Dentists Journal

Top Ten Stories of the Week
11/27/2021

All Dentists Journal · Previous Week · This Week · All Time List · Headlines

Share

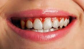
Best Effective Natural Cure for Swollen Gums

Do your gums bleed while brushing and flossing your teeth? Do you have swollen or inflamed gums? If yes, then you may have a condition known as gingivitis or gingival swelling. You possibly often experienced much discomfort and ache that makes your life like hell. Ingesting meal even drinking slightly cool water delivers shudders downs the spine due to the swelling in your gums.

In order to minimize the discomfort and swelling, there are certain remedies that can help. But before you know the natural cures of swollen gums, here are some most common symptoms include:

Swollen and red gums.

Bleeding of the gums.

Pain in gums.

Gaps increases between the gums and teeth.

Bad breath.

Here you have a couple of most effective and easy natural remedies that can soothe your swollen gums.

Salt Water

Saltwater is the most commonly used natural cure for oral issues. It helps to neutralize your mouth’s pH and soothes swollen gums. Hence, it might help minimize swelling around the gums.

However, many scientific pieces of research are required to determine the effect of this solution on gingivitis. Take one tablespoon of salt and dissolve it into a glass of warm water. Rinse the mouth with salt water for three to five minutes and spit the solution out. You can swish your mouth twice a day or after having the meals.

Clove Oil

Clove oil is also a traditional cure that is frequently used to treat inflamed gums. Because clove has analgesic, antibacterial, and anti-inflammatory properties that can assist you in reducing swelling as well as infection around the gums. Take two to three drops of clove oil and apply it on the swollen gums with a gentle massage after massage leaves it on gums. You can also add black pepper with clove oil in order to decrease pain and inflammation.

Ginger

Ginger is another most effective natural remedy for swollen gums. It also possesses antifungal, anti-inflammatory, antibacterial, and antioxidant properties that can assist in reducing the swelling in the gums. Take a small piece of ginger and mash it. When it comes in the form of a paste, add the salt in order to get a coarse paste. After then rub the paste on the swollen parts of the gums. Leave it on the gums for at least 10 to 15 minutes. Then wash your mouth with normal water. Other than these, you can also use oils of tea tree, peppermint, and chamomile. It can also soothe your discomfort gums. Peppermint and tea tree oils have strong antimicrobial properties.

On the other hand, chamomile oil soothes the redness and swollen as well as reduce the pain in gums. Without investing hundreds of dollars, you can easily treat your swollen gums at home!

(11/24/2021)
by Arlington Endodontics

More Information: https://arlington-endodontics.com/best-effective-natural-cure-for-swollen-gums/


Views: 787
Share
Share

Eczema on Lips: Types, Causes and Treatments

Eczema refers to a group of conditions that cause itchy inflammation of the skin. This condition damages the skin barrier function, which makes your skin more sensitive and more prone to infection and dryness.

Eczema can affect any part of the body, including your lips. Eczema on your lips is also known as lip dermatitis and eczematous cheilitis. Eczema typically causes dry patches of skin and scales, and eczema of the lips may cause your lips to become itchy, dry, scaly, red, or peeling.

Types

There are two major groups of lip eczema based on the cause:

Endogenous: This means that the lip eczema is due to your inherent characteristic. One example of this type of lip eczema is atopic dermatitis, which is more common among people who have a family history of the condition.

Exogenous: This type of lip eczema is caused by something outside of the body.

Within the exogenous group, there are more specific categories based on the cause:

Allergic contact cheilitis: This type of lip eczema occurs due to an allergic reaction to products you use, such as lip balm or lipstick, toothpaste, medications, and foods. An allergy is found in at least a quarter of cases of eczematous cheilitis. A dermatologist can perform patch testing to help you identify which allergens to eliminate.

Irritant contact cheilitis: Irritant contact cheilitis may present similarly to allergic contact cheilitis but is due to an irritation instead. Lip licking is a major cause of this type of lip eczema. Chronic exposure to an irritant such as cosmetics, food, and environmental factors can also result in this condition.

When to See a Doctor

If you experience unusual symptoms such as a fever, chills, diarrhea, or spreading of the rash, contact your healthcare provider as soon as possible.

Triggers

The major causes of lip eczema are atopic dermatitis and irritant or allergic contact reactions. The triggers may not be the same for everyone. Lip eczema can be triggered by different things, including external conditions such as the weather, behaviors such as lip licking, allergens, and nutritional deficiencies.

Treatment

Eczema of the lips is treated by identifying and eliminating or managing the cause of the issue. Therefore, treatment varies depending on the type of lip eczema you have.

For irritant or allergic types of lip eczema, the treatment will involve identifying the cause of the irritation or allergy and discontinuing use of a product or limiting contact with the trigger.

For lip eczema related to atopic dermatitis, managing the condition should help alleviate the symptoms of lip eczema.

For all forms of eczematous cheilitis, topical corticosteroids along with a lip balm or emollient can help calm down your lips and reduce any itching sensations.

Lip eczema can be troubling because it affects your appearance. However, regardless of its cause, there are ways to manage this condition. The best way to prevent this condition is to avoid your triggers, such as allergens or irritants. It also helps to steer clear of products that may be irritating to your skin, such as those containing alcohol and other harsh ingredients. If you know or suspect you may have lip eczema, it is best to make an appointment with a dermatologist.

(11/23/2021)
by VeryWell Health

More Information: N


Views: 725
Share
Share

What To Expect After a Tonsillectomy

Having a recurring sore throat or sleep-disordered breathing can be a sign of tonsil inflammation, also known as tonsillitis. Even though tonsils are an important part of the body, sometimes a doctor will recommend tonsil removal, a procedure called a tonsillectomy.

When to Have Tonsils Removed

Patients of any age — children and adults — can have a tonsillectomy. According to The Nemours Foundation, constant visits to the doctor because of sore throats, difficulty swallowing or patchy, white blisters on the tonsils could signal a patient has tonsillitis. The tonsils may be enlarged, which can lead to snoring, and a patient may have a slight fever or neck pain.

To eliminate these symptoms, a doctor may suggest the patient has their tonsils removed. If you are having recurring problems with your tonsils or throat, consult a dental or medical professional.

Tonsillectomy Procedure

An ear, nose and throat doctor will most likely conduct the procedure in an outpatient surgical center. The surgery usually lasts between one and two hours and the patient will be sent home shortly after the operation.

According to the Mayo Clinic, there are a few steps that a patient should take prior to surgery. They should avoid any intake of medications containing aspirin for two weeks prior to the procedure and should provide their doctor a list of medications they take regularly. The patient will receive instructions from their doctor regarding how long to refrain from eating and drinking before surgery.

On the day of the surgery, the patient will be sedated by an anesthesiologist through an IV prior to the doctor's treatment. The doctor will remove both left and right tonsils from the back of the throat. Afterwards, the patient will likely feel soreness and experience some swelling. They should plan for at least 10 days of recovery time.

Care After a Tonsillectomy

After a few days, scabs will form where the incisions were in the mouth. The doctor may prescribe painkillers to help relieve rawness and soreness in the patient's throat. It is imperative to drink lots of ice water and cold fluids after tonsil removal, but avoid drinking through straws, as it may be difficult. Eating soft foods and ice pops may help avoid irritation in the area. If the patient loses weight, they should try drinking nutritional beverages to add some calories to their diet.

The patient must be careful to not eat chips, nuts or foods that can be sharp in the back of the throat. Postoperative bleeding can occur, and in severe situations it may require a trip to the emergency room. For at least two weeks after the tonsillectomy, the patient should stay mostly at rest and allow their throat to heal before resuming activities. The doctor will schedule a follow-up appointment to check on the patient's healing.

Removing the tonsils — which can be as long as two to three inches across — can bring relief to patients with tonsillitis. After the procedure, they can look forward to fewer sore throats and resolved snoring issues. Always speak with your dentist or doctor if you're concerned about your sore throat or sleep troubles.

(11/23/2021)
by Colgate

More Information: N


Views: 816
Share
Share

Why Your Teeth Are Shifting

We expect for children’s teeth to be constantly shifting as a result of losing baby teeth and adult teeth taking their place. But children aren’t the only ones susceptible to moving teeth and shifts in your smile can happen at any age – even as an adult.

If you’re noticing changes in your smile as an adult, this can leave you feeling uncomfortable, and unsure of what this shift in your smile means. Keep reading to learn the most common reasons your teeth might be moving as an adult and what you can do to minimize the damage.

Why Your Teeth Are Shifting

There are a variety of reasons why your teeth might begin shifting and changing positions as an adult. If you can identify early on what the cause of your shifting teeth is, you may be able to prevent the shifting from continuing. The top causes of shifting teeth are:

AGE

When our bodies begin aging, the area between your teeth begins to wear away because your enamel thins. The lower teeth have less enamel than your upper teeth, so teeth in the lower jaw tend to wear away faster. If your lower teeth experience an increase in wear and tear, they are less able to withstand the force of the top teeth when chewing or when you bite down, which leads to shifting.

GENETICS

Your genes dictate if your teeth will shift during your lifetime. Even patients who are born with straight teeth and never have to have braces are at risk of their teeth eventually shifting out of line if they’re genetically predetermined to do so.

GRINDING

When you grind your teeth, you are putting tension on your upper teeth which forces the lower jaw to push forward. The constant thrusting affects the position of your upper arch, which pushes it out of alignment.

CAVITIES

When cavities are filled, the composite can cause changes to your teeth and can also alter your bite slightly. Also, if you have tooth decay that goes untreated, it can spread to the gums and bone, eating away the bone that holds the teeth in place. This causes the teeth to become loose, allowing them to shift easier.

TOOTH LOSS

If you’re missing a tooth in the lower jaw, the tooth above it may shift downward since there is nothing below to stop it. The teeth next to the missing tooth will start to move sideways as well.

PERIODONTAL

Improper oral hygiene can lead to plaque buildup beneath your gums, attracting bacteria and causing a periodontal infection. If left untreated, gingivitis can progress to periodontitis, which can cause the gums to pull away from the tooth, loosening it.

How To Combat Shifting Teeth

The easiest way to stay in touch with your oral health is to schedule routine exams every six months, and to schedule an exam if you begin to notice a change in your mouth. Together, we can determine the cause of your shifting teeth. One of the following remedies may be suggested, depending on the reason behind your shifting:

If it’s occurring naturally due to aging - If you have lost teeth due to aging, the adjacent teeth are likely to shift and cause your bite to change. If you lose a tooth, take action to restore it with an implant, bridge, or partial denture as soon as possible to avoid difficulties in biting or jaw pain.

If you have gingivitis or gum disease - The number one cause of tooth loss is gum disease, which can also be linked to a variety of other health conditions. Brush and floss regularly and schedule regular exams.

If you’re interested in orthodontic treatment - Regardless of the reasoning behind your shifting teeth, once the cause is under control, your teeth may have shifted so significantly that the look of your smile makes you self conscious. Orthodontic treatments like Invisalign can give you the restored confidence in your smile you deserve without everyone knowing you’re undergoing orthodontic treatment.

Are Your Teeth Moving?

If you notice a shift in your smile, we always suggest making an appointment with your dentist as soon as possible.

(11/22/2021)
by Kim Okamura, DDS

More Information: https://kimokamuradds.com/shifting-teeth-adults/


Views: 843
Share
Share

Bad Breath Be Gone: These Steps will Help You To Beat It

Many causes of bad breath - also known as halitosis - are a result of the food you eat or from the bacteria that live in your mouth.

Our mouths are home to over 6 billion bacteria, some good, some bad. Some of these bacteria feed off food that is not removed from the mouth by thorough teeth cleaning or flossing. As the bacteria break down this food, they release foul-smelling gases.

Health conditions and poor hygiene habits can also cause bad breath. This can be improved with regular and proper dental care.

Morning Mouth: The Unpleasant Start To The Day

Bad breath can be caused by a decreased flow of saliva. Saliva plays an important role in digestion and helps to remove odor-causing particles in the mouth.

Bad breath when you wake up is considered normal. This happens because the saliva that regularly washes away decaying food and odors during the day diminishes at night while you sleep. Your mouth becomes dry and dead cells stick to your tongue and inside of your cheek. Bacteria use these cells as a food source and expel foul-smelling gases.

Nasty Bacteria and Gum Disease

Gum disease can be a contributing factor to halitosis. Early gum disease is called gingivitis and is an inflammatory response to a build-up of bacteria found in plaque that has not been properly removed from the teeth. Plaque builds up because of poor brushing and flossing. Once plaque is established, it can only be removed by your dentist or hygienist.

Plaque is essentially a reservoir of bacteria. These bacteria can migrate to other parts of the mouth - especially the tongue - and are thought to be responsible for a significant amount of halitosis. Poor oral hygiene and high-sugar diets can also lead to cavities which contribute to bad breath.

Dieting Fads: High Protein, Low Carbs

High protein, low-carb diets like Dr. Atkins can cause your body to burn fats for energy instead of carbs which can lead to a condition caused ketosis.

Ketosis is the state the body finds itself in when it is using fats as its main fuel. In addition to low carb or ketogenic diets, ketosis can also occur with intermittent fasting as well.

Ketosis is characterized by high levels of ketones in the blood. The body can use these for fuel, and their presence gives the breath a subtle, sweet smell like fruit or acetone in nail polish remover.

Ketosis is not the same as ketoacidosis which is a dangerous and potentially fatal condition that may occur in people with diabetes.

Culprits: Food Offenders, Smoking, Alcohol and Medicines

Garlic, onions, fish, and coffee are obvious causes of bad breath, as are beverages that dry out the mouth, such as alcohol, because they reduce levels of saliva needed to wash away odor-causing bacteria. Regularly drinking water, particularly at meal times; chewing sugar-free gum after meals; and adding a squeeze of lemon to fish dishes can help reduce food odor.

Smoking is also a notorious cause of bad breath. Smoke particles remain in the lungs, long after you have finished that last drag, making your breath smell pungent and stale. Smoking also dries out the mouth contributing to gum disease and dental decay.

Many medicines are associated with bad breath, usually because they dry out the mouth. Offenders include antihistamines, sedatives, amphetamines, antidepressants, diuretics, decongestants, anticholinergics and some antipsychotics. Certain vitamin supplements (especially in high doses) are also culprits.

Could It Be A More Serious Medical Condition?

Bad breath should not be taken lightly. Sometimes bad breath can be a sign of a more serious illness.

Ketoacidosis (as mentioned previously) in poorly controlled or undiagnosed diabetics can cause a fruity smell on the breath. It is caused by a lack of insulin and can be potentially fatal.

Gastroesophageal reflux disease (GERD) can also contribute to bad breath, due to small amounts of partially digested food being regurgitated back up the esophagus, or an inefficient movement of food out of the stomach into the small intestine.

Sinus or respiratory tract infections may also have bad breath as a symptom. Chronic kidney failure can produce an ammonia-like odor because toxins are excreted through the lungs.

Bad Breath Be Gone: Here’s What You Can Do

Good oral hygiene is the key to fresh breath. The main treatment of bad breath comes from within the mouth.

Brush and floss twice-a-day, every day.

Use mouthwash frequently.

Stay hydrated - dry mouth can exacerbate bad breath.

Suck on sugar-free candies to keep your mouth moist

Do not smoke or chew tobacco

Visit your dentist every 6 months

Talk to your doctor or dentist if your bad breath does not improve.

Brush Your Teeth Twice-a-Day. Every Day.

Brush your teeth at least twice-a-day. You should spend at least two minutes brushing to make sure you get to those hard to reach places. Pay extra attention to the areas where the tooth reaches the gum. Electric toothbrushes are more effective than manual toothbrushes in removing plaque.

The best time to brush your teeth is usually just after you eat to reduce the levels of bacteria that cause tooth decay and bad breath. However, food and drinks that are acidic (especially fizzy drinks and fruit juices), and coffee in particular, can soften enamel and brushing too soon after consuming them can damage the enamel. In this case it is best to wait 30 minutes before brushing to allow the enamel to harden.

Make A Date With Your Floss

Do you floss everyday? You probably hear that question at the dentist. Certainly you are always truthful, right?

It's never too late to start. Flossing is best performed after brushing; twice a day is best but once a day is better than none. Dental floss or interdental brushes can be used. The goal is to clean the areas where your toothbrush cannot reach and to clear the spaces in-between your teeth. The gum stimulation is good for your gums, too. If you are not sure how to do this, ask your dentist or dental hygienist to show you the best way.

Tongue Scraping and More

Sounds painful, but it's not. This is done using a tongue scraper or a soft toothbrush. You need to place it as far back on the tongue as possible and scrape forward to clear off any coating. It’s best done once-a-day after brushing and flossing.

You could also consider using a mouthwash like Cepacol or Listerine after you have brushed, flossed and scraped. A mouthwash helps to kill bacteria or neutralize any chemicals that causes bad breath.

Keep Your Mouth Moist: Drink Plenty of Water

Drinking plenty of fluids, particularly water, helps to keep your saliva flowing. A swish of water after eating can loosen food particles. Sugar-free gum after each meal may also help to increase saliva flow and prevent plaque from forming as well as keeping your breath fresh.

Artificial saliva substitutes may also be used in people prone to a persistent dry mouth if deemed necessary.

Probiotics: A Different Way To Treat Bad Breath

Some experts advocate use of probiotics to help clear bad breath, rather than products that are designed to kill bacteria (such as mouthwashes).

More than 700 different strains of bacteria have been found in the human mouth, although most people only host 34 to 72 different varieties. Most are harmless and aid in food digestion. Some, such as Streptococcus mutans and Porphyromonas gingivalis have been linked to tooth decay and periodontitis.

One type of bacteria has been designated super-hero status. People with high levels of S. salivarius in their mouth have little, if any, tooth decay. S. salivarius has been shown to crowd out odor-causing bacteria, and can help eliminate bad breath. The trouble with mouthwashes is that they tend to kill all bacteria, both good and bad.

Oral care probiotics that contain high numbers of S. salivarius K12 and/or S. salivarius M18 bacteria can help restore levels of healthy bacteria into your mouth. Both these strains help maintain good oral health and limit both bad breath and tooth decay.

Regularly Plan a Visit To Your Dentist

Prevention is the key to a healthy mouth. You should visit your dentist on a regular basis, usually every six months, to have your teeth examined and cleaned. This will help to prevent gingivitis, cavities, and other oral issues.

If you have a problem with bad breath, your dentist can help determine the cause, provide advice, and determine treatment. It may be that a regular cleaning, flossing and a daily mouthwash may be all that's needed. Your dentist can also refer you to a doctor if warranted.

(11/24/2021)
by Carmen Fookes, BPharm

More Information: N


Views: 646
Share
Share

Enlarged Papillae: Causes, Symptoms, and Treatment of Tongue Bumps

Is that bump on your tongue driving you crazy? Distracting you from today's tasks? Even making it difficult to eat? That tongue bump can appear for many reasons, ranging from canker sores to even oral cancer. However, don't freak out just yet. Enlarged papillae are a pretty common — and mostly harmless — cause of irritating tongue bumps.

What Are Those Bumps on Your Tongue?

Your tongue's surface houses four types of papillae, nodule-like structures that assist with taste, speech, chewing, and swallowing. The four types of lingual papillae include:

Filiform. The most common type of papillae, filiform papillae, do not contain taste buds. Instead, they act as grips or ripples on your tongue to assist in cleansing the mouth, chewing and speaking.

Fungiform. Between 200 and 400 fungiform papillae exist on your tongue, mostly at the tip and edges. Each contains 3 to 5 taste buds as well as sensory cells for texture and temperature.

Circumvallate. The very large circumvallate papillae reside at the base of your tongue near your throat and contain hundreds of taste buds. These papillae are so large they are visible to the naked eye.

Foliate. The ridges along the rear edge of your tongue are foliate papillae. These also contain hundreds of taste buds.

What Causes Enlarged or Inflamed Papillae?

Enlarged papillae appear as little white or red bumps that occur when the papillae become irritated and slightly swollen. This condition is also known as lie bumps or transient lingual papillitis. This swelling might occur from the normal exfoliation of papillae cells. However, several other factors could also affect the papillae enough to cause swelling. These include:

Injuries to the mouth. Burns, cuts, or injuries to the tongue can all cause swelling to occur, while exposure to spicy, sour, hot, or cold foods can lead to irritation.

Infections. Viral, bacterial, and fungal infections — such as the cold and flu – can also make the tongue swell.

Unhealthy habits. Cigarettes contain chemicals that can irritate your papillae. Stress is also linked to swollen, enlarged papillae. Finally, poor oral hygiene can lead to the buildup of food debris and plaque bacteria, causing swelling and even growths on the papillae.

Some other medical conditions can also make papillae feel different. This includes benign migratory glossitis, also known as geographic tongue. In this condition, the tongue exfoliates its cells at an inconsistent rate, giving the tongue a map-like appearance that shows where the papillae have worn off and eventually will regrow. Other conditions that might contribute to papillary inflammation include canker sores, allergic reactions, syphilis, oral herpes simplex, cancer, or autoimmune disorders.

How to Treat and Prevent Enlarged Papillae

Although they might feel uncomfortable, most enlarged papillae usually go away without treatment within a few days. Maintain your oral care routine by brushing twice a day and cleaning between teeth with floss or an interdental device. Allowing the lesions time to heal, rinsing with warm salt water, and staying hydrated might help treat inflamed or enlarged papillae.

If any oral lesion lasts longer than seven days, you should schedule an evaluation with your dental professional. Monitor the lesion's size, color, and location to aid your dental professional with their assessment. If the lesions bleed, become increasingly painful, grow in size, or spread, seek immediate care.

Preventing enlarged papillae starts with identifying the most likely cause. Determine if certain foods irritate your tongue, protect your mouth during sports and other physical activity, and stay aware of your tongue placement during everyday tasks like eating or talking. Quitting smoking and decreasing stress might also reduce the likelihood of enlarged tongue bumps.

That pesky tongue bump might annoy you for a day or two, but don't let it cause worry. Keep an eye on it while maintaining your oral care routine, and you might forget all about it by this time next week!.

(11/19/2021)
by Colgate

More Information: https://www.colgate.com/en-us/oral-health/mouth-sores-and-infections/enlarged-papillae-tongue-bumps-causes-symptoms-treatment


Views: 3,135
Share
Share

Toothpaste on a Cold Sore? Myths and Real Remedies

Ever thought of putting toothpaste on a cold sore? You’re not alone. Turns out there’s a lot of “home remedies” for these very common, frustration ailments. 

However, not all cold sore home remedies are safe. This post will settle some of the debate on there about whether or not putting toothpaste on a cold sore actually works. Plus, you’ll discover other home remedies and misconceptions about cold sores.

Check it out.

What Are Cold Sores?

Cold sores are painful lumps and blisters on your face, particularly around your lips. These sores are caused by the herpes simplex virus. And they’re highly contagious.

Cold sores are extremely common. In fact, 90% of the world population has or has had one before. Luckily, that means that there are a lot of remedies out there for them. 

But is toothpaste really one of them?

Does Toothpaste on a Cold Sore Work?

One of the most popular home remedies is putting toothpaste on a cold sore. And in theory, this could work…Many types and brands of toothpaste contain sodium lauryl sulfate (SLS), which can dry out your skin. This comes in handy when it comes to cold sores.

This is because toothpaste dries the area out, minimizing the risk of developing painful blisters.

However, there’s no scientific evidence that proves this. 

Putting toothpaste on a cold sore only has anecdotal evidence. That means that it’s based on personal experience. Still, it’s worth a try if you want a cheap home remedy for a cold sore.

How to Apply Toothpaste on a Cold Sore

Many people feel a cold sore coming up even before it appears. A tingling and itching sensation around your lips is a common sign. 

Take some white, non-gel toothpaste with SLS in it, and apply a thin layer over the affected area. Let it dry, and reapply every one or two hours throughout the day.

4 Home Remedies for Cold Sores

Toothpaste isn’t the only home remedy that you can try if you want to get rid of your cold sore quickly. While the most effective treatment for cold sores is targeted prescription medication, a lot of people swear by these four home remedies.

Apple Cider Vinegar

One of the most common cold sore home remedies is putting apple cider vinegar on it. However, make sure you dilute the apple cider vinegar with water, as the full strength of the liquid can do more harm than good on your skin.

Ice

Icing your cold sore can help lower the irritation and inflammation. Wrap some ice or frozen peas in a kitchen towel, and place it on your cold sore.

You’ll want to avoid freezing your skin with direct contact with ice.

Honey

Even if putting honey on your cold sore doesn’t get rid of it, it will definitely calm your skin down. Simply apply honey to the cold sore and let it crust over. Reapply as needed.

Lemon Balm

The antiviral properties of lemon balm can help get rid of cold sores quickly. Simply apply the lip balm to your lip and repeat as needed. 

Cold Sore Myths

Not all home remedies you read about work when it comes to cold sores. Some even harm your skin and make your cold sore worse. This is what you SHOULD NOT use to treat a cold sore.

Alcohol

While rubbing alcohol is a great disinfectant, it can cause stinging and irritation on your cold sore. Remember: a cold sore is an open wound. But, it’s not the same as the one you get from falling off your bike. There are a lot more gentle and effective treatments and home remedies for cold sores than alcohol. 

Bleach

Bleach is a very harsh substance. It can irritate your skin, lungs, and eyes. Plus, it can burn any skin tissue it comes into contact with.That’s why there’s a reason you need to wear gloves when you’re cleaning with bleach. While it’s great for cleaning bathrooms, it’s far too hard to be used on your skin. 

Please, don’t believe this cold sore myth. It’s not safe to put near your mouth.

Windex

We blame “My Big Fat Greek Wedding” for this cold sore myth. Don’t put Windex or any kind of window cleaner on your skin, especially on your cold sore. 

It wasn’t made or tested as a skincare product. So, please avoid irritation, burning, and pain by never placing it on your lips (or any part of your body).

Talk to a Doctor about a Cold Sore

Cold sores may be common. But, you should still take them seriously. Taking prescription antiviral medication and ointments is the most reliable way to get rid of them. 

Still, it’s not always easy to talk to your doctor in person about cold sores.

Whether you’re embarrassed about cold sores or too busy to book an in-person appointment, you still have a right to the health care you deserve.

(11/19/2021)
by Carefree M.D.

More Information: N


Views: 791
Share
Share

Too Busy for Proper Dental Care? Three Dental Tips for Busy People

Thinking you are in need of dental tips for busy people? If you feel that you are so busy that it is hard for you to find the time to properly take care of your dental health, then learning some tips that can help you to take better care of your mouth is definitely a great idea!

The world we live in today is one that finds most of us constantly on the move, which can make it difficult for many to find the time to perform everyday basics, including proper dental care.

Proper dental care

Proper dental care requires everyone to brush their teeth at least twice a day and floss their teeth at least once a day. It is essential to brush the teeth in order to remove any of the plaque buildups that can lead to a gum disease diagnosis. It is essential to floss teeth at least once a day in order to remove any leftover food particles from eating, which can also lead to a gum disease.

Dental tips for busy people

The following are some dental tips that will help to make the lives of busy people easier.

Dental tip #1 – keep a spare toothbrush handy. Forgetting a morning brush happens, keep a spare around at the office just in case.

Dental tip #2 – chew sugar-free gum. When flossing is not a choice after eating and food is stuck in between teeth, chewing sugar-free gum can help to remove the food particles.

Dental tip #3 – have healthy snacks available. Carrying snacks that support a healthy mouth is a great idea for busy people who often find that they do not have the time to eat three meals a day. A few examples of snacks that support healthy teeth include apples, carrots and almonds.

Need more dental tips?

We recommend that you learn as many dental tips for busy people as you can, as they can definitely help you take better care of your dental health. While we completely understand that so many people live busy lives, we cannot stress the importance of proper dental care.

Did you know that when you do not provide yourself with the proper dental care, it can negatively affect your overall general health, too? Since you are super busy, you simply cannot afford to have your dental health or general health be in jeopardy. 

(11/25/2021)
by Portola Dental Group

More Information: https://www.portoladentalgroup.com/too-busy-for-proper-dental-care-3-dental-tips-for-busy-people/


Views: 685
Share
Share

Your Gums are as Important as Your Teeth

Rule number one: don’t forget about your gums! Your gums are just as important as your teeth. Yet, we often forget about the importance of our gums and how they impact our overall health. To help you take better care of your gums, read on to learn more about why your gums are so important and why they deserve more of your attention during your daily brushing.

What Makes Our Gums So Important?

You know what your gums are, but do you know what they’re made of and what they do? For starters, your gums are made up of tissue covered by a mucous membrane that works to keep your mouth nice and clean. Their main function is to keep your teeth in line and to anchor them into your mouth. Additionally, they help to absorb any shock that your mouth endures and work inline with other tissues to perform important functions. In short, they are what keep your teeth in position and help you to chew and speak properly.

Why They Need Care?

Without proper gum care, you’re putting yourself at risk of developing gum disease and periodontal disease. Gum disease has also been closely associated with other degenerative diseases. So without proper care, you could become susceptible to a number of health issues.

What Happens When We Neglect Our Gums?

Similar to our gut, our mouths also host a number of complex bacteria. When you take proper care of your gums, they are protected from disease-causing bacteria in your mouth. However, when you don’t give your gums the attention they need, you open yourself up to bacteria that can wreak havoc on your oral cavity and even your overall health. To prevent this from happening, you need to properly brush and floss your gums every single day. You can also improve the health of your gums by avoiding cigarettes, eating a healthy diet of essential nutrients and vitamins, and visiting your dentist as recommended.

How To Identify A Gum Problem?

If you experience bleeding when brushing, or if your teeth appear somewhat loose, you should immediately visit your dentist to have them inspected and treated, if necessary. Your gums should also appear light pink in colour – any changes to a pale or white colour may indicate health issues.  The sooner you find any issues, the more likely it can be reversed. Providing your gums with the proper care they need and visiting your dentist when recommended, is the best way to keep your gums in good shape.

Your gums play a vital role in your oral health and are just as important as your teeth. 

(11/21/2021)
by The Teal Umbrella

More Information: https://thetealumbrella.ca/2018/05/your-gums-are-as-important-as-your-teeth/


Views: 717
Share
Share

Seven Reasons to Consider Teeth Reshaping

Do you feel bothered by having mismatched teeth? Would you like to change the shape or length of a tooth to match the surrounding teeth? Dentists can easily reshape and contour your teeth to fix minor irregularities and improve the overall appearance of your smile. Learn more about teeth reshaping and why you should consider contouring your teeth. 

What is Teeth Reshaping?

Also known as dental contouring, teeth reshaping is a cosmetic technique that removes tiny pieces of the enamel to change the shape, length or surface. It’s often done to correct crooked or cracked teeth but can also be used to decrease overlaps, create a rounded appearance and enhance the uniformity of your smile. 

How Is It Done?

Teeth contouring is fast and pain-free. In less than 1 hour, you can be in and out of the dental office. To start the procedure, your dentist will first take X-Rays to evaluate the tooth that you would like to fix. If the condition of your enamel is sound, they will remove small amounts of the outer surface of your tooth with a drill or laser to trim and reshape the teeth as desired. After the contouring is complete, the teeth will be polished to ensure they are smooth. 

Reasons to Consider Teeth Reshaping

There are many reasons to change the size, length and surface of your teeth. Here are the most common ones:

1.- Your teeth are unequal in length

2.- You have a slight overlap

3.- A single tooth appears to be too long or too large compared to the rest

4.- There are bumps or imperfections on the surface of your teeth

5.- You have chipped or cracked teeth you would like corrected

6.- You have teeth that look pointed that you would like rounded or squared out

7.- You’d like subtle changes to make your smile look more appealing

Other Benefits

Teeth contouring can be combined with other cosmetic treatments such as teeth whitening for more dramatic effects. Bonding and veneers can also be used in conjunction to address larger imperfections.

(11/20/2021)
by The Teal Umbrella

More Information: N


Views: 683
Share