Dentists Journal

Top Ten Stories of the Week
4/15/2023

All Dentists Journal · Previous Week · This Week · All Time List · Headlines

Share

What To Expect From Tonsil Removal

Having a recurring sore throat or sleep-disordered breathing can be a sign of tonsil inflammation, also known as tonsillitis. Even though tonsils are an important part of the body, sometimes a doctor will recommend tonsil removal, a procedure called a tonsillectomy.

When to Have Tonsils Removed

Patients of any age — children and adults — can have a tonsillectomy. According to The Nemours Foundation, constant visits to the doctor because of sore throats, difficulty swallowing or patchy, white blisters on the tonsils could signal a patient has tonsillitis. The tonsils may be enlarged, which can lead to snoring, and a patient may have a slight fever or neck pain.

To eliminate these symptoms, a doctor may suggest the patient has their tonsils removed. If you are having recurring problems with your tonsils or throat, consult a dental or medical professional.

Tonsillectomy Procedure

An ear, nose and throat doctor will most likely conduct the procedure in an outpatient surgical center. The surgery usually lasts between one and two hours and the patient will be sent home shortly after the operation.

According to the Mayo Clinic, there are a few steps that a patient should take prior to surgery. They should avoid any intake of medications containing aspirin for two weeks prior to the procedure and should provide their doctor a list of medications they take regularly. The patient will receive instructions from their doctor regarding how long to refrain from eating and drinking before surgery.

On the day of the surgery, the patient will be sedated by an anesthesiologist through an IV prior to the doctor's treatment. The doctor will remove both left and right tonsils from the back of the throat. Afterwards, the patient will likely feel soreness and experience some swelling. They should plan for at least 10 days of recovery time.

Care After a Tonsillectomy

 

After a few days, scabs will form where the incisions were in the mouth. The doctor may prescribe painkillers to help relieve rawness and soreness in the patient's throat. It is imperative to drink lots of ice water and cold fluids after tonsil removal, but avoid drinking through straws, as it may be difficult. Eating soft foods and ice pops may help avoid irritation in the area. If the patient loses weight, they should try drinking nutritional beverages to add some calories to their diet.

The patient must be careful to not eat chips, nuts or foods that can be sharp in the back of the throat. Postoperative bleeding can occur, and in severe situations it may require a trip to the emergency room. For at least two weeks after the tonsillectomy, the patient should stay mostly at rest and allow their throat to heal before resuming activities. The doctor will schedule a follow-up appointment to check on the patient's healing.

Removing the tonsils — which can be as long as two to three inches across — can bring relief to patients with tonsillitis. After the procedure, they can look forward to fewer sore throats and resolved snoring issues. Always speak with your dentist or doctor if you're concerned about your sore throat or sleep troubles.

(04/07/2023)
by Colgate

More Information: https://www.colgate.com/en-us/oral-health/adult-oral-care/what-to-expect-from-tonsil-removal


Views: 567
Share
Share

Six Things You Can Do To Prevent Tooth Enamel Erosion

Our teeth battle against hostile attacks of the bacteria every day. But our teeth also have armor to fight these microscopic enemies: enamel. This strong and hard layer acts as a barrier between the sensitive inner pulp and bacteria. Although strong in nature, this layer can erode when exposed to high concentration of acid. Losing this protective layer exposes our teeth to a number of diseases and dental conditions. Here we have discussed a few things that you can do to prevent enamel erosion.

1.- Limit Sugary Drinks And Foods

Sugary food and drinks fuel the bacterial growth in our mouth. The bacteria feed on these foods and beverages, softens the enamel and leads to substantial enamel erosion. Sugary and chewy candies that stick to our teeth and drinks with extra acids, significantly damage our enamel. If you want to have a soft drink, opt for the ones with artificial sweeteners. Their less sugary content makes them preferable over other sugary soft drinks.

2.- Eat Foods That Strengthen Enamel

Calcium plays a vital role in fighting the bacteria that cause decay and strengthening our enamel. Calcium-rich dairy products like milk, cheese help in building our enamel. Also, prefer the fat-free and low-fat product to maintain your calories. If you don’t prefer dairy, then consume other foods that have high calcium content.

3.- Avoid Overbrushing

Brushing is essential but overbrushing may deteriorate your teeth enamel. When choosing a toothbrush, pick the one with soft bristles. Hold the brush at a 45-degree angle and gently move it back and forth. Wait for at least 30 minutes before your brush your teeth. It gives time to saliva for neutralizing the acid and reduces the chances of losing softened enamel.

4.- Use Fluoride

Fluoride helps in repairing tooth decay and strengthening our enamel. It also helps in making our teeth more resistant towards the acidic foods and drinks. Most specialists recommend fluoride toothpaste to support the growth and repair of our teeth.

5.- Quit Grinding Your Teeth

Some people have a habit of grinding the upper teeth and lower teeth. It may seem harmless but over time this may harm our tooth enamel. If you find it difficult to overcome this habit, then consult your dentist for a mouthguard.

6.- Get Regular Checkups

See a dentist regularly ensures the health of your teeth. Visit your dentist for a regular and cleaning and thorough examination. Regular checkups help in the early detection of decay and other damages to the enamel. Also, your dentist will offer further advice on protecting your enamel and maintaining your dental health.

(04/07/2023)
by Downtown Dental

More Information: https://downtowndentalgi.com/6-things-you-can-do-to-prevent-tooth-enamel-erosion/


Views: 429
Share
Share

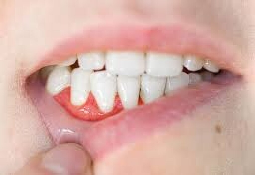
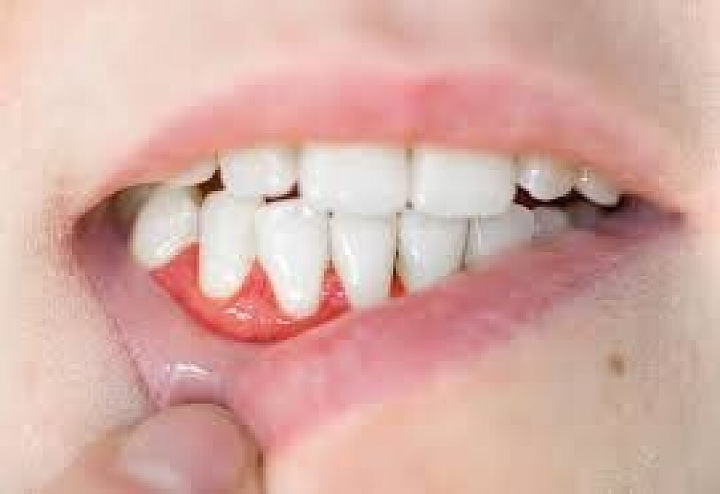
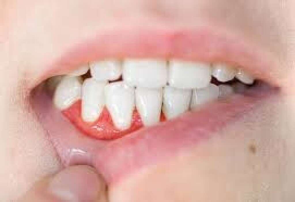
Three Symptoms That Are Obvious Signs You Have Gum Disease

It’s not always easy to tell what’s going on with our bodies, especially our mouths. Various aches and pains can come and go within a day, while some symptoms linger for weeks or months. How do we know when it’s time to be concerned about symptoms we are experiencing? In general, if it hurts too much to do daily activities, or if the pain goes on for an extended period, it’s time to see a professional.

When it comes to diseases of our mouths, however, you may not want to wait until you have symptoms that don’t go away. That’s because untreated gum disease leads to much more severe issues like gingivitis or worse.

What is gum disease?

Gum disease is an infection of the mouth caused by plague left on our teeth. If left untreated, gum disease can lead to tartar. Only a dentist can remove tartar build-up. Additionally, advanced stages of gum disease can turn into gingivitis, and eventually periodontist. A periodontist is an advanced stage of gum disease which can cause bleeding, swelling, and loss of teeth.

Red or swollen gums. Swollen and red gums are a good indication of gum disease. If your swollen gums are tender and sensitive to the touch, this may be another indication of disease.

Bleeding gums. Do you notice pink in the sink when you brush or floss your teeth? Bleeding gums is a sign of gum disease and shouldn’t be ignored.

Loose teeth. Can you wiggle your teeth? That is not normal. Loose or shifting teeth, unless you’ve recently experienced trauma, is a sure sign of gum disease. In fact, periodontal disease is the number one reason for loose teeth.

How can I prevent gum disease?

There is a multitude of reasons why you have gum disease. Here are a few reasons that may contribute to your gum disease.

Don’t smoke or use tobaccos. Tobacco is a well-known factor to a myriad of health problems. Not only does smoking cause cancer and lung and heart disease, but it’s also responsible for mouth and gum disease.

Do brush and floss regularly. Gum disease is caused by plaque buildup. Brushing and flossing help to remove this plague, and keeps your mouth healthy.

Do eat right. Avoid surgery foods and drinks, and stock up on fruits and vegetables. Also, be sure to get enough calcium to keep your teeth strong.

Do see the dentist. In addition to regular brushing and flossing, periodic visits to the dentist help control plaque. Also, the dentist will be able to detect early warning signs of gum and other diseases.

What else should I know?

It’s good to remember that even if you don't notice any symptoms, you may still have some degree of gum disease. Additionally, in some people, gum disease may affect only some teeth, such as the molars. Only a dentist can recognize and determine if you have gum disease.

(04/09/2023)
by Oral West Dental

More Information: https://www.coralwestdental.com/blog/3-symptoms-that-are-obvious-signs-you-have-gum-disease


Views: 439
Share
Share

Using Massage To Treat TMJD

Temporomandibular joint dysfunction pain can be among the most frustrating types of pain you can encounter. This is because it can often be tricky to figure out the origins of this pain, and thus difficult to treat with conventional methods. Temporomandibular joint dysfunction, or TMJD, strikes millions of people each year- mostly women in their twenties and thirties.

While there is no one cause for temporomandibular joint dysfunction, causes can include genetics, injury to the jaw, teeth grinding, and unknown origins. No matter the cause, TMJD pain can be debilitating, causing difficulty mouth breathing, speaking, chewing, opening and closing the jaw, tinnitus, migraine headaches, neck, back, and jaw pain, and clicking and popping of the jaw when the mouth opens and closes.

Thankfully there are many effective treatment options for treating TMJD, including mandibular orthotic devices from Dr. Abelar, bite guards, physical therapy, and a new breakthrough – intraoral facial massage.

The Benefits Intraoral Facial Massage

An intraoral facial massage can be done right in the comfort of your own home, but many find relief from seeing a professional for this type of treatment. The goal of intraoral facial massages is not to cure the TMJD, but to relieve the pain temporarily. In fact, some patients even report pain relief after their first intraoral facial massage treatment!

How Intraoral Facial Massage Works

Intraoral facial massage works by creating friction. This is performed by massaging some of the muscles of the face, which loosens tension in the face. This friction softens the muscles by increasing blood flow and warming the soft tissue.

It effectively ‘breaks up’ the masseter muscle – the one we need to chew our food. Fun fact about the masseter: did you know it is the strongest muscle in our body based solely upon its weight? It’s true! With all the pressure we put on the masseter, it’s no wonder it gets tense sometimes!

(04/10/2023)
by Aesthetic Dentistry of San Diego

More Information: https://www.keepsmilingsandiego.com/blog/using-massage-to-treat-tmjd/


Views: 517
Share
Share

What Are the Parts of Your Mouth and What Do They Do?

Have you ever wondered how your mouth works? It’s made up of numerous components that work together to help you eat, speak, breathe, digest food, and smile. Plus, it does a bit more beyond that! By understanding how these parts work, it’s easier to recognize the significance of good oral care. Read along as we discuss the different parts of the mouth and their functions.

Parts of The Mouth and Their Functions

Here is the basic anatomy of your mouth and how each part functions:

Lips and Cheeks

This duo is made up of strong muscles that allow you to do many things, such as smile, frown, and kiss. Your lips help you breathe by letting air into your mouth, and when working together with the cheeks, they let you speak. They also keep saliva and food in your mouth while chewing. Plus, they act as a guide to keep your teeth in their proper positions!

Tongue

Did you know that your tongue is one of the hardest working muscles in your body? Like your heart, this powerful muscle is always working by helping you chew, swallow, speak, and taste food. It’s home to about 10,000 taste buds, allowing you to enjoy your meals by detecting sweet, salty, bitter, and savory flavors.

Teeth, Gums, and Alveolar Bone

Your teeth are made of hard enamel and have roots that anchor them into the jawbone. The alveolar bone stabilizes the teeth while your gums hold them in place and protect the roots from decay. The obvious function of your pearly whites is to tear and chew food for proper digestion. However, they also give your face its shape and help you pronounce words and sounds.

Salivary Glands

Your salivary glands are responsible for producing saliva, a substance that breaks down food to begin the digestive process. It also moistens your mouth so you can speak, chew, and swallow. Since it serves as a natural cleansing agent that repeatedly washes away bacteria from your teeth and gums, it protects your mouth against cavities, tooth decay, and gum disease.

Temporomandibular Joint

The temporomandibular joints (TMJ) grant you the ability to open and close your mouth and move your lower jaw forward and side to side. The two joints are located on both sides of your head and work with your jawbone, facial muscles, and ligaments. They also assist you in speaking, chewing, and swallowing.

How Can I Keep My Oral Cavity Healthy?

There are many steps you can take to keep your oral cavity healthy, including:

Practicing good oral hygiene (brushing your teeth twice a day and flossing daily)

Regularly cleaning your tongue

Rinsing with an antimicrobial mouthwash

Avoiding tobacco products and excess alcohol consumption

Limiting your intake of sugary, fatty, acidic, starchy, and processed foods

Visiting your dentist for routine cleanings and exams

 

As you can see, there’s so much more to your mouth than just a gorgeous smile! By taking good care of your oral cavity, you can keep it healthy and strong for many years to come.

(04/08/2023)
by Carroll R. Butler, DDS, P.A.

More Information: https://www.carrollbutlerdds.com/blog/parts-of-the-mouth-and-their-functions/


Views: 452
Share
Share

What are Toothpaste Tablets?

Did you know that every year billions of toothpaste tubes are made and sold globally? And — unfortunately — most of those tubes end up in landfills and oceans. While oral care brands look to make recyclable toothpaste tubes the norm, others search for alternatives to traditional toothpaste. Toothpaste tablets provide one solution to plastic packaging woes. Should you consider making the switch?

What Are Toothpaste Tablets?

Toothpaste tablets — or "tooth tabs" to be more accurate — take your traditional paste, remove the water, and press it into a little pill-like . If you normally squeeze a toothpaste tube twice a day, it might take time to get used to a tablet, but the directions are pretty simple:

Place one tablet in your mouth.

Gently chew the tablet and mix with your saliva to form a paste.

Wet your toothbrush and brush for two minutes.

It might take an extra rinse or two to remove any leftover grittiness but your mouth will be fresh and clean just as if you used regular toothpaste. Perform this process at least twice a day for optimal oral health.

What Are the Benefits of Using Toothpaste Tablets?

If you want a more sustainable bathroom cabinet, toothpaste tablets could help your cause! Here are a few benefits of toothpaste tablets:

Environmentally-friendly packaging. Most tablets come in glass or tin containers that are easy to reuse or recycle. Some even come in compostable pouches. All of which help you to reduce the amount of plastic in your home.

Convenient traveling. Forget about purchasing travel-size toothpaste tubes. Toothpaste tablets are TSA-friendly, so you can bring them along in your carry-on. Plus, they conveniently pack into your work bag or gym duffel for any time you need a quick brush.

Natural ingredients. Many toothpaste tablet brands prioritize natural ingredients, so you're less likely to find preservatives or parabens. There's also a plethora of gluten-free, vegan, and cruelty-free options to match your lifestyle. Curious about how tooth tab ingredients compare to your current toothpaste? Check out these common toothpaste ingredients.

Some tabs contain fluoride. With a few exceptions, there are toothpaste tablets in the market that contain fluoride. Fluoride helps strengthen your enamel and protect your teeth against cavities, so double-check the ingredients before you brush. Be sure to read the label to ensure you are getting that key ingredient!

What Are the Disadvantages of Using Toothpaste Tablets?

If you choose sustainability, you might have to make some trade-offs. Take these points into consideration before you make the switch to tooth tabs.

Lack of research. Not a lot of research has been conducted to compare the effectiveness of toothpaste tablets to traditional toothpaste. Talk to your dental professional before transitioning to tabs so they can voice any concerns and monitor your oral health.

Cost. While you can't put a price on helping the environment, you might want to know that toothpaste tablets come at a premium — so it can cost around $30 for a four-month supply of tabs. You can compare that to $3-6 for a 6 oz tube of toothpaste that can last four months or even longer.

So should you use toothpaste tablets? The choice is up to you! Determine your priorities, and then talk to your dental professional about what's best for your oral health. If you think plastic-free is the way to be, then tooth tabs might work for you!

(04/12/2023)
by Colgate

More Information: N


Views: 575
Share
Share

Is your job killing your smile?

When it comes to your oral health, your job is a minefield. Stress, snacking, even happy hour, can all put your teeth and gums at risk. Here are some of the major risks to look out for and some tips for minimizing the toll work takes on your mouth.

Succumbing to snacks

Sure, those bowls of candy and snacks on everyone’s desk are tempting. And if you’re working from home, you’re probably never more than a few steps away from a cupboard full of sugary goodies. Snacks are hard to resist. But resist you should, because sugary or starchy snacks are tough on your teeth. Here are some of the main offenders:

• Treats that stick to your teeth, such as chewy candies, caramels and dried fruit, make it difficult for your saliva to wash away harmful sugars.

• The starches in snacks like chips break down into the simple sugars that plaque bacteria feeds on, which produces damaging acids.

• Caffeinated beverages can reduce the saliva flow your mouth, which can lead to tooth decay and gum disease.

Healthy smile tips: 

• Try to eat snacks during mealtime. Your saliva increases while you eat a meal, which helps wash away food particles and harmful sugars, and reduces the effects of acids.

• If you just can’t resist the urge for a little something extra throughout the day, make smile-friendly choices such as fresh fruits, veggies or nuts. Plain, unsweetened yogurt and cheese contain calcium, phosphates and vitamin D, which are important for strong teeth.

• For your caffeine boost, consider unsweetened green and black teas, which contain compounds that suppress harmful bacteria.

• Drink plenty of water. Water rinses away harmful sugars, starches and acids, helps combat dry mouth and may provide a dose of protective fluoride.       

Stressing out

Projects, quotas, delivery deadlines — not to mention the anxiety and uncertainty the COVID-19 pandemic has caused — means that work can definitely be a source of some major stress in your life. Not surprisingly, job stress can cause you to indulge in some unhealthy habits, such as teeth grinding, jaw clenching, nail biting, chewing on pens and pencils or binge snacking, all of which can lead to tooth damage, gum disease and canker sores.

Healthy smile tip: Relax! The American Psychological Association offers some helpful tips for reducing your work-related stress and maintaining a healthy work-life balance.

• Get some exercise. Instead of using your lunch break to plow through a basket of fries, eat a quick, healthy lunch and use the remaining time to get in some physical activity. Go for a jog or walk, do some yoga or take part in any physical activity you enjoy. Look online for free workout videos; many sites offer comprehensive workout routines that require 30 minutes or less.

• Have some fun. If you can’t work out, or it’s just not your thing, find something else to do. Indulge in a hobby, read a chapter of a novel, play a board game with your kids — the options are limitless.

•  Learn some relaxation techniques. Meditation and deep-breathing exercise are two effective techniques for turning off and calming down. If nothing else, take a few quick breaks during the day to give yourself a mental timeout from work.

• Get some sleep! A good night’s rest is crucial for your physical and mental well-being. Be sure to get the recommended amount of sleep for your age. To ensure you can fall asleep, avoid caffeine and alcohol for several hours before your bedtime. And if you like to watch TV or scroll through your Twitter feed in bed, stop. Minimizing stimulating activities before bed will help you fall asleep more quickly.

For many of us, the coronavirus outbreak has added another level of stress to our work lives. To help you cope, the Centers for Disease Control and Prevention (CDC) has provided some tips for coping with work stress and managing fatigue related to the pandemic.        

Taking a smoke break

While this probably isn’t news to anyone, tobacco products, such as cigarettes, cigars, and chewing tobacco, are bad for your oral health. Smoking and chewing tobacco can lead to discolored teeth, bad breath, tooth loss and an increased risk of oral cancer. And while it doesn’t involve tobacco, the vapor from e-cigarettes contains nicotine — which can lead to gum disease and tooth loss — along with other chemical that can harm your teeth.

Healthy smile tip: If you use tobacco products or vape, stop. Both the American Cancer Society and the CDC offer free resources to help you quit. Your employer might also offer resources to help you fight your nicotine cravings.         

Waiting to treat dental injuries

It’s happened to many of us. You’re snacking during work or at lunch with coworkers when you feel that “uh-oh” crunch. Maybe it was a hard candy, maybe it was an ice cube, maybe it was the pit you missed inside that cherry, but you look in the mirror and, sure enough, you chipped or cracked a tooth.

But you have a meeting in an hour. Or a project due at the end of the day. It’ll be OK to wait a few days to see the dentist, right? Wrong. If you suffer a dental injury, time is of the essence.

Healthy smile tip: If you crack a tooth, the American Dental Association recommends that you see a dentist as soon as possible. Treat the injury by immediately rinsing your mouth with warm water to clean the area. You can also put cold compresses on your face to reduce any swelling.

The treatment will depend on the severity of the injury. For a chipped tooth, the treatment may involve smoothing the area of a small chip, or reattaching the broken piece of tooth enamel, or bonding in a filling or crown for a large chip. For a cracked tooth, the treatment can range from nothing for a small, surface crack to a root canal or extraction for a severely cracked tooth.

Regardless of the injury, your outcome will be better the sooner you visit your dentist — the meeting can wait.          

Attending happy hour

While it might be great for helping you relax after a hard workday, alcohol isn’t terrific for your teeth. It’s been linked to oral cancer, gum disease, tooth decay and dry mouth. Plus, some alcoholic drinks are high in sugar and citric acids, which can irritate mouth sores, damage your tooth enamel and make your teeth more susceptible to cavities. 

Healthy smile tip: Find another way to make the hour happy. Hitting a bar or raiding your fridge for a beer isn’t the only way to blow off steam at the end of the week. If time and weather permits, you can go for a run or bike ride. If you’re a social butterfly, plan a videoconference with friends to chat and enjoy some healthy snacks.

If the lure of the lounge is too strong to resist, consider a non-alcoholic cocktail or sparkling water. If you do drink alcohol, follow your drink with a glass of water to rinse away any sugars or acids. And finally, remember that it’s happy hour — always drink in moderation.

(04/11/2023)
by Delta Dental

More Information: N


Views: 609
Share
Share

How gum disease can influence heart disease, diabetes and even Alzheimer’s

A compelling new study is claiming to have uncovered the missing link explaining how gum disease is associated with diabetes, cardiovascular disease and even Alzheimer’s. The research demonstrates how periodontitis can initiate a systemic immune response that spreads hyperactive inflammatory cells throughout the entire body.

Severe periodontitis, or gum disease, has long been observationally associated with broader systemic diseases. Links between bad oral health and hypertension or even Alzheimer’s disease have frequently been detected but it has been challenging to determine whether the relationship is causal.

Now, in a robust study led by researchers from the University of Toronto, a potential mechanism has been found illustrating how oral disease may be exacerbating these other inflammatory conditions.

The researchers set out to explore the activity of a type of immune cell known as neutrophils. These frontline immune cells are produced when the body senses infection or trauma. And in the case of gum disease, neutrophils are a key part of the body’s natural immune response.

Initially using a mouse model of periodontitis, the researchers found an acute oral infection rapidly leads to heightened neutrophil production, and not just in the mouth. The animal model revealed increased neutrophil activity was detected in the bloodstream and colon, as well as the mouth. Elevated neutrophil counts were also seen in the animals' bone marrow, suggesting the oral infection may be triggering broader systemic production of these immune cells.

Michael Glogauer, senior author on the new study, says these heightened levels of neutrophils then circulate throughout the body, primed to attack any secondary infection. And this mechanism could be triggering, or at least exacerbating, other inflammatory conditions.

“It’s almost as if these white blood cells are in second gear when should be in first,” says Glogauer. “The [neutrophils] are much more likely to release cytokines much more quickly, leading to negative outcomes.”

The second part of the study looked to verify this kind of enhanced neutrophil activity in humans. A small cohort of volunteers was recruited and directed to stop brushing their teeth for three weeks in order to stimulate gingivitis, or inflammation of the gums.

After three weeks the researchers confirmed, through a variety of tests, enhanced systemic neutrophil activity. These abnormal immune markers disappeared two weeks after the subjects resumed their regular oral hygiene behaviors.

“We believe this is the mechanism by which oral hygiene can impact vulnerability to unrelated secondary health challenges,” says lead author Noah Fine. “Neutrophil (immune) priming throughout the body can connect these seemingly distinct conditions.”

Interestingly, the researchers suggest this discovery may help explain why some recent studies have cited connections between COVID-19 complications and poor oral health. Hyperactive immune system activity, referred to as cytokine storms, has been implicated in severe COVID-19 cases leading to death. Glogauer hypothesizes gum disease amplifying neutrophil activity may play a role increasing a person’s risk for severe COVID-19.

“There is evidence out there that patients with periodontal disease may be much more likely to have negative outcomes with COVID-19,” says Glogauer. “Neutrophils are the cells that are at prime risk of causing cytokine storms. That’s the exact cell we show is primed with people with periodontal disease.”

(04/08/2023)
by Rich Haridy

More Information: https://newatlas.com/medical/gum-disease-autoimmune-inflammation-heart-covid19-diabetes/


Views: 523
Share
Share

How long should I wait to brush my teeth after eating?

While it can be a good idea to brush your teeth after each meal, you should probably wait for a period of time until you do. Here, Calgary dentists explain how long you should wait, and why.

As you probably know, brushing your teeth is one of the most important components of your oral hygiene routine. It removes food particles, bacteria and plaque from the surface of your teeth and your gums, keeping your mouth clean and healthy between professional cleanings.

Our Calgary dentists recommend you brush at least two times a day, ideally first thing in the morning, and right before bed. If you want to add an extra brushing session each day to optimize your oral health (and keep your breath fresh!), it might make the most sense for you to brush after every meal.

Tip: Try An Electric Toothbrush

If you're brushing regularly but find that a regular toothbrush isn't doing the job for you, try an electric toothbrush! The small, round, rotating heads of electric toothbrushes can make it easier for some people to clean those hard-to-reach spots.

Brushing After Eating or Drinking

Some foods and drinks, particularly those high in carbohydrates and sugars, can stimulate the growth of oral bacteria that attack your tooth enamel. By brushing your teeth after you eat, you reduce this bacteria and help protect your enamel from damage.

For the best results, use toothpaste that contains fluoride to prevent tooth decay, and triclosan to reduce plaque and gingivitis. However, be sure to consult with your dentist before using a fluoride toothpaste, to make sure it's right for you.

It’s important to note that brushing your teeth immediately after eating can in some cases have a negative effect on your tooth enamel. If you have consumed something acidic, you should avoid brushing your teeth for about 30 minutes afterwards.

Foods that contain citric acid, like oranges, grapefruits and lemons, can soften tooth enamel for a time, and brushing too soon after eating them may damage the enamel while it’s in its weakened state.

In general, try eating nutritious foods that are low in sugar and carbohydrates after eating something acidic. This will help reduce the harmful acids that such foods can create.

In addition, prolonged exposure to phosphoric acid, which is often found in soft drinks, can erode your tooth enamel, exposing the more sensitive tissues beneath. Acid erosion can cause permanent damage to your teeth, so to keep it to a minimum, limit snacking between meals and limit your consumption of soft drinks and sugary snack foods.

(04/11/2023)
by Deer Valley Dental Care

More Information: N


Views: 568
Share
Share

Seven Ways to Combat Bad Breath

Halitosis, commonly known as bad breath, is commonly associated with certain foods. Garlic, onion, and cabbage can all cause a foul odor and taste for several hours after you’ve eaten them. This type of temporary halitosis is easily solved by avoiding the foods that cause it. However, in some cases bad breath is a chronic problem that simply changing your diet won’t solve.

Long-term bad breath is caused by the presence of bacteria in your mouth. These bacteria are most often found on the back of the tongue and thrive when your mouth is dry. Our dentist in 51449 shares a variety of ways you can help reduce or eliminate chronic bad breath. Some of these include:

1.- Practice good oral hygiene.

Brush your teeth after you eat as often as possible and at least twice daily. Clean between your teeth using dental floss or another interdental (between teeth) cleaner at least once each day. Food particles between teeth will break down slowly and cause unpleasant odors and tastes.

2.- Brush your tongue.

Even if you brush and floss your teeth as recommended, the bacteria causing your bad breath may remain on your tongue. Use a tongue scraper or toothbrush to gently scrape away any particles of food or bacteria every time you brush. For best results, place the scraper or brush as far back as you can manage without gagging. This will generally become easier over time.

3.- Keep well-hydrated.

Dry mouths allow bacteria to thrive. By drinking plenty of water, you can help prevent the bacteria growth and reduce or stop bad breath.

4.- Avoid bad breath triggers.

Onions, garlic, cabbage, coffee, and tobacco products are all known to cause bad breath.

5.- Chew sugarless gum.

By chewing sugarless gum, you increase saliva production and keep your mouth moist. This helps slow or prevent bacteria growth, minimizing chances of bad breath.

6.- Improve your diet.

Crunchy fruits and vegetables, yogurt, and foods rich in vitamins C and D all work to prevent the growth of bacteria, keep your mouth cleaner, and increase saliva flow.

7.- See your dentist.

Follow your regular schedule of dental hygiene appointments and exams. If you have tried the tips above without improvement, make an appointment for an exam to see if there may be an underlying condition that requires treatment. Treat any oral illnesses, such as decayed teeth, periodontal disease, or infection.

(04/10/2023)
by Family 1st Dental

More Information: https://ffdlakecity.com/general/7-ways-to-combat-bad-breath-implants-lake-city%EF%BF%BC/


Views: 521
Share