Dentists Journal

Top Ten Stories of the Week
5/1/2021

All Dentists Journal · Previous Week · This Week · All Time List · Headlines

Share

Effects of Vitamin & Mineral Deficiency on Oral Health

Vitamins and minerals are vital for our overall health therefore from a holistic dentistry perspective they would be important for oral health as well. However, their effect on oral health goes beyond the general benefits they have for a healthy lifestyle. Lack of certain vitamins and minerals can cause adverse dental issues discussed in greater details below. 

Vitamin A deficiency might result in brittleness, salivary gland degeneration, and increased risk of cavities. The primary group that is affected by vitamin A deficiency is infants.

Vitamin B deficiency can cause stomatitis (inflammation and pain of the mouth) or glossitis (inflammation and pain of the tongue) or get oral ulcers. These issues are more common in the elderly, those dealing with alcoholism, and individuals with vegetarian/vegan diets.

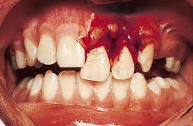
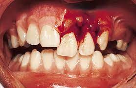
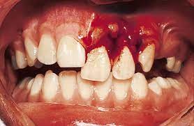
Vitamin C deficiency can lead to gum inflammation, poor wound healing, bleeding gums, and loosening of teeth. In the case of vitamin C-related issues elderly, smokers, alcoholics, and children whose primary source of nutrition is cow’s milk are at a higher risk

Vitamin D deficiency can cause underdevelopment of the outer and inner layer of the tooth or tooth loss in extreme cases. Infants that are exclusively breastfed are at a higher risk of the problems associated with vitamin D deficiency.

Calcium & Phosphorus deficiency during pregnancy may result in bone deformities, incomplete tooth calcification, tooth malformation, increased risk of tooth decay in the developmental stage. Inadequate intake through childhood and into adolescence will lead to decreased bone density and mass. If unaddressed, it will cause osteoporosis – a disorder where the bone becomes porous, brittle and subject to fracture. The other complications for calcium and phosphorus deficiency include tooth mobility, premature tooth loss, and reduced strength of jaw bone.

Fluoride deficiency can lead to a greater risk of cavities which affects people living in areas with non-fluoridated water supply.

The lack of proper nutrients and vitamins in a patient’s diet can have a detrimental effect on oral health and overall health. Although not all symptoms discussed may be related to a vitamin deficiency, knowing the patient’s medical history, daily dietary habits, and medications are important for properly understanding the presence of the symptoms. Recommending a visit to the patient’s primary care physician may be indicated if all the markers are present to properly connect the symptom to a vitamin deficiency.

(04/23/2021)
by Dr. Diana Wu

More Information: https://www.issaquahpremierdental.com/vitamin-mineral-deficiency-on-oral-health/


Views: 1,450
Share
Share

Reasons Why Your Tongue Is Purple

If you’re worried about a purple tongue or spots of blue or purple on your tongue, the answer could be very simple, or it could require a trip to the doctor’s office. In rare instances, you’ll need to get immediate medical help.

1. Foods and Beverages

The good news for most people is that the foods and drinks you consume are often the culprits when it comes to your purple tongue. Think back to consider whether you’ve recently consumed any of the following:

♦ Fruit juices, especially grape juice or red wine

♦ Blueberries

♦ Beets, or anything made from beets

♦ Blue or purple popsicles

♦ Colored candy

♦ Anything with a blue or purple dye, like icing for example

At times you might see a stronger reaction to certain foods over others, this all has to do with the amount you consumed or the formula or recipe.

2. Medications

If you’re taking a medication that contains bismuth, like Pepto-Bismol, then you might see a discoloration on your tongue. This substance also causes stool discoloration. This isn’t the only medication that can cause “staining,” but it’s a very commonly used one.

Check the side effects for any new medications you’re taking to see if they’re the reason for the discoloration.

3. Circulation Issues

If your blood isn’t circulating appropriately or there isn’t enough oxygen in your blood, you’re tongue possibly turn purple. This is called cyanosis. It’s not uncommon to also notice a blueish tint to your lips, fingers, and toes.

If you are cyanotic, you’re not getting enough oxygen in your blood, which can be caused by a number of different problems. Some reasons for cyanosis include coronary artery disease, chronic obstructive pulmonary disease, airway obstruction, asthma, or hyperventilation.

If you experience breathing difficulties, chest pain, dizziness, or fainting with your purple tongue symptom, it’s crucial that you seek emergency medical attention.

4. Vitamin B2 Deficiency

Vitamin B2 is more frequently known as riboflavin, and it’s found commonly in an average western diet, but there have been deficiencies reported and they have been connected to anemia, which can cause your tongue to swell and become discolored.

Other symptoms of riboflavin deficiency include mouth sores and cracked lips. Outside of the mouth symptoms, you may also feel more fatigued, have mood changes, and some skin inflammation.

5. Bacteria

There can be as many or more than 25,000 types of bacteria found in your mouth. But don’t be too worried, most of them are needed for good oral health. Once in a while, the balance of bacteria in your mouth will get disproportional, and you’ll have higher numbers of bacteria that can cause tongue discoloration.

Gently brushing your tongue or using a tongue scraper can help remove excess bacteria and a good dental health routine using good oral care basics can prevent the buildup of bacteria.

6. Varicose Veins

Most people are aware of varicose veins on their legs but not on their tongue. If it occurs on the tongue, this is called sublingual varices. This condition itself is nothing to worry about, but in some situations, they can point to a more serious underlying problem.

If you see a purplish or blue area on your tongue and you feel it’s a vein, it’s best to consult with your physician to see if there is a larger problem at play.

7. Addison’s Disease

Addison’s disease is marked by insufficient adrenal production. It’s not a common disease, but it can be very serious when it occurs. In addition to a darkening of the tongue and skin in other places on your body, you may also experience:

♦ Weight loss and a decreased appetite

♦ Extreme fatigue

♦ Low blood pressure, which can lead to fainting

♦ Salt cravings

♦ Low blood sugar

♦ Nausea, diarrhea, or vomiting

♦ Abdominal pain

♦ Pain in the joints or muscles

♦ Irritability, depression, or behavioral changes

♦ Loss of hair on the body

This disease usually comes on very slowly, but there is an acute version that appears suddenly. No matter how this develops for you, it’s important that you seek medical treatment immediately.

If you’re seeing a blue or a purple spot on your tongue, the good news is that it’s probably related to something you consumed; whether it’s a food, a drink, or even some medications.

If the discoloration persists or is accompanied by difficulty breathing, dizziness, or chest pain, then you need to seek medical assistance. Cyanosis and acute Addison’s disease need immediate treatment and can become very serious or fatal.

(04/26/2021)
by 1MD

More Information: https://1md.org/article/your-tongue-is-purple


Views: 2,776
Share
Share

What Causes a Scalloped Tongue?

A scalloped tongue gets its name from the wavy or rippled indentations that appear along the sides of a person’s tongue. A scalloped tongue is also known as: wavy tongue, pie crust tongue, crenated tongue, lingua indentata.

The notches of a scalloped tongue are rarely painful. Any pain may be the result of the underlying condition that’s causing the ripples.

The lining of your mouth, especially on the sides nearest your tongue, may become red or sensitive. This is rare, but more likely if you’re applying a significant amount of pressure or friction to the skin.

A scalloped tongue is rarely a sign of a very serious problem, such as cancer. However, that doesn’t mean a scalloped tongue is nothing to be worried about.

Understanding the causes of a scalloped or wavy tongue can help you stop the behaviors that are leading to it and know when to see your doctor.

Scalloped tongue causes

In most cases, a scalloped tongue occurs due to swelling or inflammation of the tongue. Tongue swelling is also called macroglossia. Each cause of macroglossia or swelling of the tongue results in other symptoms too. Knowing the different symptoms can help you understand what might be at the root of your tongue issues.

Genetic condition or birth defect

Some disorders or diseases you’re born with may lead to macroglossia and a scalloped tongue. These include:

Down syndrome

congenital hypothyroidism

Apert syndrome

Each of these conditions has unique symptoms.

Hypothyroidism

This thyroid disorder is characterized by low levels of thyroid hormone. When thyroid hormone levels are low, you may experience the following symptoms in addition to tongue swelling and scalloped edges:

hair loss

tiredness

aches and cramps

bruising

low blood pressure

Amyloidosis

A buildup of proteins in organs characterizes this disease. The accumulation can occur in your organs and soft tissues, including your tongue. If it occurs in the tongue or mouth, you may experience swelling or inflammation. The large, swollen tongue can push against your teeth and create scalloped edges over time.

Dehydration

Dehydration can lead to swelling all over your body, including your tongue.

Anxiety

A variety of oral symptoms may originate from high levels of stress or anxiety. These include jaw pain, teeth grinding, and pressing your tongue against your teeth. Over a long period of time, pressing your tongue against your teeth can leave indentations.

When to call your doctor

A scalloped tongue usually isn’t a sign of something serious. You don’t need to seek emergency care, but you should make an appointment with your doctor if you see the telltale indentations of a scalloped tongue. If you don’t already have a primary care doctor, the Healthline FindCare tool can help you find a physician in your area.

The potential causes can lead to additional symptoms and complications if they’re not treated. If you notice you have a scalloped tongue, make a list of any other possible symptoms you think you may be experiencing. Knowing all signs and symptoms can help your doctor narrow down the list of likely causes.

(04/23/2021)
by Health Line

More Information: https://www.healthline.com/health/scalloped-tongue


Views: 1,432
Share
Share

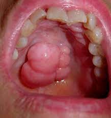
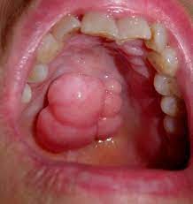
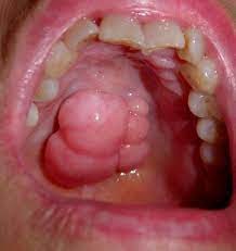
Palatal Tori: Causes and Treatment

A new lump inside your mouth — or anywhere else on your body — can cause alarm. However, seek out a professional opinion before getting worked up. A palatal torus, also known as torus palatinus, is a harmless bony growth that appears on the roof of your mouth. A torus, which means bony protrusion, can vary in size and shape and is usually painless. While palatal tori do not always require treatment, your dentist might recommend removal for a few reasons. Get the facts on the causes and treatment options for palatal tori before moving forward.

What Causes Palatal Tori?

Researchers do not know the exact cause of palatal tori but suspect that several factors impact their growth. These include:

Age. A study published in Medicina found a higher frequency of tori in subjects over the age of 18. These tori can begin growing during adolescence but might not become noticeable until middle age or even later years.

Diet. Food choices and habits also seem to correlate with the development of palatal tori. Those who have vitamin deficiencies, eat a lot of fish, enjoy foods high in calcium, or chew on frozen or raw meat might be more prone to developing a torus.

Genetics. Though more research is needed, studies like the one published in Medicina indicate genetics plays an important role in the development of tori, and it seems that parents can pass this trait to their children.

Tooth grinding. Grinding your teeth is also associated with a higher risk of palatal tori. Talk to your dentist about ways to curb this habit, such as using night guards or practicing relaxation techniques.

When Should You Seek Treatment for Palatal Tori?

If you notice a lump on the roof of your mouth, you should schedule an appointment with your dentist immediately. Though the chances of the lump being cancerous — or even harmful — are low, you should investigate to rule out any potential problems. Though some tori will not require treatment, your dentist might recommend removing the lump if it is:

Preventing orthodontic devices, mouth guards, or dentures from fitting properly.

Changing speech patterns or causing a speech impediment.

Creating difficulty during eating, such as chewing or swallowing.

Causing food to get stuck around the growth.

Impacting your oral hygiene in any way.

How Do You Treat Palatal Tori?

If the growth interferes with your daily life, your dentist might recommend surgery to remove the torus. Your dentist will refer you to an oral surgeon, who will schedule an appointment to examine the lump and discuss treatment options. The surgeon will typically use a local anesthetic to numb the area before making an incision, removing the excess bone, and closing the opening with sutures. The risk of any complications is low, and recovery time usually takes three to four weeks. Talk to the oral surgeon or staff about what to expect after surgery, including:

Post-operative care requirements.

Foods and beverages to avoid.

Oral hygiene recommendations.

Anytime you find a new lump in your mouth, make an appointment with your dentist immediately to rule out any serious conditions. Thankfully, palatal tori present no immediate danger, and you can lead a normal life even with the bony growth. If the torus interferes with speech, eating, or other oral treatments, surgery provides a successful option for removing the lump with little risk to you or your smile.

(04/28/2021)
by Colgate

More Information: https://www.colgate.com/en-us/oral-health/mouth-and-teeth-anatomy/palatal-tori--causes-and-treatment


Views: 1,137
Share
Share

Simple oral hygiene could help reduce COVID-19 severity

COVID-19 could pass into people’s lungs from saliva with the virus moving directly from mouth to bloodstream – particularly if individuals are suffering from gum disease, according to new research.

Evidence shows that blood vessels of the lungs, rather than airways, are affected initially in COVID-19 lung disease with high concentrations of the virus in saliva and periodontitis associated with increased risk of death.

The researchers propose that dental plaque accumulation and periodontal inflammation further intensify the likelihood of the SARS-CoV-2 virus reaching the lungs and causing more severe cases of the infection.

Experts say this discovery could make effective oral healthcare a potentially lifesaving action – recommending that the public take simple, but effective, daily steps to maintain oral hygiene and reduce factors contributing to gum disease, such as the build-up of plaque.

An international team of researchers from the UK, South Africa and the United States today published their findings in the Journal of Oral Medicine and Dental Research. They note emerging evidence that specific ingredients of some cheap and widely available mouthwash products are highly effective at inactivating the SARS-CoV-2 virus.

Simple oral hygiene measures, including use of these specific mouthwash products, could help lower the risk of transmission of the virus from the mouth to the lungs in those with COVID-19, and help prevent severe instances of the infection.

Initial observations of lung CT scans from patients suffering from COVID-19 lung disease by Dr Graham Lloyd-Jones, a radiologist, led to a collaboration between medical and dental researchers on the potential entry route into the bloodstream.

Co-author Iain Chapple, Professor of Periodontology at the University of Birmingham, commented: “This model may help us understand why some individuals develop COVID-19 lung disease and others do not. It could also change the way we manage the virus – exploring cheap or even free treatments targeted at the mouth and, ultimately, saving lives.

“Gum disease makes the gums leakier, allowing microorganisms to enter into the blood. Simple measures – such as careful toothbrushing and interdental brushing to reduce plaque build-up, along with specific mouthwashes, or even saltwater rinsing to reduce gingival inflammation – could help decrease the virus’ concentration in saliva and help mitigate the development of lung disease and reduce the risk of deterioration to severe COVID-19.”

The research team comprised of experts from Salisbury District Hospital, UK; the University of Birmingham, UK; and the Mouth-Body Research Institute, Los Angeles, California and Cape Town, South Africa.

Their new model is based on the mouth providing a breeding ground for the virus to thrive, with any breach in oral immune defences making it easier for the virus to enter the bloodstream. Moving from blood vessels in the gums, the virus would pass through neck and chest veins – reaching the heart before being pumped into pulmonary arteries and small vessels in the lung base and periphery.

“Studies are urgently required to further investigate this new model, but in the meantime daily oral hygiene and plaque control will not only improve oral health and wellbeing, but could also be lifesaving in the context of the pandemic,” added Professor Chapple.

(04/25/2021)
by Dental News

More Information: https://www.dentalnews.com/2021/04/21/simple-oral-hygiene-could-help-reduce-covid-19-severity/


Views: 913
Share
Share

What Causes a Scab on the Lip?

Suddenly discovering a scab on your lip can be distressing. Besides causing you discomfort or pain, it might make you feel uncomfortable because it's so visible. So what causes a scab on your lip, and what should you do if it just won’t heal? Find out more about lip scabs so you can go back to smiling painlessly in no time!

What Causes a Scab on the Lip?

Scabs can often result from cuts or wounds on your lips that are now starting to heal. They may also appear when lips are cracked because of dryness.

Cold sores may also lead to scabs around the lips. Cold sores – caused by herpes simplex virus type 1 – are tiny fluid-filled blisters that appear on and around your lips, often in groups or patches. After the blisters break, you’ll see scabs form. These scabs can last several days.

Occasionally, the scab on your lip is not a cold sore and can be a sign of something more serious. The Mayo Clinic notes that if you see a flat, raised, whitish patch on your lip, it could be a sign of lip cancer.

How to Help the Scab on Your Lip Heal

Although scabs can be uncomfortable, it’s important not to pick them off or pick at them at all. The scab forming is a sign that your body’s immune system has started to protect the wound from getting infected, so letting the scab heal on its own is essential.

That said, there are things to do to make the healing process quicker or give yourself some relief. If the scabs are the result of cold sores, antiviral medicines can help them heal faster. Your doctor may also recommend ointments that numb the blisters, dry them out, or soften the crusts of the sores. Sunblock lip balm can protect your lips from the sun, a trigger for cold sores. Cold sores usually go away on their own in a few weeks.

If the scabs are caused by any trauma, like dryness or because of biting your lips, you can try applying lip balm, beeswax, or petroleum jelly for some relief.

What to Do if Your Scab Won’t Heal

According to MedlinePlus, you will know if your scab is infected if you see redness, yellow or green pus, or excessive clear fluid around it. Increased pain could be another sign that the area is infected. In this case, you should consult with your dentist or doctor immediately to get the right treatment.

If your scab isn’t healing on its own, it’s essential to see your doctor to ensure it’s not a sign of lip cancer. Early detection means that the cancer may be curable.

In most cases, the scab on your lip will heal on its own, but if it’s been a few days and you’re wondering why the scab won’t heal, it’s definitely worth checking with your doctor or dentist. Seeking additional treatment can go a long way in making you feel comfortable and confident.

(04/26/2021)
by Colgate

More Information: https://www.colgate.com/en-us/oral-health/mouth-sores-and-infections/what-causes-a-scab-on-the-lip


Views: 1,827
Share
Share

What Do I Do If My Dental Filling Falls Out?

Oh no! You’re minding your own business when suddenly, you bite down and feel something shift in your tooth. A second later, you’re probing your mouth to find a dislodged dental filling.

Don’t panic. Although losing a filling is a serious matter, there are steps you can take to protect yourself. The first is to call the dentist right away and set an appointment for help.

If it’s late and you can’t reach your dentist, take these steps:

1. Remove the Filling and Keep it Safe

Unlike a lost tooth, a lost filling does not need to be immersed in milk to preserve it. Simply wash it off and protect it by placing it in a Ziploc-style bag. It may or may not be reused later on.

2. Gently Clean Around the Affected Area

Carefully brush the affected tooth to remove food debris that may have become lodged in the newly-exposed material. Be very gentle at first. Avoid any areas you discover that cause pain.

3. Use Dental Cement to Secure the Hole

Most pharmacies offer several varieties of dental cement. This is usually used by placing a small ball of the cement in the hole left by the filling, then using a moist cotton swab to tamp it down. Do not use dental cement if contact with the hole in your tooth causes pain.

4. Treat Any Discomfort While You Wait

A missing filling could cause no discomfort at all or it can be very painful – especially when the nerve is exposed. You can temporarily numb the area with over the counter medication. Just remember … even if there is no pain, it’s still important to get treatment as soon as you can.

5. Avoid Worsening the Situation

Be careful about putting pressure on the damaged tooth. Try your best to chew on the opposite side of the mouth. Avoid foods, such as apples, that require you to bite down hard. This could cause additional chipping and cracking while the tooth is weakened.

6. Be Alert to Signs of an Emergency

If symptoms are mild, it is okay to wait 2-3 days for treatment. Your dentist will replace the lost filling.

Contact dental services if:

Tooth pain becomes worse or more persistent

The tooth sustains more damage (e.g. cracks)

The area begins to bleed or discharges fluids.

(04/27/2021)
by Coscarella family Dentistry

More Information: http://www.coscarelladentistry.com/what-do-i-do-if-my-dental-filling-falls-out


Views: 835
Share
Share

What is the link between sleep disorders and oral health?

Everybody experiences a poor night’s sleep now and then, along with the bad mood, fatigue and a lack of focus that follow the next day. If this only occurs occasionally, it will not have a major impact on your health in the long term. However, structural sleeping problems can seriously impair your health and general wellbeing. Not only does it increase the risk of accidents on, for example, the road due to tiredness. Several serious medical conditions are associated with reduced sleep and poor sleeping quality as well, such as obesity, heart disease, diabetes, and mental problems, for instance, anxiety or depression. It is now suggested that poor sleep is also related to several oral health problems.

What does ‘poor sleep’ mean?

But how do we define poor sleep? It’s not only a matter of insufficient sleep duration. Sleep quality is also very important. This is determined by aspects such as the ability to fall asleep, stay asleep throughout the night without waking up too often, and fall back asleep quickly in case you do wake up. There are several factors influencing sleep duration and sleep quality, and one of them is our oral health.

An example is obstructive sleep apnea (OSA), which happens when the muscles in your throat relax during sleep. As a result, the soft palate, normally supported by these muscles, can obstruct the airways. This then causes a shortage of breath and a lack of oxygen in your blood. When your brain senses this, it tries to reopen your airways by waking you up for such a brief moment you might not even notice or remember it. It does, however, prevent you from reaching the deeper phases of sleep that determine your sleep quality.

Another example of how oral health can affect your sleep is oral dryness. Oral dryness can have many causes, for example, mouth breathing or diseases such as diabetes mellitus and Sjögren syndrome. It is not uncommon for people to wake up multiple times per night from the unpleasant feeling of a dry mouth. Sometimes, having a drink can relieve the complaints, but in severe cases, this does not help. A disrupted sleeping pattern is the result. 

Teeth grinding is also reported to disturb sleep, besides directly impacting your teeth and quality of life. The tension of the jaws expands to other parts of the body such as the head or the back, causing continuous headaches and stiffed shoulders. Learning how to relax your jaws, wearing a mouthguard or trying innovative devices that help you control the grinding are some of the solutions to this issue affecting over 30% of adults worldwide.

A holistic approach to ensure total well-being

As we explained before, suffering from poor sleep can have a major impact on your general health and well-being. Since sleep is also intertwined with oral health, medical and dental professionals should work together closely. Because of the regular visits and close patient contact, the dental office could be the ideal setting to identify sleeping problems in an early stage. On the other hand, medical professionals should seek the advice of dental professionals if they suspect that the poor sleep of a patient has an underlying oral health-related cause. As is often the case, a patient with sleeping problems could benefit the most from a holistic approach.

(04/24/2021)
by Sunstar

More Information: https://www.sunstar.com/es/healthy-thinking/what-is-the-link-between-sleep-disorders-and-oral-health-2/


Views: 865
Share
Share

The 5 Classifications of Tooth Luxation

Protecting your family’s teeth from injury should always be a priority, but a mishap like a sports injury, a car accident or a fall sometimes happens. It’s also important to keep in mind that not all tooth-related injuries involve a broken or missing tooth.

Tooth luxation is the dislodgement of a tooth, sometimes invisibly, that occurs when trauma disrupts the ligaments and tissues holding the tooth in place. It may also affect the nerve and blood supply to the tooth. The Association of American Endodontists (AAE) notes that depending on the direction and force of the impact, a luxation will fall into one of the following five classifications.

1. Concussion

The AAE explains that when the periodontal ligaments that hold a tooth in place are injured, but the tooth is neither displaced nor movable, the luxation is described as a concussion. A concussed tooth is usually tender when tapped. Besides taking X-rays, the treating dentist will do a pulp sensibility test. A positive test means the pulp is still vital, while a negative result can be a sign that the pulp will not heal properly.

Usually treatment is not necessary, but your dentist will want to monitor your pulp for at least a year, writes the International Association of Dental Traumatology (IADT). Home care instructions consist of eating soft foods, careful brushing and rinsing with a chlorhexidine rinse.

2. Subluxation

The IADT describes subluxation as a tooth that is mobile but not displaced. There may be bleeding around the gumline and the tooth is sensitive to the touch. X-rays usually show no abnormalities, but pulp tests can indicate damage that may eventually heal.

No treatment is needed, but clinical exams and follow-up X-rays are recommended. However, if you have pain when biting or chewing, a flexible splint can help stabilize the tooth.

3. Extrusive

If a tooth is extremely mobile and has an elongated appearance, it is classified as an extrusive luxation, explains the IADT. While the tooth has moved because of some separation of the periodontal ligament, the bony socket itself is intact.

The dentist will clean any exposed root surface with a saline solution and then gently reposition the tooth in its socket, and may stabilize it for a couple of weeks with a flexible splint. A root canal may be needed to save the tooth if the pulp becomes necrotic, or dead and decayed.

4. Lateral

A lateral luxation involves a fracture of the alveolar bone (the ridge of your jawbone that holds your teeth) and separation of the periodontal ligament, the IADT describes. The tooth is immobile, but appears to be pushed either forward or backward. A high-pitched metallic sound is heard when the tooth is tapped and usually the pulp tests are negative.

The dentist will disengage the tooth from the bony socket and reposition it with forceps. The Journal of the Canadian Dental Association writes that a flexible splint is required for four weeks for stabilization, and the pulp will need continual monitoring. If the pulp doesn’t heal, root canal treatment will be necessary to prevent root resorption.

5. Intrusive

With an intrusive luxation, the tooth is pushed upward into the socket, resulting in a fracture to the alveolar bone. The tooth doesn’t move and has the high-metallic sound when tapped as with the lateral luxation. X-rays commonly show no periodontal ligament space, and the pulp test is usually negative, according to the IADT.

Whether the tooth is a mature permanent tooth or one with undeveloped roots, the dentist may choose to allow it to move into place spontaneously without intervention. However, a tooth pushed into the socket more than 7 millimeters may need surgery and orthodontic treatment, followed by a flexible splint worn for four weeks. The IADT also recommends root canal therapy, with temporary filling material, two to three weeks after the tooth is repositioned.

The goal of tooth luxation treatment, regardless of classification, is to stabilize the tooth and monitor and maintain the health of the pulp. It’s important to see your dentist immediately after an injury to a tooth and to follow their instructions for recovery and follow-up appointments. Keep in mind that prevention is still the best medicine, and many sports-related injuries can be prevented by wearing a mouth guard and other safety equipment.

(04/27/2021)
by Beddington Dental

More Information: https://beddingtondentalclinic.com/the-5-classifications-of-tooth-luxation-0318/


Views: 983
Share
Share

Causes of Swollen Tongue

Usually, a puffy tongue is more annoying or uncomfortable than dangerous. But it may be a sign of something serious. It can even be a medical emergency if your tongue swells so much that it’s hard for you to breathe.

Here are some common reasons for an enlarged tongue and how to handle them.

Allergic Reactions

When you eat or swallow something you are sensitive to, your immune system responds by flooding your bloodstream with histamines and other chemicals. That swells your tissue because fluid leaks from narrowed blood vessels.

That is called angioedema. It’s similar to hives, except that the welts caused by angioedema appear deeper under the skin. Insects bites also can cause this reaction. Most of the time, a puffy tongue or other symptoms may appear within a couple of hours. They usually go away within a few days. But a swollen tongue can affect your breathing, so see a doctor right away and get it checked.

Everyone is different, but common allergy triggers include: Cow’s milk, Eggs, Peanuts, walnuts, cashews, and pecans, Soy, Wheat, Shrimp, Antibiotics like penicillin, Blood pressure drugs (ACE inhibitors).

A shot of epinephrine can help you breathe. You can get a prescription for an auto-injector to carry with you in case it happens again. Call 911 after you use it since the allergic reaction is likely to come roaring back. For less serious cases, your doctor may recommend an over-the-counter or prescription antihistamine.

There is also a condition called acquired angioedema. You may get it if you have cancer or an autoimmune disorder. It can cause swelling in your tongue, face, lips, and elsewhere. The swelling might come and go for no reason and it might be painful, but you won’t itch or have bumps.

Infections

This can happen in different ways. Bacteria might get into your tongue from a piercing or a cut. Or you might have an overgrowth of yeast, known as oral thrush. Sexually transmitted diseases like syphilis, gonorrhea, or oral HPV can also bother your tongue.

Irritants

Alcohol, tobacco, spicy food, mouthwash, some toothpaste, and additives like cinnamon and mint can cause an allergy-like reaction. If you think these things might be behind your puffy tongue, stay away next time.

Lack of Vitamins and Minerals

Magnesium, iron, B vitamins, and others help your nerves work right. But you may not get enough from foods or supplements, or you may lose them through heavy menstrual periods or other ways.

For example, a lack of vitamin B12 can cause a condition called glossitis. The name comes from the fact that your tongue may puff up so much that the little bumps on it, or papillae, look smooth.

Your doctor can tell you if you need supplements and how much of them you may need to take.

Health Conditions

Sometimes, a swollen tongue can result from an existing or undiagnosed medical problem.

Cancer. 

A lump in your tongue could be a sign of cancer. Smoking, using tobacco products, and alcohol can raise your chances for cancer in the mouth.

Sjogren’s syndrome. 

This autoimmune disease prevents your body from making enough tears or saliva. It also may make your tongue look red, white, or smooth.

Amyloidosis. When your body collects too much of a certain protein, called amyloid, it can affect how your organs work. Parts of the body, including the tongue, can swell. Amyloidosis also can leave you dizzy, numb in the fingers or toes, and make your heart beat out of sync. Your doctor can diagnose this with tests on different tissues on your body.

(04/28/2021)
by Web MD

More Information: https://www.webmd.com/allergies/allergy-swollen-tongue-causes


Views: 893
Share