Dentists Journal

Top Ten Stories of the Week
3/25/2023

All Dentists Journal · Previous Week · This Week · All Time List · Headlines

Share

Why do doctors look in your mouth?

There's a reason why doctors ask us to open up and say “ahh” if we are unwell: What's happening in your mouth can provide a glimpse into your overall health. In particular, the shape, colour, coating and texture of your tongue can indicate nutritional imbalances and sometimes more serious health issues.

When a doctor looks in your mouth what are they looking for?

During an oral cancer screening exam, your dentist looks over the inside of your mouth to check for red or white patches or mouth sores. Using gloved hands, your dentist also feels the tissues in your mouth to check for lumps or other abnormalities. The dentist may also examine your throat and neck for lumps.

Why do doctors check your tongue?

Whether you're suffering from digestive symptoms, stress or challenges with fertility, features on your tongue can offer clues to help identify the root cause of conditions throughout your body.

 

What the inside of your mouth says about your health?

Your mouth can tell you a lot about the health of your body. The mouth shows signs of tooth decay, gum disease and other oral health problems. It can also show signs of other disease, if you're missing certain foods from your diet and unhealthy habits such as using tobacco and tobacco-like products, and alcohol.

Why does the doctor look in my throat?

Doctors do a laryngoscopy (lair-en-GOS-kuh-pee) to: look into what is causing a long-lasting cough, throat pain, ear pain, hoarseness or other voice problems, swallowing problems, or constant bad breath. check for inflammation (swelling and irritation) look for a possible narrowing or blockage of the throat.

What does a Tumour look like in the throat?

A primary tumor of the throat can appear as a nodular mass on the floor of the mouth, tongue, tonsil, or wall of the throat. The mass will tend to be irregular, fixed, and relatively painless, but can interfere with swallowing and make you feel like you have something caught in your throat.

Why do doctors ask you to swallow?

A bedside swallow exam is a test to see if you might have dysphagia, which causes trouble swallowing. Dysphagia sometimes leads to serious problems. When you swallow, food passes through your mouth and into a part of your throat called the pharynx. From there, it travels through a long tube called the esophagus.

What are three signs of poor oral health?

Signs of Poor Oral Hygiene

Tooth Pain. If you notice pain in your tooth, do not ignore it. ...

Bleeding or Swollen Gums. Bleeding, swelling or alterations in gum color are signs that something is wrong with your oral hygiene. ...

Alterations to the Tongue. ...

Growths Within the Mouth. ...

Deteriorating Gums.

When should I worry about my mouth?

Oral Health: Warning Signs You Should Never Ignore

Mouth and Jaw Pain.

Bleeding and Sore Gums.

Loose or Lost Teeth.

Changes in Tooth Surfaces and Enamel.

Bad Breath (Halitosis)

Mouth Sores, Patches, or Lumps.

What could poor oral health indicate?

Poor oral health is associated with other chronic diseases such as diabetes and heart disease. Oral disease also is associated with risk behaviors such as using tobacco and consuming sugary foods and beverages.

What could poor oral health indicate?

Poor oral health is associated with other chronic diseases such as diabetes and heart disease. Oral disease also is associated with risk behaviors such as using tobacco and consuming sugary foods and beverages.

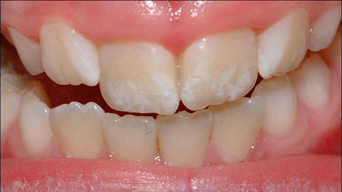
Can you tell illness from tongue?

A red tongue may indicate heat in the body like a fever or a hormonal imbalance. A reddish purple tongue is a sign that there may be inflammation or an infection in the body. A pale pink tongue may be a sign of a vitamin deficiency, a weak immune system or a lack of energy.

What can be detected by the tongue?

Bitter, sweet, sour, salty, and savory tastes can be sensed by the tongue through their related taste receptors.

What signs might you see if a person has oral health issues?

WHAT YOUR ORAL HEALTH CAN TELL YOU ABOUT YOUR BODY

Sensitivity to temperature. Sensitivity or pain when you drink hot tea or eat ice cream is one of the most common oral health red flags, says dentist Dr Simone Belobrov. ...

Bad breath. ...

Loose teeth. ...

Bleeding gums. ...

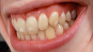
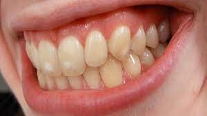
White patches. ...

Dry mouth. ...

Gum disease.

What are doctors looking for when they ask you to stick out your tongue?

Your provider will have you stick out your tongue so it can be checked for swelling or abnormal color or texture. They will be watching to see if as you extend it, it deviates to one side or the other, a possible sign that something is affecting the nerves which control its movement.

How is a mouth infection diagnosed?

Mouth infection symptoms

Bad breath.

Bitter taste.

Persistent pain.

Sensitive or loose teeth.

Swollen and inflamed gums, neck glands or jaw.

Receding gums or new spaces between your teeth.

Headache.

Fever.

What can anxiety do to your mouth?

The effects of anxiety on oral health

Canker sores.

Dry mouth.

Lichen planus (lacy white lines, red areas or mouth ulcers on the cheek, gums or tongue)

Burning mouth syndrome.

Temporomandibular joint disorders (also commonly known as TMJ or TMD)

Bruxism (grinding or clenching of teeth).

What are four common oral problems?

Most cases are dental caries (tooth decay), periodontal diseases, tooth loss and oral cancers.

What are the common mouth problems?

Some common mouth problems include: Cold sores - painful sores on the lips and around the mouth, caused by a virus. Canker sores - painful sores in the mouth, caused by bacteria or viruses. Thrush - a yeast infection that causes white patches in your mouth.

What do oral cancers look like?

Oral cancer can present itself in many different ways, which could include: a lip or mouth sore that doesn't heal, a white or reddish patch on the inside of your mouth, loose teeth, a growth or lump inside your mouth, mouth pain, ear pain, and difficulty or pain while swallowing, opening your mouth or chewing.

What are the signs that you have a cancerous lymph node?

Symptoms

Painless swelling of lymph nodes in your neck, armpits or groin.

Persistent fatigue.

Fever.

Night sweats.

Shortness of breath.

Unexplained weight loss.

Itchy skin.

(03/18/2023)
by Calendar Canada

More Information: https://www.calendar-canada.ca/faq/why-do-doctors-look-in-your-mouth


Views: 442
Share
Share

Four Possible Causes of Roof of Mouth Pain

Why is the Roof of my Mouth Sore?

If the roof of your mouth (palate) is sore, it can make eating and drinking uncomfortable and difficult. You may also have problems speaking normally.

Several things can cause a sore palate, including very hot coffee, infections, allergies, and injuries. In most cases, it's not a serious condition and typically goes away by itself. However, if the pain is severe or lasts more than a few days, contact a medical professional.

Symptoms

The symptoms of a sore palate vary depending on the cause. You might experience:

Pain

Burning or tingling sensation

Difficulty eating or drinking

Bad breath

Swelling

Redness

Visible sores

 

4 Possible Causes of Roof of Mouth Pain

Here are four potential causes of palate pain:

1. Burns

The roof of your mouth is a delicate and sensitive area that can burn easily. Eating or drinking something too hot can cause a burn.

Burn pain is usually immediate and can be severe. It typically goes away within 3 to 7 days without treatment and commonly heals by itself.1

Other Symptoms 

Pain

Blisters

Redness

Swelling

Peeling skin

Dry mouth

Treatment

Cool or frozen foods and drinks such as ice pops, ice cream, and yogurts may ease discomfort from a mouth burn. It’s wise to avoid crunchy, hot, or spicy foods until the burn heals.

Your dentist can also recommend mouth rinses that promote healing.               

2. Canker Sores (Aphthous Ulcers)

Canker sores are small, painful ulcers that can develop on the hard palate or anywhere on the soft tissues in the mouth. They’re usually white or yellow with a red border and can make eating and drinking uncomfortable. 

The lesions may resemble cold sores but don’t occur on the surface of lips and are not contagious.

Doctors are unsure why some people experience canker sores. It may be a combination of factors, including a vitamin B-12 deficiency, stress, hormonal shifts, infections, or minor injuries. Doctors also link them to immune system conditions.

Canker sores are rarely serious. However, more severe symptoms can still arise in some cases.2

Types 

There are three different types of canker sores:

Minor — most common type; usually small and oval-shaped with a red border. These may take 1 to 2 weeks to heal without scarring. 

Major — less common type; usually round with irregular, well-defined borders. These are extremely painful and may take up to 6 weeks to heal. They can also leave extensive scarring. 

Herpetiform — uncommon type; develop later in life but are not caused by the herpes virus infection. They are usually pinpoint in size and can occur in clusters of 10 to 100. However, they can merge into one large ulcer and may take 1 to 2 weeks to heal without scarring.  

Triggers

Some common causes of canker sores include:

A minor injury to the mouth from dental work or oral trauma

Toothpastes and mouth rinses containing sodium lauryl sulfate (SLS)

Food sensitivities, including chocolate, coffee, strawberries, eggs, nuts, cheese, and spicy or acidic foods

A diet lacking in vitamin B-12, zinc, folate (folic acid), and/or iron

An allergic response to specific bacteria in your mouth

Helicobacter pylori, the same bacteria that causes peptic ulcers

Hormonal shifts during menstruation and pregnancy

Mental stress

Canker sores may also occur because of certain conditions and diseases, such as:

Celiac disease — a serious intestinal disorder caused by a sensitivity to gluten

Inflammatory bowel diseases — such as Crohn's disease and ulcerative colitis

Behcet's disease — a rare disorder that causes inflammation throughout the body

A compromised immune system — attacks healthy cells instead of pathogens

HIV/AIDS — which suppresses the immune system

Other Symptoms 

Shallow, round, or oval sores

Burning or tingling sensation

Fever

Swollen lymph nodes3

Treatment

Treatment may include:

Topical anesthetics to ease pain

Mouth rinses

Corticosteroid ointments

Antibiotics for recurrent canker sores

A doctor may recommend dietary changes or specific vitamins or supplements if nutritional deficiencies cause a canker sore.

3. Cold Sores (Fever Blisters)

The herpes simplex virus causes cold sores. If the roof of your mouth hurts and you can see blister patches, they could be cold sores. These mouth sores usually appear on the lips but can also develop on the hard palate.

Most people contract the virus as children, but the sores don’t always appear immediately. Instead, the virus can lie dormant for years until a trigger such as stress, illness, or a weakened immune system causes an outbreak.4

Triggers

Some common causes of fever blisters include:

Viral infection or fever

Hormonal changes, such as those related to menstruation

Stress

Fatigue

Exposure to sunlight and wind

Immune system changes

Skin injury

Certain conditions and diseases can also trigger cold sores, such as:

HIV/AIDS

Atopic dermatitis (eczema)

Cancer chemotherapy

Anti-rejection drugs for organ transplants

Signs and Symptoms

A cold sore usually passes through 3 stages:

Tingling, itching, and burning for a day or so before a small, hard, painful spot appears.

Small fluid-filled blisters typically erupt along the vermillion border of the lips. These blisters can also appear around the nose, cheeks or inside of the mouth.

The small blisters may merge and then burst, leaving a shallow, open sore.

Other Symptoms 

Ulcers in and around the mouth

Swollen lymph nodes

Soreness

Flu-like symptoms

Treatment

It’s impossible to cure the herpes simplex virus that causes mouth sores. Once someone has the virus, it stays in their body forever.

The cold sore blisters usually heal on their own within 14 days. During healing, drinking cool drinks and eating frozen foods like ice cream may ease discomfort.4

If you develop cold sores more than 9 times a year or are at high risk of serious complications, your doctor may prescribe an antiviral medication for you to take regularly. 

4. Oral Cancer

Although the causes of a sore palate are typically harmless, some, such as oral cancer, are more serious. Mouth cancer causes cells to divide without stopping and spread into surrounding tissues. It can develop on the tongue, gums, palate, or anywhere else in the mouth.

Identifying mouth cancer early is the key to successful treatment. Therefore, if your palate is still sore after 10 days, see your doctor or dentist for an evaluation.5

Symptoms

A sore that doesn’t heal

Pain that doesn’t go away

A lump or thickened tissue

White or red patches

Numbness

Swelling

Treatment

Treatment for oral cancer may depend on your overall health and the location and stage of cancer. Options include:

Surgery 

Radiation 

Chemotherapy 

Targeted therapy

Immunotherapy 

Palliative treatment

How Long Will the Roof of my Mouth Hurt?

Most causes of a sore palate are not serious and resolve within about 10 days. However, if the roof of your mouth still hurts after this time, make an appointment with your doctor.7

They can perform a physical assessment and take a medical history to help diagnose your condition. Then, they can recommend treatment or refer you to an ear, nose, and throat (ENT) specialist for further evaluation.

 

How to Relieve Soreness

If the roof of your mouth is sore, you can do several things to ease discomfort:

Rinse your mouth with warm salt water 

Suck on ice cubes or ice pops

Take an over-the-counter (OTC) pain medication such as ibuprofen or acetaminophen 

Apply a topical numbing agent like Orajel 

Avoid hot or spicy foods 

Eat soft foods such as ice cream, apple sauce, or mashed potatoes 

Avoid alcohol and tobacco products 

Applying coconut oil may also help. Research shows that this natural oil has antimicrobial abilities. As a result, it may prevent a bacterial infection. It also has anti-inflammatory properties that may reduce redness and pain.8

Your dentist or doctor may also prescribe:

Medicated mouthwashes

Antibiotics

Corticosteroids 

Topical anesthetics 

Protective coatings

 

Prevention Tips 

There are some things you can do to help prevent a sore roof of the mouth, including: 

Allowing food and drinks to cool slightly before consuming them to prevent burns

Avoiding spicy, acidic, or salty foods that can irritate the inside of your mouth

Quitting smoking and using tobacco products to reduce the risk of oral cancer

Practicing good oral hygiene with regular brushing and flossing to keep bacteria in check

Minimizing stress that can lead to cold sore outbreaks

When to See a Dentist

If you have a sore palate, certain signs signify it’s time to seek medical attention urgently. They include:

Fever

Skin blisters

Eye inflammation  

See your dentist if you notice any change in your mouth, as early diagnosis and treatment can increase your chances of a cure.

If you have a weakened immune system because of HIV or another reason, seek professional medical help if you develop any mouth sores.

Additionally, if you’re in considerable pain, generally feel unwell, or have trouble eating, see a doctor as soon as possible. Anyone with sores or other symptoms that last 10 days or more should see a doctor to ensure the sores are not cancerous or precancerous.

 

(03/20/2023)
by New Mouth

More Information: N


Views: 545
Share
Share

The Best Mouthwash for Bad Breath: Key Ingredients to Look For

When your breath needs a freshness boost, swishing mouthwash can be convenient and more effective than a quick fix with sugarless mints or gum. But not all mouthwashes are created equal. So, how can you select the best bad breath mouthwash when staring at shelves of bottles all touting the same thing? Just as you do when grocery shopping, check the ingredients.

While some mouthwashes contain ingredients that only produce a fresh scent on the surface, others penetrate deeper to eliminate the bacteria causing stinky breath. By understanding the difference between the two, you can choose the best mouthwash for bad breath and kiss your halitosis goodbye.

What Are the Main Differences in Mouthwashes?

Mouthwashes fall into two categories: cosmetic and therapeutic.

Cosmetic Mouthwashes

Masking bad breath rather than getting rid of the cause, cosmetic mouthwashes typically contain mint flavouring giving off a fresh fragrance. However, these mouthwashes won't kill the bacteria causing your bad breath in the first place. "No Alcohol" is commonly seen on cosmetic mouthwash labels. Instead of alcohol, these mouthwashes might contain astringent salts as a substitute to freshen the mouth without necessarily killing any germs. Individuals sensitive to alcohol often choose cosmetic mouthwashes for this reason.

Therapeutic Mouthwashes

Some people might require a therapeutic mouthwash. Available by prescription and over-the-counter – depending on the formula – therapeutic mouthwashes kill bacteria that produce bad breath. Therapeutic mouthwashes containing certain ingredients might offer additional oral benefits, such as fighting plaque. And you can ask for one with a minty flavour.

What Key Ingredients Are in Therapeutic Mouthwashes?

To help slay dragon breath, look for these ingredients to find the best mouthwash for halitosis, as well as other oral care issues.

Antibacterial Agents

Since bacteria cause bad breath, your mouth is the perfect place for them to multiply. The petri dish that is your mouth is warm and moist, and you're adding foreign items (i.e., food) to it throughout the day. Those are the perfect conditions for bacteria to spread over the tongue and between teeth, making your breath less than pleasant quickly.

According to the Pharmaceutical Journal, some mouthwashes use antibacterial agents (aka germicides) – such as cetylpyridinium chloride (CPC) and chlorhexidine. These germicides can team up to kill bad breath germs and reduce plaque. Plaque is a major cause of tooth decay and gum disease (such as gingivitis), both of which can lead to bad breath. By using a mouthwash with a germicide, you help keep your mouth healthy long after you rinse to keep bad breath at bay.

Fluoride

When used regularly, fluoride helps strengthen tooth enamel so that it's less susceptible to decay. Stronger, healthier teeth mean less plaque build-up and better breath overall.

You Deserve the Best Bad Breath Solution

Next time you encounter shop shelves of mouthwashes, ask yourself: Do I want only to mask bad breath or get rid of it?

By choosing a product with the right ingredients, you don't just cover up embarrassing odours, but treat them at their source, so you enjoy fresh breath all day long. Who needs gum and mints when you have healthy teeth and gums?

(03/17/2023)
by Colgate

More Information: https://www.colgate.ie/oral-health/bad-breath/the-best-mouthwash-for-bad-breath-3-things-to-look-for


Views: 540
Share
Share

Can You Have Too Much Fluoride?

Fluoride, touted as “nature’s cavity fighter,” is a powerful mineral that offers many benefits to children and adults. When applied directly to your teeth, it helps strengthen your tooth enamel and makes it resistant to decay and cavities. However, just like most things in life, too much of something good can be problematic!

What Is Fluoride and How Does It Enhance Your Oral Health?

Fluoride is an element naturally found in water, soil, and some different foods. It is an essential mineral for healthy teeth and bones. The cavity-fighter protects the tooth enamel from acid attacks caused by sugars and bacteria in the mouth. It does so by making the tooth enamel resistant to demineralization, the leading cause of tooth decay and cavities. Moreover, fluoride helps reverse the early stages of decay by remineralizing the tooth enamel!

What Happens if You Have Too Much Fluoride?

Fluoride is safe and highly effective at keeping tooth decay and cavities at bay when taken in adequate amounts. However, excessive fluoride levels can lead to dental fluorosis, also known as mottled teeth. This cosmetic concern, characterized by teeth stains and pitted regions, appears primarily in young children under age nine when exposed to too much fluoride while their teeth are developing.

Excessive fluoride consumption can also lead to health problems, including a rare complication known as skeletal fluorosis, which hardens the bones and reduces their elasticity, increasing the risk of fractures. Having too much fluoride can also lead to a host of health conditions, including thyroid problems, high blood pressure, acne, and abdominal cramps.

How Can You Maintain Safe Fluoride Levels?

A visit to High Street Dentistry will ensure that you and your loved ones get maximum fluoride protection without any unwanted side effects. Our team will evaluate your fluoride intake and make any recommendations necessary.

When it comes to children, avoid using any fluoridated products under age two. At around age three, it’s safe to use a pea-sized amount of toothpaste. Monitor tooth brushing until age five or six, or when you are sure your child is comfortable with spitting and rinsing. Keep any toothpaste or fluoridated products out of reach of young children to prevent accidental swallowing. Most importantly, keep up with your little one’s routine dental exams. That will allow us to identify any signs of excessive fluoride intake and will ensure that your child’s smile stays in tip-top shape!

(03/17/2023)
by High street Dentistry

More Information: https://highstreetdentistry.com/2021/09/07/can-you-have-too-much-fluoride-get-the-facts/


Views: 547
Share
Share

Probiotics Can Boost Your Oral Health

Conventional brushing and flossing may not be enough to ward off deterioration of gums and teeth. Researchers have discovered a targeted probiotic that reduces indicators of plaque buildup, gingivitis, bleeding gums, and pocket depth between gums and tooth roots.

For many people, strict adherence to brushing and flossing twice daily may not be enough. The consequence is deterioration of gums and teeth with invariable periodontal disease.

Researchers have discovered a unique solution to ensure healthier gums and teeth as we age. It comes in the form of a targeted probiotic that has been found to work specifically in the mouth. This unique probiotic helps destroy disease-causing bacteria and replaces them with beneficial bacteria that protect teeth and gums.

In a revealing human study, subjects receiving the oral probiotic showed an impressive reduction in indicators of plaque buildup, gingivitis, bleeding gums, and pocket depth between gums and tooth roots.

Americans have an alarmingly high rate of gum disease. Beyond the potential for tooth loss, gum disease is associated with health problems throughout the entire body, including cardiovascular, brain, kidney, and bone diseases.

A major factor in the development of tooth and gum disease is an imbalance in the normal oral microbial community of the mouth, in which disease-causing organisms overwhelm those that contribute to good health.

Researchers have discovered a targeted oral probiotic that is able to “safeguard” the oral cavity, help minimize bad bacteria, and replace it with beneficial bacteria instead.

Studies have shown that oral probiotics improve gum health and reduce risk factors for dangerous periodontal (gum) disease. That risk reduction, in turn, translates into substantially lower risk for a host of systemic disease processes commonly associated with aging.

The Underlying Cause of Gum Disease

How can something as seemingly simple as gum disease have such potentially drastic health effects throughout the body? The answer comes down to one of the underlying causes of gum disease, which is the excessive growth of pathogenic (disease-causing) organisms in the oral cavity. This creates the twin threats of infection and inflammation, which feed on each other in a vicious cycle and can have disastrous effects on many body systems.

Present in everyone, the oral microbiome, is a complex set of interacting microbial populations, which when in a healthy balance, support and protect the delicate mucous membranes as well as the surfaces of the teeth themselves.

Shifts in the normal microbial community, however, lead to a host of problems, ranging from dental caries (“cavities”) that arise from excessive acid-producing bacteria, to gum disease that contributes to tooth loss and diseases in parts of the body far removed from the mouth itself.

Our growing recognition of both the severity of periodontal disease and its relationship to an imbalance in the oral microbial populations have led to calls for use of oral probiotics as effective preventive measures, in an effort to re-establish a healthy microbial community in the mouth.30,31 The results are extremely promising.

Beneficial Organisms Destroy Dangerous Germs

The principle behind all probiotics is simple: Replace unhealthful or dangerous organisms with those that contribute directly or indirectly to human health. The end result should be a reduction in the population of the “bad guys,” and the establishment of a more protective environment.

S. salivarius strain BLIS M18 is one of the “good guys.” It competes with dangerous oral bacteria that cause or exacerbate periodontal disease, and has been shown to prevent and improve parameters of gingivitis and periodontitis.

The Underlying Cause of Gum Disease

How can something as seemingly simple as gum disease have such potentially drastic health effects throughout the body? The answer comes down to one of the underlying causes of gum disease, which is the excessive growth of pathogenic (disease-causing) organisms in the oral cavity. This creates the twin threats of infection and inflammation, which feed on each other in a vicious cycle and can have disastrous effects on many body systems.

Present in everyone, the oral microbiome, is a complex set of interacting microbial populations, which when in a healthy balance, support and protect the delicate mucous membranes as well as the surfaces of the teeth themselves.

 

Shifts in the normal microbial community, however, lead to a host of problems, ranging from dental caries (“cavities”) that arise from excessive acid-producing bacteria, to gum disease that contributes to tooth loss and diseases in parts of the body far removed from the mouth itself.

 

Our growing recognition of both the severity of periodontal disease and its relationship to an imbalance in the oral microbial populations have led to calls for use of oral probiotics as effective preventive measures, in an effort to re-establish a healthy microbial community in the mouth.

Beneficial Organisms Destroy Dangerous Germs

The principle behind all probiotics is simple: Replace unhealthful or dangerous organisms with those that contribute directly or indirectly to human health. The end result should be a reduction in the population of the “bad guys,” and the establishment of a more protective environment.

S. salivarius strain BLIS M18 is one of the “good guys.” It competes with dangerous oral bacteria that cause or exacerbate periodontal disease, and has been shown to prevent and improve parameters of gingivitis and periodontitis. It accomplishes this through numerous mechanisms of action.

First, S. salivarius produces enzymes that help break down dental plaque, which is a major threat to both tooth and gum health.32 Plaque is the sticky film of bacteria that forms on teeth, and it’s the main cause of tooth decay and gum disease. When plaque hardens, it becomes tartar, a mineralized substance with a rough surface that can become home to still more plaque and more dangerous microbes.

Another benefit of S. salivarius is that it has been shown to neutralize acids to maintain a healthy oral pH. A healthy oral pH is important because having a low pH demineralizes teeth, which creates an environment in which bad bacteria thrive.

 

Unlike many other probiotic formulations, S. salivarius is capable of colonizing the mouth and gums (rather than simply sticking around until the entire applied dose is gone). Once it has established its colonies in the mouth, S. salivarius competes with the harmful bacteria that cause tooth decay and periodontal disease to reduce their relative abundance.

It accomplishes this as a result of its ability to secrete bacteriocin-like inhibitory substances (BLIS) known as lantibiotics. Technically, lantibiotics are bacterially produced antimicrobial substances that kill competing organisms, but think of them as the weapons the bacterium uses to keep less savory organisms at bay. And although S. salivarius is a common bacteria in the mouth, the more beneficial BLIS strains are only found in 2% of individuals.36

Laboratory studies show that colonies of S. salivarius-producing lantibiotics can inhibit the growth of oral disease-causing bacteria associated with periodontitis.

 

One important study showed that in addition to inhibiting the growth of dangerous bacteria, S. salivarius BLIS M18 can also reduce levels of inflammatory cytokines associated with gingivitis and periodontitis. This is an important characteristic in breaking the infection-inflammation-infection cycle that accelerates gum disease and threatens the rest of the body.

Oral Probiotic Improves Gum Disease

Once scientists knew that oral probiotics produced such beneficial antibacterial actions in lab and preclinical studies, they were ready to test their effects in real life. A number of human trials have now been completed, with exciting results that demonstrate the positive impact of regular supplementation with an oral probiotic.

 

A randomized, controlled clinical trial was conducted to determine the effects of S. salivarius BLIS M18 on a number of the most important clinical parameters of periodontal health. This study evaluated indicators that dental hygienists use to determine the health of gums.

Plaque index score: a 0-to-3 scale ranging from no plaque to an abundance of soft matter within the gingival pocket (the pocket of soft tissue between gum and tooth).42

Gingival index score: a 0-to-3 scale ranging from normal gingiva (gums) to severe inflammation with marked redness and swelling, including ulceration and tendency of spontaneous bleeding.43

Sulcular bleeding index: a 0-to-5 score grading tendency of the gums to bleed on probing, ranging from healthy-looking gums with no bleeding on probing to spontaneous bleeding, change in color, and marked swelling.43

Probing pocket depth: the depth to which a dental probe can be passed between the inner margin of the gum and the tooth root. The deeper the pocket depth, the worse the evidence of periodontal disease.44

The study involved both male and female patients with moderate and severe gingivitis (scores of 2 or 3 on gingival index score), and moderate periodontitis (probing pocket depth of up to 6 mm). In order to optimize the subjects’ periodontal health, subjects underwent a thorough cleaning and scraping of the teeth to remove plaque and tartar at the outset of the study.

After the initial visit, half of the subjects received a lozenge containing S. salivarius BLIS M18, while the other half received no treatment, acting as a control group. The subjects took lozenges daily for 30 days, though the researchers observed them for a total of 60 days in order to determine if the supplement would continue to have beneficial effects after subjects stopped taking it.

 

(03/20/2023)
by Life Extension

More Information: https://www.lifeextension.com/magazine/2016/1/innovative-solution-for-oral-health


Views: 422
Share
Share

Dental Fillings Are Durable But Don't Last Forever

It would be hard to make it through adulthood without at least one dental filling. It's normal to get cavities over time from a number of causes, such sugary foods and drinks, lack of fluoride, or poor dental hygiene. Fillings help replace tooth structure lost to decay. However, most fillings don't last forever and will have to be replaced eventually.

How Long Do Dental Fillings Last?

There are multiple types of fillings, made of different materials, with varying price points and cosmetic considerations. Some materials are more durable than others, but none are considered permanent. Both gold and amalgam fillings can last up to 20 years in the right circumstances. Porcelain and composite fillings can be more fragile — but also more cosmetically appealing.

Why Replace a Filling?

Constant stress from chewing, clenching, and secondary tooth decay can damage your filling or the tooth around the filling. If a filling chips, cracks or begins to separate from the tooth, decay-causing bacteria can get trapped between the filling and the tooth. This kind of bacteria can't be cleaned away with regular brushing and flossing.

It's important to get a damaged filling treated right away to prevent the bacteria from doing additional damage, such as affecting the nerve. Symptoms of a damaged filling in more advanced states include sharp pain when chewing or intense sensitivity to heat or cold.

How to Make Your Fillings Last

Of course you know that brushing twice a day and flossing daily is essential to keeping your teeth — especially those with fillings — healthy. Regular visits to the dentist and professional cleanings twice a year are also essential so that he/she can inspect your existing fillings to detect any early problems. Your dentist can also check for weaknesses in the material, as well as do dental X-rays to look for decay under the filling.

Beware of bad dental habits, such as clenching or grinding your teeth. Your dentist might recommend a mouth guard to help prevent damage to your fillings, as well as protect your healthy teeth and jaw.

Don't wait until a filling hurts to start taking care of it. While fillings don't last forever, you can help them last as long as possible with proper care. Next time you're at the dentist, ask to get your fillings checked and ensure they're in good shape.

 

(03/21/2023)
by Colgate

More Information: https://www.colgate.com/en-us/oral-health/fillings/replacing-fillings


Views: 424
Share
Share

Prevent Oral Infections, Prevent Sepsis

The health of your mouth, which includes your gums, tongue, palate, and cheeks – anywhere inside your mouth – can have a significant impact on your overall health. Dentists can suspect illnesses, like diabetes or leukemia, by what they see during an oral examination. Also, an infection in your mouth can cause sepsis, which can lead to serious complications. On March 20th, professionals who work in oral health, from dental assistants and hygienists to dentists and dental specialists, mark World Oral Health Day, a time when they want you to pay special attention to the importance of good oral care.

According to the American Dental Association, about 100 million people in the United States don’t see a dentist every year. Yet, the World Health Organization (WHO) states that “oral diseases are the most noncommunicable diseases (NCDs) and affect people throughout their lifetime, causing pain, discomfort, disfigurement, an even death.” The organization goes on to say that of the seven oral diseases and conditions that cause most of the problems associated with oral disease, almost all are preventable or treatable in its early stages. In the U.S., the most common conditions are cavities (tooth decay), gum disease (periodontal disease), oral cancer, and trauma to the mouth, as from being hit in the face.

The sepsis connection

If we look at just those four conditions, we can see the connection they may have with sepsis. Cavities are an opening to the body, which can harbor bacteria and lead to an infection. The Centers for Disease Control (CDC) states, “Although tooth decay is largely preventable, it remains one of the most common chronic disease of childhood, affecting up to two-thirds of adolescents. Cavities also affect adults; among those aged 20-64 years, more than 90% had at least one cavity, and 27% had untreated decay. Untreated tooth decay can lead to abscess (a severe infection) under the gums which can spread to other parts of the body and have serious, and in rare cases fatal, results.”

Broken teeth from trauma also allow for bacteria to enter the body. Gum disease is itself often the result of frequent infection or inflammation in the mouth, and can provide an open pathway for infection. Oral cancer, whether of the tongue, palate, or elsewhere, requires treatment that can weaken your immune system and make infections harder to fight.

Taking care of your mouth

The easiest way to decrease your risk of diseases or problems with your mouth is with good oral hygiene. The American Dental Association acknowledges that everyone has different needs and abilities, but the recommend the following for optimal mouth care:

Brush teeth at least twice a day with a fluoride toothpaste

Consider using an electric toothbrush if you have trouble cleaning your teeth with a manual one

Consider using a fluoridated mouthwash at least once a day, particularly if you have a higher risk of developing cavities

Clean between your teeth daily by flossing or using a cleaning device

Limit sweet and sugar intake

Stop smoking if you smoke

See your dentist regularly, according to your dentist’s recommendations

When to see a dentist between check-ups

Because problems in your mouth can affect the rest of your body, it’s essential that you see your dentist if you develop:

A toothache, even if it goes away

Sensitivity in a tooth to hot or cold

Bad breath (could be a sign of infection)

Inflamed and/or bleeding gums

Any changes in color or appearance of lumps on your tongue, cheeks, gums, or palate

Extraordinarily dry mouth

If you’ve been delaying your next dental appointment, use this opportunity as a reminder to make that call. Many people don’t want to see a dentist after a long time away from the office because they’re embarrassed over the condition of their teeth. They fear being judged. Dentists and everyone who works in oral health knows how fearful some people are when it comes to going to the dentist. They also know that often, oral health is a low priority when there is so much else in daily life demanding attention. Don’t allow embarrassment to stop you. Your health is more important.

(03/19/2023)
by Sepsis Alliance

More Information: https://www.sepsis.org/news/prevent-oral-infections-prevent-sepsis-world-oral-health-day/


Views: 454
Share
Share

Things You Never Knew Your Dentist Does at Every Dental Checkup

You know it’s important to keep your dental checkup date with your dentist every six months, but do you know exactly why?

During each dental checkup, your dentist performs a number of critical tasks that help to keep your mouth healthy and protected… even if you don’t realize he’s doing them at all!

Check out the following 10 things you never knew your dentist does at every dental checkup to gain more appreciation for the importance of each and every six-month appointment you schedule.

X-Rays

One of the most important purposes of a dental checkup is for your dentist to take x-rays of your teeth and jaw bone. These detailed x-ray images reveal critical information about the condition and health of your mouth.

By taking x-rays, your hygienist and dentist can identify exactly what’s happening beneath the surfaces of your mouth in order to find, diagnose, and treat issues that may be invisible to the naked eye.

If your x-rays indicate bone decay, swelling, tumors, shifting teeth, impacted teeth, or any other serious issue, your dentist can respond immediately. This is especially important to catch destructive, fast-paced diseases that don’t cause noticeable symptoms.

Comprehensive Visual Examination

Every regular dental checkup also gives your dentist the chance to assess the state of your visible teeth and gums with a comprehensive examination. Your dentist can identify potential problems that you may never notice. During a dental exam, you can expect your dentist to do the following:

Examine the gums and tongue

Search for signs of gum disease

Check for loose and broken teeth

Assess the health of tissues inside your mouth

Check your bite for alignment

Look for visual evidence of decay

Check for damaged dental work, such as fillings or crowns

Even with the best mirrors, this type of comprehensive dental exam isn’t something you can do at home. Only an experienced dentist can properly perform a visual exam to assess the condition of your mouth and recommend future treatments accordingly.

Remove Plaque and Tartar

Every morning and night, you brush (and hopefully floss!) to remove plaque from your teeth. If plaque has the chance to sit on your teeth for too long, it accumulates into tartar and causes inflammation, bleeding, cavities, and gum disease.

Unfortunately, brushing and flossing doesn’t always eliminate all signs of plaque and tartar. Your dentist uses specialized tools to remove plaque and tartar from the areas of your mouth you can’t reach. Receiving this professional dental cleaning twice a year ensures that your mouth is protected from disease.

You can expect your dental professional to perform a comprehensive cleaning during every dental checkup to:

Scrape away plaque and tartar on and between the teeth

Polish the teeth

Floss between all teeth

Apply fluoride, if necessary

Bite Evaluation

Your bite is the way your teeth fit together when you press your upper and lower jaw closed. Evaluating your bite gives your dentist important insights into the alignment of your mouth and any potential orthodontic work you may need to correct your bite.

This is one of the reasons it’s so important to see the same dentist consistently; only your regular dentist will notice when your bite shifts and poses a threat to the overall health of your teeth. Adults can use clear aligners and other subtle orthodontic solutions to shift their teeth back into place.

Salivary Gland Inspection

Do you know how important saliva is? It’s not just spit! In fact, saliva performs four essential functions that keep your mouth protected from bacteria and able to easily chew and digest food. That’s why it’s so important for your dentist to evaluate your salivary glands at every dental checkup. By doing so, he ensures the glands are producing a sufficient quantity of saliva. Without enough saliva, bacteria accumulate in your mouth to cause bad breath, cavities, and infection.

Tongue Evaluation

Your tongue also says a lot about the condition of your mouth, so your dentist evaluates its color and texture. A bright red tongue, for example, may indicate a folic acid or vitamin B12 deficiency, while a dark tongue signals poor hygiene or diabetes.

Tooth Polishing

Of course, your dentist also takes the opportunity during each exam to polish your teeth to perfection. This is done after excess plaque and tartar have been removed. The polish adds an extra shine to your teeth and even makes it harder for plaque and tartar to stick around in the future.

 

Early Detection

Through the process of your x-rays, visual examination, and dental cleaning, your dentist remains alert for any early signs of disease or oral complications:

Cavities

Gum disease

Oral cancer

Impacted wisdom teeth

Tooth loss

Discoloration

Nerve damage

Alignment

The earlier your dentist can identify potential issues and recommend the appropriate course of treatment, the more efficiently he can prevent future damage and protect your smile. However, it’s nearly impossible to achieve early detection without regular six-month appointments.

(03/22/2023)
by Gregory Skeens DDS

More Information: https://www.gregskeensdds.com/10-things-you-never-knew-your-dentist-does-at-every-dental-checkup/


Views: 557
Share
Share

Three Effective Methods to Remove Biofilm

Biofilm is the dental technical term for the white, sticky layer of plaque on your teeth. Removing biofilm from your teeth and gumline is critical for your oral health. Read on to learn three ways to remove biofilm.

What is Biofilm?

Biofilm is a layer of bacteria that can accumulate inside or on your body. The sticky white plaque that forms on your teeth and around your gums is a type of dental biofilm. Plaque needs to be removed because it can harden to tartar, also known as dental calculus, which can't be removed at home. Left untreated, biofilm can inflame your gums leading to gingivitis and gum disease.

1. Brushing

Dental professionals recommend brushing your teeth with a soft-bristle toothbrush for at least two minutes, twice to three times a day, to remove plaque. Most people don't brush their teeth for that long, so biofilm can hide on your teeth and gumline. Brushing after meals and setting a timer for two minutes can help ensure you're brushing your teeth enough.

When you're brushing, use short back-and-forth strokes or little circles to clean the outside surfaces, inside surfaces, and chewing surfaces of all of your teeth. Remember to brush around your gumline and your back teeth. These places are often skipped, so be diligent.

2. Flossing

Brushing alone won't remove all of the plaque since it can build up between your teeth or underneath your gumline, and it's tough to reach these areas with a toothbrush. To remove biofilm from these hard-to-reach areas, dentists recommend cleaning between your teeth once per day with floss, flossers, interdental brushes, water flossers, or other interdental cleaners.

Some people have difficulty using floss, but everyone needs to clean between their teeth. If you have limited mobility, large spaces between your teeth, or if you wear braces, ask your dental professional about alternative flossing methods or for a demonstration to ensure you're doing it correctly.

3. Professional Cleanings

Professional cleanings are an important part of plaque removal. Even if you brush and floss regularly, you may not fully remove the bacteria. When it remains on your teeth, you could suffer from oral health problems like gum disease. As a general rule, you should have a professional cleaning every six months. However, your dentist may prescribe more frequent visits depending on your oral health.

Your dental professional will carefully remove plaque and tartar from above and below your gumline with special instruments during a professional cleaning. They may also floss between your teeth to get rid of any hidden plaque.

Biofilm can cause oral health problems, so it needs to be removed promptly. A good oral hygiene routine that includes brushing, interdental cleaning and regular visits to your dental professionals for professional cleanings will help you effectively remove plaque and keep your mouth healthy.

(03/21/2023)
by Colgate

More Information: https://www.colgate.com/en-us/oral-health/plaque-and-tartar/biofilm-removal-three-effective-methods#


Views: 537
Share
Share

Is Sore tongue causing trouble?

Do you find a problem while speaking or eating? There are so many abnormalities that passes through when you have a sore tongue. This might be an alarm to arise from internal issues! Usually, there are visible underlying problems that can easily be cured.

(Happy news: It is not a matter of concern when Beaumont Dentist TX is right there for your aid!)

Few of the most common causes are as follows:

TraumaEver bit your tongue by mistake or drink a few hot sips and burn your tongue? This often causes blisters as well.

Oral ThrushIt is a form of a yeast infection and usually occurs in children or older people. Especially with the people who have a lower immune system. It may cause swollen taste buds.

Mouth UlcersThis is quite common and almost every other human being with bad oral hygiene has been a victim of this! At times, when you eat something from a sharp object or eating a particular food may even affect the appearance of the ulcer.

Food allergiesYour itchy mouth may be affected by some food allergies that may also welcome the scratchy throat alongside. This is also termed as an oral allergy that usually occurs in youngsters. They get swollen lips and tongue by some adverse reactions.

Vitamin Deficiency:There are various symptoms like weight loss, weakening of muscles, feeling a sense of numbness on your hands. It can affect an individual if he/she does not take a well-balanced diet.

If the changes seem to be persistent, then you must consult a doctor as it is a reason to worry!

Book Appointment to find out which treatment might be best for you.

(03/23/2023)
by Smilepoint Dental

More Information: N


Views: 582
Share