My BEST Dentists Journal

All Journal Entries
Share

Abscess In The Mouth: Diagnosis, And Treatment

Abscess in the mouth can be an uncomfortable and painful oral condition that requires prompt attention. They are typically caused by bacterial infections and can develop in various areas, including the gums, teeth, and surrounding tissues. This comprehensive guide will explore the causes, symptoms, diagnosis, and treatment options for abscesses in the mouth, helping you understand this condition better and make informed decisions about your oral health.

UNDERSTANDING ABSCESSES IN THE MOUTH

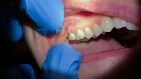
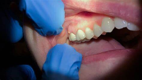
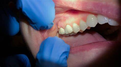
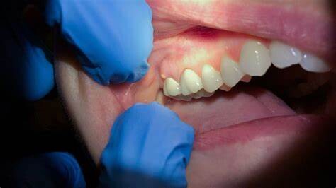
Definition of an Abscess:An abscess is a localized collection of pus that forms due to the body’s natural response to infection. In the context of the mouth, it occurs when bacteria invade the tissues, leading to an inflammatory response and the formation of a pus-filled cavity.

Causes of Mouth Abscesses:Mouth abscesses are primarily caused by bacterial infections. The most common bacteria associated with oral abscess is Streptococcus species, including Streptococcus mutants and Streptococcus intermedius. Poor oral hygiene, tooth decay, gum disease (periodontitis), and dental trauma are common factors that contribute to the development of abscesses.

SYMPTOMS OF ABSCESSES IN THE MOUTH

Localized Symptoms:Severe toothache or gum painSwelling and redness in the affected areaIncreased sensitivity to hot or cold substancesPresence of a bump or swelling filled with pusFormation of a fistula (a small channel) that drains pusFoul taste or odor in the mouthDifficulty in opening the mouth or swallowing

Systemic Symptoms:FeverGeneralized malaiseSwollen lymph nodesDifficulty in breathing or swallowing (in severe cases)

DIAGNOSIS OF MOUTH ABSCESSES

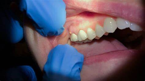
Clinical Examination:During a dental examination, the dentist will visually inspect the oral cavity, looking for signs of inflammation, swelling, or pus-filled areas. They will also assess the patient’s medical history and ask about the symptoms experienced.

Imaging Techniques:To confirm the diagnosis and determine the extent of the infection, the dentist may request imaging tests such as X-rays, dental cone-beam computed tomography (CBCT), or ultrasound. These tests help identify the location and size of the abscess, as well as any associated dental or periodontal problems.

Aspiration or Culture:In some cases, the dentist may perform an aspiration procedure, in which they use a needle to withdraw a sample of pus from the abscess for laboratory analysis. This helps identify the specific bacteria causing the infection and determine the most effective antibiotic treatment.

TREATMENT OPTIONS FOR MOUTH ABSCESSES

Incision and Drainage:In many cases, the primary treatment for a mouth abscess involves incision and drainage. The dentist will numb the area with a local anesthetic, make a small incision in the abscess, and allow the pus to drain out. This procedure is usually followed by thorough cleaning of the area and may require the placement of a temporary drain.

Antibiotics:To control the infection and prevent its spread, antibiotics are often prescribed. The choice of antibiotic depends on the severity of the abscess, the patient’s medical history, and the results of the pus culture. It is crucial to complete the full course of antibiotics as prescribed by the dentist.

Root Canal Treatment or Tooth Extraction:If the abscess is caused by a severely infected tooth, the dentist may recommend either a root canal treatment or tooth extraction. A root canal treatment involves removing the infected pulp from the tooth and filling it with dental material to prevent reinfection. If the tooth is severely damaged or cannot be saved, extraction may be necessary. The dentist will discuss the options and help determine the best course of action.

Scaling and Root Planing:If the abscess is associated with gum disease, a procedure called scaling and root planing may be performed. This deep cleaning treatment removes plaque and tartar from the surfaces of the teeth and their roots, helping to eliminate the bacteria causing the infection.

Pain Management:During the treatment and recovery period, pain management is essential. The dentist may prescribe pain medications or recommend over-the-counter pain relievers to alleviate discomfort. Applying a cold compress to the affected area can also help reduce swelling and pain.

(07/28/2024)
by Swiss Dent Bodrum

More Information: N

Views: 460
Share


My BEST Dentists Journal Headlines