My BEST Dentists Journal

All Journal Entries
Share

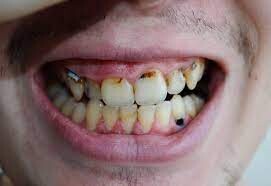
What’s the Cause of That Dark Spot on Your Tooth?

Even if you’re a diligent brusher and flosser, spots can still show up on your teeth. While some types of discoloration aren’t a cause for concern, a black or dark dot may point to a more serious issue like tooth decay.

If your pearly whites are spotted or discolored, you might be wondering why this happens and what you can do to get rid of the dark spots on your teeth.

In this article, we’ll explain the causes of these dark spots, what you can do to get rid of them, and how to know if you’re dealing with something more serious.

What causes a black or dark dot on your tooth?

Unless you’ve had a Sharpie pen close to your mouth, that black dot may be a sign that your tooth is in danger.

Some of the most common causes of a black or brown spot on your tooth may be due to the following:

tooth decay or a cavity

an injury to the affected tooth

tartar buildup on the tooth

staining due to frequent consumption of certain foods or drinks like coffee, tea, and soda, or from using nicotine products like cigarettes, chewing tobacco, and cigars

discoloration due to antibiotic use as a child, most specifically, the antibiotic tetracycline

fluorosis, a condition that occurs from an excess intake of fluoride

medical conditions such as celiac disease

What are the telltale signs of a cavity?

If food and bacteria build up on your teeth, it can form a sticky substance known as plaque.

If plaque is allowed to build up, the acids in plaque can erode the enamel on the surface of your teeth. This can cause cavities to form.

Signs of a cavity may include:

a dark spot or stain on your tooth

hot and cold sensitivity in the affected tooth

persistent ache in the tooth

a hole or pit in the tooth

lingering sensitivity to sweet foods or drinks

pain while eating

If you have any of these symptoms, make an appointment with a dentist as soon as possible to prevent further decay or complications.

Fillings are generally recommended for cavities when decay is closer to the surface and it doesn’t impact the tooth pulp or nerves.

When tooth decay becomes more advanced and gets into the soft core below your tooth’s enamel layer, the pulp inside your tooth can become inflamed or infected. When this happens, a root canal is often needed to clean out the decay.

Can a dark spot be removed?

If you want to get rid of a dark dot or spot on your tooth — and it isn’t due to tooth decay — you have a few options.

If a dark spot is caused by staining, both at-home and in-office treatments can help remove the discoloration.

Options for dental stain removal include:

Peroxide-based tooth bleaching kits or whitening strips. Both at-home and professional teeth whitening treatments can help remove stains and whiten your teeth.

Dental prophylaxis. This in-office procedure uses a prophylactic paste to remove dental plaque and calculus (tartar). The abrasives in the paste may also help remove surface stains on your teeth.

Tooth whitening pastes, powder, or liquids. Brushing your teeth twice a day with a tooth whitening paste that includes fluoride can help remove food debris and plaque, as well as surface stains. Ingredients can include peroxides and baking soda, with baking soda being the desirable abrasive for stain removal.

Veneers. Some dentists may recommend porcelain veneers or composite bonding to hide stubborn dark spots. This is a more expensive option.

How to avoid dark spots on your teeth

Although dark spots on your teeth aren’t uncommon, there are steps you can take to prevent staining and reduce your risk of tooth decay.

To keep your teeth healthy and looking their best, try some of these tips:

Practice good oral hygiene by brushing with a whitening fluoride toothpaste and flossing at least twice a day. For best results, aim to brush your teeth for at least 2 minutes. You can also use a mouthwash that has ingredients like alcohol, menthol, or eucalyptol. These ingredients can help kill bacteria in your mouth and on your teeth, but shouldn’t be used in place of brushing and flossing.

Brush your teeth right after consuming foods and drinks that can cause spots and stains, such as coffee, tea, soda, wine, red sauces, or chocolate.

Some dentists recommend drinking your coffee or other tooth-staining beverages through a straw to prevent the liquid from touching your teeth.

Avoid using nicotine products like cigarettes, pipe tobacco, chewing tobacco, or cigars.

See your dentist every 6 months for a check-up and routine cleaning.

Talk with your dentist about professional whitening treatments and any extra steps you should take to protect the health of your teeth.

The bottom line

Even if you regularly brush and floss, spots can still show up on your teeth.

Some discoloration from certain foods and drinks is common and isn’t typically a cause for concern. But a black dot or spot may be a warning sign of tooth decay.

If you notice a black or dark spot on your tooth, it’s important to follow up with your dentist. They can determine the cause and provide you with options.

If the spot is due to tooth decay, your dentist may recommend a filling, root canal, or some other option. If the dark spot is due to staining from foods, drinks, or nicotine products, your dentist may recommend specific at-home or in-office treatments to remove the spot and whiten your teeth.

(11/15/2021)
by Healthline

More Information: N

Views: 643
Share


My BEST Dentists Journal Headlines