Dentists Journal

Top Ten Stories of the Week
9/11/2021

All Dentists Journal · Previous Week · This Week · All Time List · Headlines

Share

What Happens When You Don´t Brush Your Teeth?

Dental care experts advocate brushing your teeth twice a day. That's not all. To get a jump on plaque buildup, you should also floss every day. With all that swishing and spitting going on, it's easy to start wondering why brushing is so important, which leads to some interesting speculation about what would happen if we all just stopped brushing entirely. Cavemen didn't brush, so why should we?

One of the big problems with dropping brushing from your daily personal care routine is the modern diet. The human mouth harbors a lot of wildlife in the form of more than 600 types of bacteria. Some bacteria are good, protecting your mouth from even nastier bacterial invaders. But, a substantial amount of mouth bacteria is primed to do real damage. A big offender is plaque, a coating of bacterial film that feeds on the residual sugars left in your mouth. It produces acids that eat away tooth enamel and cause cavities, or small holes, to form. Those lingering sugars are like a banquet to plaque bacteria [source: Cromie].

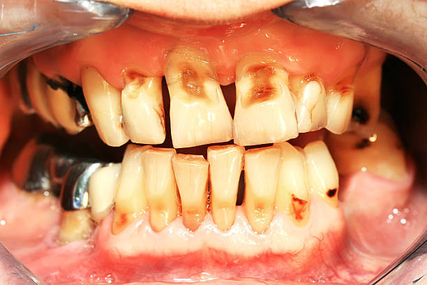
Because many of the foods humans eat are rich in sugars, there's plenty for sugar-loving bacteria to eat -- especially when you don't brush regularly. After a while, plaque film gets harder and more resistant to scraping and brushing and becomes biofilm, or super plaque. It starts to form tartar, solid bits that irritate the gums. One of the first signs of trouble is a condition called gingivitis, an inflammation of the gums brought on by the uncontrolled growth of plaque and tartar. It may cause bleeding and swollen gums, but it can be easy to ignore because it isn't painful.

Gingivitis is a warning sign of worse things to come, though. Gum pockets form when irritated gums pull away from teeth. They collect decaying food particles and become a breeding ground for bacteria. Unchecked plaque growth in the pockets, on teeth and around the gum line leads to cavities, swollen gums, discolored teeth, bone loss, abscesses and bad breath -- very bad breath.

When things go really wrong after not brushing for a while, a group of gum diseases called periodontitis develops that are characterized by the symptoms above plus a few others like loose teeth and tooth loss. All this feels pretty nasty, too. Rampant tooth decay causes pain and plenty of it. It's likely you'd be begging the dentist to pull out a few aching, rotten teeth long before they fell out on their own. There'd also be pain when trying to eat anything sugary, too cold or too hot. Ice cream would definitely be out --- forever.

If this sounds gruesome, it gets worse. Think of your mouth as the doorway to the rest of you. Bacteria developing there can invade other systems in your body. Although research is ongoing, poor dental health may contribute to a number of very serious conditions you'd never expect, like heart disease, stroke, and possibly even cancer [source: American Academy of Periodontology].

Brushing your teeth regularly and remembering to floss seems like a small price to pay for better health, sweeter breath and a winning smile. It could also help you live longer.

(09/06/2021)
by Sara Elliott

More Information: https://health.howstuffworks.com/wellness/oral-care/products/when-you-dont-brush-teeth.htm


Views: 732
Share
Share

What to Eat, What Not to Eat After Teeth Whitening

Teeth whitening is a great way to obtain a brighter smile and enhanced self-confidence. Enjoying the most benefit from this gentle, effective procedure includes watching what you eat for the first day afterward.

In general, you should avoid foods that are likely to cause re-staining or irritate sensitive teeth. After a short time you can resume a normal healthy diet, normally between 24-72 hours.

Five Foods to Avoid After Teeth Whitening

Items to avoid include:

Dark or strongly colored liquids: for instance, tea, coffee, red wine, cola, and tomato juice.

Acidic beverages: examples are soft drinks, fruit juices, and alcohol in general.

Foods with natural or added colorants: beef, soy sauce, ketchup, bologna, and chocolate are examples.

Sugary foods: cakes, cookies, ice cream, etc., can trigger decay-causing bacteria, causing tooth irritation and possible staining.

Any item that fails the “white shirt test:” it’s best to avoid any food that would leave a visible stain on a white piece of clothing for the first 24 hours after whitening.

“So What Can I Eat After Teeth Whitening?”

Good question; it may seem like your choices are severely restricted. In reality however, there are many items you can enjoy during the post-whitening period. They include:

Skinless turkey or chicken: remove any portions of fat or have the preparer do so.

White fish: avoid strong spices or colored sauces.

White rice, pasta, or bread: eat these in limited amounts, as excess carb consumption can promote cavities.

Egg whites: ditch the yokes.

White cheeses: Lower-fat versions are better.

Peeled potatoes: mashed, boiled, or sliced, however you like them.

Cauliflower or white onions.

Skimmed or low-fat milk.

 Other Tips for the Post-Whitening Period

By all means brush your teeth after having them whitened. But make sure to use a soft bristle brush and a low or non-abrasive form of toothpaste. Your may want to use a formula designed for sensitive teeth.

Drink all the plain water you like. This is good for ensuring adequate saliva production.  Tap water is best, as it contains fluoride.

Tobacco products and vaping devices can undo all the good you gain from teeth whitening. Your dentists can recommend new medications that will help you to kick the habit for good.

Keeping Your Teeth Looking Their Best Year-Round

Following some common-sense dental care tips will help to keep your teeth looking their best 12 months out of the year. The following guidelines are especially important:

Brush 2-3 times a day: you should brush gently yet thoroughly for a full two minutes each time, making sure to clean every tooth surface.

Floss every day: this is crucial for removing plaque that brushing alone cannot reach.

Eat sensibly: this means getting plenty of healthy foods rich in lean protein, calcium, vitamins, and minerals.

See your cosmetic dentist in Greensboro twice a year: regular checkups are important for controlling plaque and catching oral health concerns in their earliest stages.

 Teeth whitening is an investment in a better smile and a better life. Keep it working for you by following the tips in this post. 

(09/04/2021)
by David M. Fisher, JS., DDS

More Information: https://www.fisherdds.com/blog/2019/02/14/58/


Views: 751
Share
Share

Difference Between Dental Cleaning and Dental Polishing

No one likes to deal with dental issues. Whether it is a minor toothache or a severe gum disease, it wants fair attention. With a long list of dental problems, we have a good collection of the treatments too. Moreover, to manage dental health, you might have been suggested visiting the dentist periodically. So, what for? Well, there are many things that you can get done at the clinic to enhance the glory of your smile. The two most common of all are dental cleaning and dental polishing.

What is a dental cleaning?

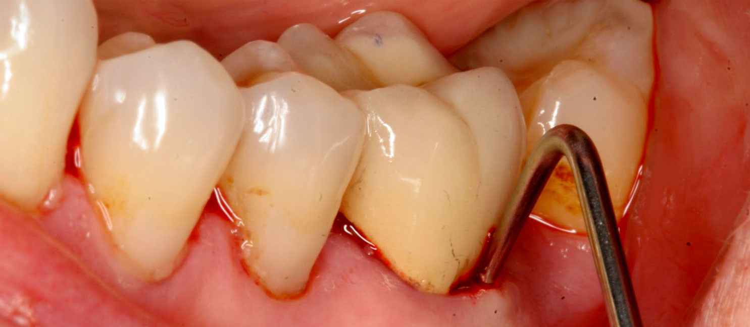
Most of the people visiting the dentist have a lot of anticipation regarding the cleaning procedure. They apprehend it to be a painful and uncomfortable process. However, one should know about the entire process before having any such fears. In short, dental cleaning consists of steps to clean around the gum line and remove all the tartar and plaque.

Below is the process in detail:

Examining the mouth physically: First of all, the dental hygienist checks the mouth with a small mirror. It is to make sure that there are no major dental issues. If some symptom prevails, the hygienist calls the dentist to make them fine to proceed.

Remove plaque and tartar: The hygienist now uses a scalar to remove the tartar and plaque around the gum line and in between the teeth.

Cleaning with toothpaste: After all the tartar is wiped out, the hygienist will clean the teeth with an electric toothbrush. It is for the deep cleaning of teeth.

Flossing and rinsing: To remove the leftover food and debris, you will be given an expert flossing session followed by the liquid Fluoride rinse.

Fluoride treatment: The final step of the session is Fluoride treatment. The procedure is provided to maintain dental hygiene for at least 2-3 months.

What is dental polishing?

Dental polishing is sometimes used interchangeably with a dental cleaning, but there is a slight difference in the process. Dental polishing is a broader aspect where the teeth are not only checked for the tartar and plaque but also polished to give the tooth enamel a smooth and glossy look.

The steps for dental polishing are as follows:

Inspection of teeth for decay.

The scrapping of plaque and tartar.

Removing stains with buff and polish.

Flossing

Fluoride treatment.

Difference between the two processes

Dental cleaning and polishing both are an essential part of dental hygienic processes. All the steps performed in the two methods from the inspection to the Fluoride treatment are far more effective than the regular brushing and flossing you do at home.

Now, dental cleaning is somewhat painful performed with ultrasonic devices, whereas polishing is comparatively less painful and feels smooth on the teeth. Some patients even enjoy the process of polishing, which is done with a rubber cup.

Thus, both the processes are related and complementary to each other. Not only this, but dental cleaning can also be called as a subset of the polishing procedure. Now, no matter what you go for, have proper research on that and prepare yourself for the process to avoid any anxiety.

(09/04/2021)
by SmilePoint Dental

More Information: https://www.smilepointdental.com/difference-between-dental-cleaning-and-dental-polishing/


Views: 794
Share
Share

Can Dental Implants be Done with Periodontal Disease?

Is it Possible to get Implants with Gum Disease?

Yes. periodontal disease is loss of tooth supporting gum and bone tissue. It is an autoimmune disease of unknown or misunderstood origin. It is genetic and in most cases, when severe, it cannot be prevented or stopped. At least not until all your teeth are removed or they get loose and fall out. Gum disease is a disease of the connection between teeth and the jaw bone. This connection is called the periodontal ligament or “PDL.” Once the teeth are removed, the disease will go away since there is no longer a PDL. If the teeth are not removed, bone will continue to be lost. It can become difficult if not impossible to get dental implants once periodontal disease progresses and precious bone is lost.

Some conservative holistic dental treatments exist such as dental ozone and PRF dentistry. In cases of mild to moderate gum disease, helpful treatments include:

deep cleanings

removing amalgams with toxic mercury among other irritation metals. Copper, silver, tin are all corrosive metals in amalgam silver fillings.

Treating clenching and grinding problems. Heavy pressure on the gums leaves them chronically inflamed and causes recession. While teeth clenching will not cause gum disease, it will accelerate and fuel it.

If you clench your teeth and you have amalgam fillings, that is double trouble.

Replacing Teeth with Implants may be best if you have Severe Gum Disease

If you have severe gum disease, you will lose most of your jaw bone while your teeth get loose and fall out. There are treatments for periodontal disease, but many people will still lose their teeth after spending thousands of dollars on gum surgery that is not guaranteed to cure gum disease. You should consider removing your natural teeth and replacing them with implants before this happens. Act now while you still have enough bone for implants. This may seem like an aggressive action, but once the teeth are out, the disease process stops. The sooner you get the teeth out, the less bone the disease will destroy. Placing implants will preserve the remaining bone. And the dental implants will serve as a great teeth replacement option. Most people with severe periodontal disease will need to explore the options to replace all teeth with implants.

Periodontal disease usually will either severely damage all the teeth or just some of the teeth. The damage is done by way of severe bone loss to the point teeth get loose and fall out. The disease in the case of localized gum disease, is usually limited to the very front teeth and the first and second molars.

With Severe Gum Disease Removing Teeth and Replacing with Implants Prevents Further Bone Loss

In these cases of severe gum and periodontal disease, it is usually best to remove the teeth and replace them with permanent implant teeth. For the case of full mouth gum disease, it is best to remove all the natural teeth and replace them with full mouth implants before loss of valuable bone occurs. Full mouth implant options are generally two kinds:

full mouth dental implants such as All on 4 implants. Or it is possible to replace all the teeth with individual implants and small implant bridges.

Snap-on dentures

Your teeth play a vital role in your general well being. Our usual goal is to save your natural teeth at all costs. However, gum disease and periodontal disease weakens your teeth if proper cleaning and tooth brushing is not maintained. Teeth are held in position with the help of special natural fibers or ligaments. These periodontal ligaments surround your teeth from all sides and help in chewing and biting food. When gum disease starts, it can be stopped with the help of simple treatments. But if gum disease progresses and involves ligaments and lots of bone support around teeth, it is wiser to remove diseased teeth and place dental implants.

What is the importance of socket bone in the future success of dental implants?

Healthy socket bone is of prime importance for getting successful dental implants as replacements for natural teeth. It is the socket bone which will cover the dental implant and hold it for life. It is the socket bone which will make a biological connection and grows inside the spaces around dental implants. No periodontal ligaments are present around dental implants. Socket bone preservation will ensure future success of dental implants and restoration of your smiles, eating, chewing, biting and all functions of teeth. If you lose this important bone, you may never be able to get implants.

Should I Immediately remove my Teeth if I have periodontal disease?

If your dental health care provider examines your teeth and tells you that periodontal disease has progressed to the extent that its outcome is hopeless, then you should definitely opt for removal of such teeth. This is very important as diseased periodontal ligaments will start to damage the bone tissues around the diseased teeth and it will become difficult to get successful dental implants in future.

How should I get my diseased teeth removed for successful dental implants in future?

You should choose an expert dental implant surgeon with experience of dealing such cases. It is very important to save socket bone during removal of these hopeless teeth. Your implant surgeon should be careful and should have the knowledge to deal this situation. Teeth clenching can contribute to gum disease. How to stop jaw clenching?

How long should I wait for placement of dental implants after removal of periodontally compromised teeth?

It is best to go for immediate placement of dental implants (if at all possible) after removal of diseased teeth. No time should be wasted for preserving maximum quantity of socket bone for success of dental implants. However, if your implant surgeon feels that it is necessary to give some time for healing of disease, you must follow his instructions. Are implants possible after periodontal disease? Can someone with gum disease get implants? It all depends on if there is adequate healthy bone remaining.

Periodontal Health and Diet:

Diet is important in controlling periodontal disease because bacteria in your mouth use sugars for energy and reproduction. When oral hygiene is poor and the diet is high in sugar, there will be lots of growth of disease progressing bacteria. Stress is also a major factor. Stress + Sugar = lower acidity in the mouth and an increase in Gum Disease.

The human body needs vitamins and minerals to help regulate our metabolism. A diet high in fiber and fruits and vegetables will help reverse periodontal disease naturally. Essential Fatty Acids and Proteins provide the energy to help build vital cells. To reverse gum disease naturally, we to discipline ourselves to maintain healthier eating habits (stay away from processed foods) and keep stress to a minimum.

(09/03/2021)
by Dr Adams

More Information: https://marylandholisticdentist.com/dental-implants-after-periodontal-disease/


Views: 717
Share
Share

What If You Go to Bed Without Brushing Your Teeth

Practicing good oral hygiene basics is the best line of defense against cavities, abscesses and other problems that can plague a person’s mouth. A visit to the dentist can show someone where changes need to be made and help direct improvements in cleaning habits. The following information can more fully explain what needs to happen and why it is so important.

Why are good oral hygiene routines so important?

Allowing debris, acids and other dirt to stay on teeth, especially overnight, allows those bacteria-causing compounds to form tartar and plaque. These things can cause bad breath, minor or more serious cavities and even abscesses. Canker sores can form and receding gums — gingivitis — can be caused by neglecting a regular routine. In addition to the problems it can cause for your mouth, oral bacteria can contribute to heart disease, diabetes, dementia and a host of other general health issues.

What basics need to be done regularly?

When a regular routine of good oral hygiene basics is observed, it can become second nature and need not take a long time. As they say, “You only need to take care of the teeth you intend to keep.” That light-hearted saying holds a lot of truth. The following things should be done daily:

Brush teeth in a circular motion, front and back, with a soft bristle brush

Choose a good fluoride toothpaste to help clean and nourish tooth enamel

The tongue should also be very gently brushed in order to remove bacteria that can cause odor

Floss well between every tooth with a waxed floss to remove food particles and plaque

Mouthwash may seem optional, but it can neutralize the acids in the mouth and rinse away any remaining particles

Are there additional ways to prevent damage and cavities?

In addition to conscientiously observing good oral habits, there are other steps that can be taken. People should avoid crunching on hard candies and suckers, things like peanut brittle or toffee and even ice cubes, as these things can crack or break otherwise healthy teeth. Sticky and chewy foods like stiff caramel can loosen fillings, allowing bacteria inside the tooth. Acidic foods and sodas should be followed with a rinsing of the mouth. Care should also be taken to avoid biting non-food items such as paper clips or pencils.

Is visiting a dentist important even if teeth are kept clean?

In the absence of obvious dental problems, it is still a good idea to visit a dentist twice a year for routine checkups. A full panel X-ray can provide clear images of things going on in the roots of the teeth. Since it is possible to have a tooth go bad for reasons other than hygiene and maintenance, such as genetics and heredity, it becomes very important to check. Regular cleaning by a dental technician can help prevent issues, especially just below the gum line, and whitening can help teeth look more attractive.

(09/04/2021)
by Artisan Dental

More Information: https://artisandentalbellevue.com/blog/oral-hygiene-basics-brushing-your-teeth/


Views: 693
Share
Share

Dental Probiotics for Bad Breath: A Solution With Impressive Potential

You brush. You floss. You rinse. You chew. Still, you can never banish bad breath for good. If you suffer from chronic bad breath, also known as halitosis, probiotics might offer exciting possibilities. Ongoing research indicates using good bacteria might provide a long-term solution to the mouth's foul-smelling odors. Find out how taking probiotics for bad breath could change your oral outlook.

What Exactly Are Probiotics?

Probiotics are live bacteria and yeasts that benefit your health. Many use probiotics — which are found in fermented foods like yogurt and sauerkraut and supplements — to aid digestive health. Probiotics encourage the good bacteria in your gut to grow, leaving less room for the bad. Similarly, both good and bad bacteria reside in your mouth. Researchers continue to explore how probiotics can impact your oral health, including bad breath.

What Types of Bacteria Cause Bad Breath?

Bacteria found on the tongue and below the gums produce the foul-smelling gas behind most cases of bad breath. These bacteria emit volatile sulfur compounds (VSC) — such as hydrogen sulfide and methyl mercaptan — that smell like rotten eggs and dying cabbage. While brushing, flossing, swishing mouth rinse, and chewing gum can remove gas-producing bacteria to freshen breath, these methods only work temporarily since the bacteria quickly repopulate.

How Can Probiotics Help Prevent Bad Breath?

A literature review thesis from the University of Connecticut shows the best way to get rid of offensive breath is to focus on colonizing the mouth with good bacteria instead of waging war against the bad. The review cites a study, which found that the Streptococcus salivarius strain K12 effectively reduces the bacterial growth associated with halitosis. Researchers gave test subjects K12 probiotic lozenges, and after one week, 85 percent of participants showed a significant reduction in VSC. Even more good news, these bacteria strains also helped reduce gingivitis, pharyngitis, oral candidiasis, and dental decay.

How Can You Find Immediate Relief?

To get relief from bad breath right this minute, stick with your toothbrush, mouthwash, or sugar-free gum. However, dental probiotic supplements might help you fight off rotten breath over time. These supplements are available in lozenges, chewable tablets or probiotic drinks, and even some kinds of toothpaste contain oral probiotics.

If bad breath continues to be an issue, make sure to see your dental professional to rule out any underlying causes, such as periodontal disease, sinus issues, or gastrointestinal disease. Otherwise, with the combination of dental probiotics and a good oral hygiene routine, halitosis should never hold you back.

(09/06/2021)
by Colgate

More Information: https://www.colgate.com/en-us/oral-health/bad-breath/probiotics-for-bad-breath-a-solution-with-impressive-potential


Views: 695
Share
Share

Why Do Your Teeth Become Crooked?

Here at Withers Dental, we treat a lot of common dental issues on a daily basis, from plaque to decay fillings to gum disease and everything in between. One such ‘in between’ is people coming to us with questions and worries about the fact that their teeth are crooked and not properly aligned.

Whilst this isn’t usually a health related problem, it can be something that negatively affects a patient’s self-confidence, and that can often be as serious as a physical issue that needs addressing. If you are in this category, then here is some information from an orthodontist about why your teeth become crooked, and how they can be fixed.

As a child grows and their jaw becomes larger, it is sometimes the case that their tongue and muscles start to rest in unusual positions. This can start to cause misalignment in the teeth as they grow in relation to their surroundings, not necessarily having enough room for them to be in the right places. Misalignment can cause things like over and under bites and temporomandibular joint (TMJ) syndrome.

If a child is what is known as a ‘mouth breather’, having their mouth open all the time and not being able to rest their tongue in the correct position can sometimes lead to restricted forward growth of teeth.

Thumb sucking can be a big factor in children growing up with crooked and misaligned teeth. The pressure of the thumb being regularly placed in the mouth and pushing on the teeth and cause them to grow in the wrong direction.

Sometimes, the abnormal growth and direction of teeth can be completely genetic. But what is important to know is that there are several different avenues of treatment, no matter what your personal cause is. From corrective surgery to traditional braces to more expensive alternatives like invisible aligners, what modern dentistry can guarantee is that there will always be a suitable solution for your own crooked teeth issues.

If you think that you might need to visit a Dentist to enquire about your own teeth, then please don’t hesitate to get in touch with a dental expert.

(09/09/2021)
by Whiters Dental

More Information: https://www.withersdental.com.au/dental/why-do-your-teeth-become-crooked-and-how-to-fix-them/


Views: 751
Share
Share

Three Surprising Oral Health Issues, That Count As Dental Emergencies!

When people hear the phrase “dental emergency”, they often think of a traumatic oral injury, like a tooth cracking during a slip or a fall, or the loss of a tooth during a car accident or while playing a contact sport. While these situations do count as dental emergencies, there are many other oral health issues that also fall under this category.

Here are 3 common oral health issues that count as a dental emergencies:

TOOTHACHES

Toothaches usually develop due to an infection that has caused serious decay and destroyed the exterior enamel and dentin of the tooth. If a toothache is not treated with root canal therapy, the infection will progress and cause serious pain and discomfort, eventually leading to tooth loss.  

If you have a toothache that lasts for more than a day or two, it’s an emergency. It’s very important to get in touch with an experienced dentist, such as Dr. Sosis, to ensure that it’s taken care of before you lose your tooth. This is the best way to relieve pain and get your life back to normal.

DAMAGED OR PULLED-OUT DENTAL WORK (FILLINGS, CROWNS, ETC.)

This is the most common kind of dental emergency. Fillings and crowns typically don’t last forever, and if you tend to eat gummy candies and sticky foods, they can become attached to the food, and pulled out of your tooth when you chew.

Fillings, crowns, and other dental work can also be damaged by impact injuries, and they can even fall out from normal wear and tear. If your filling, crown, or any other piece of dental work falls out, this is a dental emergency. The vulnerable tooth structure that the prosthetic was protecting will be exposed, which could cause infection or damage.

Come see Dr. Sosis right away to get your filling, crown, or other prosthetic reattached.

ADVANCED CASES OF GUM DISEASE

Gum disease often goes unnoticed until it becomes quite severe. Any case of gum disease that progresses past gingivitis (the least serious stage of the disease) is a dental emergency.

Symptoms like bad breath, loosening or shifting of the teeth, pus in the mouth, serious oral bleeding when brushing the gums, and other such symptoms are signs that you need immediate periodontal care.

Without the right periodontal care, you could lose one, several, or all of your teeth. If you suspect you may have gum disease, contact us before it’s too late.

GET THE HELP YOU NEED – UNDERSTAND EMERGENCY DENTAL ISSUES!

Emergency dentistry includes much more than just standard dental injuries. Any dental issue that’s causing you pain and discomfort should be addressed right away.

(09/09/2021)
by Golden Gate Dental

More Information: https://goldengatedental.com/3-surprising-oral-health-issues-that-count-as-dental-emergencies/


Views: 744
Share
Share

Can Gum Disease Make COVID-19 More Deadly?

One of the more concerning issues around COVID-19 is its wide range of outcomes in people who get the disease. Some recover fairly quickly while others, with what is being referred to as “long Covid” can experience months of post-infection symptoms.

New research by McGill University in Montreal, Canada, has found a strong link between periodontitis, a common form of gum disease, and severe COVID-19 outcomes.

The study has found a link between gums with inflammation and infection and COVID-19 complications and deaths. Periodontitis produces an inflammatory response that may spread through the body and the study has indicated that people with periodontitis were 8.8 times more likely to die of COVID-19.

What Is Periodontitis?

According to the European Federation of Periodontology, Periodontitis is a chronic inflammatory disease that is triggered by bacterial microorganisms and involves a severe chronic inflammation that causes the destruction of the tooth-supporting apparatus and can lead to tooth loss. It can also lead to other health problems.

Periodontitis always begins with inflammation of the gums, known as gingivitis. This inflammation – usually involving reddened or swollen gums and bleeding when brushing teeth or biting on food – is the body’s response to bacteria that have been allowed to accumulate on the teeth. 

This inflammation can then spread to below the gums and along the roots of the teeth. This can cause permanent damage to the tissues (or “periodontal ligament”) around the teeth and to the supporting bone. Teeth start to loosen and can eventually be lost.

This can then lead to problems with chewing food and with speaking, as well as causing aesthetic damage to your smile.

Around 40 percent of people suffer from periodontitis. Among adults, it is estimated that around 70% of tooth loss is caused by periodontitis. 

(09/03/2021)
by North West Career Collegue

More Information: https://www.northwestcareercollege.edu/blog/can-gum-disease-make-covid-19-more-deadly/


Views: 891
Share
Share

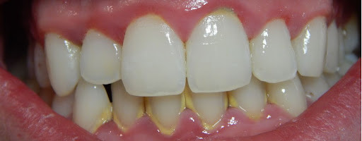
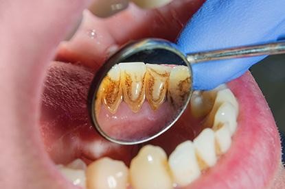
Teeth Yellow Along The Gum Line? That’s Tartar Buildup!

Tooth discoloration along the gum line can indicate several dental issues. One of the more common reasons for a yellow coating developing along the gum line is tartar buildup. Failing to maintain regular teeth cleanings can allow for tartar to form, especially in hard-to-reach places. 

Read on to learn more about tartar buildup and how it can have a severe impact on your overall health if left untreated. 

What Is Dental Tartar?

Tartar, or calculus, is plaque that has hardened onto the teeth. Tartar is mostly made of mineralized dead bacteria and a small amount of mineralized proteins from saliva. Chemically speaking, tartar is made of calcium phosphate, calcium carbonate, and magnesium phosphate. It can form at or just below the gum line and can exasperate gum issues. 

You cannot remove tartar at home. Once tartar has formed, it must be removed with special tools by a dental professional. 

How Dental Plaque Leads to Tartar Buildup 

Bacteria is always present in the mouth, even with an excellent oral hygiene routine. As bacteria mixes with proteins and food byproducts, a sticky film forms called plaque. Plaque covers the teeth, can get under the gum line, and sticks to fillings and other dental work. It also carries harmful bacteria that can damage tooth enamel and lead to cavities and decay. By removing plaque regularly, you can prevent tooth decay and gum disease. Left untreated, plaque hardens and turns into tartar buildup. 

How Tartar Affects Teeth and Gums 

Tartar buildup can make it difficult to brush and floss your teeth thoroughly, which often results in cavities and tooth decay. Any tartar that forms above the gum line has the potential to damage tooth enamel. Tartar that forms below the gum line can irritate and damage your gum tissue. Over time, this can lead to progressive gum disease. 

The mildest form of gum disease, called gingivitis, can be reversed by brushing, flossing, and using an antiseptic mouthwash, in addition to routine cleanings by a dentist. Gum disease can progress to the point of periodontitis, where infected pockets forming between the gums and teeth. At the point of periodontitis, damage to the bones and tissues that hold your teeth in place can lead to tooth loss. Some studies also suggest a direct link between the bacteria found in gum disease and heart disease. 

Signs You Have Tartar Buildup

Luckily, tartar is a mineral buildup that is relatively easy to see above the gum line. Tartar buildup feels like a rough substance and not smooth like tooth enamel. Tartar also irritates the gums, causing inflammation, bleeding, and eventually gum disease. When tartar appears below the gum line, it can cause swollen and bleeding gums. 

Only a dental professional can successfully remove tartar buildup on teeth through a process called scaling. Scaling should never be attempted at home to avoid damaging the tooth enamel. 

Preventing Tartar and Plaque 

The most effective way of preventing tartar from forming on your teeth is not to let plaque linger for too long. This can be done by:

Brushing regularly. Brush your teeth regularly, twice a day for two minutes. 

Using a fluoride toothpaste. Fluoride helps to repair damage to tooth enamel. If you’re susceptible to tartar buildup, also look for a toothpaste made for tartar control. 

Flossing. Dental floss is the only way to remove plaque between the teeth and keep tartar out of these hard-to-reach places. 

Using a mouth rinse. Using an antiseptic mouthwash daily will help kill the bacteria that cause plaque. 

Watch what you eat. The bacteria in the mouth thrive on sugary and starchy foods. Eating a healthy diet will help to limit the number of bacteria in the mouth. 

Avoid smoking. Those who smoke cigarettes or use other tobacco products are more likely to struggle with tartar buildup.  

Only a Dental Professional Can Remove It 

Remember, once tartar has formed, only a dental professional will be able to remove it from your teeth. The best way to have tartar buildup removed is to visit your dentist every six months for routine cleanings and exams, especially if you struggle with tartar buildup.

(09/07/2021)
by Tompkins Dental

More Information: https://www.tompkinsdental.com/blog/teeth-yellow-along-the-gum-line-thats-tartar-buildup


Views: 707
Share