Dentists Journal

Top Ten Stories of the Week
11/20/2021

All Dentists Journal · Previous Week · This Week · All Time List · Headlines

Share

Foods That Can Cause Mouth Ulcers

Mouth ulcers are common and mostly harmless sores that occur inside the mouth. However, anyone who’s had one knows how unpleasant they are.

There are many things that cause these painful sores. Anxiety, stress, biting the inside of your cheek, and smoking are some typical reasons why you develop canker sores. What you eat is a huge contributor as well.

If you experience frequent mouth sores and they are not going away, this may have to do with your diet. It’s important to visit a dentist that knows how to identify the source of your canker sore problem and offer fast treatment. This way, you can get some professional advice that is also personalized to you.

In the meantime, read on to find out what major foods can cause mouth ulcers.

Acidic fruits

Fruits that are acidic, or particularly citrusy, can cause your mouth to break out in ulcers. Pineapples, oranges, lemons, and limes are some examples of fruits with high acidity. Strawberries, in particular, tend to cause mouth irritation.

These fruits cause mouth tissue stress and can aggravate your gums. This is especially true if you already have a sensitive mouth. Any juices made with these fruits will also have the same effect.

Bananas, watermelon, and apples are good fruits to eat – you will avoid abrasion.

Nuts

As nutritious as nuts are, they are surprisingly bad for your teeth. Nuts such as walnuts, peanuts, cashews, and almonds are dangerous territory for your gnashers. It is the amino acid L-Arginine in these nuts that contributes to canker sores.

Salted nuts are especially bad, as the sodium dries your mouth out and cause the lining to become slightly inflamed.

Chocolate

Deal breaker! Chocolate, unfortunately, is a top food that causes mouth ulcers. This is mainly because of an alkaloid in chocolate called the obromide. The mouth is quite sensitive to this ingredient and it can lead to something similar to an allergic reaction. Some people who have this mild allergy will develop canker sores on their tongue and/or inner cheeks.

You don’t have to cut out chocolate completely, but if it causes you pain in your mouth, then consider cutting down on the cocoa.

Spicy Foods

Spicy foods can disrupt the lining inside your mouth, causing an ulcer. A bit like acidic fruits, spicy foods have high acidity and therefore are more likely to distress the skin.

You’ll want to avoid foods like curries, hot sauce, jalapenos, and spicy chips to save yourself from oral pain. Most of these are a double whammy, as they tend to have high salt content as well.

Hard Foods

This is quite a broad range of foods. Yet, it is foods classified as “hard” that are abrasive, sharp, and sore-forming:

Raw vegetables

Toast

Potato chips

Pretzels

It’s best to avoid these when you can if you’re prone to canker sores.

Alternatively, eat these in smaller sized mouthfuls. You could also combine the foods with something that takes the dry and hardness away. Applying extra butter to toast, and having raw vegetables or potato chips with dip may help your mouth cope better.

Foods You Are Allergic To

We briefly mentioned chocolate allergies. If there is a certain food that is giving you mouth ulcers time and time again, you may be allergic.

Try and note down what foods trigger your mouth ulcers. Experiment with the foods you eat each week, cutting back on certain items and increasing your dosage of others. This way, you can figure out what ingredients are the most harmful.

If you’re in pain from eating a small quantity of a certain food, then see a doctor for allergy testing.

Dairy

Dairy products such as milk, cheese, and yogurt are all common contributors to canker sores. Some doctors think that there is an ingredient in cow milk proteins that links to mouth ulcers. A flare-up could be due to an adverse immune reaction to cow’s milk.

If your mouth sores are recurring, it is definitely worth cutting out dairy products, especially those containing animal milk. Opt for soy and oat milk-based products and vegan cheese and see if these changes make a difference.

Coffee and Alcohol

There are certain drinks that, if consumed, bring a risk of oral ulcers. Coffee and alcohol (preferably not together!) are both very acidic. These are both drinks we often take in large quantities, and we’re least likely to give these up. It might be necessary to decrease your dose if you’re experience chronic mouth pain as a result.

The Food You’re Not Eating

Now, let’s shift the focus away from the foods you should avoid to foods you should pay attention to!

People get mouth ulcers if they are lacking certain vitamins and minerals in their diet. If your body is low on zinc, iron, B12 and/or folate then there’s a high chance you will get recurring sores.

To boost your levels of these, get more of these foods in your diet:

Zinc: oysters, whole grains and legumes

B12: meat, nutritional yeast, and yeast extract, and fortified cereals

Iron: dried fruit, green vegetables, red meat, beans and lentils

Folate: bread, rice, chickpeas, beans, and fresh fruit and vegetables

Conclusion

As you can see, there are many items that cause mouth ulcers and irritate the tissue. It’s best to eat these foods in moderation. Cut down on the foods that contribute to canker sores; you don’t have to ban them entirely.

However, if you do find that you have an underlying allergy it is best to cut those foods out altogether. Make sure you’re getting all the nutrients you need too. Like we said it’s not always about what your eating, but what you’re not eating that causes problems.

If you have altered your diet to eradicate your mouth ulcers, but they are still recurring, schedule an appointment with your dentist.

(11/17/2021)
by Valley Ridge Dental Centre

More Information: https://www.valleyridgedentalcentre.com/foods-that-cause-mouth-ulcers/


Views: 833
Share
Share

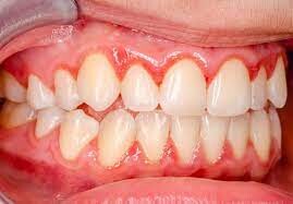
Sensitive Gums? Three Surprising Causes

The gums are often a neglected part of your oral health routine. Although you may brush regularly and see your dentist for scheduled checkups, your teeth usually steal the show. Even when you notice your gums are sore or swollen, you might mistake the pain for a cavity. But gum health is extremely important, and should be made a top priority when caring for your oral health. After all, this tissue is trusted to protect your teeth and keep them healthy, and while periodontal disease is the culprit in many cases, sensitive gums can be a symptom of other oral irritants, too.

Symptoms of Gum Sensitivity

Swelling and tenderness are often signs of gingivitis, but it's not the only condition that can leave your gums feeling less than robust. It's understandable to assume tender gums are the result of gingivitis, but this isn't always the case. When your gums become sensitive to hot and cold – or inflamed and sore after applying moderate pressure (when brushing your teeth, for example) – gingivitis is just one of the possible causes. Consider your symptoms to see if it's the result of one of the following surprising causes of sensitive gums:

1. Brushing Too Hard

Some individuals' gums can be sensitive to pressure, particularly when suffering from gum disease, so brushing too hard or using a highly abrasive toothpaste can leave them feeling irritable. You don't need a stiff toothbrush to get a great clean; rather, it's about technique. Consider a soft-bristled toothbrush which uses softer bristles and polishing cups that allow you to focus on brushing more gently. Massage your gums in back and forth motions rather than brush harshly to remove bacteria that may have already calcified into tartar (which needs dental assistance). And, if you do notice your toothpaste irritates your gums, consider one made specifically for sensitive mouths.

2. Hormonal Changes

Believe it or not, changes in your hormones can actually result in sensitive gums as well. Gums become more sensitive, according to the American Dental Association (ADA), because hormone fluctuations – such as those common during pregnancy – can change the way your body interacts with the bacteria you introduce to your mouth. This can result in gum and tooth decay, so it's important to see your dentist as scheduled during pregnancy, and mention any changes in oral health to your OB/GYN to avoid lasting damage.

3. Food or Appliance Irritation

Certain acidic foods and new oral appliances can leave your gums feeling sensitive and sore, respectively. Acidic foods, in particular, can cause irritation and even visible sores on the tender tissue of the gumline. Canker sores and even gums that are recessed can be an unfortunate side-effect to consuming things like citrus fruit, soda and sugary brands of yogurt in excess. Therefore, try eliminating acidic foods from your diet, and see if your sensitivity goes away over the next few days. The same goes for oral appliances: Braces, retainers, dentures and mouth guards can all tug at your gumline, leaving it extra tender if they've temporarily exposed more sensitive underlying tissue. In some cases, this sensitivity will go away as your mouth adapts to the appliance. If your gums continue to hurt, however, see your dentist or orthodontist to ensure the right fit with less sensitivity.

Gum disease is often the reason for periodontal soreness, but it's not always the reason for your sensitivity. Gums that are sensitive without bleeding might be trying to tell you a different story. Before attributing the pain to gingivitis, consider some of the other causes – you might be surprised at which of your habits could be causing  sore gums.

(11/16/2021)
by Colgate

More Information: https://www.colgate.com/en-ph/oral-health/tooth-sensitivity/sensitive-gums-three-surprising-causes


Views: 666
Share
Share

Why you could be more prone to cavities

You may brush your teeth twice or more every single day, floss to make sure you’re reaching every nook and cranny in your mouth, and you might even use an oral rinse to top it off. But somehow you are still getting cavities. Maybe you’ve noticed friends or family members whose oral cleaning routines aren’t as diligent as yours but don’t get cavities nearly as often as you do. Why is that?

Some people are more susceptible to cavities for a number of reasons, not all of which are to do with improper teeth cleaning. Read on to find out what they are.

Diet

The culprit for why you might be more prone to cavities could be as simple as what you’re eating. Eating too many snacks and beverages filled with sugar is a major issue when it comes to your oral health and should be the first place you look to cut down for the sake of your teeth. Unless immediately cleaned with a toothbrush and fluoridated toothpaste, sugars sit around and between teeth, and along the gum line. These sugars become fuel for destructive bacteria which multiply and erode tooth enamel, which is the protective layer of teeth that protect against decay which leads to cavities.

Sugary foods to avoid include sodas, juices, sweets, and carbohydrates, such as white breads. To combat cavities, replace these foods with crunchy fruits and vegetables that are naturally low in sugars, such as carrots and celery, and drink water to flush away food debris and sugars that may be lingering among teeth. Bring your toothbrush and toothpaste with you to work to brush your teeth after lunch to ensure that no particles or sugars are left behind.

Oral bacteria

There are oral bacteria, or microbes, that are more aggressive than others when reacting with sugars in the mouth. This means that the bacteria that naturally forms in some people’s mouths can be more damaging than the bacteria that forms in other people’s mouths. This destructive bacteria is what breaks down the protective barriers of the teeth and can cause decay down through the root of the tooth, which is how cavities are formed. To combat aggressive oral bacteria, couple your regular brushing and flossing routine with an oral rinse that fights cavities by enhancing the tooth’s natural protection.

Dry mouth

If you experience a feeling of dryness in your mouth regularly, this could affect your oral health. Saliva is essential to combat cavities because it washes away destructive food particles, sugars, and bacteria in the mouth naturally. There could be various reasons why dry mouth occurs, including medication side effects, chemotherapy treatments, and sickness. To combat dry mouth and protect your teeth from cavities, rinse daily with an enamel enhancing mouth wash to protect teeth, and try to drink plenty of water throughout the day to make up for the lack of natural moisture in your mouth. Consult your healthcare professional for additional treatment for dry mouth symptoms.

Gum Recession

If gums recede far enough, the roots of the teeth can become exposed past where the tooth enamel naturally covers. This means that the base of the tooth is vulnerable and any bacteria that would naturally build could cause decay much easier, which results in cavities. Brushing lightly with an ultra soft toothbrush away from the gums is important to avoid causing further recession. Couple this technique with fluoridated toothpaste, an enamel enhancing oral rinse, and counsel from your dental professional to ensure that gum recession is not due to a larger health issue.

Tooth shape

Teeth that have naturally deep grooves are more susceptible to cavities because they are likely to catch food particles, sugars, and destructive bacteria easily. These grooves are more difficult to properly clean regularly and are closer to the root of the tooth so any erosion that does happen is more likely to have more destructive results because of its proximity to the vulnerable part of the tooth. Decay in these grooves is much more likely to cause cavities. Ensuring that these troublesome teeth shapes are cleaned fully twice each day and that no food particles are left behind after eating is the best way to combat and prevent cavities.

For further information about any of these issues, and for any other questions you may have about cavities and your oral health in general, consult your dental professional.

(11/14/2021)
by 123 Dentist

More Information: https://www.123dentist.com/why-you-could-be-more-prone-to-cavities/


Views: 717
Share
Share

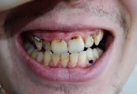
What’s the Cause of That Dark Spot on Your Tooth?

Even if you’re a diligent brusher and flosser, spots can still show up on your teeth. While some types of discoloration aren’t a cause for concern, a black or dark dot may point to a more serious issue like tooth decay.

If your pearly whites are spotted or discolored, you might be wondering why this happens and what you can do to get rid of the dark spots on your teeth.

In this article, we’ll explain the causes of these dark spots, what you can do to get rid of them, and how to know if you’re dealing with something more serious.

What causes a black or dark dot on your tooth?

Unless you’ve had a Sharpie pen close to your mouth, that black dot may be a sign that your tooth is in danger.

Some of the most common causes of a black or brown spot on your tooth may be due to the following:

tooth decay or a cavity

an injury to the affected tooth

tartar buildup on the tooth

staining due to frequent consumption of certain foods or drinks like coffee, tea, and soda, or from using nicotine products like cigarettes, chewing tobacco, and cigars

discoloration due to antibiotic use as a child, most specifically, the antibiotic tetracycline

fluorosis, a condition that occurs from an excess intake of fluoride

medical conditions such as celiac disease

What are the telltale signs of a cavity?

If food and bacteria build up on your teeth, it can form a sticky substance known as plaque.

If plaque is allowed to build up, the acids in plaque can erode the enamel on the surface of your teeth. This can cause cavities to form.

Signs of a cavity may include:

a dark spot or stain on your tooth

hot and cold sensitivity in the affected tooth

persistent ache in the tooth

a hole or pit in the tooth

lingering sensitivity to sweet foods or drinks

pain while eating

If you have any of these symptoms, make an appointment with a dentist as soon as possible to prevent further decay or complications.

Fillings are generally recommended for cavities when decay is closer to the surface and it doesn’t impact the tooth pulp or nerves.

When tooth decay becomes more advanced and gets into the soft core below your tooth’s enamel layer, the pulp inside your tooth can become inflamed or infected. When this happens, a root canal is often needed to clean out the decay.

Can a dark spot be removed?

If you want to get rid of a dark dot or spot on your tooth — and it isn’t due to tooth decay — you have a few options.

If a dark spot is caused by staining, both at-home and in-office treatments can help remove the discoloration.

Options for dental stain removal include:

Peroxide-based tooth bleaching kits or whitening strips. Both at-home and professional teeth whitening treatments can help remove stains and whiten your teeth.

Dental prophylaxis. This in-office procedure uses a prophylactic paste to remove dental plaque and calculus (tartar). The abrasives in the paste may also help remove surface stains on your teeth.

Tooth whitening pastes, powder, or liquids. Brushing your teeth twice a day with a tooth whitening paste that includes fluoride can help remove food debris and plaque, as well as surface stains. Ingredients can include peroxides and baking soda, with baking soda being the desirable abrasive for stain removal.

Veneers. Some dentists may recommend porcelain veneers or composite bonding to hide stubborn dark spots. This is a more expensive option.

How to avoid dark spots on your teeth

Although dark spots on your teeth aren’t uncommon, there are steps you can take to prevent staining and reduce your risk of tooth decay.

To keep your teeth healthy and looking their best, try some of these tips:

Practice good oral hygiene by brushing with a whitening fluoride toothpaste and flossing at least twice a day. For best results, aim to brush your teeth for at least 2 minutes. You can also use a mouthwash that has ingredients like alcohol, menthol, or eucalyptol. These ingredients can help kill bacteria in your mouth and on your teeth, but shouldn’t be used in place of brushing and flossing.

Brush your teeth right after consuming foods and drinks that can cause spots and stains, such as coffee, tea, soda, wine, red sauces, or chocolate.

Some dentists recommend drinking your coffee or other tooth-staining beverages through a straw to prevent the liquid from touching your teeth.

Avoid using nicotine products like cigarettes, pipe tobacco, chewing tobacco, or cigars.

See your dentist every 6 months for a check-up and routine cleaning.

Talk with your dentist about professional whitening treatments and any extra steps you should take to protect the health of your teeth.

The bottom line

Even if you regularly brush and floss, spots can still show up on your teeth.

Some discoloration from certain foods and drinks is common and isn’t typically a cause for concern. But a black dot or spot may be a warning sign of tooth decay.

If you notice a black or dark spot on your tooth, it’s important to follow up with your dentist. They can determine the cause and provide you with options.

If the spot is due to tooth decay, your dentist may recommend a filling, root canal, or some other option. If the dark spot is due to staining from foods, drinks, or nicotine products, your dentist may recommend specific at-home or in-office treatments to remove the spot and whiten your teeth.

(11/15/2021)
by Healthline

More Information: N


Views: 642
Share
Share

Gold Tooth Crown Facts and History

If you've recently had the unfortunate experience of chipping your tooth or have had to get a large cavity fixed, you're all too familiar with the initial panic of thinking you've ruined your great smile. But have no fear! There are some widespread and practical solutions for fixing damaged teeth. One common option is to get a crown. If your dental professional has told you that a gold crown tooth is right for your specific dental need, you've probably got some questions! Let's go over what a gold crown is, the reasons for getting one, and its unique history.

What is a Crown?

A gold crown, commonly referred to as a gold tooth cap, is a prosthetic device placed over a broken down tooth to strengthen it and improve its appearance. If your dental professional has chosen a material that's close to your existing tooth color, it will be hard even to notice it! Crowns are cemented to teeth to ensure they'll stay in place, and only a dental professional can remove them.

Reasons for a Crown

Some common reasons for needing a crown are:

To prevent a weakened tooth from fracturing.

To restore an already cracked tooth.

To act as a tooth replacement if only a small piece of one of your teeth remains.

To serve as a cover for a root canal, a dental implant, or a discolored tooth.

Like any dental procedure, you can expect some minor side effects or uncomfortable feelings to get used to the first few days after. As noted by the Cleveland Clinic, there are a few potential crown tooth side effects or issues that could arise later on: temporary sensitivity around the crown, an issue with a crown becoming loose or chipped, a dark line next to the gumline of your crowned tooth, or an allergic reaction to a metal (although this is rare).

Gold Crowns

Though it's called a gold crown, it's actually a combination of gold, copper, and other metals. Besides the apparent unique smile, you'll have after completion, a gold tooth crown provides many positive benefits. The pros of a gold crown include:

Seals well to prevent leakage and recurrent tooth decay.

Highly resistant to corrosion, fracture, and wear due to its strength.

A minimal amount of healthy tooth removal is necessary due to the strength of the metals.

Very resistant to wear while gentle to adjacent teeth.

Has high compatibility with gum tissue.

Did you know there are five main types of dental crown materials? Cleveland Clinic outlines them as metal (which includes gold, nickel, palladium, nickel, and chromium), porcelain, a combination of porcelain and metal, resin, and ceramic. While other materials have gained in popularity, gold is still used. One of the main reasons your dental professional may choose a gold crown is its durability. Your dental professional will recommend the type of crown that's right for you and discuss the pros and cons of each. They'll discuss with you what makes the most sense in regards to the damage to your tooth, as well as your lifestyle, budget, and personal preference!

History of Gold Crowns

Constructing tooth appliances and accessories is an ancient practice. Gold tooth decorations or ornaments date back as far as 4,000 years ago in Southeast Asia, according to the academic paper titled "Gold Work, Filing and Blackened Teeth: Dental Modifications in Luzon." Modifying teeth, be it gold, blackening, or filing, was a beautification method and showed one's status. In Luzon, an island in the Philippines, the earliest traces of gold teeth were found between the fourteenth and fifteenth centuries.

Gold dental appliances have gone in and out of popularity as a status symbol for many years, so it's no surprise they date back so far. Archeologists also found gold dental appliances from the Etruscan people of Italy, as early as 630 BCE, interpreting them to be some of the earliest forms of bridges and replacement teeth.

Whether you've already got a crown or haven't even had any major dental work, keeping your teeth and gums healthy should be a priority. That means scheduling regular check-ups with your dental professional. They're an excellent source for information, such as proper brushing techniques and identifying the onset of tooth decay. The rest is up to you! Be diligent with your daily oral care routine. Brush your teeth twice a day, clean between your teeth once a day with floss, an interdental cleaning device, or a water flosser, and then rinse with mouthwash. But sometimes things happen, and a crown ends up being unavoidable! Speaking with your dental professional about your dental crown options and why a gold crown may be ideal for you should ease your mind.

(11/13/2021)
by Colgate

More Information: https://www.colgate.com/en-us/oral-health/bridges-and-crowns/gold-tooth-crown-facts-and-history


Views: 738
Share
Share

Dealing With The Dreaded Gingivitis

While in the dentist office for cleanings or other necessary appointments, gingivitis may be a word that that you hear thrown around frequently. Gingivitis is a form of gum disease, that causes irritated and inflamed gums. Gingivitis is common, and treatable by your dental professional. This form of gum disease is so common, that in the United States alone, there are roughly more than 200,000 cases.

Gingivitis is usually caused by plaque, debris and bacteria that form on the teeth and soft tissues. Without maintaining your oral hygiene, the best you can, you risk irritating the soft tissue of the mouth. Because gingivitis and gum disease is so common, patients tend to not think of the risk factors that come along with this disease.

Gum disease is a DISEASE. It is a serious thing and needs to be thought of as such. Gum disease is typically overlooked because patients tend to associate red gums or bleeding gums as brushing and flossing too vigorously. In reality, not taking care of your gum disease can cause other issues within the body.

The oral cavity is very susceptible to bacteria growth and diseases because it is a warm place where bacteria thrive. When bacteria are left, infection and disease can arise, infiltrating the soft tissue and entering the blood stream. Once the infection enters the blood, you risk having infection occurring in other parts of the body. It is also important to realize that gum disease has been linked to diabetes and heart disease, so it should be treated immediately.

Whether you’re suffering from gingivitis or periodontal disease, you need to seek immediate attention from your dental professional. Do not let your signs and symptoms go to the wayside. When caught early, your doctor and their skilled team will be able to effectively treat your gum disease and help you with your oral health.

Contact your dentist if you are experiencing any inflammation of the gums, abnormal redness and bleeding. These may be signs of gingivitis. Schedule an appointment for your routine checkups and ensure you take care of your oral health.

(11/17/2021)
by Rebecca Bork DDS, PA

More Information: https://www.drbork.com/dealing-with-the-dreaded-gingivitis/


Views: 651
Share
Share

Interesting Facts About Teeth

Teeth & Oral Hygiene Facts

Did You Know?

Just like a fingerprint, each tooth has an individual shape and size that is unique to each person. This is one reason that forensic dentists are sometimes called to the scene of crimes or disasters to help identify victims and perpetrators.

Tooth enamel is the hardest material in the human body! Although your enamel is incredibly durable, it can erode, crack, and chip. Be sure to use a soft-bristled toothbrush to gently brush your teeth, to wear a nightguard if you grind your teeth, and to avoid jaw breakers, chewing ice, and opening packaging with your teeth.

If you brush your teeth for the recommended twice a day for two minutes each time, you’ll only spend a little over 1 day brushing your teeth each year. That’s a small amount of time to maintain a smile that is healthy and beautiful!

Although there are exceptions, right-handed people tend to prefer chewing on the right side of their mouths, while left-handed people tend to like chewing on the left side.

Animal Teeth Facts

Did You Know?

Giraffes have no front teeth on their upper jaw! They have a hard palate at the top jaw line with molars in the back.

While humans only have 28-32 adult teeth, certain species of snails can have over 25,000 teeth.

An elephant can grow six sets of molars in a lifetime. These teeth can weigh over 6 pounds each!

Some animals act like dentists and dental hygienists for their neighbors. For example, when a Nile crocodile waits with its mouth open, an Egyptian plover bird often stops for a snack by picking at and cleaning the crocodile’s teeth. After performing this service, the bird leaves unharmed.

Interesting Facts About Dental History

Did You know?

Early toothbrushes were made of twigs that our ancestors chewed on.

The first recorded “dentist”, named Hesi-Ra, lived in Egypt thousands of years ago.

Ancient Greeks used tooth powders made of unusual ingredients, like pumice and talc, to clean their teeth.

Though Emeline Roberts Jones began practicing at her husband’s dental practice in 1855 after teaching herself basic fillings and extractions, Lucy Beaman Hobbs became the first female dentist with a Doctor of Dental Surgery degree in 1866.

Tooth Enamel Can Never Be Replaced

Yes, you heard that right. Enamel, the hardest and most highly mineralized substance in your body that protects your teeth cannot be replaced if it is broken down. Enamel is the number one thing protecting your teeth from decay and plays a part in determining the colour of your teeth. Although many kinds of toothpaste claim they can “restore” your teeth, this is somewhat misleading. They do restore your teeth by removing harmful bacteria and plaque and strengthening existing enamel, but they do not replace enamel that has worn off.

Not Everyone Needs to Have Wisdom Teeth Removed

Everyone is well-acquainted with the idea that most people need to have their wisdom teeth removed once they start to emerge. Wisdom teeth can be a major problem for many people because the modern human jaw size is much smaller than it once was meaning there isn’t enough room for four new molars to come in during your late teens or early twenties. But this isn’t the case for everyone. Unlike most people, whose wisdom teeth come in crooked, damaging other teeth and causing a lot of pain, some people’s wisdom teeth grow in perfectly straight and they have no problems with them. If you’re concerned about whether you need to get your wisdom teeth removed on not, speak with an oral health specialist. They will take an x-ray and be able to see whether they’re coming in straight or not.

Oral Health is Linked to Your Overall Health

Unfortunately, oral health isn’t as much of a localized issue as we would like to believe and it’s amazing how much an oral health specialist can learn about your overall health just by inspecting your gums and teeth. If you have a poor diet that leads to cavities, gum disease, or tooth decay, you could be at a much higher risk for heart cardiovascular disease, strokes, and much more. Not to mention a poor diet often leads to diabetes or obesity which can make dental issues worse.

Your teeth are also very close to major arteries and your sinuses. If your teeth or gums get infected, this can easily spread to other parts of the body and even to the heart.

A Month of Our Lives Is Spent Brushing

If you brush your teeth once every morning and every night for a minute, you will have spent 852 hours or 35.5 days of your life brushing your teeth by the age of 70. That’s a lot of time! However, this doesn’t take into account the time it takes to floss which you should absolutely be doing.

Many People Have Missing Teeth

Many people are under the impression that tooth loss is something that only happens in old age. However, according to the National Institute of Dental and Craniofacial Research, Although in adults age 20 to 64, only about 3.75% of people have no remaining teeth, this number increases significantly with age. In adults between the age of 65 and 74, 30 percent of people are missing all their teeth.

(11/12/2021)
by Heritage Dental

More Information: https://heritagedentalkaty.com/interesting-teeth-facts/


Views: 737
Share
Share

What You Should Know About Full Arch Dental Implants

Do you want to know if you’re a good candidate for a full arch restoration? Your mouth has two arches: the lower arch and the upper arch. Your upper and lower teeth emerge from these arches and come together to form your bite. You must have a proper bite so that you do not have any oral or jaw problems. If you are missing any teeth, your bite is jeopardised, which means you will likely encounter some form of a dental ailment sooner or later.

Full Arch Dental Implants

Dental implants, which allow the wear of implant-supported dentures, are often employed as a solution for people in need of full-arch restoration services. They can be utilised for persons who are missing several or all of their teeth owing to various sorts of dental and/or gum injury and hence require a tooth replacement alternative to conduct their daily functions without difficulty. They can also be utilised by persons who currently have dentures and are looking for a new denture choice since their current dentures are not satisfying their specific demands.

Who Is a Candidate for Dental Restorations?

To be approved as a candidate for a complete mouth restoration with dental implants, a person must first be seen by a competent dentist. The dentist must ensure that there is adequate jawbone to successfully introduce the dental implants into the bone. To be considered a candidate, the potential patient must also be in good general health, as implanting dental implants into someone’s jawbone is a surgical procedure.

Why Should You Get Dental Implants For Your Mouth Restoration?

Implant-supported dentures provide several advantages to wearers, including a more natural-looking grin, the ability to avoid moving around like traditional dentures, and the capacity to protect jawbone health.

Advantages of full arch implants

Because all of the teeth are replaced at once rather than one at a time, the results are immediate.

The dental bridges that are put over the implants appear exactly like natural teeth, and they’re even better because they’re made to be perfect!

Nobody can tell they’re not real teeth.

You have complete freedom to consume whatever you want.

There is no danger of implants or bridges sliding, slipping, or falling out.

You have flawless speech, eating, and chewing abilities.

Dental implants are indestructible.

They protect the structure of your jawbone, preventing facial degeneration.

They are simple to care for and keep. Brushing and flossing your teeth, as usual, is required.

All-on-four dental implants are far less expensive than single-tooth implants for all of your teeth.

(11/12/2021)
by Long Falls Dentistry

More Information: https://longfallsdentistry.com/full-arch-implants/


Views: 794
Share
Share

Dentist reveals five things your teeth are telling you about your health

Your  teeth can indicate if something isn't right with your body.

It's helpful to keep an eye on the health of your mouth, and keep tabs on any changes - as it could mean something else in your body is struggling.

Making sure you keep regular appointments at the dentist will help, as they can spot things you might miss.

But knowing these five things to look out for in yourself and others could be key in catching any health issues.

1.- Anaemia and pale gums:

Pale gums can be caused by anaemia, most often due to an iron deficiency.

Some colour variations does naturally exist so you might appear to have paler or darker gums than others.

And usually if the gums aren't sore or bleeding, we don't pay them much attention.

But if you spot that your gums are suddenly looking quite pale and you are experiencing other symptoms such as feeling tired or dizzy, a follow-up with a physician might be a good idea.

2.- Eating disorders and tooth enamel:

If an eating disorder involves vomiting, stomach acids wash over teeth and can dissolve the hard enamel covering.

Changes in colour, shape, translucency, or sensitivity may provide clues to an underlying problem that can lead to extensive decay and tooth loss over time.

This can be something to look out for in friends or family you might be concerned about.

3.- Osteoporosis and tooth loss:

While this will be harder for you to look out for yourself, if you feel your teeth are a little loose you could be suffering with osteoporosis.

The bone around your teeth provides the foundation that supports them.

While it may be more difficult to detect at home, dentists and hygienists will be able to see a systemic change in bone density due to osteoporosis.

Teeth that move more than average during an exam could provide an early clue to this progressive condition.

We often recommend a bone density test with a physician in these cases.

4.- Oral thrush and HIV:

It's unusual to see oral thrush in generally healthy people, unless they wear dentures.

But as HIV patients have a weakened immune system, they become more susceptible to thrush and other more severe infections.

Signs of oral thrush include cracks at the corners of the mouth, not tasting things properly, an unpleasant taste in the mouth or pain inside the mouth. 

5.- Tooth loss and kidney disease:

Kidney disease can cause mouth sores, changes in taste, and dry mouth from xerostomia can cause a reduction in saliva production.

Then, when the mouth dries out acidity increases and the low pH may result in aggressive tooth decay and eventual tooth loss.

Some research also shows that patients with gum disease have an increased risk of kidney disease, another two-way relationship between oral and systemic health.

If you have noticed more unexplained mouth sores or a change in taste, it might be worth keeping an eye out for other symptoms of kidney disease.

This could be feeling more tired, trouble sleeping or needing to pee more often.

(11/16/2021)
by Ellie Cambridge

More Information: N


Views: 694
Share
Share

What Causes a Gray Tongue?

You're used to a healthy pink tongue, only noticing it when you brush your teeth or inspect your smile in the mirror from time to time. It's probably not the part of your oral cavity you think about most, as you're more concerned with cleaning your teeth to prevent cavities. So when you notice your tongue has a strange discolorment, such as a grayish tint, you probably have some concerns.

Some common questions that may first come to mind probably include why is my tongue gray? What causes a gray tongue? And should I worry? Let's go over the common causes of a grayish colored tongue, your risk factors, and treatments for each condition.

Leukoplakia

Leukoplakia is an oral condition that can cause white or grayish patches to appear inside your mouth. These patches can sometimes appear on the tongue, though they're often found on the cheeks or gums. It's not usually painful and may go unnoticed for a while if you don't keep up with your regular dental appointments. A sign that you have leukoplakia is that you can't gently scrape off these white or grayish patches on your own.

If you're a heavy smoker, chew tobacco, or consume alcohol in excessive amounts, you're more at risk for this condition. While leukoplakia usually isn't dangerous, it's not something you should ignore. It can be a precancerous condition, which means there's a chance that it could develop into oral cancer if left untreated.

Oral Lichen Planus

Lichen planus is an inflammatory disease that can affect different parts of your body and appear as reddish-purple rashes or bumps. When it forms inside your mouth, it can result in oral lesions that look gray and lacy, according to the Mayo Clinic. These patches that develop inside your mouth aren't itchy or painful, though some people develop ulcers, tender sores, or a burning sensation because of the oral lichen planus patches.

In most cases, you won't be able to determine the cause of oral lichen planus. But it usually occurs when your body has an abnormal immune response to something. In conjunction with a weakened immune system, oral lichen planus has a few primary triggers:

Hepatitis C

Flu vaccine

Some metals and chemicals (like an amalgam filling used in dental work)

Certain pain relievers, such as ibuprofen and medications for arthritis, heart disease, diabetes, or high blood pressure

Oral lichen planus isn't generally harmful. The Journal of Oral Pathology and Medicine reports that only one percent of cases are associated with oral cancer.

Oral Thrush

Oral thrush is an infection that's caused by the Candida fungus, also known as yeast. This fungus is naturally present in our mouths but can sometimes become overgrown, most usually in babies or older adults who have developing or weakened immune systems. Oral thrush appears as white, cottage cheese-like patches inside the mouth, including on the tongue. These patches aren't easily removed, and if you remove a patch, you will most likely find the area underneath as red and bleeding. Like leukoplakia, we do not recommend you attempt to remove oral thrush on your own.

There are many possible causes of this opportunistic oral infection, and it spreads more easily in people with a weakened or suppressed immune system, like people with diabetes or cancer. It may also develop after an antibiotic treatment since antibiotics can kill off the mouth bacteria that usually keep yeast in balance.

Poor Oral Hygiene

Sometimes something as simple as a poor oral care routine can cause a white or gray coating on your tongue. The Mayo Clinic explains that the small projections on your tongue, known as papillae, can become inflamed on the tongue's surface due to poor oral hygiene. Bacteria and dead cells get trapped in these inflamed projections and give the tongue a white coating appearance. This coating isn't just a cosmetic issue. A coated tongue caused by inadequate oral hygiene often goes hand in hand with bad breath. So that's one more reason to keep up with a rigorous at-home oral care routine!

Treatments for a Gray Tongue

If you notice your tongue has turned gray, make an appointment to see your dental professional. Your dentist and dental hygienist can examine your tongue and determine the cause of its discoloration. Your prescribed treatment, and its length, will all depend on your diagnosis. Let's go over each:

In cases where leukoplakia is responsible, surveillance is the primary treatment. This means that your dental professional will want to keep an eye on it to make sure it does not progress into cancer. It's also recommended to quit lifestyle habits that make you more susceptible to leukoplakia. So if there's ever been a time to quit smoking, chewing tobacco, or drinking an excessive amount of alcohol, it's now.

You can also treat oral lichen planus with surveillance, and the condition can go away on its own. If the lesions are uncomfortable or painful, some treatments, such as corticosteroid mouthwashes and gels, can provide symptom relief.

When oral thrush is the cause of your grayish tongue, antifungal medications are the best course of action. You may get a prescription for antifungal mouthrinses or lozenges for a mild case. If your case is more severe, a prescription for an oral antifungal medication should do the trick.

If you've been forgetting to brush or floss as often as you should, try to get back in the habit of brushing twice per day and cleaning between your teeth with floss, a water flosser, or another interdental cleaning tool once per day. Follow up your oral care routine with a mouthwash to rinse away any remaining bacteria. When you brush your teeth, remember to use a soft-bristled brush and take the time to gently clean your tongue, too.

A gray coating on your tongue can be alarming at first, so it's normal to feel an initial shock of panic! We understand this reaction. But remember that most causes of tongue discoloration are relatively harmless, especially if treated right away. Your main priority should be to see a dental professional for diagnosis, who will discuss with you a planned course of treatment if needed.

It's also important to be gentle with yourself. We do not recommend scraping at oral lesions or brushing them too hard, as some will need medication for removal. If you're worried about your tongue, see your dental professional as soon as possible, as they will help put your mind at ease and get you back on track to feeling confident about your smile!

(11/18/2021)
by Colgate

More Information: https://www.colgate.com/en-us/oral-health/adult-oral-care/what-causes-a-gray-tongue


Views: 719
Share