Dentists Journal

Top Ten Stories of the Week
12/19/2020

All Dentists Journal · Previous Week · This Week · All Time List · Headlines

Share

University of Michigan Charts a Virtual Course in Pandemic-Era Instruction

The University of Michigan School of Dentistry, ranked the best dental school in the United States by Quacquarelli Symonds and the best in the world by the Academic Ranking of World Universities, moved quickly to launch remote teaching when the president of the university and the governor of the state both mandated shutdowns of all clinics and classes in March.

Virtual Lectures:

“The university said all teaching needed to be remote, and that was on Thursday or Friday. By Monday, we had to change, which was obviously a very short time to do that,” said Carlos González-Cabezas, DDS, MSD, PhD, associate dean for academic affairs and the Richard Christiansen Collegiate Professor of Oral and Craniofacial Global Initiatives.

The university immediately provided resources to help faculty develop online versions of their courses. For example, synchronous lectures happened online in real time so students could engage in questions and discussions, while asynchronous lectures were posted and archived so students could watch them on their own schedule.

Also, the university began training faculty in new methods for conducting secure yet accurate assessments of student performance. Many of these techniques involved moving away from traditional multiple choice questions and toward questions involving more critical thinking. Constant communication between faculty and the administration was key as well.

Hands-On Instruction:

These changes enabled the school to finish the remaining few weeks in its 2019-2020 academic year. As restrictions were lifted later in the spring, though, the school pivoted to bring back hands-on work in the preclinic with new infection control protocols.

“We were able to open the preclinic with half of the class at a time and using PPE (personal protective equipment),” González-Cabezas said. “Basically leaving an empty bench between the students, which meant that we had to double the number of sessions that we had to do. We had to extend the number of sessions to evenings and sometimes to Saturdays too.”

By July, things began to improve. The school expanded the number of clinical sessions and started doing rotations again. The PPE shortages got better. And while the clinics continued to use only about half of its chairs, it also began conducting airflow analysis to see how it could best prevent virus transmissions between chairs. And to fill in the gaps in clinical learning, the school ramped up its collaborative discussions too.

“We created clinical study clubs. We had faculty coaches with groups of about 12 students, and they started to meet regularly about three or four times per week to discuss actual patients, from diagnosis to treatment planning and interpretation of data, radiographs, and photographs,” González-Cabezas said.

Morale On Campus:

Yet González-Cabezas also noted that students seem to be more productive. There is a better student-to-faculty ratio, he said, with more one-on-one teaching. Students also are more focused because they know they can’t waste any time, he added. In fact, students can be found practicing between 7:30 and 11 pm, without much chit-chat between them.

“They’re just very focused. They’re down to business, because they know they have fewer chances,” González-Cabezas said.

As the state of Michigan moves into tougher lockdowns with the latest virus surge, though, the work remains difficult.

“The faculty can tell you they are tired. The increased number of sessions, and teaching remotely, is a challenge. It’s been already quite a few months, so people are getting tired. But it’s been an amazing, overwhelming response of support from both the faculty and the students,” he said.

“The students participate right now in all the decisions we make, how we make changes about these crazy schedules that we have. They’re all part of the decision making. We discuss how to do it better, how to do remote teaching better. They understand they are being partners with us, which has been really refreshing,” he said.

Looking Ahead:

González-Cabezas expects many of the changes that the school instituted to navigate the pandemic to remain once the crisis is over and things return to normal—or settle into a new normal.

“Some of the remote teaching will stay. I do think now we’re getting to a better place from a pedagogy perspective in the design of courses, syllabi, and learning goals than we were before because we were forced to look at these very carefully, and I think those things will stay,” he said.

Administrative routines will change as well. For example, in-person department meetings before the pandemic typically saw about 50% attendance. Since they’ve moved to a virtual format, attendance is now at least 75%, González-Cabezas said. Also, faculty who need to write grant proposals, papers, or similar work will be doing that work from home.

“People will feel more comfortable to stay at home than in the past,” he said.

Of course, González-Cabezas said, all of these changes were the result of a team effort and the work of his predecessor, Diane Hoelscher, DDS, MS, who managed the effects of the pandemic before he assumed his position on July 1.

“We responded very well for keeping safety as the primary goal and being able to carry out our mission, which was a very difficult balance,” he said. “And we’re still navigating that. The safety of our students, faculty, staff, and our patients is the number one priority. How to do that without stopping the school has been a challenge, but I think we’ve done reasonably well.”

(12/12/2020)
by University of Michigan

More Information: https://www.mybestdentists.com/dental-schools/UniversityofMichigan


Views: 3,372
Share
Share

How poor oral hygiene may result in metabolic syndrome

Periodontal or gum disease is known to be a significant risk factor of metabolic syndrome, a group of conditions increasing the risk for heart disease and diabetes. In a new study, researchers from Tokyo Medical and Dental University (TMDU) discovered that infection with Porphyromonas gingivalis, the bacterium causing periodontal disease, causes skeletal muscle metabolic dysfunction, the precursor to metabolic syndrome, by altering the composition of the gut microbiome.

Periodontal bacteria have long been known to cause inflammation within the oral cavity, but also systemically increase inflammatory mediators. As a result, sustained infection with periodontal bacteria can lead to increases in body weight and lead to increased insulin resistance, a hallmark of type 2 diabetes. The function of insulin is to help shuttle glucose from the blood into tissues, most importantly to skeletal muscle, where one quarter of all glucose in stored.

Unsurprisingly, insulin resistance plays a key role in the development of metabolic syndrome, a group of conditions including obesity, altered lipid metabolism, high blood pressure, high blood glucose levels, and systemic inflammation. Although skeletal muscle plays a key role in decreasing blood glucose levels, a direct connection between periodontal bacterial infection and the metabolic function of skeletal muscle has not been established yet.

"Metabolic syndrome has become a widespread health problem in the developed world," says first author of the study Kazuki Watanabe. "The goal of our study was to investigate how periodontal bacterial infection might lead to metabolic alterations in skeletal muscle and thus to the development of metabolic syndrome."

To achieve their goal, the researchers first investigated antibody titers to Porphyromonas gingivalis in the blood of patients with metabolic syndrome and found a positive correlation between antibody titers and increased insulin resistance. These results showed that patients with metabolic syndrome were likely to have undergone infection with Porphyromonas gingivalis and thus have mounted an immune response yielding antibodies against the germ. To understand the mechanism behind the clinical observation, the researchers then turned to an animal model. When they gave mice that were fed a high-fat diet (a pre-requisite to developing metabolic syndrome) Porphyromonas gingivalis by mouth, the mice developed increased insulin resistance, and fat infiltration and lower glucose uptake in the skeletal muscle compared with mice that did not receive the bacteria.

But how was this bacterium capable of causing systemic inflammation and metabolic syndrome? To answer this question, the researchers focused on the gut microbiome, the network of bacteria present in the gut and with which the organism co-exists symbiotically.

Intriguingly, the researchers found that in mice administered with Porphyromonas gingivalis the gut microbiome was significantly altered, which might decrease insulin sensitivity.

"These are striking results that provide a mechanism underlying the relationship between infection with the periodontal bacterium Porphyromonas gingivalis and the development of metabolic syndrome and metabolic dysfunction in skeletal muscle," says corresponding author of the study Professor Sayaka Katagiri.

(12/13/2020)
by Tokyo Medical and Dental University

More Information: https://www.sciencedaily.com/releases/2020/12/201208111428.htm


Views: 1,160
Share
Share

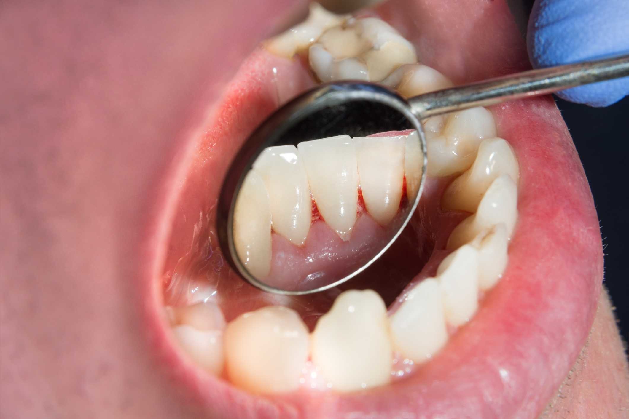
Are Your Sore Gums a Sign of Serious Dental Problems?

Given a choice, every person on the planet would choose to go through life without ever experiencing gum pain. After all, those sharp or throbbing pains can be difficult to endure. Unfortunately, millions of Americans suffer from sore gums at some point in their life. In many instances, that pain and discomfort is only temporary, and may just be due to overbrushing or even stress. At other times, however, sore gums can be a sign of more severe dental problems. When that’s the case, you may need professional care to alleviate the pain and avoid more serious consequences.

What Are Your Sore Gums Telling You?

The important thing to recognize is that pain is your body’s way of telling you that something’s not quite right. In the case of sore gums, the problem could be something as simple as over-exuberant brushing or flossing. Unfortunately, however, it could also be something far more serious – like gum disease. But how can you determine whether it’s just a temporary problem caused by some lifestyle habit, or a far more serious medical issue in need of treatment?

What Causes Sore Gums?

The best place to start is to learn the various causes of gum soreness. They fall into two categories – lifestyle causes that you can address on your own, and dental concerns that require medical intervention by a dentist.

Lifestyle Causes for Sore Gums:

Lifestyle causes can include:

Improper brushing or flossing techniques

Poor diet

Tobacco Use

Failure to follow a sound oral hygiene regimen

In addition, elevated stress can impact the immune system and increase cortisol levels and inflammation – which can eventually impact the gums.

Medical or Dental Issues:

There are also medical issues and dental conditions that can create gum soreness. They include: Vitamin deficiencies, Changes in your hormone levels, particularly during pregnancy, Problems with your blood, Gum diseases like gingivitis and periodontitis.

What Can You Do?

First, recognize that most gum soreness is related to dental hygiene. That means that you can generally get rid of the pain by focusing on proper brushing and flossing. The same holds true for lifestyle-related pain. Stress can be relieved, diets can be changed, and you can work to stop smoking or engaging in other activities that put your gums and teeth at risk. Finally, when medical issues like vitamin deficiency or hormonal concerns are at fault, medical professionals can help to address those concerns as well.

Of course, you’ll need to know exactly why your gums are sore before you can take the appropriate steps to correct the problem. 

(12/15/2020)
by Ebenezer Dental

More Information: https://www.ebenezerdental.com/2019/09/30/are-your-sore-gums-a-sign-of-serious-dental-problems/


Views: 1,003
Share
Share

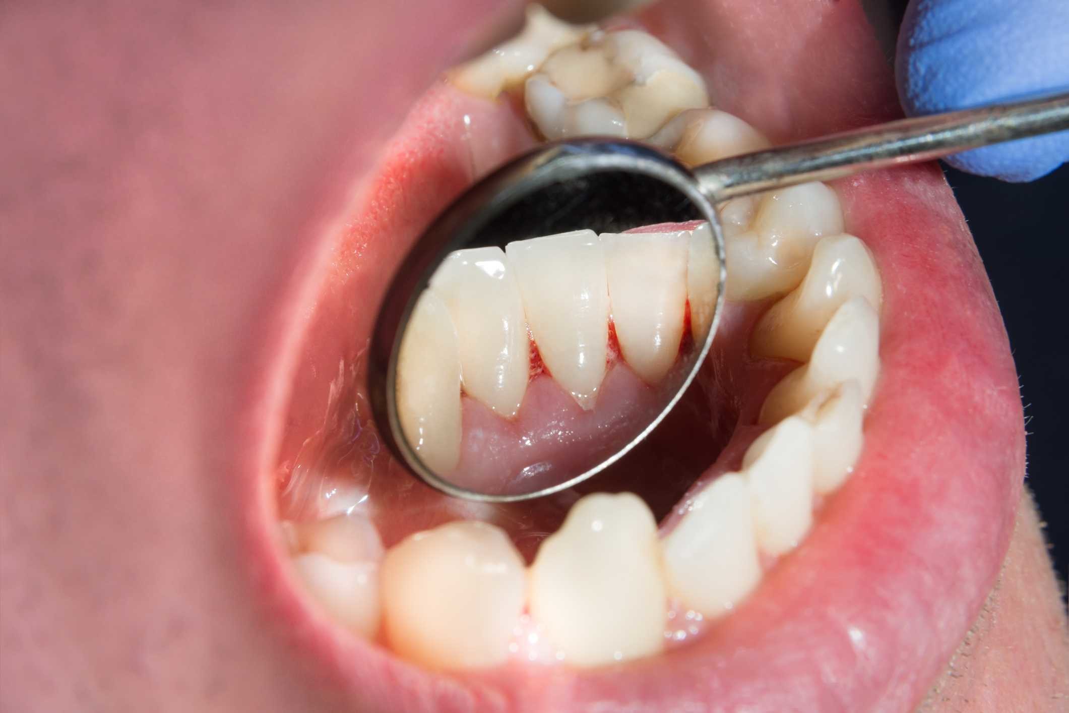
The Dental and Kidney Disease Connection

Good dental care is important for everyone, but especially for people with kidney disease. What might be a minor infection for a healthy person could be major problem for someone with kidney disease. Here’s a bit to explain more: Germs attack (that’s infection).

The body fights back (inflammation). “Inflammation” means “in flames,” which makes sense because an inflamed area can be red, hot and swollen. In short, for battles with infection, inflammation is good because it helps the body kick into defense mode and gear up to kill germs. However, chronic or stubborn infections create continuous inflammation, which is harmful.

Dental cavities and gum diseases are chronic bacterial infections. In addition to causing pain, difficulty eating, and mouth odors, dental cavities and gum infections can contribute to other problems by fueling harmful chronic inflammation. Also, germs that cause cavities and gum disease don’t stay put and may spread throughout the body, especially if your immune system is weak. Infections can be serious, even resulting in hospitalizations. Be sure to tell your dentist you have kidney disease, are on dialysis or are a kidney transplant recipient. 

For People on Dialysis:

Healthy teeth are important to be able to chew high-quality protein foods such as meat, fish, and poultry. Also, people on dialysis may receive a blood thinning medicine during their dialysis treatments to prevent clotting. Because some dental procedures can cause bleeding, it’s important to schedule dental appointments on non-dialysis days.

For Transplant Candidates and Recipients:

A dental health exam is required as part of the kidney transplant evaluation process. Serious dental infections can delay, even prevent, being approved for a kidney transplant. This is because, after receiving a kidney, the medications used to prevent rejection of a transplant further weaken the body’s defenses against infection. Therefore, prior to a transplant, patients are generally screened and treated for all infections, including dental, to prevent post-transplant complications.

Medicare will cover the exam needed for “dental clearance,” but not the treatment that may be required if issues are found. If you cannot afford treatment, your transplant team may be able to suggest possible resources. 

To help avoid any serious dental issues, preventing and quickly treating infections is essential!  

Excellent oral hygiene will remove bacteria that cause decay and gum disease. Some helpful and easy suggestions:

Brush twice daily with a soft bristle brush and, ideally, floss once a day (or use a floss substitute such as opal-pix). “Thorough” is key. Take your time. Three surfaces on each tooth need to be brushed, and the two side surfaces flossed.  

Use a fluoridated toothpaste to help strengthen teeth against development of cavities. Your dentist may also suggest using fluoride or antimicrobial rinses.

You may have a “dry mouth” as a side effect of some drugs used to treat kidney diseases. That makes it easier for cavities and gum diseases to develop. To increase saliva, try chewing sugarless gum or sucking on sugarless candy. You can also try a saliva substitute, such as Biotene.

Regular dental exams, at least twice a year, can detect and treat cavities and gum disease before they become serious. A cleaning is helpful, too, by scraping away tartar that irritates the gums.

Full or partial dentures should be carefully cleaned daily and removed at night to prevent development of sore spots or ulcers.

 

(12/11/2020)
by National Kidney Foundation

More Information: https://www.kidney.org/atoz/content/dental-kidney-disease-connection


Views: 1,046
Share
Share

How Can Gastrointestinal Disorders Affect Your Teeth?

Teeth related pain results in loss of sleep, and concentration while at work. It is common knowledge that infected tooth or tooth loss can affect a person’s ability to eat. However, there is lesser awareness regarding how the digestive system can impact oral health.

The chemical and physical digestion procedure begins in the mouth. Thus, the mouth plays a crucial role when it comes to the functioning of the digestive process and can impact the individual’s digestive health positively or negatively. Similarly, it also works the other way around even gastrointestinal disorders can result in poor oral hygiene.

What is a gastrointestinal disease?

Gastrointestinal disease refers to problems or disorders linked to the gastrointestinal tract (GI) or the digestive system. The tract consists of several organs like small and large intestine, stomach, esophagus, anus, and of course, mouth.

The list of gastrointestinal disorders includes colon polyps, colitis, diverticular diseases, perianal infections, anal fistulas, fissures, hemorrhoids, irritable bowel syndrome, constipation, and certain types of cancer as well. These medical conditions can be prevented by following proper bowel habits and an overall healthy lifestyle.

Gastrointestinal problems symptoms:

Symptoms depend entirely on the type of disorder. Some of the commonly reported ones are unexplained weight loss, fatigue, blood in the stool, abdominal pain, diarrhea, constipation, bloating, problems in swallowing food, nausea, bad breath, vomiting, etc.

Allergy to medicines, stress, and unhealthy diet, a sudden change in eating and drinking habits are some of the gastrointestinal disease causes.

Mouth ulcer due to stomach problems:

In some cases, ulcers caused due to stomach problems can be related to bad breath as well. Helicobacter pylori bacteria (referred to as H. pylori) present in the sores, is known to carry periodontal bacteria that result in an unpleasant odor in the mouth. Doctors offer antibiotics to treat these ulcers.

The link between oral health and inflammatory bowel disease:

According to the stats from the Centers for Disease Control and Prevention, around three million patients in the US reportedly suffer from Inflammatory Bowel Disease (IBD) each year.

The infection (ulcerative colitis, Crohn’s disease) can manifest in the patient’s oral cavity resulting in swollen and bleeding gums, mouth sores, and other oral health issues.

Medications prescribed to treat IBD can also cause tongue inflammation, gingivitis, and dry mouth as an allergic reaction.

The link between peptic ulcer disease and oral health:

Peptic ulcer develops in stomach’s inner lining, or somewhere in the lower esophagus, small intestine. Peptic ulcers do not cause oral health issues, but the medicines prescribed to treat the conditions do result in side-effects on the patient’s oral health. Dentists ask patients who have peptic ulcer to go for specific blood tests before performing any dental treatment.

Patients suffering from the gastrointestinal disease should opt for a quarterly dental check-up

The patient must provide an up-to-date list of medicines, nutritional supplements, herbs, and vitamins that he or she has been consuming. After a proper check-up and studying the person’s medical history, the dental office would suggest treatment options, including toothpaste and rinses, for protecting oral health from side-effects of treatment for gastrointestinal disease.

Can avoiding brushing teeth cause stomach problems?

Depending on the oral health condition, the mouth can prove to be a perfect home for hundreds of good and bad bacteria as per several studies. If allowed to grow beyond a specific limit, the bad ones can trigger some severe health problems.

Bacteria can enter bloodstream resulting in coronary artery disease. They can also spread via cranial nerve and result in dementia. Surprisingly, studies suggest the bacteria in the mouth can reach the lungs and trigger pneumonia as well.

Proper digestion is possible when healthy teeth help in chewing food appropriately. Missing or infected teeth result in incomplete or improperly chewed food entering the digestive system. Most importantly, studies have already proved the link between harmful bacteria in the mouth and person’s ability to digest food properly.

(12/11/2020)
by Tru Care Dentistry

More Information: https://www.trucaredentistry.com/blog/how-can-gastrointestinal-disorders-affect-your-teeth/


Views: 783
Share
Share

Can You Prevent some Dental Issues by Yourself?

When it comes to our dental health, it is our job to take care of things. Sure, we schedule a couple of dental appointments a year to make sure things are going smoothly, but our dentist can’t dictate how we treat our smiles. So, if you find out that you have dental issues, it’s time to think about how well you are taking care of your teeth. Here are some quick tips to avoid a bad dental report card:

Brush twice a day. Use a toothbrush with soft bristles. If you’d like a more thorough cleaning, consider an electric version. Brush for at least 2 minutes, in gentle circular motions so as not to irritate your gums.

Floss daily. Use 18” worth of floss and make sure that you are using a clean area between teeth to prevent the spreading of any infections you may already have. Check your floss between teeth for any blood, or scent that may indicate a more serious issue.

Choose a natural mouthwash. Mouthwash loosens any debris, making your mouth cleaner than by merely brushing. Instead of using a mouthwash that contains alcohol, which dehydrates your mouth, preventing saliva production, choose a more natural variety.

Avoid tobacco products. We all know tobacco of any sort is bad for us, but it is especially bad for our mouths. Ingesting tobacco products can further irritate any infection you may have, making you more susceptible to further issues.

Sugar doesn’t help. It may taste sweet but having too much sugar in your diet will cause lots of dental issues if you don’t look after your teeth. Limit it as much as possible and be sure to brush after you indulge.

(12/16/2020)
by Dr. Leo J. Kituskie DMD

More Information: https://implantperiocare.com/wilmington-periodontist/can-you-prevent-dental-issues-by-yourself-wilmington-dentist/


Views: 899
Share
Share

Mouth care for people with dementia

People living with dementia have a high rate of tooth decay and gum disease. This may be because they find it difficult to perform their normal daily activities, and require some support to keep up with their oral hygiene routine. Others may not be able to express that they have a toothache and leave problems untreated. It’s important that people living with dementia receive the help they need to keep their teeth and gums clean and free of debris so that they can maintain their self-esteem and avoid pain and infections.

Sugar and oral health:

Sugar can cause tooth decay, especially when it’s frequently eaten. If you are caring for someone with dementia, try to avoid giving them too many sugary foods, both between meals and at mealtimes. Tooth friendly foods and snacks include: vegetables, bread with sugar-free spreads, crackers and cheese, pitta bread with hummus or guacamole, rice cakes, fresh fruit, oatcakes, plain yoghurt.

Caring for teeth and gums:

Everyone should have their mouth cleaned twice a day, so make sure that the person living with dementia continues to do this and help them if they are unable or reluctant to do it themselves. You may want to make brushing your teeth an activity you do together so that you can prompt, observe, and help them if needed.

If you need to brush the person’s teeth for them, you could try: supporting their jaw to keep their teeth together to help clean the front of the teeth, encouraging the person to open wide to help you clean the inside and chewing surfaces of the teeth, using a toothbrush with a small head and medium bristles; a child’s toothbrush may be easier to use, using a pea-sized amount of toothpaste containing no less than1450ppm fluoride (look on the tube or box to find out how much fluoride is in your toothpaste), using gentle, circular movements, paying extra attention to the area where the tooth meets the gum, encouraging the person you’re helping to spit out the toothpaste rather than rinse it out. The fluoride in the toothpaste will continue to protect their teeth, replacing the toothbrush when it begins to show wear or every three months.

When you are helping your family member or close friend who has dementia to brush their teeth you may find that their gums bleed. This means that they have some plaque in their mouth, which is irritating their gums.

Encouraging oral care if someone is reluctant:

A change in a care routine or the prospect of treatment may make some people feel confused or uncomfortable. Try to help this by:

- Giving the person short, clear instructions.

demonstrating what to do, and gently guiding the person to take care of their mouth and teeth in stages.

-Clearly and simply explaining what you are about to do, gesturing with a toothbrush and toothpaste if you are brushing the person’s teeth.

-Observing the person for signs of discomfort. The person may hold their face, grimace, struggle with ill-fitting dentures, have loose teeth, frequent bleeding or sensitivity to hot and cold food and drink. If you notice any of these signs, consult a dentist as soon as possible.

(12/14/2020)
by Dementia UK

More Information: https://www.dementiauk.org/get-support/maintaining-health-in-dementia/mouth-care-dementia/


Views: 1,132
Share
Share

How to manage dental issues during the lockdown?

These are unique and unprecedented times – we have been quarantined for the first time in modern Indian history, and physical and mental activity is at its minimum for most of us. Taking care of our mind and body has never been of such paramount importance, as we all need to ensure that we come out stronger once normal life resumes. While we are engaged in working from home, reading books, exercising at home or just lazing around, we are also indulging ourselves in cooking and binge eating. And while many of us do try to ensure proper nutrition, we often tend to ignore a critical part of our body: our teeth. Dental problems can be quite painful. Here are some ways you can avoid or handle dental emergencies during this lockdown.

SEVERE TOOTHACHE:

•You should first rinse your mouth with warm saline water to see if the pain subsides. Apply Ice pack (cold compressions) in case of swelling.

•Clove oil or clove: It is a traditional remedy for numbing the nerves – soak cotton with two drops of clove oil and place it against the tooth until pain recedes. In case clove oil is not available, you can use a bit of powdered clove or chew a whole clove to release clove oil and keep it in place up to half an hour or until the pain subsides.

•Peppermint Tea also has a numbing effect similar to clove. Put 1 teaspoon dried peppermint leaves in a cup of water and boil for 20 minutes. After the tea cools, swish it around in your mouth then spit it out or swallow. You can also use Peppermint oil if available.

•OTC medications such as Acetaminophen or diclofenac will also help with the acute pain.

You also need to check if there is a food particle or other debris wedged alongside the tooth and if that is leading to pain. If the toothache is severe, increases while lying down, or worsens with hot food, you may need additional help. Do schedule an online consultation with your dentist.

BROKEN/ KNOCKED OUT TOOTH:

If your tooth is broken, try to keep the broken piece safely with you. Your dentist will be able to bond the broken piece back to your teeth. How you handle the broken piece is imperative.

You should carefully pick the tooth by the crown or the top - take care not to touch the root - and carefully rinse it without scrubbing. If possible, reinsert the tooth in the socket, if you unable to reinsert, place the tooth in a small container dipped in milk and contact your dentist quickly to increase the chances of saving your tooth.

In case a large piece is broken, your tooth may bleed because of exposed dental pulp. In such case, you may need an emergency root canal. Consider calling your dentist immediately. If the tooth is broken because of an injury, use cold compressions for any facial swelling if present.

Maintaining good oral hygiene:•Brush twice daily: The layer of plaque deposits in every 12 hours, thus, brushing twice helps removing it. Plaque has millions of bacteria, it can cause decay of teeth & gum problems.

•Brush Thoroughly: You should spend at least 2- 3 minutes on brushing. Take your time, moving the toothbrush in gentle, circular motions to remove plaque.

•Use Fluoride Toothpaste: Fluoride is absorbed into the enamel and helps to repair it by replenishing the lost calcium and phosphorous required to keep your teeth hard.

•Floss your teeth daily: Flossing helps clean in-between the teeth. When you don't floss, you're at risk for two major dental issues in your mouth: Gingivitis and cavities between your teeth

•Drink lots of water: Water helps you keep your mouth clean and fight dry mouth. Water washes away leftover food and residue that cavity-causing bacteria are looking for. It also dilutes the acids produced by the bacteria.

How to Avoid Potential Emergencies:

The best way to prevent dental emergencies is to stay proactive in your oral hygiene and have routine check-ups. Good nutrition begins with healthy teeth.Avoid chewing ice, popcorn kernels and hard candy, all of which can crack a tooth.

A simple tip - use scissors, NEVER your teeth, to cut or tear things; it may lead to a chipped tooth.

We sincerely wish that you don’t have to face any dental emergency during the COVID-19 lockdown.

(12/17/2020)
by Dr Harleen Gandhi

More Information: https://poshan.outlookindia.com/story/poshan-news-dental-problems-during-the-lockdown-heres-help/350443


Views: 1,100
Share
Share

When and how often should you brush your teeth?

The American Dental Association recommends brushing your teeth twice a day with fluoride toothpaste for two minutes each time.

When you brush your teeth, you help remove food and plaque — a sticky white film that forms on your teeth and contains bacteria. After you eat a meal or snack that contains sugar, the bacteria in plaque produce acids that attack tooth enamel.

Eventually, the acid can break down tooth enamel, causing cavities. Plaque that isn't removed can also harden into tartar, making it harder to keep teeth clean. Tartar buildup on your gums leads to inflammation that causes gum disease.

In choosing when to brush your teeth, you might also consider your diet. If you've eaten an acidic food or drink, avoid brushing your teeth right away. These acids weaken tooth enamel, and brushing too soon can remove enamel.

If you have arthritis or have difficulty holding a toothbrush, consider buying an electric or battery-operated toothbrush. These have been shown to remove plaque better than manual toothbrushes.

Besides brushing your teeth, to keep your mouth healthy, do the following:

Floss daily.

Use mouthwash after brushing and flossing.

Drink plenty of water.

Eat a healthy diet and limit sugary food and drinks.

Avoid frequent snacking.

Replace your toothbrush every three to four months, or sooner if the bristles are irregular or splayed.

Schedule regular dental checkups with X-rays and cleanings.

(12/14/2020)
by ADA

More Information: https://www.mybestdentists.com/resources/AmericanDentalAssociation


Views: 3,233
Share
Share

Tooth loss, could be latest symptoms linked to COVID

The lengthy list of symptoms linked to coronavirus may have a terrifying new addition: tooth loss.

At least three recovered COVID-19 patients — 2 adult women and a 12-year-old boy — have had a tooth fall out amid their recovery from the fast-spreading disease, according to The New York Times.

Earlier this month, Farah Khemili felt one of her bottom teeth wiggle when she popped a wintergreen breath mint into her mouth. Less than 24 hours later, the tooth fell out of her mouth and into her hand. There was no pain or blood afterward.

The 49-year-old from New York battled coronavirus in the spring and has since joined a Facebook support group with fellow “long haulers,” where she has discussed her symptoms with other surviving patients. And while tooth loss has not officially been linked to coronavirus, several other members of the social media page have shared similar experiences.

The founder of the online support group said her 12-year-old son similarly lost an adult tooth after beating back the illness while a second woman reported one of her teeth fell out while she snacked on some ice cream. They similarly saw no blood following the tooth loss.

Others have said they experienced sensitive gums and their teeth turning gray or chipping.

University of Utah periodontist Dr. David Okano told The Times that it’s an “extremely rare feat” for teeth to “literally fall out of their sockets.” He expressed skepticism over the suggestion that COVID could knock out adult teeth on its own, but acknowledged its possible the disease exacerbates already-existing dental issues.

Despite a lack of evidence, experts have called on dentists and medical professionals to be on the lookout for such symptoms — especially because an estimated 47% of adults over the ago of 30 have some form of periodontal disease, according to a 2012 report from America’s Centres for Disease Control and Prevention.

Dr. Michael Scherer, a prosthodontist in Sonora, Calif., speculated dental issues experienced by COVID patients could be actually be an immune response, known as a cytokine storm, manifesting in the mouth.

“If a COVID long-hauler’s reaction is in the mouth, it’s a defense mechanism against the virus,” he told The Times, noting other inflammatory health conditions, like cardiovascular disease and diabetes, can also correlate with gum disease.

“Gum disease is very sensitive to hyper-inflammatory reactions, and COVID long-haulers certainly fall into that category.”

(12/18/2020)
by New York Daily News

More Information: https://www.nydailynews.com/coronavirus/ny-covid-teeth-falling-out-potential-new-symptom-20201127-xiq5bc2ahjcljijmkc2uiv4vpa-story.html


Views: 1,055
Share