My BEST Dentists Journal

All Journal Entries
Share

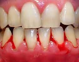
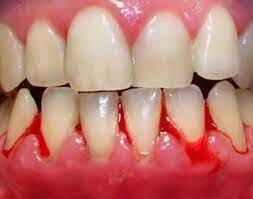
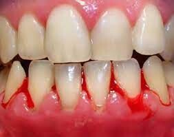
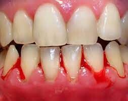
How to Stop Bleeding Gums

If you have experienced bleeding gums when you brush and floss, you are not alone. Maybe you have even shrugged it off as normal and not concerned yourself with what could be causing it. It is not normal for gums to bleed, so if you are experiencing it regularly, you should consider what steps you can take in order to stop your gums from bleeding.

Whether you are brushing and flossing too hard or you are experiencing a hormone surge, you still can help limit the amount your gums are bleeding. Here’s how.

1. BRUSHING AND FLOSSING

Brushing and flossing needs to happen at least once or twice a day, no matter what. Good oral hygiene removes food partials and bacteria that could be irritating your gums to the point of bleeding. Keeping up on oral care can help toughen up the gums, keeping them healthy and keeping any bad bacteria from penetrating them

2. STRESS REDUCTION

You might not have linked stress to your gums, but there is evidence that shows a link between stress and periodontal disease. Stress has a negative effect on the entire body, resulting in a potentially weakened immune system. With an inability to fight off oral bacteria, you might find your gums bleeding more. By reducing your stress level, you can improve your gum health.

3. SMOKING

Smoking is so bad for your body in many different ways. Smoking is known to cause lung cancer, heart disease, and strokes, but it is also a cause of gum disease. Smoking, much like stress, can reduce your body’s ability to fight off infection, putting your gums at a bigger risk of developing an infection. Smoking also draws in toxins from the cigarettes directly, resulting in recession of the gums as well as periodontal disease. Quitting smoking can help stop your gums from bleeding.

4. CUT DOWN ON YOUR SUGAR

Sugar intake throws off your bacteria levels for your entire mouth, including your gums. By reducing the amount of sugar and other carbohydrates that you eat, you can improve your overall oral health, and stopping your gums from bleeding.

5. BALANCED DIET

In addition to cutting down the amount of sugar that you are consuming, making sure that you are taking in the right amount of vitamins and minerals can also help keep your gums healthy. Taking in a lot of vitamin C and vitamin K can help boost your immune system while helping your blood naturally clot. It has been shown that vitamin K deficiencies cause excessive gum bleeding from an inability for the blood to clot once you start bleeding.

6. RINSE WITH SALT WATER

If the gum bleeding is a relatively new or infrequent event, you might have experienced some trauma in your mouth. Warm salt water can help rinse away any bacteria that might be causing your gums to be irritated. Make sure to keep the ratio with little salt in the warm water as too much can actually make it worse. Do not swallow the salt water either.

7. CALL YOUR DENTIST

Even though using these other home remedies to help combat your bleeding gums is helpful, the most important thing you can do is make an appointment to see your dentist.

(10/25/2023)
by Red Tree Dental

More Information: N

Views: 624
Share


My BEST Dentists Journal Headlines