Dentists Journal

Top Ten Stories of the Week
9/25/2021

All Dentists Journal · Previous Week · This Week · All Time List · Headlines

Share

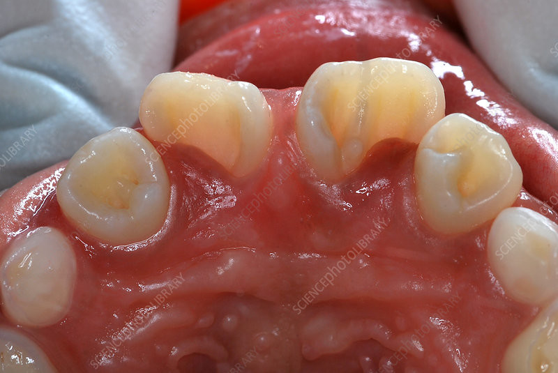
Tips To Avoid Teeth Cavities And Save Them From Decay

Brushing teeth is an age-old concept that is core to our everyday hygiene. It’s a routine that we have followed since childhood and still maintain. It can help prevent various oral problems like cavities, decay, gum disease and more. 

TOOTH CAVITY

It simply means holes in the outer part of the teeth known as dentin. An average person’s mouth is filled with bacteria and germs that attach themselves to the surface of the teeth. It reacts with saliva mixed with protein and forms a whitish layer called plaque. If it is not removed in time then the acid might lead to tooth decay, cavities and other oral issues. It can dissolve the enamel of the tooth exposing the dentin to bacteria and germs present in the mouth. This might lead to pain and decay of tooth. 

TIPS TO AVOID TOOTH CAVITIES

Brushing and flossing of regularly in the morning and before going to bed can help in removing germs and bacteria from the mouth.

Using a fluoride based toothpaste can help in protecting teeth from bacteria and germs attack.

Use a floss to remove any food particles stuck between your teeth.

Rinse your mouth with a good mouthwash to kill bacteria that leads to plaque formation.

Eat or drink dairy based products like milk, cheese, yogurt and more as they are rich in calcium.

Avoid eating sugary and carbohydrates based food items and clean your mouth after consumption of sticky products.

Eat a balanced diet and avoid the temptation of snacking in between your meals.   

Drink at least 4 to 6 liters of water. It can wash off any bacteria from the mouth and diminish the dry mouth situation.

Visit a dental care clinic regularly for dental exam and teeth cleaning. Ask him or her to prescribe fluoride supplement that can strengthen your teeth.  

 HOW TO DEAL WITH CAVITIES

Using a fluoride based toothpaste can help in the initial stage when a cavity is formed. You can even ask your dentist to prescribe you adequate fluoride supplements in your daily diet.

If the size of the cavity has increased, exposing the dentin then tooth filling is required. It will help in keeping the bacteria from reaching the inner surface of the teeth causing pain and decay.

If the cavity has spread to the pulp then root canal can help in curbing the spread of cavities to the healthy teeth.

If the damage is severe and the above-mentioned procedures cannot help, then the only solution is to remove the tooth. It is done to save the patient from pain and agony of a decayed tooth and replaced with the help of dental implants.

(09/20/2021)
by Dulwich Dental Office

More Information: https://www.dulwichdentaloffice.com/tips-to-avoid-teeth-cavities


Views: 814
Share
Share

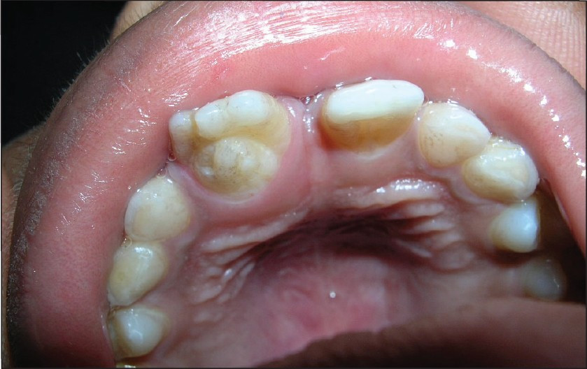
Dental anomalies, what is referred? And what should be?

Patients with complex dental anomalies can be challenging to treat. Often, with their unique dental needs, comes extensive treatment planning and multidisciplinary care. Hence, general dental practitioners (GDPs) need to have the knowledge and skill base to accurately identify and refer such patients. However, what dental anomalies are commonly referred? And how should they be managed?

To explore these questions, Owaise Sharif and co-authors carried out a service evaluation of the joint dento-alveolar (JDA) clinic at the Croydon University Hospital. A prospective patient note analysis was carried out of 100 new patients attending between November 2014 and September 2015. Fifty-four percent of the patients were female, with the mean age 17 years. The most common anomalies referred were:

Impacted canines (49%)

Supernumeraries (16%)

Impacted second premolars (10%).

Others included low lying frenulum, caries, cysts, tongue tie etc. It was found that orthodontic specialists provided 79% of the referrals followed by GDPs at 20% and the district hospital at 1%. Out of these 100 patients, 92 of them were internally referred from the JDA clinic to the orthodontic department, leaving only eight patients being referred to the oral surgery department.

In addition to the service analysis described in part 1 of the BDJ series, in part 2 the authors provide an overview of common dental anomalies. Their definition, classification, aetiology and prevalence have been outlined along with their diagnosis and management. The aim of this is to increase awareness amongst practitioner's and help them formulate appropriate treatment plans. Part 1 of the series covers soft tissue anomalies, dentigerous cysts, transpositions and supernumerary teeth. Whereas part 2 focuses on impacted teeth, delayed and failed eruption, ankylosed incisors and infra-occluded deciduous molars.

 It is crucial they refer patients to the appropriate specialist service at the right time, be it for an opinion or for treatment. In the same breath, the role of orthodontic-oral surgery department is equally as important when it comes to providing care to such patients.

Dental anomalies are often asymptomatic and may develop from an early age, the GDP therefore has a crucial role in early identification and management. In addition, dental anomalies often require onward referral to a specialist for management and so knowledge of potential management strategies will aid the GDP in counselling patients.

Why was it important to run this service evaluation?

The number of referrals to this service has been increasing in recent years and previous audits have resulted in additional clinical sessions being allocated to allow the service to run more efficiently. This service evaluation provided an overview of the presenting anomalies and highlighted the continued appropriateness of referrals to the service.

Does the system need improvement to better diagnose and treat anomalies?

The average age of patients presenting to the clinic with impacted canines was 17 years, this is a late presentation age. Impacted canines are a common dental anomaly and although there are a number of reasons for late referral, this service evaluation has highlighted an area where knowledge improvement may be beneficial. The age of presentation for unerupted central incisors was also late. We hope that the information presented in this two part series is useful for the whole dental team.

(09/18/2021)
by Nature

More Information: https://www.nature.com/articles/sj.bdj.2018.896


Views: 790
Share
Share

Three Reasons You Should See A Dentist If You Have Gum Problems

Whilst your teeth are the most visible part of your body, keeping your gums safe is just as vital. Unhealthy gums in the rest of your body can lead to poor oral health, missing teeth and even health issues.

If you find problems with your gums, such as irritation, swelling, redness or irregular pockets around where the teeth enter the gumline, it is possibly time for our dentist Dr. Cueva to check into gum disease care in Allen and Frisco, TX

Catch Problems Early

Gum disease starts as gingivitis, but can progress rapidly into periodontists, which is the most severe condition. Most people don’t even know they have gum disease until it’s in the more advanced stages. To fend off any serious mouth issues, it’s a good idea to still see a periodontist to make sure the gums are in great condition and no noticeable issues are present.

Periodontal Disease Can Affect Other Health Conditions

Although experts are not entirely sure on how gum disease is associated with other diseases, it is widely accepted that it affects the rest of the body. Periodontal disease can worsen conditions such as heart disease, obesity, diabetes, and even cancer.

If left unchecked, gum disease can get out of control quickly and bacteria enters the bloodstream and has access to the rest of the body. Seeing a periodontist regularly ensures that this doesn’t happen. 

Treating Your Condition

Brushing, flossing and having routine cleanings from a professional are all vital ways of keeping your mouth clean but if the disease has gone too far, surgery might be required. A dentist will describe the best steps you will take to cure your condition and help you determine which treatment suits your life and health best.

(09/20/2021)
by Texas Implant and Periodontic Center

More Information: https://www.texasipc.com/3-reasons-you-should-see-a-dentist-if-you-have-gum-problems/


Views: 768
Share
Share

What Is Dens In Dente?

Dens invaginatus, or dens in dente (which translates to “tooth within a tooth”), is a dental anomaly. This condition occurs when the tooth’s enamel (the outer, visible layer of the tooth) folds into the dentin (the hard tissue beneath the enamel) during tooth development. This creates what looks like a small tooth within an existing tooth. Here, we’ll look at the symptoms and causes and what you can do if you have this condition.

Prevalence and Causes

According to the Journal of Oral Research and Review, dens in dente is rare, affecting between 0.3 percent and 10 percent of people. The maxillary lateral incisors (the pair of teeth on either side of the two front teeth) are most commonly affected by dens in dente, followed by the maxillary central incisors (the two front teeth). Researchers still aren't sure what causes this anomaly. Many theories have been proposed, including infection, pressure on the enamel, and trauma during tooth development. While you can’t prevent this condition from forming, you can consult your dental professional for a diagnosis and treatment.

Diagnosis

Teeth affected by dens in dente may be malformed, wider, or peg-shaped. You may see what looks like a small tooth branching off a bigger tooth, though it may be difficult for a dentist to arrive at a definite conclusion during a regular oral exam. In fact, most teeth with this condition don’t show any signs of malformation on the outside. That’s why X-rays are most commonly used for a diagnosis, as the affected tooth may be asymptomatic. According to another report in the Journal of Conservative Dentistry, dental professionals may also use cone beam computerized tomography.

Potential Complications

While cases of dens in dente may or may not have symptoms, teeth with this condition are more susceptible to infection and decay. That’s because the space between the original tooth and the growth is especially vulnerable to cavities, and cavities can easily spread and expose the tooth's pulp to bacteria. If the pulp becomes infected, saving the tooth may require a root canal. Teeth with dens in dente can also develop pulpitis or apical periodontitis if left untreated. Other complications include tooth displacement, abscess formation, internal resorption, and cyst development. That’s why it’s critical to reach out to your dental professional for an examination if you think you might have this condition.

Treatment Options

While having an abnormally shaped tooth might seem frightening, don’t worry—dens in dente treatment is available and depends on the severity of the case. In minor cases, sealing the crevice with composite resin or sealant may be all that's required. The sealant acts as a barrier to keep plaque from settling into the crevice and prevents cavities from developing.

In more serious cases where the pulp has been affected, a dentist may recommend root canal treatment. During this treatment, a dentist removes the damaged pulp from inside the tooth. The inner chambers of the tooth are then cleaned, dried, and filled with a rubber-like material. During this procedure, a dental professional may also seal the crevice in the tooth. If the shape of the affected tooth is irregular, the dentist may recommend a restoration such as a crown, a cap that sits on top of a damaged or misshapen tooth. In most severe cases, your dental professional might recommend extraction or complete removal of the tooth.

Dental anomalies, such as dens in dente, can be concerning, but they’re rare and treatable. If you're worried about an oddly shaped tooth, make an appointment with your dental professional. Also, be sure to schedule a cleaning every six months. Regular dental visits can help you monitor your oral health concerns, and your team can take action before a larger issue develops, so you can ensure your smile is as healthy as possible.

(09/17/2021)
by Colgate

More Information: https://www.colgate.com/en-us/oral-health/adult-oral-care/what-is-dens-in-dente


Views: 1,110
Share
Share

Why Do You Have Itchy Gums?

Do you feel a strange sensation around the gums and teeth in your mouth? Initially, you felt a tingling and tickle, but after some time it’s become a bit more uncomfortable. You had love to put a toothbrush in the mouth and give your gums and teeth a good scratch.

Itchy gums may feel irritable and unpleasant, but then again, the primary cause is often quite clear. Once you figure out what cause you itch in your gums then treating and preventing the issue of itch in the future should not be too difficult. Take a quick look at the following causes of itch in the gums:

Gum Issues

In a few cases, itchy gums are led by gum issues. Majority of the people associate gum issues with irritated and swollen gums, but the issue can also cause itching. 

Fortunately, gum issues can be treated. The dentist is the only person who will provide you with effective treatment to minimize the inflammation, redness by deep-cleaning your teeth and gums. The dentist will also give you further tips in order to take good care of your teeth and gums at home.

Plaque Build-Up

The mouth contains much germs or bacteria. Those germs associated with sugars or other food particles in the mouth to form a sticky film-substance known as plaque that covers your gums and teeth. Brushing the teeth on a daily basis assists in removing plaque and keep the mouth healthy. However, if the plaque isn’t removing, for instance, when a person’s skip a day of brushing teeth, it can build up sufficient for them to feel it. Sometimes, it might feel like a fuzzy coating on the teeth. On the other hand, in some cases it may feel a slight itch, as plaque is irritating the gums.

After Any Dental Surgery

Once a while, itchy gums occur after any form of oral surgery, when the incisions are healing. For instance, if a person has extracted its wisdom tooth, itchiness in the gums may occur in the process of healing. Washing the mouth with salt water may assist in soothing the itch. Whatever you want to do in order to soothe your itchy gums but avoid scratching the gums after oral surgery. Scratching can obstruct the process of healing after surgery.

Allergies

Allergies not only lead to itch in your eyes and nose, but they can also lead itch in your gums. If you ingest something that you are allergic and use a product near or in your mouth that leads to an allergic reaction, it can result in irritation, itching, as well as inflammation of the gums. Itchiness in your can often be relieved by flossing and brushing your teeth regularly, which can assist in preventing gum issues. Visit your dentist who can recommend you rinse with a mouthwash that can provide to relief from itching.

(09/19/2021)
by Brook Haven Dental Group

More Information: https://www.brookhavendentalgroup.com/why-do-you-have-itchy-gums/


Views: 799
Share
Share

Five Early Signs Of dental Issues

Of all the parts of the human body, your mouth is the best communicator – and that goes far beyond just speaking! When something is amiss in the mouth, be it with teeth, gums, or throat, oftentimes it will make that very known to you.

Whereas there can be a lot of mystery in other parts of the body, there are a lot of good oral signs and indicators when it comes to dental issues. While your body may speak to you in interesting ways and foreign tongues, it is crucial to always be listening.

The sooner you notice that something is amiss, the quicker you can get it looked at by a dentist and have it fixed. By neglecting early signs of dental issues you may be setting yourself up for bigger problems, increased pain, and more expensive dentist bills down the line.

Below are five common early signs of dental issues that you should look out for.

TOOTHACHE

General pain in your mouth or jaw often stems from a toothache, but the cause of that toothache could be a variety of different things. The most simple of all toothache causes is a simple cavity which can be fixed rather easily without any major intervention. Beyond a cavity, toothaches can also be an indication of gum disease, an abscess, or an impacted tooth. These three are much more serious than a cavity and would require a more serious procedure. Regardless, every toothache should be examined by a dentist to determine the cause and have it fixed as soon as possible.

SENSITIVE TEETH

Sensitive teeth are typically most painful when exposed to hot or cold temperatures. Similar to toothaches, many dental issues can cause sensitive teeth. Tooth decay, fractured teeth, exposed roots and gum disease, and old fillings can all contribute to sensitive teeth, and each issue will require a different form of intervention by your dentist. Again, the sooner you can have your teeth examined the better.

BLEEDING GUMS

Perhaps the most common sign of dental issues are bleeding gums. At its most basic, bleeding gums can be a result of aggressive tooth brushing or picking up floss for the first time in awhile. Beyond this, bleeding or sore gums can also indicate gingivitis and or gum disease. If your bleeding gums don’t seem to align with brushing your teeth too hard or starting to floss again, consider visiting your dentist to make sure it isn’t an indication of something more serious.

MOUTH SORES

Mouth sores are another relatively common early sign of oral health issues and vary in type, cause, and impact. There are many things that can cause mouth sores including infection of an oral cut or scrape, irritation from braces, fillings, or other oral devices, or an ancillary disease or disorder. One thing is certain, however. Mouth sores are painful and no fun to deal with. If you have a mouth sore of any kind that has persisted for an exceedingly long time, you need to see your dentist to have it further evaluated.

JAW PAIN, POPPING, OR CLICKING

The most audible, and potentially the most painful, of oral health signs is jaw pain, jaw popping, or jaw clicking. Unfortunately, there are many things that can cause jaw pain – none of which are particularly pleasant. Sinus issues, toothaches, injuries, teeth grinding, gingivitis, and arthritis can all be at the root of jaw pain, but you won’t know for sure until you visit your dentist to have your mouth and jaw fully examined.

While there are a lot of potential dental issues out there, the mouth heals remarkably fast and is also a great communicator. If you listen to the signs that your body is giving you, you can quickly act accordingly.

Of course, with dental issues, most solutions end with a visit to the dentist.

(09/17/2021)
by Third Street Dental

More Information: https://www.thirdstreetdental-drho.com/5-early-signs-of-dental-issues/


Views: 645
Share
Share

When I Need a Deep Dental Cleaning?

Today we are talking about deep dental cleaning because there’s a common misconception that this treatment is necessary when patients need to make sure that their teeth are “good and clean.”

However, deep dental cleanings aren’t precisely what you might be thinking. It is crucial you know about this, especially if you were skipping regular dental cleanings for a while. Because you are at high risk of getting gum disease, which can get worse and worse.

People often believe that dental hygiene can fight bad breath and prevent gum disease. Unfortunately, regularly brushing and flossing isn’t enough to keep your teeth healthy and prevent gum disease.

So, for you to have a better idea about what we are talking about, a deep dental cleaning can prevent you from losing your teeth. You are probably wondering what all this is related to all we already mentioned, but keep reading to learn about this important topic.

What is a Deep Dental Cleaning?

A dental specialist can recommend deep dental cleaning if there are signs of severe gum disease such as:

Bleeding gums

Receding gums

Loose teeth about to fall out

All these signs are caused by plaque and tartar on your teeth. Plaque is a sticky film that forms on your teeth even if you daily brush your teeth. Plaque contains bacteria and develops when food particles mix with your saliva.

The accumulation of tartar or plaque can lead to gum disease, which can worsen if untreated, progressing to periodontitis. This infection can potentially destroy the bone that supports teeth.

Root scaling can remove a buildup of tartar and plaque on your teeth, reducing gum inflammation improving your oral health.

Take into account that even if you brush and floss, it is not enough to prevent this from happening. Leftover plaque can still calcify and harden on your teeth, causing a lot of dental problems.

Is a Deep Cleaning Necessary?

The only person who can answer that is your dentist. When you go to a consultation, dentists explore your mouth and the condition of your teeth.

You must take into account that a dentist will always recommend what he or she thinks is best for you.

Deep teeth cleanings treat periodontal or gum disease; a deep teeth cleaning is often recommended for patients who haven’t had regular dental cleaning appointments for a while, but it may be prescribed for anyone who has gum disease or periodontal issues.

You may think that you don’t have enough time to go to the dentist. But the truth is that if you organize your time, you will find a moment to go.

Most dentists accept dental insurance so you will not have to worry about the price. Deep cleaning costs a little more than a simple cleaning.

But believe me, it is for a reason, also using your insurance or a discount you can get it at a more accessible price.

Don’t be shy and explain to your dentist every aspect of your dental life and budget, in this way a dentist can offer you a better deal.

Well, you must know that you may feel tooth sensitivity after a deep dental cleaning. You may feel soreness as well or bleed for the next couple of days or maybe a week after your deep dental cleaning.

If you need a deep dental cleaning, you need to visit your dentist as soon as possible before getting worse. Tartar can be harmful to your oral health, and periodontal disease can lead to missing teeth!

(09/22/2021)
by Serena Family and Cosmetic Dentistry

More Information: https://serenasandiegodentist.com/how-to-know-when-i-need-a-deep-dental-cleaning/


Views: 841
Share
Share

Signs And Symptoms That Indicate You Need to See a Dentist Right Away

Don't ignore these symptoms of a potential dental emergency.

If you’re having pain, bleeding, swelling, or other unusual symptoms in your mouth, it’s best to seek urgent dental care before the underlying problem becomes worse, says ADA spokesperson Ana Paula Ferraz-Dougherty, DMD, a dentist in San Antonio, Texas. Ideally, though, “prevention is key,” she says. “Instead of waiting until you’re in pain, doing your brushing, your flossing, eating a balanced diet, and getting your regular checkups with your dentist are the things that are going to help prevent dental issues.”(Here’s what to do about your tooth pain before it becomes an issue.)

Even so, dental problems that require an urgent visit to the dentist do happen. Here’s what to look for.

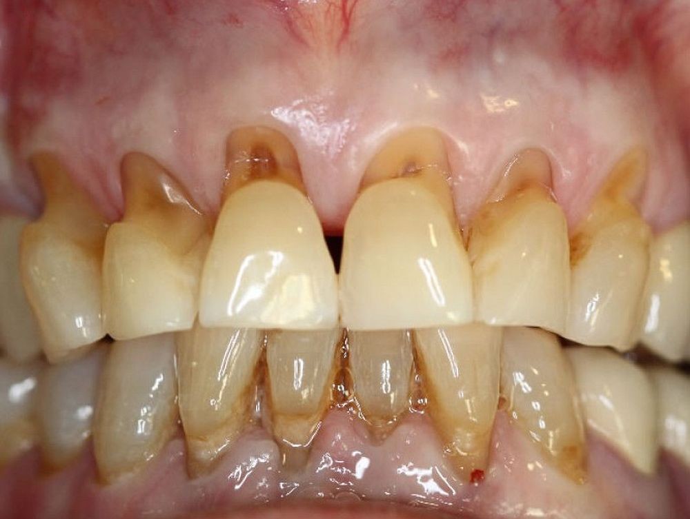
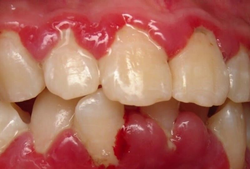
Your gums are red, inflamed, or bleeding

Don’t ignore the early signs of gum disease: Get in to see the dentist as soon as possible. “The most common cause of bleeding gums is gum disease,” Dr. Ferraz-Dougherty says. “If you have any signs of swollen gums or bleeding when you brush or eat, it’s important to see the dentist to get that gum disease treated before it progresses.” At an early stage called gingivitis, gum disease may be able to be treated in the office with a cleaning, whereas more advanced stages may even require surgery, she says.

In addition, other diseases in the body may reveal themselves through gum problems, so it’s important to get them checked out right away. “Underlying systemic disease can manifest initially as bleeding gums; this includes diabetes, leukemia, and [other] cancers,” says John L. Pfail, DDS, chairman of the Department of Dentistry for The Mount Sinai Health System in New York. Because of high glucose in saliva, people with diabetes are also at higher risk of gum disease.

Your teeth feel loose or fall out

Losing teeth is only normal for children—not adults. If you feel like your teeth are shifting, moving around in your mouth, or any actually fall out, see a dentist pronto. Besides a blow to the mouth, what can cause teeth to come loose? “If left untreated, gingivitis can progress to disease which involves the bone surrounding the teeth, which in turn leads to loose teeth, pain, and the eventual loss of teeth,” Dr. Pfail says. “Teeth are secured into the mouth by bone and a thin muscle attachment called a periodontal ligament to the bone. Any damage to these structures surrounding your teeth can cause mobility of the teeth.”

In addition, the National Institutes of Health (NIH) reports that osteoporosis, bone loss that is common in older people, may also cause teeth to become loose through a weakening of the jaw bone. Women with osteoporosis are three times more likely to have tooth loss than those who don’t have it, says the NIH.

You have pus collecting in your mouth

Yes, gross: If you notice any pus in your mouth, call your dentist right away. “Pus collection in a spot in the mouth can be a dental or gum abscess and should be addressed immediately,” says Uchenna Akosa, DDS, director of Rutgers Health University Dental Associates in New Brunswick, New Jersey. “It is a sign of infection and can spread if not treated and cause more serious medical problems.” In the most extreme cases, she says, “bacteria from an abscessed tooth can spread to the brain and can be fatal.” Untreated dental infections can also lead to sepsis. Antibiotics, draining the infection, and a root canal are possible treatment options to help prevent these complications.

Extreme tooth sensitivity

Don’t suffer with this annoying dental symptom: Get help not only to reduce the pain of tooth sensitivity to hot, cold, or spicy foods, but to get to the “root” (pun intended) of the problem as soon as possible. “Causes can include tooth decay, which can involve exposure of the nerve tissue inside the tooth,” Dr. Pfail says. “Teeth that are fractured can also cause extreme tooth sensitivity. Gum recession, which exposes the dentin covering the root surface can cause sensitivity due to changes in the microscopic tubules, or tiny channels, which can transmit pain to the nerve. Extreme tooth grinding, or bruxism, can also lead to internal inflammation of the nerve tissue in the tooth.”

In addition to treating the underlying problem, “we could put you on a sensitive toothpaste, we could do a filling to cover that area, or we could do a gum procedure to recover that area,” Dr. Ferraz-Dougherty says. You should also follow these 8 rules if you have sensitive teeth.

Your tooth feels numb

Along with too much sensation, a lack of sensation in your tooth is also a sign you should have your mouth checked out now. “If your tooth feels numb that could be an indication that your tooth might need a root canal,” Dr. Ferraz-Dougherty says. “If a tooth is cracked or has a big cavity and the nerve dies that can give you a numb feeling.”

In addition, “injury or trauma to a tooth, biting into something hard, teeth grinding, or a dying tooth from chronic tooth decay can all cause a tooth to be numb,” Dr. Akosa says. “They all cause the tooth to lose access to nutrients and blood flow, resulting in numbness.”

Your jaw is swollen, clicks, or won’t open

It’s not just the teeth that can have oral emergencies: Jaw issues should be seen ASAP by the dentist as well. “When it comes to any issues with the jaw or any changes in the way it usually functions, you should be on high alert,” Dr. Pfail says. “If your jaw becomes locked, open or closed, see your dentist immediately because they can reset it.”

Swelling around your jaw area could be a sign of an infected tooth, or a type of growth such as a cyst or even a tumor, “so that’s another major reason to get it checked out,” Dr. Ferraz-Dougherty says. “Difficulty opening or closing, or clicking or popping could be a sign of TMJ disorder, or temporomandibular disorder, caused by many different things, including an uneven bite.” Addressing TMJ issues earlier rather than later can result in easier treatment such as a night guard or braces; more advanced cases may require surgery, she says.

You have a mouth sore that won’t go away

Everyone has a mouth sore once in a while, but if one sticks around, get in to see the dentist right away, as it could be a sign of oral cancer. “If the sore does not disappear within seven to 14 days, see a dentist immediately for an oral exam and cancer screening,” Dr. Akosa says. “A biopsy may be performed to determine the cause of the sore.” In addition, any strange bumps or even color changes in your mouth that last more than a week should also be evaluated immediately, Dr. Ferraz-Dougherty says.

Your tongue has changed texture

Any weirdness with your tongue should be looked at by a dentist ASAP. “Any changes in texture, any lumps, bumps or sores, or any change in sensation of your tongue would be an indication to go see your dentist,” Dr. Ferraz-Dougherty says. “That’s something we take very seriously because the tongue is one of the more common areas for oral cancer, so it’s important to get that checked out.” It’s also possible that a change in texture of the top surface of your tongue could be caused by “hairy tongue,” a fairly harmless condition in which the small bumps on your tongue called papillae build-up; however, you’ll still need to see your dentist for a diagnosis.

(09/23/2021)
by Tina Donvito

More Information: https://www.thehealthy.com/dental/signs-dental-emergency/


Views: 769
Share
Share

Abrasion In Your Mouth Can Cause Serious Issues

One of the most common types of dental conditions that can sometimes require a surgical procedure and that other times might not require a serious dental procedure is a dental abrasion.

What Is a Dental Abrasion?

A dental abrasion refers to the loss of a tooth structure due to outside forces. Basically, a dental abrasion is when the tooth’s enamel begins to wear away. The enamel is the hardest part of the tooth, and it covers the dentin. In fact, the enamel’s hard shell is the toughest part of the human body, but that doesn’t mean that it isn’t subject to abrasion. It can crack and chip. It’s important the individuals attempt to preserve their enamel and keep from developing an abrasion on it because once enamel is gone, it cannot be recovered.

This is because enamel has no living cells, and, therefore, the body cannot regenerate it. The enamel is essential because it helps protect the teeth from daily activities such as chewing, biting, grinding and crunching. It also helps protect the teeth from chemicals and potentially painful temperatures.

Causes of a Dental Abrasion

The most common causes of a dental abrasion are due to brushing the teeth too vigorously, improperly flossing the teeth, chewing tobacco and biting down on hard objects like fingernails, bottle caps, pens and more. Other causes of dental abrasions include frequently using toothpicks and frequently removing and setting any dental appliances inside the mouth. Usually, the teeth that are most often affected by dental abrasions are the canines and premolars. As a result of dental abrasion, the teeth might become more sensitive to hot and cold temperatures as well as sweet or acidic foods and drinks. If the dentin underneath the enamel is exposed, then the pain could be increased since the dentin is where the nerves and blood vessels of the tooth reside.

Signs and Symptoms of a Dental Abrasion

There are a couple of different ways to determine whether or not you have a dental abrasion on one or more of your teeth. The way that many dentists check for dental abrasions is by holding a light up to the teeth. Because enamel is translucent, light can be seen through it. The way that individuals can check for dental abrasion on their own is by examining their teeth and looking for any signs of V-shapes on the teeth that can indicate excessive pressure during brushing. Abrasions are visible on the cervical necks of the teeth, and they look like deep ridges. Instead of having the carious appearance that enamel usually has, it will have a shiny appearance, which indicates that some of the dentin is exposed. In some severe cases of dental abrasion, sometimes the ridge is even deep enough to see the pulp of the tooth itself.

Treatment For A Dental Abrasion.

In minor cases of dental abrasions, dentists will usually simply recommend that patients change their oral habits. This might consist of making sure that they don’t bite down on hard objects and that patients use a soft brush toothbrush rather than a medium or hard one. Dentists will also likely recommend that patients brush their teeth gently and that they brush in vertical motions rather than horizontal ones. Additionally, they might instruct you on the proper way to use dental floss and toothpicks to avoid worsening the abrasion.

Other types of treatment might include prescription fluoride gels, or if the enamel needs restoration, they might treat the tooth with composites or glass ionomers. For particularly severe abrasions where the pulp of the tooth is exposed and the patient is in severe pain, a root canal might be necessary.

(09/18/2021)
by Dentist 24 Hourly

More Information: https://dentist.24hourly.com/dental-abrasion/


Views: 674
Share
Share

Five Sneaky Dental Issues That Might Mean Big Trouble

You know all about the importance of brushing your teeth, as well as your kids' teeth. But the benefits aren't limited to your pearly whites. "Many physicians and dentists consider the mouth to be a window into the general health of the patient," says Scott Froum, D.D.S., a board-certified periodontist based in New York City. Our experts Dr. Froum and Sally Cram, D.D.S., a dentist and spokesperson for the American Dental Association, broke down five tooth-, gum- and tongue-related issues that could mean you've got a much bigger problem on your hands:

1. Consistent bad breath

Aside from scaring away friends and family, your not-so-minty-fresh breath could be an early sign of gum disease, says Dr. Cram. Gum disease is particularly sneaky because it doesn't cause pain in its early stages, so most people who have it may not realize it until lots o' damage has already been done. Luckily, it doesn't involve some torturous procedure to reverse. Just put a little more time and effort into brushing and flossing daily.

2. Red, swollen or bleeding gums

If your gums continue to swell or bleed despite your best brushing and flossing efforts, our experts say there's a possibility you could be dealing with diabetes. So, if your pesky gum problems persist and you're noticing other diabetes symptoms like extreme thirst or hunger, fatigue or blurry vision, go see your doc ASAP.

3. Stubborn tongue pain

Obviously if you down hot soup too fast or bite your tongue it's going to be a little sore, but prolonged pain in the tongue or throat (more than two weeks) is one of the most common early signs of oral cancer, says Dr. Cram. Next steps: Monitor those symptoms and look out for any sores, lumps or lesions that won't disappear. Pass that two week mark and to the doctor you go.

4. Spots or sores out of the blue

If clusters of tiny white spots have started popping up around your lower molars — womp, womp — you might have a viral infection in your near future, Dr. Froum says. Called "Koplik spots," these little sores have developed a reputation as a highly predictive sign of measles. Tack on other symptoms like a fever, cough or runny nose, and you may be a few days away from that itchy measles rash. (Alas, you guessed it, a doctor's visit is required.)

5. Hefty tooth discoloration

As tempted as you might be to blame yellow teeth on your coffee addiction, you might be looking at the wrong culprit: If your teeth have turned a shade of black or brown, it could mean you're dealing with some deep-rooted tooth decay, Dr. Froum says. The solve: You might need to get a cavity filled — or (shudder) undergo a root canal treatment.

(09/23/2021)
by Heather Finn

More Information: https://www.goodhousekeeping.com/health/wellness/a40559/common-dental-problems/


Views: 679
Share