Dentists Journal

Top Ten Stories of the Week
7/24/2021

All Dentists Journal · Previous Week · This Week · All Time List · Headlines

Share

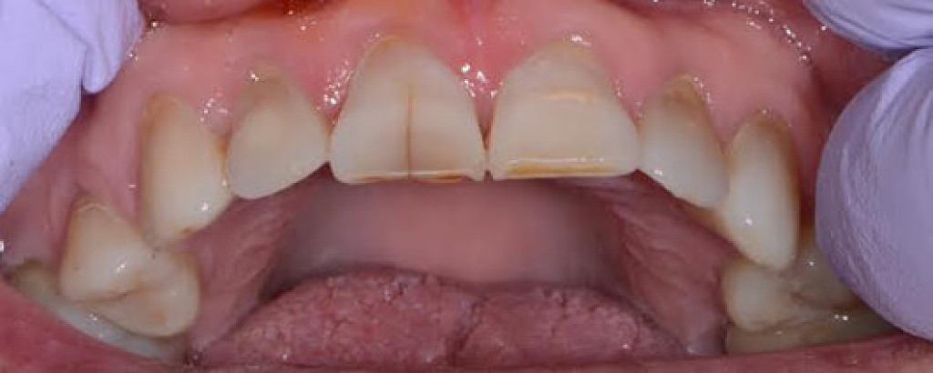
Craze Lines on Your Teeth Making You Crazy?

If you suddenly see tiny lines or cracks on your enamel, it’s normal to feel worried. You might think they're a sign of something much more serious. But it’s important to know that these cracks, known as craze lines, are most likely only causing aesthetic problems. Find out what causes craze lines on your teeth and if there’s a way to fix them.

Causes of Craze Lines

Craze lines are multiple tiny cracks that only impact the outer enamel. They can occur on the front or back teeth but are more noticeable if they appear on your front ones.

So what causes them? They’re typically caused by years of chewing and regular wear and tear of teeth. Some seminal studies also connect their occurrence with other habits or conditions like biting nails or bruxism. Bruxism is the grinding, gnashing, or clenching of teeth. It can cause many problems, including the wearing down of enamel.

Effects on Dental Health

The AAE notes that craze lines are very common in adult teeth and typically are shallow and cause no pain. They are usually only a cosmetic concern.

That said, if the cracks do extend beyond the enamel, you should seek treatment immediately. A cracked tooth will often cause tooth sensitivity and, if untreated, may result in tooth extraction. Your dentist will help you figure out if the cracks are craze lines that are only impacting your enamel.

Prevention and Treatment of Craze Lines

How do you prevent getting craze lines? Unfortunately, craze lines may happen naturally as you get older. That said if they’re being caused by another habit or behavior, like bruxing, addressing that issue can help ensure you don’t get any more craze lines. For instance, using a night guard can prevent you from grinding your teeth at night.

How do you fix the craze lines in your teeth? If the appearance of your craze lines is bothering you, one solution is to get veneers. Veneers can restore chips, cracks, or an uneven appearance and make your teeth look youthful again.

While the sudden appearance of craze lines on your teeth may be unsettling, they are most likely just a cosmetic concern. Consult with your dentist to ensure that the cracks don’t go beyond your enamel, and remember, whether or not you decide to get veneers, your smile is still beautiful!

 

(07/17/2021)
by Colgate

More Information: https://www.colgate.com/en-us/oral-health/mouth-and-teeth-anatomy/craze-lines-making-you-crazy--here-s-what-you-need-to-know


Views: 1,143
Share
Share

Why Your Gut Health Issues Could Be Starting With Your Mouth

When you think about keeping your gut happy and healthy, what comes to mind? Likely fermented foods and bone broth, maybe hydrating fruits like watermelon—but if we had to guess, we’d say the health of your mouth didn’t make the top of your list.

But it should, because here’s the thing: Your mouth is where you microbiome begins, and neglecting your oral health can actually be the cause of a number of gut issues. “Your mouth is a mirror for what’s going on in your gut and your body,” explains Gerry Curatola, DDS and author of The Mouth Body Connection. “What you do in your mouth can have profound effects on your gut microbiome, which is a close cousin to the oral microbiome. Your mouth goes one step further because it protects you from deadly viruses and bacteria.”

Want to understand more about how the oral microbiome works, and how it’s impacting your body? Read on for Dr. Curatola’s insights.

What you need to know about the oral microbiome

According to Dr. Curatola, the oral microbiome has a lot of similarities to the gut microbiome—and a few big big differences, too. The oral microbiome is extremely complex: "It's as unique as your thumbprint," and made up of 6-10 billion bacteria and 70-800 species, he says.

He adds, “The oral microbiome is this intelligent, semi-permeable membrane that brings oxygen to your gums and takes away waste products. For years, we made the mistake of trying to destroy the bacteria in our mouths. Now we know that these bacteria run us, we don’t run them."

Another thing we know now is that bacteria doesn’t just “run” us—if we allow it to do its job in our mouths, it’s actually really good for not only our oral microbiome, but our gut health. And when we take care of it, it promotes excellent overall long-term health. “My big mantra now is to learn to make peace with your microbiome,” says Dr. Curatola. “So when you eat, eat to feed it. Go for alkalizing, antioxidant-rich, anti-inflammatory foods.”

How to nurture your oral microbiome

Now that we know how important our oral microbiome is to overall gut health, what can we do to take of care it (other than eat the food types mentioned above?) Dr. Curatola created a vitamin- and prebiotic-rich toothpaste that’s made for nurturing the microbiome, because he’s pretty appalled by the bacteria-destroying, chemical-filled toothpastes on the market right now. (The chemical triclosan, in particular, wreaks havoc on your gut health.)

He notes that even when people are caring for their mouths with natural products—think oil pulling—they could still be damaging the microbiome. “We have to get out of the pesticide business, whether natural or synthetic,” Dr. Curatola says.

In terms of day-to-day care, Dr. Curatola recommends simply flossing and brushing (preferably with natural toothpaste) regularly. “When you promote microbial homeostasis, toothbrushing and dental floss is important for moving food and debris,” he says. “It’s very important to remove the excess debris that accumulates on your teeth from meals during the day.”

About those cleanings every six months...

If you’re someone who doesn’t exactly enjoy your twice-yearly visits to the dentist, here’s some news you might find interesting: How much those cleanings actually help the health of your mouth depends largely on the person.

In fact, the recommendation that people go to the dentist twice a year is pretty much...made up. “Some people naturally build up more plaque on their teeth, in which case it’s important to visit your dentist often,” explains Dr. Curatola. He adds that he has patients who are genetically predisposed to gum disease, and in that case he has them visit their dentist every 90 days. That’s because heart disease can actually begin in the gums—yet more proof that our mouths have a huge impact on the rest of the body. So, talk to your dentist about how often you should come in.

(07/20/2021)
by Well and Good

More Information: https://www.wellandgood.com/bacteria-mouth-microbiome/


Views: 876
Share
Share

What Is Tooth Gemination?

We don’t often think about dental anomalies, mainly because they’re so rare. One such rare anomaly is tooth gemination, which is also known as double teeth. This condition describes when a tooth has two joint crowns and a single root. If you've heard the phrase or noticed an irregularity in your smile, you may be curious to learn more about the condition and treatment plans.

Background and Causes

What is tooth gemination? The tooth bud, also called the tooth germ, is a group of cells that eventually forms a tooth. Each bud or germ will normally result in one tooth. Gemination occurs when a single bud splits and forms two teeth. Germination typically looks like a single enlarged tooth, so there’s no difference in your tooth count. 

People sometimes confuse gemination in teeth with tooth fusion, but tooth fusion is a different condition. Tooth fusion happens when two adjacent tooth buds begin to develop separately and join in the final tooth development stage. The fused, enlarged tooth takes up as much room in the mouth as two separate teeth.

The exact cause of gemination is unknown. Some researchers have suggested trauma, diseases, vitamin deficiencies, and genetic predispositions as causes, but there’s no definite evidence. According to the Journal of Clinical & Diagnostic Research, gemination is also quite rare; it’s prevalent in about 0.5% of primary or baby teeth and 0.1% in permanent teeth. Gemination also more commonly occurs in your front incisors and canine teeth than molars and bicuspids, though it can still appear in those areas.

Diagnosing Tooth Gemination

Dentists will often begin a diagnosis with a visual inspection. To determine whether the tooth is geminated or fused, the dentist may need to count the number of teeth in the mouth. Frontiers in Physiology reports that people with geminated teeth display a normal number of teeth since the oversized tooth is counted as one, while people with tooth fusion appear to have fewer than average teeth.

X-ray images can also help dentists diagnose gemination and fusion since X-rays reveal the teeth’s interior structure. Geminated teeth usually show a pulp cavity that's either partially or entirely united, and fused teeth have completely separate pulp cavities.

What to Do About Geminated Teeth

Because geminated teeth most commonly appear in the front teeth, it may affect a patient's smile. Additionally, the oversized teeth may crowd the mouth and cause other teeth to become crooked. This can lead to bite problems that may need orthodontic treatment. Both geminated and fused teeth are also more vulnerable to cavities and periodontal disease due to the grooves and spaces where bacteria and plaque can collect.

Because gemination appears differently from person to person, dental professionals recommend treatment based on an individual basis. For instance, patients might need sealants and fillings if a fissure in the tooth is causing bacteria buildup. In other cases, teeth require shaping and crowns. Sometimes, the best option is to leave it alone and keep an eye on it. Though, if the geminated tooth is so large that it causes problems in the mouth, it may need to be extracted.

After an extraction, dentists have various methods of replacing the tooth. These include dental bridges and dental implants. Dental bridges are prosthetic teeth anchored in place by the adjacent teeth, while dental implants are prosthetic teeth that require surgery to implant them in the jaw.

When patients have geminated teeth, excellent oral care can help manage bacteria that get caught in grooves and fissures. That means brushing twice daily with a soft-bristle toothbrush and fluoride toothpaste and cleaning between the teeth with interdental brushes, floss, or water flossers. 

Geminated teeth are unusual but treatable. After examining your teeth, your particular condition, and your needs, your dental professional can work with you to determine which, if any, of these treatments is suitable for you.

(07/22/2021)
by Colgate

More Information: https://www.colgate.com/en-us/oral-health/mouth-and-teeth-anatomy/what-is-tooth-gemination


Views: 1,225
Share
Share

Your mental health affects the health of your whole body, including your oral health

People who have mental health problems are more likely to have oral health conditions like teeth and gum problems. Good oral health also affects your overall health and can help improve your mental health.

Impact of Oral Health on Mental Health

Your oral and mental health are more closely connected than you might realize. Mental health disorders can lead to some coping habits, like smoking, that have a negative impact on oral health. Some people with mental health problems may also avoid or stop going to the dentist.

People with mental illnesses like anxiety and depression may engage in behaviors or have other problems caused by their illness that affect oral health, such as:

Loss of appetite, which can lead to causes poor nutrition

Eating or drinking too many sugary foods or beverages

Dental anxiety — fear of visiting the dentist

Low energy

Difficulty performing daily tasks like brushing their teeth

Pain

Alcohol use problems or drug use

Smoking

Dry mouth

Poor nutrition. If you have anxiety, depression, or another mental illness, you might not feel like eating. You might also eat or drink too many sugary treats or beverages that make you feel better for a while but can cause tooth decay and cavities.

People with poor nutrition or eating disorders may have low levels of calcium. Loss of calcium can weaken the surface enamel of your teeth. Some eating disorders such as bulimia, in which the person vomits after eating, can damage the throat, teeth, and mouth. Bulimia can also lower the amount of saliva in the mouth, which can cause dry mouth and dental problems.

Burning mouth syndrome — a chronic, burning sensation on the tongue, the roof of the mouth, and the inside of the cheeks — can be a sign of poor nutrition, but it may also be caused by depression. Some people with depression may have good oral health and good nutrition but may have burning mouth syndrome.

Anxiety. Many people, including those without a mental health problem, have dental anxiety. If you have an anxiety disorder, you may avoid seeing a dentist regularly, which can lead to dental problems.

Low energy. Depression or other mental illnesses can make you feel tired and unmotivated. You may find it hard to perform basic tasks like brushing and flossing your teeth. You may also feel too tired to prepare meals, which may lead to poor nutrition.

Pain. Depression and anxiety can make you more sensitive to pain. This can make you fearful or anxious about going to the dentist.

Alcohol, smoking, and other drugs. You are more likely to drink alcohol if you have depression and anxiety. Over time, drinking too much alcohol can lead to gum disease and possibly cause oral cancer.

Dry mouth. Some medications used to treat mental illnesses, such as antidepressant drugs, may cause side effects like dry mouth. A dry mouth may increase your risk for gum disease.

Oral Health Preventive Care

Poor oral health can make your mental health worse. You might feel embarrassed about your teeth, or you may find it hard to eat or drink when you’re with other people. This can cause you to avoid being with people, which can affect your well-being.

Here are some steps you can take to keep your teeth and gums healthy:

Brush your teeth twice a day with fluoride toothpaste

Clean between your teeth with dental floss or an interdental brush twice a day

Stop smoking

Reduce alcohol use or stop drinking alcohol

Cut back on sugary foods and drinks

See your dentist regularly

Eat a healthy, balanced diet

 

(07/18/2021)
by Web MD

More Information: https://www.webmd.com/oral-health/what-to-know-about-oral-health-and-mental-health


Views: 675
Share
Share

An Unhealthy Mouth Can Cause Pregnancy Issues

Your dental health isn’t only limited to your mouth. It also has an impact on your overall health and wellbeing. Poor oral health will not only affect your mouth, but can also lead to other diseases such as diabetes, heart diseases, and even cancer. If you are pregnant, bad oral health can cause issues with your pregnancy. How does poor oral health affect pregnancies?

Effects Of An Unhealthy Mouth On Pregnancies

When you are an expectant mother with bad oral health, the harmful bacteria in your mouth can be transmitted to the unborn baby through the blood and amniotic fluid. This can lead to premature delivery as the bacteria inflames the placenta and ruptures the amniotic sac. It can also lead to low birth weight. When babies are born prematurely or with low birth weight, they are at greater risk of developing ill-health and suffering from problems such as learning disorders, heart conditions, and lung conditions. Even after giving birth, the mother can still pass on the harmful bacteria to her baby through breastfeeding. This is known as vertical transmission. This can lead to the baby also developing oral complications.

The hormonal changes that take place during pregnancy increase a woman’s risk of developing oral health problems such as gingivitis. Without proper dental care, these problems can have a negative effect on the pregnancy. Ignoring oral health problems while you are pregnant can have serious consequences for you and the fetus. It is important for pregnant women to observe good oral hygiene in order to protect themselves and their babies.

If you are pregnant, you should brush and floss your teeth regularly to prevent the buildup of plaque which can lead to oral problems. It is also important to regularly visit our clinic for checkups with our professionals.

(07/16/2021)
by Comfort Care Dental

More Information: https://www.comfortcare.net/post/2019/8/23/test-post-title-ka5e3


Views: 752
Share
Share

What Medicaid's Dental Coverage Expansion Could Mean for Your Dental Health

Dental health is vital to overall health and wellness. Dental issues have been linked to chronic diseases like diabetes and, when untreated, can lead to costly emergency room visits. Yet many low-income adults across the U.S. lack access to proper dental care.

Medicaid requires children and youths to receive dental care, but it doesn’t require the same care for adults. Instead, states choose on their own whether or not to provide dental coverage for adults. While most states cover dental emergencies, many still don’t offer comprehensive care, such as regular cleanings and preventative services.

Virginia is the latest state to offer such expanded coverage, giving 750,000 Medicaid members access to comprehensive dental benefits for the first time. This new development could further prove the universal advantages of proper dental care and inspire other states to expand their offerings.

Here, we’ll break down what’s included in this dental expansion and how accessible, quality dental insurance can contribute to improved overall health and care costs.

What is covered under Medicaid’s dental expansion?

Each state dictates the scope of its dental coverage for adults. As of July 1, 2021, Virginia’s expanded dental coverage includes:

Routine cleanings

Preventative care

X-rays and examinations

Fillings

Dentures

Root canals

Gum-related treatments

Oral surgeries

These types of services are currently covered by roughly 30 states. Forty-two states cover oral surgeries, but six of those only cover them in emergency cases.

How can expanded dental coverage improve your health?

Expanded dental coverage has universal benefits for individuals and health care systems as a whole. Better oral health can contribute to improved communication, increased employability, and less money spent on emergency services.

With expanded dental care, adults covered by Medicaid can:

Access preventative services

Health insurance usually covers preventative services. Without supplementary dental insurance, however, preventative dental care isn’t often included. Without preventative care, many people don’t have the resources to stop dental issues from occurring or getting worse. According to the Center for Health Care Strategies (CHCS), 44% of low-income adults have untreated tooth decay.

Even if someone knows they have a problem, they may not have the money to get it fixed. So they wait until it becomes an emergency, and then they have to get an extraction or merely pain relief medicine, which doesn’t actually address the root of the problem. In fact, the U.S. spends $2 billion each year on dental emergencies, 80% of which could’ve been avoided with proper preventative care.

With preventive care, people can improve their dental wellness, and save time and money in the process. According to a 2020 study by Health Services Research, in states with dental coverage, dental emergency visits decreased by over 14%.

Control chronic diseases

Poor dental health has been linked to other issues such as heart disease, gum disease, diabetes, and premature births. With proper dental benefits, people can reduce the risk of developing life-threatening, chronic conditions.

Take advantage of regular dental care

Comprehensive coverage can motivate people to take advantage of regular dental care services, such as routine cleanings. As a result, people may have an easier time eating, communicating, and even entering the workforce. As the American Dental Association reported, six out of 10 low-income adults without Medicaid dental coverage said bad teeth prevented them from getting a job or going on interviews.

After Michigan offered expanded dental coverage through Medicaid, 60% of enrollees had visited a dentist at least once in a year or two, according to a study from the University of Michigan found that. Of those people, 57% said their oral health had improved in that time. Over 75% of those who had jobs also said their coverage helped them improve their performance at work.

These findings can help more people understand the overwhelming benefits of expanded dental coverage and prompt more state Medicaid programs to improve dental benefits for its enrollees.

 

(07/19/2021)
by Newswire
Views: 797
Share
Share

All About the Hard Palate

Your palate may love fine food and drinks. Or your palette may be the foundation for a beautiful piece of art. Those are possibilities. A reality, though, is that your hard palate, a different kind of palate, plays a significant role in your oral health. The hard palate is the roof of your mouth and it's not only impressive but important too.

Palate Anatomy

Your hard palate is that bony part found at the top of your mouth near the front of your oral cavity. With a hard palate comes a soft palate located in the back of your oral cavity with a much more fleshy-like surface. Your hard palate plays a significant role as it separates the oral cavity from the nasal cavity while also aiding swallowing and speaking. Translation — it's a big deal.

Feeding and Speech Complications

If you've ever seen a baby with a cleft palate, it can break your heart. It's a disorder that consists of an opening within the hard palate that doesn't entirely fuse as it should and could extend to their nose or lips. It's one of the most common congenital disabilities in babies and can be extremely unsettling for parents.

A cleft palate could cause:

Difficulty with breastfeeding

Hearing problems

Dental issues

Speech difficulties

Social, emotional, behavioral issues

Some factors might put your baby at a higher risk of developing a cleft palate, notes the Mayo Clinic, including genetic family history, as well as smoking, drinking, or drug use during pregnancy, and other health issues. The good news — surgery and therapy can help remedy the look and complications a cleft palate may cause.

Oral Cancer and the Hard Palate

While a cleft palate is usually something addressed early on in childhood, cancer could strike at any time. There's a natural opening in the hard palate for nerves and blood vessels that's an ideal route for a tumor to make its way into the oral cavity. Possible causes for palate cancer include drinking, smoking, and reverse smoking (inserting the lit end of a cigarette into your mouth instead). Symptoms may include:

Mouth ulcer or mass growth

Foul odor

Loss of teeth

Speech issues

Difficulty swallowing

Jaw function

Lumps in the neck

Treatment possibilities consist of radiation, chemotherapy, chemoradiation (a combination of both), and surgery, the preferred route for the hard palate, says Cedars-Sinai. It's possible some bone could be removed along with the tumor. If a portion of the palate needs to be removed, there are denture-like prostheses that resemble teeth and the roof of your mouth.

Oral Effects of Sexually Transmitted Diseases

Your hard palate can also be affected in other ways, including sexually transmitted infections (STIs). Two specific ones could impact the health of your hard palate:

Syphilis

This disease can leave lesions on both palates, lip, and tongue

HPV

Papillary or ulcerative white patches or warts have been known to form on the hard and soft palate if infected with this STD

If you experience anything like this, consult your doctor immediately for an STI screening and possible treatment options.

Like most parts of your body, seeing your dental professional and/or physician is essential. It allows them to properly examine your hard palate during regular checkups or if something irregular occurs. So make it easy on yourself and keep that hard palate of yours healthy.

(07/16/2021)
by Colgate

More Information: https://www.colgate.com/en-us/oral-health/mouth-and-teeth-anatomy/all-about-the-hard-palate


Views: 938
Share
Share

Dentists have been seeing mouth dryness issues in some patients due to mask-induced breathing habits

As people continue to mask up in public, they may be experiencing a new phenomenon that more and more dentists are seeing in patients: "mask mouth."

"We are basically mouth-breathing and mask mouth is that mouth dryness that you notice when you're breathing through your mouth more than you normally would," explained Sue Nichols, RDH, a dental hygiene instructor at Owens Community College.

And that mouth dryness shouldn't be ignored.

While many people are experiencing bad breath because of it, experts say it can grow to even bigger problems like cavities or gingivitis.

"Eventually gingivitis can turn into periodontal disease and periodontal disease is an infection around the bone of the teeth, so the infection with the bone around the teeth can eventually cause mobile teeth and tooth loss," said Nicole Buchanan, RDH.

Those looking for a quick fix may use sugar-free hard candies to build up saliva, but an even better solution is sticking to daily healthy habits.

"Stay ahead of your brushing and flossing," Nichols said. "You should be drinking a lot of fluids, particularly water. Not soda, not sports drinks, drink water."

Health experts say mask mouth is not an excuse to avoid wearing a mask when you can't social distance.

If you've tried every oral solution but are still experiencing dry mouth or bad breath, you should contact a doctor or a dentist.

(07/20/2021)
by Sophia Perricone

More Information: https://nbc24.com/news/local/dentists-seeing-mouth-dryness-issues-in-some-patients-due-to-mask-induced-breathing-habits


Views: 700
Share
Share

The Perfect Time to Check Your Mouth for Oral Health Issues

Like many patients, chances are you’ve been sitting in your hygienist’s chair, every six months or so, admitting that you don’t floss regularly. Flossing is an instrumental component in keeping your mouth healthy – free from disease and cavities. Because there is no instant gratification from flossing like there is from brushing, it’s often a neglected step in the process. One of the most common flossing mistakes is to think that brushing is more important, or that brushing alone is enough. Not only is flossing important, but it gives you the perfect opportunity to make sure your mouth is in good health as well. It is an excellent strategy (and mindset) to practice between dental visits.

Technique is important – especially when it comes to flossing

It is important to be sure and floss correctly, so that any signs of disease are not misinterpreted. A few mistakes to avoid would be not to saw your floss back and forth, this doesn’t allow it to get the plaque along the gum line. You also should not snap the floss into the gum line, as it can hurt the attachment between teeth.

If you aren’t flossing correctly, bleeding may occur and could be misinterpreted for gum disease. The floss should slide along the side of one tooth, down to the gum line, and curve up like the letter C. This will help clean not only between the teeth, but stimulate the gums between them.

If you have ever wondered how your dentist could tell you haven’t been flossing regularly, there are some tell-tale signs. Flossing the night before your appointment won’t hide them either. Flossing for the first time in a while will leave cuts or abrasions signaling to your dentist you are not a regular flosser. Other signs to your dentist include cavities in between your teeth, as well as pink, swollen gums.

So how can we use this to help us make sure we’re taking adequate care of our entire mouth?

Flossing gives you a glimpse into your entire mouth

Flossing gets between every tooth throughout your mouth, giving you the chance to examine your teeth and your gums reaction to being flossed and brushed. Soreness, swelling, and bleeding may be signs that you have plaque buildup. Plaque buildup can cause cavities or gingivitis. Noticing these slight changes early on can save you some discomfort in the future.

Be sure to floss nightly, and make sure you are using a toothbrush that is no older than 3 months. Soft bristle toothbrush is best, and it is gentle on your gums. A mouth wash can aid in ridding your mouth of the bacteria. If you haven’t been a fan of mouthwash in the past, they now have mouthwashes without alcohol.

Flossing can also help you screen for oral cancer

Typically your dentist will check at your regular cleanings but as with most cancers, early detection is key. Oral cancer is very much a curable cancer when caught in the early stages. It tends to appear as sores that will not heal, a lump, pain, or numbness. These may appear anywhere on the lips, gums, tongue, and cheek lining. Knowing what to look for will greatly increase your chances that potentially cancerous sores can be caught early and successfully treated.

Flossing is the perfect time to check your mouth for oral health problems. It gives you the chance to see all along your gums, cheeks, teeth, and tongue, so you have an opportunity to notice any negative changes. If you have not been a regular flosser in the past and start now, you will notice many positive changes in your mouth and so will your dental hygienist when you come in for your regular dental checkups.

(07/19/2021)
by Sarnia Dentistry

More Information: https://sarniadentistry.com/flossing-check-for-oral-health-issues/


Views: 797
Share
Share

What to Know About Uvula Removal Surgery

What is the uvula?

The uvula is the teardrop-shaped piece of soft tissue that hangs down the back of your throat. It’s made from connective tissue, saliva-producing glands, and some muscle tissue.

When you eat, your soft palate and uvula prevent foods and liquids from going up your nose. Your soft palate is the smoother, muscular part of the roof of your mouth.

Some people need to have their uvula, and sometimes part of their soft palate, removed. Read on to learn more about why and how this is done.

Why might it have to be removed?

Uvula removal is done with a procedure called an uvulectomy. This removes all or part of the uvula. It’s usually done to treat snoring or some of the symptoms of obstructive sleep apnea (OSA).

When you sleep, your uvula vibrates. If you have an especially large or long uvula, it can vibrate enough to make you snore. In other cases, it can flap over your airway and block the airflow into your lungs, causing OSA. Removing the uvula can help prevent snoring. It may help symptoms of OSA.

Your doctor might recommend an uvulectomy if you have a large uvula that interferes with your sleep or breathing.

More often, the uvula is partially removed as part of uvulopalatopharyngoplasty (UPPP). This is the main surgery used to shrink the palate and clear the blockage in OSA. UPPP removes excess tissue from the soft palate and pharynx. Your doctor may also remove the tonsils, adenoids, and all or part of the uvula during this procedure.

In some African and Middle Eastern countries, uvulectomy is performed much more often as a ritual in babies. It’s done to try to prevent or treat conditions ranging from throat infections to coughs. However, there’s no evidence it works for these purposes. It can also cause serious risksTrusted Source, like bleeding and infections.

Do I need to prepare for uvula removal?

A week or two before your procedure, let your doctor know about any medications you’re taking, including over-the-counter drugs and supplements. They might ask you to stop taking certain things a week or so before your surgery.

If you’re having UPPP done, your doctor might also ask you to not eat or drink anything after midnight on the night before your surgery.

Does uvula removal have any side effects?

Following the procedure, you might notice some swelling and rough edges around the surgical area for a few days. A white scab will form over the place where your uvula was removed. It should disappear in a week or two.

Some people get a bad taste in their mouth, but this should also go away as you heal.

For some, removing the whole uvula can cause:

difficulty swallowing

throat dryness

feeling like there’s a lump in your throat

This is why doctors try to only remove part of the uvula whenever possible.

Other possible risks of the procedure include:

heavy bleeding

infection

Call your doctor right away if you have any of these more serious symptoms after your procedure:

a fever of 101°F (38°C) or higher

bleeding that doesn’t stop

throat swelling that makes it hard to breathe

fever and chills

severe pain that doesn’t respond to pain medication.

Uvula removal may be an option if you snore because of a very large uvula, or you have OSA that’s mainly caused by an enlarged uvula. Your doctor might also remove parts of your soft palate at the same time. The procedure only takes a few minutes, and recovery is fairly quick.

(07/21/2021)
by Healthline

More Information: https://www.healthline.com/health/uvula-removal#:~:text=Uvula%20removal%20is%20done%20with,you%20sleep%2C%20your%20uvula%20vibrates.


Views: 797
Share