Dentists Journal

Top Ten Stories of the Week
8/10/2024

All Dentists Journal · Previous Week · This Week · All Time List · Headlines

Share

Tooth Troubles Related to Stress

April is National Stress Awareness Month, and its mission is to raise awareness of the negative health impacts of prolonged stress. While many of the effects of long-term stress are well known, including heart disease, gastrointestinal problems, obesity, and difficulty in managing diabetes, your dentist in Strongsville wants to raise awareness of the fact that stress can also negatively impact oral health. 

The Body’s Response to Stress

When we feel stressed, our bodies will react in ways we may not even realize. For example, our immune system’s response will become delayed, and our adrenal glands will release the stress hormones of adrenaline and cortisol. The surge in these hormones will cause our nervous system to enter “fight or flight” mode, which is beneficial in times of short-term stress. But when it comes to prolonged stress, it can affect our memories, and learning systems, and increase the risk of depression. Additionally, heightened periods of stress can seriously affect oral health. 

Tooth Decay & Stress

During periods of prolonged stress, we are more susceptible to tooth decay. Why? Stress can cause our bodies to remove the naturally occurring protective minerals and allow dangerous bacteria and acid to linger around in the mouth. This can increase the likelihood of developing a cavity. Additionally, when we are stressed, we tend to resort to things that make us feel better, including alcohol, nicotine, or foods loaded with sugars. But these clutches can inevitably cause more harm than good.    

Gum Disease

Study upon study has shown a correlation between the development of gum disease and experiencing stress. There are several theories behind why this happens. One of which is when we are feeling stressed, we tend to bypass everyday things like brushing and flossing our teeth. Additionally, since increased stress levels can make our immune systems less effective, it means that our bodies can’t effectively fight off bad bacteria in the mouth. This increases the risk of developing gum disease. If not treated by a dentist in Strongsville quickly, gum disease can lead to tooth loss, bad breath, and a whole host of other health problems, such as heart disease.

Jaw Pain

Everyone experiences and reacts to stress differently. Some of the most common side effects of increased stress include clenching or grinding your teeth. These reactions are often done without us even realizing we’re doing it, but they can lead to some problems. For example, when we clench or grind our teeth, whether it’s done while we’re awake or asleep, the jaw can experience unnatural pressure and cause pain. Other signs that you’re clenching or grinding may include: 

Earaches

Headaches

Jaw clicking

Weakened tooth enamel

Increased tooth sensitivity

Reduce Stress, Protect Teeth

Combating stress is tough because there is no one-size-fits-all solution. However, here are some tips you can try to reduce stress and protect your teeth. 

Eat a Healthy Diet. Eating a well-balanced diet with fruits, veggies, and whole grains will allow your body to function properly and can help keep stress levels low.

Exercise Often. Exercising, even if it’s a quick walk around the block, will activate the “feel good” chemicals in our bodies that make us feel happier and less stressed. 

Get Enough Sleep. Adults should get anywhere between 7-9 hours of sleep every night. This will help your body relax and reset, lowering stress. 

Oral health is the window to overall health, and taking good care of it can help protect your body from some scary, and serious problems. One of the best things you can do to ensure a healthy mouth is to see your dentist in Strongsville every six months for regular checkups. Schedule an appointment with us today. 

(08/03/2024)
by Waked Dental

More Information: https://drwakedstrongsville.com/2023/04/07/tooth-troubles-related-to-stress/


Views: 351
Share
Share

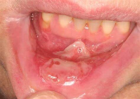
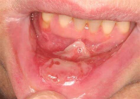
Things to Know about Mucositis

Mucositis, or mouth sores, is a common side effect of chemotherapy, radiation therapy, and bone marrow transplant. The mouth is one of the most sensitive parts of the body and is especially vulnerable to cancer treatment side effects.

Mouth sores can cause pain, poor nutrition (if it hurts too much to eat), and infections. They can affect your quality of life and can lead to limits on your chemotherapy doses. You can help prevent mouth sores and mouth swelling by eating well and having good oral hygiene.

What are some signs of mucositis?

Red, shiny, or swollen mouth and gums

Blood in the mouth

Sores in the mouth or on the gums or tongue

Soreness or pain in the mouth or throat

Difficulty swallowing or talking

Feeling of dryness, mild burning, or pain when eating food

Soft, whitish patches or pus in the mouth or on the tongue

Increased mucus or thicker saliva in the mouth

Mouth sores generally appear 5–10 days after the start of chemotherapy and last anywhere from 1–6 weeks.

What should I do if I have mucositis?

Drink at least 8 to 10 cups of liquid each day.

Rinse your mouth with a salt water solution 4 times a day (1 cup warm water, 1/8 teaspoon salt, 1/8 teaspoon baking soda). Swish and spit small amounts and then rinse your mouth with plain water before or after meals and at bedtime.

Brush your teeth 3 times a day with a SOFT toothbrush. If the toothbrush is too hard on your gums, try using swabs or gauze.

Avoid toothpaste with whitening agents.

Avoid products that irritate the mouth and gums, such as strong flavored commercial mouthwashes.

Limit use of dental floss.

If you wear dentures, remove them whenever possible.

How is mucositis treated?

Your health care team can help decide the best treatment. These may be some treatment options:

Pain medicine

Antifungal medicine

Changes in your chemotherapy or radiation treatment

In some mild cases, doctors may even recommend sucking on popsicles or ice cubes in order to numb the pain. Other products such as Tylenol, lozenges, chamomile tea, milk of magnesia, and Mylanta can also provide temporary pain relief.

What else can I do to avoid mouth pain and discomfort?

Eat foods cold or at room temperature.

Eat soft foods such as ice cream, eggs, custard, mashed potatoes, bananas, rice, and pasta.

Use liquids to soften hard foods.

Use a mouth moisturizer such as Biotene®, which you can find at many pharmacies.

Use lip balm.

Avoid things that can irritate the mouth such as alcoholic beverages, spicy or acidic foods, and tobacco products.

If you have neutropenia and you’re at risk of infection, make sure to ask your doctor or nurse about the foods that are best for you.

Registered dietitians in the Linda B. and Robert B. Wiggins Wellness and Integrative Health Center can also help you make a diet plan. Call 801-587-4585 to make an appointment or for more information.

If I have mouth sores, when should I call my doctor or nurse?

If you have difficulty breathing

Your mouth does not heal or gets worse

You have white patches on your lips, gums, or tongue

You have a fever over 100.3°F

(08/02/2024)
by U Health

More Information: https://healthcare.utah.edu/huntsmancancerinstitute/news/2021/04/six-things-know-about-mucositis-mouth-sores


Views: 360
Share
Share

Mouth Pain: Does It Always Require A Dentist?

Oral pain may arise due to a number of reasons besides dental issues. However, seeing as how dental issues are the most prevalent in that area of the body, most people immediately assume a mouth problem is a dental problem.

Do all instances of mouth pain require a visit to the dentist, though? Not necessarily… but in almost all instances, having a dentist check out what’s going wrong in your mouth can prove useful.

Not quite sold? Consider this: nearly 90 percent of diseases may cause symptoms in your mouth. Ninety percent!

Even if you are not ultimately dealing with something that is strictly a “dental” problem, getting a dentist’s professional opinion on your mouth pain is generally worthwhile.

Some general symptoms to look out for when caring for your oral health are:

Tooth, jaw, or gum pain

Teeth that are exhibiting looseness

Bad breath that recurs on a daily basis

Lumps, irregular patches, sores, and bruises in your mouth

If any of these symptoms are noticeable, you should consult with your dentist right away. They’ll either treat the issue or consult you to another healthcare professional for further treatment.

Let’s look at some specific types of mouth pain.

Toothache

Toothaches are the most prevalent form of dental pain. They are caused by the decaying of one’s teeth, abscessed teeth, gum infection, repetitive motions such as grinding teeth, fractured or sensitive teeth, and damaged fillings.

Symptoms of toothache include drainage from the affected tooth, headaches with a low fever, swelling in the gums or around the tooth, and – of course – pain in the tooth. This pain may be dull, throbbing, sharp, constant, or irregular. In some instances, pain may only result if pressure is applied to the teeth.

Does a toothache require a dentist? If it is severe, persists for more than a couple of days, and causes pain in your head, ears, jaw, or cheeks when you open your mouth – you better believe it!

Sore or Bleeding Gums

Bleeding gums often indicate an underlying problem, such as an oral injury, complications arising due to pregnancy, brushing one’s teeth too vigorously, or inflammation. Sore gums can also be an indication of gum disease or gingivitis. If left untreated, this may develop into periodontitis.

They can also be an indication of some underlying condition, such as diabetes.

A visit to the dentist will tell you if you have gum disease and whether you need some advanced dental treatment, such as scaling or root planting. The dentist may refer you to another healthcare professional if the issue is a symptom of something else, such as oral thrush, or a gynecological issue resulting from pregnancy or menopause.

Lumps, Patches, Mouth Sores

Generally, these are a sign that you are suffering from either canker sores or fungal infection. However, they can also be a symptom of oral cancer, some signs of which may include: bleeding sores that do not heal, lumps inside your mouth, discolored tissue, shifting of teeth, and rough spots within your mouth.

Mouth Inflammation

Mouth inflammation causes pain, heat, swelling, and redness inside your mouth. There are two types of inflammation: acute and chronic.

Acute inflammation is caused by burning your mouth. For example, by consuming hot beverages. In most acute cases, the inflammation heals within a few hours. You do not need to get medical help except in the most serious cases of acute inflammation.

If you suffer from chronic inflammation, however, it’s better to get it checked by a dentist.

Why? Because chronic inflammation can be related to gum disease or something more serious, such as mouth cancer. Chronic inflammation can also be a symptom of heart disease or diabetes and may occur if you’re having a stroke.

Burning Mouth Syndrome

Burning Mouth Syndrome refers to the sensation of burning on your tongue, the roof of your mouth, or the inside of your cheeks. It’s characterized by a scalding sensation. If the pain doesn’t go away or worsens, you should see your dentist about it as soon as possible.

In some cases, it is related to stress, anxiety, and depression. In other cases, it’s linked to allergic reactions to toothpaste, mouthwash, or the material that dentures are made of. It might indicate a problem with one’s immune system, a hormonal imbalance, or nerve damage.

General bottom line? If the mouth pain you are experiencing persists for more than a day or two, get in touch with a dentist about it. A routine visit might save you from expensive dental procedures down the road, such as root canals or dental crowns.

(08/02/2024)
by South Florida Dental Care

More Information: N


Views: 349
Share
Share

Sneaky Dental Issues That Might Mean Big Trouble

You know all about the importance of brushing your teeth, as well as your kids' teeth. But the benefits aren't limited to your pearly whites. "Many physicians and dentists consider the mouth to be a window into the general health of the patient," says Scott Froum, D.D.S., a board-certified periodontist based in New York City. Our experts Dr. Froum and Sally Cram, D.D.S., a dentist and spokesperson for the American Dental Association, broke down five tooth-, gum- and tongue-related issues that could mean you've got a much bigger problem on your hands:

1. Consistent bad breath

Aside from scaring away friends and family, your not-so-minty-fresh breath could be an early sign of gum disease, says Dr. Cram. Gum disease is particularly sneaky because it doesn't cause pain in its early stages, so most people who have it may not realize it until lots o' damage has already been done. Luckily, it doesn't involve some torturous procedure to reverse. Just put a little more time and effort into brushing and flossing daily.

2. Red, swollen or bleeding gums

If your gums continue to swell or bleed despite your best brushing and flossing efforts, our experts say there's a possibility you could be dealing with diabetes. So, if your pesky gum problems persist and you're noticing other diabetes symptoms like extreme thirst or hunger, fatigue or blurry vision, go see your doc ASAP.

3. Stubborn tongue pain

Obviously if you down hot soup too fast or bite your tongue it's going to be a little sore, but prolonged pain in the tongue or throat (more than two weeks) is one of the most common early signs of oral cancer, says Dr. Cram. Next steps: Monitor those symptoms and look out for any sores, lumps or lesions that won't disappear. Pass that two week mark and to the doctor you go.

4. Spots or sores out of the blue

If clusters of tiny white spots have started popping up around your lower molars — womp, womp — you might have a viral infection in your near future, Dr. Froum says. Called "Koplik spots," these little sores have developed a reputation as a highly predictive sign of measles. Tack on other symptoms like a fever, cough or runny nose, and you may be a few days away from that itchy measles rash. (Alas, you guessed it, a doctor's visit is required.)

5. Hefty tooth discoloration

As tempted as you might be to blame yellow teeth on your coffee addiction, you might be looking at the wrong culprit: If your teeth have turned a shade of black or brown, it could mean you're dealing with some deep-rooted tooth decay, Dr. Froum says. The solve: You might need to get a cavity filled — or (shudder) undergo a root canal treatment.

(08/03/2024)
by Good Housekeeping

More Information: https://www.goodhousekeeping.com/health/wellness/a40559/common-dental-problems/


Views: 429
Share
Share

How To Prevent Trench Mouth

Maintaining proper dental health is an important matter that every individual should practice. The health of the mouth is more than just brushing and flossing. Some conditions of the mouth can be hard to avoid if one lack proper knowledge on how to deal with them. One of the conditions is trench mouth which can be prevented in most cases if you know what to do.

The best way to prevent dental problems like trench mouth is to make sure you take care of your teeth and gums with regular flossing and brushing. You should also continue to see your dentist twice a year so they can detect any potential problems before those issues escalate into severe infections. Visit www.DrDentistsSydneyCBD.com.au to learn more about trench mouth.

What it is

It is just an advanced form of gingivitis. Individuals with this condition experience pain in the gums as well as bleeding and infections. This condition is not often seen in today’s society because of the availability and prevalence of dental care but can be seen more often in developing countries because of the lack of dental care that is more prevalent in these conditions.

How it happens

This disorder is the result of not taking proper care of your mouth. It is a severe case of gingivitis where so much bad bacteria have been allowed to build up within the mouth that these bacteria start eating away at your gums. It is these bacteria that are at the root of the condition.

So how do these bacteria build up to such an extent? Your mouth is always filled with bacteria, but with proper dental hygiene, they are kept under control. Their numbers never grow to the size that they start damaging your gums when you keep your mouth healthy. If you do not take care of your mouth and these bad bacteria begin to accumulate, then this disorder can occur.

How to prevent it

The right way to prevent this problem from occurring is ensuring proper oral hygiene and making regular visits to your dentist for checkups at least twice a year. The dentists will be capable of recommending you for more visits for recurring problems or even changes to your exercise and nutrition to help improve your overall health.

(08/05/2024)
by Trancy

More Information: https://trancy.net/trench-mouth/


Views: 438
Share
Share

What Is The Cause Of Teeth Sensitivity

Do you feel pain every time you take a sip of hot coffee or when you eat an ice cream treat? If so, chances are that you're experiencing teeth sensitivity. Millions of people throughout the world are affected by this tooth condition. It can make your daily activities very difficult. But what is the cause of teeth sensitivity? Today, we are going to explore 13 factors that cause sensitive teeth and make us feel terrible pain.

Let's take a quick look at how a tooth is constructed before getting into the details of tooth sensitivity. Understanding this will help you figure out what causes sensitive teeth.

What Is The Cause Of Teeth Sensitivity?

According to the best teeth doctor in Dumdum, "The main culprit behind sensitivity is "dentin". The second layer of teeth is called dentin. This area of the tooth is delicate, has numerous small holes, and is lined with nerves. When the nerve of the tooth comes into contact with extreme temperatures, they send signals to your brain which result in sharp bursts of pain. This pain leads to dentin sensitivity.

What Are The Symptoms Of Sensitive Teeth?

The best dental clinic dumdum shares a list of common symptoms that you may experience while having sensitivity-Pain or discomfort in teeth

Sharp sensation

Pain while brushing

Pain while breathing cold air

Painful gums

Discomfort while eating cold or hot foods

Factors That Can Contribute To Tooth Sensitivity

1. Gum Disease Can Result In Sensitive Tooth

Your mouth is like a little universe filled with tiny microorganisms. If you don't maintain oral hygiene, some of these bacteria may cause pain and result in gum disease. Gum disease not only damages the gum tissues but also the bone that supports your teeth. As a result, more surface area of your tooth roots is exposed, leading to higher dental sensitivities. However, if you experience an inflamed gum or infected tooth, you may need root canal surgery. You can consult Smiley Dental Clinic to receive the best root canal treatment in Dumdum.

2. Brushing Technique Might Be Another Culprit To Blame

When you brush too hard with excessive force, it can wear away your tooth enamel over time. This can cause hypersensitivity issues for many individuals. Using a hard-bristled toothbrush would result in more pain or discomfort. You must use a soft toothbrush to clean your teeth. Try rotating your toothbrush in slow circular motions. Also, tilt the toothbrush towards your teeth and gums to remove debris from your teeth.

3. Tooth Erosion Can Be Another Reason

Regular consumption of acidic foods such as citrus fruits and tomatoes may cause enamel erosion. This makes them prone to developing sensitive areas on tooth surface. Sugary foods and drinks like candies, soda, and coffee can also cause sensitivity. Hence, it's best to avoid acidic foods and drinks to avoid tooth pain. You can improve your smile and oral health by receiving the best smile designing in dumdum, Kolkata. Our dentist are ready to beautify your smile by removing broken teeth and using tooth restorations techniques.

4. Aging Is Also One Big Cause

Natural changes occur within our mouths as we age, including gum recession, which exposes vulnerable parts of our teeth. It increases the chances of feeling discomfort or pain whenever you take hot or cold drinks. Because these areas lack the protection offered by the healthy layer of the tooth. As a result, older adults often have higher sensitive teeth than children.

5. Too Much Mouthwash

Mouthwash is great for maintaining oral health. But using it excessively or picking one with a high acidity level will wear down the enamel of your teeth. This is one of the common causes of tooth sensitivity. Long-term use of such products must be avoided to maintain good oral health and a beautiful smile.

6. Your Toothpaste Can Also Lead To Tooth Sensitivity

Some teeth whitening products contain chemicals that can cause temporary sensitivity. Similarly, if your toothpaste contains a whitening agent, it can cause sensitivity. Hence, you must use toothpaste for sensitive teeth that do not contain harmful chemicals or whitening agents. You can use Sensodyne for sensitive teeth. This is specifically made for sensitive teeth.

7. Cracked Teeth

Cracks in your teeth allow bacteria to enter deeper into dental structures. causing your sensitive teeth. Cavity eats away your enamel and exposes the root of your teeth which triggers extreme pain. This is one of the main causes of sensitivity. 

8. Grinding or Clenching Your Teeth

Grinding your teeth frequently, whether while sleeping or during the day, can erode the enamel that covers your teeth. This can be another big cause of your tooth sensitivity. 

9. If You Are Experiencing Tooth Decay

The main cause of sensitive teeth is tooth decay. When cavities develop and spread to the nerve-filled inner pulp of a tooth, it makes it uncomfortable for many people to eat hot or cold food. This type of tooth sensitivity can impact your daily life.

Many people experience discomfort as a result of tooth sensitivity. They keep wondering what is the cause of teeth sensitivity. It's essential to seek professional dental care to reduce sensitivity.

(08/06/2024)
by Smiley Dental Clinic

More Information: https://smileydentalclinic.com/blog/what-is-the-cause-of-teeth-sensitivity


Views: 370
Share
Share

Cancer symptoms: The sign in your mouth that could indicate the deadly disease

The symptoms of cancer are wide-ranging. Most people are aware of some signs, such as a lump, but not all symptoms are so obvious. With over 200 types of cancer, there are equally as many symptoms which could indicate the disease, some of which are very subtle. Some of the less obvious signs of cancer are similar to symptoms of less serious conditions, so can be easily overlooked. One such symptom, which you shouldn’t ignore if it is long-lasting, is a mouth ulcer.

But if they are long-lasting, particularly if they last longer than three weeks, they could be a sign of mouth cancer.

“It’s common to get ulcers in the mouth when you’re a bit run down. The lining of the mouth renews itself every two weeks or so, which is why ulcers usually heal within this time,” said Cancer Research.

“But an ulcer that doesn’t heal after three weeks should be reported to your doctor or dentist.”

Sore mouth ulcers that don’t heal within several weeks are the most common symptom of mouth cancer.

Mouth cancer, also known as oral cancer, is where a tumour develops in the lining of the mouth.

Tumours can also develop in the glands that produce saliva, the tonsils at the back of the mouth, and the part of the throat connecting your mouth to your windpipe.

Other common symptoms are unexplained, persistent lumps that don’t go away and unexplained, persistent lumps in the lymph glands in the neck that don’t go away.

Less common symptoms can include pain or difficulty when swallowing, changes in your voice or speech problems, bleeding or numbness in the mouth, and a tooth or teeth that become loose for no obvious reason.

Difficulty moving your jaw and red or white patches on the lining of you mouth can also be symptoms of mouth cancer.

“Many of the symptoms can be caused by less serious conditions, such as minor infections. However, it's strongly recommended that you visit your GP or dentist if any of the symptoms have lasted longer than three weeks,” said the NHS.

Ulcers on the tongue that don’t go away can also be a sign of tongue cancer. Tongue cancer is a type of head and neck cancer.

Other symptoms of tongue cancer include a red or white patch on the tongue that won’t go away, a sore throat that doesn’t go away, pain when swallowing and numbness in the mouth that won’t go away.

Unexplained bleeding from the tongue and pain in the ear can also be signs of tongue cancer.

Like mouth cancer, these symptoms can be due to other, less serious conditions, but it’s best to get them checked out in case.

(08/07/2024)
by Express

More Information: https://www.express.co.uk/life-style/health/1112815/cancer-symptoms-signs-mouth-ulcer-tongue


Views: 372
Share
Share

Types of Mouth Infections and How to Treat Them

There are a number of infections that can affect the mouth. These may be caused by bacteria, viruses, or fungi. With any condition, it is important to contact your healthcare professional to get the proper treatment that will help your specific condition.

Thrush

Thrush is a fungal infection in the mouth. It is usually located in the lining of the mouth and tongue. It can also appear in the throat and on other areas of your body.

When thrush occurs in the mouth, symptoms include:

Raised white lesions on the (inner) cheeks and tongue

Redness and pain in the mouth

A cottony feeling

Loss of taste

Thrush is caused by an overgrowth of Candida or other fungi. It is diagnosed by physical exam and rarely needs a throat culture. It can be treated with anti-fungal medication.

It is important to check with a healthcare provider to get the proper diagnosis and treatment.

Cavities

A cavity is a common occurrence among both adults and children. It develops from tooth decay and forms a hole in the tooth. This happens when acids and bacteria in the mouth erode the tooth enamel, or hard outer layer.

To prevent cavities, it is important to get regular dental checkups and cleanings, as well as to brush and floss properly and regularly.

How to Prevent Cavities

Symptoms of a cavity include:

Toothache

Redness inside the mouth

Bleeding gums

Sensitivity to hot or cold drinks or foods

Bad breath

The causes of a cavity include consuming too many sugary foods and drinks, as well as improper brushing and flossing.

The bacteria in the mouth are known to feed on foods that have a lot of sugar and starch, which convert into acids. The acids will in turn start to erode the tooth enamel and create holes and cavities.

When an individual has a cavity, the treatment options include:

Filling

Root canal

Tooth extraction

If the decay is in its early stages, a remineralization treatment can help repair the tooth enamel. This process includes fluoride treatments at the dentist. It also may require a prescription mouthwash and toothpaste.

It is important to get regular checkups with the dentist to keep the teeth healthy. Regular checkups can also prevent potential issues in the future.

Periodontal Disease

Periodontal disease is an advanced form of gingivitis. When the gums and bones that support the teeth are infected, they can become inflamed and red. They also start to pull away from thestructure of the bones and teeth. When this happens, the teeth may loosen or fall out.

This condition primarily happens to adults. Symptoms of periodontal disease include:

Tender, swollen, or bleeding gums

Loose and sensitive teeth

Gums that are pulling away from the teeth

Change in the fit of dentures

Bad breath or taste in the mouth

When plaque is formed in the mouth from bacteria staying on the teeth too long, it will harden to tartar. The buildup of tartar can spread below the gum line. When this happens, it makes it difficult to remove the tartar and clean the teeth.

It is important to have a dental professional clean the teeth, remove the tartar, and give proper suggestions and treatment to help decrease the process/the progression of periodontal disease.

Treatments of this condition include preventive measures such as brushing and flossing regularly and visiting the dentist at the recommended appointment times.

Other treatments include:

Prescribed medication that can be placed directly under the gum or taken orally

Deep cleaning of the tooth and root surfaces below the gum

Surgery

Gingivitis

Gingivitis is an early stage of gum disease. This condition occurs when bacteria infect the gums, making them red, swollen, and frequently bleeding. Gingivitis is manageable with regular dental checkups, brushing, and flossing at the recommendation of a dental professional.

Some of the symptoms include:

Bad breath

Pain when chewing foods

Red and swollen gums

Overall, having bacteria in the mouth is normal and safe. However, some bacteria can create plaque, which can cause an infection in the areas where the teeth meet the gums; this is when gingivitis occurs. It can potentially worsen when the plaque hardens and turns into tartar, which is more difficult to remove from the teeth.

Treatment includes:

Antimicrobial mouth rinse

A specific dental hygiene plan

Scaling, a process that removes bacteria and tartar from underneath the gums and teeth

Some conditions and lifestyle habits could increase the chances of getting gingivitis. These include:

Diabetes

Family history

Smoking and other forms of tobacco use

Oral Herpes

Oral herpes is an infection on the mouth area that is caused by the herpes simplex virus. Once an individual is infected with herpes, they will have the virus for life. It can lie dormant within nerve cells.

Some individuals never develop symptoms, and others may have outbreaks periodically. Symptoms include sores throughout the mouth and around the lips.

The sores are known to be contagious, painful, fluid-filled blisters. Some of the symptoms can also mimic other conditions, so it is important to contact a healthcare professional to get a proper diagnosis and treatment.

The signs and symptoms of an oral herpes outbreak may look like other conditions or medical problems. Always consult your healthcare provider for an accurate diagnosis.

Herpangina

Herpangina is a contagious illness that incudes ulcers and sores in the mouth.

Symptoms include:

Fever

Ulcers in the throat and mouth

Headache

Sore throat

Loss of appetite

This condition is common among children between the ages of 3 and 10, although it is known to occur at any age.

Treatments include:

Ibuprofen

Ice pops

Increase of fluids

Avoiding acidic, spicy, and citrus foods and beverages

There are also topical medications. It is important to check with a healthcare professional for the proper treatment and care.

Syphilis

Syphilis is a sexually transmitted infection that can occur and spread through sexual contact with someone who has the condition.

If the infection is left untreated, syphilis can lead to serious health issues, including:

Damage to the brain, eyes, and heart

Mental health disorders

Blindness

Death

The symptoms are dependent on the stages. It typically starts as a small sore that is painless, then a bumpy rash may appear on the body (typically the hands or soles of the feet or palms). Other symptoms include flu-like ones such as muscle aches, fever, sore throat, or fatigue.

If someone comes in contact with the rash by chance or during sex, the infection can spread. Treatment includes antibiotics and preventive behavior.

It is important to speak with a healthcare professional to get the proper treatment and education regarding the infection.

(08/05/2024)
by Very Well Health

More Information: N


Views: 504
Share
Share

Five Reasons To Look After Your Dental Health

Many people ignore the importance of their dental health because they assume it’s not as significant as their physical health. However, neglecting the condition of your mouth may affect the quality of your life in the future. If you encounter serious oral problems, you may end up feeling too much pain. You might even need to spend a lot of money just to receive treatment.  

No matter how busy you may be, you must take the time to pay attention to your dental health. It can give you useful information about your overall condition and play a vital role in your lifestyle.

Here are some reasons why you shouldn’t forget to look after your oral health:

1. Your Oral Health Affects Your Daily Life  

The status of your oral health can directly affect your daily life. If you have a healthy mouth, you won’t need to be conscious every time you eat or drink something or whenever you’re holding a conversation with another person. However, if you’re experiencing discomfort or oral problems, your everyday routine may be a lot more stressful.

Various oral complications can impede your lifestyle before you even know it. For example, an ache on your gums that you keep on ignoring may become too unbearable in an instant and cause you to cancel your schedule for the day. Some dental problems may be unnoticeable at first but eventually, affect your oral health. This is why you must always look after it.  

You shouldn’t miss your dental clinic visits and always follow your dentist’s advice. Practicing good oral hygiene can keep common mouth problems at bay and allow you to live your life without any worries. It would also be better if you go to the same facility every time you encounter a problem. This will allow your dentist to identify the root of your mouth condition more accurately. In most cases, clinics like Durango Dental know most of their clients and keep a record of all the services they provide to each patient.  

2. Your Dental Health Can Indicate Other Conditions

Your dental condition can tell a lot about the status of your overall health. Some health problems can be identified by the symptoms that manifest in your mouth. For example, people with diabetes may have a fruity smell that comes out of their breath. This is because the body will burn fat instead of sugar for energy.  

Other forms of illnesses can also start or occur in the mouth. Oral, head, or neck cancer, for instance, shows their symptoms inside your cheeks or gums. If you see white or red spots or observe unexplainable swelling or pain in your face, then you may be at risk of cancer.  

Regularly getting your dental health checked and seeking medical assistance when you experience unusual symptoms in your mouth may help you diagnose other health problems before they become too severe.  

3. Treatments For Oral Problems Can Be Expensive  

Oral health problems aren’t uncommon. Nowadays, many people seek dental attention due to their oral conditions. One usual complaint dentists will get whenever they treat a patient is a toothache. If you suffer from pain in your teeth or gums, you may experience illness and irritability. You’re lucky if the root of your discomfort is just cavity buildup. This is easily treatable and isn’t as serious as other common oral diseases. However, there are times when more severe complications can cause pain or discomfort.  

For example, extreme tooth decay that simple cleaning procedures can’t resolve may require extraction or minor surgery. This can cost a lot more money since the operation will need more medical equipment and medications afterward. The costs for dental treatments may not be affordable for everyone.  

Other dental conditions like gingivitis or periodontitis may require frequent visits to the dentist, which can also be costly. If you don’t have funds for emergency medical visits, you may want to pay attention to your oral health now. Practicing proper oral hygiene and seeking dental advice as soon as possible can help you save money in the long run. 

4. It Can Prevent Pain Or Discomfort

Looking after your dental health and ensuring that it’s in good condition can prevent various oral problems that can cause you a lot of pain or discomfort. You won’t have to worry about feeling sudden jolts in your gums or teeth caused by dental illnesses.

Most of the time, the most apparent symptoms of a dental problem are pain, swelling, or discomfort. These can hinder your everyday life and, in extreme cases, may even force you to stay at home and become bedridden until your symptoms subside.

If you don’t want to go through those kinds of situations, you should prioritize your dental health. It would be better for you to regularly schedule appointments with your dentist, especially if you’re undergoing dental treatments.

For example, if you’re wearing braces to fix your teeth, be sure not to miss a visit so you can remove them as soon as possible. Although it would hurt initially, the payoff once you finish your treatment will be worth it. Remember that you’ll have a more difficult time wearing them and may experience pain and discomfort if you always miss your checkups.  

5. It Can Help Boost Your Confidence  

It’s undeniable that many people aim to have a nice smile. Having poor dental health can take a toll on your confidence and hinder you from performing simple activities like smiling or talking to other people. If you feel insecure about your teeth and mouth’s condition, you should pay your dentist a visit.  

An expert can help treat the condition that’s bothering you. For instance, you can choose to get

your teeth straightened if you’re conscious about crooked teeth. You may also get advice on problems like overbite or underbite, which may affect your self-confidence and overall health.  

Addressing your complaints regarding the status of your oral health can help bring back your confidence and make you feel happier about your smile. By fixing your oral problems, you’ll eventually improve your overall well-being.

Final Thoughts  

You should pay attention to your oral health as much as you value your physical or mental health. It plays a crucial role and can significantly affect the overall condition of your body. It can have a massive impact on your day-to-day life; it can also be related to other health problems you may be experiencing. Visiting a dentist regularly and practicing proper oral hygiene are easy but effective ways to keep your dental health in good shape.

(08/07/2024)
by Ghp

More Information: N


Views: 376
Share
Share

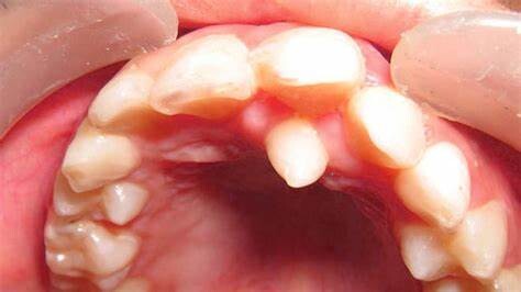
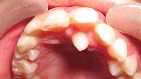
What is Hyperdontia? Extra Teeth Causes, Problems and Treatments

Having more teeth than normal is a condition known as hyperdontia, or supernumerary teeth. Children usually have 20 teeth, and by adulthood the normal number of teeth is 32, but up to 3% of people have extra teeth growing somewhere in their mouths.

Hyperdontia is one of the less common dental problems you might come across, so it can be worrying to hear that you or someone you know have supernumerary teeth. Plus, a quick internet search of hyperdontia images can produce some sensational stuff. Here we’ll try and put your mind at rest by explaining:

The different words that are used to talk about hyperdontia

Why someone might develop an extra set of teeth

What problems you might experience with supernumerary teeth

The various options for treatment, if required

Multiple hyperdontia

Once you’ve read this article, we hope you have a much clearer understanding of hyperdontia and you’ll be confident discussing your or your child’s extra teeth with your dentist.

What is hyperdontia?

Hyperdontia, or supernumerary teeth, simply means having more teeth than normal. These teeth can appear anywhere in the mouth, but 98% of cases involve extra teeth growing in the upper jaw.

Most people have just one or two extra teeth; multiple hyperdontia including an extra row of teeth is quite rare.

Hyperdontia can be detected either by sight, if you or your dentist can see extra teeth growing where you wouldn’t expect them, or by dental x-ray. An x-ray will show teeth that are still waiting to come through. Sometimes your dentist might do a CT scan to understand more about the positioning of multiple supernumerary teeth.

There are quite a few different terms that dentists might use to talk about hyperdontia. Here are a few of the most common ones to help you better understand a diagnosis:

Types of extra teeth

Supplementary: Teeth that are normal in shape and size

Tuberculate: Teeth that are more barrel-shaped

Conical: Teeth that are peg-shaped, or pointy

Compound and complex odontoma: Either a collection of teeth-like growths or a mass of tooth-like tissue

Positions of extra teeth

Mesiodens: Extra teeth on the roof of the mouth. Between 0.15% and 4% of patients have this type of extra tooth behind the front teeth.

Paramolars: Extra teeth growing out of gums, extra teeth growing out of lower gums, growing on the inside or outside of normal teeth. They are less common and less noticeable since they grow around the molars at the sides of your mouth.

Distomolars: Extra wisdom teeth that grow in line with your other teeth. Having extra wisdom teeth is pretty rare and they hardly ever erupt. A dental x-ray can identify them, and the first symptom of extra wisdom teeth is likely to be tooth pain. Having a fifth, six, or even seventh molar has been reported but it’s extremely rare.

What is multiple hyperdontia?

Multiple hyperdontia is when someone has more than just one extra tooth. According to the American Journal of Orthodontics & Dentofacial Orthopedics, this is rare in people who have no other syndromes or associated diseases. Of course, even though this is quite rare, a quick search of hyperdontia images will yield the most extreme cases at the top of the search results, so don't panic. 

Hyperdontia causes

There are a few different things that are known to cause extra teeth in gums and the roof of the mouth. If your family has a history of people with extra teeth, you are more likely to experience the same problem, but it isn’t a given.

About 3% of the general population has at least one extra tooth, but studies show that men are around 50% more likely to have supernumerary teeth than women. Interestingly, women are more likely to be missing teeth; this is called hypodontia and you can read all about it in our article about congenitally missing teeth.

There are some medical conditions that increase the chances of having extra teeth, too. Noticing extra teeth in your mouth might be the first symptom, so if you are concerned you can ask your dentist whether you should be referred to a doctor for further tests.

Gardner’s Syndrome, Ehlers-Danos Syndrome, and cleidocranial dysplasia are all conditions that are associated with people with extra teeth. These are rare conditions that your family doctor will be able to help you find support for. You can also be referred to a dentist who is experienced in dealing with similar cases.

Around 5% of children born with a cleft palate or lip have supernumerary teeth. We have a full guide to cleft palates and lips, which explains treatment options and how to find extra support.

Hyperdontia treatment

In some cases, hyperdontia might not need to be treated. However, there are various dental problems that can arise from having extra teeth growing in your mouth. People with hyperdontia might experience:

Difficulties chewing food

Speech problems

Problems with normal teeth erupting

Crowded teeth

Crooked teeth

Tooth decay due to difficulty cleaning teeth effectively

Esthetic issues if the extra teeth are visible

Due to the range of potential problems, it is common for dentists to recommend hyperdontia treatment. Those with multiple hyperdontia or severe hyperdontia, may notice a large difference before and after treatment in terms of ease of chewing and normal speech. You can watch the following video for a brief overview of this condition and the possible complications and outcomes:

Depending on the age of the patient and how many supernumerary teeth they have, a mix of the following treatments will be considered.

Hyperdontia removal

Because having extra teeth can lead to so many problems, dentists usually recommend the removal of extra teeth. Dentists usually try and conduct extra teeth removal by the age of seven to minimize disruption of the development of other teeth.

It is easy for a dentist to see if a child has more baby teeth than the twenty that are expected, and this can be a sign they will also have extra adult teeth. Approximately 30-50% of children with extra baby teeth will have extra teeth growing as adults. However, adults are five times more likely to have hyperdontia than children, so it’s not a hard and fast rule.

If the supernumerary teeth are found and extracted early enough, extraction could be the only treatment needed. Extra teeth that can be easily seen and accessed by your dentist can be removed just like any other tooth. When the extra teeth growing in your gums are impacted, and thus haven’t come through completely, dental surgery is likely to be needed to get the tooth out.

If you aren't squeamish, and are curious about the process of removing extra teeth, this case study from the International Journal of Oral Health and Medical Research shows hyperdontia before and after treatment in a 12-year-old patient.

Our tooth extraction guide has more information about the process for removing teeth, including surgical extraction.

Braces for extra teeth in children and adults

Crooked teeth often occur in people with extra teeth, since the supernumerary teeth push the others out of line. Once any hyperdontia teeth removal has been completed, your dentist may suggest orthodontic treatment with braces to straighten your smile.

There are various types of braces to consider for orthodontic treatment.

Fixed braces consist of metal or clear brackets which are attached to the teeth and connected with wires and bands. They gradually move the teeth into the desired position, with regular adjustments at the dentist.

Another option is invisible braces such as Invisalign. These removable clear aligners fit over your teeth like a mouthguard and are very hard to notice. They are an inconspicuous and convenient option for teens and adults who don't want their braces to be obvious to others.

If your dentist has recommended treatment with braces, you can read our articles about child braces and adult braces to get lots more information about the different options, and to find out what it's like wearing them.

Fillings, crowns, and veneers

When left for a long time, extra teeth in the roof of your mouth or gums can cause damage to the surrounding teeth. Brushing and flossing become very difficult when there are teeth in awkward positions and places that are hard to reach, even if you use an electric toothbrush and water flosser to help.

Following any extractions that your dentist recommends, you might need to have extra treatment to get your smile into great shape. A tooth filling will be used to plug any small cavities, a crown can cover a tooth that has been badly affected by decay, and veneers can be used to cover misshapen teeth that might result from hyperdontia.

Is hyperdontia covered by Medicaid or Medicare?

This depends on the treatment in question. As is the general rule for Medicaid dental treatment for children, if extractions and other work are deemed medically necessary they are likely to be covered. For under-18s the treatment will be free, and luckily a lot of hyperdontia treatment can be completed at a young age.

In cases where the extra teeth don't become apparent until you’re older, for example with extra wisdom teeth, your dentist will make an assessment as to whether treatment is strictly necessary and if it is, it depends on the state you live in and if Medicaid in that state covers dental treatment for adults.

Read our article on dental Medicaid and medicare coverage. 

Conclusion

Having hyperdontia isn’t something that should be a big worry, even though the idea of having extra teeth growing in your mouth is rather strange. Especially if detected early on in a dental check-up, hyperdontia treatment should be simple and effective.

(08/04/2024)
by Dentaly

More Information: https://www.dentaly.org/us/hyperdontia/


Views: 514
Share