My BEST Dentists Journal

All Journal Entries
Share

Seven Signs Your Painful Mouth Sore Could Be Something More Serious

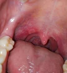
If you have a bleeding mouth sore or pain that lingers for more than a couple of weeks, don’t ignore it.

“We see patients all the time who had an irritation around their tooth that ends up being squamous cell cancer, which may have been bothering them for up to a year,” says ear, nose and throat specialist Brian Burkey, MD, MEd. 

Some oral cancers are not obvious to us as we look in a mirror and can even be hiding behind the teeth or under the tongue.

“The good news is that when picked up early, these cancers are highly, highly curable,” says Dr. Burkey. “Early detection is key.”

Seven symptoms to look out for

It’s important not to ignore these symptoms, which could signal medical problems or, in limited cases, oral cancer:

Nagging mouth pain.

Bleeding sore in the mouth that won’t heal and lasts for more than two weeks.

Swelling in the neck that lasts for more than two weeks.

An area in your mouth that becomes discolored and stays that way.

A lump or thickening in your cheek that doesn’t go away.

Numbness in your tongue or another part of your mouth.

Constant feeling of something caught in your throat or a change in your voice that lasts longer than two weeks.

While not an exhaustive list, these are symptoms that can slip under the radars of our busy lives. 

“That’s why it’s important to notice when they don’t resolve,” says Dr. Burkey. “If symptoms last for more than two weeks, get them checked out by a doctor or dentist.”

Regular oral cancer screenings are crucial 

Besides watching for any symptoms, it’s important to get regular oral cancer screenings to catch problems at their earliest stages. Here, Dr. Burkey explains what you need to know — and what to expect: 

Who does the screenings? Your dentist is often your first line of defense when screening for oral cancer, but oral surgeons and ear, nose and throat specialists can also perform screenings.

How often do I need a screening? While there are no official recommendations for screenings, it’s important to get screenings during your usual dental checkups, twice a year. 

Do I need to request a screening from my dentist or are they routine? Screenings are generally part of your normal dental exam, but ask your dentist to do one if they haven’t. 

How long to screenings take? Oral cancer screenings take less than 10 minutes. Your doctor or dentist will perform a visual screening and feel the tongue looking for abnormal color and firm lesions. You also fill out an information form so that the doctor or dentist can pay close attention to any specific areas of concern. 

Do the screenings hurt? No, they are generally painless.

How to reduce your risk

Here are ways to lower your risk of getting oral and head and neck cancers:

Quit tobacco. About 90% of people with oral cancer use tobacco (smoking or chewing), and their risk increases with the amount and length of time they use. Tobacco is most closely associated with ‘oral cavity’ cancer specifically, which affects the mouth, including lips, teeth and gums.

Take precautions against HPV. There is a dramatic rise in oropharyngeal cancer, or cancer in the tonsil and base of tongue associated with the human papilloma virus (HPV). You can’t see this area yourself, so finding it requires an exam from an ear, nose and throat physician. HPV is a sexually transmitted disease and is preventable with a vaccine and/or appropriate safe sex precautions, depending on one’s age.

Drink alcohol in moderation. Though less a risk factor than those above, alcohol use can also increase your risk of oral cancers.

Limit time in the sun. You want to protect your face to combat skin cancer, but in particular, don’t forget to protect your lips with sunscreen. They are often forgotten but they need protection too. If you work outside, try to avoid being in the midday sun. You should also wear a hat that shades your face whenever possible.

Good oral hygiene. Alongside getting your dental checkups twice a year, continue good oral hygiene at home by brushing twice a day and flossing once a day. Talk to your dentist about which mouth rinse they recommend, especially if you have mouth sores. 

Incorporate a healthy diet. Keeping your teeth health go beyond just brushing. The American Dental Association recommends having a diet filled with plenty of water, vegetables, whole grains, fruits and lean protein. Make sure to avoid sugary treats and snacks to help keep harmful bacteria away. ​

(02/26/2022)
by Cleveland Clinic

More Information: N

Views: 675
Share


My BEST Dentists Journal Headlines