My BEST Dentists Journal

All Journal Entries
Share

Difference Between Sensitive Gums, Gingivitis and Gum Disease

Gum sensitivity and soreness are not uncommon, but they shouldn't be ignored. Spotting and addressing these types of early precursors to more serious issues is a critical aspect of preventative oral care.

How can you tell the difference between occasional sensitivity and progressive problems like gum disease? It starts by understanding the difference between sensitive gums and the hallmarks of gum disease.

Sensitive Gums: What Do They Mean?

Gum soreness, characterized by minor inflammation and slight gum pain, can often be a symptom of gingivitis, but in other cases it’s not quite so concerning. When it is localized and infrequent, one of the more common non-gingivitis causes is improper traumatic brushing and interdental cleaning.

If you’re brushing too vigorously, flossing with tenacity, or improperly using interdental brushes or picks, you might be overly harsh on your gums. If you use a toothbrush with stiff bristles, switching to a soft or even extra-soft bristled toothbrush might be a quick way to address your sensitivity. Stiff bristles can cause unnecessary irritation to the gums, potentially leading to gum receding over time, and can also damage the teeth and even lead to enamel loss and tooth sensitivity. Soft-bristled brushes are equally effective, yet much gentler on gums and teeth.

For more information on finding the right tools to suit your oral care needs, read our guide on how to choose the right toothbrush.

While it is one possible cause, in many cases people are too quick to assume that sore gums are a product of harsh brushing. As a result, these individuals are hesitant to brush along the gum line altogether. To their surprise, the redness and irritation persists. This is because the bacteria are the primary cause of gum troubles - not brushing. Allowing bacteria to accumulate along the gum line only exacerbates the problem, which can progress into a more severe outcome such as gum disease.

If you experience sensitive gums and irritation, you should adopt a strict oral hygiene routine to combat it: brushing twice a day, cleaning between teeth, eating a healthy diet and drinking water. A toothbrush designed for sensitive gums can make oral care more comfortable if sensitivity persists.

Gingivitis: When Gum Disease Starts to Show

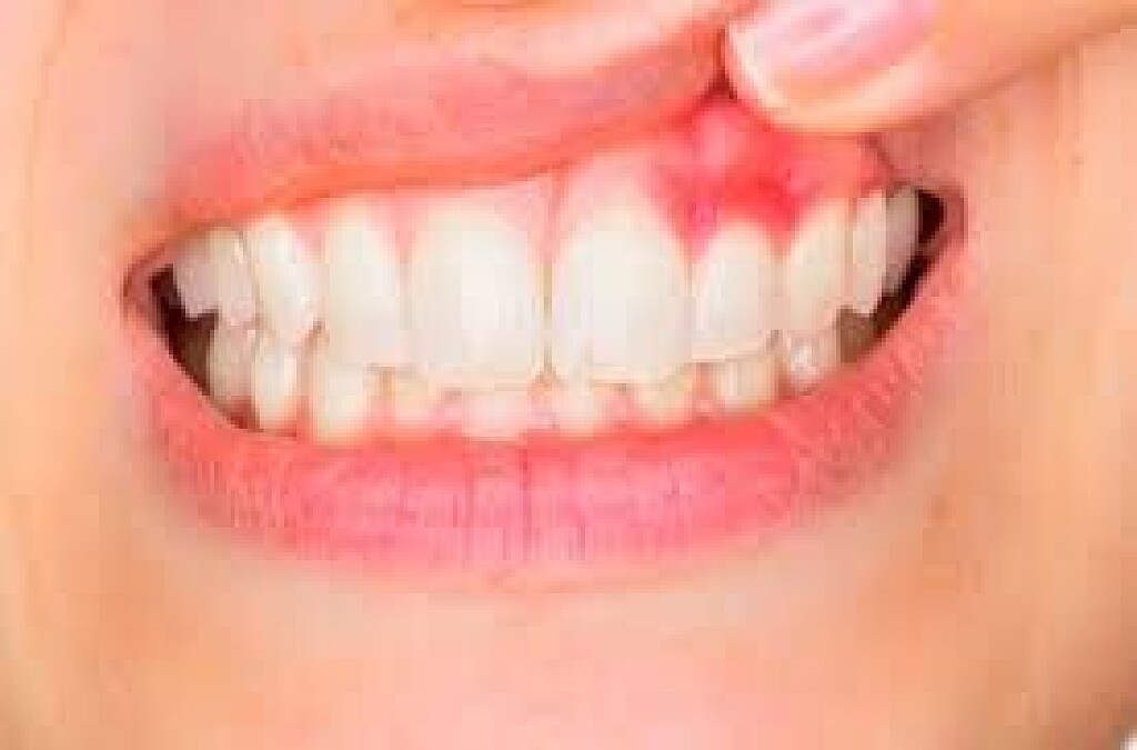
Gingivitis, the initial stage of gum disease, is not always painful, and therefore not easy to identify. Most common symptoms are persistent redness and swollen gums. Bleeding of the gums after brushing or flossing is also quite common. Know that under no circumstances is gum bleeding normal - if it doesn’t cease after a week or so of attentive oral care, consider visiting your dentist. (Ideally you’ll be rooting out any problems before bleeding occurs through your twice-annual preventative visits).

When you do visit, your dentist will likely explain that the bleeding is due to improper gum care. There are other causes (e.g. drugs or pregnancy) but improper care is most typical. As noted, many people brush around the gums less when they experience gum irritation or bleeding, when they should be brushing more and better to remove plaque buildup along the gumline.

The good news is that gingivitis is a reversible condition that is easily managed with proper at-home treatments. This problem will not go away on its own; rather, it will take a strict dental care regimen to remove plaque and mitigate gum disease. You should:

Brush twice a day using a soft-bristled toothbrush to soothe sensitive gums

Clean at least once per day between all teeth, paying attention to hard-to-reach areas

Use specialized anti-gingivitis products like mouthwash or toothpaste

Visit your dentist twice a year for a cleaning and exam.

Your dentist or hygienist will likely show you areas of concern in a mirror, while providing tips and instructions for how to properly brush, clean between your teeth, and mouthrinse. With diligent daily oral care, you can reverse and eliminate your gingivitis before it reaches the next level.

Periodontitis: When Gum Issues Become Serious

Unchecked gingivitis can evolve into the later stages of gum infection: periodontitis. In addition to severe gum irritation, bleeding, pain or sensitivity, you may experience loose teeth, exposure of the tooth root, unpleasant breath and/or identifiable pockets (spaces that fill with plaque) between the gums and teeth. This is a condition best avoided!

Unfortunately, when gum disease reaches this phase, loss of the supporting structures around your teeth has already occurred, which is irreversible. As a result, more invasive procedures and extensive routine at-home care are necessary to manage the problem. As such, understanding the severity of the disease and the importance of treatment is crucial to minimizing bone loss and ultimately tooth loss.

In-office dental treatments are necessary to treat periodontitis - including tooth scaling and root planing to remove plaque from pockets and make the disease more manageable. Your dentist may also recommend antibiotics. For people with more advanced bone and gum degeneration, surgical treatments targeting gum pockets and bone loss may be necessary. Routine dental visits are also essential, to monitor disease progression and implement new treatments when needed.

Preventative Dental Care Is the Hallmark of Disease Mitigation

Recognize the path from gingivitis to periodontitis. It’s not a coincidence that one leads to the other. Gum disease is progressive! And its prevention goes beyond just brushing. While poor oral hygiene is certainly the most common cause of gingivitis and a catalyst for gum degeneration, other factors may increase your risk, such as:

Smoking

Diet

Systemic diseases, such as diabetes

Family history

Pregnancy

Even healthy people with good brushing habits can develop gum disease as they age or through other life factors (e.g. stress). For these reasons, look out for the warning signs of periodontitis and implement preventative measures as early as possible. With proactive action, you can prevent it from evolving further.

(10/13/2021)
by Sun Star Gum

More Information: N

Views: 803
Share


My BEST Dentists Journal Headlines