry survey found that you’re 65 percent more likely to brush your teeth at the office if you use this strategy instead of carrying your supplies around with you.

4. Eat for optimal mouth health

Try to avoid frequent sugary snacks at work. When you’ve got the munchies, fruits and vegetables make for good choices because they can scrub your teeth somewhat. Cheese is also a great way to finish your meal or satisfy a snack craving, because it increases saliva flow and helps to clear sugar from your mouth.

5. Chew gum

If you’re unable to brush right after a meal at work, pop a stick or two of sugarless gum. “It will actually pull bacteria and food particles from your teeth,” says Blatz. Gum sweetened with xylitol will stimulate the flow of saliva, which also helps to cleanse your teeth.

6. Remember that water is wonderful

Stay hydrated at your desk by sipping water, not sugary pops and juices. And if you don’t brush right after eating, you can try doing a few swishes with water as well as drinking it. “You can remove as much bacteria by vigourously swishing your mouth with water as you can by vigourously swishing with mouthwash,” notes Blatz.

7. Be a good boss

If you’re an employer or manager, you might help to raise awareness among your staff about the importance of good oral hygiene and disease prevention. A study in Japan showed that this kind of workplace strategy actually led to a decrease in the cost of dental care among the employees.

(01/24/2023)
by Lisa Bendall

More Information: N


Views: 482
Share
Share

Water Flossing vs. Traditional Flossing

Brushing your teeth isn't the only thing keeping your mouth and teeth healthy. Flossing is crucial for cleaning between your teeth, removing food and plaque, and preventing diseases in your teeth and gums. Thankfully, you can try various flossing products, not just the strand of waxed string that has been around forever. Water flossers use a steady stream of fresh water to clean between your teeth. Learn the pros and cons of both methods, traditional flossing, and water flossing, and find the best fit for you.

Traditional Flossing

Flossing helps remove food particles and plaque. Without flossing, plaque build-up can lead to gingivitis or gum disease. That's why it's so essential to add flossing to your daily oral care routine. Traditional flossing or manual flossing involves moving sections of waxed or non-waxed string between your teeth and under your gumline to remove bacteria and food debris.

Water Flossing

A water flosser is a hand-held device that squirts fresh water between your teeth, removing food debris and plaque. Often the flosser tool connects to a water tank you refill when needed.

Do Water Flossers Work?

According to the American Dental Association, water flossers effectively clear food debris and plaque between and around your teeth. Water flossing can be an excellent alternative if you have trouble flossing manually or have braces preventing you from moving floss between your teeth.

Water flossing vs. regular floss

Traditional floss is the "gold standard" recommended by dentists and dental hygienists. It's proven to be effective in preventing gingivitis and gum disease if done correctly and regularly. Also, floss containers are small and portable: you can take floss wherever you go in your purse, backpack, or desk drawer.

Water flossers can be an excellent alternative to traditional flossing for people who have trouble with manual flossing. If you have had dental work that makes flossing difficult such as braces or bridges, water flossers can help you keep your teeth clean. There is also less waste in your trash bin after you floss because you aren't throwing away string sections.

However, a water flosser typically includes a water tank and needs electricity to work. A water flosser isn't as convenient and portable as traditional floss.

According to the ADA, the best way to floss is to use devices designed for cleaning teeth, such as string floss and water flossers, for disease prevention and oral health. If manual flossing is difficult for you, water flossers are a good alternative for clearing food debris and plaque. The most important thing is that flossing is a part of your daily oral care routine and that you aren't using inappropriate items to floss, such as your fingernails or pieces of paper. Floss at least once a day after brushing to ensure your teeth are clear of debris and plaque in those hard to reach spaces.

(01/21/2023)
by Colgate

More Information: https://www.colgate.com/en-us/oral-health/brushing-and-flossing/water-flossing-vs-traditional-flossing


Views: 549
Share
Share

Five Preventive Tips To Protect Your Oral Health From Infection

Prioritizing your oral health is essential as it's linked with gut health. So, wonder how to protect your teeth from infection? Here are 5 tips.

A dental infection is usually a pus-filled area like a sac or boil which has been caused due to bacterial activity triggered by unfavorable conditions in the oral environment which includes poor oral hygiene, excessive sugar consumption, and tobacco and alcohol use. So, if you’re wondering how to protect your teeth from infection, you’ll find the solution here.

Read the causes of dental infection

Dental infections can originate in various situations, such as:

1. Poor oral hygiene can lead to cavities, gum disease, and other dental problems, including infection.

2. Infections can be contracted from procedures or instruments in the mouth hence sterilization and infection control protocols should be strictly followed.

3. More likely in patients who have diabetes or any autoimmune diseases.

How to spot an oral infection?

Dental infection, once initiated in the mouth, can spread rapidly and damage the adjacent supporting structures and even lead to eventual tooth loss. Hence, it is imperative to protect your teeth from infection and spot the early signs.

Common signs of dental infection include:

Bleeding from the gums

Pus discharge

Foul odour from the mouth

Foul taste in the mouth

How to treat dental infection?

If you have been diagnosed with an infection, there are ways to treat it. These may include medication or certain dental procedures which can physically drain the infection.

Antibiotic therapy is always the first line of treatment for an infection.Some infections are unresponsive to medication or need further physical treatment which can be done with various dental procedures.A dental laser is very effective in treating gum infections and creating a sterile environment and root canal or endodontic treatment helps in treating tooth-related infections.

How to prevent an oral infection?

As they say, prevention is always better than cure. Therefore, good oral hygiene is essential for keeping your teeth healthy and free from infection. Here are 5 tips to protect your teeth:

1. Use a fluoride-containing toothpaste to brush your teeth twice daily. Fluoride helps to strengthen your tooth enamel and protect against tooth decay.

2. Floss at least once a day. Flossing removes plaque and food particles from the spaces between your teeth that your toothbrush can’t reach.

3. Use an antiseptic mouthwash to help kill bacteria that can lead to infection.

4. Eat a balanced diet that includes crunchy fruits and vegetables, which help to clean your teeth and gums. Avoid sugary and starchy foods, which can increase your risk of cavities and gum disease.

5. Visit the dentist frequently for cleanings and examinations. Your dentist can detect early signs of infection and provide treatment before it becomes a more serious problem.

By taking these steps, you can help protect your teeth from infection and maintain a healthy, beautiful smile.

 

(01/24/2023)
by Dr Diksha Tahilramani Batra

More Information: N


Views: 656
Share
Share

reducing Inflamation By Tooth Brushing

Creating a dental health routine is extremely important for not only our oral health but our overall health as well. From the time we can hold a toothbrush we are taught to and encouraged to care for our teeth. However, after decades of performing this routine day and night, the desire to brush for dental health can turn into nothing more than a cumbersome habit. Remembering why you brush your teeth can help motivate you to take impeccable care of your teeth, which in turn can help you take better care of your body. So ask yourself: when you brush your teeth, what are you brushing for?

HUMDRUM HABIT TO HEALTHY LIFESTYLE

Over the many years you’ve spent brushing your teeth, it’s fair to say that not every brush has been beneficial. Whether you were aware or not, not brushing correctly does little for your dental health. Creating healthy habits and brushing your teeth for two minutes each day is the best and only way to remove all the harmful bacteria from your mouth and prevent the development of plaque and subsequent tooth decay. Admittedly, it can be difficult to brush for two minutes twice each day when you feel rushed to get to work or too tired to even stay awake. But, what if you could see the good you were doing while you brushed your teeth? Would that help you brush better?

When it comes to keeping your teeth and body healthy, seeing really can be believing. After a recent trial that involved a plaque-identifying toothpaste, researchers found that people who could see the bacteria on their teeth after brushing, brushed much better than those who could not see it at all. However, there was more to this trial than just clean teeth. Brushing with this toothpaste that illuminated plaque and encouraged  better brushing habits also lead to a statistically significant drop in inflammation throughout the entire body.

THE TRIAL

To understand the worth of their toothpaste the company provided a 60-day supply of toothpaste to randomized trial participants. Half of the volunteers received toothpaste with plaque-identifying agents, the other half received seemingly identical toothpaste that contained no such agent. Those who could see the plaque, brushed their teeth with much more care to remove it. But, when researchers tested the inflammation levels in the participants bodies with a high sensitivity c-reactive protein called hs-CRP (this is the same protein used to mark sensitivity to strokes and heart attacks), something eye-opening happened. This testing lead to the discovery that those who brushed their teeth with the plaque-identifying toothpaste had statistically significant drop in total body inflammation.

THE SYSTEMIC CONNECTION

This trail is wonderful as it adds to the body of knowledge that is beginning to understand how the health of the mouth influences the health of the entire body. Reducing total body inflammation through consciously executed daily oral habits is an easy way that you can reduce your risk of chronic illness, and it only takes two minutes twice each day. Inflammation is dangerous for your body because it stresses out your immune system. Inflammation is an immune response that is important in fighting off harmful bacteria, however when it is constantly fighting bacteria, the system and the tissues they are fighting in become stressed. Chronic inflammation of the gum tissue is known as periodontal disease, and if not treated can cause the loss of teeth and underlying bone tissue. Knowing that brushing your teeth can help you keep your entire body healthy is quite an incentive to reassess your habits and make sure you’re brushing correctly for the right reasons.

As your Melbourne, Florida dentist, we know a million reasons for you to brush your teeth. Fresh breath, fighting stains, preventing cavities, and periodontal disease are all great example of the power of brushing. But, now you can add reducing whole body inflammation to that list. If you need help creating a beneficial habit to keep your mouth and entire body healthy, ask us at your next appointment. We would be happy to refresh your memory on the proper way to brush and floss, so that when you brush you brush with purpose, and for the best reason of all – your health!

(01/20/2023)

More Information: https://www.artistictouchdentistry.com/general-dentistry/reducing-inflammation-tooth-brushing/


Views: 750
Share
Share

Dental issues could be the cause of your bad breath

Having bad breath can cause a negative impact on your daily life, affecting both your relationship with others and your self-esteem. Although this condition is easy to control, it still affects around 25% of the population.

Usually, it disappears after brushing your teeth or using a mouthwash. However, on some occasions doing so will only mask the odor or make it disappear for a brief period.

If this is your case, your bad breath could be related to dental issues instead of the food you eat.

In this article, we will discuss the relationship between bad breath and dental issues and explain how to solve it.

How does bad breath occur?

Halitosis, commonly referred to as bad breath, is caused by different factors.

Usually, it is caused by food that possesses strong smells, such as garlic and onion. After eating these types of food, the scent impregnates the oral cavity.

However, halitosis is also caused by bacteria involved in oral diseases. When food residues are left in the mouth, they begin decomposing as bacteria break them down.

Moreover, large amounts of bacteria present in different oral diseases, such as gums disease and infections, can produce an unpleasant odor.

Bad breath and oral diseases

Whenever there is an oral disease, there is enormous bacterial colonization behind it. The most common dental issues responsible for bad breath include conditions such as:

Gums disease: gingivitis and periodontitis are caused by tartar build-ups, which are made of a combination of proteins, minerals, and bacteria. Thereby, as long as the tartar is not removed, bad breath will not disappear.

Infections: abscesses and other oral infections possess large amounts of bacteria. When they remain confined inside the bone, they usually don’t produce odor. However, once they start draining into the mouth through the gums, the bad smell is released, and bad breath occurs.

Furthermore, it is also common to experience a type of infection called pericoronitis. It often develops when the third molars are erupting, causing pain, swollen gums around the tooth, and bad breath.

Dry mouth: saliva acts as the mouth’s natural defense system. It regulates its pH (acidity level), helps remove food leftovers after eating, and controls the bacteria population, keeping the flora at standard levels.

However, certain conditions and medicines can decrease saliva production, leading to dry mouth.

 

As there is not enough saliva, odor-producing bacteria are increased. Moreover, this results in the development of gums diseases, increasing bad breath.

Unfortunately, brushing your teeth will only mask the odor. It is vital to attend dental consultation to undergo the appropriate treatment.

Luckily, most times, professional cleaning is enough to eliminate halitosis completely.

Although bad breath is a common condition that can impact daily life directly, affecting thousands worldwide, it can be easily prevented by maintaining good oral health.

If brushing your teeth is not helping you eliminate it, the cause is most likely related to a dental issue, such as gums disease. Make sure to book an appointment with your dentist, and he will get rid of your halitosis so you won’t have to worry about your breath anymore.

(01/20/2023)
by Votre Dentisterie

More Information: https://www.votredentisterie.com/en/resources/dental-issues-could-be-the-cause-of-your-bad-breath


Views: 527
Share
Share

What is gum pain?

Gum pain is a common symptom of canker sores on the gums that can result from mouth injury, viral infections, emotional stress, hormonal shifts, a weakened immune system, or a diet low in nutrients.

Gum pain is also a common symptom of gum disease. Inflammation of the gums (gingivitis) and periodontitis are characterized by gum infection, bleeding, and pain. Gum pain also results from swelling and tenderness due to excess fluid (edema) in the gum tissues.

Less common causes of gum pain include vitamin deficiencies and a rare disease known as Behcet’s syndrome. This disorder causes chronic inflammation in blood vessels throughout the body and may result in mouth sores that produce gum pain.

Gum pain can be a sign of a serious condition. Seek prompt medical care if your gum pain is persistent or causes you concern. Seek immediate medical care (call 911) if you experience gum pain along with high fever (higher than 101 degrees Fahrenheit) or difficulty swallowing or breathing.

What other symptoms might occur with gum pain?

Gum pain may accompany other symptoms, which vary depending on the underlying disease, disorder or condition.

Gum symptoms that may occur along with gum pain

Gum pain may accompany other symptoms affecting the gum including:

Bad breath

Bleeding gums

Bright red or red-purple appearance to gums

Gums that are tender or sensitive

Painful mouth sores or ulcers

Receding gums

Swollen gums

Other symptoms that may occur along with gum pain

Gum pain may accompany symptoms related to other body systems including:

 

Bleeding

Loosening or loss of the teeth

Nausea

Swollen lymph nodes beneath the jaw or along the neck

Tongue pain

Weakness, tiredness or light-headedness

Symptoms that might indicate a serious condition

In some cases, gum pain may occur with other symptoms that might indicate a serious condition that should be evaluated immediately in an emergency setting. Seek immediate medical care (call 911) if you, or someone you are with, have gum pain along with other serious symptoms including:

Difficulty swallowing or breathing

High fever (higher than 101 degrees Fahrenheit)

Loss of teeth

What causes gum pain?

Gum pain results from a number of factors, including dental disease and vitamin deficiencies. Dental diseases are the most common cause of gum pain. Inflammation of the gums (gingivitis) and infection of the gum line involving the teeth and bones (periodontitis) are common causes of gum pain. The pain is associated with an increase in fluid. Canker sores, which are not serious but are painful, open ulcers that often develop on the gums, are another common cause of gum pain. Canker sores are small, shallow lesions that develop on the soft tissues in the mouth and gums.

Gum pain can occur as the result of vitamin C deficiency. Scurvy (vitamin C deficiency) causes gums to become soft, tender, spongy and painful. Individuals with scurvy may lose some or all of their teeth. A rare disorder known as Behcet’s syndrome, a condition that causes chronic inflammation in blood vessels throughout the body, leads to numerous symptoms, including sores in the mouth that may cause gum pain.

Gum causes of gum pain

Gum pain may be caused by gum disorders including:

Bacterial infection or abscess

Canker sores (aphthous ulcers)

Gingivitis (inflammation of the gums)

Periodontitis (infection of the gum line involving the teeth and bones)

Substance abuse, especially methamphetamine use

Serious or life-threatening causes of gum pain

In some cases, gum pain may be a symptom of a serious or life-threatening condition that should be evaluated immediately by a health care provider. These include:

Behcet’s syndrome (disease characterized by widespread inflammation of the blood vessels)

Scurvy

Questions for diagnosing the cause of gum pain

To diagnose your condition, your doctor or licensed health care practitioner will ask you several questions related to your gum pain including:

How long have you felt gum pain?

Where do you feel the gum pain?

Do you have any other symptoms?

What medications are you taking?

What are the potential complications of gum pain?

Because gum pain can be due to serious diseases, failure to seek treatment can result in serious complications and permanent damage. Once the underlying cause is diagnosed, it is important for you to follow the treatment plan that you and your health care professional design specifically for you to reduce the risk of potential complications including:

Abscess or spread of infection

Chronic pain/discomfort

Difficulty speaking

Difficulty swallowing

Endocarditis (heart infection originating in the mouth)

Gingivitis (inflammation of the gums)

Heart disease

Periodontitis (infection of the gum line involving the teeth and bones)

Sepsis (life-threatening bacterial blood infection)

(01/21/2023)
by Health Grades

More Information: https://www.healthgrades.com/right-care/oral-health/gum-pain


Views: 584
Share
Share

Orange Juice and Toothpaste: Why They Don't Mix

Some things just go together: peanut butter and jelly, bacon and eggs, burgers and fries. But orange juice and toothpaste? Not so much.

If you've ever decided to drink a glass of OJ right after brushing your teeth, you probably regretted it. As it turns out, a key ingredient in toothpaste is responsible for making orange juice taste totally different after you've brushed. But there are sweet solutions for brushing your teeth and still drinking a morning cup of orange juice.

Orange Juice and Toothpaste: Understanding the Taste Combo

The taste buds on your tongue play a big role in determining how foods, drinks, and toothpaste will taste. And how they'll taste in combination with each other. Besides your tongue, other parts of your head and throat are instrumental in your ability to taste. These include your:

Roof of your mouth (soft palate)

Cheeks

Nasal cavity

Epiglottis (throat flap that aids in breathing and preventing food from going down your windpipe)

Back of your throat

With your taste receptors, you're able to detect five different flavor types:

Salty

Savory (sometimes called Umani)

Sour

Sweet

Bitter

When orange juice and toothpaste get together, they affect your body's ability to taste sweet and bitter flavors. And that plays a big part in making your morning OJ taste so gross.

Meet Sodium Laurel Sulfate

If you read the ingredients on numerous tubes of toothpaste, you'll find most contain sodium laurel sulfate. Sodium lauryl sulfate (SLS) is a surfactant – or a type of soap. It's found in many beauty and household products, not just toothpaste. SLS creates suds or foam while you brush and helps clean your teeth.

SLS does two things that can transform OJ from a sweet, refreshing drink into a glass of bitterness:

Suppresses the receptors on the taste buds that can pick up on sweet flavors. So, for a while at least, you're not able to taste "sweet" no matter what you drink.

Breaks up phospholipids, the fatty compounds that help reduce bitter tastes. By blocking the receptors that sense bitterness.

OJ and other citrus juices usually have a mixture of bitter and sweet flavors. Under normal circumstances, you're able to taste the sweetness. But when your sweetness receptors are out of commission – and there's nothing to block your bitterness receptors – you're going to get a mouthful of blech.

I Love OJ and Must Brush My Teeth: What Can I Do?

To avoid the unpleasant taste of orange juice and toothpaste:

Eat and drink first, then brush your teeth. Just keep in mind that you should wait about 60 minutes after eating/drinking any citrus foods before brushing to avoid damaging your teeth's enamel.

Eating, waiting for 60 minutes, then brushing might shake up your morning routine, but the upsides are:

It'll feel good not having "breakfast teeth" the rest of the day.

You'll get OJ's plaque-causing acid and sugar off your teeth sooner than if you waited until your next brushing, which usually occurs at the end of the day.

You also might drink a glass of water during those 60 minutes to further ensure you won't damage your enamel when brushing after consuming citrus.

Switch to a toothpaste that doesn't contain SLS. If you aren't sure which toothpaste to use, you can always talk to your dental professionals to see what they recommend.

One tip: Many kinds of toothpaste for sensitive teeth are SLS-free.

Many taste combinations that seem yucky to some might appeal to others – chocolate and potato chips, anyone? But unless you adore a truly harsh taste in your mouth, toothpaste with SLS and orange juice won't do. We've given you solutions for solving your morning problem. Now it's up to you to banish the bitter and savor the sweet!

(01/23/2023)
by Colgate

More Information: https://www.colgate.com/en-us/oral-health/brushing-and-flossing/orange-juice-and-toothpaste-why-they-dont-mix


Views: 511
Share
Share

What Is The Gingival Sulcus?

Much like the cuff of a sleeve fits snugly against the wrist, the gum tissue in your mouth fits tightly around each tooth. Think of the gingival sulcus as the space between the edge of the sleeve and the wrist, with the sleeve representing your gums and the wrist representing a tooth. Knowing how to keep this space clean and its role in your oral health can help you avoid gum issues down the line.

What is the Gingival Sulcus?

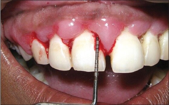
The sulcus is “the point at which the tooth and gums meet,” or the natural space between the surface of the tooth and the surrounding gum tissue (also known as the gingiva). The cementoenamel junction, located at the bottom of the sulcus, helps keep the gums attached to the tooth surface. When the gum tissue is healthy, it is firm, pink to brown, and fits tightly around the tooth. A good sign of a healthy gingiva sulcus is a depth of 3mm or less, which your dental professional will periodically measure.

Measuring the Sulcus

Your dental professional may choose to conduct a periodontal screening assessment to determine your risk of developing gum disease. They will take a small ruler, called a periodontal probe, and place the probe just under the gum tissue to measure the pocket depth. The probe enters the gingival sulcus and gently presses against the spot where the gum tissue attaches to the tooth surface. In the sleeve example, it is easy to picture this concept by putting your finger under the cuff of your sleeve.

An Opening for Gum Disease

It's critical to thoroughly brush the area where the gums meet the teeth and floss between the teeth to keep the entire gingival sulcus clean. When plaque is allowed to build up on the gums at the base of a tooth, it can cause gingivitis, when the gums become inflamed and irritated. Luckily, you can reverse gingivitis with excellent oral care. However, if the plaque continues to build, the inflammation can lead to the gums detaching from the tooth, causing the space between the teeth and gums to deepen and allow even more plaque to accumulate. This deepening of the sulcus, also referred to as the development of a periodontal pocket, is an early indicator for periodontal disease. The National Institute of Dental and Craniofacial Research classifies periodontal disease as a site with gum attachment loss of at least 3 millimeters and a pocket depth of at least 4 millimeters. 

Unfortunately, gum disease is common among Americans—half of the people over 30 have periodontitis. While some risk factors are unavoidable due to genetics, age, medications, and health history, other preventable risks include smoking tobacco and unhealthy diet choices. 

Maintaining Gum Health

When plaque has packed into and invaded the gingival sulcus, further complications can arise, such as tooth loss. To stop the damage, your dental professional may recommend a more involved type of dental procedure called scaling or root planing to access the area under the gumline. If the damage caused by the bacteria is more severe, a dental professional can improve the health of the gums with surgical methods, such as a gum graft.

Whether or not you have periodontal disease or are at risk for it, the key to maintaining a healthy gingival sulcus is excellent oral care as well as regular dental checkups. Brush your teeth twice daily with a soft-bristle toothbrush and fluoride toothpaste, and clean between your teeth with an interdental device like floss, water flossers, or other interdental cleaners. Remember, plaque and bacteria can build up in the space between your teeth and gum. The more you care for that area, the healthier your gums, teeth, and smile will be.

(01/25/2023)
by Colgate

More Information: https://www.colgate.com/en-us/oral-health/mouth-and-teeth-anatomy/what-is-the-gingival-sulcus


Views: 528
Share
Share

Gum Surgery — What Do I Need To Know?

If your dental professional has recommended that you see a periodontist for gum surgery, you're probably wondering what exactly that means and what to expect from your procedure. We'll break down what a periodontist is, what conditions require gum surgery, and what you can expect when you go into your appointment so you can walk away smiling.

What is Periodontics?

According to the American Dental Association, there are currently twelve dental specialties recognized by the National Commission on Recognition of Dental Specialties and Certifying Boards. Periodontics is the specialty that focuses on the prevention, diagnosis, and treatment of conditions and diseases that affect your gums. The American Academy of Periodontology states that periodontists receive up to three years of additional training after dental school to perform non-surgical and surgical procedures that include gum surgery, dental implant placement, and cosmetic procedures.

What Conditions Require Gum Surgery?

There are different types of gum surgery depending on what you're experiencing and what exactly your periodontist is treating. Some of the most common conditions that require gum surgery include:

Gum recessionIf your gums are receding or pulling away from your teeth and exposing your roots, you have gum recession. The roots of your teeth don't have the same hard, protective enamel as the crowns of your teeth, so an exposed root can cause tooth sensitivity and is susceptible to tooth decay.

Some main causes of gum recession range from periodontal disease, brushing too hard, trauma from an injury or accident, ill-fitting dentures, genetics, and use of tobacco products. For brushing issues, your dental professional can show you how to brush without further damage. Periodontal disease is often treated with a non-surgical procedure called scaling and root planing. If you have ill-fitting dentures, they can be refitted for you.

More severe cases of gum recession may require a surgical procedure called a gum graft. Your periodontist will take tissue from another part of your mouth and attach it where your gums are receding. This surgery prevents further recession, reduces tooth sensitivity, and can improve the aesthetic of your smile.

Gummy smile or uneven gumsIf you have more gum tissue covering your teeth than you consider normal, you have what's called a gummy smile (also known as excessive gingival display if you want to sound like a professional). There are two surgery options available to you to remove tissue and show off more of your pearly white teeth. One is called a gingivectomy, where they surgically cut away a portion of your gumline. The other is called crown lengthening, in which they do the same thing but also remove some of the bone so that more of the tooth surface is above your gumline.

A decayed or broken tooth below the gumlineIf your tooth is damaged beneath your gumline, or if you don't have enough tooth above the gumline for a restoration, your periodontist may need to utilize a crown lengthening procedure to expose more of your tooth.

Periodontal diseasePeriodontal disease is caused by bacteria built up around your gumline and has turned into plaque (a soft, sticky, colorless film). According to statistics published in the Journal of Dental Research, nearly half of adults over 30 in the US have some form of gum disease. Left untreated, your tissue and bone will be destroyed by the plaque, and pockets can form around the roots of your teeth. The pockets may begin to collect more bacteria, your teeth may loosen, and your teeth could even fall out.

If you have deep pockets around your teeth from gum disease, your dental professional may refer you to a periodontist for a periodontal pocket reduction surgery. In this procedure, your gums will be folded back so they can deep clean the bacteria out of the pockets, then they will be sutured back into place, providing you with more of a chance that you can hold onto your natural teeth for the long run.

How Can You Prepare for Gum Surgery?

After your dental professional refers you to a periodontist for gum surgery, your first visit will be an initial consultation. At this appointment, they may:

Take additional X-rays of your mouth and head.

Review your medical history,

Ask what medications you take, including over-the-counter products, vitamins, and supplements.

Depending on the procedure you have planned and your medical history, there are some medical conditions for which your dentist may recommend antibiotics as a preventative measure to fend off infection (antibiotic prophylaxis). According to the American Dental Association, there are very few circumstances in which antibiotics should be used for preventive measures before dental procedures.

If you're undergoing general anesthesia, your periodontist will probably recommend that you avoid food and drink for eight hours before your procedure. Be sure to follow their recommendations for your specific needs. If you have a chronic condition, like diabetes or hypertension, they will monitor you during the procedure for any complications relating to the anesthetic. Most periodontal procedures can be comfortably performed using local anesthesia only.

Recovering From the Procedure

After gum surgery, you'll be informed how to clean your teeth and gum tissue without disturbing your healing gums. The types of food you can eat may be limited for a period of time, and you may be prescribed pain medication.

While you're recovering, contact your dental professional if you have any questions or concerns. Don't wait until an oral infection develops or complications occur. Call your dentist as soon as you notice anything out of the ordinary.

You can rest assured that your dental team will be behind you every step of the way, from preparation to recovery. Surgery never sounds like fun, but it can be vital in helping you to get your oral health back into a condition you can smile about. Hopefully, with this information, you feel confident and comfortable about what to expect with your procedure. You can do this!

(01/22/2023)
by Colgate

More Information: N


Views: 455
Share