Dentists Journal

Top Ten Stories of the Week
5/22/2021

All Dentists Journal · Previous Week · This Week · All Time List · Headlines

Share

Oral health issues that may arise with age

As you age, your body can experience shifts in health that affect your mouth in ways you might not expect. In honor of Healthy Aging Month, take a look at few conditions people may encounter with age that can affect their oral health – including bone loss and dry mouth.

Bone loss as you age: you become increasingly vulnerable to bone loss. One of the more common causes is osteoporosis, which causes bone density to decrease. 1 In the United States alone, over 53 million people already have osteoporosis or are at high risk for developing it. 2 Women are especially susceptible to bone loss, since many experience lower estrogen levels after menopause.

3. What does all this have to do with your smile? When your jaw bones lose density, you become more susceptible to loose teeth and tooth loss. 4 It can also cause your gums to recede, leaving more of your tooth exposed and susceptible to tooth decay.

5. With these threats to your oral and overall health, it's important to take proactive measures to stay in control. Calcium and vitamin D are both critical to preventing bone loss. It can also help to avoid smoking, limit alcohol consumption and engage in regular weight-bearing exercise such as walking, jogging and weight training. 6 Work with your dentist to prevent bone loss or to treat it if you've already begun experiencing symptoms.

Medications: many medications can reduce saliva and cause dry mouth, which can increase tooth decay.  Saliva is essential to oral health as it helps wash away sugar, acid and food residue from your teeth.  When you have dry mouth, these sugars and acids remain on your teeth for an extended period of time and wear away tooth enamel.

In addition to dry mouth, some medications can cause canker sores, a metallic taste, discolored teeth and gingival overgrowth, which is a condition where gums become swollen and begin to grow over teeth. Be sure to let your dentist know of any medications you are taking so they can recommend ways to combat dry mouth and any other side effects.

Other oral health and medical conditionsVisiting the dentist is important to maintaining good oral health at any age, but it is especially important as you get older.  Tooth loss, gum disease and receding gums are more common among older adults. Regular dental visits can help prevent tooth loss and treat other oral conditions early before they become more serious and expensive to treat

A dental checkup can also benefit your overall health.  Dentists can spot signs and symptoms of more than 120 diseases during an exam.  Older adults are more susceptible to developing heart disease, diabetes and oral cancer, which all have symptoms that affect the mouth.

Caring for older family members and their oral healthAbout 65 million Americans, or 29% of the population, care for a chronically ill, disabled or older family member. 7. Helping a loved one maintain good oral health can be challenge, but it is vital to their overall health and well-being.  Here are some ways to help your loved one have a healthy smile.

If a loved one has dexterity issues, get them an electric toothbrush and water pick to make it easier for them to keep their teeth and gums clean.

To help a family member who may have memory issues, write short, step-by-step instructions for brushing and flossing that they can reference. Post these instructions in the bathroom near the sink.

Make sure they visit the dentist regularly and let the dentist know of any oral health issues your loved one may be experiencing, such as dry mouth or pain. If the person you care for is missing teeth, discuss options with their dentist to help retain as much normal function as possible.8

Daily brushing with fluoride toothpaste, flossing and use of fluoride mouth rinse can help prevent gum disease, tooth decay and any other negative effects a medical condition can have on oral health.

By staying vigilant and working with your or a loved one's dentist and physician, you can help ease the effects of bone loss, dry mouth and other conditions on your or your loved one's oral health.

(05/16/2021)
by Delta Dental

More Information: https://www.deltadentalil.com/your-health/general-oral-health/blog-oral-health-issues-with-age/


Views: 913
Share
Share

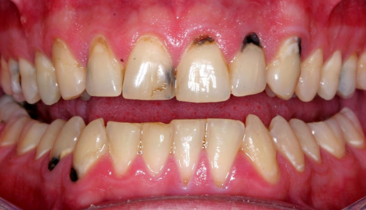
What Causes a Dark Spot on Gums?

Amalgam Tattoo

An amalgam “tattoo” occurs when a silver filling is being placed and some of the metal filling material inadvertently becomes lodged in the gum tissue or cheek. It usually looks like a small, irregularly shaped dark blue discoloration. They may look strange when you brush your teeth, but these dots are perfectly harmless and require no treatment.

Gum Injuries

Trauma, such as accidentally biting your tongue or cheek or being hit in the mouth while playing sports, can leave a bruise, appearing as a dark spot on the gum or cheek. You would most likely be aware of this happening and can easily relate the bruise to a specific injury. This type of injury will usually heal by itself in a week or two and requires little treatment beyond palliative care, such as rinsing with warm salt water.

For any lesion that is more severe or doesn’t seem to be healing, you should see your dentist. You should also always wear amouth guard to protect your teeth while playing contact sports.

Minor oral injuries, such as a cut from sharp food, can sometimes result in a pyogenic granuloma, a bright red or purple swollen bump. This overgrowth of tissue can also appear in the mouth during pregnancy. If they are bothersome, granulomas can be easily removed, and they are not malignant or dangerous.

Dark Gum Spots & Teething

Occasionally, a swollen spot known as an eruption hematoma can form over a child’s erupting tooth. When this small, fluid-filled cyst contains blood it appears dark blue or purple. The word “hematoma” refers to an area filled with blood, just like any bruise you might get from bumping your knee or elbow. This is a harmless lesion that requires no treatment and will disappear as the tooth grows into the mouth.

Rare Conditions

In rarer cases a dark spot on gum tissue can point to a disease or growth. A nevus, for example, is a congenital tumor-like malformation of the skin or mucous membrane that can develop in the mouth. It may appear as a dark blue pigmented mole and is typically harmless and requires no treatment.

The circulatory disease thrombocytopenia, characterized by a deficiency in the number of platelets in the blood, can also be marked by oral spots called thrombocytopenic purpura. Other oral symptoms include spontaneous bleeding gums and the appearance of small red dots called petechiae on the roof of the mouth and the cheeks. This condition requires referral to a doctor for accurate diagnosis and treatment.

What to Do About Dark Spots?

Many soft-tissue-related dark spots in the mouth are harmless, and there is no need to remove or disturb them unless they become painful. It’s no secret that your mouth is a reflection of the health of your whole body, so it never hurts to see your dentist if you notice any perplexing oral changes. They will likely already perform a regular oral cancer screening and other checks of your soft tissues at your regular dental cleanings.

If your dentist is uncertain about the cause of a dark spot on gums, they may have you return in a week to see if there are any changes. If there are persistent symptoms or problematic changes in the size, shape, or color of a spot, your dentist may refer you to a doctor or oral surgeon for appropriate followup.

(05/18/2021)
by Beddington Dental

More Information: https://beddingtondentalclinic.com/what-causes-a-dark-spot-on-gums/


Views: 4,996
Share
Share

Jaw Problems and Headaches

Peripheral to day to day dentistry but equally important is the subject of Dental Occlusion.

A fancy word for something we must do every day – bring our jaws together and bite!

Around 1 in 4 people may have some symptoms and men and women are equally affected, although women tend to ask for treatment more often than men. This may be attributable to recent research linking the menopause and hormonal changes to this condition.

Causes

If your teeth are misaligned in any way, this will not only cause problems to your teeth but also the gums and specifically the TMJ (the temporo-mandibular joint – the muscles that move your jaw).

Generically these are called ‘occlusal’ problems and some common causes are outlined below:

teeth are out of line

teeth are heavily worn or constantly breaking

fillings have fractured

Teeth that are loose or receding from the gum line

Crowns that are worn and loose

Typical Symptoms

The main symptoms are continual headaches or migraine; especially first thing in the morning; pain behind your eyes; sinus pain and pains in your neck and shoulders. Sometimes even back muscles are involved. There is also:

Tenderness on biting

Teeth constantly ache

Teeth are loose

Clicking, grinding or pain in your jaw joints

Ringing or buzzing in your ears

Difficulty in opening or closing your mouth

Reasons

If your jaw is in the wrong position, the muscles that move the jaw must work a lot harder to compensate and this creates fatigue which ultimately causes muscle spasms

Factors such as clenching or grinding your teeth, especially when you are concentrating on daily tasks such as fixing the car, mowing the lawn or cleaning the house, this often propagate the condition.

Other situations may occur when you wake up in the morning with a stiff jaw or tenderness when you bite together. This may be caused by clenching or grinding your teeth during sleep and you probably don’t even realise you are doing it.

Regular severe tension headaches, neck and shoulder pain as well as stress may well be attributable to these types of jaw problems. Any pain or discomfort on the side of your face especially around your ears or jaw joints are also symptoms of TMJ problems.

Treatments

Inevitably we are here to help and in extreme cases we can refer you to experts who specialise in occlusal problems.

Depending on the symptoms you are having, the aim is always to pinpoint occlusal problem, e.g. various muscles may be sore when tested, or there may be broken and worn areas of your teeth which would indicate that you are grinding your teeth – the most common sign of an incorrect bite.

As with any joint pain, a soft diet is recommended as it will place less stress on the joint. Physiotherapy exercises can often help, and we can happily recommend these to you if required.

For night time teeth grinding, we strongly recommend dental guards, these are readily available and designed to protect teeth and prevent the TMJ from clenching and grinding.

Dental solutions are also afforded through tooth adjustment or equilibration, where your teeth are carefully adjusted to meet evenly. Changing the direction and position of the slopes that guide your teeth together can also often help to reposition the jaw.

If an incorrect bite is causing your discomfort, we may recommend a hard-plastic appliance that fits over your upper or lower teeth. This appliance must be measured and fitted very accurately so that when you bite on it, all your teeth meet at the same time in a position where your muscles are relaxed.

Teeth straightening is another option worthy of consideration. Especially, if your teeth are too far out of line or in a totally incorrect bite position. We would recommend an orthodontic brace which will help move them into a better position.

(05/20/2021)
by Garden Dental Centre

More Information: https://www.gardensdentalcentre.com/jaw-problems-and-headaches/


Views: 1,024
Share
Share

Cocaine gum damage, teeth grinding and other mouth problems

Frequent, long-term cocaine abuse is known to cause a wide range of severe and often disfiguring mouth and sinus problems. 

How Is Cocaine Used?

Cocaine is derived from coca leaves taken from the coca plant in South America. It reaches the United States as a water-soluble powder (cocaine hydrochloride) that is snorted or as freebase crack cocaine that’s smoked. 

Cocaine may also be adulterated or mixed with other drugs like amphetamine, methamphetamine, or heroin (speedball).

Each form of the drug has a high potential for compulsive use and yields powerful stimulant effects including a euphoric high and profound sense of well-being.

Effects Of Cocaine Use On The Mouth

Though its effects are less well known than methamphetamine, cocaine use can lead to a variety of harmful effects on the mouth and teeth, with the severity of the effects increasing dramatically as cocaine is used more frequently, in higher doses, and over a long period of time.

Gum Damage

Cocaine powder is acidic and is often cut with various sugars and other dilatants. If put inside the mouth, cocaine can mix with your saliva and inflame or erode the supportive tissues of your gums. This condition is known as periodontitis.

This acid can also slowly wear away your tooth enamel directly, causing lesions and tooth decay.

Dry Mouth

Cocaine causes xerostomia, or dry mouth, by dehydrating the body and interrupting saliva function. This causes the pH of the tooth surface to become more acidic before and after drug use, damaging your teeth.

Tooth Grinding

If you clench or grind your teeth without thinking about it, you have a condition known as bruxism. Severe Bruxism is a common side-effect of using stimulant drugs like cocaine.

Long-term bruxism may cause headaches, trouble sleeping, and pain in the muscles and joints related to the mouth. It can also wear down the surfaces of the teeth, exposing the inner layers and causing cocaine toothaches.

Nasal Septum Perforation

Cocaine crystals are abrasive and caustic, as are many adulterants and cutting agents. As a result, snorting cocaine causes nosebleeds, crusting, runny nose, and sinus infections.  

And, because cocaine is a vasoconstrictor, which narrows your blood vessels and deprives your body of blood and oxygen, the inside of your nose may have more trouble than normal dealing with this damage.

If you snort cocaine long term, the drug can damage the tissue between your nose to the point that it breaks down and dies, opening up a hole in the septum between your nostrils.

This can cause your entire nose to collapse, ending in a highly disfiguring condition known as saddle nose deformity.

Palatal Perforation

Sometime after the nasal septum is perforated, the damage can turn downwards and open up a hole in the top of the mouth that slowly expands. This can limit your ability to speak clearly, eat, and swallow. 

At this point, some choose to use wads of tissue paper or chewing gum (“cocaine gum”) to fill the open gap in their palate, between their nose and their mouth.

While it is possible for medical professionals to make a device to fill this gap, it’s not recommended except after long-term sobriety. As long as cocaine is still used, the perforation will continue to change and expand.

Poor Nutrition And Self Care

Cocaine suppresses both appetite and the urge to sleep, and can cause severe dehydration. It is also often binged for hours if not days at a time, followed by long, miserable crashes and recovery periods.

During these cycles of substance use it’s common for those who use cocaine to further neglect their physical health and well-being with a poor-quality diet, lots of sugar, use of other substances, and limited brushing or flossing.

Interactions With Dental Anesthetics

If you’ve used cocaine recently, the drug can cause your blood pressure and heart rate to spike dangerously if local anesthetics like lidocaine are used during a dental appointment. This mix can lead to severe convulsions and medical emergencies, including heart attack.

Treating Cocaine Addiction

The use of cocaine is harmful, as it impacts your body, mind, relationships, and more. But while cocaine use and cocaine withdrawal can be difficult to overcome, professional and compassionate treatment programs are available to help.

(05/17/2021)
by ARKBH

More Information: https://www.arkbh.com/illicit-drugs/cocaine/oral-health/


Views: 932
Share
Share

What to know about oral thrush

Thrush is a yeast infection that can develop in several areas of the body. An oral yeast infection occurs when excess Candida fungus infects a person’s mouth and throat.

Oral yeast infections are more common now than they used to be.

Researchers believe this is due to the introduction of antibiotics, immunosuppressant drugs, and an increase in the number of people who have diabetes, AIDs, and other immunosuppressive conditions.

In this article, we will discuss the symptoms and causes of oral thrush, whether it is contagious, home and clinical treatments, and considerations for breastfeeding.

There are many different symptoms of oral yeast infections.

According to the Centers for Disease Control and Prevention (CDC)Trusted Source, these include:

white patches on the tongue, the roof of the mouth, throat, and inner cheeks

redness or soreness in the mouth

the mouth feeling like cotton

not being able to taste things

pain when eating or swallowing

cracking of the skin at the corners of the mouth

Cause

According to a 2020 articleTrusted Source, a specific fungus called Candida causes oral yeast infections. The most common Candida fungus is Candida albicans.

However, other Candida fungus may cause this condition. Non-albicans Candida infections are more common in people who are over 80 years old than in younger people.

Candida is present in every person’s body. The fungus live in moist areas, such as the throat and vagina.

When a person is healthy, their immune system and other bacteria stop Candida from growing.

However, Candida fungus can grow if a person’s immune system stops working properly or medications or medical conditions alter the environment.

Medical treatment

According to a 2015 articleTrusted Source, the most common remedy for oral yeast infections are antifungal medications.

There is a variety of topical antifungal medications that a person can apply directly to the skin, as well as systemic forms.

Doctors often recommend topical antifungals for people who do not have any immunocompromising conditions.

One of the most common topical antifungals are polyenes, which attack the fungal cells and kill them.

According to an article in Frontiers in MedicineTrusted Source, people may need to use topical antifungals for 4 weeks. If a person experiences a recurring oral yeast infection, a doctor may recommend using medication for up to 6 weeks.

Doctors may recommend systemic antifungals for people who have conditions that affect the immune system, such as HIV or diabetes.

One of the most common systemic antifungal medication is azoles, which people take orally.

However, taking azoles medication carries some risks, such as leading to resistant strains of Candida. Doctors may recommend intravenous medication if oral medication is unsuitable.

Complications

According to a 2020 articleTrusted Source, healthy people who do not have immunocompromising conditions do not tend to develop complications.

However, an oral yeast infection may spread to the pharynx, a part of the throat behind the mouth and nose.

The infection spreading to the esophagus is more common in those who have HIV or AIDS.

This may lead to difficulty swallowing and breathing.

Prevention

According to the 2015 articleTrusted Source, a person can help prevent oral yeast infections by practicing good oral hygiene. This includes brushing and flossing the teeth twice a day.

It is also important to use an antifungal and antibacterial mouthwash and rinses.

People who use inhaled corticosteroid treatments can reduce the risk of developing an oral yeast infection by rinsing their mouth with water or mouthwash after each use.

People with dentures can remove their dentures overnight and soak them in chlorhexidine solution or white vinegar. This removes the fungus from the dentures.

(05/14/2021)
by Medical News Today

More Information: https://www.medicalnewstoday.com/articles/yeast-infection-in-mouth#diagnosis


Views: 906
Share
Share

Uncommon Dental Issues After 40

As we grow older, our bodies become weaker, making us susceptible to all kinds of illnesses. One of the worst-hit areas is the mouth. From cavities to gum diseases, numerous dental problems come with age. Some dental issues are less common in adults above 40 years as are in people below 40. This article discusses some of the most uncommon dental problems after 40.

Crowded and Misaligned Teeth

It is very unlikely that people who are aged above 40 years will have crowded and misaligned teeth. These problems are only shared in teenagers and adults. Crowded and misaligned teeth occur when there is insufficient room in your jaw. They can also be caused by too much room in your jaw, which results in spaced or gapped teeth (diastema). When you have crowded or misaligned teeth, you will likely experience bad bites (malocclusion) or temporomandibular joint problems (TMJ). Also, your teeth will wear out prematurely.

Impacted Wisdom Teeth

Wisdom teeth are the last four molars to grow at the back of your mouth. They usually emerge during adolescence or in your 20s. Since there isn’t enough space left in the jaw for these molars to develop normally, they are forced to squeeze themselves out through the little space available at the back of your mouth. So, they will either get stuck in the gum or grow sideways. This is what is referred to as impacted wisdom teeth. The problem is very common in people aged between 15 and 25 years. If this problem is not addressed immediately, it will cause other serious dental issues, including gum disease, bacterial infection, and tooth decay.

Cavities

Cavities are most common in kids. It is estimated that over 20 percent of kids will have cavities at some point in their childhood. However, this problem is not common in people who are above 40 years. If cavities are left untreated, they can lead to tooth decay, infections, toothache, and, ultimately, tooth loss. The good news is that cavities can be prevented by merely maintaining proper oral hygiene and avoiding sugary foods and drinks.Whether you are a teenager or above 40 years, it is always essential to go for regular oral checkups. It will help to detect any potential dental issues before they become serious complications. Also, avoid unhealthy habits that put your teeth at risk.

(05/16/2021)
by HNSA

More Information: https://head-neck.com/uncommon-dental-issues-after-40/


Views: 743
Share
Share

How to treat and prevent gum line cavities

Cavities, also known as dental caries, are a sign of tooth decay. As the decay progresses, small holes begin to develop in the teeth. If not treated, they can become larger and cause more problems.

What if the cavity is below the gum line?

Location matters when it comes to cavities and the recommended treatment.

A cavity that’s close to, but above, the gumline is a smooth surface cavity. Those are cavities that form on the smooth sides of your teeth, often in between your teeth.

A cavity that forms just below the gumline is a root cavity. A root cavity can’t be addressed by brushing your teeth more often or even with a regular dental filling. It may require a more extensive intervention so that the cavity doesn’t get larger.

What causes a gum line cavity?

The biggest culprit is dental plaque. Plaque is a sticky layer that forms on your teeth when the bacteria in your mouth feast upon the sugars of food or drinks that you’ve recently consumed.

These bacteria break those sugars down into acid, which can wear away at the hard enamel layer on your teeth. If not removed, plaque can also harden into a yellowish layer called tartar along your teeth and gumline.

This is partly because your gums tend to recede as you age, which exposes your roots. Since your roots are covered with cementum, which is softer than the hard enamel that covers the rest of your teeth, they’re more vulnerable to plaque and decay.

Gum line cavity symptoms

Because cavities start small, you might not even realize that you have one at first. However, there are a few signs to watch for:

Pain in your tooth. A toothache is one of the most common signs of a cavity developing.

Temperature sensitivity. Your teeth may become sensitive to hot and cold.

Sensitivity to sweets. If your tooth aches a little after eating something sweet, it might be the result of damage to the enamel and cementum.

Stains on the surface of your tooth. These might look like white spots early on, but they can darken in color.

Pits or holes. If you notice a small hole in your tooth, definitely ask your dentist to investigate.

Who’s at risk for a gum line cavity?

The following factors can contribute to your risk of a gumline cavity:

Age

In general, evidence shows that cavities are incredibly common among adults, with more than 90 percentTrusted Source of adults having at least one cavity. And it seems that the older you get, your risk increases.

Research has shown that root cavities tend to occur much more frequently in older adults. In part, this is due to gum recession, which tends to happen more frequently as people age.

In fact, 70 percentTrusted Source of adults ages 65 and older have some form of periodontal disease, which includes gums pulling away from the teeth.

Poor oral hygiene habits

If you don’t diligently brush and floss your teeth, you may leave food and drink residue behind, and the bacteria in your mouth will feed on that residue, which creates plaque.

That plaque can build up and erode the enamel on your teeth, which can cause cavities. Plaque also tends to build up along your gumline and can harden into tartar, which is hard to remove and can threaten the health of your teeth.

Removing that plaque will reduce the build-up of tartar and the likelihood that gumline cavities will develop.

Dry mouth

Also known as xerostomia, dry mouth occurs when you don’t produce enough saliva. Saliva provides protection against tooth decay and gum disease, so a lack of saliva could increase your cavity risk.

Complications of getting a cavity along the gum line

When a cavity develops on the chewing surface of your teeth, a filling often takes care of the problem. But a gumline cavity is a little more complicated.

If the decay has gone down beyond the gumline and reached the root of the tooth, you may need more extensive treatment.

When decay reaches the pulp, or the center, of the tooth, your dentist may need to perform a root canal. This involves cleaning out the pulp, including all the pathways, then disinfecting the whole area and sealing it up.

Some people may also need a crown afterward to shore up a fragile tooth. But experts note that it can depend on the location of the affected tooth. The teeth in the back of your mouth that are used for chewing are more likely to require a crown after a root canal.

Treatment for a gumline cavity depends on the location of the cavity. If it’s above the gumline, and it’s not too extensive, your dentist can probably treat it like any other surface category: with a filling.

Typically, this means drilling through the enamel on the tooth and then removing the decay. Then, the hole is filled with a composite resin material or other substance, and then curing it to set it.

But a cavity that’s actually down into or below the gumline tends to require more extensive care. Your dentist may need to perform a root canal to get rid of the decay and prevent it from spreading.

Now that you know what causes these cavities, you can take steps to prevent them from occurring. The most important things you can do include:

Brushing your teeth. Do this twice a day with a toothpaste containing fluoride, which is recommended by the American Dental Association (ADA) for preventing cavities. Make sure you brush the gumline, and consider using a fluoridated mouthwash.

Flossing every day. This will help sweep away any debris that might get lodged in there, which provides a source of food for the bacteria that live in your mouth. The ADA specifically recommends making sure you work that floss down to your gumline so you remove anything lurking there that could lead to cavities.

Visiting your dentist. Seeing a dentist twice a year for cleanings and checkups can help you and your dentist stay on top of what’s happening in your mouth. That way, you’re less likely to develop a cavity that goes undetected and untreated for a long time. Your dentist can also perform fluoride treatments.

(05/15/2021)
by Health Line

More Information: https://www.healthline.com/health/dental-and-oral-health/gum-line-cavity


Views: 1,839
Share
Share

Cold Sores And Fever Blisters: Symptoms and treatment

What Are They?

Canker sores are painful, round mouth sores. They show up in several places:

·     On the inside of the lips

·     Inside the cheeks

·     On the tongue

·     At the base of the gums

·     On the roof of the mouth (palate)

Canker sores often run in families. They are also linked with other diseases, including Behcet's syndrome. You may have only one canker sore at a time, or many of them, all at once. Most people get one, two or three sores at a time. But some people have 10 or more at a time. People who get canker sores typically have them a few times each year. Canker sores are not contagious.

It is not very clear what causes canker sores. Most scientists believe that there is a Problem with the body's immune system. Emotional stress, menstruation or injury to the mouth are common triggers for simple canker sores. Certain foods such as citrus or acidic foods may trigger a canker sore or make one more uncomfortable.

Other conditions that may cause similar sores:

·     Blood and immune system diseases, including HIV

·     Vitamin and mineral deficiencies

·     Allergies

·     Trauma

·     Crohn's disease

·     Lupus

Canker sores are often confused with cold sores. Cold sores are caused by a virus.

About half of the population get canker sores. Smaller canker sores usually heal within a couple of weeks and do not leave scars. For most people, they are just annoying. But some people get larger canker sores (almost one-half inch across or larger). These take longer time to heal. They can be painful, and may leave scars. These sores may be so uncomfortable that it is sometimes hard to eat or speak.

Symptoms

You may feel a burning or tingling on your inner cheek, lip or tongue before a sore appears. Each sore takes two to three days to form. The sores are round and shallow

Diagnosis

Usually, you do not need to visit a doctor for canker sores, unless it is the first time you have them. If the sores become worse over time, or start showing up more often, see your physician or dentist. He or she can do some tests for blood diseases, connective tissue diseases, drug reactions and skin disorders.

Sometimes a biopsy is needed to make sure the mouth sore is not a different disease. While taking a biopsy, the area is locally anaesthetized , and a small piece of tissue is removed. Then it is examined in a laboratory.

To reduce discomfort, you can:

·     Eat bland foods

·     Rinse the mouth with warm water

·     Use pain-relieving gels or creams on the sores

People with larger or very painful sores may need steroid medication. These are gels or creams that are placed on the sores. They make the sores heal faster and also prevent them from growing bigger.

Other possible treatments include injected steroids. There are also a few medicines you can take by mouth, but this is for the most serious cases.

When To Visit a Professional

You should visit your dentist or physician if:

·     You are having sores for the first time

·     Your sores are larger than 1centimeter (almost one-half inch) across

·     You get more sores now than you used to

·     You get sores more often than you used to

·     You have other symptoms with your sores, such as:

o  Rashes

o  Joint pain

o  Fever

o  Diarrhea

Prognosis

Most canker sores clear up without treatment and do not leave scars. In more severe cases, medicines often help to speed-up healing.

(05/17/2021)
by Colgate

More Information: https://www.colgate.com/en-in/oral-health/mouth-sores-and-infections/cold-sores-and-fever-blisters-what-are-they


Views: 779
Share
Share

Silent Problems That May Be Going On In Your Mouth

Not all issues that affect the mouth and your general oral health start as pain.

We are taught from an early age that proper oral health is maintaining healthy teeth. The simple acts of brushing and flossing are instilled in us so that we maintain our “pearly whites” – yet, oral health is much more than clean teeth. It involves the gums and their supporting tissues, the palate, the lining of the mouth and throat, the tongue, the lips, the salivary glands, the chewing muscles, the nerves, and the bones of the upper and lower jaws.

Recent research has indicated possible associations between chronic oral infections and diabetes, heart and lung disease, stroke, and low birth weight or premature births. In other words, oral health refers to the health of our mouth and, ultimately, supports and reflects the health of the entire body.

An important first step in combating the two leading causes of poor oral health, dental caries and periodontal disease, is understanding that tooth loss is often the result of disease or injury, rather than an inevitable consequence of aging. Educational programs emphasizing the importance of oral health promotion/disease prevention are also necessary to raise awareness and discourage the lack of concern regarding oral health. Proper oral health is vital to a productive and healthy life.

Messages that encourage lowering sucrose intake, reducing acidic beverage consumption, and routine brushing and flossing teeth should continue to be disseminated through all sources of media – including dental literature, television, newspapers, magazines, radio, and the Internet. It should be incorporated into the education curriculum targeting children, caregivers, and communities.

Together, we will be able to promote good oral health and encourage our children to be vigilant of their oral health status.

(05/19/2021)
by K1 Dental

More Information: https://www.k1dental.com.au/the-silent-problems-that-may-be-going-on-in-your-mouth/


Views: 756
Share
Share

Impact of Electronic Cigarettes on Oral Health

Electronic cigarettes (e‑cigarettes) are widely available, and their use is increasing worldwide. They are promoted as a safer alternative to combustible cigarette smoking and as an effective smoking cessation aid. E‑cigarettes are designed to provide smokers with the desired nicotine dose without burning tobacco. They contain flavoured humectants that include nicotine in concentrations of 0–36 mg/mL. Evidence suggests that e‑cigarettes are a better nicotine delivery method than combustible cigarettes and have reduced adverse general and oral health effects, compared with combustible cigarettes. 

However, although e‑cigarettes might be an acceptable harm-reduction strategy, the differential effects of e‑cigarettes and combustible cigarettes have been based on self-reported perceptions. 

In addition, a growing number of young people, who have never engaged in combustible cigarette smoking, are smoking e‑cigarettes, which may not be harmless. We analyzed peer-reviewed publications available through PubMed to summarize the effects of e‑cigarettes on oral health.

The World Health Organization estimated that, in 2015, 19.9% of the world’s population over the age of 15 were smokers. The 2017 Canadian Tobacco, Alcohol and Drugs Survey found that the prevalence of current cigarette smoking was 15%, including about 17% of males and 13% of females. The prevalence in teens aged 15–19 years was about 8%, with 10% of males and 6% of females being current smokers. For those aged 20–24 years and those 25 years and older, the prevalence was 16%. Combustible cigarette smoking (CCS) has been causally associated with major morbidity and mortality. Indeed, numerous experimental and clinical investigations have linked tobacco use with over 25 diseases, including lung, heart and oral diseases, such as oral cancer.

The oral cavity is the first site to encounter tobacco smoke, which comes in direct contact with soft and hard tissues. Several studies have linked smoking to an elevated risk of periodontal disease. Cigarette smoke has also been associated with various cancers. A meta-analysis showed that exposure to environmental tobacco smoke is prospectively associated with a significantly increased risk of lung cancer.

Smoking is also associated with oral cancers. Chher and colleagues reported a 4-fold increase in potentially malignant oral disorders among those who smoke tobacco. 

In a retrospective clinicopathological study, of people with proven cases of oral cancer, 29.4% were only tobacco chewers, 25.5% were only smokers, 42.2% used both types of tobacco (smoke and smokeless) and 2.9% were not tobacco users. For those only chewing tobacco, 83.3% had oral cavity cancers, of which 6.7% were of the oro- and hypopharynx. Among those who only smoked tobacco, 69.2% cases were of the laryngeal and oro- and hypopharyngeal, compared with 11.5% oral cavity cancers. Whatever the mode of tobacco use (smoking, chewing, etc.), there is a high risk of cancer development.

(05/19/2021)
by Dental News

More Information: https://www.dentalnews.com/2021/05/06/impact-electronic-cigarettes-oral-health/


Views: 836
Share