Dentists Journal

Top Ten Stories of the Week
1/8/2022

All Dentists Journal · Previous Week · This Week · All Time List · Headlines

Share

How To Get A Stuck Piece Of Dental Floss Out Of Your Mouth

If you’ve been flossing your teeth for more than a few years, you’ve probably run into this problem before: you’re flossing your teeth like normal, and the floss suddenly snaps off between two teeth. Getting it out seems impossible, and you’re stuck trying to pry out the tiny piece of thread that refuses to budge.

The good news is that this happens to pretty much everyone at least once, and it’s usually a pretty simple fix. There are a few ways you can go about the removal process, but as long as you stay calm and don’t panic over your temporary problem, you should be able to fix the problem in no time at all!

Why Is Dental Floss Getting Stuck Between My Teeth?

The main reason for dental floss getting stuck in a place that makes it difficult to remove really comes down to how much space is in your mouth. Whether this space is due to your oral hygiene routine or just your teeth themselves depends on how much time you usually spend cleaning your teeth.

In some cases, the floss may have gotten snagged on some buildup of plaque or tartar. If you’re just getting back into the habit of flossing your teeth or if you’re flossing an area of your mouth that’s especially tricky to reach, you may have a buildup of hard matter between your teeth that can snag or trap a thread of floss.

If you’ve been flossing religiously for ages, but your floss is still getting snagged, it could be a question of space. In many cases, dentists and orthodontists today are less eager to pull teeth today than they would have been years ago, which means that you probably have less space between your teeth than your parents or grandparents.

While having more teeth is absolutely not a bad thing (it can actually be a plus, most of the time), it may reduce the amount of room in your mouth. In turn, this means that the tighter fit between teeth may be more likely to trap your dental floss.

Finally, the brand of floss itself may play a role. If you’re using an off-brand or relatively cheap brand of floss, you may have to deal with more breakages than normal.

Will Dental Floss Just Dissolve?

Once you’ve lost a bit of floss between your teeth, you may be tempted to just shrug and leave it there. After all, if we put it in our mouths on a regular basis, it’s got to be pretty biodegradable, right?

Unfortunately, while dental floss is perfectly safe for use, it doesn’t exactly dissolve if left on its own. Most dental floss is made of either nylon or Teflon with a flavored coating or some other waxy polish.

Both nylon and Teflon are relatively tough fibers that are hardy enough to hold up to the digestive acids in your stomach, let alone the saliva in your mouth. While both are usually free of any dangerous chemicals or compounds, they’re still pretty tough. This means that it’s probably not going to go away on its own if you leave the broken thread stuck between your teeth.

Even if it did dissolve, having a bit of thread stuck between your teeth for days on end would be an extremely uncomfortable or awkward experience. As a general rule, we’re all usually pretty aware of foreign objects inside the body, and it would be easy to fixate on that tiny bit of floss to the point where it would become a distraction.

For this reason, if you’ve gotten a piece of floss stuck between your teeth, the best thing to do really is just to get it out as soon as possible. You’ll feel so much better once it’s gone, and you won’t have to deal with the constantly nagging reminder of the tight fit between your teeth.

Steps To Take When Dental Floss Is Stuck

Regardless of the cause, once you’ve got some floss stuck in your teeth, you should focus on getting it out as soon as possible. Again, this is a problem that a lot of people deal with on a regular basis, which means that getting that floss loose is usually pretty simple.

To dislodge a stuck piece of dental floss:

Stay calm. Stressing out over a stuck piece of floss will usually only make the problem worse, so it’s extremely important that you keep calm and don’t panic!

Stay away from sharp objects. Your first instinct may be to reach for a pair of tweezers or a toothpick. However, this is usually a bad idea, as you run a higher risk of cutting or tearing your gums.

Rinse your mouth. Rinsing your mouth with lukewarm water will reduce any swelling around your gums and can often dislodge the floss itself for a quick fix! In addition, if you’re already bleeding from the flossing, this will help stop the flow of blood.

Try a water flosser. If possible, use a water flosser to create a sustained stream of water that will force the bit of floss out from between your teeth until you can remove it completely.

Pull from one side. If the previous two entries haven’t help, don’t try to grab the stuck floss from both ends. Rather, get a grip on one end only and pull in a smooth motion.

Why Did My Dental Floss Break?

As mentioned previously, dental floss tends to break either because it’s caught on something hard or sharp or else because it’s thin and fragile enough to easily tear. If the first is the case, the cause may go deeper than simple tartar buildup.

If you have any crowns or fillings in your smile, depending on the material your dentist or orthodontist used, you may have some sharp edges lurking in the back of your mouth. While you yourself may not notice these sharp edges throughout the day, they can often be enough to catch and tear a thin piece of dental floss.

If you don’t have any dental implants (and if you’re certain the problem isn’t your teeth), you may want to take a closer look at the dental floss that you use. It can be tempting to cut costs by purchasing a cheap brand of floss the next time at the store, but that cost may come back to bite you.

Pay attention to the brand of floss you use. If you notice that one brand or another breaks more often than it should, it may be time to consider permanently switching.

Finally, make sure you’re not flossing too aggressively. Any additional strain on your floss could not only risk breaking the strand in your mouth, but could also increase the risk of damaging or even potentially injuring your gums if you press too hard and cut the skin.

(12/31/2021)
by Dental Care Report

More Information: N


Views: 741
Share
Share

What to Do About Black Triangles Between Your Teeth

Black triangles between your teeth, called open gingival embrasures, are one of the conditions people often want to fix.

Repairing these openings isn’t just cosmetic, though. There are important health reasons to mind the gaps.

What are open gingival embrasures or black triangles?

The simple answer is that they’re triangle-shaped gaps between your teeth. Roughly 67 percent of people over 20 years old have them.

It’s important to understand how they develop and what to do about them, because they can lead to further problems with your oral health.

What causes them?

If you notice gaps forming between your teeth, it’s important to discuss it with your dentist.

Black triangles can appear between your teeth for several reasons, and some causes are related to the health of your teeth and gums.

Gum recession

Plump, pink, healthy gum tissue hugs your teeth, filling the spaces between them.

Age, smoking, and periodontal (gum) disease can cause gums to recede or pull away from the teeth. This can expose the roots, leaving them vulnerable to bacteria, plaque, and cavities.

Bone loss

Gum disease, osteoporosis, and other conditions can cause a loss of bone near the base of a tooth. When bone is lost, the gum tissue in that area may also recede. This leads to the formation of black triangles.

Dental hygiene habits

Gum tissue is sensitive. If you brush your teeth too aggressively, you can damage your gums over time.

A 2011 studyTrusted Source found that other dental hygiene cleaners — tiny wand-like brushes used to scrub between teeth — can also lead to black triangles if too big for the space.

Orthodontic treatment

If you’ve had orthodontic care, small gaps may form between your teeth as they move into new positions.

Sometimes, orthodontic bands or other parts of the appliance can damage the gums, too.

A 2018 studyTrusted Source found that the likelihood of adults with braces developing black triangles between their upper and lower incisor teeth was 22 percent and 36 percent, respectively.

Triangular tooth shape

Some people have rectangular teeth, where the width of the tooth at the gum line isn’t much different than the width at the biting point.

Some people have teeth narrower at the gum line so that the tooth has a more triangular shape. Triangular teeth are more likely to develop these gaps.

Thin, fragile tissue

The thickness of gum tissue varies from person to person.

A 2013 reviewTrusted Source found that thin gum tissue is less resilient, so if you have a crown, a dental implant, or periodontal surgery, your gums may not restore themselves to their previous fullness afterward.

 

How can you get rid of the gaps?

Depending on the cause and severity of the gap, a number of treatment options exist.

Here are several to consider and discuss with your dentist or oral surgeon.

Gentle dental hygiene

Flossing your teeth and brushing twice daily is the advice from the American Dental Association (ADA). The ADA emphasizes the need to floss with care to avoid hurting your gums.

Check out this article for easy steps to perfect flossing.

If the black triangles between your teeth are minimal and your gums are healthy, changing your dental hygiene habits may allow your gums to return to normal.

Hyaluronic acid treatment

In some cases, your dentist can regenerate gum tissue with injections of hyaluronic acid.

Some advocatesTrusted Source prefer this process to surgical corrections as it’s less painful and has a quick recovery period.

Because this treatment is relatively new, there’s little research on how long the effects last.

Composite resin

Some people elect to have their dentist fill the gaps with composite resin bonding.

Depending on your individual needs, your dentist might recommend using a pink resin, a tooth-colored resin, or both to flesh out the black triangles between your teeth.

This process doesn’t require surgery and takes some time to complete — a period of months, in some cases — because the resin is applied in thin layers so it looks natural, and your gums can adapt to the smaller space.

Your dentist can also add tooth-colored composite veneers to round out the appearance of the teeth.

Braces

If black triangles formed between your teeth because of a procedure or process that moved your teeth, you may be able to close the gaps by moving teeth together with braces.

Orthodontic treatment takes time, but the aesthetic results may be worth the time and cost.

Veneers

Your dentist can cement ceramic or porcelain veneers to the surface of the tooth to fill in gaps and create a more even smile.

Most of the time, applying veneers involves altering the surface of your natural tooth so the veneer and tooth form a strong bond. Experts say veneers last between 18 months and 20 yearsTrusted Source.

Surgical remedies

In advanced cases of gum recession, some periodontists recommend tissue grafting. A periodontist is a dentist who specializes in gum disease and dental implants.

In this procedure, your periodontist removes a small amount of tissue from the roof of your mouth and grafts it over the receded areas around your teeth. Bone grafts may also be necessary to build up the bone at the base of your tooth.

Depending on how much of your gum tissue has pulled away from your teeth, your periodontist may also be able to use a pinhole technique to loosen the gum and reattach it using collagen strips.

This procedure is considered less invasive because it doesn’t require large incisions or sutures that can disrupt blood supply to the area.

In one small study of five participants, pinhole surgical repair was 96.7 percentTrusted Source effective in repairing black triangles between teeth.

 

 

The bottom line

Black triangles called open gingival embrasures can form between your teeth when your gums pull away from your teeth.

Age, harsh dental hygiene methods, gum disease, bone loss, and the size and shape of your teeth and gums can all contribute to the formation of these triangles.

Appearance isn’t the only reason people want to correct triangles. They can trap food and bacteria, which causes further dental problems.

There are a range of treatments available, starting with changing your toothbrushing and flossing habits.

Depending on the severity of the condition, your dentist, oral surgeon, or periodontist might recommend hyaluronic acid injections, composite resin bonding, veneers, braces, or surgical corrections.

If you notice black triangles forming between your teeth, talk to your dentist to decide which intervention makes the most sense in your case.

(01/04/2022)
by Healthline

More Information: https://www.healthline.com/health/dental-and-oral-health/black-triangles-teeth#causes


Views: 752
Share
Share

How Long Does It Take For Bleeding Gums to Heal?

Most of us work hard to keep our dental health in check, making sure we brush twice a day as well as floss. And for those of us who do put the time into our oral health, it can feel frustrating to still see some blood in the sink. It seems like we’re doing everything right, so what the heck is going on?

If you’ve been seeing a little bit of blood in the sink every time you brush, or have just started a new flossing routine and noticed your gums are red and inflamed, here’s what may be happening — and how long it should take for your bleeding gums to heal.

What Causes Bleeding Gums?

According to Dr. Samantha Rawdin, DMD, prosthodontist at Gallery 57 Dental in Bronx, NY, one reason you may be seeing blood in the sink after brushing and flossing is that you’re dealing with gingivitis, a mild form of gum disease. “Leaving plaque and food debris on [tooth] surfaces causes inflammation of the gums, and the inflammation is what causes the bleeding,” Dr. Rawdin says. Luckily, gingivitis is reversible.

Another reason for bleeding gums? You’ve just started a new daily flossing routine, and you’re being a little too rough with your mouth, explains Dr. Rawdin.

How Long Before Bleeding Gums Heal?

If you’re starting a new flossing routine, Rawdin says it can take a week or so for your gums to settle down and potentially stop bleeding. If you’re dealing with gingivitis, individual prognosises vary, so it’s best to talk with your dentist first. After talking with your dentist, using an antigingivitis toothpaste like parodontax — which has been shown to significantly reduce plaque and bleeding gums.

However, if the plaque between your teeth has mineralized and become stuck, you’ll likely need to call in the pros, as you may be dealing with tartar. According to Rawdin, “no amount of brushing or flossing” will remove tartar, which means you’ll need to have your teeth professionally cleaned at your dentist’s office.

How to Floss Properly

If you’ve been to the dentist and he or she doesn’t see any gingivitis or tartar, Rawdin says that it’s possible you may be flossing incorrectly. “To properly floss, take a piece of floss that’s approximately shoulder-width in length (about 18 inches) and wrap it around your index fingers so that there's about an inch of floss when held tight between your hands,” says Rawdin. “Then you'll slide the floss between the teeth. There's a small triangle of tissue between each of your teeth — pass the floss on one side of the triangle, hugging the tooth by making a small C shape with the floss, gently allowing it to pass just under the edge of the gums until you feel resistance, and slide the floss up and down a few times to scrub the plaque off of the teeth.”

Repeat that same process on the other side of the triangle of tissue before moving to the next tooth. Ideally, Rawdin says you want to use a new section of floss between each tooth to avoid redepositing the bacteria you’re removing.

Feel like your flossing and brushing game is on point and your gums are still bleeding? Talk to your dentist, there may be an underlying cause that will need some further investigating.

(01/05/2022)
by Parodontax

More Information: https://www.parodontax.com/amp/how-long-bleeding-gums-to-heal-flossing.html


Views: 676
Share
Share

Five Reasons You Should Consistently Use Mouthwash

Could your dental hygiene routine use a boost? Perhaps you should consider adding a mouth rinse to your daily ritual. If done correctly in accordance with the instructions on the label, mouthwash can greatly benefit your oral health! Here are just a few reasons you might consider to buy some on your next shopping trip.

1. Mouthwash helps to prevent gum disease.

Using mouthwash daily can greatly improve your health in a number of ways, including preventing gum disease. When the bacteria in plaque linger on your teeth, they release acids that can irritate the gums. This leads to an infection known as gingivitis—the first stage of gum disease. Every time you rinse with mouthwash, however, you can kill the bacteria that otherwise wreak havoc on the gums. With daily usage, you can protect your gums and keep them free from the damage of gum disease.

2. It helps you to reduce bad breath.

While mouthwash does not necessarily kill bad breath for good, it can certainly reduce it temporarily. Mouthwash kills odor-causing bacteria that prevail even after thorough brushing and flossing. That said, if your halitosis is symptomatic of a greater issue, such as gastroesophageal reflux disease, a daily mouth rinse will only mask the problem and you should instead consider discussing the issue with a doctor.

3. You can ward off tooth decay with mouthwash.

Using fluoride rinse is a great way to prevent cavities. Not only does it strengthen your enamel, but it also remineralizes your teeth—effectively halting the decaying process. Mouthwash also helps to prevent plaque buildup, which means you also have less harmful bacteria to release acids onto your dental enamel. Therefore, combining mouthwash with a regular brushing and flossing routine is a great way to keep your teeth safe from cavities.

4. Your mouthwash can serve different purposes depending on your oral health needs.

There’s a mouthwash to help with any number of oral health issues. If you need a little extra help controlling plaque buildup, for example, there’s antibacterial mouthwash available to assist. For those who don’t have enough fluoride intake to help prevent tooth decay and gum disease, there’s fluoride rinse! And if you’re suffering from gingivitis, you may need a prescription mouthwash to ward off the infection. Mouth rinse is a powerful addition to any oral healthcare regimen.

5. If you’re pregnant, mouthwash is particularly beneficial.

Mouthwash is highly recommended for pregnant women as an extra measure to combat “pregnancy gingivitis.” Unfortunately, this oral health issue can increase the likelihood of pregnancy complications and premature labor. Therefore, mouthwash is an important step in ensuring a happy and healthy pregnancy.

(01/07/2022)
by Caputo Dental

More Information: N


Views: 722
Share
Share

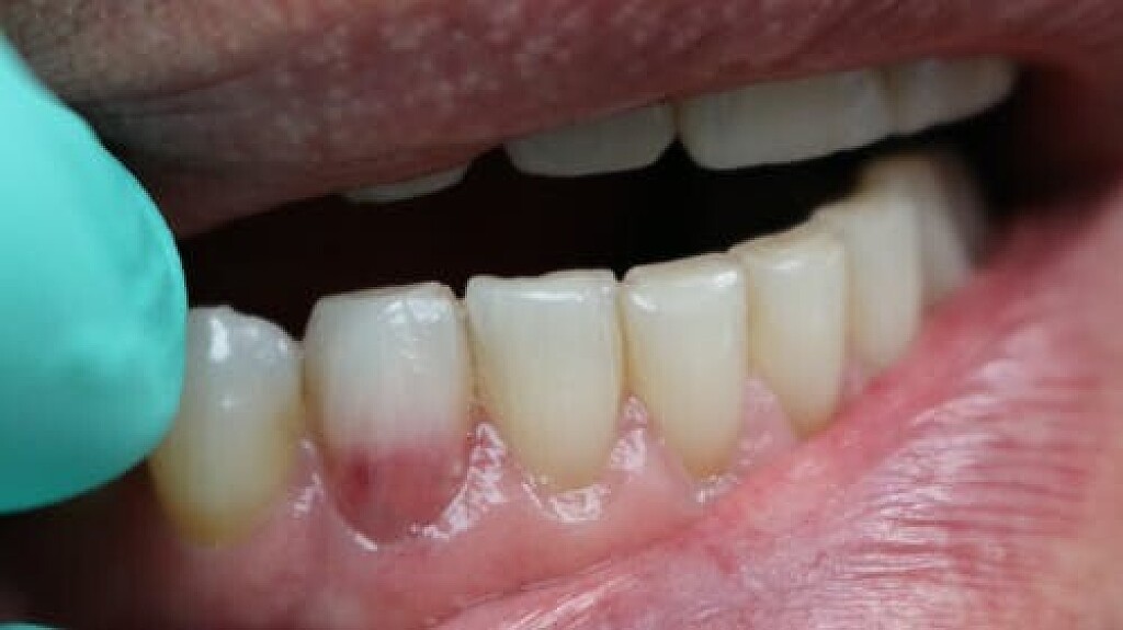
What’s that pink spot on a tooth?

Have you ever noticed a lightly discolored “pink spot” on a tooth and wondered what it was? You are looking at lesions that occur either internally or externally due to a resorptive process that results in significant loss of tooth structure.

Have you ever laid the patient back, started your examination, and then noticed a tooth that just didn’t look right? You might even question what your eyes are seeing. Does that tooth look pink?

During an examination, dental hygienists may notice what seems to be a lightly discolored pink spot located at the cervical region of a tooth or even found in the crown showing through (figure 1). In both locations, this appearance, or “pink spot,” has to do with granulation tissue present underneath the enamel.

These pink spots are destructive and often insidious types of lesions that can occur either internally or externally on the tooth, resulting in significant loss of tooth structure. Both lesions have to do with a resorptive process that is occurring—often trauma-induced. When you discover these lesions, you can break down the resorptive processes based on their location: external or internal.

External cervical resorption

External cervical resorption (ECR) is a type of external resorption that begins at or near the cementoenamel junction. Typically, patients present asymptomatic, and the lesion is simply discovered on routine exams or at prophylactic appointments. This type of resorption can occur in any type of tooth throughout the mouth. Still, a higher percentage of these lesions is noted in the maxillary anterior teeth and the maxillary and mandibular first molars.

For this type of resorption to occur, some type of damage has happened to the periodontal ligament and protective cemental layer in that area. Factors such as trauma, orthodontics, bleaching, periodontal surgery, and therapy can predispose the patient to this resorptive process. Even the transmission of feline herpesvirus and herpes zoster virus has been mentioned as a possible cause. So don’t forget to check those fur babies, because felines can present with resorptive issues on their teeth too!

ECR can be differentiated from root caries due to its pink hue and tactile sensation. During the examination, you will find that the dentin surrounding an ECR lesion is usually hard, whereas decay/caries typically feels sticky. When a clinician performs probing around this type of lesion, it will typically bleed—often profusely—because of the highly vascular granulation tissue, a result of the resorptive process.

Schwartz et al. described the process, noting that “osteoclasts initially penetrate the tooth through a small entry point and colonize this region. Clastic cells in association with fibrovascular tissue then spread in a circumferential and apicocoronal direction around the root canal system. Numerous irregular resorptive channels are created that can interconnect apically with the periodontal ligament.” If caught early enough, removal of the granulation tissue and restoration may be sufficient to resolve the issue. More invasive resorptive processes sometimes involve trichloroacetic acid treatment for the resorptive lesion, root canal therapy, surgery, or even loss of the tooth to correct.

To aid in deciding upon treatment, Heithersay developed a classification system from 1 to 4 based on the extent of the resorption into the tooth.

- Class 1 is the best situation and is confined to a shallow portion of the dentin around the cervical area. As the resorption increases, so does the extent.

- Class 2 approaches the pulp chamber but shows little involvement into the radicular dentin.

- Class 3 extends more so into the coronal one-third of the root.

- Class 4 extends beyond this area, deeper into the root system.

Typically, class 1–3 lesions can be predictably treated. Class 4, which extends into the radicular dentin, has a poorer long-term prognosis, and extraction is usually the outcome. Technology is making it more straightforward to diagnose and treatment plan with newer classification systems combining CBCT technology now being used as a guide in practice.

An internal resorption pink spot was historically referred to as the “pink tooth of Mummery,” named for the anatomist who described the condition. Like an ECR lesion, in this type of resorption, patients are typically asymptomatic, and the lesion is only noted either by its pink color that patients may notice prior to their visit or from routine radiographs.

In order for this type of resorption to occur, some type of damage had to take place inside the predentin layer, with inflammation present. Predisposing factors for this type of resorption include caries, trauma, restorative procedures, and heat. Vital pulp tissue is needed for this type of resorptive process to continue.

If the lesion becomes significant in size, necrosis of the pulp usually occurs, at which point the patient will begin to have typical pulpitis-related symptoms. Since the vascular tissue becomes necrotic, the tooth’s color may appear darker or gray with discoloration. Root canal therapy will resolve this type of resorptive process. As long as the process has not resorbed a significant portion of the tooth, prognosis is favorable. Repairs can be made with bioceramics, even in situations where the lesion has perforated to the external surface.

CBCT imaging or taking angled radiographs can help determine which type of resorptive process is being presented. Periapical radiographs are not great at giving you an accurate picture of the lesion’s size, but if you discover a possible resorption lesion upon clinical examination, you can use a periapical radiograph to determine if the lesion is indeed external or internal.

Start by taking a baseline radiograph of the lesion using a paralleling technique and a beam-aiming device, such as a Rinn instrument. With your second periapical radiograph, make a mesial horizontal shift with the tube head. If the process is on the tooth’s external surface, the resorptive lesion will move as the radiograph is shifted. Internal resorptive processes will always stay centered in the tooth when the angle is changed. 

With external resorption, one can typically trace the root canal space through the lesion.

Finding a “pink spot” during an exam can be a little disheartening. Clinicians never like to deliver bad news or have to prepare a patient for a poor prognosis. Luckily, the incidence of both of these conditions is low; however, early diagnosis and treatment are always best to ensure your patients’ health and retention of their teeth. Cheers! 

(01/03/2022)
by RDH

More Information: N


Views: 667
Share
Share

Proper Flossing Technique

It’s the question every dentist asks: “Do you floss daily?” Unfortunately, for many of us, the answer is no. Adding another step to your oral hygiene routine might seem like a hassle, but there are big benefits to making sure that you take your dentist’s advice and add flossing to your oral care routine. Gum disease begins at the gum line and between teeth. Daily flossing is an important part of helping remove the plaque from these areas where a toothbrush doesn’t completely reach. Even though you’ve been brushing and flossing our teeth for years and years, you may be surprised to learn you aren’t doing it properly. To truly reap the benefits of flossing, you need to use proper technique. We dive into the importance of flossing and the right way to get it done.

What is the importance of flossing?

Flossing dislodges food particles trapped between the teeth and under the gums where toothbrushes can’t reach. Imagine that the spaces between your teeth are like your kitchen floor. It gets dirty, but regular sweeping and mopping help keep it clean. Unfortunately, the longer you neglect them, the more buildup forms and the harder it is to clean. That’s what happens when you skip flossing: the spaces between your teeth gather plaque, making it harder and harder to keep them clean. When left unchecked, bacterial buildup can lead to cavities, bad breath, and gum disease.

What is the Right Way to Floss?Proper flossing removes plaque and food particles which is important to your oral health. Because plaque build-up can lead to tooth decay and gum disease, daily flossing is highly recommended. To receive maximum benefits from flossing, use the following proper technique:

Break off about 18 inches of floss and wind most of it around one of your middle fingers. Wind the remaining floss around the same finger of the opposite hand. This finger will take up the floss as it becomes dirty.

Hold the floss tightly between your thumbs and forefingers.

Guide the floss between your teeth using a gentle rubbing motion. Never snap or force the floss into the gums, as this may cut or bruise delicate gum tissue.

When the floss reaches the gum line, gently curve the floss around the base of each tooth, then, gently slide it into the space between the gum and the tooth.

Hold the floss tightly against the tooth. Gently rub the side of the tooth, moving the floss away from the gum with up and down motions. Repeat this method on the rest of your teeth. Don’t forget the back side of your last tooth.

Use clean sections of floss as you move from tooth to tooth.

To remove the floss, use the same gentle rubbing motion to bring the floss up and away from the teeth.

Once you’re finished, throw the floss away. A used piece of floss won’t be as effective and could leave bacteria behind in your mouth.

What are the types of floss?

The first step in banishing plaque from the tight spaces between your teeth is finding a product that you like and will use every day without fail. There are two types of floss from which to choose: nylon (or multifilament) floss or PTFE (monofilament) floss. Nylon floss is available waxed and unwaxed, and in a variety of flavors. Because this type of floss is composed of many strands of nylon, it may sometimes tear or shred, especially between teeth with tight contact points. While being more expensive, single filament (PTFE) floss slides easily between teeth, even those with tight spaces between teeth, and is virtually shred-resistant. When used properly, both types of floss are excellent at removing plaque and debris. The important thing to remember with floss, is that you choose a product with the ADA seal. That means the product has been endorsed by the ADA and verified to be safe and effective.

How do I make sure not to forget?

Even if you have the floss and know how to use it, you might still find yourself forgetting to clean between your teeth after you brush. You can try a few different techniques to see if it helps trigger your memory. It’s important to know that it doesn’t matter if you floss before or after brushing. A good trick to remember is to keep your floss where you’ll see it, like next to your toothbrush. That way, when you brush your teeth, you’ll remember to floss as well. Another thing about floss is that the best time of day to floss is whenever it fits best in your schedule! The trick is to make sure that, like brushing, you floss every day prior to going to bed. If you don’t like a brand of floss, don’t be afraid to shop around to find a size, shape and flavor that you like. Your dentist can likely give you samples if you don’t want to buy a new box just for a test drive. Flossing is just as important as brushing; that’s why your dentist always asks if it’s part of your oral hygiene routine. All it takes it a few extra minutes. Your gums and teeth will thank you!

(01/05/2022)
by Westermeier Martin Dental Care

More Information: https://wmsmile.com/proper-flossing-technique/


Views: 714
Share
Share

What’s the Best Toothpaste for Children?

Tips to Select the Best Children’s Toothpaste

As parents, you want what’s best for your children. You provide them love and support, and you strive to keep them healthy. One of the most prominent strategies parents employ to help their kids grow strong and stay healthy is monitoring what they eat. Parents seek to ensure their children are consuming proper servings of food each day. Eat those veggies! Have an apple for a snack! With so much attention paid to what our children put in their mouths to eat, it should be no surprise that the children’s toothpaste they use is important too.

At We Make Kids Smile, we want to help parents make the best choices for their children. Though no one knows their child or their needs better than the parent, we love the opportunity to offer our expertise and share our experiences to help parents choose the right toothpaste for their children.

There are many great kinds of toothpaste on the market, and we’d do parents a disservice if we tried to point them toward just a few. After all, caring for kids’ teeth is our job and our pleasure. We’re here to provide some insights that might be helpful so you can select the best children’s toothpaste for your child.

1. Look for that ADA Seal of Acceptance.

The Seal was developed back in 1931 and is a way to help those in the dental industry make educated and informed recommendations regarding the efficacy and safety of products to their customers. As dental professionals, we know those companies have taken the time and spent the resources to test their products and make sure they demonstrate safety and efficacy.

2. Pay attention to the flavor.

If you have a picky child, you know that if they have one bad experience with something, the likelihood of them trying it again is slim to none. With toothpaste flavors, this is no different. If your child hates the test once, not to mention dislikes the concept of the toothbrush itself in their mouth, then you are going to be hard-pressed to get them to try it again. This is why many children’s toothpaste options are available in more child-friendly flavors.

Though adults appreciate the fresh taste and long-lasting mintiness of a mint-based toothpaste, children aren’t as likely to enjoy that taste quite yet. Children’s toothpaste that tastes like bubblegum, fruit, and even chocolate tends to appeal to a child’s sense of taste. And if your child is a bit more stubborn, they might appreciate a tasteless variety.

3. Texture matters.

Kids are more sensitive to textures than you might think, and many kids will struggle with toothpaste texture. In these cases, dentists often suggest a toothpaste that does not have that gritty texture found in many adult toothpastes. In particular, a gel toothpaste can be an effective solution for children with autism or other sensory issues. To that end, combining a non-gritty gel instead of a toothpaste combined with a soft-bristled brush can create a far more enjoyable tooth-brushing experience.

4. Make it fun.

Of course, the best way to help kids develop a positive tooth-brushing routine is to make it fun. Many parents let their kids choose their toothbrush from a supply that they have on hand. After all, some children might enjoy a different toothbrush for each day of the week. As long as worn-out toothbrushes are disposed of and replaced with new ones periodically, there is no reason you can’t keep a supply of a few active toothbrushes on hand.

Also, why not have your child brush their toy’s teeth too? Keep a toothbrush bin in your child’s bathroom or in whichever bathroom they will use, with a brush for them and a toothbrush for Teddy too. Even better, make tooth-brushing a family experience with mom, dad, sister, and brother all sharing in the experience. Your teeth (and your dentist) will thank you for it!

5. Find the fluoride.

A natural cavity fighter, fluoride is naturally occurring in various water sources across the globe. It is naturally present in some beverages and foods, but the fluoride level in each varies quite a bit. The ADA suggests the addition of fluoride to dental products to help protect teeth from cavities.

How soon is too soon for your child to brush their teeth?

It is crucial to start your child off early so they can develop a lifelong habit of good dental hygiene. Parents can start cleaning their children’s teeth before their teeth even sprout through the gums. By using a soft, wet cloth or a clean finger brush, parents can gently wipe their baby’s gums to help remove bacteria. Not only will this help prevent damage to those growing teeth underneath the gums, but your baby will become familiar with the feeling of something in their mouth.

Tooth Care From 0 to 3

Once those teeth appear above the gumline, you can start gently brushing them once or twice a day. One of those times each day should be after their last meal and before they go to bed. Getting into this habit now will help familiarize your child with brushing their teeth and will set them on the path to good dental practices. At this stage of the game and until the age of three, parents should only use the amount equivalent of a grain of rice of low-fluoride toothpaste.

Tooth Care From 3 to 6

Once your child turns three, the amount of toothpaste used should be about the size of a pea. At this stage of the game, we suggest parents encourage their children to swallow as little toothpaste as possible. Teaching them to swoosh in their mouth and spit into the sink can even be a fun, albeit a bit messy, experience for little ones.

We know swooshing means clean-up. Remember that a little mess now is worth it so they can develop a lifetime of good dental habits. Sing a song like “Row, row, row your boat” to your child while they brush as a way to teach them how to handle their toothbrush as it makes its way across their teeth.

Tooth Care After Age 6

Once your child is six years of age, you may determine it is time to switch your child to an adult toothpaste. However, this isn’t necessary, as it is far more critical to make this change when it is right for your child. Six-year-olds often have a mind of their own, we know, so follow their cues. If they love the flavor of their toothpaste and brushing time is going well, there is no need to change unless they experience dental problems.

(01/03/2022)
by We Make Kids Smile

More Information: https://www.wemakekidssmile.net/whats-the-best-toothpaste-for-children/


Views: 901
Share
Share

Why Is There a Hole in My Gums, and How Can I Treat it?

We all experience sore or inflamed gums from time to time. But what does it mean when you find a hole in your gums?

A “hole” in the gums can appear as an area that’s become pocketed, cratered, or indented compared with the surrounding tissue. There are several things that can cause this to occur. The most common is gum disease.

Keep reading as we dive deeper into the potential causes, how they’re treated, and the steps you can take to prevent them.

 

What can cause a hole to appear in the gums or gumline?

Let’s take a look at the things that can cause holes to form in the gums. For each cause, we’ll break down what it is, what the hole may look like, and any other symptoms to look out for.

Periodontitis

Periodontitis is an advanced form of gum disease. Gum disease happens when plaque builds up on your teeth. Plaque is mainly made up of bacteria that eat the sugars from our food to get the energy they need.

As the bacteria eat these sugars, they also produce waste products, which can cause your gums to become irritated and inflamed, and bleed easily. This is called gingivitis.

When this inflammation spreads further into gum tissue and affects the bone, it can become periodontitis.

The American Dental Association estimates that periodontitis affects 47.2 percent of adults over the age of 30 in the United States.

Periodontitis can cause loss of tissue and bone. As this happens, the gums can pull away from the teeth, creating pockets or holes in the area between your teeth and gums.

Other symptoms of periodontitis include:

red, swollen gums

gums that bleed easily when you brush or floss

sore gums

bad breath

receding gums

sensitive teeth

loose teeth

discomfort or pain when chewing

Infections

Sometimes infections can cause holes to appear in the gums. This can happen due to viruses or bacteria.

One example of this is a condition called herpetic gingivostomatitis, which is caused by herpes simplex virus (HSV). This condition most commonly occurs in children who’ve initially contracted HSV, but it can also sometimes happen in adults.

Herpetic gingivostomatitis causes lesions to appear in the mouth, including on the gums. These lesions can appear concave or cratered and may form ulcers.

The condition can include other symptoms like:

red, swollen gums

fever

loss of appetite

irritability

malaise

swollen lymph nodes

It typically resolves on its own.

Other infections can cause holes to appear in the gums, although these are rarer. An example is actinomycosis, a bacterial infection that can affect the mouth and jaw. In rare cases, this infection has been documentedTrusted Source to lead to holes in the gums.

Open tooth socket

Another cause of a hole in the gums is an open tooth socket, which is present following a tooth extraction. This “hole” heals over time, filling with bone about 8 weeks after the extraction.

Pain and swelling are common following an extraction. It’s important not to disturb the area too much as it heals. Doing so can lead to a dry socket, a painful condition in which the nerve and bone of the healing tooth socket are exposed.

Necrotizing periodontal disease

Necrotizing periodontal disease is a rare form of gum disease. It typically comes on suddenly and is associated with tissue death (necrosis). It’s mostly observed in people with a weakened immune system.

In necrotizing periodontal disease, gum tissue can appear cratered or punched out. Painful ulcers may also appear. Necrotic areas can also be covered by something called a pseudomembrane, which is white or yellow in color.

Additional symptoms include:

severe pain

spontaneous bleeding

bad breath

receding gums

swollen lymph nodes

fever

Where can holes in your gums appear?

The location of a hole in your gums depends on what’s causing it. For example, an open tooth socket is found at the site of an extraction.

In periodontitis and necrotizing periodontal disease, the holes or pockets typically occur in the general area where the gums meet the teeth.

Meanwhile, infections may cause holes to appear at any location on the gums.

What does a hole in your gums look like?

The following pictures provide an idea of what a hole in the gums may look like.

How a hole in your gums is treated

How exactly a hole in the gums is treated depends on the cause. Let’s explore some potential treatment options.

Scaling and root planing

Scaling and root planing is used to remove plaque that’s located both above and below your gumline. It’s used to treat periodontitis. You may know this treatment as “deep cleaning.”

This treatment is a two-step process:

Scaling. During scaling, a dentist removes plaque that’s found on the teeth and in the pockets around the gumline.

Root planing. Root planing involves scaling the roots of the teeth, which are located deeper under the gumline. Planing helps smooth out the roots, which can help them reattach to your gums.

Scaling and root planing is an outpatient dental procedure. Often, a local anesthetic is used to minimize discomfort. Depending on the severity of periodontitis, more than one appointment may be needed.

Periodontal surgery

If periodontal disease has become severe, periodontal surgery may be recommended. There are several types of periodontal surgery. Some examples include:

Flap surgery. In flap surgery, a small incision is made in the gums. The gum tissue is then lifted, so plaque can be removed from the deeper surfaces of the tooth. This can help your gums fit more snugly against your teeth.

Regenerative procedures. The gum tissue is folded back and plaque is removed. A piece of material, which can be made from proteins or bone, is placed to help regenerate lost tissue and bone.

Gum grafting. Gum grafting helps treat receded gums. It involves taking gum tissue from another area of your mouth and using it to cover the exposed area of the tooth.

Antibiotics

In cases of severe periodontal disease or a bacterial infection, your dentist may prescribe antibiotics. These are medications that kill bacteria or slow their growth.

Preventing or slowing gum disease

There are many ways you can help prevent conditions that can lead to holes in your gums.

Brush and floss daily

Brushing and flossing your teeth each day helps reduce plaque buildup. It’s one of the best ways to prevent gum disease.

Follow the tips below:

Brush your teeth using a fluoride toothpaste for about 2 minutes twice each day.

Aim to use gentle circular motions when brushing. Avoid hard, back-and-forth motions.

Angle the bristles of the brush toward your gumline, so they can clean the area between the gums and the teeth.

Make sure to cover all sides of your teeth and to also brush your tongue.

Floss daily with dental floss to help clean the space between your teeth. Options include pre-threaded flossers or water flossers (Waterpiks).

Limit sugary foods

Sugary foods help feed the bacteria in your mouth, contributing to the development of plaque. Because of this, aim to limit your consumption of sugary foods like candies, cakes, and carbonated beverages.

See a dentist regularly

Plaque can accumulate on your teeth, despite regular brushing and flossing. Because of this, see a dentist for routine teeth cleanings. For most people, this means going to the dentist every 6 months.

It’s also important to see a dentist if you notice any concerning symptoms related to your teeth or gums. A dentist can help figure out what may be causing them and recommend a treatment.

If you don’t have insurance, there may be low-cost dentist options available to you.

If you smoke, quit

Smoking is a big risk factor for gum disease and many other health conditions. If you smoke, try to take steps to quit.

This can be difficult, and it may take several quit attempts. Consider reaching out to your doctor or another healthcare professional to develop a cessation plan. Having support can make all the difference.

(01/04/2022)
by Healthline

More Information: https://www.healthline.com/health/dental-and-oral-health/hole-in-gum


Views: 657
Share
Share

When Should Tooth Fillings Be Replaced?

Fillings decay over time for many reasons, some preventable and some not.

Number one reason is that chewing the food can damage fillings over time and cause them to deteriorate.  If you clench your teeth or grind the teeth (stress related) that can also hurt the teeth. The tooth can also decay underneath the fillings.  Tooth-colored fillings are weaker then silver (Amalgam) fillings, so they are not good options for teeth that are subjected to a lot of force like molars. Tooth-colored filings can break more efficiently, so they need their replacement much earlier than silver counterparts.

Signs

You should feel some sensitivity in the tooth. This is the first sign. Paying attention to these physical symptoms can let you know if it’s time for the dentist appointment. Tooth became sensitive to sweets, pressure, and temperature.

When you bite into any hot, cold or sweet food, you will notice or feel sensitivity or pain after they contact the tooth, which could be a sign of fillings needing to be replaced. You could have same pain during flossing or when toothbrush encounters the spot, or when you touch the teeth with your finger.

Pressure

Sometimes, you will feel pressure while biting the food. This can signal a damaged filling or damaged dental pulp.  Dentists can use specialized tools and x-ray to determine the spot, cracks or decay beneath the sauces. It’s best to replace your fillings in the early stages before you start to feel more pressure and discomfort.

Sharp Pain

In addition to pressure, you can start noticing the sharp and throbbing pain. Like pressure, it can go in a few minutes. It can be symptomatic while you are exposed to cold air during winter which is usually indicating the need for a new filling.

A toothache

Some people will experience a toothache. Inflammation may cause the pain in the dental pulp, which can happen as a result of a filling needing replacement.  If a toothache lasts longer then three days, schedule an appointment to prevent further complication with your dental health. If the pain last too long, pulp can develop an irreversible pulpitis, which eventually leads to necrosis.

Dark Spots

In addition to a physical sensation, sometimes you can see a sign that your fillings need replacement. One indication is that you encounter holes or dark spots during brushing or flossing. Paying attention to these signs is important cause you can minimize the risk of infection in your oral cavity by checking to your dentist as soon as possible.

Feel the tooth surface for roughness

Most people love the feeling of clean and fresh teeth. If you notice a tooth that never feels smooth after brushing or flossing you may need to check your fillings.

Keep an eye if anything makes roughness worse or better.

If any tooth is cracked, broken or you are missing the filling, you should make the appointment with a dentist.

Remember, always wash your hands with the soap and warm water before touching your mouth. This will minimize the risk of infection by introducing harmful bacteria into your mouth.

(01/06/2022)
by Advanced Laser Dentistry

More Information: https://azlaserdentistry.com/when-should-tooth-fillings-be-replaced/


Views: 682
Share
Share

Do I Need A Root Canal If My Tooth Is Dead?

Covid, global warming, and now you have a dead tooth. What else could go wrong? The happy news is that dead teeth can be treated. At Midtown Endodontist NYC the angst, discomfort from this malady is easily alleviated. In the hands of Drs. Steven Lipner  and Chiyoon Ahn and with the aid of an ultra-modern microscope dead teeth become beautiful, functional members of your smile.

What is a Dead Tooth?

A tooth is considered dead when the living tissue in the center of the tooth is invaded by bacteria and causes the tissue to necrose (die). The living tissue is composed of an artery, a vein, and a nerve. We call this organic tissue the pulp. It lies in the center of the tooth. It goes from the crown of the tooth to the very tip of the roots. This chamber in the top part of the tooth is called the pulp chamber, as it goes down the root it is simply called the canal of the root.

Treatment Options for a Dead Tooth

When a cavity, crack, fracture or trauma broaches the integrity of the pulp chamber inflammation immediately results, with an increase of blood flow to the pulp. This inflammation can at times be reversible without treatment, however If the inflammation proceeds to infection bacteria will be present. At this point the condition is irreversible and cannot be solved with antibiotics alone. The patient then has two choices:

Root canal therapy which preserves the tooth 

Extraction-which may need an implant to restore the missing tooth

When the pulp is infected it will die. Gas and pus will form inside the teeth and, if left untreated,  the infection will spread to the jaw bone creating a dental abscess. This will cause patients to have pain and their gums are swollen. When they lie down there is a throbbing pain. Hot temperatures make the tooth worse. Cold temperatures give a little relief or they cannot feel the cold at all. There is pain upon percussion or chewing food. There can be a general feeling of malaise or fever. The sooner endodontic treatment is instituted the easier the course of treatment and the faster the recovery will be. 

What is Root Canal Therapy?

RCT is a conservative relatively non-invasive procedure that, contrary to popular belief, relieves pain, swelling and infection in one or two dental visits.

The Root Canal Therapy Process

Patient is diagnosed by using an x-ray, followed by a clinical exam and a review of their medical history.

Insurance: Out of pocket expenses are discussed. 

Local anesthetic is given right by the tooth (from now on the patient doesn’t feel anything at all). 

A rubber dam is applied to isolate the tooth from the rest of the mouth. 

A small hole is drilled into the top of the tooth exposing the pulp chamber. 

Endodontic files clean all of the infected organic material in the canals. 

Pus is drained through the tooth, alleviating a lot of the discomfort immediately. 

The tooth is reamed, prepped and sterilized. 

The canals are obliterated with gutta-percha to prevent reinfection. 

Once the tooth is asymptomatic a core and crown are placed to restore the tooth to its original form and function.

(01/06/2022)
by Midtown Endodontist NYC

More Information: N


Views: 543
Share