My BEST Dentists Journal

All Journal Entries
Share

What’s that pink spot on a tooth?

Have you ever noticed a lightly discolored “pink spot” on a tooth and wondered what it was? You are looking at lesions that occur either internally or externally due to a resorptive process that results in significant loss of tooth structure.

Have you ever laid the patient back, started your examination, and then noticed a tooth that just didn’t look right? You might even question what your eyes are seeing. Does that tooth look pink?

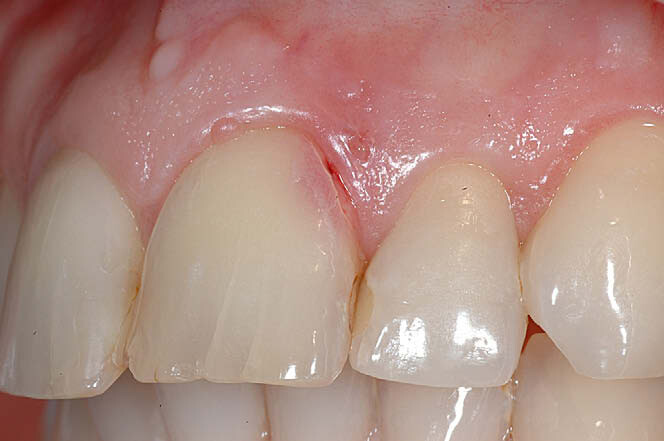
During an examination, dental hygienists may notice what seems to be a lightly discolored pink spot located at the cervical region of a tooth or even found in the crown showing through (figure 1). In both locations, this appearance, or “pink spot,” has to do with granulation tissue present underneath the enamel.

These pink spots are destructive and often insidious types of lesions that can occur either internally or externally on the tooth, resulting in significant loss of tooth structure. Both lesions have to do with a resorptive process that is occurring—often trauma-induced. When you discover these lesions, you can break down the resorptive processes based on their location: external or internal.

External cervical resorption

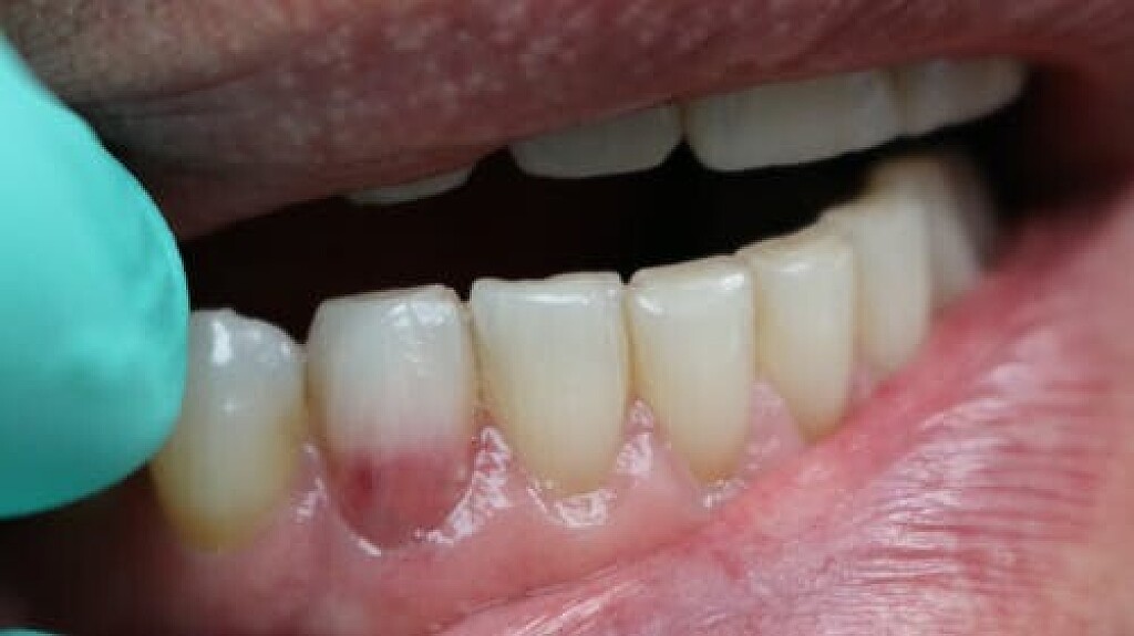
External cervical resorption (ECR) is a type of external resorption that begins at or near the cementoenamel junction. Typically, patients present asymptomatic, and the lesion is simply discovered on routine exams or at prophylactic appointments. This type of resorption can occur in any type of tooth throughout the mouth. Still, a higher percentage of these lesions is noted in the maxillary anterior teeth and the maxillary and mandibular first molars.

For this type of resorption to occur, some type of damage has happened to the periodontal ligament and protective cemental layer in that area. Factors such as trauma, orthodontics, bleaching, periodontal surgery, and therapy can predispose the patient to this resorptive process. Even the transmission of feline herpesvirus and herpes zoster virus has been mentioned as a possible cause. So don’t forget to check those fur babies, because felines can present with resorptive issues on their teeth too!

ECR can be differentiated from root caries due to its pink hue and tactile sensation. During the examination, you will find that the dentin surrounding an ECR lesion is usually hard, whereas decay/caries typically feels sticky. When a clinician performs probing around this type of lesion, it will typically bleed—often profusely—because of the highly vascular granulation tissue, a result of the resorptive process.

Schwartz et al. described the process, noting that “osteoclasts initially penetrate the tooth through a small entry point and colonize this region. Clastic cells in association with fibrovascular tissue then spread in a circumferential and apicocoronal direction around the root canal system. Numerous irregular resorptive channels are created that can interconnect apically with the periodontal ligament.” If caught early enough, removal of the granulation tissue and restoration may be sufficient to resolve the issue. More invasive resorptive processes sometimes involve trichloroacetic acid treatment for the resorptive lesion, root canal therapy, surgery, or even loss of the tooth to correct.

To aid in deciding upon treatment, Heithersay developed a classification system from 1 to 4 based on the extent of the resorption into the tooth.

- Class 1 is the best situation and is confined to a shallow portion of the dentin around the cervical area. As the resorption increases, so does the extent.

- Class 2 approaches the pulp chamber but shows little involvement into the radicular dentin.

- Class 3 extends more so into the coronal one-third of the root.

- Class 4 extends beyond this area, deeper into the root system.

Typically, class 1–3 lesions can be predictably treated. Class 4, which extends into the radicular dentin, has a poorer long-term prognosis, and extraction is usually the outcome. Technology is making it more straightforward to diagnose and treatment plan with newer classification systems combining CBCT technology now being used as a guide in practice.

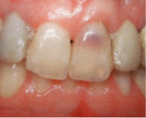
An internal resorption pink spot was historically referred to as the “pink tooth of Mummery,” named for the anatomist who described the condition. Like an ECR lesion, in this type of resorption, patients are typically asymptomatic, and the lesion is only noted either by its pink color that patients may notice prior to their visit or from routine radiographs.

In order for this type of resorption to occur, some type of damage had to take place inside the predentin layer, with inflammation present. Predisposing factors for this type of resorption include caries, trauma, restorative procedures, and heat. Vital pulp tissue is needed for this type of resorptive process to continue.

If the lesion becomes significant in size, necrosis of the pulp usually occurs, at which point the patient will begin to have typical pulpitis-related symptoms. Since the vascular tissue becomes necrotic, the tooth’s color may appear darker or gray with discoloration. Root canal therapy will resolve this type of resorptive process. As long as the process has not resorbed a significant portion of the tooth, prognosis is favorable. Repairs can be made with bioceramics, even in situations where the lesion has perforated to the external surface.

CBCT imaging or taking angled radiographs can help determine which type of resorptive process is being presented. Periapical radiographs are not great at giving you an accurate picture of the lesion’s size, but if you discover a possible resorption lesion upon clinical examination, you can use a periapical radiograph to determine if the lesion is indeed external or internal.

Start by taking a baseline radiograph of the lesion using a paralleling technique and a beam-aiming device, such as a Rinn instrument. With your second periapical radiograph, make a mesial horizontal shift with the tube head. If the process is on the tooth’s external surface, the resorptive lesion will move as the radiograph is shifted. Internal resorptive processes will always stay centered in the tooth when the angle is changed. 

With external resorption, one can typically trace the root canal space through the lesion.

Finding a “pink spot” during an exam can be a little disheartening. Clinicians never like to deliver bad news or have to prepare a patient for a poor prognosis. Luckily, the incidence of both of these conditions is low; however, early diagnosis and treatment are always best to ensure your patients’ health and retention of their teeth. Cheers! 

(01/03/2022)
by RDH

More Information: N

Views: 668
Share


My BEST Dentists Journal Headlines