Dentists Journal

Top Ten Stories of the Week
3/16/2024

All Dentists Journal · Previous Week · This Week · All Time List · Headlines

Share

Can I Get Braces if I Have Dental Implants?

Dental implants and braces are both a great option for gaining that healthy, beautiful smile you have always dreamed of. However, these two procedures and treatments don’t go hand in hand. Dental implants act like normal teeth, but in the end, they aren’t natural teeth and that means they can be limited in some aspects, such as getting braces.

What Are Dental Implants?

Dental implants are basically a type of false teeth. They have a metal post that is placed in the bone below the area of a missing tooth. There is then an abutment attached to the post and a false tooth cemented to it. This means that dental implants are fixed in place by metal in your jaw. This is unlike natural teeth that have snaking roots down in your gums rather than attached in such a permanent manner as a dental implant.

What Does This Mean?

This means that a dental implant can’t be moved or adjusted like natural teeth once it’s in place. If attempted, this could result in major damage to the jaw, surrounding teeth, and to the dental implant itself. If orthodontic treatment is desired or needed, this must be completed before the dental implants are placed. Since dental implants are adjusted to fit into the teeth around them, they don’t need special treatments to be straightened. If the surrounding teeth are already straightened or corrected, the dental implants will fit nicely into place with the natural teeth.

Will I Need to Tell My Dentist This Information?

It’s important to point out that your dental professional will know all of this information. You won’t have to wonder if they’re going to try and do it backwards as this is usually common knowledge. However, if you are seeing a new dental professional, be sure that you mention if you have any false teeth such as dental implants in place. Although they usually update your information with X-rays and past dental treatments, it’s always good to offer extra information for them just in case. Things can be missed however, it’s usually a safe bet they won’t miss a dental implant or something similar since these are pretty obviously noticed in X-rays and even basic oral exams.

Both dental implants and braces are amazing tools for giving you that gorgeous smile you’ve always wanted. However, if you plan on using both, you will have to wait on the dental implants until you’ve completed a round of braces. This may mean having missing teeth until the treatment is complete. Never be afraid to ask your dental professional about the process and what it means for you. Often times, if you have reservations, they have ways to calm those worries. In the end, they’ll ensure you have a smile you can be proud of.

(03/08/2024)
by Andros Orthodontics

More Information: https://www.androsorthodontics.com/2019/07/19/can-i-get-braces-if-i-have-dental-implants/


Views: 581
Share
Share

Reasons Your Teeth Could Be Aching

Toothaches are typically caused by tooth decay that has been neglected to the point that it causes considerable physical pain. But there are other reasons for tooth pain. Anything from excessive teeth grinding or clenching to gum disease, infection, trauma or an erupting tooth can cause a toothache.

Here is a closer look at the different reasons why teeth ache.

Damage to the tooth

A tooth that has suffered physical trauma is likely to hurt. If the trauma is from a powerful force like a hockey puck, racquetball racket, baseball, football or something similar, the pain will be substantial. But even something as simple as a damaged or broken filling, dental implant or crown can also cause tooth pain.

Gum disease

Teeth might ache as a result of gum disease. Swollen and red gums are symptoms of gum disease and will amplify tooth pain. It is also possible that teeth can hurt from gingivitis, which allows plaque to accumulate to the point that it impacts the gums. If gingivitis is neglected, it will lead to periodontitis, which causes the inner portion of the gums to recede from the teeth, creating pockets that allow for food particles and bacteria to gather.

Sinus pain infection

Even sinus infections can spur pain in the teeth and other portions of the mouth. If pressure from sinuses filled with fluid causes pain along the upper rear portions of your mouth, there will also be significant pain in your teeth. A dental visit is required for advice regarding the use of decongestants and/or additional medications to minimize pain.

Tooth decay

Tooth decay is one of the leading causes of oral pain. There are different levels of severity. Cavities will form holes within teeth, through the enamel and into the sensitive dentin beneath. Cavities that reach this level of decay will cause noticeable pain. If the tooth's nerve and pulp are infected, an abscess can form and spur even more serious tooth aching.

Additional causes of toothaches

Anything from tension along the facial muscles to TMJ (Temporomandibular Joint Disorder), an ear infection or a sinus infection can cause tooth pain. In many instances, such health issues occur in unison with a headache. If there is an indication that your toothache is due to a medical illness, your dentist might refer you to a doctor. Yet, there still could be myriad additional reasons for your toothache. Do not hesitate to visit with your dentist to get to the bottom of this mystery and find out what is really causing your tooth pain.

(03/09/2024)
by Healthy Smiles Dentistry

More Information: https://www.healthysmilesgeorgetown.com/blog/reasons-your-teeth-could-be-aching/


Views: 392
Share
Share

Silent Killers: Understanding How Gingivitis and Periodontitis Can Gradually Destroy Your Teeth

Have you ever experienced the sharp, throbbing pain of a toothache that just won’t quit? Or perhaps, you’ve felt a dull ache in your gums that persists even after brushing and flossing diligently? If so, you may be one of the millions of people worldwide who suffer from periodontitis, a common and often overlooked condition that can lead to serious dental problems if left untreated. Specifically, periodontal disease represents a slow and insidious death for the teeth, gradually “melting” away the bone tissue that holds the teeth firmly in place.

Periodontitis, specifically, is a pervasive oral health issue that affects millions of people worldwide, ranging from mild forms that can be treated easily to more severe cases that can result in tooth loss and require extensive medical intervention. Statistics show that severe periodontal disease affects 19% of the global population (1 billion people).  This makes it the sixth most common disease worldwide.

So what exactly is periodontitis, and how can you identify it before it’s too late? Join us as we take a deep dive into the dynamic world of periodontal disease, exploring its genesis, symptoms, and potential treatment options.

Phase 1: Gingivitis

Periodontitis and its precursor, gingivitis often go unnoticed until significant damage has already been done and in many cases – irreversible. Gingivitis is essentially inflammation of the gums, which in its turn is an effect of plaque buildup from inadequate oral hygiene. The bacteria in plaque produce toxins that can damage the gums and cause them to pull away from the teeth, forming pockets where more bacteria can accumulate. This vicious cycle leads to deepening of the pockets, and the gums starting to recede, exposing the roots of the teeth. This can cause sensitivity, pain, and eventually, tooth loss.

Genetics and personal habits such as smoking and poor oral hygiene can also contribute to the development of gingivitis and periodontitis.

What can you do:

Maintain excellent dental hygiene by following the 3 mandatory steps – flossing, brushing and rinsing with mouthwash.

Turn to specialized dental care. There is a variety of products designed for irritated and bleeding gums.

Flossing can be tricky since the gingivitis irritates the gums and makes them prone to bleeding thus flossing can be damaging for more severe cases and is not recommended if you notice pain of abnormal bleeding.

Brushing. Nordics organic toothpaste for sensitive gums is an excellent suggestion. It contains bio extracts of aloe vera (calming), nettle and salvia (antibacterial), pomegranate (tightening action) in combination with zinc citrate that prevents plaque from sticking on the surface of the teeth. Also, it’s mandatory to use soft toothbrush in order not to further damage the swollen gums, still, you need to make sure you brush away the plaque diligently. Nordics ultra soft toothbrushes have 12,000 bristles that effectively but gently clean the surface of the tooth.

Rinsing. Always use a mouthwash that contains some kind of antibacterial agent in order to create a synergy action with the toothpaste. Rinsing also helps wash away the particles pushed to the surface after flossing.

Prophylaxis is crucial but if you notice one of the symptoms swelling, tenderness, bleeding, and persistent bad breath you need to visit your dentist.

 

Risks of leaving gingivitis untreated

Gum disease often goes undetected and, when untreated, can cause irreversible damage to soft tissue and bone. This leads to gum recession, jawbone deterioration and eventually to tooth loss.

Furthermore, studies link untreated gingivitis to a higher risk of cardiovascular disease, stroke, and diabetes. Poor oral health causes systemic inflammation and can lead to various health issues.

 

Progression to periodontitis

Periodontitis is a complex and mystifying process where certain types of bacteria cause damage to the gum tissue and bone structure supporting our teeth. As discussed it is usually preceded by gingivitis – the mild form of gum disease, that can progress to a more severe and damaging form.

Periodontitis begins with the accumulation of dental plaque, a biofilm composed of bacteria and extracellular matrix, on the teeth and gums. The bacteria in the plaque trigger the host’s immune response, leading to inflammation of the gingival tissue. The initial inflammatory response is characterized by increased blood flow and vascular permeability, which allows immune cells and proteins to infiltrate the affected tissue. In some individuals, the inflammatory response is not effectively resolved, resulting in persistent inflammation and destruction of the connective tissue and alveolar bone that support the teeth.

Early signs are often subtle, including bleeding gums, persistent bad breath, and slight discomfort while chewing. Without treatment, these symptoms worsen and more complications add up. Thus in the later stages of the disease, a person experiences bleeding and receding gums, deep pockets between the teeth and gums, loose teeth, changes in bite or tooth alignment, pus around the teeth and gums.

In severe cases, a deep cleaning procedure called scaling and root planing may be necessary. A balance of oral bacteria is necessary to maintain healthy teeth and prevent gingivitis and periodontitis from gradually destroying your teeth.

The tricky thing here is that periodontitis often doesn’t cause significant pain or other symptoms until things have already progressed quite far. In other words, you could slowly lose your teeth without even realizing it.

Treatment of periodontitis

For Nordics, the Number 1 treatment for all diseases is prophylaxis. It is equally effective both for kids and for adults.

Great prophylaxis includes great care from the side of the patient and finding the right dental care products. Besides the well-known brushing routine mentioned above, it’s recommended to add an antimicrobial mouthwash to reduce the number of bacteria in the mouth and specialized interdental brushes, made for cleaning the in-between spaces of loose teeth due to periodontal progression.

But if you’ve gone over that phase there are some key facts that you need to know about periodontitis treatment.

It typically involves a combination of non-surgical and surgical procedures aimed at controlling the infection and restoring the health of the gums and supporting structures of the teeth.

The first group includes scaling and root planning which is a deep cleaning procedure that removes plaque and tartar buildup from the teeth and roots. It also includes antibiotic treatment to help control the bacterial infection.

Surgical treatments may prove very effective, especially in the long-term treatment of the disease and lead to significant relief in patients’ symptoms and preservation of teeth. Surgical procedures include flap surgery that removes tartar deposits in deep pockets beneath the gums and re-contours the gum tissue to reduce the depth of the pockets. Bone and tissue grafts are done to regenerate lost bone and tissue that support the teeth for future implants in the place of the missing tooth. Guided tissue regeneration is a procedure that involves placing a barrier membrane around the tooth to encourage the growth of new bone and tissue.

It is important to note that periodontitis is a chronic condition, and ongoing maintenance and follow-up care with a dental professional is necessary to manage the disease and prevent its progression. So, next time you’re tempted to skip flossing before bed, remember that it might not just be your teeth at stake.

Studies have shown that untreated gum inflammation can cause inflammation throughout the whole body, worsening conditions such as rheumatoid arthritis and inflammatory bowel disease. That’s why it’s crucial to promptly seek treatment for any gum inflammation.

Summary

Though this article and the pictures in it may indeed look shocking, there is no room for panic. Remember that both gingivitis and periodontitis are diseases that take many years to develop, thus there’s a lot we can do about it.

Regular brushing and flossing, coupled with frequent dental check-ups, are the cornerstone of pre-emptive dental care. Furthermore, we can 100% count on our dental expert for yearly detection through a comprehensive exam and removal of plaque and tartar.

Nonetheless, neglecting dental health is our personal responsibility and can lead to costly, serious conditions that require complicated procedures like root canals or dental implants.

In summary, if you notice bleeding gums, bad breath and irritated gums don’t ignore them. Rather, organize your dental care routine and rethink some harmful habits tobacco and alcohol, and excessive sugar intake.

It is incumbent upon us to take charge of our dental health, and not lose sight of the broader implications of poor dental hygiene. Nordics is there for you in the daily journey to better oral health.

(03/09/2024)
by Nordics

More Information: https://wearenordics.com/en/silent-killers-understanding-how-gingivitis-and-periodontitis-can-gradually-destroy-your-teeth/


Views: 511
Share
Share

Did you know problems with your teeth could make your body sick?

Tooth decay is the most common disease among youth ages 6 to 19 and affects 90 percent of adults at some time in their lives. Decay is caused by bacteria that create an acid that eats away at enamel — the hard protective surface of teeth.

Even if you brush your teeth every day, dental problems can still occur. If the gums and areas between teeth are not cleaned properly, gum disease can begin.

Here are some examples of how tooth problems such as decaying, cracked or missing teeth and gum problems can affect your health and make you sick.

Decay

Did you know you can be completely unaware that a tooth is decaying? And once started, decay will not resolve without treatment.

If a cavity is not drilled and filled in an early stage, bacteria can enter the pulp of the tooth, leading to infection and pain. This abscess, or collection of pus, can spread into the bone, making your whole body ill.

Symptoms of decay include tooth sensitivity, pain when you bite or chew and dark spots on teeth.

Some foods are more likely to cause tooth decay than others. A few of the worst offenders include honey, soda, milk, ice cream, hard candy, mints, dry cereal and dried fruit. Additionally, people with acid reflux or eating disorders (vomiting) may notice enamel erosion due to stomach acid.

Complications of decay include pain, infection, cracked or broken teeth, chewing problems and tooth loss. In rare cases, infections can spread to the sinuses and even into the brain, which can lead to death.

Decay is preventable with good dental hygiene. A checkup and X-ray will help detect decay when it is easiest to drill and fill, protecting you from infection, sensitivity and pain.

Cracks

A cracked tooth is a welcome mat to tooth and gum problems and it can affect more than just your mouth.

Whether from chewing ice or hard candy, sport injuries, accidents or teeth grinding, or because the tooth was weak to begin with, cracks can happen at any age. When a crack occurs, you may notice pain when chewing or when eating something very hot or very cold. Pain may be sporadic, or you may not feel any at all.

Cracks in teeth can irritate the gums. Depending on the severity of the crack, there are different courses of treatment. If the crack is shallow, topping it with a protective crown might save the tooth. If the crack extends to the root, then a root canal is needed before the crown. This might save the tooth. However, if the crack goes below the gum line, then it’s likely untreatable and the tooth must be extracted. Should this happen, you will have options for replacing the tooth — either partial denture, bridge or implant.

Complications of a crack include easier entry of bacteria to the pulp of the tooth and under the gum, causing decay and even infection. Additionally, a cracked tooth that is left alone may eventually break, leading to the need for an extraction. Damaged teeth become missing teeth.

Missing tooth

If you can avoid having a sunken or drooping face, wouldn’t you try?

Though it may be tempting to leave a gap due to time and cost, especially if it is a back tooth, consider these ways a missing tooth can affect you.

If you choose not to treat, one complication is that a missing tooth can affect your face. Not only might your smile be affected, but also your bite and jaw might not be supported properly, which can cause your face to sag or sink. Additionally, missing teeth can affect your ability to speak clearly, make chewing difficult and affect your self-confidence.

Treatment for a missing tooth includes removable temporary denture, partial denture, bridge or implant. Your dentist will recommend the best options for your situation. If the tooth has been missing for a while, there may be bone loss that could affect your ability to get an implant or a bone grafting procedure may be needed before receiving an implant. A partial denture or a permanent bridge might be a better and cheaper option.

Gum disease

Do you have red gums that are slightly swollen and bleed sometimes when you brush?

This might be gingivitis, the early stage of gum disease, which is reversible if caught in time. However, untreated gingivitis can lead to more serious gum disease. When plaque forms under the gums, irritating them, a chronic inflammatory response occurs and gingivitis progresses to periodontitis. As the disease progresses, the gums separate from the teeth, creating pockets that become infected, destroying tissue and bone. Without treatment, teeth can become loose and have to be extracted.

Certain medical conditions may increase the likelihood of gum disease, such as pregnancy or diabetes, as well as your lifestyle, such as smoking, stress or poor diet.

Periodontitis can cause complications in other parts of the body as well. Research indicates there is a link between gum disease and heart disease and stroke. Scientists believe inflammation is responsible. At the very least, gum disease can irritate existing heart conditions.

So what can you do?

Make a promise to yourself today that you’ll make dental health a priority, which can save you money and toothache … and contribute to your overall health.

Floss before you brush, every night.

Brush with a soft bristle toothbrush for a full two minutes.

Call the dentist if your gums bleed when you brush.

Rinse with mouthwash after brushing to remove more bacteria than brushing alone.

Schedule regular dental checkups (ask the dentist how often).

If you crack a tooth, call the dentist to try to save the tooth.

If you have a missing tooth, ask your dentist whether a partial denture or implant might be right for you.

Eat a healthy diet, low in refined carbohydrates and sugar.

A healthy smile leads to a healthier you.

(03/08/2024)
by Herald Square Dental

More Information: https://www.heraldsquarecosmeticdental.com/did-you-know-problems-with-your-teeth-could-make-your-body-sick/


Views: 441
Share
Share

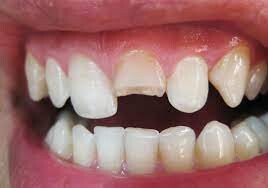
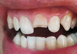
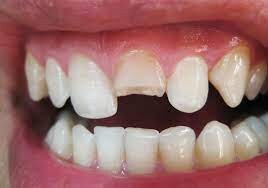
Why Are My Teeth So Weak And Keep Breaking?

Many people experience issues with weak, brittle teeth that fracture or break more often than seems normal. There are various potential reasons why teeth may become weakened and more prone to chipping, cracking or outright breaking. Understanding the causes and getting to the root of the problem is key to strengthening teeth and preventing further damage.

There are a number of factors that can lead to weakened tooth structure and enamel that is more likely to crack, chip or fully break under pressure:

Genetic Factors

Some people are just born with weaker tooth enamel that is thinner or more prone to breakage. The thickness and strength of the enamel covering your teeth is determined by genetics. Thinner enamel means teeth are less protected from damage and more likely to fracture. Certain mineral deficiencies while teeth are still developing can also affect enamel hardness and cause inherent weakness.

Grinding and Clenching

 

Excessive grinding of the teeth at night (bruxism) or forceful clenching during the day can wear down and thin out enamel over time. The incredible pressures exerted on teeth while grinding or clenching can also cause tiny cracks and craze lines in the enamel that eventually lead to fractures and breaks. The pattern of damage seen with excessive grinding and clenching usually appears symmetrically on matching top and bottom teeth.

Diet and Consumption of Acidic Foods/Drinks

Frequent consumption of acidic foods and drinks can erode and weaken enamel through a process called erosion. Things like citrus fruits, tomatoes, carbonated beverages, sports drinks, wine, and coffee are examples of acidic items that can damage teeth with regular exposure. The erosion causes enamel to become thinner and more prone to chipping, cracking or fracturing when chewing forces are applied. Acidic candies and hard treats also linger on teeth longer, compounding the weakening effect.

Physical Trauma and Injuries

Any kind of trauma to teeth such as hits, blows, falls, accidents, etc can cause cracks, chips or breaks in enamel. Once enamel is damaged in any way, it becomes weaker and more likely to have additional breaks and fractures over time. Small cracks from trauma that may initially seem minor can deepen and spread below the enamel surface to ultimately cause pieces to break off.

Cavities and Advanced Tooth Decay

 

Untreated tooth decay from caries (cavities) that is allowed to progress can lead to significant loss of tooth structure. As decay undermines and eats away at enamel from underneath, it leaves remaining enamel unsupported and prone to cracking and fracturing off around the decayed area. A simple bite on a hard food can then cause the unsupported enamel to pop off.

Teeth Grinding or Clenching at Night

Many people grind or clench their teeth excessively at night, which can lead to worn down, cracked, and damaged enamel over time. Using a custom nightguard from the dentist helps protect teeth from some of the forces and damage caused by nocturnal grinding and clenching while you sleep. Having large fillings and dental work done can also predispose you to increased grinding at night.

Teeth Grinding or Clenching at Night

Many people grind or clench their teeth excessively at night, which can lead to worn down, cracked, and damaged enamel over time. Using a custom nightguard from the dentist helps protect teeth from some of the forces and damage caused by nocturnal grinding and clenching while you sleep. Having large fillings and dental work done can also predispose you to increased grinding at night.

Overuse of Teeth Whitening Treatments

While generally safe when following directions, using very high concentration hydrogen peroxide whitening gels repeatedly over a short time period can make enamel more porous and prone to cracking and chipping. Repeated use beyond recommended frequencies and durations can temporarily weaken enamel. Moderation is key with whitening treatments to avoid side effects.

Defective Old Dental Work

 

Old fillings, dental crowns, and other dental work can become defective over time with cracking, leaking and loosening. These issues leave teeth weaker and more susceptible to fracture. It’s important to get regular dental checkups to look for defects and deterioration in existing restorations before the tooth breaks. Replacing old defective dental work helps prevent further catastrophic damage.

Here are some helpful tips and methods to proactively strengthen teeth and avoid further enamel damage and fracture:

See your dentist regularly every 6 months for exams to find and treat problems early before they progress. Detecting issues like gum disease, cracks, cavities and defective fillings early is key.

Use a soft bristle toothbrush and avoid aggressive brushing motions that can damage enamel. Light circular motions with a soft brush are best.

When brushing, use fluoride toothpaste which helps strengthen enamel. Spit out excess but avoid rinsing with water so fluoride can continue protecting teeth.

Floss daily to clean in between teeth and remove plaque that causes acidic decay. Floss gently without snapping floss against teeth.

After eating or drinking something acidic, swish some water around in your mouth and spit it out. This helps neutralize acid and wash it away from teeth.

Drink water frequently throughout the day to stimulate saliva flow. Saliva contains minerals that help strengthen enamel and naturally buffer acids.

Limit consumption of acidic foods and beverages, including citrus fruits, citrus juices, wine, carbonated soft drinks, energy drinks, and coffee. If you do have them, consume with a meal instead of sipping solo.

Don’t chew on ice, hard candy, popcorn kernels, pens, nails, eyesglasses or other hard, potentially damaging objects. They can all lead to cracked, broken teeth.

If you grind or clench your teeth, ask your dentist to fit you for a custom nightguard to protect teeth while sleeping.

If you notice yourself clenching your teeth a lot during the day, consider asking for a protective mouthguard to wear during awake hours as well. This minimizes forces applied to teeth when clenching.

Quit smoking and limit alcohol consumption which can dry out the mouth and leave teeth more prone to decay and acidic erosion.

Have any damaged, cracked, loose or defective dental fillings, crowns and other restorations replaced to remove weakened areas vulnerable to fracture.

 

(03/12/2024)
by CDHP Dental Health

More Information: https://www.cdhp.org/why-are-my-teeth-so-weak-and-keep-breaking/


Views: 452
Share
Share

What Is An Odontoma And How Is It Treated

When you hear the word "tumor," there's a good chance you think of cancer. Fortunately, with an odontoma, that's not the case. While an odontoma is a tumor, it's a benign one and not uncommon. That alone is great news! However, odontomas usually require surgical removal. They're made up of dental tissue that resembles abnormal teeth or calcified mass that invade the jaw around your teeth and could affect how your teeth develop. Fortunately, treatment is pretty straightforward and the road to a tumor-free life is one frequently traveled.

Types of Odontomas

There are 2 main types of odontomas:

Compound:

Consisting of many, tiny tooth-like bits

Usually found in the lower jaw

Most often occurs during your teenage years

It affects men and women equally

Complex:

Made up of an assortment of dental tissue (enamel, dentin, etc.)

Usually found within the upper jaw

Most often occurs during your 20s

It affects men and women equally

Diagnosis and Symptoms

Since odontomas grow internally around your teeth, an X-ray from your dentist is necessary to identify them, notes the AAPD. The shape will indicate to your dentist whether it's compound or complex. While they are asymptomatic, the West Indian Medical Journal Review notes your odontoma could cause:

Pain

Discomfort

Swelling

Tooth displacement

Nearly 80% of those affected by odontomas, though, have teeth that haven't erupted yet. Plus, since they're noncancerous, they rarely grow back after removal.

Removal

Removal surgery has been the tried-and-true treatment plan for odontomas — especially if they are causing any pain or affecting your teeth to erupt unnaturally. Some other things to know about odontoma removal surgery:

An oral or maxillofacial surgeon should consult your dentist on the surgery

The unerupted tooth associated with odontoma could be extracted if it's not developing correctly

If you have a tooth that needs extraction, discuss tooth replacement options and alignment issues with your dentist and/or orthodontist

Your dentist will likely recommend a combination of the following after surgery to help you heal:

Proper oral hygiene

Cold and soft meals

No physical exercise for the first 48 hours

Pain relief medication

Antibiotic medication (if an infection is a concern)

Going through surgery is most likely your path should you be stricken with odontomas. But, it sure beats radiation or chemotherapy you'd have to face with cancer. Plus, the surgery to remove your odontomas is very common with few complications. Just remember to see your dentist regularly so they can identify the odontomas as early as possible on your X-rays.

(03/10/2024)
by Colgate

More Information: https://www.colgate.com/en-us/oral-health/threats-to-dental-health/what-is-an-odontoma-and-how-is-it-treated


Views: 948
Share
Share

Why Did Blood Come Out From A Teeth?

Noticing blood suddenly emerge from your teeth or gums can be alarming. However, some bleeding from the gums is quite common and usually not indicative of a major problem. There are a number of potential reasons why someone might see blood when brushing, flossing, eating, or spit out blood from their mouth. Identifying the specific cause and origin of the blood is important in determining the appropriate treatment.

Where does the blood originate?

Pinpointing where blood is coming from in the mouth is helpful to diagnose the issue. Potential sources include:

Gums: The gums or gingiva surround the base of the teeth. Bleeding from the gums is often related to gingivitis or gum disease. However, gum irritation, canker sores, trauma, or hormonal shifts can also cause localized bleeding in the gums.

Between teeth: Blood originating between teeth likely indicates inflammation or gaps between the teeth where food debris and plaque build up. Flossing typically dislodges this blood.

Roof of mouth: The palate has a rich blood supply. Ulcers, irritation from dentures, canker sores or trauma can lead to palate bleeding.

Tongue: The tongue’s surface often bleeds readily when irritated. Cuts, bites, abrasions from sharp foods or oral piercings can cause tongue bleeding.

Lips: Cracked, chapped or irritated lips often bleed a bit with motion. Lip piercings can also bleed.

Throat: Strep throat, tonsillitis, throat ulcers or irritation from intubation can provoke throat bleeding.

Pay attention to where in the mouth blood originates as it provides insight into the possible cause. Bleeding from multiple areas likely indicates a systemic issue.

Causes of Blood from Teeth

There are a range of possible reasons someone may spit out blood or notice blood on their toothbrush. The most common include:

Gingivitis

Gingivitis refers to inflammation of the gums from a bacterial infection. It develops when plaque, a sticky film of bacteria, accumulates on teeth, especially near the gumline. The plaque causes infection and swelling.

In early stages, gingivitis causes:

Gums that are red, puffy and bleed easily

Bad breath

Gums that are tender and irritated

As gingivitis worsens, gums can become extremely inflamed and bleed readily with normal brushing. untreated, it can progress to advanced gum disease.

Treatments for gingivitis:

Improve oral hygiene – gentle flossing, brushing

Professional cleaning to remove plaque below gumline

Antimicrobial mouthwashes to reduce infection

Address habits like smoking that worsen gum disease

Periodontitis

Periodontitis refers to inflammation of both the gums and deeper structures that support the teeth, like the periodontal ligament and jawbone. It represents advanced stages of gum disease.

Periodontitis arises when:

Plaque spreads deep below the gumline

The immune system launches a damaging inflammatory reaction

Gums detach from the teeth, forming infected pockets

Jawbone and tissues break down

Common symptoms include bleeding with brushing, sore gums, bad breath, painful chewing, loose teeth and receding gums.

Treatments for periodontitis:

Deep cleaning below the gumline

Antibiotics or antimicrobial rinses

Flap surgery to clean tooth roots

Bone grafts in cases of bone loss

Tooth removal if beyond saving

Vitamin deficiency

Low levels of vitamins that help maintain healthy gums and assist with proper blood clotting can make the gums prone to bleeding. Vitamin C deficiency makes gums weak. Vitamin K deficiency impairs the blood’s ability to clot.

Treatments for vitamin deficiencies:

Increase vitamin C intake – citrus fruits, tomatoes, strawberries

Eat more vitamin K foods – green leafy vegetables, dairy, eggs

Take supplements to restore normal vitamin levels

Blood clotting disorders

Disorders that affect the blood’s ability to form clots normally, such as hemophilia or von Willebrand disease, can cause increased bleeding even from minor gum irritation. Those with clotting disorders often have excessive bleeding from small cuts and wounds.

Treatments for blood clotting disorders:

See a hematologist for diagnosis and treatment

Use tranexamic acid rinses to promote clotting before procedures

Get genetic testing for inherited disorders

Drug effects

Some medications make people more prone to gum bleeding by affecting platelet function or clotting ability. These include:

Blood thinners like warfarin, heparin and clopidogrel

Anti-inflammatory drugs – aspirin, ibuprofen

SSRIs for depression

Some supplements like fish oil and turmeric

Managing drug effects:

Scale back brushing if prolonged bleeding

Use waxed floss that slides through tight contacts

Apply pressure with gauze until bleeding stops

Monitor bleeding and report to doctor

Pregnancy

Hormonal changes during pregnancy can inflame the gums and make them more likely to bleed, even with gentle brushing. Pregnancy gingivitis affects up to 70% of pregnant women due to increased progesterone and estrogen.

Treatments during pregnancy:

Maintain oral hygiene routine

Get professional cleanings

Use pregnancy-safe antimicrobial rinses

Report bleeding to obstetrician

Puberty

Puberty also causes shifts in hormones that can increase gum sensitivity and susceptibility to bleeding. Teens may experience gingivitis symptoms even with good oral hygiene.

Treatments for teens:

Brush and floss gently

See a dentist regularly

Rinse with antimicrobial mouthwash

Cancers

Oral cancers, leukemia, and other blood cancers can manifest with gum bleeding, oral lesions and excessive bruising. Bleeding may be severe.

Treatments for cancers:

Treating the underlying cancer – chemo, radiation, bone marrow transplant

Managing oral infections

Avoiding unnecessary dental work

Injury

Any trauma to the gums and mouth tissues can cause localized bleeding at the site of injury. Common sources include:

Vigorous brushing with a stiff brush

Flossing too aggressively and cutting the gum

Eating crunchy, sharp foods that poke the gums

Dental procedures like tooth extraction

Bleeding from injury is typically mild and subsides quickly once the irritation is removed. Rinsing and applying pressure helps stop the bleeding.

Occasional minor bleeding of the gums, such as when flossing or eating spicy foods, is not uncommon. However, some signs warrant prompt dental evaluation, including:

Bleeding that lasts longer than 10-15 minutes

Frequent bleeding with daily oral hygiene

Bleeding along with loose teeth or toothaches

Heavy bleeding that is difficult to stop

Large blood clots when bleeding

Foul taste from blood

See a dentist right away if gum bleeding is accompanied by:

Severe tooth or jaw pain

Persistent sores or lesions

Swelling in the gums or face

Feeling ill or feverish

These may be signs of a dental abscess, oral cancer or other condition requiring urgent treatment.

(03/11/2024)
by CDHP Dental Health

More Information: N


Views: 565
Share
Share

What is Crown Lengthening?

Unless you're a dental trivia champion, the term "crown lengthening" probably isn't familiar to you. Even though it's perhaps a new term to you, a crown lengthening procedure is actually relatively standard. Think of it as the dental treatment you need to make the next dental treatment possible. Your dental professional may tell you that you'll need this procedure because you don't have enough exposed tooth surface for them to place a crown or bridge appropriately. If so, you're probably very curious about what crown lengthening is.

Crown lengthening surgery involves removing gum tissue, bone, or both to expose more of a tooth. It's done for therapeutic and sometimes cosmetic reasons. Let's go over why you may need it and what to expect from pre-op to recovery!

Why Would I Need Crown Lengthening?

Imagine this: your dental professional has examined your teeth and determined you need a crown. But what if there is not enough tooth for a crown? A periodontist may then suggest a crown lengthening procedure to support a dental crown or tooth bridge. There are a few reasons why you may not have enough tooth for a recommended treatment:

Your tooth may have broken off at the gumline.

Your gumline extends too far along your tooth for it to receive the restorative treatment it needs.

Your tooth structure isn't strong enough for restoration.

A crown or filling has fallen off, and there is decay underneath.

Is There a Cosmetic Reason To Get Crown Lengthening?

According to the American Academy of Periodontology (AAP), a "gummy smile" is a common reason for getting a crown lengthening procedure. You may hear this term about short looking teeth. But did you know that "short" teeth aren't actually short? They may just have an excess of gum tissue! It's important to note that every smile is different, so some people are just born with more gum tissue. However, we believe you deserve to feel great about your smile! So we recommend having a conversation with your dental professional if you are self-conscious of your smile and would like to consider crown lengthening as a cosmetic option.

How Do I Prepare?

A periodontist will review your medical history and X-rays before setting a date for the procedure. You may also have a dental hygiene appointment done right before crown lengthening, as this will decrease your infection risk by clearing out any bacteria, plaque, and tartar.

If your dental professional performs a crown lengthening procedure to reveal enough tooth for a crown, there's a chance they will put a temporary crown on your tooth to protect it before surgery. This allows your periodontist to see how a crown will fit on your tooth once the tooth has "lengthened" and the gums around it have healed. After three months of healing, a final crown will fit onto your lengthened tooth.

Another way to prepare for crown lengthening and to determine if it's the best option for you is to consider the cost. The price of your procedure will depend on several factors, such as whether or not you have dental insurance, what type of surgery you're having performed, how many teeth need it, your location, and whether it's for a restorative or cosmetic reason. Dental Treatment Guide estimates crown lengthening costs between $1000 and $2,000, while Cost Helper Health estimates it between $1,000 and $3,000.

What Can I Expect From a Crown Lengthening Surgery?

There are three types of crown lengthening surgery: a gingivectomy, surgical extrusion, and apically repositioned flap surgery. Your dental professional will know which type of surgery is best for you, based on the following considerations, noted by Medical News Today:

The appearance of your tooth's root

The crown to root ratio

If there is any bone loss

Aesthetic considerations

The position of the tooth that needs crown lengthening

What type of reconstructive surgery is necessary (like a filling or cap)

Crown lengthening surgery is usually done with a combination of local anesthesia and a sedative. Your periodontist will use a scalpel, laser, or a combination of the two tools, depending on the type of surgery. The amount of time your crown lengthening surgery will take will depend on the number of teeth that need treatment. It will also depend on if both bone and soft tissue need removal. You may only have one tooth that needs crown lengthening, but neighboring teeth are often also included in the treatment. This means that the tissues reshape gradually.

What comes next?

You can take anti-inflammatory medication and use a cold compress to help with any pain or swelling after your surgery. While you recover, we recommend consuming soft, healthy foods and rinsing your mouth after meals. Staying away from hard, sticky, and sugary foods will guarantee you're only introducing the most gentle and nutrient-rich ingredients into your mouth, letting your teeth and gums heal.

During the first few days of healing, your gums will continue to shrink as the swelling comes down. If the crown lengthening procedure was on a tooth in the back of your mouth, full recovery might take 6-12 weeks. You can expect the healing timeframe to be 3-6 months if the crown lengthening procedure occurred in the front of your mouth.

Are there possible complications?

The two main complications, bleeding and infection, can occur after any surgery. If you experience any symptoms beyond the expected, such as bleeding that doesn't stop, signs of infection, or pain that doesn't lessen, call your periodontist. Specific to crown lengthening surgery, you should watch for:

Sensitivity to hot and cold: This should go away with time or when your periodontist places the crown on your tooth.

Appearance: The affected tooth may look longer than the teeth next to it after the tissue and bone removal.

Looseness: It's a possibility that removing bone from around a tooth can make it feel looser

Regardless of the reason for you needing or wanting this procedure, maintaining a vigorous oral care routine before and after surgery is essential for the best possible outcome. You should brush your teeth twice a day and clean between your teeth with floss, a water flosser, or another interdental cleaning tool.

Everyone deserves a bright and healthy smile they're confident about. Whether your dental professional has told you that you'll need crown lengthening for a restorative dental procedure, or you personally feel it's a cosmetic surgery that will improve your smile, understanding the process is vital. Your dental professional can help you decide on the right course of treatment, so you feel confident showing off your healthy, gorgeous smile!

(03/11/2024)
by Colgate

More Information: https://www.colgate.com/en-us/oral-health/gum-disease/crown-lengthening


Views: 578
Share
Share

Five Dental Fads You Should Brush Off

Dental hacks – from charcoal toothpaste to coconut oil canker sore treatments – are all the rage right now, but these fads may actually not be a reason to smile after all.

In fact, many are ineffective, and some can be even detrimental – and dangerous – to your oral health.

So how can these latest trends affect your teeth? Before you try out that new viral trend on social media, Matthew Messina, DDS, director of the Ohio State Wexner Medical Center Dental Clinic at Outpatient Care Upper Arlington, has some advice for you to chew on.

1. Oil pulling

Oil pulling involves swishing a tablespoon of coconut oil or sesame oil around the mouth for up to 20 minutes in an effort to improve bad breath and yellow teeth. Although oil pulling is an ancient practice dating back more than 3,000 years, Dr. Messina says it is currently the most common dental fad he sees. 

“Three thousand years ago, people didn't have fluoride toothpaste off the shelf, so they used what they had,” he says. “The ancient Romans used a paste of ground up eggshells and honey. Ancient Greeks tried rinsing with urine to whiten teeth.”

Despite its popularity, Dr. Messina emphasizes that there is no scientific proof that oil pulling has any beneficial effects on oral health. 

“Just because a practice is old, doesn't mean it is effective,” he says. 

2. Charcoal toothpaste and other whiteners

Today, Twitter and Facebook are littered with somewhat frightening videos of people lathering on chunky black toothpaste in hopes that it will transform their stained teeth into pearly whites. While charcoal toothpaste can initially whiten teeth, Dr. Messina says that over time it can erode your enamel, the outer layer of the tooth that measures slightly more than a millimeter thick.

“If you look at enamel in a high-powered electron microscope, tooth enamel looks like chain-link fencing,” Dr. Messina says. “The enamel crystal is the fence and colored stains become lodged in the spaces in the matrix.”

Traditional tooth whiteners at the dentist are safe and effective because they use a form of peroxide to bubble out the stains and leave the enamel matrix intact. However, home remedies like charcoal toothpaste, or rinses with lemon juice, carbonated soda or vinegar, are highly acidic and abrasive. They can wear down the entire enamel, leading to tooth sensitivity and even more yellowing.

“We lose some stains, but we lose enamel too. There is only a thin layer on the tooth and it doesn't grow back,” Dr. Messina says. “When it’s gone, it’s gone.”

3. Canker sore home remedies

Canker sores are small, shallow ulcers in the mouth that are common in people ages 10 to 20. They can be painful, and they make eating and talking uncomfortable. Many beauty gurus swear by coconut oil to heal canker sores, citing its anti-inflammatory properties, but Dr. Messina is skeptical about this practice. 

“Coconut oil, in and of itself, does nothing to heal mouth sores,” he says. “It can coat them to reduce sensitivity to a degree, but that really isn't healing.”

If you have a sore in your mouth that has been there longer than two weeks, Dr. Messina urges you to see a dentist to have it evaluated, as it could be a sign of oral cancer. It's uncommon, but early detection leads to early cure.

4. Fluoride-free toothpaste

In the early 1900s, dentists discovered that fluoride, in regulated amounts, could help prevent tooth decay. Now, the mineral is regularly added to community water, toothpaste and mouthwash to make teeth stronger and more resistant to cavity-forming acids.

Fluoride toothpaste is much better at preventing cavities and tooth decay than a fluoride-free one.

“Look for a toothpaste with an American Dental Association – ADA – seal on it. You can be confident that a product with an ADA seal says what it does and does what it says. You have our word on it,” Dr. Messina says. “Fluoride is nature's cavity fighter, and in toothpaste, it does an excellent job of reducing decay.”

5. Grills

The trend of wearing teeth jewelry and grills seems to be waning, but Dr. Messina still warns people against the practice. Poorly fitting jewelry on your teeth can attract food debris and bacteria, which can stick in hidden and sometimes unreachable places, making bacteria very difficult to remove. 

“The rate of decay under grills and the development of gum disease around mouth jewelry are very high,” Dr. Messina says.

So before you decide to coat your mouth with crystals or metal jewelry, think again.A nice set of clean, white teeth will look a lot better, anyway. 

So if today’s dental fads are ineffective, and even dangerous, how can you achieve sparkling white teeth and fresh breath? Dr. Messina says it is as simple as remembering the “Healthy Four.”

“Brush twice a day – once after breakfast and once before bed with a soft toothbrush and ADA toothpaste – floss once a day, eat a healthy diet and see your dentist on a regular basis,” he says.

(03/12/2024)
by Wex Medical Center

More Information: N


Views: 627
Share
Share

What Is The Gingival Sulcus?

Much like the cuff of a sleeve fits snugly against the wrist, the gum tissue in your mouth fits tightly around each tooth. Think of the gingival sulcus as the space between the edge of the sleeve and the wrist, with the sleeve representing your gums and the wrist representing a tooth. Knowing how to keep this space clean and its role in your oral health can help you avoid gum issues down the line.

What is the Gingival Sulcus?

The sulcus is “the point at which the tooth and gums meet,” or the natural space between the surface of the tooth and the surrounding gum tissue (also known as the gingiva). The cementoenamel junction, located at the bottom of the sulcus, helps keep the gums attached to the tooth surface. When the gum tissue is healthy, it is firm, pink to brown, and fits tightly around the tooth. A good sign of a healthy gingiva sulcus is a depth of 3mm or less, which your dental professional will periodically measure.

Measuring the Sulcus

Your dental professional may choose to conduct a periodontal screening assessment to determine your risk of developing gum disease. They will take a small ruler, called a periodontal probe, and place the probe just under the gum tissue to measure the pocket depth. The probe enters the gingival sulcus and gently presses against the spot where the gum tissue attaches to the tooth surface. In the sleeve example, it is easy to picture this concept by putting your finger under the cuff of your sleeve.

An Opening for Gum Disease

It's critical to thoroughly brush the area where the gums meet the teeth and floss between the teeth to keep the entire gingival sulcus clean. When plaque is allowed to build up on the gums at the base of a tooth, it can cause gingivitis, when the gums become inflamed and irritated. Luckily, you can reverse gingivitis with excellent oral care. However, if the plaque continues to build, the inflammation can lead to the gums detaching from the tooth, causing the space between the teeth and gums to deepen and allow even more plaque to accumulate. This deepening of the sulcus, also referred to as the development of a periodontal pocket, is an early indicator for periodontal disease. The National Institute of Dental and Craniofacial Research classifies periodontal disease as a site with gum attachment loss of at least 3 millimeters and a pocket depth of at least 4 millimeters. 

Unfortunately, gum disease is common among Americans—half of the people over 30 have periodontitis. While some risk factors are unavoidable due to genetics, age, medications, and health history, other preventable risks include smoking tobacco and unhealthy diet choices. 

Maintaining Gum Health

When plaque has packed into and invaded the gingival sulcus, further complications can arise, such as tooth loss. To stop the damage, your dental professional may recommend a more involved type of dental procedure called scaling or root planing to access the area under the gumline. If the damage caused by the bacteria is more severe, a dental professional can improve the health of the gums with surgical methods, such as a gum graft.

Whether or not you have periodontal disease or are at risk for it, the key to maintaining a healthy gingival sulcus is excellent oral care as well as regular dental checkups. Brush your teeth twice daily with a soft-bristle toothbrush and fluoride toothpaste, and clean between your teeth with an interdental device like floss, water flossers, or other interdental cleaners. Remember, plaque and bacteria can build up in the space between your teeth and gum. The more you care for that area, the healthier your gums, teeth, and smile will be.

(03/13/2024)
by Colgate

More Information: https://www.colgate.com/en-us/oral-health/mouth-and-teeth-anatomy/what-is-the-gingival-sulcus


Views: 430
Share