My BEST Dentists Journal

All Journal Entries
Share

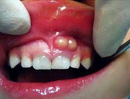
How To Get Rid Of An Abscess In The Mouth

Dealing with an abscess in the mouth can be both painful and concerning. It’s crucial to address this dental condition promptly to alleviate discomfort and prevent further complications. In this article, Coombe End Dental will guide you through the steps to effectively get rid of a mouth abscess while providing insights on its causes and prevention.

Understanding Mouth AbscessesA mouth abscess is a collection of pus caused by a bacterial infection. It typically develops due to dental decay, gum disease, or trauma to the tooth or surrounding tissues. Common symptoms include severe toothache, sensitivity to hot and cold, swollen gums, facial swelling, bad breath, and a bitter taste in the mouth.

Steps to Treat a Mouth Abscess

Step 1:

Seek Professional Dental CareThe first and most important step is to schedule an appointment with your dentist at Coombe End Dental. Dental professionals have the expertise to diagnose and treat mouth abscesses effectively. Prompt intervention will prevent the infection from spreading and causing more severe issues.

Step 2:

Drainage and AntibioticsDepending on the severity of the abscess, your dentist may drain the pus to provide immediate relief. They will make a small incision to allow the accumulated fluid to escape. In addition, your dentist may prescribe antibiotics to control the infection and prevent it from spreading.

Step 3:

Pain ReliefTo manage the pain associated with a mouth abscess, over–the–counter painkillers such as ibuprofen or acetaminophen can be used. Follow the instructions provided on the packaging or consult with your dentist for the appropriate dosage.

Step 4:

Maintaining Good Oral HygieneProper oral hygiene is vital in preventing and managing mouth abscesses. Brush your teeth twice daily using fluoride toothpaste and a soft–bristled toothbrush. Don’t forget to clean between your teeth using floss or interdental brushes. Rinsing your mouth with an antimicrobial mouthwash can also help reduce bacterial growth.

Step 5:

Warm Saltwater RinseA warm salt water rinse can alleviate discomfort and reduce swelling associated with a mouth abscess. Mix half a teaspoon of salt in a glass of warm water and gently swish the solution around your mouth for about 30 seconds before spitting it out. Repeat this process several times a day.

Prevention Tips:

Practice Good Oral Hygiene: Brushing, flossing, and using mouthwash daily will minimise the risk of dental infections.Regular Dental Check–upsSchedule routine dental visits at Coombe End Dental for professional cleanings and thorough examinations to detect any potential issues early on.

Address Dental Problems PromptlyIf you notice any signs of dental decay or gum disease, seek dental care promptly to prevent complications such as abscesses.

Avoid Smoking and Tobacco ProductsSmoking and tobacco use increase the risk of gum disease and compromise your oral health.Follow a Healthy DietA balanced diet low in sugary and acidic foods can help maintain healthy teeth and gums.A mouth abscess should never be ignored. Seeking professional dental care is essential to effectively treat the abscess and prevent the infection from spreading. Coombe End Dental encourages regular dental check–ups and diligent oral hygiene practices to minimise the risk of developing abscesses and other dental issues. By following these steps and adopting preventive measures, you can maintain a healthy and pain–free smile.

(07/04/2024)
by Coombe Dental Care

More Information: N

Views: 556
Share


My BEST Dentists Journal Headlines