Dentists Journal

Top Ten Stories of the Week
4/17/2021

All Dentists Journal · Previous Week · This Week · All Time List · Headlines

Share

When Is Lip Biting a Sign of Other Conditions?

For many people, lip biting is just an occasional nervous habit. However, other people may chronically bite their lips due to an underlying medical condition. Here are some of the many conditions that can cause this oral habit, including dental conditions, psychological conditions and developmental disorders.

Temporomandibular Disorders

The temporomandibular joint (TMJ), which connects your jawbone to your skull, is one of the most complex joints in the body. Disorders of this joint can be caused by numerous factors, such as arthritis or injuries to the jaw. People with TMJ disorders may experience many different symptoms, such as pain in the jaw joint or trouble opening and closing the mouth.

A study published found that lip biting is also a common symptom of TMJ disorders, with 37 percent of the studied individuals exhibiting the habit of biting their lips or other objects.

Malocclusion

Malocclusion means the upper and lower teeth aren’t aligned properly. Teeth may be misaligned if your upper and lower jaws aren’t the same size. Extra teeth, abnormally shaped teeth or missing teeth are some other possible causes of misalignment.

Most teeth alignment problems are minor and don’t need any treatment, although in some cases, individuals may have trouble or discomfort when biting or chewing. Repetitive lip biting in children with an existing malocclusion can impede correction of the improper alignment.

Other Health Conditions

Dental conditions such as a TMJ disorder and malocclusion aren’t the only possible scenarios in which individuals bite their lips. Many other health conditions can also result in this oral habit.

Sometimes, psychological conditions can cause lip biting. Body-focused repetitive behaviors (BFRBs) are one of these disorders. People with BFRBs may repeatedly pull their hair, pick their skin, bite their lips or perform other repetitive actions.

Individuals with autism may also have a tendency toward certain self-harm behaviors, such as biting their lips.

Treatment Options

If you often bite your lips, or if you have a child with this habit, see a dentist. There are many treatments available based on the underlying cause.

If your dentist suspects a TMJ disorder is to blame, they may suggest home remedies such as massaging the jaw muscles or limiting your diet to soft foods. If necessary, they may prescribe medications to help ease pain and inflammation in the jaw joint. Your dentist may even recommend a nightguard or splint, which is a clear plastic device that fits over your teeth, to help your jaw muscles relax. Referrals to other medical specialists, such as physiotherapists or oral surgeons, may sometimes be needed to treat TMJ disorders.Orthodontic treatment may be required to correct malocclusion and its associated issues.

Your dentist may recommend braces or other orthodontic appliances to adjust the positioning of your teeth. If overcrowding is part of the malocclusion problem, one or more teeth may need to be extracted to make room. In rare cases, a patient may need surgery to reshape the jaw.

(04/09/2021)
by Caribbean National Weekly

More Information: https://www.caribbeannationalweekly.com/lifestyle/health-fitness/when-is-lip-biting-a-sign-of-other-conditions/


Views: 974
Share
Share

What You Should Do About Warts on the Tongue

Finding warts anywhere on your body is an unpleasant experience, but many people find them especially unpleasant in the oral cavity. Warts on the tongue or elsewhere in your mouth are not especially common, but when they do appear, they can sometimes seem to have come from nowhere. Here’s what you need to know if you have noticed any bumps, lumps or warts anywhere in your mouth or on your tongue.

The Common Wart

HPV, a double-stranded DNA virus with over 100 different strains, is the culprit that causes warts. Verruca vulgaris, or the common wart, most often appears on the hands, fingers, knees and elbows. A small cut or opening in the skin allows the virus to gain entry, and it can be transmitted to other sites on the body by scratching, shaving or breaking the skin.

The Mayo Clinic says that in many cases, the body’s immune system will stop the HPV virus from developing a wart. According to an article in the Bosnian Journal of Medical Sciences, the peak occurrence of these warts is between the ages of 12 and 16. However, the article also states that this type of wart is rarely found on the tongue.

Oral Warts

The majority of oral warts that develop in the mouth or on the tongue are classified as oral condyloma acuminatum (venereal warts) caused by HPV 6, 11 and 12. These warts are spread by kissing and oral-genital contact and are more common in people with compromised immune systems, such as individuals with HIV. Although, most oral nonvenereal warts are seen in children who also have warts on their hands, according to an article in the Journal of Maxillofacial and Oral Surgery. By chewing the warts on their fingers or hand, the virus is easily transported to the oral cavity. A wart in your mouth may interfere with eating, as it can be irritated by food or accidental biting, and warts are often sore and uncomfortable as they develop.

Treatment for Oral Warts

Warts frequently disappear without treatment, but it could take up to two years. Topical creams are usually ineffective, especially in the oral cavity. Freezing warts with cryotherapy, meaning injecting them with interferon alpha, or laser removal are painful remedies. However, an article in the Journal of Cancer Research and Therapeutics reports that surgical removal of oral warts is the recommended treatment.

While options for home remedies are limited, Medscape notes that applying a few drops of tea tree oil to the wart several times a day or rubbing it with a clove of raw garlic have both shown promise in limited studies. Your dentist will have the best suggestions as to what you can use to help soothe any discomfort until the wart goes away or you have it removed.

Oral Cancer Risk

Oral cancer is most often linked to heavy smoking and alcohol consumption, but there has been an increase in oropharyngeal cancer linked to the sexually transmitted HPV 16. This cancer affects the back of the mouth, throat and tonsils, and because the symptoms are subtle, it is difficult to detect. White men who are nonsmoking and between the ages of 35 and 55 are at highest risk. Those with weakened immune systems from diseases like HIV or who are taking medications for organ transplants also have an increased risk, as do those who have numerous sexual partners and participate in unprotected oral sex.

HPV vaccines are available today that help prevent the HPV viruses that cause genital warts, oropharyngeal cancer and cancers around the genital area. Boys and girls should receive the vaccine before age 13; however, it can be given up to age 26.

Although warts on the tongue or within your mouth are usually harmless, it can be challenging to distinguish them from the more serious symptoms of oral cancer. For that reason, it’s imperative you see your dentist any time you notice unusual lumps or patches in your mouth that don’t go away within two weeks.

(04/12/2021)
by Richmond Dental

More Information: https://richmonddentalcalgary.com/what-you-should-do-about-warts-on-the-tongue/


Views: 1,578
Share
Share

What to know about calcium deficiency and teeth

Calcium is a nutrient that can benefit a person’s teeth and bones. A calcium deficiency may have adverse effects on a person’s dental health.

This article explains everything a person needs to know about calcium deficiency and how it can affect the teeth.

What is the relationship between calcium and teeth?

Calcium is an important nutrient that people need to consume for strong bones and teeth.

When a person does not consume enough calcium, phosphorus, and vitamin D, they can develop weaker, less-dense bones and teeth. This can lead to osteoporosis and other health complications, such as tooth decay and tooth loss.

According to the New York State Department of Health, females living with osteoporosis tend to have fewer teeth than those of a similar age not living with the condition. They also note that if the jawbone weakens or thins, it may no longer support the teeth properly, leading to tooth loss.

Symptoms of calcium deficiency in teeth

Calcium deficiency can cause bones throughout the body to become less dense and more fragile. When this occurs, it can make a person more susceptible to losing teeth.

According to an older study, researchers found a direct correlation between not getting enough calcium and losing teeth. The researchers found that people who did not take in enough calcium each day were much more likely to lose at least one tooth within a 2-yearTrusted Source follow-up period.

Other symptoms of calcium deficiency

According to the National Institutes of Health (NIH), the signs of calcium deficiency may not become apparent for several years because a person’s body will pull calcium from their bones when there is a deficiency.

Over the long term, calcium deficiency can cause:

Low bone mass, also called osteopenia, an increased risk of osteoporosis, higher risk of bone fractures.

The NIH also state that severe cases of calcium deficiency can cause:

Convulsions, numbness or tingling in the fingers, abnormal heart rhythms.

What to eat

The American Dental Association (ADA) recommend that people add more calcium-rich foods to their diet.

There are various dietary sources of calcium, including nondairy and vegan options. They include:

Dairy products, including milk, cheese, and yogurt, soy milk, tofu with added calcium, dark green, leafy vegetables, almonds, beans, orange juice with added calcium, canned fish.

The Academy of Nutrition and Dietetics recommend that a person eat foods rich in vitamin C and phosphorus in addition to calcium. Vitamin C helps promote gum health, while phosphorus, which is in foods such as beans, eggs, and meats, is important for strong teeth.

According to the ADA, lost teeth can lead to nutritional issues. They say that a person who has experienced tooth loss is more likely to eat a soft diet that may not include necessary nutrients. This can lead to other complications, such as obesity.

The ADA also recommend that a person talk to their dentist about replacing missing teeth. They say that having properly fitting dentures can make a difference in helping a person maintain a regular, healthful diet.

Consuming enough calcium is an important part of preventing bone density loss. However, people should try to get their calcium and other nutrients from foods rather than supplements.

(04/09/2021)
by Medical News Today

More Information: https://www.medicalnewstoday.com/articles/calcium-deficiency-teeth


Views: 1,094
Share
Share

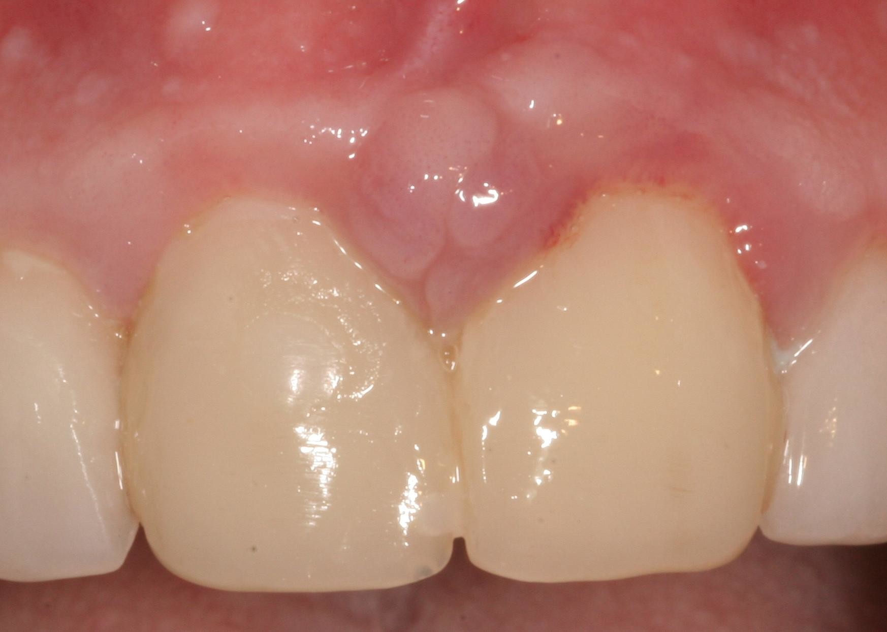
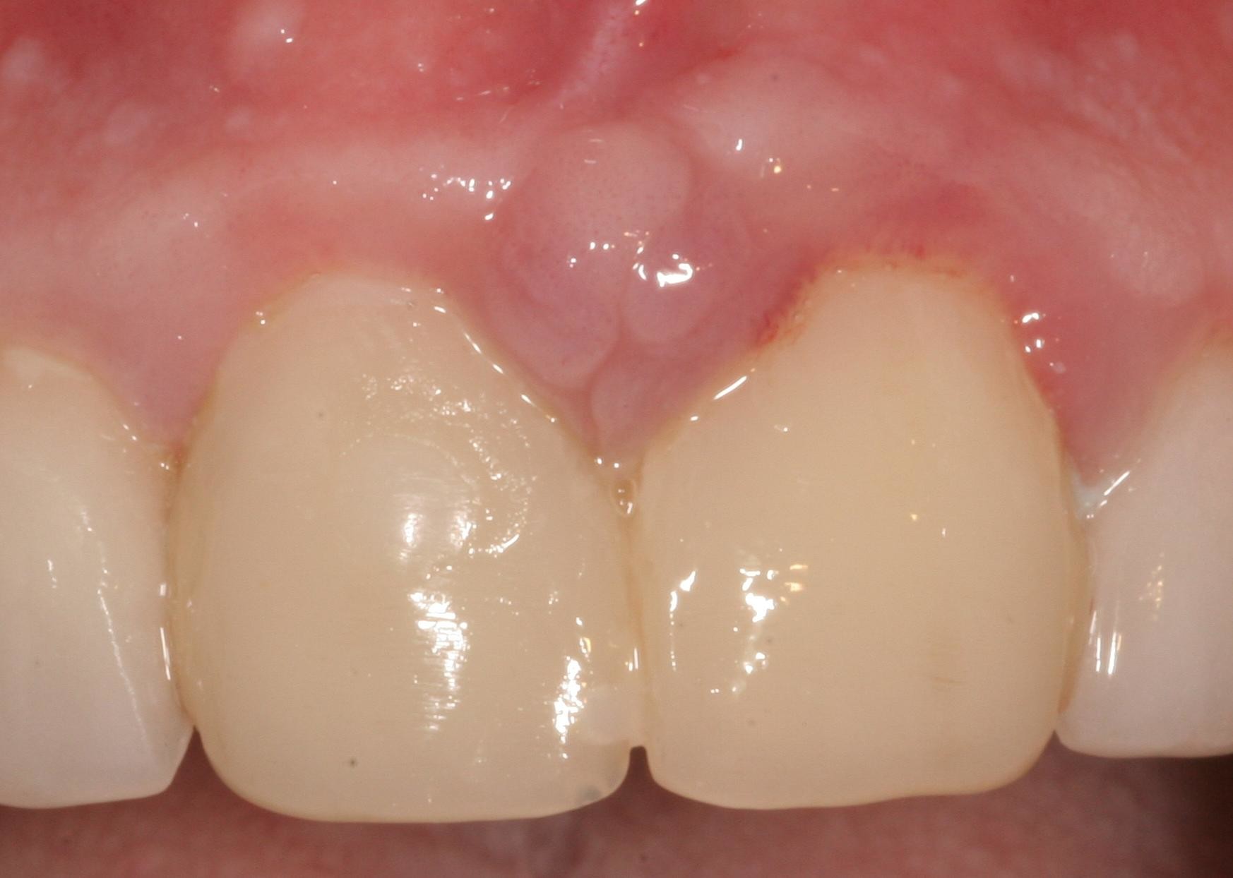
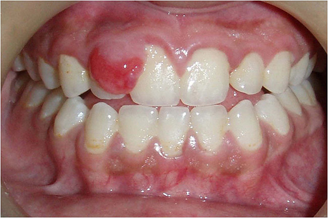
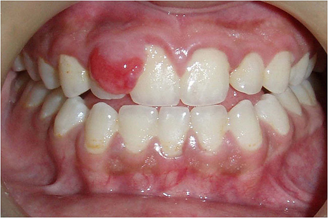
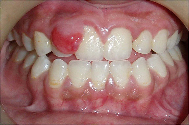
What is oral mucocele?

Mucocele, is a harmless swollen spot. It's a good idea to get it checked out, though, especially if it's bothersome.

There are two types. Mucoceles show up on the inside of your lower lips, your gums, the roof of your mouth, or under your tongue. Those on the floor of the mouth are called ranulas. These are rare, but because they’re larger, they can cause more problems with speech, chewing, and swallowing.

Mucoceles may have these traits:

Moveable and painless

Soft, round, dome-shaped

Pearly or semi-clear surface or bluish in color

2-10 millimeters in diameter.

Your saliva moves from a salivary gland through tiny tubes (ducts) into your mouth. One of these ducts can become damaged or blocked. This most often happens if you repeatedly bite or suck on your lower lip or cheek.

Your doctor might be able to tell that you have a mucocele just by looking at it. If not, they may recommend one of these:

Biopsy: Your doctor will take a tiny sample of the cyst and send it to a lab for a closer look.

Ultrasound: This uses sound waves to show images of the inside of the cyst on a computer screen.

Computerized tomography (CT) scan: This is a series of X-rays taken at different angles; put together, they give your doctor a more detailed image of the cyst.

Mucoceles often go away without treatment. But sometimes they enlarge. Don't try to open them or treat them yourself. See your doctor, your child's pediatrician, or your dentist for expert advice.

These are the two types of treatment a doctor or dentist most commonly uses:

Removing the gland. The dentist or doctor may use a scalpel or laser to remove the salivary gland. Local anesthesia numbs the pain.

Helping a new duct to form. Called marsupialization, this technique helps a new duct form and helps saliva leave the salivary gland.

Mucocele are more unpleasant than harmful, but you still should see a specialist to take care of them. They can return after removal, and there may be pain in areas where they’re removed.

Be aware when cysts may pop up, and try to avoid the temptation to suck on your cheek or bite on your lip when they do appear. If you notice a cyst or a mass in your mouth or have trouble swallowing or talking, call your doctor to set up the right course of treatment.

(04/12/2021)
by Web MD

More Information: https://www.webmd.com/oral-health/guide/mucocele-causes-symptoms-and-treatment


Views: 1,033
Share
Share

When sinus issues become dental issues

The good news is your toothache may have nothing to do with your oral hygiene. The bad news is it may have something to do with your cold. Let’s examine why sinus infection impacts tooth discomfort and remedies for it all.

First position

What you need to understand is that two of your main sinus cavities are positioned right above the molars of your top teeth. So, when they are having inflammation and infection issues, your teeth are feeling it at the base of their nerves.

One of the simplest things you can do to relieve the pressure and pain is to position your head in a way that can let mucus drain. That means don’t lay down completely horizontal. Prop your head up, perhaps using two pillows instead of one.

Sleep it off

Restful sleep is the body’s best way to fight off illness. But that’s easier said than done when you are feeling pain. So, consider the following routine before bedtime:

Lay down, as described above, and gently massage your head and face

Close your eyes and hum softly; it can be your favorite calming melody or a zen-like “ohm”

What you’re doing is allowing a little more airflow through your sinuses than normal. You’re also calming down your biorhythms making it easier to conk out.

Spice it up

Tamales with salsa verde, phad thai noodle with prik chili, marinara with extra crushed red pepper flakes … There are so many ways to enjoy spicy food. If you are having sinus issues, find your fave and let the heat take effect. Spices, including the often overlooked turmeric, are natural anti-inflammatories. That means they are natural pain killers, too, since much of the pain we deal with is caused by inflammation and pressure in various parts of the body.

Water water everywhere

H2O is the spice of life. When anything dehydrates it is one step closer to being dead. So, drink plenty of water and consider drinking liquids that are especially hydrating, like coconut water. The more liquified you feel, the more your body can help you heal.

It’s also helpful, when battling stubborn sinus infections, to get water into your nasal cavity and help wash out buildup. There are extreme ways of doing this, like a neti pot. But something simpler may do the trick just fine. As you are showering, when the air is still a little steamy, cup some of the water into the palm of your hand and moderately inhale. At first, you’ll feel clogged up, but that’s very temporary. Blow your nose and notice how much easier it feels to breathe.

Great expectations

All of the methods above are homeopathic, natural ways to relieve tooth pain caused by sinus problems. They really do work, but in extreme cases, you may need help from some man-made concoctions, most notably expectorants and decongestants.

Some products combine the two, but these over-the-counter medications work very differently. Expectorants express mucus from your sinuses. Result? You’re going to be blowing your nose more, but you’re body is getting some help in producing mucus rather than holding it in. For decongestants, the mucus in your sinuses are being dried out. While a well hydrated body is the healthiest body, drying out your sinuses for a short time is sometimes necessary.

(04/11/2021)
by Dentalux

More Information: https://dentaluxpa.com/when-sinus-issues-become-dental-issues/


Views: 848
Share
Share

What Is Oral Lichen Planus?

Oral lichen planus is a long-lasting disease that affects your mouth with symptoms such as white patches, redness, and swelling. It doesn't go away, but you can keep it under control.

It’s not contagious, but anybody can get it. Women are more likely to have it than men. It's most common in people older than 40. But kids and young adults can also get it.

Doctors aren't sure what causes oral lichen planus, but several things could play a part:

It may run in your family.

It could be linked to your immune system. Most of the time, your immune cells keep you safe by attacking bacteria and viruses. With oral lichen planus, some doctors believe, those cells get confused and attack the lining of your mouth.

It could be linked to hepatitis C. Many people infected with the virus get it.

Oral Lichen Planus Triggers

Some things can set off the condition for the first time, or they can trigger it if you already have the condition. These include:

Certain medicines, such as painkillers, high blood pressure treatments, diabetes drugs, and malaria medications

A reaction to metal in your mouth, such as dental fillings

Other mouth problems, such as having a rough crown or a habit of biting your cheeks or tongue

Injury to your mouth

Food allergy

Infection

What is certain is that you can’t pass it to anyone else and you didn't catch it from someone.

Symptoms can come on slowly or start all at once. You may start out with: Dryness, A metallic, burning taste in your mouth.

Then you may see:

White patches on your tongue, cheeks, and gums. They can be tiny dots or lines that make a lace-like pattern.

Redness and swelling

Peeling or blistering

Oral Lichen Planus Treatment

If you feel only a slight roughness in your mouth, you may not need treatment. If you’re in pain or have sores, your doctor may suggest a corticosteroid cream. In rare cases, they might prescribe steroid pills.

If your doctor suspects your immune system is causing your symptoms, they may suggest a medication that turns down its normal response. These include:

Topical ointment or gel. Calcineurin inhibitors are medications that work somewhat like those you’d take after an organ transplant to help prevent your body from rejecting the new organ. But they come with an FDA warning because they may increase your risk of cancer.

Systemic medications. You take these by mouth. Your doctor may prescribe them if you’re dealing with oral lichen planus in other parts of your body such as your scalp, genitals, or esophagus.

(04/13/2021)
by Web MD

More Information: https://www.webmd.com/oral-health/oral-lichen-planus


Views: 992
Share
Share

Ossifying Fibroma: Causes, Symptoms, and Treatment

Finding a growing lump in your mouth can cause a panic. However, not all tumors mean cancer. Ossifying fibroma is a rare, non-cancerous tumor that occurs in the jawbones. Understand more about what ossifying fibroma is, how it forms, and where you can find treatment.

What Is Ossifying Fibroma?

Ossifying fibroma, sometimes called cemeto-ossifying fibroma, refers to a rare, benign neoplasm that arises from the jawbone. The term "ossifying" means to turn into bone or bony tissue, and these tumors often contain calcified tissue that resembles bone, cementum, or both. Ossifying fibromas often manifest as round, painless, and slow-growing masses with well-defined borders.

What Causes Ossifying Fibroma?

Ossifying fibroma often occurs between the second and fourth decade of life and is more common in females, suggesting a hormonal influence on development. Still, ossifying fibromas can occur for patients of any age and sex. Trauma, irritation caused by dental restorations, and plaque underneath the gums might also all play a role in development, but the precise cause is still unknown.

What Are Ossifying Fibroma Symptoms?

You might first notice ossifying fibroma by swelling in the face. These slow-growing tumors are often painless and asymptomatic, but they can gradually displace teeth or cause root resorption. If you notice any facial swelling, see your dental professional as soon as possible to determine the source of the issue.

Your dental professional will take X-rays to determine the exact location of the tumor and confirm a diagnosis. The clear outline around their perimeter usually identifies the growth as ossifying fibroma; however, the X-ray appearance can differ depending on the tumor's development stage and how much of the mass has calcified.

What Is Ossifying Fibroma Treatment?

Treatment for ossifying fibroma usually requires surgical excision where the oral surgeon will remove the tumor completely from the tissue. Larger tumors might require a more involved procedure to reconstruct the affected bone. After healing, your dental professional will determine if any additional treatment is needed to restore and replace affected teeth.

Removing the ossifying fibroma generally resolves any issues. Several studies have estimated the recurrence rate to be from 6.7% up to 28%. The Journal of Dental and Allied Sciences notes the recurrence rate is significantly higher for cases affecting children. For these reasons, make it a priority to see your dental professional for periodic follow-ups to monitor the site.

As with many dental issues, early diagnoses and appropriate treatment of ossifying fibroma can provide the best route to a healthy mouth. If you notice any swelling or growths along your gums or jaw, contact your dental professional immediately.

(04/10/2021)
by Colgate

More Information: https://www.colgate.com/en-us/oral-health/threats-to-dental-health/what-is-an-ossifying-fibroma


Views: 842
Share
Share

How to get rid of bad bacteria in the mouth

As the world is currently in the midst of managing the Coronavirus outbreak, much attention has been given to disinfection and how to eliminate unwanted bacteria.  Dentists have a unique position when our job as a dentist entails that we are in close proximity with an abundance of aerosols.  This means, that at any given moment, a dentist is covered in bacteria from other people’s mouths! 

Did you know that the mouth is one of the dirtiest places of the human body with over 600 species of bacteria thriving in the naturally warm and humid environment 1?  Dentists works with their patients to help lessen the amount of potentially harmful bacteria in the mouth, but the work doesn’t end there.  There are many things that people can do at home every day that can lessen the amount of potentially infectious and harmful bacteria in the mouth.  As the oral cavity is connected to the rest of the body by the way of the digestive system, taking care of your oral health has benefits for your health as a whole!  Here are 6 things that can be done on a daily basis to prevent toxic bacteria from thriving in your mouth.

Brush Your Teeth

May be it goes without saying, maybe it doesn’t – but Brush Your Teeth!  Brushing food and plaque (which is technically a sheet of bacteria) away from your teeth twice a day is the best way to remove unwanted bacteria in the mouth.  

Swish With A Peroxide Or Alcohol Containing Mouthwash

In addition to brushing and flossing, a mouthwash can help to eliminate remaining harmful bacteria.  Peroxide can act to oxidize the oral environment which can lead to inactivating bacteria and viral particles, while alcohol can inactivate the proteins that some bacteria and viruses need to survive.

Floss Between Your Teeth

You know the saying “You’re never fully dressed without a smile!”?  Well just remember, your teeth are never fully clean without some floss!  While brushing your teeth removes the food and plaque film on the tops and sides of your teeth, flossing is the only thing that can help to remove these items from in between your teeth.  When flossing, remember to be gentle so that you do not harm your gum tissue.  To use floss properly, form the floss in a “C” shape against the surface of each tooth, rubbing back and forth to gently break up the plaque and food particles held in between.

Brush Your Tongue

The tongue is one of the main reservoirs of bacteria and toxic matter in the mouth.  The tongue naturally has microscopic furrows along the entire top surface of the tongue.  To paint the picture a little bit more clearly, the tongue has numerous valleys/cracks which bacteria can bury down into to hide and flourish.  To properly clean your tongue, brush gently in a circular motion for at least 30 seconds, along the entire top surface of the tongue.  Alternatively, you can use a tongue scraper, which can be found in the toothbrush aisle of your local store, to effectively clean the surface of your tongue.

Drink Water

Sure water is not the most exciting liquid out there, but staying hydrated means that bacteria is less apt to flourish within your mouth.  When your mouth is dry, bacteria quite literally stick to your teeth and the inside surfaces of your mouth and are free to thrive.  Each time you drink water to moisten the surfaces inside your mouth, making it harder for bacteria to adhere, and flush away toxins from your mouth through your digestive tract with each drink!

Take A Probiotic

Certain probiotics have been shown to help fight gum disease and halitosis (bad breath) 2.  While research is still being conducted to determine exactly how and to what extent probiotics work to reduce oral bacteria, it certainly has shown great promise.    

Eat Fibrous Food

Just as brushing your teeth physically removes bacteria and plaque from your teeth, chewing on fibrous foods can also help to remove these items from your teeth.  Fibrous foods like raw fruits and vegetables: carrots, apples, broccoli, cauliflower, celery, etc. can all act to shake adhered bacteria from your teeth and your oral cavity tissues.

We hope you found these tips helpful!  Just remember, your health begins and ends with YOU!

(04/13/2021)
by Sunshine Smiles OC

More Information: https://www.sunshinesmilesoc.com/blog/get-rid-bacteria-mouth-inactivate-harmful-bugs/21607


Views: 823
Share
Share

Oral Fibroma Causes and Treatments

Commonly found at the oral cavity, fibromas are essentially outgrowths of tissue that can be hard or soft, and white or pink, depending on their composition. Rest assured – they are usually benign. Read on to discover what causes a fibroma to develop, and what types of fibroma are regularly found in and around the mouth. You will also learn how and where they develop, and possible treatment options.

How Fibromas Develop

A fibroma is a mass of connective tissue that usually grows in response to trauma or localised irritation. Although these growths are rarely cancerous, they may grow bigger when irritated, or simply over time. For this reason, you should avoid brushing the sore. Instead, use an alcohol-free mouthwash to ensure your soft tissue remains healthy without any irritation. Fibromas can also develop on the face or in and around the mouth. They may become raised from the skin or gum tissue.

How They Are Identified

On rare occasions, fibromas can be found in the maxilla (upper jaw) or mandible (lower jaw), but studies published by the National Institutes of Health (NIH) suggest these types of fibromas are more likely to be discovered through digital imaging. Nonetheless, given that fibromas are generally distinguished from similar outgrowths of fat tissue – called lipomas – based on their hardness and colour, they are usually discovered by the patient, a dentist or physician upon routine examination.

Where They Occur

Fibromas tend to occur on the top or sides of the tongue, the inside of the cheeks, or anywhere on the lips. Bear in mind that fibromas primarily develop from repeatedly biting the area, irritation by a foreign object, or trauma to surrounding tissue. Ill-fitting dentures that rub along the gumline are also a likely cause.

How to Treat Them

Removing the fibroma is usually your best treatment. Although most fibromas are benign, your dentist may determine that a biopsy of the removed tissue should be done as a precaution to rule out the presence of cancer. Depending on the fibroma's size and location, your dentist may remove it, refer you to an oral maxillofacial surgeon, or ultimately recommend a plastic surgeon for treatment that maintains a healthy appearance. The biopsy is then sent to a pathologist specialised in this type of tissue sample, to make sure no cancer cells are detected.

The treatment and removal of fibromas is a fairly safe and uncomplicated procedure, involving a team of medical and dental experts. The healing process is usually quite short, allowing you to continue your regular oral care routine despite such a specific dental problem.

(04/14/2021)
by Colgate

More Information: https://www.colgate.com/en-za/oral-health/mouth-sores-and-infections/fibroma-treatment-0116


Views: 915
Share
Share

Reasons Why You Have a Bad Taste in Your Mouth

Why do you have a bad taste in your mouth?

This common oral issue has a variety of causes — and to stop the bad taste, you need to figure out which cause is at fault. If you're not sure what the offender is, take a look at some of the most common causes and what you can do about them.

Improper Oral Hygiene

How often do you brush your teeth and floss? Dental patients with poor oral hygiene may experience a strong or foul taste.

To maintain a healthy mouth, you need to brush your teeth for at least two minutes twice a day. Along with proper brushing, flossing and regular (two per year) dental office visits can keep bacteria at bay. Even though every mouth has bacteria in it, without adequate care oral microorganisms can grow out of control.

The acids produced as the bacteria digest their food (sugars in your mouth) can erode enamel and eventually allow dental decay. Not only can decaying food produce a bad taste as bacteria digests it, but an infection and dental decay can also cause this oral issue.

If you aren't on top of your oral care or haven't visited the dentist in more than a year, make an appointment as soon as possible. The dentist can help you to get back into a healthy dental care routine and explore other culprits behind the bad taste.

Non-Oral Infections

Even though oral infections and dental decay can cause a strong or foul taste in your mouth that lingers for days or longer, these aren't the only microorganism-related issues to watch out for. Other, non-oral, infections can also cause an odd taste in your mouth. These include respiratory illnesses and infections of the tonsils, sinuses, or throat.

Phlegm and the related coughing of a respiratory infection can cause an off or metallic taste in your mouth. This can happen during or immediately after a cold. While a viral infection such as the common cold may cause a metallic taste, a bacterial infection (including strep throat) without mucus/coughing typically won't. Instead, this type of infection may cause a foul or bad taste.

Most viral respiratory infections resolve on their own. As the cough gradually gets better, so will the metallic taste. Bacterial infections, on the other hand, may require antibiotics. Again, as this infection clears, so will the foul taste. If the odd oral issue doesn't resolve when the infection does, you may have a dental problem. Contact your dentist to rule out other possible issues.

Dry Mouth

Chronic dry mouth, also known as xerostomia, can increase the risk for dental decay and oral infections. Saliva is your body’s way of removing debris and neutralizing acids in the mouth. Without enough saliva, you have a higher likelihood of developing cavities, and the decay-causing bacterial overgrowth that can result from dry mouth can cause an odd or bad taste.

Dry mouth has several different potential causes. These include the use of some types of medications (such as some antihistamines, decongestants, muscle relaxers, pain medications, and blood pressure medications), aging, alcohol use, tobacco use, diabetes, and nerve damage.

Before you can treat dry mouth-induced oral tastes you need to find the cause. In some cases, a change to a medication or a lifestyle adjustment can stop the problem. If these types of changes don't help, talk to your dentist about other possible causes. The dentist may prescribe or recommend a special mouthwash or rinse to restore some of the lost moisture.

(04/15/2021)
by Michael G. Landy DDS

More Information: https://www.drmlandy.com/a-few-reasons-why-you-have-a-bad-taste-in-your-mouth


Views: 758
Share