My BEST Dentists Journal

All Journal Entries
Share

How to Prevent Calcium Buildup on Teeth

Preventing calcium buildup on your teeth involves proper brushing, daily flossing, dental checkups twice a year, and more.

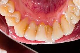
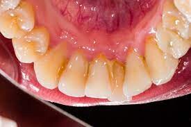
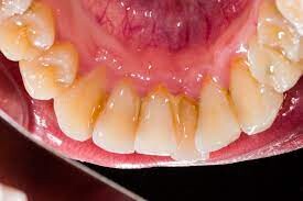
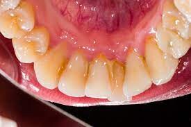
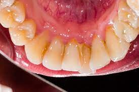
Calcium buildup—also called calcium deposits, tartar, or calculus—are hardened patches of plaque that form on the teeth. Plaque is a sticky film that coats teeth and contains bacteria. If plaque is not removed on a regular basis, it will harden and form visible calcium deposits (tartar).

Tartar typically arises in hard-to-reach areas of the teeth, especially along the gum line and between the teeth. Even if you take good care of your teeth, calcium deposits can still form, which is why regular dental cleanings and check-ups are important.

Once calcium builds up on teeth, it can't be removed by brushing, and left untreated, it can cause tooth decay and other complications.

This article will help you identify, remove, and prevent calcium buildup in the future.

Signs and Symptoms of Calcium Deposits

While plaque and tartar buildup can be asymptomatic at first, it’s more than an aesthetic issue and leads to various health issues. The primary signs of calcium deposits are:

A sticky film on teeth

Chronic bad breath (known as halitosis)

Bloody, red gums and/or bleeding after brushing or flossing

If left untreated, calcium deposits can be very damaging to your teeth. Much more serious dental issues can arise, such as:

Gingivitis (gum disease)

Periodontitis (gum infection)

Gum recession

Cavities

Tooth loss

Tooth abscess (infection)

Removing Calcium Deposits

Brushing and flossing can get rid of most plaque, helping to prevent calcium deposits from forming. However, tartar can arise both above and below the gum line and once it has formed, only your dentist can remove it. This is one of the main aims of regular dental cleaning. Dentists rely on several procedures to remove tartar:

Scaling: Scaling is using specialized tools to physically remove calcium deposits and plaque from your teeth. Nowadays, dentists and dental hygienists often use ultrasonic scrapers—instruments that vibrate at a very high rate and shoot water to get rid of tartar.  

Polishing: After your teeth are scaled and cleaned, your dentist or hygienist will smooth out rough areas of enamel and provide a final deep clean. This not only improves the appearance of your smile, but it also removes rougher areas that can attract bacterial build-up.   

Scaling and root planing: In tougher cases, the dentist will need to do more extensive work to remove calcium deposits further below the gum line and at the roots of teeth, and around bone.

Generally, the scaling and polishing procedures used to remove calcium deposits aren’t painful. However, if the gums are diseased, or if deep cleaning (scaling and root planing) needs to be done at the root of the tooth, you’ll need a local anesthetic.

Preventing Calcium Buildup

The key to preventing calcium deposits is proper dental hygiene. Regular and effective care of your teeth can get rid of plaque, stopping it from developing into tartar. In addition, these elements are important:

Proper brushing: Brush thoroughly and properly at least twice a day, for two minutes at a time. Electronic toothbrushes are generally more effective at removing plaque.

Flossing: Floss your teeth at least once a day. Be gentle but thorough as you work to pull food and plaque from surfaces brushing can’t access.

Eating habits: A balanced diet helps keep your teeth and gums healthy. Cut down on snacking between meals—especially sticky and sugary foods—and be sure to brush afterward if you do have a snack. There’s also a benefit to steering clear of sugary sodas, candies, and other sweets. 

Water irrigation systems: Water irrigation systems, such as the Water Pik, work on removing plaque and bacteria around the gum line. Water flossing is especially helpful for those reluctant to use string.   

Regular dental visits: Even an excellent level of oral hygiene can’t prevent calcium deposits from forming in certain areas. You should aim to get check-ups twice a year.

Summary

Calcium deposits, also known as tartar or calculus, arise when plaque on the teeth hardens and thickens. In addition to causing visible yellow, brown, or black deposits, they cause bad breath and bloody gums. In turn, this can cause gingivitis, periodontitis, cavities, tooth loss, and other dental issues.

Brushing and flossing alone can’t remove these deposits, so dentists employ procedures like scaling and polishing to remove them. Preventing tartar involves proper brushing, daily flossing, regular dental check-ups, and limiting sweet snacks.

(12/15/2023)
by VeryWell Health

More Information: N

Views: 675
Share


My BEST Dentists Journal Headlines