Dentists Journal

Top Ten Stories of the Week
7/20/2024

All Dentists Journal · Previous Week · This Week · All Time List · Headlines

Share

Could You Be Overbrushing Your Teeth?

You understand the importance of good oral hygiene and brush and floss diligently. But is it possible to be too diligent in your toothbrushing? Orthodontists say it is!

Excessive tooth brushing, or overbrushing, can actually cause damage to your teeth and gums. What is overbrushing and what kind of damage can it cause? Is there something you can do about it? Our article will answer these important questions for you.

The serious effects of overbrushing

Brushing regularly is vital for healthy teeth and gums, but dental experts warn that you can overdo a good thing. Known as “toothbrush abrasion,” overbrushing can lead to sensitive teeth and receding gums.

When you brush too hard, you can wear down the outer layer of your teeth. Lost enamel means less protective coating for your teeth, which can cause your teeth to become sensitive to hot and cold. Brushing hard also damages tender gum tissue and can eventually cause it to recede, exposing sensitive tooth roots and leaving them vulnerable to periodontal disease and decay.

Those most at risk for tooth or gum damage from overbrushing are those who brush too vigorously using medium- or hard-bristled toothbrushes. What are some signs to look for that may indicate you are overbrushing?

Splayed bristles on your toothbrush

Swollen or red gums after brushing

Bleeding gums

Gum recession

So, how can you clean your teeth and gums effectively without damaging them?

How should you brush your teeth?

The aim of brushing your teeth is to remove plaque, the white sticky material which causes decay. To remove plaque, it’s good brushing technique that matters most, rather than brushing hard.

Gently brushing the tooth surface in a circular motion is the ideal way to clean enamel and remove plaque. Electric toothbrushes use this circular motion very effectively and are a good option if you are having trouble brushing correctly with a standard toothbrush. What is a good brushing technique? Here are the recommended steps to follow:

Use a soft-bristled toothbrush.

Hold your brush at a 45-degree angle and aim at the gum line.

Brush in a circular motion, not in a back and forth sawing motion.

Apply just enough pressure to feel the bristles against the gums.

Brush for two minutes – 30 seconds per quadrant.

How often should you brush? Brushing two to three times a day is ideal. If you can brush once after every meal – breakfast, lunch, and dinner – you will help prevent the growth of bacteria. But, and this is very important, wait an hour after each meal: Brushing too soon can also cause damage to the enamel of your teeth.

Tip: Toothbrush bristles break down with use and become frayed, which can damage tender gum tissue. Remember to replace your toothbrush or brush head every three months. An easy way to remember is to change your toothbrush with the change in seasons and buy brushes or brush heads in four-packs.

Lighten up!

Overbrushing is a wide-spread problem, but it can be corrected! If you’ve noticed that your gums have receded, or your teeth have become sensitive to hot or cold, contact your orthodontist right away. Otherwise, follow the tips we mentioned above and immediately make any needed adjustments to your brushing technique to enjoy a clean and healthy smile!

(07/12/2024)
by Zuroff Orthodontic Care

More Information: https://www.zurofforthodontics.com/blog/overbrushing-your-teeth/


Views: 357
Share
Share

What Are the Signs Of Poor Oral Hygiene?

To avoid dental problems like cavities, gum disease, and bad breath, oral hygiene involves keeping the teeth, gums, and mouth clean. It includes flossing, brushing with fluoride toothpaste, and getting regular dental exams. In addition to maintaining a radiant smile, good dental care is essential for general health. Poor oral hygiene directly impacts heart health, diabetes, and other systemic disorders. Practicing good hygiene lowers the chance of developing significant oral disorders by preventing bacterial growth and plaque buildup.

It enhances self-confidence, promotes digestion, and supports a healthier lifestyle, emphasizing the crucial link between oral hygiene and overall well-being.

Signs of poor oral hygiene

1. Bad breath (halitosis): Persistent foul breath often indicates the presence of bacteria due to inadequate oral hygiene, causing an unpleasant odor.

2. Gum disease (gingivitis or periodontitis): Swollen, bleeding gums or gum recession are signs of gum disease resulting from poor oral hygiene practices.

3. Tooth decay: Visible cavities, tooth sensitivity, or toothaches indicate decay due to the accumulation of plaque and bacteria from poor oral care.

4. Plaque and tartar buildup: Yellowish or brownish deposits on teeth, along the gum line, or between teeth signify inadequate plaque removal, leading to tartar formation.

5. Oral infections or sores: The development of mouth sores, ulcers, or infections may occur due to compromised oral hygiene, making the mouth susceptible to bacterial or viral invasion.

Causes

1. Inadequate brushing and flossing: Irregular or improper brushing and flossing techniques can accumulate plaque and bacteria, contributing to poor oral health.

2. Unhealthy diet: High consumption of sugary, acidic foods and beverages without proper oral care afterward can promote bacterial growth, leading to dental issues.

3. Avoidance of regular dental check-ups: Neglecting routine dental visits prevents early detection of oral problems and professional cleaning, worsening oral health over time.

4. Tobacco use: Smoking or using tobacco products increases the risk of gum disease, tooth decay, and oral cancers, significantly impacting oral hygiene.

5. Lack of awareness and education: Insufficient knowledge about the importance of oral hygiene and its practices can result in neglect or improper care of teeth and gums.

The effects of poor oral hygiene on overall health

1. Cardiovascular complications: Poor oral hygiene has been linked to an increased risk of cardiovascular diseases like heart disease and stroke due to the spread of oral bacteria, leading to inflammation and potential blockages in blood vessels.

2. Diabetes complications: Individuals with poor oral health may experience difficulties in controlling blood sugar levels, as gum disease can make it harder to manage diabetes and may contribute to insulin resistance.

3. Respiratory issues: Bacteria from the mouth can be inhaled into the lungs, potentially causing respiratory infections, pneumonia, or aggravating existing conditions, particularly in individuals with compromised immune systems.

4. Pregnancy complications: Periodontal disease has been associated with premature birth, low birth weight, and preeclampsia, highlighting the impact of poor oral hygiene on maternal and fetal health during pregnancy.

5. Systemic diseases: Studies suggest a link between poor oral health and other systemic conditions like rheumatoid arthritis, certain cancers, and digestive disorders, indicating that oral health can influence overall systemic well-being.

Tips for maintaining good oral hygiene

1. Proper brushing technique: Brush teeth twice daily using a fluoride toothpaste for at least two minutes, ensuring gentle circular motions to clean all tooth surfaces effectively.

2. Flossing daily: Clean between teeth and along the gum line using dental floss or interdental brushes to remove plaque and food particles that brushing alone may not reach.

3. Balanced diet: Limit sugary and acidic foods and beverages, choosing a balanced diet rich in fruits, vegetables, lean proteins, and dairy to support healthy teeth and gums.

4. Regular dental check-ups: Schedule routine visits to a dentist every six months for professional cleanings, examinations, and early detection of any potential oral health issues.

5. Avoid tobacco products: Quit smoking or using tobacco, as it significantly reduces the risk of gum disease, tooth decay, and oral cancers and promotes better overall oral health.

Conclusion

Keeping your mouth clean is essential to your general health. Individuals can prevent oral issues by following proper brushing and flossing and having a balanced diet. 

(07/13/2024)
by DNA Dental Studio

More Information: https://www.dnadentalstudio.com/what-are-the-signs-of-poor-oral-hygiene/


Views: 447
Share
Share

Does Natural Oral Care Actually Work?

Natural oral care has been having a moment of late. With many consumers wary of the myriad chemicals we either put into our body or absorb unknowingly on a daily basis, the category is really taking the spotlight. The question is, ‘does natural oral care actually work’?

I recently chatted with celebrity cosmetic dentist, Dr Gamer Verdian from Dental Lounge Sydney and the co-founder of Dental 99 for his take on the topic. And then, went and tested some top brands for good measure!

Is Natural Oral Care Effective As Mainstream Care?

The key is whether it has fluoride. If it does, then the answer is yes. We have seen quite a few instances of people switching over to natural oral care (without fluoride) and having a dramatic increase with oral health issues such as decaying teeth and gingivitis. The fluoride is the most active ingredient in traditional toothpastes that has not had a match yet in the natural toothpaste department. There are some brands out there that do have fluoride, so they are a good option.

What Should I Look For In A Natural Toothpaste?

A natural toothpaste is generally made without chemical ingredients like SLS, dyes, preservatives or artificial flavourings. Don’t forget to choose one with fluoride as the main ingredient.

Is There Any Evidence That Activated Charcoal Dental Hygiene Products Actually Work?

There is evidence that it does have a very minimal effect, particularly in the abrasive properties of the of the charcoal that remove surface stains. However, if used long-term it can cause unnecessary surface wear.

What If I Choose To Go Without Fluoride In My Toothpaste? What Risks Am I Facing? How Can I Supplement To Circumvent These Risks?

In my opinion, there is too high a risk to go down this path. Fluoride has been a huge part of the improvement in the oral health of our populations that have access to it in their water supply and via oral health products. I have personally seen a rather high number of patients who have had a dramatic turn in their oral health journey just by making this change alone. When trying one of the new products, ask your dentist first so they can help monitor your progress and advise if there are any changes sooner rather than later.

Whether you choose to go fluoride-free or not is totally that – your choice. However, as Dr Gamer advises, it is wise to have a lengthy discussion with your oral health practitioner before you begin your journey in natural oral care.

In the meantime, here are a few products I’ve trialled and tested, and my experience with them.

Keeko Super Clean Teeth Whitening Toothpaste

What I love about this product is that it is vegan, Plastic Neutral Certified and comes in a recyclable tube. I also really loved the taste and feel of it in my mouth. I did feel as though my teeth appeared whiter and brighter after using up the entire tube and the flavour was fresh and minty. It does contain activated charcoal, which will leave your sink with black spills. I quite like this though, as it means I can easily spot and clean up the mess before it turns to hard slugs of old paste on the porcelain (which is always a risk with white on white!). It is fluoride free (so chat with your dentist prior to long-term use).

Grants Natural Toothpaste

In terms of natural oral care, this has to be one of the broadest selections you can find. there are over 15 variants. My fave flavour (and one I’ve used for quite a few years) is the Mild Mint. It’s refreshing, leaves my mouth feeling super clean and my teeth beautifully polished. This variant contains no fluoride, but has lots of healing ingredients like organic aloe vVera, which soothes teeth and gums, and natural herbs for gentle oral care and fresh breath. I also love that it’s certified vegan and Aussie made and owned. Bonus: it’s ideal if you have sensitive gums or mouth ulcers. Note that Grants does have two natural toothpastes with fluoride.

Grants Minty Fresh Natural Mouthwash

I literally couldn’t get enough of this tasty gargle, going through the bottle in less than a week. Its clean, cooling flavour and cleansing effect made my mouth feel so fresh after each use (which for me was after every meal and sometimes when I woke through the night). While it’s fluoride-free, it does contain Xylitol, which has been clinically proven to inhibit the growth of cavity-promoting bacteria. These bacteria can’t use Xylitol to grow. It also contains natural cleansing herbs like eucalyptus, cardamom and rosemary, which only add to the yummy taste. And, it doesn’t contain alcohol. Again, it’s certified vegan and Aussie made and owned.

Hello Natural Toothpaste

With a huge range of flavours and options, both with fluoride and without, this range makes natural oral care super fun. Choose from Whitening Charcoal, Strawberry, Tea Tree Oil and more. There’s even a fun Unicorn Sparkle variety that kids will love to use. I tested both the Whitening pastes – Goodbye Plaque, Hello Whitening and Activated Charcoal. I really loved them both and did find my teeth dazzled quite a bit after a month or so of use!

Hello Activated Charcoal Freshening Mouthwash

You’re going to want a black sink here, but again, I find that a bonus for as it makes the bathroom vanity so much easier to clean (you can actually see the spots and quickly whisk them away). This tastes great and really refreshes. My tongue felt less fuzzy and my breath was fresh all day (at least nobody told me otherwise!). Alcohol and fluoride-free, it relies on activated charcoal from bamboo, which makes it pretty sustainable, and it has a moisturising effect on the mouth.

Hello Goodbye Plaque, Hello Whitening Toothpaste Tablets

These little drops of genius are perfect for travellers, with a small tin of 60 tabs easily fitting in to your carry on luggage. You could (and should) even carry them in your bag each day. They’re perfect for your regular clean, or if you’re caught in-between cleans and needs to freshen up. Simply pop one in your mouth, chew and brush. Even if you don’t have your toothbrush with you, you can chew one, swirl it around in your mouth with water and get instant freshness. The tin is plastic free and recyclable and you can even buy refills for it, which is an added bonus for the environment.

ROCC Natural Toothpaste

This innovative, natural, vitamin enriched oral care brand comes with sustainable packaging and biodegradable tubes, helping to halt the problem of the 1.5 billion toothpaste tubes that enter landfill each year (and live there for 500+ years!). ROCC Naturals tubes break down in as little as six years, without breaking into micro-plastics which can harm ocean and aquatic life. I tried all three variants – Fluoride Whitening with Minerals, River Mint and green tea and Vitamin B12 Mint + Coconut Oil. I was super impressed by each. They tick every box for taste, mouth freshness and brightening. With naturally derived ingredients, they’re gluten-free, cruelty-free and vegan.

(07/12/2024)
by Bella Media Group

More Information: https://cosbeauty.com.au/health/diet-fitness/does-natural-oral-care-actually-work/


Views: 452
Share
Share

Top Four Embarrassing Oral Health Problems…Solved!

Stinky breath, unsightly mouth sores, and tooth decay: We’ve got a solution for all of your dental-health dilemmas.

The best way to keep your mouth, teeth, and gums looking and feeling great? Your daily brushing and flossing routine, combined with a balanced diet and regular dental visits.

But following these oral hygiene commandments isn’t always enough. Many common oral-health problems, such as bad breath, tooth decay, erosion, receding gums, and mouth sores, can leave people feeling both physically uncomfortable and reluctant to smile. Fortunately, with the right treatments these embarrassing oral-health problems can be solved! Check out these remedies from the American Dental Association (ADA):

 

1.- Bad Breath

Treatment for bad breath, or halitosis, varies depending on the cause. Brushing and flossing is crucial since it helps keep food particles from collecting bacteria and rotting in your mouth. If your dentist gives you a clean bill of health, though, you’ll need to investigate further.

Your bad breath could be the result of a medical disorder, such as a respiratory infection; chronic sinusitis or bronchitis; diabetes; a gastrointestinal disturbance, such as GERD; or a liver or kidney ailment. The use of particular medications can cause dry mouth, which can contribute to bad breath. And sometimes, the solution may be as simple as changing your diet: If you’re a garlic or onion lover, cutting down on these foods will help. So will cutting out tobacco if you’re a smoker.

2.- Tooth Decay and Erosion

Brushing twice a day with fluoride toothpaste, flossing once a day, and visiting your dentist regularly for exams and cleanings will help fight tooth decay and erosion. Your dentist may also recommend protective plastic sealants to reduce your risk of decay. Eating a balanced diet and keeping your snacking to a minimum will also help head off plaque and erosion. If you’re particularly concerned about erosion, avoid acidic food and drinks, such as citrus fruits and juices, tomatoes, pickles, soda, and sports drinks, since studies suggest that they can strip enamel from the teeth. Gastric acid can also contribute to erosion, so if you have a medical condition like acid-reflux disease or bulimia, getting treatment is imperative.

3.- Receding Gums

Gum recession and periodontal disease can have serious repercussions. Early stage gingivitis causes the gums to become red and swollen, and to bleed easily, while the more advanced periodontitis damages the gums and bones that support the teeth, causing them to loosen and fall out. The ADA recommends brushing, flossing, and keeping up with regular dental checkups and periodontal exams. Everyday Health’s dental expert, Dr. James E. Jacobs, adds that since gum recession can also result from aggressive tooth brushing with medium or hard bristles, malpositioned teeth, or bad habits such as clenching, grinding, or scratching your gums with foreign objects, you can also help protect your gums by using an ultrasoft toothbrush and wearing a nightguard to reduce stress on your teeth if you tend to clench or grind at night. Additionally, Dr. Jacobs recommends seeking professional dental, orthodontic, or periodontic help to get your bite comfortable, your teeth properly aligned, and if necessary, your gums grafted.

4.- Mouth Sores

Canker sores and cold sores are two of the most common sores that show up around the mouth. They can be painful, annoying, and unsightly. Cankers develop inside the mouth, while cold sores appear externally, usually on the edge of the lips. Fortunately, both of these types of sores tend to heal on their own within a week or so, and canker sores can be treated with over-the-counter topical anesthetics or antimicrobial mouth rinses to reduce discomfort. Topical anesthetics may also provide temporary relief for cold sores. If you’re embarrassed by frequent cold-sore outbreaks, talk to your doctor about getting a prescription for antiviral drugs that could help reduce infections from the herpes virus.

(07/13/2024)
by Biermann Orthodontics

More Information: https://www.mcbiermann.com/top-5-embarrassing-oral-health-problems-solved/


Views: 336
Share
Share

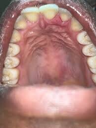
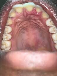
Sore in Roof of Mouth: Causes And Solutions

Mouth ulcers are not uncommon but developing a sore on the roof of your mouth can still have you concerned. Nevertheless, the location of this oral sore has many possible sources, so you shouldn't immediately assume the worst. In fact, if you have a sore on the roof of your mouth tissue, you may have one of these four conditions:

1. Burns

Bumps on the roof of your mouth are sometimes just a burn, particularly after a hot meal. This phenomenon is known as "pizza palate" because fresh slices of pizza are usually the cause of irritation in this part of the mouth. However, pizza isn't the only food that can burn your mouth; any hot food can have this effect. Hot drinks, like coffee or tea, can lead to similar burns.

A burned palate usually heals by itself within three to seven days. To ease your discomfort in the meantime, stick to soft foods and cool drinks. If the pain is severe, your dentist may recommend using a product to ease the sensation in your sores and promote quicker healing. If the area is still sore after seven days, don't hesitate to see your dentist.

2. Canker Sores

Canker sores can always develop on the inside of your cheeks, but don't be surprised to feel them on the roof of your mouth as well. Canker sores are round, sensitive masses whose origins depend on the case. Researchers think these sores may be caused by problems with the immune system, and are therefore triggered through factors like stress, certain foods and hormonal changes.

Generally, people will get one to three canker sores per instance, but some may develop upwards of 10 or more sores at one time. These sores usually hurt for a little over a week, then disappear completely after two weeks. While you wait for your mouth to heal, you may benefit from eating bland foods to avoid irritating your sores. Of course, your dentist could also prescribe a pain-relieving gel for you to apply to your sores during the recovery process. If your sores haven't healed after these two weeks, they should be checked out by your dentist.

3. Cold Sores

Sores on the roof of your mouth – particularly those that don't dissipate right away – may ultimately be cold sores. A common growth caused by the herpes simplex virus, cold sores are usually found on the lips, but they can also be found on the hard palate. These sores present themselves as painful, fluid-filled blisters; the blisters later rupture and crust over as less-painful lesions.

Cold sores usually become crustier within four days of appearing and will heal completely after eight to 10 days. While they're healing, avoid touching or picking at them, just as you would for a scab. If the sores don't go away by themselves, as you know, your dentist is happy to help.

4. Oral Cancer

Although some of the sores that form on the roof of your mouth are harmless, not all of them are best left alone. Sores on the roof of your mouth can sometimes be a symptom of oral cancer. And if you have a sore on the roof of your mouth that hasn't healed after two weeks, you need to see your dentist as soon as you can for an evaluation. Oral cancer is most treatable when it's caught early, so it's important to bring suspicious sores to your dentist's attention right away.

If your dentist suspects a sore is cancerous, they will send you to an oral surgeon for an oral evaluation and perform a biopsy of the tissue. If cancer is found, treatment can start just as quickly. This treatment often involves surgically removing the cancerous sore, and afterward, radiation or chemotherapy to be sure it doesn't affect other cells.

If you develop a sore in roof of mouth tissue, there's no need to assume the cause is out of your control. These sores can have many drivers, ranging from harmless to the more invasive. Many of them go away on their own, but a sore on the roof of your mouth that doesn't heal within two weeks is the perfect reason to see your dentist for an evaluation – and a regular check-up.

(07/15/2024)
by Colgate

More Information: https://www.colgate.com/en-gb/oral-health/mouth-sores-and-infections/sore-in-roof-of-mouth-causes-1115


Views: 359
Share
Share

How can bacteria in your calculus cause you general health issues?

Dental plaque is a known risk factor for developing gingivitis and other general health issues. However, when plaque build-up in your mouth, it can turn into an even greater threat to your dental and overall health, known as calculus. Calculus creates a conducive environment for dental bacteria, and its action can pose a severe threat to your general health.

Fortunately, there are ways to minimize the risk of developing these dental bacteria-related health problems. One of the most effective methods is a regular scale and clean. In this blog post, we will discuss how bacteria in your calculus can cause you general health issues and how regular scale and clean can help avoid those issues.

What is Calculus?

First things first, it is important to understand what calculus is before discussing some of its negative effects on general health. Simply stated, calculus is calcified bacterial plaque that forms on the teeth’ enamel and below the gum line. Calculus cannot be removed by normal brushing and flossing. One will need to see the dentist for its removal.

How can bacteria in your calculus cause you general health issues?

• Stroke

Stroke is one of the leading causes of death globally. It is caused by a number of factors, including high blood pressure, cholesterol, and age. However, one of the most important risk factors for stroke is dental bacteria.Dental bacteria can damage arteries in your neck and brain. They can also cause inflammation, which can lead to artery blockages.

• Heart Disease

Heart disease is the leading cause of death in Australia and across the world. There are several factors that can heighten your risk of developing heart disease, including smoking, being overweight, and having high cholesterol levels. Dental bacteria can also play a role in increasing your risk for heart disease.

It can cause inflammation and infection in the heart. Inflammation can lead to atherosclerosis, which is a plaque build-up on the inside of arteries. A build-up of plaque can block blood flow to and from the heart and cause a heart attack.

• Respiratory Illnesses

The bacteria on calculus can easily travel from the mouth to the lungs aggravating the respiratory system. This can lead to complications such as infection, pneumonia, and bronchitis.

• Pregnancy Complications

There are a number of pregnancy complications that can be caused by dental bacteria. These can include pre-term birth, low birth weight, and even stillbirth. In some cases, the infection can go ahead and spread to the baby’s brain and cause serious problems. If you’re pregnant, it’s vital to talk to your dentist about your risk factors for dental bacterial infections and how to protect yourself from them.

How regular scale and clean can help avoid general health issues?Oral health is a vital part of life, and it’s important to ensure your teeth are healthy. Everyone should practice brushing and flossing daily. However, apart from brushing and flossing on a daily basis, it is vital to have a scale and clean at least twice a year. It helps remove plaque and calculus and thus prevents severe general health issues, as discussed above.

Here are some of the benefits of Scale and Clean:

• Plaque Removal

Professional dental scales and cleaning can help to remove plaque and bacteria that can cause tooth decay, gum disease, and other general health problems. It also helps to restore your teeth’s natural color and clarity. It is quite difficult to remove plaque from your mouth, and that is why you need a dental scale and clean.

• Calculus Removal

Unlike plaque, calculus is hard and cannot be removed by brushing and flossing at all. You will require a dental scale and clean to remove it. The dentist has special dental tools that can reach every nook and cranny of your teeth and remove plaque. When you leave calculus to sit on your teeth and below the gum line, it means you are giving bacteria a chance to thrive. And apart from these bacteria ruining your smile, they might also bring you some general health complications.

• Protects Your General Health

Professional dental scaling and cleaning can help protect your overall health. Removing harmful bacteria and debris from your teeth and gums can help reduce the risk of tooth decay, gum disease, and other general health issues.

Bottom Line

There you have it; dental hygiene is a very important part of your life. Poor dental hygiene can lead to calculus formation, which in turn can damage your oral and general health. Therefore, it is important to visit your dental professional at least twice a year for a dental scale and cleaning.

(07/14/2024)
by Springvale Dental Clinic

More Information: N


Views: 460
Share
Share

What Can Your Tongue Reveal About Your Health?

Don’t take your tongue for granted. The muscular organ that sits in your mouth and throat does a lot more than help you taste, speak, and swallow. It’s also both a protector and harbinger of health.

“It’s a very, very important organ,” says Alexander Kerr, DDS, MSD, director of oral medicine at the New York University College of Dentistry. “You can certainly tell a lot about a patient from their tongue.”

The tongue can be broken down into two parts. The tongue you see in your mouth, called the oral tongue, only makes up around one-third of the organ, Dr. Kerr explains. The bulk of the tongue, the body or anterior tongue, extends from the back of the mouth and down the throat. There is also a tonsil, called the lingual tonsil, that sits on the body of the tongue.

That anterior part of the tongue is actually part of the immune system.

“If you were to breathe in a virus like COVID, it interacts with those tonsils, and that’s how the body sets up the immune response,” Kerr says.

The color and texture of your tongue can indicate infections, vitamin deficiencies, and disease. Here are some common issues related to tongue health, as well as signs you may need to see an oral health specialist.

Black Tongue

There could be several reasons why your tongue is dark or even black. Often when this happens, your tongue will also appear to be hairy.

While it may sound pretty gross, a condition called black hairy tongue is actually harmless. Tiny hairlike structures on the tongue, called filiform papillae, hold onto the chemicals that tastebuds interpret as salty, sweet, sour, bitter, or umami, which can be described as savory. According to Kerr, a normal diet that includes coarse or crunchy foods naturally whittles down the filiform papillae, so most people don’t even notice them.

If they get too long, filiform papillae can collect bacteria, some of them pigmented. Drinking coffee or colorful fruit juice can also turn the bacteria tangled in the filiform papillae dark, Kerr says. Taking antibiotics can help abnormal bacteria flourish on the tongue, putting a person at higher risk of developing black hairy tongue, he adds.

If someone is a smoker, tar and tobacco can also stain filiform papillae, turning it dark or sometimes yellow. According to the Mayo Clinic, over-the-counter medicines that contain bismuth, such as Pepto-Bismol, may also cause discoloring similar to black hairy tongue. A black tongue could indicate a fungal or viral infection, which should be diagnosed by an oral health specialist, dentist, or healthcare provider.

In rarer cases, a tongue that appears to be black and hairy can be a symptom of hairy leukoplakia, a condition associated with the Epstein-Barr virus, also known as human herpesvirus 4, which usually occurs in people who have human immunodeficiency virus (HIV), according to the National Library of Medicine.

“People can brush or scrape the top of their tongue if the hairs are long and they feel they need to, but a healthy coarse diet and not smoking should keep things stabilized,” Kerr says.

Smooth Tongue

According to Kerr, the tongue can reveal nutritional deficiencies, the most common being iron. If a person does not have enough iron, red blood cells can’t deliver blood to tissues around the body.

The tissue in the mouth in particular is always renewing itself, Kerr notes, but if a person is deficient in iron, some of those tissues don’t get replaced. Filiform papillae get whittled down in their normal way, but new cells don’t replace them.

“Sometimes the tongue can look bald, which may be indicative of some sort of anemia or iron deficiency,” Kerr says, adding that chronic dry mouth can also cause a bald-appearing tongue.

According to a review published in the Journal of the Formosan Medical Association, around 20 percent of people with reported atrophic glossitis, or a bald-like tongue, have anemia. More than 5 percent have a vitamin B12 deficiency.

A clinician can test for vitamin deficiencies, which can usually be corrected with supplements or diet changes.

White Patches

White patches on the tongue may indicate several conditions.

The most likely is a benign condition called geographic tongue, or migratory glossitis. It’s also sometimes called erythema migrans or annulus migrans. According to the Mayo Clinic, geographic tongue is a harmless inflammatory condition that causes patches of filiform papillae to disappear from the tongue, leaving a patchwork effect of white and red on the tongue.

“It’s this strange condition with lesions or spots that migrate around the tongue. Sometimes they disappear and come back, and sometimes they can cause a little soreness, but most times they don’t cause any discomfort,” explains Kerr, adding that the condition is fairly common.

An inflammatory condition called oral lichen planus, which affects the mouth’s mucous membranes can also cause lacy white patches, sores, or a swollen red tongue, according to the Mayo Clinic.

A thick white coating on the tongue and throat can indicate an oral candida, or yeast infection, also called oral thrush, according to the National Library of Medicine. It’s one of the most common side effects of cancer treatments. Wearing dentures, living with diabetes, and taking certain medications (such as antibiotics or steroids) can also increase a person’s risk. Living with HIV puts a person at higher risk of developing oral thrush as well. While improving oral health can improve many conditions that impact the tongue, oral thrush is treated with oral or topical antifungals, usually for one to two weeks.

White or Red Spots or Lesions

Noncancerous issues are much more common than cancers, Kerr says, but tongue cancer can happen, and deadly cases are rising.

According to the American Cancer Society, the death rate for mouth and throat cancers increased by nearly 0.5 percent every year from 2009 through 2020, after decades of decline. This was mostly driven by an increase in deaths from oropharyngeal cancer, a type of head and neck cancer that develops in the oropharynx, which can impact the back part of the tongue.

According to Kerr, tongue cancers are more likely to occur on the side or underside of the oral tongue, whereas the part of the tongue that sits where the throat meets the mouth is at higher risk of oropharyngeal cancer. The types of cancer that impact the back of the tongue are usually caused by the human papillomavirus.

Tongue cancer usually appears as a white patch, red patch, or red and white patch, or as a sore or growth, he notes. The important difference between cancer and a lesion caused by a sharp tooth or food is that a cancer spot typically gets bigger over the course of months or even years, Kerr says. It’s also usually a solitary spot.

“Most things you see on your tongue are benign. The tongue gets rubbed on a sharp tooth or bitten or burned, and that will usually heal over time,” Kerr explains, noting that if a sore on the tongue hasn’t healed in two weeks, you should go see your healthcare provider to make sure it’s nothing to worry about — plenty of tumors are benign, but catching any cancer early is paramount to good outcomes.

“Tongue cancer is pretty serious. As tongue cancers progress, they can spread into the lymph nodes in the neck,” he adds.

Oral herpes can also cause sores or lesions on the tongue. According to a paper published in Malaysian Family Physician, sores on the tongue caused by the herpes simplex virus are ulcers that have a white or mixed white and red appearance. The ulcers can be painful, and they occur often; outbreaks can be managed with oral medications such as acyclovir, valacyclovir, and famciclovir.

Yellow Tongue

A yellow tongue can be caused by smoking or by something a person ate, but it can also indicate an underlying health issue.

According to the Cleveland Clinic, a yellow tongue could also be a symptom of gastritis, a condition that causes inflammation in the stomach lining and side effects such as acid reflux. Like black hairy tongue, a yellow tongue can also be caused by the buildup of filiform papillae, bacteria, and skin cells on the tongue that give it a hairy appearance and trap things like tobacco smoke and pigmented foods and beverages.

If an underlying issue isn’t at the root of any tongue problems you have, practicing good oral hygiene — brushing your teeth, flossing, scraping your tongue if you feel you need to — should keep your mouth, and tongue, healthy, Kerr says.

(07/15/2024)
by Everyday Health, Inc

More Information: https://www.everydayhealth.com/digestive-health/what-can-your-tongue-reveal-about-your-health/


Views: 434
Share
Share

Sore Roof of Mouth Behind Front Teeth

Having a sore roof of mouth behind front teeth can be frustrating. While the mouth heals quickly, eating and speaking can be painful for a few days until sore spots are gone. Finding the cause of a mouth sore can be tricky, but most cases can be helped along by keeping the site clean and visiting your dentist to determine the source of your discomfort.

Sore Roof of Mouth Behind Front Teeth: Causes

We've all burned our mouth on a slice of pizza or a cup of hot cocoa. Minor oral burns heal fairly quickly, but sometimes the pain in your palate can come from a more long-lasting source.

For example, cold sores and mouth ulcers can cause mild to severe discomfort. They can be found on the roof of the mouth, or other locations ranging from the gums to the cheeks and lips.

Cold sores are caused by the herpes simplex virus type 1, and usually last around one to two weeks. These contagious blisters often weep liquid and crust over before healing.

A mouth ulcer, on the other hand, is not contagious, though it lasts about as long as a cold sore. These ulcers look more like tiny craters with a yellow or grey centre. More rarely, a sore roof of mouth behind front teeth can be a warning sign of oral cancer. Talk to your dentist immediately if the sore spot also feels numb or tingles.

Treating a Sore Spot

While treating a mouth burn might be as simple as waiting for your coffee to cool down, other sores may need stronger treatment. Because these lesions can be found in multiple areas of the mouth, a mouth rinse provides an easy way to deliver a cleansing and comforting solution. Your dentist may suggest a soothing mouth rinse to help promote the natural healing of minor mouth irritations.

One important thing to remember is that medicated mouth sore rinse is not meant to be used as a regular addition to your home care routine. If your sore palate has not improved after a few days, talk to your dental professional. They may need to perform further tests, such as a biopsy, to determine the cause of your oral pain.

Other Ways to Help

It often helps to avoid alcohol, tobacco products and spicy foods while your sore mouth is healing. Spicy foods will not necessarily keep the site from healing, but they can cause discomfort. The NHS also suggests abstaining from salty and crunchy snacks, which can sting or scratch an open sore. Identifying your triggers for sores (such as acidic foods or stress) can also help prevent new lesions if the problem is a mouth ulcer.

Maintaining good oral care by brushing at least twice a day and flossing can help prevent the conditions that cause some mouth sores. There may be no magic solution to your sore roof of mouth behind front teeth problem, but talking with your dentist about the possible causes can help you find a path to relief.

(07/16/2024)
by Colgate

More Information: https://www.colgate.com/en-gb/oral-health/mouth-sores-and-infections/sore-roof-of-mouth-behind-front-teeth-diagnosing-and-healing


Views: 502
Share
Share

How to Stop Dental Bleeding

Have you ever experienced bleeding from your mouth? There are several reasons this may occur, but most of the time it’s considered dental bleeding. Sudden or serious bleeding could constitute a dental emergency, and it’s best to see a dentist right away. 

But there are some ways you can temper dental bleeding at home and reduce blood flow. Schedule an appointment with your dentist if bleeding persists after following these steps.

WHAT IS DENTAL BLEEDING?

Dental bleeding is bleeding coming from the gums, tooth sockets, tongue or lips. Dental bleeding can be an indication that something is wrong inside your mouth. But it is also a natural part of the recovery process for many dental procedures.

A split lip can result from impact or other conditions, and a bleeding tongue is often due to a laceration. Let’s focus on blood in the mouth coming from your gums or tooth sockets; why this occurs and what to do to manage the bleeding yourself.

 

CAUSES OF DENTAL BLEEDING

Your mouth might be bleeding for several reasons, but there are some common causes of dental bleeding. Thankfully, there are solutions for slowing the bleeding and there are always dental professionals who can help when it just won’t stop. 

Gum Disease

Bleeding gums are the most common symptom of gum disease. Gums that bleed after brushing could indicate you are brushing incorrectly, often too hard or not enough. Gums that bleed after flossing might indicate you need to be flossing more. If your gums are bleeding consistently and in between tooth brushing, you might have a dental condition to address.

Frequently bleeding gums could be due to:

Gingivitis (reversible form of gum disease) 

periodontitis (an advanced form of gum disease)

leukemia (cancer of the blood)

vitamin deficiency (especially vitamin C)

lack of clotting cells (platelets)

If your gums are bleeding all the time and healthy oral habits do not remedy the bleeding, it’s time to visit your dentist for a professional assessment. 

Trauma

Physical impact in or around your mouth can cause dental trauma and dental emergencies. Dental trauma includes all injuries to the mouth, including teeth, lips, gums, tongue, and jawbones. Sports injuries, vehicular collisions, and personal accidents (like falling) are among the most common causes of dental trauma.

Dental bleeding may result directly from impact or lacerations caused by damaged teeth. Bleeding can occur from any of the following outcomes following an accident:

Chipped tooth

Tooth fractures, including root fractures, enamel fractures, etc.

Tooth knocked loose (subluxation)

Tooth jammed into the socket (intrusion)

Tooth knocked out (avulsion)

Fracture of the tooth socket wall

Jaw fracture

Lacerations of the lips

Lacerations of the gums

Lacerations of the tongue 

Dental Surgery

Even a scheduled and prepared procedure can result in dental bleeding afterwards. It is very normal to experience bleeding after undergoing dental surgery. When the gum or a tooth is operated on, it’s important to expect bleeding for a time following the surgery and not to panic.

 The following dental procedures commonly produce bleeding afterwards:

 

Wisdom tooth extraction

Emergency tooth extraction

Dental implant surgery

Deep cleaning and scaling

Gum surgery 

HOW TO STOP THE BLEEDING

There are some effective ways to slow down bleeding at home following dental surgery or an accident. And there are some methods to try and prevent your gums from bleeding all the time. Certain lifestyle choices can also reduce dental bleeding and quell the flow.

Slow Down Bleeding Gums

The first step in preventing bleeding gums is practicing good oral hygiene. This means brushing correctly twice a day and flossing every day, as per Canadian Dental Association guidelines. It also means visiting your dentist twice a year for check-ups and cleanings.

These techniques can help slow down constantly bleeding gums:

Increase consumption of vitamin C and vitamin K, with foods like oranges, carrots, spinach, and kale.

Rinse your mouth with hydrogen peroxide or saltwater to disinfect your mouth and manage inflammation.

Apply a cold compress to the gum line to reduce blood flow and swelling. Use a cold cloth or ice pack and apply pressure for 20 minutes on/20 minutes off throughout the day.

If the bleeding persists, it’s advised to return to your dentist for further evaluation. 

After Wisdom Tooth Extraction

Wisdom tooth extraction is a procedure that many people get in their lifetime. Despite usually being a predictable, safe surgery, tooth extraction of any kind will often produce significant bleeding in the hours and days after an extraction.

Eventually, the bleeding should stop if you are following your dentist’s recommendations for recovery. Prolonged postoperative bleeding several days after surgery requires a follow-up appointment with your dentist. It takes some patience and commitment, but you should see a reduced blood flow by following these guidelines:

Place a pad of folded, moist gauze directly over the surgery site, moist gauze is less likely to disturb the blog clot upon removal. For wisdom tooth removal, this is at the very back of the mouth. Apply constant firm pressure for at least 20 minutes.

During periods of bleeding don’t change the gauze more than every 20 – 40 minutes. Once you can only see pink staining on the gauze pad, you can stop the process.

Remove gauze when you are eating, drinking, or sleeping. If bleeding persists at a later time, reapply gauze with pressure and contact your dentist.

Other Factors Affecting Dental Bleeding

Drinking alcohol during the recovery process can slow blood clotting in 2 ways. First, it can disrupt the actual clots forming at the site of surgery, meaning that bleeding will take longer to slow down. Secondly, alcohol is a natural blood thinner that makes it harder for your body to clot blood and slow down the bleeding.

Smoking tobacco, whether cigarettes, cigars, or vapes, will also make it more difficult to stop dental bleeding, the suction effect of inhaling can actually pull out the blood clot. The chemicals in tobacco can lead to infection where teeth have been removed and have shown to be a cause of serious gum disease. So avoid drinking and smoking, at least immediately, after dental surgery or dental trauma.

 

SLOW THE FLOW & RECOVER QUICKLY

We can’t help needing our wisdom teeth removed and don’t ever plan on a dental accident. But treating your dental bleeding with the right steps at home can help you recover quicker. Use gauze and cold compresses to diminish bleeding from the gums or tooth socket. And keep up good oral hygiene and healthy habits to make your recovery quicker. Dental bleeding should slow down as the hours and days pass by after a dental procedure. But don’t be afraid to consult your dentist when bleeding in your mouth just won’t seem to stop.

 

(07/16/2024)
by Southgate Dental Centre

More Information: https://southgatedentalcentre.com/how-to-stop-dental-bleeding/


Views: 472
Share
Share

Problems Caused by Impacted Teeth

Many people across the country struggle with different dental issues. Impacted teeth is a common oral/dental problem that can often cause pain and discomfort in the mouth and jaw area. A lot of people often dismiss impacted teeth as a simple toothache, and don’t get the dental care they need in order to address the issue, ultimately leading to worsening problems.

What Is an Impacted Tooth?

An impacted tooth is simply another term for a tooth that has not completely broken through the gum tissue. A tooth can become impacted when there is not enough room within the jaw to accommodate the tooth. Some people naturally may have more impacted teeth than others, but the most common impacted teeth are a person’s third molars, also known as wisdom teeth.

4 Problems That Impacted Teeth Can Cause

Impacted teeth can cause someone a variety of issues from pain to even cysts, or lesions within the jaw. It is important to keep an eye out for any symptoms you think you may have with an impacted tooth and discuss these with your dentist or an oral surgeon.

1. Pain

The most common issue that comes along with an impacted tooth is pain. Whenever a tooth grows or erupts incorrectly, it can create pressure or get irritated easily, causing pain. Many people experience pain at the site of the impacted tooth, and others experience jaw pain under the impacted tooth.

2. Infections

The mouth is full of bacteria, both good and bad. If you have an impacted tooth that is struggling to erupt or is slow to break through, bacteria can infect the site. Food also can get stuck between crowded teeth causing cleaning issues, swelling, and infection.

3. Damage to Other Teeth

Whether it is your permanent adult teeth or wisdom teeth coming in, impacted teeth have the ability to cause damage to nearby teeth. When trying to break through the gum, the impacted tooth can push into or ‘crash’ into the other teeth around them, causing sensitivity and damage. They can also cause resorption of the roots of adjacent teeth.

4. Cysts

Cysts are another common problem caused by impacted teeth and occur when fluid forms around one of the eruption sites of a tooth. Cysts can result in pain and possibly damage to the roots and bone of surrounding teeth.

Do You Have an Impacted Tooth?

Don’t let tooth pain control your life. If you think you have an impacted tooth, you should consult with an oral surgeon and see what your next steps might be.

(07/17/2024)
by OMS Nashville

More Information: https://omsnashville.com/blog/oral-surgery/problems-caused-by-impacted-teeth/


Views: 408
Share