Dentists Journal

Top Ten Stories of the Week
12/5/2020

All Dentists Journal · Previous Week · This Week · All Time List · Headlines

Share

Dental Issues and Hepatitis C

This may sound disgusting, but when I was on treatment, there were times when my mouth was a mess. Not only were my teeth decaying which required dental work, my mouth just had a lot of problems. I got my teeth cleaned before treatment and waited until a year for my next cleaning. Today’s treatments are shorter, but dental hygiene is still important given the connection between dental issues and hepatitis C –notably that liver disease can cause a range of “messy mouth” problems. Being aware can help to prevent your mouth from getting too sick. Do a dental check every day in your bathroom and look out for signs and symptoms of any oral problems.

Dental issues and hepatitis C: messy mouth

Dry mouth:

This seems to be a major problem for many of the drugs we use, and especially so with hepatitis C treatment. Dry mouth can accelerate the decay process. Having enough saliva helps to keep your mouth with a healthy PH balance.

Mouth sores:

Sometimes the inside of your cheek, or even your gums can develop canker type sores. These red spots make eating difficult and painful. If it reduces your ability to eat, you might find yourself low on nutrition.

Thrush:

Often times dry mouth can lead to a fungal infection such as thrush. This is where your tongue becomes swollen and painful. A white coating can appear in your mouth and gums as well. This inflammation might make it difficult to swallow. Eating spicy or acidic foods can make it worse.

Stop the cycle:

When your mouth is messy, your appetite isn’t good. Before long you can begin to feel malnourished. This leads to increased fatigue. When you’re tired, you have less energy for oral care and for cooking nutritious meals. It’s a vicious cycle. If you are aware of what is happening with your mouth, you can jump off of that hamster wheel before you have serious problems.

Take steps:

Using a gentle toothbrush is a good step in reducing irritation. It helps you to get in the hard to reach places if the bristles have feathery tips instead of the big rubbery type. Sensitive toothpastes are easy to find in just about every store now. You may even want to try a special mouth rinse for dry mouth. Use as frequently as possible. Even rinsing with water several times a day can keep bacteria down. It also helps to relieve pain from mouth sores and irritation.

Medical treatment:

Talk to your medical care provider if you’re experiencing dental issues from hepatitis C. They may feel that a medicine such as Miracle Mouthwash might be beneficial. It contains a combination of pain relief, antibiotic, and a soothing coating to help heal your mouth and gums. They might be able to offer some solutions that will provide relief.

The good news is that there are things you can do to prevent and treat messy mouth problems. As soon as you see signs of a messy mouth, take some steps to clean it up. If it doesn’t heal soon, your doctor or dentist can offer advice to clear it up quickly! Messy mouth doesn’t have to to last forever.

(11/29/2020)
by Karen Hoyt

More Information: https://hepatitisc.net/living/messy-mouth/


Views: 1,328
Share
Share

The most prevalent dental problems and how to avoid them

Everyone wants a killer smile, with pink gums, fresh breath and perfectly formed, shiny white teeth.

And while many enjoy optimum oral health, others are less fortunate, suffering from a variety of dental problems that leave teeth rotting, gums bleeding and a smile that is not so dazzling.

According to Dr Khalid F Al Ameri, specialist orthodontist at Abu Dhabi’s Healthpoint Hospital, the five most common oral problems in the UAE are dental caries or decay, periodontal (gum) disease, tartar build-up, loose teeth and stains.

“These are mostly caused by lack of dental education,” says Al Ameri. “Stopping bad habits such as smoking and consuming a lot of sugary foods and drinks will help prevent these conditions.”

Sugary food in particular causes dental caries, or tooth decay, which according to the World Health Organization is a major oral-health problem in most countries, with 60 to 90 per cent of schoolchildren and nearly 100 per cent of adults worldwide experiencing dental cavities.

Tooth decay occurs when sucrose reacts with bacteria in the dental biofilm, producing acid, which leads to a loss of calcium and phosphate from the enamel.

“The process is called demineralisation,” says Al Ameri, who recommends brushing and flossing at least twice a day to minimise the production of acid.

He also urges people to visit a dentist at least once every six months to reduce the risk of periodontal diseases, caused by tartar and plaque accumulation.

“These range from simple gum inflammation to serious disease that results in major damage to the soft tissue and the bone that supports the teeth. In the worst cases, teeth are lost,” he adds.

Whether your gum disease stops, slows or worsens depends on how well you care for your teeth, both in terms of cleaning and what you put into your mouth.

Certain foods not only cause gum disease and tooth decay but also lead to unsightly stains. You may want to think twice the next time you reach for soy sauce, berries, black tea and coffee, as they have all been proven to discolour teeth. So, too, have curry, cola and red fruit juices.

“Acidic foods and beverages or extreme changes of hot and cold can cause teeth pores to expand, which can allow food to penetrate and stains to appear,” says Al Ameri. “Avoiding or limiting these foods is one way to protect against staining.”

Smoking increases the chances of gum disease and causes teeth discolouration.

Al Ameri says children with a diet high in sugar face increased risks, too.

Despite efforts to fight dental disease, it remains a global issue, with disadvantaged population groups experiencing higher rates of problems, according to the WHO. The organisation also states that approximately 30 per cent of people between the ages of 65 and 74 have no natural teeth.

In the UAE, dental education has increased dramatically in the past 20 years. Oral health programmes, international dental conferences and a higher number of public healthcare centres are helping to inform residents about dental problems.

“The UAE is one of the leading countries in the Middle East for dental education,” says Al Ameri. “I think we have an excellent level of dental care as we constantly strive to standardise dental services.”

(12/01/2020)
by Kathryn Roberts

More Information: https://www.thenationalnews.com/lifestyle/wellbeing/word-of-mouth-most-prevalent-dental-problems-and-how-to-avoid-them-1.171958


Views: 986
Share
Share

Tooth Decay First Common Chronic Disease Among Children

Did you know dental caries (cavities/tooth decay) is the most common chronic disease among children and young adults according to the CDC?  in 2015/16, 45.8% of children ages 2-19 had treated or untreated dental caries. 

Dental caries are five times more common than asthma, four times more common than childhood obesity, and 20 times more common than diabetes. The pain caused by dental caries can affect a child’s ability to eat, sleep, speak, learn and play.

They can cause lasting impacts on quality of life, even into adulthood.

You may think, “What’s the big deal?  They are just baby teeth.  They are going to fall out anyways.”  While baby teeth (primary teeth) do eventually fall out, they provide a vital role in a child’s development. 

Most children lose their first baby tooth around the age of 5 or 6 and their last around the age of 10 to 12.

If a decayed baby tooth has to come out before it was meant to fall out naturally, space is lost for the incoming permanent tooth. That can cause teeth to come in crooked or crowded, leading to extensive orthodontic work down the line.

Missing teeth may make it difficult for a child to eat.  They can also affect a child’s speech development.  What’s more, significant decay and infection in a baby tooth can spread down to the permanent tooth below causing irreversible damage. 

The good news, there are easy steps you can take to help your child prevent cavities!

Brush their teeth twice a day with fluoride toothpaste (parents should assist young children).

Floss their teeth daily.

Limit the consumption of sugary drinks and snacks.

Eat a healthy, balanced diet.

For infants and toddlers, only give them water in their bottle or sippy cup when putting them to sleep and encourage them to drink from a regular cup as soon as they are able.

We recommend children should be seen by the age of one or once their first tooth appears and every six months after that.

(11/27/2020)
by Park Dental

More Information: https://www.parkdental.com/tooth-decay-is-the-most-common-chronic-disease-among-children/


Views: 1,044
Share
Share

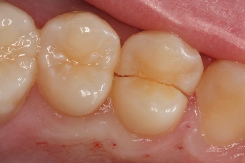
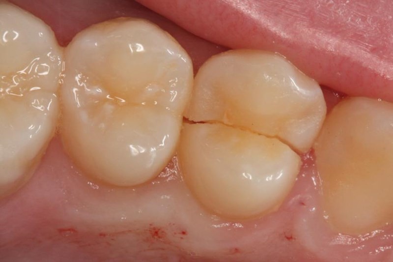
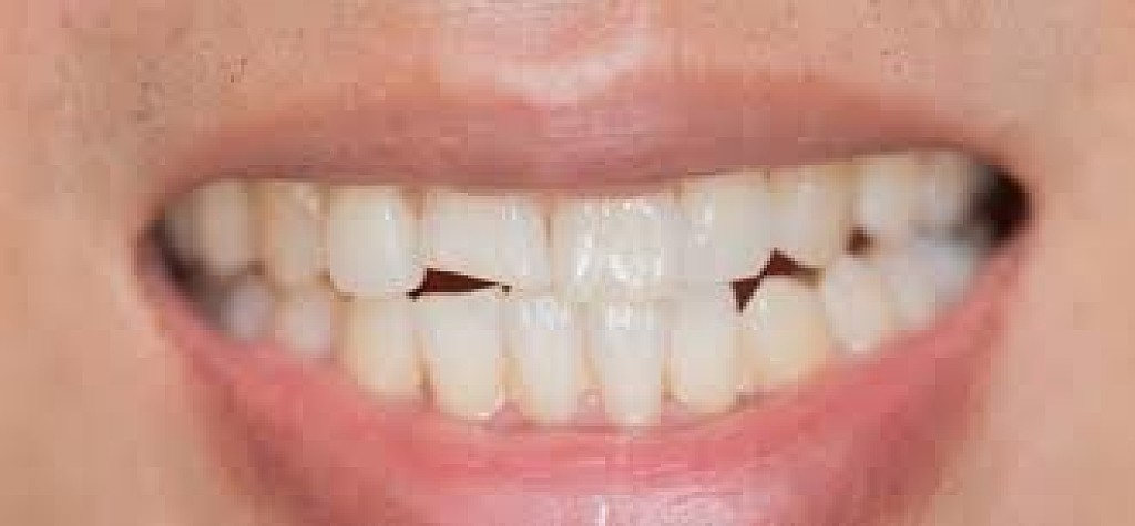
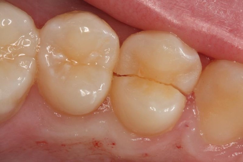
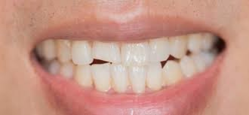
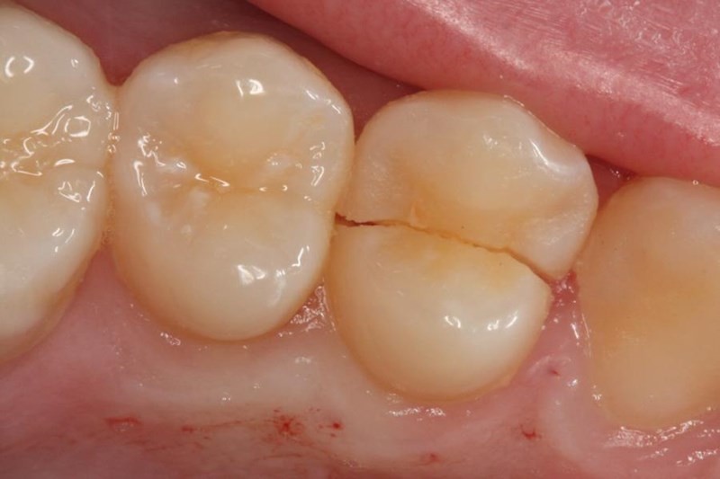
What is Cracked Tooth Syndrome?

There are many different causes and types of cracks that can occur in your teeth, so we'll explore some of that as well as what your treatment options are.

What causes Cracked Tooth Syndrome?

According to Medical News Today, cracked tooth syndrome can be caused by an injury to your mouth or biting down on an unexpected piece of hard food. However, it can also happen over time due to age. In addition to standard wear and tear, you can get cracks in teeth from grinding or from abrupt changes in temperature like drinking ice water after taking a mouthful of too-hot food. It's important to note that this syndrome is common, and its causes are often accidental, noty due to a lack of proper oral hygiene or habits.

Is my tooth pain from a crack?

Tooth fissure pain may come and go depending on what movement or outside factor is triggering it, making it difficult to identify which tooth is suffering. If you suspect you're suffering from cracked tooth syndrome, these are common symptoms:

Pain when chewing or “rebound pain” when you release the pressure from biting down

Sensitivity to extreme hot or cold temperatures, as well as sweetness

Erratic pain that only occurs when you’re aggravating the cracked tooth

Swelling of the gum around the cracked tooth

If it goes on too long, you’ll find the pain no longer comes and goes but hurts consistently

Can a cracked tooth cause jaw pain? Yes, some cracks affect the root of the tooth in the jaw. If you think you're experiencing cracked tooth jaw pain see your dentist immediately.

What are the types of a cracked tooth?

There are many different types of cracks in teeth, but like most conditions severity and treatment go hand-in-hand. If you know what to look for you can catch it early for an easier fix. Cracks can appear or be identified as:

Craze lines–Show up as very small cracks in the outer enamel. The good news? While common in adult teeth, they cause no pain, are very shallow, and don’t require any treatment.

Fractured cusp–This kind of crack generally occurs around a dental filling causing minor pain. Your dentist can place a new filling or crown to protect the damaged tooth.

Oblique supragingival cracks–These only affect the crown and do not extend below the gumline. As a result, the teeth affected by these cracks are usually not painful.

Oblique subgingival cracks–These do extend below the gumline, and the teeth can be painful. Treatment, such as a root canal and crown may be necessary. It's important to note that experiencing a cracked tooth after a root canal is possible since teeth that have undergone root canal treatment are weaker than normal teeth.

Oblique root cracks: The damage occurs below the gumline, most commonly in the jawbone. Tooth extraction is often the only treatment for this type of crack. Yet another reason to seek early treatment. Don’t ignore the pain, see your dentist as soon as possible.

Split tooth: Identified by a crack with distinct segments. An endodontist may be able to save a portion of the tooth depending on the position and extent of the crack.

Vertical root fracture: This is a crack that begins at the root and extends to the chewing surface. While this type doesn’t cause as much pain, they’re often diagnosed due to infection or tooth abscess in the surrounding bone and gum. An endodontist will determine the correct course of treatment.

What treatment options can I expect?

According to the American Association of Endodontists (AAE), if you think you’re feeling signs of cracked tooth syndrome, you should be on your way to the dentist’s office. Treatment options usually include:

A cracked tooth may be repaired by a filling or a crown depending on what portion of the tooth that is damaged

A root canal treatment procedure may treat the tooth

The tooth may be extracted if the cracks are below the gumline

If you're in enough pain before your appointment, you can relieve the pain by biting on a clean, moist gauze or cloth. Never use topical oral pain medications, ointments, or place aspirin on the affected area for relief. Overall treatment depends on the type of crack, how far it extends, location, and your symptoms.

How do I prevent cracked tooth syndrome?

You can’t fix cracks on your own, you can only try to prevent them. If you’re playing a contact sport or doing work where an injury could occur, make sure to wear a mouthguard or protective mask. You can still enjoy your favorite foods like popcorn or nuts, just use common sense and don’t bite down hard. Cracked teeth from grinding during sleep or due to stress and anxiety may call for wearing a retainer or mouthguard while you sleep.

Remember, ignoring the pain in your mouth or tooth isn’t a treatment plan. While concerning, the pain a cracked tooth causes is a signal to you that you should seek help. Pay attention and don’t hesitate to make an appointment with your dentist.

(12/02/2020)
by Colgate

More Information: https://www.colgate.com/en-us/oral-health/cracked-tooth-syndrome/cracked-tooth-syndrome


Views: 1,014
Share
Share

Can Salt Provide Solutions for Dental problems?

Salt is a staple in most kitchen cupboards as it is versatile, readily available and is relatively inexpensive. Salt can provide solutions for a myriad of Dental problems and can be used as a toothpaste substitute in a pinch. Combine 1 part fine salt to 2 parts baking soda, mix in water and dip your toothbrush into the paste and brush. The mix is also gentle enough to cleanse Dental appliances such as mouth guards and dentures, provided that fine salt is used.

Combining salt and fresh water will also make a decent mouthwash and medicinal rinse. When mixed properly, saltwater can be used to treat mouth infections, minor injuries and help wounds from a tooth extraction heal more quickly. The liquid can be used to treat halitosis, minimize pain and discomfort associated with mouth conditions such as ulcers, abscesses and other mouth ailments.

Finally, salt can also be used to extend the life of a toothbrush. Experts advise replacing your toothbrush every three months and soaking your toothbrush in a salt and water mix.

Although salt can be used to improve Dental health, the biggest Dental benefits will come from a daily routine of brushing and flossing, eating a nutritious diet, exercising regularly, drinking fresh water and having regular Dental check-ups.

(12/01/2020)
by The Dental Spa

More Information: https://www.thedentalspa.org/blog/salt-provide-solutions-dental-problems/


Views: 881
Share
Share

Cavemen didn’t have cavities, but we do, Why?

In the late 1800s, a dentist by the name of Weston A. Price started to wonder about dental caries, deformed arches and to what extent the role of nutrition played in the creation of healthy teeth and bone structure. He began to research this in earnest, traveling the world and documenting the diets and health of indigenous cultures with traditional diets. In 1939, Price published Nutrition and Physical Degeneration, a book that details a series of nutritional studies he performed across diverse cultures, including the Lötschental in Switzerland, Native Americans, Polynesians, Pygmies, and Aborigines, among many others. The research materials include some 15,000 photographs, 4,000 slides, and many filmstrips.

Across the board, he found that beautiful straight teeth, freedom from decay, stalwart bodies, resistance to disease and fine characters were typical of native peoples on their traditional diets, rich in essential food factors.

He also found that, in comparison, people from the same indigenous groups who had given up their traditional diet and instead ate white flour products, sugar, polished rice, jams, canned goods and vegetable fats experienced a loss of the immunity to dental caries and in the loss of freedom from degenerative processes. 

In 1929, Donald MacMillan, an Arctic explorer, noticed the healthy teeth of the Indigenous of the Smith Sound. He took impressions of 616 teeth. Of these 616 impressions, only one was deformed, and only seven teeth were missing. The conclusion was the same as Price’s: because the natives ate their traditional diet, they were free from the dental issues of modern eating. Their diet consisted of seals, walrus, caribou, and fish and included only four ounces of vegetation per year.

Archaeologists’ findings of neanderthal teeth and jawbones showed little decay or damage.

So why, in today’s world with everything imaginable available at any given moment, does nearly every single American have tooth decay?

Studies continue to show sugar causes tooth decay

Many studies point to modern diets that are rich in processed foods and sugar are the main culprits in tooth decay. Beyond tooth decay, these foods contribute to obesity, inflammation, dysbiosis (leaky gut), irritable bowel disease, and possibly autoimmune disease.

A collection of studies resulted in a publication that summarized “the importance of sugars as a cause of caries is underemphasized,” and “factors such as fluoride and dental hygiene would not be needed if we tackled the single cause–sugars.”

Aside from demineralizing the body, sugary and high-carb, processed foods feed the bad bacteria in our mouths. This causes the bacteria to produce acids that cause inflammation and tooth decay.   

Phytic Acid and the Fermentation of Grains

Price’s work also turned up the consumption of phytic acid plays a major role in tooth decay.

Phytates and phytic acid are antioxidant compounds found in whole grains, legumes, nuts and seeds. The purpose of these compounds is to assure the preservation of seeds until sprouting conditions are ideal. The chief concern about phytates is that they can bind to certain dietary minerals including iron, zinc, manganese and calcium and slow their absorption.

So the whole grain bread and crackers that are sold as health food may actually be detrimental to your teeth and bones. The good news is that soaking, sprouting or fermenting your grains, seeds, legumes and nuts reduces phytic acid and increases the bioavailability of nutrients stored in these foods. While most cultures around the world rely on grains as a staple in their diet, these staples are of the fermented variety.

Oral Care

To give you a rough estimate of the revenue brought in by a dentist, on average, general practices are bringing in $771,000 annually and specialists are bringing in $1.1 million. It’s totally an assumption, based on these numbers, that the dental care industry may be similar to the medical industry: dentists stay in practice as long as there are teeth to fix. So, healing tooth decay at home isn’t something that is talked about or believed to be true.

There is plenty of documentation out there to prove otherwise. One only has to Google “Heal Tooth Decay Naturally,” to be open to the world of tooth decay healing.

Here are some common threads in all the methods:

Eliminate Sugar and processed foods: Body care begins with food. Replace processed food with nutrient-rich whole foods. Bone broth, pasture-raised animal foods, raw dairy are all recommended to reverse tooth decay.

Supplement Vitamin D: One thing found in studies was that supplementing Vitamin D encouraged the regeneration of teeth and bones. According to research done by Weston A. Price, the Vitamin D available in fermented cod liver oil became more bioavailable with the addition of Vitamin K2, found in high vitamin, raw butter oil.

Oil Pulling: Oil pulling is an ayurvedic approach to healthy teeth and gums. Studies show that oil pulling heals gum disease, prevents cavities, supports the immune system, eliminates bad breath, whitens teeth, and prevents heart disease. This method of oral care is better for the microbiome of your mouth than standard mouthwash. The alcohol in mouthwash kills off all bacteria, good and bad, while also disrupting the flow of saliva, which is needed to ward off decay. Oil pulling reduces plaque and the bacteria that thrive in it, which eliminates bad breath. Mouthwash simply masks bad breath. Oil pulling is easy: choose an oil (coconut and sesame are great), take 1 TBS in your mouth and swish for 15-20 minutes.

Use a remineralizing tooth powder: There are many options to buy and many ways to make your own. I make one from bentonite clay, calcium powder, baking soda, mineral salt, powdered peppermint leaf and powdered stevia leaf (which the children LOVE). It’s simple, natural, affordable and accessible.

Floss: My dentist had a picture hanging on his office wall that read, “You don’t have to floss all your teeth…just the ones you want to keep.” I remember that from 30 years ago. There are a lot of biodegradable flosses out there that work. We use this bamboo floss with added activated charcoal.

Addition Supplements: Whether working to reverse tooth decay or wanting to maintain health, there are a few extras you can add to your life. They are magnesium (calcium needs magnesium for absorption and topical is thought to be superior over ingested magnesium), vitamin C (liposomal is the best) and silica.

(11/30/2020)
by Annie Kin

More Information: https://achnews.org/2020/01/25/cavemen-didnt-have-cavities-but-we-do-why/


Views: 1,085
Share
Share

Sore throat, causes and symptoms

A sore throat is pain, scratchiness or irritation of the throat that often worsens when you swallow. The most common cause of a sore throat (pharyngitis) is a viral infection, such as a cold or the flu. A sore throat caused by a virus resolves on its own.

Strep throat (streptococcal infection), a less common type of sore throat caused by bacteria, requires treatment with antibiotics to prevent complications. Other less common causes of sore throat might require more complex treatment.

Symptoms:

Symptoms of a sore throat can vary depending on the cause. Signs and symptoms might include:

Pain or a scratchy sensation in the throat

Pain that worsens with swallowing or talking

Difficulty swallowing

Sore, swollen glands in your neck or jaw

Swollen, red tonsils

White patches or pus on your tonsils

A hoarse or muffled voice

Infections causing a sore throat might result in other signs and symptoms, including: Fever, Cough, Runny nose, Sneezing, Body aches, Headache, Nausea or vomiting.

Causes

Viruses that cause the common cold and the flu also cause most sore throats. Less often, bacterial infections cause sore throats.

Viral infections

Viral illnesses that cause a sore throat include:

Common cold

Flu (influenza)

Mono (mononucleosis)

Measles

Chickenpox

Coronavirus disease 2019 (COVID-19)

Croup — a common childhood illness characterized by a harsh, barking cough

Bacterial infections

A number of bacterial infections can cause a sore throat. The most common is Streptococcus pyogenes (group A streptococcus) which causes strep throat.

Prevention

The best way to prevent sore throats is to avoid the germs that cause them and practice good hygiene. Follow these tips and teach your child to do the same:

Wash your hands thoroughly and frequently, especially after using the toilet, before eating, and after sneezing or coughing.

Avoid sharing food, drinking glasses or utensils.

Cough or sneeze into a tissue and throw it away. When necessary, sneeze into your elbow.

Use alcohol-based hand sanitizers as an alternative to washing hands when soap and water aren't available.

Avoid touching public phones or drinking fountains with your mouth.

Regularly clean telephones, TV remotes and computer keyboards with sanitizing cleanser. When you travel, clean phones and remotes in your hotel room.

Avoid close contact with people who are sick.

(11/28/2020)
by Mayo Clinic

More Information: https://www.mayoclinic.org/diseases-conditions/sore-throat/symptoms-causes/syc-20351635


Views: 3,871
Share
Share

A team of scientists led from Uppsala University have described the origin of complex teeth

A team of scientists led from Uppsala University have described the earliest known example of dentary bone with two rows of cusps on molars and double-rooted teeth. The new findings offer insight into mammal tooth evolution, particularly the development of double-rooted teeth. The results are published in the scientific journal PNAS.

The first mammals originated in the latest Triassic period, around 205 million years ago. An ancestor to mammals were the therapsids, "mammal-like reptiles" referred to as stem mammals or proto-mammals, which originated about 320-300 million years ago. One unique characteristic of the lineage that included mammals and animals related to mammals (synapsids) was that they developed complex occlusion. Close ancestors to mammals, called mammaliaforms, developed rows of cusps on molar-like teeth adapted for more omnivorous feeding. The origin of this multicusped pattern and double-rooted tooth has thus far remained unclear.

A team of scientists led by Grzegorz Niedzwiedzki from Uppsala University have investigated the jaw anatomy and tooth structure of a recently described new mammaliaform species named Kalaallitkigun jenkinsi. It was discovered on the eastern coast of Greenland and was a very small, shrew-like animal, probably covered with fur. It would have been the size of a large mouse and lived during the Late Triassic, around 215 million years ago.

"I knew it was important from the moment I took this 20 mm specimen off the ground," says Niedzwiedzki, researcher at Uppsala University and the corresponding author of the publication.

Kalaallitkigun jenkinsi exhibits the earliest known dentary with two rows of cusps on molars and double-rooted teeth. The anatomical features place Kalaallitkigun jenkinsi as an intermediate between the mammals and the insectivorous morganucodontans, another type of mammaliaform.

The researchers believe that the structural changes in the teeth are related to changed feeding habits. In this case study, the animals were switching to a more omnivorous/herbivorous diet and the tooth crown was expanding laterally. Broader teeth with "basins" on the top surface are better for grinding food. This development also forced changes in the structure of the base of the tooth.

The biomechanical analysis that was carried out within the study found that multi-rooted teeth are better able to withstand mechanical stresses, including those of upper and lower tooth contact during biting, compared to single-rooted teeth. Human teeth, for instance, have this characteristic. The results suggest that the development of molar-like teeth with complex crowns may have developed together with biomechanically optimised dual roots.

"The early evolution of mammals is a particularly interesting topic in evolutionary studies. This tiny jaw from Greenland shows us how complex mammalian teeth arose and why they appeared," says Niedzwiedzki.

"Our discovery of the oldest mammalian ancestor with double-rooted molars shows how important the role of teeth was in the origin of mammals. I had this idea to look at the biomechanics and the collaboration with the engineers turned out great," says Tomasz Sulej, researcher at the Polish Academy of Sciences, first author of the publication.

"It seems that the fossils of close mammalian ancestors must be looked for in even older rocks," says Sulej.

(12/01/2020)
by Uppsala University

More Information: https://www.sciencedaily.com/releases/2020/10/201013124056.htm


Views: 929
Share
Share

Difficult-To-Detect Dental Illnesses That Are Highly Dangerous

The 2016 Global Burden of Disease Study estimated that diseases of the mouth affected 50 percent of the world’s population (around 3.58 billion people). Going by assessments, the most prevalent condition was dental caries (aka tooth decay) in permanent teeth. Teenage children and toddlers are the demographic with the highest risk of harboring life-threatening illnesses.

Oral diseases are the most common noncommunicable diseases (NCD) and impact people from infancy through adulthood. The outcome is constant pain, discomfort, disfigurement, and even death.

Dental illness never comes with fun and influences the quality of life that children experience. But, dental disease, for the most part, is easy to prevent or contain if it happens. Many parents understand they should help their kids brush twice a day, floss daily, eat properly, and schedule regular dental check-ups. Knowing all you can about dental problems can be of help in prevention.

This article highlights dental diseases in children that are highly lethal, yet challenging to detect.

Dental Illness and Diagnosis

Most dental pain is due to an organic problem such as dental caries, periodontitis, trauma, or pulpitis. Dental care during pregnancy may require some special attentnion, but for the most part, diagnosing these symptoms is mostly straightforward. Yet, children often present abnormal dental pain from a non-dental source. Unusual pain like this can be categorized on the cause. If it becomes difficult to diagnose dental illness, the following categories are potential alternate causes that you may consider:

referred pain, neuromodulatory pain, neuropathic pain.

Causes of Dental Diseases

The oral cavity is a hot bed of microbes. For some of the bacteria, they are in their natural habitat as normal flora. In small quantities, they are mostly harmless. However, a sugar-high diet creates an environment for acid-producing bacteria to flourish. The acid dissolves the tooth enamel, causing dental cavities.

Gum-line bacteria thrive in the sticky plaque matrix. Plaque accumulates and hardens before migrating down the length of your tooth if not removed through regular flossing and brushing. This can inflame the gums, causing gingivitis.

Increased inflammation makes your gums to detach from your teeth. This creates pockets that may eventually act as a receptacle for pus. This stage is called periodontitis. Some factors lead to periodontitis and gingivitis. These are:

poor brushing habits, smoking, frequent consumption of sugary foods and beverages, diabetes, use of medications that reduce the amount of saliva in the mouth, genetics, infections such as HIV, hormonal changes in women, acid reflux, acid-induced vomiting.

Diagnosing Dental Illnesses

A routine dental examination can reveal multiple dental illnesses. The doctor will painstakingly inspect your child's teeth, mouth, teeth, throat, tongue, cheeks, neck, and jaw. He might scrape at the tooth using special implements to make a correct diagnosis.

Dental Pain Due to Pulpitis

Commonly called toothache, this is a pain in the teeth or its accompanying supporting structures. What makes dental pain lethal in children is that there are many possible causes. Pulpitis is one common cause of toothache. It is pulp inflammation, often in response to dental trauma, tooth decay, and several other factors like dentin hypersensitivity.

Conclusion

Dental illness can have more lethal consequences than many others. But, most dental illnesses can be treated. However, proper diagnosis is essential to create an effective treatment plan because dental disease can have both dental and non-dental causes.

(12/02/2020)
by KidsInTheHouse2

More Information: https://www.kidsinthehouse.com/blogs/kidsinthehouse2/difficult-to-detect-dental-illnesses-that-are-highly-dangerous


Views: 912
Share
Share

Best Treatment for Abscess Tooth Infection

What is an Abscess Tooth?

Such kind of infection creates from the inner chamber of the tooth which is known as the “pulp chamber and containing within the pulp chamber are blood vessels and nerves, collectively called the “pulp.”

Before the development of an abscess, the tooth already lost its ability to fight off infection, and bacteria are able to attack the pulp chamber and start increasing to spread further in your mouth.

As the bacteria multiplies, the infection also spread further from the pulp chamber and exits through the bottom of the root into the bone. So, “the abscess is a collection of pus that is made up of dead white blood cells, tissue debris, and bacteria causing a pain in your mouth”.

Why Do Abscesses Form?

Actually, depending on your mouth condition and source of the original infection tooth abscess differs from a gum abscess. The tooth abscess which is also known as periapical abscess starts from the pulp of the tooth and exits out the tooth’s apex at the bottom of the root creating the infection.

While on the other hand, a gum abscess that is also called or “periodontal abscess” starts in a gum pocket outside of the tooth next to the root from gum disease. So, right here we brought best medical treatments for tooth abscess infection performed by the dentists mostly.

Prescribe the Antibiotics Medicine:

To cure the tooth abscess infection dentist prescribe the antibiotic medicine that will not only treat the bacterial infection but also give you an instant relief from such pain and agony. However,if the infection is limited to the abscessed area, you may not need antibiotics it can be cured with other remedies.

But if the infection has spread to nearby teeth, or to your jaw and other areas, your dentist will definitely prescribe antibiotics to stop it from spreading further. Dentist may also recommend you the suitable antibiotics if you have a weakened immune system to prevent such infections.

Out cropor Chop the Abscess from Mouth:

The dentist recommends mostly this process and while performing this, dentist will make a small cut into the abscess, allowing the pus to drain out, and then wash the area with salt water (saline). Usually, a small rubber drain is placed to keep the area open for drainage while the swelling decreases giving you a relief from pain.

Performing the Root Canal Treatment:

If you don’t want to lose your precious tooth you can go with root canal treatment that will treat the abscess and prevent your teeth from permanent loss. Root canal treatment will not only remove the infection and but also save your tooth from any kind of other diseases or dental problems.

And to do this, your dentist performs a critical treatment and drills down into your tooth to remove the diseased central tissue which is called pulp and drains the abscess. And after this dentist fills and seals the tooth’s pulp chamber and root canals. Though, it has its own side-effects and drawbacks.

And after few days of root canal treatment if you wish your tooth may be capped with a crown to make it stronger, especially if it is a back or molar tooth. Capping the teeth provides an extra layer of protection and your tooth can last a lifelong allowing you to enjoy the trouble-free chewing.

Go with Extraction of Affected Tooth:

If your tooth is badly damaged, you can ask the dentist to extract the tooth permanently from your mouth. As it can also affect the other nearby teeth and infect them for further infection causing similar diseases.

Tooth extraction is best option to get rid of tooth pain and it also prevents mouth from developing any similar infection to nearby tooth that can be easily affected due to spread of bacteria and infection.

(12/03/2020)
by Radiant Star Dental

More Information: https://www.radiantstardental.com/blog/how-to-cure-abscess-tooth-pain-dental-treatments/


Views: 1,478
Share