My BEST Dentists Journal

All Journal Entries
Share

Causes and Consequences of Tooth Loss

Tooth loss is something that many people dread. In fact, teeth falling out is a common nightmare, and the feeling of horror while you sleep can last long after you wake up.

Fears of losing your teeth can send you straight to a family dentist in Houston, TX. Dentists can monitor your oral health, including the health of your teeth and gums, to prevent tooth loss and maintain clean, pearly white teeth.

Here is some information for the public about tooth loss, including the common causes of lost teeth and the consequences of losing them. You’d be surprised to learn that losing teeth can actually have secondary effects on your health.

Good Oral Care

The elderly are the most common victims of tooth loss. However, people of all ages are prone to tooth loss. This can happen for several reasons, but the most common culprit is poor oral care. If you’ve ever visited a family dental care office, then you probably know what constitutes an appropriate level of oral care. Brush your teeth at least twice a day with fluoride toothpaste, floss daily, use an approved oral rinse, avoid overeating sugary or acidic foods, and visit a family dental care office at least once a year for regular checkups. Children should visit the dentist twice a year.

Tooth Loss in Children

There are two types of tooth loss that occur in children: loss of deciduous teeth—commonly referred to as your baby teeth—and loss of permanent teeth. Injury and neglecting to practice good oral care are the top causes of tooth loss in children. Tooth decay can cause teeth to fall out.

Sugary diets can cause children’s teeth to decay. A family dental care office can provide adults with recommendations for supervising their children’s diets and oral care routines.

Tooth Loss in Adults

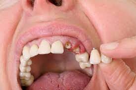
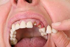
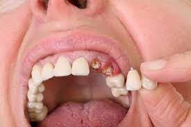
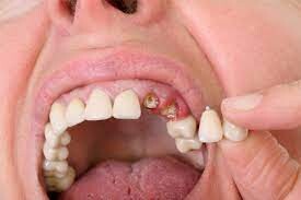
The most common causes of tooth loss in adults are gingivitis and dental plaque. Injuries also can knock teeth out, but this is less common.

Gingivitis, or gum disease, can deteriorate the gums and jawbones that support your teeth. Teeth may loosen if the tissue and bone under teeth are compromised. When this happens, you may have to have your teeth extracted at a family dental care office.

People who suffer from diabetes or heart disease, and smokers and tobacco chewers are more likely to lose teeth.

In the elderly, dry mouth, plaque buildup, gum recession, and old cavity fillings are the most common causes of tooth loss.

Consequences

Losing a tooth can lead to more than embarrassment. It can lead to trouble eating or speaking, pain, changes in your facial features, and an increased risk of bone deterioration.

If you have lost a tooth, visit a dentist right away. You can learn how to protect your remaining teeth, learn about implants and other treatments to replace teeth, and more.

(11/30/2023)
by Made Ya Smile Dental

More Information: N

Views: 243
Share


My BEST Dentists Journal Headlines