Dentists Journal

Top Ten Stories of the Week
1/21/2023

All Dentists Journal · Previous Week · This Week · All Time List · Headlines

Share

Using a Floss Threader: Flossing Made Easier

Many are aware that flossing is a vital step in your oral care, but fewer know what tools are available to make it less of a chore. Floss threaders might be what you've been looking for if you have braces, a permanent retainer, a bridge, or another orthodontic device. We're here to help navigate why flossing is important and how to do it correctly with a threader.

Why Floss?

Cleaning between your teeth with floss or a flossing device is an essential part of your dental care routine, especially if you have a dental appliance. Why is flossing so important? The best way to care for your oral health is to avoid problems before they start.

Cleaning between your teeth removes food debris and plaque, preventing cavities and gum disease. If plaque isn’t cleaned, it hardens into tartar that requires a dental professional's help to remove. Food matter that is not adequately removed will contribute to bacterial growth and tooth decay.

Remember that the most important part of flossing is not the type you use but that you do it effectively and regularly. By educating yourself on proper flossing technique and making it part of your daily routine, you’re making a great step for your oral health.

Tips for cleaning between your teeth effectively:

Choose a time of day that’s convenient for your schedule to floss so that you can devote the proper time and attention to the task.

Don’t reuse floss as it could be damaged or contain harmful bacteria.

Schedule regular visits to your dentist or dental hygienist.

What Are Floss Threaders?

The American Dental Association recommends cleaning between your teeth with a flossing device once a day and brushing twice a day. This part of your routine can be especially challenging if you have an orthodontic device like braces, a permanent retainer, or a bridge.

Luckily, floss threaders are here to help.

These helpful tools make it easier to floss effectively for those who find it difficult due to their dental appliance or other challenges. Not only can it be an ordeal to clean difficult to reach areas, but braces and other devices can fray the floss and force you to start over.

Floss threaders are loops of thin material that make it easier to clean difficult to reach areas of your teeth and gums with floss. They’re disposable, work with any regular floss, and are easy to find online or at any store with a dental section.

Helpful tip: If you’re having trouble finding a flossing device that works for you, it’s a good idea to consult your dental professional. It’s also a good idea to schedule an appointment with the pros if you’re experiencing pain or bleeding when flossing regularly.

How to Use a Floss Threader

Flossing with a threader is much like flossing normally but may take extra time and effort as you master the technique. You’ll be glad to have made the extra effort to avoid health problems down the line like cavities or gum disease that will require the help of a dental professional to treat.

How to properly use a floss threader:

Break off between 12-18 inches of your favorite floss.

Run approximately 5 inches of one end of the floss through the loop of the threader.

Run the floss threader through your dental appliance and into a gap between your teeth.

Remove the loop of the threader and floss normally. Press the floss into your gumline, form it into a C-shape, and run it gently up and down the sides of both teeth.

Repeat for each tooth, including the outside of your back teeth. Discard the threader after use.

If this process sounds challenging, don’t worry! Keep in mind that it will get easier with practice, and the first time will be the most difficult. Cleaning between your teeth is a vital step in your dental routine, and floss threaders may be the tool you’re missing to make flossing easier. You’re now set up for success after informing yourself on the best way to use floss threaders.

(01/14/2023)
by Colgate

More Information: N


Views: 662
Share
Share

Medications That Cause Tooth Decay and Other Oral Health Issues

When you visit the dentist for a teeth cleaning, they often remind you to brush and floss your teeth regularly. They may also remind you that your diet and how well you take care of your teeth determine how likely it is you’ll develop tooth decay, including cavities. Cavities occur when there’s damage to the surface of your tooth (enamel). The cavity, a small hole on the tooth, can cause tooth pain and infection. In serious cases, you could even lose a tooth.

But sometimes, even the most diligent person may not be able to avoid tooth decay. This is especially possible if you take a medication known to cause tooth decay. Below, we will talk about medications that are known to cause oral health side effects.

How do medications cause tooth decay?

Medications can cause tooth decay in various ways. But first, let’s talk about how tooth decay happens in general.

The outer layer of your teeth (the enamel) has minerals that protect your teeth and keep them strong. The enamel can lose minerals and become damaged when it comes into contact with acid. Acid is created when bacteria in your mouth comes into contact with sugars and starches (from the food and drinks you consume). If your teeth encounter acid often, the enamel continues to lose its minerals. Over time, your teeth get progressively weaker and become damaged enough to form cavities.

Some medications create an environment that makes your mouth more acidic. One way this can happen is by causing dry mouth. When your mouth is dry, you have less saliva. Saliva is more important than most people realize, and the average person makes three pints of it a day. It has enzymes that break down starches in your mouth, and helps return minerals to your tooth enamel. The more saliva you have, the less acidic your mouth is. Without an adequate amount of saliva, tooth decay can happen.

Other medications, especially liquid forms, have sugar as an ingredient. Excess sugar in the mouth is also known to cause tooth decay. 

How can I spot signs of tooth decay?

When tooth decay begins, you might not have any symptoms. As tooth decay worsens, you might notice the following: 

Tooth pain 

Tooth sensitivity  

Stained teeth

An infection in the mouth that can cause pain, swelling, and fever

What medications cause tooth decay?

Various medications are known to cause tooth decay. Most commonly, medications can cause tooth decay by causing dry mouth.

Most recently, the FDA warned about dental problems with dissolvable forms of buprenorphine, a medication used to treat opioid addiction. These include the sublingual (placed under the tongue) and buccal forms (placed between your gum and cheek). While buprenorphine can cause dry mouth leading to tooth decay, its benefits clearly outweigh its risks for tooth decay.

And, buprenorphine is not the only medication that causes dry mouth. Hundreds of medications can cause dry mouth, including a broad group of medications called anticholinergics. Anticholinergic medications treat a wide range of medical conditions, including irritable bowel syndrome, asthma, and nausea. These include hyoscyamine (Levsin) and scopolamine (Transderm Scop).

Below is a list of specific medication groups that can cause tooth decay due to dry mouth over time: 

Antihistamines (e.g., Benadryl)

Decongestants (e.g., pseudoephedrine)

Opioid pain medications, like hydrocodone/acetaminophen (Norco)

High blood pressure medications (e.g., propranolol)

Antidepressants (e.g., selective serotonin reuptake inhibitors like fluoxetine)

Muscle relaxants (e.g., cyclobenzaprine)

Parkinson’s disease medications (e.g., benztropine)

Some medications are sweetened with sugar, which can also cause tooth decay. People who take these medications for a long time are at the greatest risk. Examples include:

Children’s syrup-based medications (e.g., Children’s Tylenol)

Chewable antacid tablets (e.g., Tums)

Some antifungal medications (e.g., nystatin liquid suspension)

Which medications cause other oral health side effects?

Medications can cause oral side effects other than tooth decay. For example, some medications can stain your teeth and cause tooth discoloration. These include: 

Tetracycline antibiotics

Ciprofloxacin (Cipro) 

Inhaled corticosteroids (e.g., Pulmicort)

Chlorhexidine (Peridex)

Gingival enlargement (overgrowth of gum tissue) is also a side effect of some medications. It can lead to difficulty eating, swelling, and inflammation. Some medications that may cause gingival enlargement include phenytoin (Dilantin), cyclosporine (Sandimmune), and amlodipine (Norvasc).

Other medications can cause bleeding, which raises the risk of bleeding from the gums. These include medications that lower your blood’s ability to form clots. This includes anticoagulants like warfarin (Coumadin) or rivaroxaban (Xarelto) and NSAIDs, like aspirin.

Some medications can also cause a rare side effect called osteonecrosis of the jaw (ONJ). This occurs when part of the jaw bone breaks down. Oral bisphosphonates (commonly prescribed for osteoporosis) and cancer treatments like chemotherapy can cause ONJ. Though bisphosphonates and chemotherapy are widely used, ONJ is not common — it affects fewer than 1 in 10,000 people.

How can I take care of my mouth if I have to take these medications?

There are general steps you can take to prevent tooth decay and maintain good oral health. This includes using a fluoride toothpaste, fluoride mouth rinse, or drinking tap water with fluoride in it. If you take medications that put you at higher risk for tooth decay, you might need more fluoride. Make sure your dentist knows what medications you take.

Other general steps to maintain good oral health: 

Have regular appointments with your dentist

Brush your teeth twice a day and floss regularly

Eat a balanced diet that is low in foods with excess sugars and starches

Quit tobacco products if you smoke or use smokeless tobacco

If you take medications known to cause tooth decay, talk to your healthcare provider if you notice signs of damage. Your provider may be able to prescribe another medication that doesn’t cause these side effects.

But, stopping your medication may not be an option, so there are some steps you can take to prevent tooth decay. If your medication causes dry mouth, drink water often. And avoid drinking acidic fruit juices. Your healthcare provider may recommend an artificial saliva product to keep your mouth from becoming dry.

The bottom line

Tooth decay and cavities can happen for multiple reasons. Unfortunately, some medications can cause tooth decay by causing a dry mouth or creating an acidic environment in the mouth. 

Practicing good dental hygiene such as brushing, flossing, and getting regular dental care is important. Always let your dentist know what medications you take so they can be aware if you are more likely to experience tooth decay. If you think you are having symptoms of tooth decay, contact your healthcare provider immediately. 

(01/17/2023)
by Good Rx Health

More Information: https://www.goodrx.com/conditions/dental-care/medications-that-cause-tooth-decay


Views: 546
Share
Share

Steps to Prevent Dental Caries

Cavities occur when plaque sticks to a tooth and produces an acid that eats through the enamel and creates a hole or cavity, according to the American Dental Association (ADA). The cavity could get larger and eventually affect the tooth root if it’s not repaired with a filling. Cavities are typically caused by eating carbohydrates and poor oral hygiene habits, and they require a trip to the dentist. It is easy to learn how to prevent cavities. Take some precautions, and follow a few simple steps.

Watch What You Eat

If you have a sweet tooth, you’re more likely to get cavities because frequent snacking throughout the day on sugary and starchy foods leaves cavity-causing acids on the teeth. Snacking also increases the amount of time the acids are on your teeth, which increases your chances of cavities. To minimize your cavity risk, cut back on sugary drinks, such as sodas, energy drinks and juices. Drink plenty of plain water instead. Skip the sweets, snacks and candies. Opt for fresh fruits and veggies as healthier alternatives. Eliminating sugary snacks in your diet will improve your oral health, and it will also improve your overall health.

Keep Those Dental Appointments

As many as 23.7 percent of American adults between the ages of 20 and 64 have untreated cavities, according to data from the Centers for Disease Control and Prevention (CDC). If it’s been a while since your last dental appointment, it’s time to schedule a visit. Going to the dentist is one of the best ways to prevent cavities. At your visit, your dentist will take X-rays and examine your entire mouth. He will check for cavities and gum disease to determine whether you need additional treatment.

There are some cavity-fighting treatments available at your dentist’s office. They include cleanings and dental sealants. Dental cleanings keep your teeth in pristine condition by removing plaque and tartar buildup. The dental hygienist can also polish your teeth so they’ll appear whiter.

According to the ADA, dental sealants are a protective plastic coating placed in the deep grooves on the chewing surface of the back permanent teeth. These sealants can prevent cavity-causing bacteria from affecting your teeth, and the sealants typically last for several years.

At your visit, your dentist will also give you advice on how to prevent cavities by taking charge of your oral hygiene at home.

Fight Cavities on the Home Front

Cavity prevention starts at home. If you floss regularly, brush twice daily with a fluoride toothpaste and rinse with mouthwash, you can prevent tooth decay. A prescription fluoride rinse, can reduce cavities by 55 percent when it is used as a supplement to your oral care routine.

(01/16/2023)
by Mulberry Dental Clinic

More Information: https://www.mulberrydental.ca/steps-to-prevent-dental-caries/


Views: 459
Share
Share

Dental Plaque Germs: What You Need to Know

You may have heard of plaque and understand that it's bad for your dental health, but what exactly is it? What conditions are caused by plaque? We're here to cover everything you need to know about plaque buildup and empower you to prevent it from progressing into other dental problems.

What Is Dental Plaque?

Plaque is the sticky material that continually forms on your teeth, especially after snacks, meals, and drinks. This thin film contains bacteria (that some call dental germs) that can cause dental problems by releasing acid.

Bacteria feed on the sugars and starches in your diet and help break down carbohydrates with the acid it releases. Along with the acid and carbohydrates, these bacteria combine to make what we call plaque (also known as biofilm).

Risk factors for plaque buildup and related problems include:

Improper dental hygiene

Diet high in sugary or starchy foods or drinks

Medical history of radiation therapy

Smoking and the use of tobacco products

Dry mouth

Plaque Gets Tougher to Beat

It's essential to prevent the dental and health problems associated with plaque buildup by removing it regularly. This is best accomplished through a dental routine that includes brushing and cleaning between your teeth.

It’s crucial to stay on top of plaque buildup because if it’s not removed, plaque will harden into tartar. Tartar contributes to gum disease and requires the help of a dental professional to remove it properly.

What role does plaque (containing bacteria or dental germs) have in teeth removal? Untreated plaque buildup contributes to serious health conditions, some of which may require removing your teeth.

If plaque is not adequately and regularly removed, it can lead to:

Cavities

Bad breath

Tartar buildup

Weakened enamel

Tooth infection, decay, or loss

Gum disease (gingivitis and periodontitis)

Pain or bleeding when brushing or flossing

Gum Disease

Gum disease (also known as periodontal disease) may go undetected as it’s typically painless. Despite this, it can cause serious dental and health problems and should be taken seriously as it will get harder to treat as it progresses.

Gum disease has two main stages:

Gingivitis: In the early stage, this form of the disease can cause your gums to become inflamed, red, or swollen. You may also experience bleeding or pain when brushing or flossing. These symptoms are typically reversible through proper dental care and diet.

Periodontitis: This advanced form of gum disease can cause tissue and bone loss, and you may experience it even if you’re otherwise healthy. At this level of progression, your teeth may loosen, and the pain or discomfort may progress.

Because it can be challenging to recognize or diagnose gum disease on your own, it’s a great idea to schedule regular visits to your dental professional.

Treatment and Prevention

When it comes to plaque, treatment and prevention overlap greatly. The best method to prevent conditions like gum disease and tooth decay from developing or worsening is proper dental hygiene. This includes healthy habits, a balanced diet, and regular visits to your dental professional.

Tartar, gum disease, cavities, infection, and tooth loss will require your dental professional's help to treat. To avoid this, it’s vital to consume a healthy diet and practice a dental routine that thoroughly removes plaque before it causes problems in the first place.

Steps to prevent plaque buildup and associated problems include:

Gently clean your teeth for two minutes twice daily using a soft-bristled brush

Clean between your teeth once a day using a flossing device or interdental brush

Use toothpaste, mouth wash, or water that contains fluoride

Avoid sugary and starchy items in favor of a balanced diet

Limit snacking between meals

Chew sugar-free gum or consume dairy products to promote saliva production that helps protect your mouth

Medications to increase saliva production may be helpful if you suffer from dry mouth

Use antibacterial mouthrinse after meals or brushing to help prevent gum disease

Schedule regular visits with your dental professional.

 

(01/13/2023)
by Colgate

More Information: https://www.colgate.com/en-us/oral-health/plaque-and-tartar/dental-plaque-germs-what-you-need-to-know


Views: 438
Share
Share

Four Best Home Remedies for Tooth Pain and When To See a Dentist

Can I treat my toothache at home?

Tooth pain can be all-consuming, making it hard to concentrate on or enjoy anything else. And a toothache doesn’t only impact your teeth or the inside of your mouth. If active infection is present, you may experience pain and swelling around the tooth in question. You may also have a fever, headache, or experience bitter-tasting drainage and a foul odor from the infected tooth.

Whether your tooth pain is dull, sharp, sporadic, or constant, you likely just want it to go away, and you want it to go away fast. But how do you know when you can use home remedies for tooth pain and when you need to see your dentist?

4 Home Remedies for Tooth Pain

Most toothaches are felt in the tissue around your tooth, not inside the tooth itself. Gum pain can point to a mouth sore, an abrasion, something stuck between your teeth, or an infection. If you are experiencing pain and are waiting to get in to see a dentist, stick to soft foods like yogurt and eggs and avoid anything exceptionally hot or cold. Soft, mild-temperature foods paired with a home remedy can help to relieve or stop a toothache, depending on its source.

1. Warm Saltwater Rinse

You probably know that gargling with warm salt water can help with a sore throat. But warm salt water can help your toothache too. Salt water can help gently rinse away food particles that are stuck between your teeth. And rinsing with salt water also serves as a disinfectant and helps reduce inflammation. Mix 1 teaspoon of salt with an 8-ounce glass of warm water and rinse as needed. Do not swallow the mixture.

2. Cold Compress

Cold can help soothe a toothache. You can make your own cold compress by wrapping a thin, soft towel around an ice-filled plastic bag. Or you can opt for a ready-made cold compress. Apply to the painful area for 20 minutes and repeat every few hours as needed.

3. Hydrogen Peroxide Rinse

Similar to a saltwater rinse, hydrogen peroxide can help relieve tooth pain temporarily. Use a 3% solution to help reduce pain and inflammation, diluting the hydrogen peroxide with at least an equal amount of water before rinsing. Do not swallow.

4. Over-the-Counter Pain Relievers

The most effective over-the-counter (OTC) pain relief medication recommended by dentists is ibuprofen. Motrin and Advil are both popular choices and can be purchased in tablets, softgels, and oral suspension formulas. As with any OTC medication, be sure to follow the directions given by the manufacturer and your dentist.

Types of Tooth Pain and When To See Your Dentist

Now that you have learned 4 home remedies you can try, here are four common types of toothaches and how to determine if they warrant a dental visit.

1. Dull, Persistent Ache

This is most often caused by something that has become lodged between your teeth and gums. In rarer cases, it can be caused by an abscessed tooth or habitual teeth grinding. Most of the time, a gentle flossing and tooth brushing combined with one of our aforementioned home remedies for tooth pain will dislodge any food and you should feel the ache disappear. However, if the ache persists, it is always wise to go ahead and see your dentist before symptoms progress.

2. Temperature Sensitivity

Sensitivity to hot and cold isn’t uncommon, but that doesn’t mean it isn’t serious. If the pain goes away quickly, you may simply have worn enamel or mild gum recession. Try a sensitive toothpaste and limit your exposure to hot or cold foods or beverages for a few weeks (providing your symptoms do not worsen) to see if the discomfort goes away. If the pain lasts for 30 seconds or more, the temperature sensitivity may be due to tooth decay, dental fractures, worn fillings, exposed roots, or gum disease. In these cases, you should contact your dentist and schedule an evaluation.

3. Sharp Pain

If you are experiencing tooth pain that is sharp or jabbing, it is also time to schedule a visit to your dentist’s office. Home remedies for tooth pain will rarely work in these situations as this type of toothache is usually caused by a loose filling or crown that has fallen off. If this doesn’t apply to you, it is possible that your sharp tooth pain results from a fracture, wear, or tooth decay.

4. Throbbing Pain

This type of pain may be caused by loosened, knocked-out, broken, or cracked teeth. It can also be an indication of a jaw fracture. You may also be experiencing discolored, bleeding gum tissue or a strange taste in your mouth. All of these reasons warrant that you seek emergency dental care. If you believe you are experiencing a dental emergency, do not hesitate to call our Griffin or Hampton locations. Our team is ready to assist you as quickly as possible.

(01/13/2023)
by Allred Family Dentistry

More Information: N


Views: 481
Share
Share

Why Are My Teeth Sensitive To Cold/Hot Foods

What Causes Hot/Cold Sensitivity in My Teeth?

There are many different causes but generally temperature sensitivity is caused by issues with enamel. Enamel is the outside of layer of teeth that protects them from tooth decay caused by bacteria leftover by food. Underneath the layer of enamel are tiny microscopic tubes. If these tubes are exposed you can feel a sharp pain after ingesting something hot or cold. Even cold air could cause pain in your teeth.

How To Prevent Tooth Sensitivity

To prevent tooth sensitivity from occurring you should consider how to keep your enamel intact. Enamel is often eroded because of a lack of brushing and flossing. Additionally if your gums recede over time due to poor dental health the newly exposed areas of the tooth may have weakened enamel. Enamel does not regenerate so taking care of it is important. Aside from brushing twice and flossing once daily, you should be going to the dentist every six months. Your dentist can help correct dental problems as they arise as well as provide dental sealants that can protect your molars and your enamel.

What Can I Do About Temperature Sensitivity?

There are a variety of things you can do if you experience dental sensitivity. First, you should consider speaking to your dentist about the problem and getting specific recommendations from them. Because dental sensitivity is linked to enamel loss, it could be a warning sign of tooth decay or gum disease. Many dentists recommend the following advice for patients dealing with temperature sensitivity.

Change Your Toothpaste: Another cause of sensitivity is the brand of toothpaste you are using. Many toothpastes that are designed to whiten teeth and remove stains can also increase sensitivity. There are toothpastes designed for individuals with sensitive teeth. If you have sensitive teeth consider using this toothpaste to see if it helps. Generally it takes over a month of active daily use before you will start to notice the effects of the toothpaste.

Brush Properly: Aside from tooth decay, another harmful factor to your teeth is how you brush. While it is important to brush daily and brush often, it is also important to do it correctly. Brushing with too much force or with hard-bristled tooth brushes that don’t have give can lead to damaging your enamel.

Avoid Acidic Foods: You should also moderate how much acidic and sugary foods you eat. Even healthy organic foods such as tomatoes, oranges, and lemons can be unhealthy for your teeth. Lots of tomato sauce or orange juice can cause damage to your teeth over time, so make sure to limit your interaction with highly acidic foods.

(01/14/2023)
by All Sytar Dental

More Information: https://allstardentalclinic.com/why-are-my-teeth-sensitive-to-cold-hot-foods/


Views: 616
Share
Share

The Unexpected Link Between Obesity And Gum Disease

Periodontal disease, or gum disease, is a common cause of bad breath, loose teeth, and painful chewing. If left untreated, it can lead to gum recession or even tooth loss, warns the Centers for Disease Control and Prevention (CDC).

In this case, we're talking about periodontitis, a more severe form of the disease that affects nearly half of U.S. adults over 30. Gingivitis, a milder form of periodontal disease, may cause swelling or bleeding gums, but it can be reversed through proper oral care, notes the Mayo Clinic.

Both forms of gum disease are due to inflammation, says the CDC. Over time, oral bacteria may infect the gums and cause plaque buildup. Untreated plaque can harden in as little as 48 hours, forming a tough substance called tartar, explains Humana. In the long run, dental plaque and tartar may cause gum inflammation, or gingivitis, a disease that can progress to periodontitis.

Stress, cigarette smoking, ill-fitting bridges, and damaged fillings only make things worse. The same goes for certain conditions and medications. For example, people with uncontrolled diabetes are more likely to develop gum disease than healthy individuals, according to Cedars-Sinai. Obesity seems to play a role, too, but there are ways to reduce its impact on your teeth and gums. 

Obesity, a risk factor for gum disease

Obesity is commonly associated with heart disease, diabetes, digestive disorders, and liver problems, reports a 2020 review published in the journal Therapeutic Advances in Endocrinology and Metabolism. As the scientists note, excessive adipose tissue promotes inflammation, affecting the heart, kidneys, liver, and other vital organs.

A recent study presented in the Journal of Dental Research suggests that obesity-induced inflammation may also contribute to periodontal disease. 

Researchers found that mice fed a high-fat diet experienced more inflammation due to weight gain compared to those on a low-fat diet. The number of myeloid-derived suppressor cells (MDSCs) in their bodies increased, too. These cells regulate immune function and can expand in response to cancer, infection, or inflammation, explains a research paper featured in Nature Reviews Immunology.

Some of them can become osteoclasts, a type of cell that may affect bone density and volume. Therefore, they have the potential to worsen gum disease and destroy the bones that support our teeth, notes the Journal of Dental Research.

Several other studies confirm the link between obesity and gum disease, according to clinical research published in Medicina Oral, Patologia Oral y Cirugia Bucal. This association may be due to chronic inflammation, insulin resistance, oxidative stress, and other complications of obesity. What's more, excess body weight can lead to diabetes, a risk factor for periodontal disease.

On the positive side, it's possible to avoid or reverse these complications by losing the extra pounds and taking better care of your teeth and gums. 

(01/16/2023)
by Health Digest

More Information: https://www.healthdigest.com/1066419/the-unexpected-link-between-obesity-and-gum-disease/


Views: 454
Share
Share

Three Effective Methods to Remove Biofilm

Biofilm is the dental technical term for the white, sticky layer of plaque on your teeth. Removing biofilm from your teeth and gumline is critical for your oral health. Read on to learn three ways to remove biofilm.

What is Biofilm?

Biofilm is a layer of bacteria that can accumulate inside or on your body. The sticky white plaque that forms on your teeth and around your gums is a type of dental biofilm. Plaque needs to be removed because it can harden to tartar, also known as dental calculus, which can't be removed at home. Left untreated, biofilm can inflame your gums leading to gingivitis and gum disease.

1. Brushing

Dental professionals recommend brushing your teeth with a soft-bristle toothbrush for at least two minutes, twice to three times a day, to remove plaque. Most people don't brush their teeth for that long, so biofilm can hide on your teeth and gumline. Brushing after meals and setting a timer for two minutes can help ensure you're brushing your teeth enough.

When you're brushing, use short back-and-forth strokes or little circles to clean the outside surfaces, inside surfaces, and chewing surfaces of all of your teeth. Remember to brush around your gumline and your back teeth. These places are often skipped, so be diligent.

2. Flossing

Brushing alone won't remove all of the plaque since it can build up between your teeth or underneath your gumline, and it's tough to reach these areas with a toothbrush. To remove biofilm from these hard-to-reach areas, dentists recommend cleaning between your teeth once per day with floss, flossers, interdental brushes, water flossers, or other interdental cleaners.

Some people have difficulty using floss, but everyone needs to clean between their teeth. If you have limited mobility, large spaces between your teeth, or if you wear braces, ask your dental professional about alternative flossing methods or for a demonstration to ensure you're doing it correctly.

3. Professional Cleanings

Professional cleanings are an important part of plaque removal. Even if you brush and floss regularly, you may not fully remove the bacteria. When it remains on your teeth, you could suffer from oral health problems like gum disease. As a general rule, you should have a professional cleaning every six months. However, your dentist may prescribe more frequent visits depending on your oral health.

Your dental professional will carefully remove plaque and tartar from above and below your gumline with special instruments during a professional cleaning. They may also floss between your teeth to get rid of any hidden plaque.

Biofilm can cause oral health problems, so it needs to be removed promptly. A good oral hygiene routine that includes brushing, interdental cleaning and regular visits to your dental professionals for professional cleanings will help you effectively remove plaque and keep your mouth healthy.

(01/17/2023)
by Colgate

More Information: https://www.colgate.com/en-us/oral-health/plaque-and-tartar/biofilm-removal-three-effective-methods#


Views: 473
Share
Share

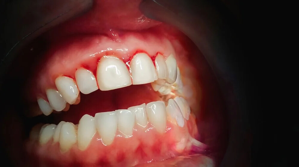
Taking Care of Swollen and Bleeding Gums

Have you ever brushed or flossed a little vigorously only to see your gums bleed? Healthy gums usually recover quickly from mild trauma. If your gums remain swollen and bleeding for several days or longer, you may have underlying problems that need addressing.

Possible Causes of Bleeding Gums

Healthy gums are generally pink and firm to the touch. However, if your gums appear red, swollen or puffy, these could be signs of gum disease. The first stage of gum disease is gingivitis, the most common cause of gum issues in adults. A 2012 Australian Government Department of Health report on Dental Health states that moderate or severe periodontitis (gum disease) is present in 22.9% of the Australian population.

Gum disease is not the only cause of swollen or bleeding gums, however. Other causes include:

Bleeding disorders

Pregnancy and hormonal changes in women

Wearing dentures that don’t fit properly

Brushing too hard

Incorrect flossing

Chemotherapy

Blood thinner medication

Preventive Measures

Gum problems can affect anyone, but it’s good to know that proper oral hygiene helps prevent swollen, and bleeding gums. To maintain good oral hygiene, make sure you brush for a good two minutes at least twice a day, and floss at least once a day.

To brush your teeth correctly, use short, gentle strokes and pay extra attention to the gumline, your back teeth and any fillings, crowns or restorations you have; and consider using a soft-bristled toothbrush.

Start a flossing routine once an evening before you go to bed. Proper flossing between the teeth, curving the floss around the tooth in a “C” shape and gently moving it up and down as well as under the gumline is essential. Make sure you use a new section of floss for each tooth, so you’re not transferring plaque from tooth to tooth. As flossing helps to remove plaque bacteria and food debris, it’s a vital preventative step in avoiding gum disease.

Treatment

The best treatment for gingivitis is a professional dental scale and clean to remove tartar and plaque. If you have swollen or bleeding gums, book an appointment with your dental health professional as soon as possible. Only your dental health professional can assess your teeth and gums and offer the correct advice and possible treatment.

(01/18/2023)
by Colgate

More Information: https://www.colgate.com.au/oral-health/adult-oral-care/taking-care-of-swollen-bleeding-gums


Views: 503
Share
Share

Brush Together And Improve Your Oral Health Together

Brush together & stay together

During these turbulent times, there is a romantic way to keep your teeth healthy. We looked at something we should all be doing twice a day for two minutes with a fluoride toothpaste… brushing your teeth!

Sabka Dentist wanted to check how many people share this very personal routine with their spouse or better half. We did a small survey and below given is what we found:

Do you brush your teeth at the same time as your partner?

Only 3% couples brush their teeth alongside a partner on a “most of the time” basis. While, 88% of all couples never do. Now, it might not be the typical scene that comes to mind when you think of a couple in love but brushing your teeth with your partner does come with its benefits.

There are some people who say: “When you brush your teeth next to the same person every single day for 30 years you discover love.” Sabka Dentist also says the same thing. Here are our five reasons why you might want to start brushing your teeth as a couple.

Eye contact and “the spark” -Tooth brushing is usually a fairly simple and quiet activity. But there’s more to great communication than words. For two minutes twice a day, use this as a chance to gaze into your partner’s eyes. It’s amazing how prolonged eye contact can help strengthen your connection.

It helps make brushing fun -Let’s be honest, trying to speak with a mouth full of toothpaste is almost impossible to do without making a fool of yourself which is often followed by a good laugh. Also, it can often lead to some cute moments and fun to spice up your romance.

You can make sure you both are brushing correctly -This one is important. By brushing together, you can make sure you’re both brushing with correct technique and not in a way that actually harms your teeth (such as scrubbing with an electric toothbrush). If you’re not sure what correct brushing technique is here’s a reminder:

While using a manual toothbrush, make small, round movements over all surfaces of the teeth. The bristles of the toothbrush must point towards the gums. Always ensure that you brush all the different sides of your teeth and top surfaces of your teeth diligently.

If you are using an electric or ‘power’ brush the important thing is to make sure you don’t apply pressure and let the brush do the work. A brush is already doing a lot of the cleaning and scrubbing action therefore if you press down or move the toothbrush too vigorously you can cause tooth wear or attrition, particularly around their necks where softer dentine is often exposed. To avoid this, just hold the toothbrush in place over your teeth and move from tooth to tooth making sure you brush each quadrant of your mouth for 30 seconds each

It helps make it routine -By brushing together, it helps cement it as a good routine and add that extra layer of accountability so that you don’t end up forgetting to brush or that try and cut corners and brush for less than 2 minutes. It also may help encourage other good oral health routine habits such as interdental brushing or flossing.

Finalize it with a kiss -You know the feeling of getting into a bed with freshly laid clean bedsheets? Well kissing with a freshly clean mouth is your mouth’s equivalent. It feels extra nice, is a lovely way to end your night, and is a fitting reward for keeping your oral health in tip-top shape!

Above all, whether or not you brush with or without your partner, the important thing to remember is that oral health really does matter and it’s important to look after your teeth and mouth.

A good oral health routine not only keeps your breath fresh and your smile free of tooth decay, it also helps stave off heart disease, diabetes and also strokes. It all means a happier healthier and longer life spent together.

(01/18/2023)
by Sabka Dentist

More Information: N


Views: 477
Share