Dentists Journal

Top Ten Stories of the Week
5/13/2023

All Dentists Journal · Previous Week · This Week · All Time List · Headlines

Share

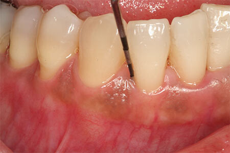
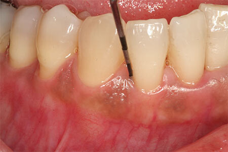
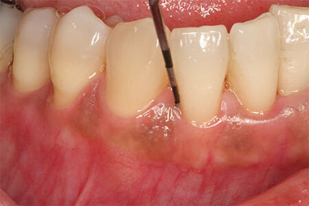
What Are Periodontal Pockets?

If you have a healthy mouth, you're probably not used to thinking about your gums. They fit snugly around your teeth and don't cause you pain or any other issues. But when the distance between your gum tissue and your teeth starts to widen in depth, it's a sign of gum disease. Gum disease can lead to deeper spaces around your teeth called periodontal pockets, and if untreated, these gum pockets can lead to tooth loss. But with early diagnosis and treatment, you can keep your teeth for a lifetime! Let's go over how periodontal pockets form, how they're diagnosed, your treatment options, and preventive measures you can take at home.

How Does a Pocket Form?

When the bacteria in your mouth is not regularly cleaned out, it will lead to the buildup of plaque (biofilm) on your teeth, especially around the edges of where your gums attach around the neck of your tooth. If not removed, this plaque eventually hardens into tartar, which you can't brush off on your own. You'll need a dentist or dental hygienist to remove it during a professional cleaning appointment. When left untreated, the toxins from bacteria will ultimately continue to adhere to your hardened tartar and cause inflammation in your gum tissue. This will create a condition referred to as gingivitis, the first stage of periodontal disease.

Inflammation and swelling due to plaque and tartar can result in pocket formation between your gums and teeth. As it pulls away from your teeth, your inflamed gum tissue is now the perfect place for more plaque and tartar to hide, deepening the pocket and threatening the health of the bone around your teeth. You can think of this phenomenon as a turtleneck sweater that begins to stretch out around your neck.

Diagnosing Periodontal Disease

Suppose you're experiencing any warning signs of gum disease, such as bad breath, bleeding, red and swollen gums, or receding gum tissue. In that case, it's imperative to have your dental professional examine your mouth. Beyond a visual assessment of your gum tissue, your dental professional will measure the pocket depth around each of your teeth with a periodontal probe. This allows them to determine the presence of periodontal disease and how far it has progressed.

Did you know that a dental professional can probe six different sites around your tooth during a periodontal examination? The National Institutes of Dental and Cranial Research (NIDCR) defines periodontal disease parameters as a tooth with at least one periodontal site with a pocket that's 4 millimeters or more in depth and 3 millimeters or more in attachment loss. When the tissue that attaches the gum to the tooth breaks down, the gum will recede, and bone support of the tooth is lost, causing teeth to become loose.

How to Eliminate These Pockets

Like many oral health issues, the first step in treating gum disease is to see your dental professional and have your teeth professionally cleaned. Also referred to as scaling and root planing, by removing the tartar and plaque buildup, this cleaning gives your gums a chance to tighten again around your teeth. If you have no significant bone loss, this may be the only treatment you need. However, in cases where deep pockets in your gums remain, your dental professional could recommend surgical treatment to stabilize your periodontal condition.

Beyond scaling and root planing, another nonsurgical treatment is to use topical or oral antibiotics to get your bacterial infection under control. If you require more advanced treatment, several types of surgery can remove infection and reduce your gum pockets. These include flap surgery, soft tissue grafts or bone grafts, and guided tissue regeneration.

Home Care for Prevention

Periodontal disease is very preventable. By keeping up with regular dental visits and a consistent home-care routine, you're doing everything you can to mitigate your chances of developing periodontal pockets. Healthy gums have a shallow pocket that is easy to keep clean, measuring only one to three millimeters in depth. Here's how you can keep your gum pockets shallow and easy to clean:

Use a soft-bristled toothbrush to clean your teeth twice a day, brushing carefully around your gumline where plaque tends to accumulate.

Replace your toothbrush every three to four months or when you see the bristles start to wear.

If your mouth tends to build up tartar quickly, use tartar-control toothpaste.

Cleaning between your teeth once a day is as important as brushing to prevent gum disease. You can use floss, a water flosser, or another interdental cleaning tool.

Be sure to follow your dental professional's recommendation for professional cleanings and gum examination. They may recommend more frequent cleanings after treating a severe case of periodontal pockets.

Diagnosing and treating periodontal disease in its early stages can eliminate unhealthy periodontal pockets. Treatment will curb its effect before it progresses to severe bone loss. Luckily, there are plenty of at-home measures you can take to prevent periodontal disease. But if you do need treatment, there are several nonsurgical and surgical options. Regardless of whether you have a very early stage of gum disease or are at the point of requiring surgery, a lifelong commitment to a vigorous oral care routine will be imperative for your future smile!

(05/08/2023)
by Colgate

More Information: https://www.colgate.com/en-us/oral-health/gum-disease/what-are-periodontal-pockets


Views: 545
Share
Share

Why Hydration Is Important For Your Oral Health, Dentist Explains

Hydration is essential for overall health, especially for your oral health. Adequate hydration can help prevent a range of oral health issues, including dry mouth, bad breath, and cavities. In this article, Dr Nihal Yadav, BDS, Amayra Dental Clinic, Kaushik Enclave, Burari, Delhi and Former Resident, Deen Dayal Hospital, Hari Nagar, Delhi, explains the importance of hydration for oral health.

Importance of Hydration for Oral Health

Water is the healthiest drink you can have to stay hydrated, essential for various bodily functions, like muscle and brain activity. Not only this, but it also helps to keep your oral cavity healthy. Here is how it happens.

Increases Salivation

Saliva is essential for oral health as it helps wash away food particles and neutralise harmful acids that can cause cavities. Saliva also contains minerals that help to protect tooth enamel and prevent tooth decay.

When you are dehydrated, your body generates less saliva, which can cause dry mouth, a condition in which there is insufficient saliva in your mouth. This can cause bad breath, a burning sensation in the mouth, and an increased risk of tooth decay and gum disease. Dry mouth is also a common side effect of certain medications, including those used to treat allergies, high blood pressure, and depression.

By drinking water you avoid dehydration and make sure that saliva is made at an optimum rate, thereby preventing a dry mouth.

Prevent Bad Breath

Staying hydrated can also help prevent bad breath. Bad breath is often caused by bacteria in the mouth that break down food particles and produce foul-smelling gases. When you drink water, you help flush away these bacteria and reduce the likelihood of bad breath.

Prevents Gum Disease

When you are not hydrated, your gums may become dry and swell. In extreme cases, they can leave their position and recede away, creating small pockets, and collecting plaque. This leads to gum diseases, like periodontitis. You can prevent this by drinking the best drink you have, i.e. water.

Promotes Healing

In addition to preventing oral health issues, hydration can also help promote healing in the mouth. If you have had oral surgery or a dental procedure, staying hydrated can help speed up the healing process by promoting blood flow to the affected area.

How Much Water Should You Drink?

The amount of water you should drink daily depends on several factors, including your age, weight, and activity level. However, a general guideline is to drink at least eight-ounce glasses of water per day. This is known as the 8x8 rule, a good starting point for people.

You may need to drink more water to stay hydrated if you are physically active or live in a hot region. You can also get hydration from other sources, such as fruits and vegetables, and soups. Water is the best choice as it is calorie-free and does not contain added sugars that can be harmful not only to your oral health but also to diabetes people.

(05/05/2023)
by Varun Verma

More Information: https://www.onlymyhealth.com/importance-of-hydration-for-oral-health-1682669026


Views: 589
Share
Share

How to Get Rid of a Dry Throat

It's an all too common human experience to roll out from under the covers and realize that your throat is dry. This annoying symptom can make it difficult to speak, swallow, or even eat. We're here to help you understand the most likely causes of a dry throat and what to do about it.

Dehydration

Did you know that you have hundreds of salivary glands that supply saliva to your mouth and throat? These glands rely on a steady supply of water to do their job. Dehydration can cause a lack of saliva production, along with a dry throat and dry mouth.

Saliva helps lubricate your throat and mouth, so it’s important to ensure your body can make enough of it to prevent a dry feeling. If dehydration is your problem, effective home remedies for dry throat might be as simple as finding ways to drink more water. To stimulate saliva production, considering chewing sugar-free gum or consuming dairy products.

Helpful tip: According to Penn Medicine, there's no single right amount of water to drink. A good guide to follow is that you should consume around a half-ounce a day for each pound that you weigh on a typical day. So, a 200-pound person should consume 100 ounces of water daily. If you live in a hot climate or perform strenuous activity, the amount could be higher.

Allergies

Hay fever (also known as allergic rhinitis) occurs when your body is sensitive to particles entering through your airway, increasing mucus production and inflaming your nasal passages. This response can cause you to experience a range of symptoms, including a dry throat.

Allergens and irritants like pollen, dander, dust, and smoke are likely to trigger hay fever.

If you’re experiencing hay fever, your symptoms may include:

Dry throat or dry mouth

Cough

Congested or runny nose

Itchiness

Tiredness

It can be frustrating to deal with hay fever, but there are various steps you can take to prevent exposure and manage your symptoms.

Treatment and prevention tips include:

Medications: Both prescription and over-the-counter options are available to reduce some of the most annoying symptoms, like runny nose and dry throat. These options include antihistamines, decongestants, and other widely available options.

Air Conditioning: Avoid fans that can blow particles around in favor of air conditioning that can help remove them from the air.

Protect your eyes: Wear sunglasses to block particles from entering your eyes, and try not to rub your eyes to avoid aggravating them.

Keep a clean environment: Regular removal of potential irritants or allergens will help prevent episodes or reduce your symptoms.

The Common Cold

The common cold is, as the name suggests, incredibly common. According to the University of Rochester Medical Center, this condition leads to more people visiting healthcare professionals and calling out from work than any other. It’s caused by over 200 different viruses, though they all produce similar symptoms.

Symptoms of the common cold may include:

Mucus in your throat

Itchy throat

Congested or runny nose

Fever

Soreness or tiredness

While there’s no cure for the common cold, there are many steps you can take to reduce its symptoms:

Drink plenty of fluids and get a lot of rest

Use over-the-counter medications as instructed on the packaging, like decongestants, cough medicine, antihistamines, or pain medication

Gargle with a mixture of salt dissolved in warm water

Did you know: Despite what you may have heard from friends and relatives, the common cold is not caused by exposure to cold or wetness.

Waking Up With Dry Throat

If you go to bed feeling fine but wake up with a bothersome dry throat, you might be breathing through your mouth while you sleep. This can be caused by a congested nose or throat, back sleeping, or another medical condition.

You may also find yourself with a dry throat in the morning if you experience sleep apnea, a condition that disrupts your breathing and sleep. Sleep apnea is a serious condition that can cause other health problems, so it’s a great idea to speak with your medical professional.

To prevent waking up to an annoying dry throat, it’s a good idea to drink a glass of water before bed to help prevent dehydration, avoid sleeping on your back if possible, and take steps to unclog your nose, so you don’t breathe out of your mouth.

There are many potential causes for your dry throat, so it’s your best bet to determine and treat its underlying cause. While it can be hard to do this on your own, luckily, there are medical professionals at your disposal to assist with expert diagnosis and treatment. You’re now informed of the top causes of your dry throat and ready to manage your symptoms.

(05/06/2023)
by Colgate

More Information: https://www.colgate.com/en-us/oral-health/mouth-and-teeth-anatomy/how-to-get-rid-of-a-dry-throat


Views: 519
Share
Share

Seven Ways to Tackle Gum Sensitivity

Do you have swollen, irritated or painful gums? Do your gums bleed or become sore when you brush or floss your teeth?

If yes, unfortunately you are suffering from gum sensitivity. Gum sensitivity and soreness is one of the most common, yet ignored dental health problems. Pain from gum sensitivity can range from just few minutes to days and even months. Gum diseases, poor oral hygiene, unhealthy habits and stressful routine are all probable causes of this dental condition and while mild sensitivity is often ignored, severe gum sensitivity calls for serious treatment and lifestyle changes.

You can deal with less critical gum issues at home, but, in case of a severe underlying cause or associated diseases, it’ll be best to visit a dentist.  

Here are 7 ways to tackle unpleasant aches and maintain healthy gums:

1. Take Care of Oral Hygiene

Your mom probably doesn’t remind you to brush and floss your teeth anymore, so you’ve started neglecting your oral hygiene. But if you really want to protect your gums and ensure that they don’t become sensitive, it’s important to develop healthy habits in the long run.

Brush your teeth twice a day with a soft bristle toothbrush. Ask your dentist for the best technique and keep in mind that excessive or vigorous brushing might worsen the condition. Floss your teeth at least once a day. It’s also a great practice to use an antiseptic mouthwash after every meal as it’ll soothe irritated gums and kill bacteria.

2. Say No to Smoking

Smoking is a bad habit that is not just harmful for your lungs, but your whole body, especially your teeth. Apart from turning them into a nasty shade of yellow, smoking also affects your gums. If you’re a smoker, quit smoking to get rid of gum sensitivity for good.

3. Drink Water After Meals

As simple as it may seem, drinking water is a good way of washing away the remnants of food in the mouth or teeth– plus extra hydration is always a good thing!

4. Eat Food Rich in Vitamin C

Vitamin C is your gums best friend. It strengthens them and ensures that sensitivity becomes a non-issue. Try to increase the intake of citrus fruits like orange, kiwi, grapefruit and lemon as they are rich in vitamin C. Vegetables like broccoli, cauliflower, Brussels sprouts and capsicums are also great sources of vitamin C. An adult must consume 65-90 mg of vitamin C every day.

5. Avoid Stress

Stressful jobs and routines can affect both your physical and psychological health. The relation between stress and gum sensitivity might seem odd to some but you’ll observe rapid improvement in your gum condition if you manage your sleep patterns, exercise daily, be happy and take a chill pill.

6. Take Over-the-Counter Medication for Mild Distress

Mild gum sensitivity and soreness can be treated with some over-the-counter medicines too. However, you make sure you go through the medication package insert before using them. Oral gels and pain killers can help soothe gum sensitivity to some extent. These may include: Anbesol, Orajel, Chloraseptic, and Xylocaine.

7. Visit a Dentist

If the soreness doesn’t improve, make an appointment with your dentist right away. Overlooking lingering gum sensitivity can worsen the condition and you might be at the risk of other gum diseases. The dentist will analyze the causes, diagnose the disease, prescribe medication and suggest treatments to help you overcome the problem.

(05/05/2023)
by IO Dentistry

More Information: https://iodentistry.com/7-ways-tackle-gum-sensitivity/


Views: 529
Share
Share

Early Signs of an Oral Infection

Harmful germs, fungi, viruses and bacteria can multiply and cause oral infections anywhere in or around the mouth. In most cases, poor oral hygiene contributes or leads to these infections.

Plaque continues to develop around the teeth and on the surface of your tongue, increasing the risk of damage to teeth and soft tissues. Similar to many other diseases, mouth infections require care and treatment as soon as possible by a dentist so they don't progress and cause further complications. 

In this post, our Edmonton dentists will list some early signs of an oral infection.

What are common oral infections?

'Oral infection' is an umbrella term for a group of several infections occurring in your mouth. They may be of a dental origin (in your mouth) or a non-dental source (in other soft tissues). Most people will develop at least one cavity in their lifetime, making this the most common oral disease. 

Other common oral infections include:

Cold Sores

Not to be confused with canker sores, the herpes simplex virus causes painful blisters to appear around the mouth. 

Endodontic Disease

Bacteria infects the pulp of the tooth, which can cause pain and necrosis (death) of the tissue. 

Gingivitis

Bacteria infects the gums during the early stage of gum disease. 

Hand, Foot & Mouth Disease 

Also called thrush or candidiasis, the highly contagious coxsackievirus leads to painful sores around the mouth, along with rashes on the hands and feet. 

Oral Thrush

This fungal infection of the mouth is also known as oral candidosis (or candidiasis) since it's caused by a group of yeasts called Candida. It is not contagious. This oral yeast infection can cause a range of symptoms, from loss of taste and a painful burning sensation in the mouth to white patches (plaques) in the mouth that can often be wiped off. 

Periodontal Disease

The gums become infected with bacteria during the later stages of gum disease. 

What are mouth infection symptoms?

You may experience different symptoms depending on the oral infection present. Vital infections can cause cluster-like lesions inside or outside the mouth, while bacterial and fungal infections can cause redness or ulcers in your oral cavity. 

Some common symptoms include:

Sores in the mouth, lips or gums

Recurring bad breath

Pain in your teeth, gum or jaw

Tooth sensitivity to hot or cold foods 

Sore or bleeding gums 

Swelling of the gums, jaw or lymph bodes

Loose teeth 

Fever

Headache

Malaise

Difficulty swallowing, biting or chewing 

When should I see my dentist?

If you notice any of the symptoms above or suspect you may have an oral infection, see your dentist as soon as possible. 

Your dentist will note your dental history and perform a thorough clinical exam to determine the cause. Bacterial, fungal or viral infections are typically diagnosed based on their symptoms. 

Depending on the nature of your condition, tests may involve exposure to hot and cold stimuli, an electric pulp test, percussion and dental X-rays. In some instances, a swab test may be needed to test for pathogenic organisms. 

What treatments are recommended for oral infections?

The cause of your infection will determine the best treatment option. Oral surgery will be needed to treat dental abscesses and other tooth-related infections.

A dental filling or crown may then need to be placed. Alternatively, you may require a root canal or, in severe cases, a tooth extraction. 

Generally, viral infections do not need to be treated beyond addressing the symptoms, while the primary infection involved in a bacterial infection will require treatment to alleviate oral symptoms. 

For fungal infections, you may need to apply a topical antifungal ointment or rinse with an antifungal mouthwash. 

Most oral infections have a good prognosis if they are diagnosed and treated early. However, with severe cases, the infection can potentially progress to a level where extracting the problem tooth is the only solution. 

How can I prevent oral infections?

To prevent mouth infections, employ some basic health and oral hygiene practices such as:

Maintaining oral hygiene 

Brushing twice each day 

Flossing 

Using antiseptic mouthwashes within the prescribed limit 

Avoiding direct contact with an infected person

Keeping mouth hydrated 

Taking the necessary vitamins and minerals 

Not sharing toothbrushes or razors. 

(05/09/2023)
by Azarko Dental

More Information: https://www.azarkodental.com/site/dental-blog-edmonton/2023/01/31/early-signs-oral-infection


Views: 466
Share
Share

A Healthy Mouth Equals A Healthier Hearth

When it comes to our bodies, everything is interconnected in a complex ecosystem. In fact, recent studies suggest that there is a link between our oral health and our cardiovascular health, and that proper oral hygiene can reduce your risk of a heart attack or stroke!

The Connection Between Gum Health And Heart Health

Inflammation caused by gum disease can possibly contribute to an increased risk for heart problems. Since the mouth is the gateway to the rest of the body, gums that are infected or bleeding allow bacteria to enter the bloodstream.

Once inside, some types of bacteria cause low-level inflammation of blood vessels but do not show as a blood infection. This makes treatment very difficult once the bacteria have become established in the body. The constant low-level inflammation can induce atherosclerosis–the hardening of arterial walls–which can lead to blockages.

An Ounce of Prevention is Worth a Pound of Cure

Everyone knows that a healthy diet and exercise is good for your heart, but if you are not practicing good oral hygiene, your cardiovascular health may be at risk. Fortunately, the worst offenders (gum disease and tooth decay) are completely preventable! Follow these guidelines to help keep your mouth (and heart) healthy and disease-free:

Brush your teeth twice a day for two minutes while gently massaging the gums

Floss every day

Brush your teeth or rinse with water after eating or drinking throughout the day

Don’t skip your regular dental cleanings and checkups

As research continues, it’s likely that there will be more links found between gum disease and heart disease. Establishing good dental hygiene habits now and sticking to them will help prevent tooth decay, gum disease and a myriad of other problems.

(05/07/2023)
by Island Family Dental

More Information: N


Views: 437
Share
Share

Gum Irritation: Four Self Induced Causes

From hot food burns to infections, gum injuries have several possible causes—but sometimes they're self-induced. Luckily, you can prevent gum irritation by identifying activities and habits that are causing them. Read up on four causes that might be damaging your delicate gums – and get tips on changing your habits to prevent future irritation.

1. Overly-Aggressive Brushing

Using excess pressure when brushing may feel like it keeps teeth and gums cleaner, but the opposite is true – aggressive brushing irritates your gums, which can cause more severe infections. As long as you're thorough, gentle pressure is sufficient for food and plaque removal. Use short, precise strokes to clean each tooth's entire surface. And chose soft-bristled toothbrushes, as they're best at effectively cleaning teeth without aggravating delicate gum tissue.

2. Improper Flossing Technique

Overleasous flossing is also a no-no. Avoid using high pressure or vigorous back-and-forth movements to dislodge food and plaque, as this can lead to further gum irritation or even bleeding gums (as well as being uncomfortable).

Prevent irritating gums while flossing with a gentle approach:

Slowly move the floss back and forth, up and down, and gently against the sides of your teeth.

With this level of pressure, flossing around the base of your teeth ensures that you reach food beneath your gumline – too much force can make this easy to overlook.

Avoid pushing the floss into this area abruptly or snapping it into place, as doing so can cut or bruise your gums.

Not a fan of traditional flossing or just can’t get into the habit? Try using a water flosser, an interdental cleaning device that emits a steady stream of water to gently clean hard-to-reach places between your teeth.

3. Home Whitening Treatments

Peroxide-based agents will whiten teeth but can cause irritation if they come into contact with gum tissue. Because OTC whitening strips or trays aren't designed to fit the contours of your mouth, they may allow peroxide to touch your gums.

A dental professional can help you whiten teeth at home without irritating your gumline by creating a custom-fitted whitening tray. This tray will ensure that the bleaching products only come into contact with your teeth and not the delicate tissue beneath them.

4. Dietary Choices

The foods you eat are can also contribute to gum irritation. Hard candies or crunchy items like potato chips can scrape against gums and cause irritation as you chew. Can't give up the crunch? Reach for healthy alternatives like celery or carrots. According to the UIC College of Dentistry, crunchy natural foods act like teeth cleaners by stimulating flow while scrubbing away bacteria and food particles.

Treating Your Irritated Gums

If your gum irritation feels or looks serious, make an appointment with a dental professional, as it could be symptomatic of a different oral health condition. But if one of these four self-induced causes is the culprit, home remedies can ease gum irritation. Michigan Medicine lists over-the-counter pain killers, topical gels, hot or cold compresses, and warm salt water rinses.

Irritated gums are no fun, but making small changes to daily habits and can make a difference. The sooner you get to the root of the cause, the sooner you’ll be able to treat your irritated gums and get back to a pain-free, confident smile.

(05/08/2023)
by Colgate

More Information: https://www.colgate.com/en-us/oral-health/gum-disease/gum-irritation-four-self-induced-causes


Views: 439
Share
Share

Tips For Preventing Teeth Stains From Braces

The day your braces come off is one of the most exciting days of your life, regardless of when you got them on. Yet having undergone incredible patience (and expense) to straighten your smile, seeing the process has left you with stained teeth can be very upsetting. Take heart in learning there are several ways to prevent this discoloration while wearing braces.

It's Often Not the Braces

Your teeth can become stained during orthodontic treatment for several reasons. Traditional braces have a complex design of brackets and wires that can trap food, leading to a build-up of bacteria that causes plaque to form. Therefore, it's not the actual braces that cause these stains but the biofilm that forms in crevices that are hard to reach.

Having braces make it difficult to remove this plaque, allowing it to create acids that strip the minerals from your enamel. This demineralisation changes the way the tooth surface reflects the light, resulting in the development of those tiny white spots in the areas that are difficult to reach.

Plaque also increases your risk for tooth decay and gum disease while the braces are on. Prevent these issues with a healthy oral care routine for braces. Gently brushing your teeth to avoid damaging the brackets and flossing with an orthodontic floss threader are effective ways to keep your mouth healthy while wearing braces.

The bonding material used to attach orthodontic brackets to teeth can become discoloured over time from exposure to tooth-staining foods and beverages, but this material will be removed when the brackets come off. Preventive measures are best for avoiding stains while wearing braces.

How to Prevent Teeth Stains From Braces

It's essential to practice good dental hygiene at all times, but when you're wearing braces, the complete removal of plaque/ biofilm is tough to do. Your best defence against teeth staining with braces should include:

Limiting certain foods and drinks from your diet, such as sugary or starchy items, high acid fruit drinks, and sodas. If you are away from home and can't brush your teeth right away after eating or drinking these foods and beverages, rinse your mouth with water to help neutralise plaque acids.

Brushing and flossing after every meal. Water flossers are also helpful tools to clean around braces. To make this easier to manage, it is recommended to eat three meals a day, avoid between-meal snacks, and choose tooth-friendly snacks.

Choose a whitening formula of toothpaste that contains stannous fluoride that will also help reduce plaque or build-up.

Wait 30 minutes after eating to brush your teeth, as this gives your enamel time to settle and your saliva time to wash away the acids left by the food.

Regular dental cleanings help remove tartar that you can't eliminate from daily brushing and flossing.

For patients who find they are particularly prone to plaque developing on the biting surfaces of teeth, pay extra attention to brushing and talk to your dentist about the benefits of sealants before getting braces. Talk to the orthodontist to see if this would be practical for you.

(05/10/2023)
by Colgate

More Information: https://www.colgate.com/en-in/oral-health/teeth-whitening/how-to-prevent-stained-teeth-from-braces


Views: 540
Share
Share

Effective Home Remedies for Mouth Smell

Regular dentist visits and proper oral hygiene are critical for a healthy mouth. But there are other things you can do to help fight off bad breath and halitosis. Home remedies for bad breath can make a big difference to your oral hygiene over time, when used in conjunction with your daily dental care and visits. So adopt these simple but effective habits to treat bad breath.

Hydrate

Drinking enough water is one of the simplest steps you can take to curb bad breath. When your mouth doesn't have enough moisture to produce saliva, odor-causing bacteria can develop. Side effects from certain medications, medical conditions and diseases can deprive you of that necessary moisture, but not getting enough water can also contribute to dry mouth in otherwise healthy people.

Staying hydrated is important, particularly before and after heavy exercise, when rapid breath can increase dry mouth. While it's a healthy practice in and of itself, be sure to drink water when you first wake up. Dry mouth can occur while you're asleep, so hydrating first thing in the morning gives you a jump on a night's worth of collected bacteria.

Brush and Floss

Daily tooth brushing along with flossing are the most important actions you can take to ward off bad breath. According to the Indian Dental Association (IDA), bad breath is caused by the decay of food particles that are not removed from the mouth by brushing and flossing, and therefore you should brush and floss your teeth daily. So, it's recommended to brush two times a day for at least two minutes.

Today, flossing has become an integral part of daily oral care and the American Dental Association recommends you floss once daily at least. Correct flossing after each meal consistently cuts down on plaque, bacteria and odor-causing food particles. Flossing helps stop periodontal disease as well, another cause of bad breath.

Clean Your Tongue

Cleaning your tongue can effectively decrease halitosis-causing compounds. These compounds form on your tongue and in your mouth when bacteria and amino acids combine, emitting an unpleasant sulfur-like smell. So cleaning your tongue regularly is important in fighting halitosis.

Eat Healthy

It's common knowledge that certain foods like raw onion or garlic cause bad breath. Such foods, when ingested and excreted by the lungs, cause halitosis. But avoiding acidic foods (like vinegar) or high-fructose foods (like sugary cereal) cuts down on bad breath too. Both acids and sugars increase production of bacteria and bad breath.

Instead, choose a diet that curbs intestinal upset and odor-causing bacteria. The Indian Dental Association warns that sugar containing foods increases plaque formation and extends the length of time that bacterial acid production can occur, therefore you should reduce your sugar intake.

The IDA further notes that Cheese is considered as an anti-cavity food, it stimulates the flow of saliva, which helps repair early cavity formation. Fruits and vegetables act as natural cleansers, due to their high fibre content. The IDA also suggests to integrate plenty of fresh vegetables into your daily meals and eat fruit, nuts and celery or carrot sticks as snacks.

Use a Mouthrinse

Use a mouthrinse after every meal that can help reduce plaque and gingivitis and freshens breath. Mouthrinse alone is not an effective remedy but should be used in addition to regular brushing and flossing.

Use Traditional Remedies

Home treatments passed down over the years are a good complement to your daily dental care. Herbs such as fennel, for example, have long been used in some cultures as a breath sweetener. Fennel increases saliva production, and contains numerous antibacterial properties, and a few sprigs will do the trick after or between meals.

Fresh breath is a sign of a healthy mouth, and a healthy mouth is often a good indication of your overall health. These home remedies for bad breath are habits you can take up in your own home, and they're integral to fighting and preventing the underlying causes of bad breath.

(05/06/2023)
by Colgate

More Information: https://www.colgate.com/en-ph/oral-health/bad-breath/effective-home-remedies-for-bad-breath


Views: 406
Share
Share

What a Sore Throat and Tongue Can Mean

Having a sore throat is uncomfortable and inconvenient, and even more so when accompanied by a sore tongue. The combination of a sore throat and tongue is not a rare symptom of certain conditions, but your diagnosis depends on the other signs and symptoms you experience.

Causes of a Sore Tongue and Throat

Mouth ulcers are a common reason for a painful throat and tongue . Whether they're caused by canker sores, cuts from sharp foods or a bacterial infection, they can affect any of the soft tissues inside your mouth – including your tongue, inner cheeks and the gum tissue surrounding your teeth. However, don't count out conditions such as candidiasis, thrush or burning mouth syndrome as other common reasons for a sore throat and tongue.

Signs and Symptoms

Patients who have any of these conditions typically show some or all of the following signs:

Tiny, red or white spots on the tongue and throat

Blisters containing fluid

Sore and swollen throat

Pain and difficulty swallowing

Tongue swelling

Tooth sensitivity to hot foods

It is also possible to have a fever and experience chills or sweating alongside this oral irritation.

Treatment Options

The first step in determining the cause of your sore tongue and throat is to find (and deter) the cause of the pain itself. Move to quit smoking, step up your oral health regimen by brushing after each meal and rinse your mouth daily with a Peroxyl based mouthwash. This type of mouthrinse has a bubbling action that specifically cleans and soothes ulcers and other mouth irritations. If your sore throat and tongue are indeed related to oral hygiene, this should eliminate the cause and promote long-term healing. Of course, feel free to use non-prescription medications such as lozenges and ibuprofen to reduce swelling in the interim.

When to See a Doctor

Most mouth sores and irritations disappear within 14 days. But if your sore throat and tongue returns, or if it lasts longer than this period with no sign of clearing, make an appointment with your doctor. Alternatively, sore throats that are exceptionally severe – or bring with it fever of over 101, according to the Indian Dental Association– might indicate a bacterial infection that requires antibiotic treatment. You may also be a candidate for more comprehensive treatments to tonsillitis, swollen glands or a thyroid condition.

Keep in mind cancers of the head and neck can also cause symptoms such as a sore throat and tongue, but symptoms often persist beyond a few weeks in spite of treatment. They may also be accompanied by a hoarseness, coughing, trouble breathing, ear pain or unexpected weight loss.

With proper dental care and a good oral care regimen, however, you can protect your teeth and tongue from basic health problems and deal with related concerns immediately when they arise.

(06/23/2023)
by Colgate

More Information: N


Views: 499
Share