My BEST Dentists Journal

All Journal Entries
Share

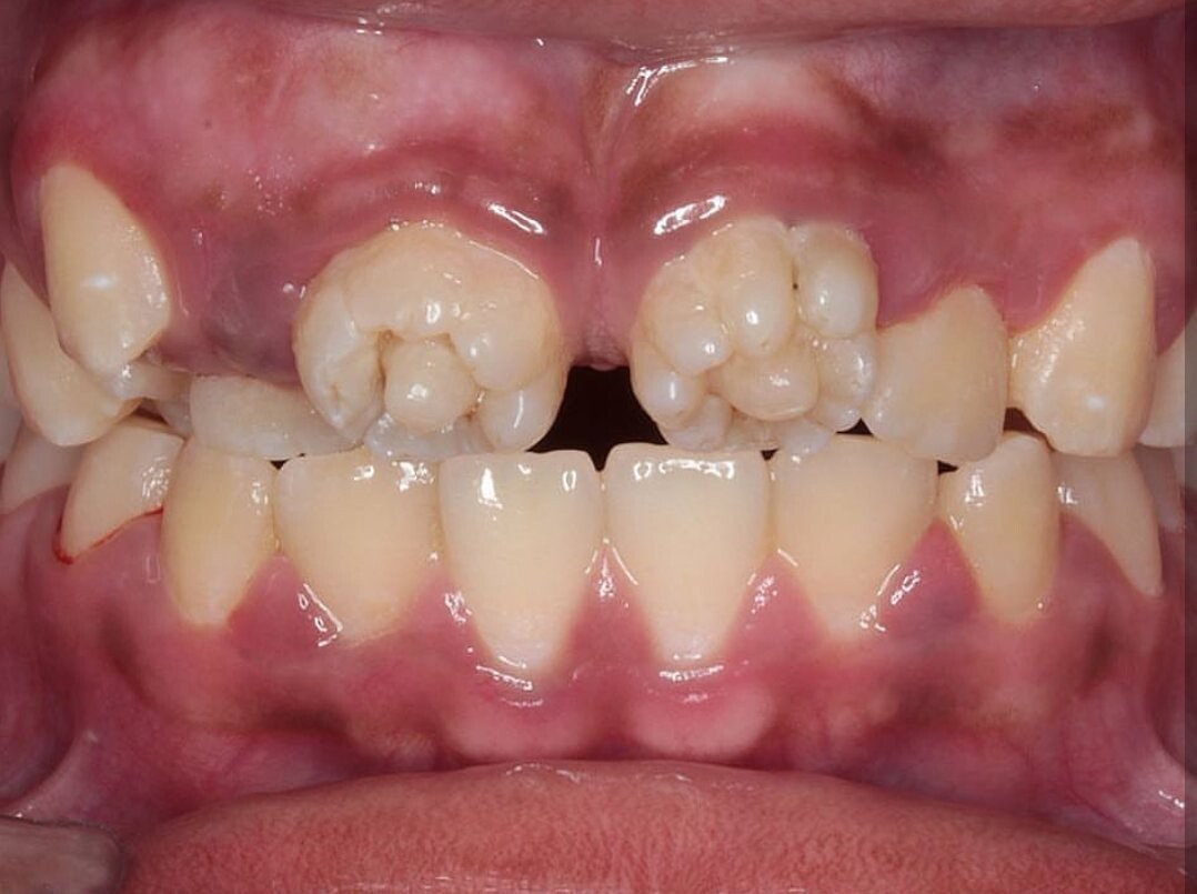
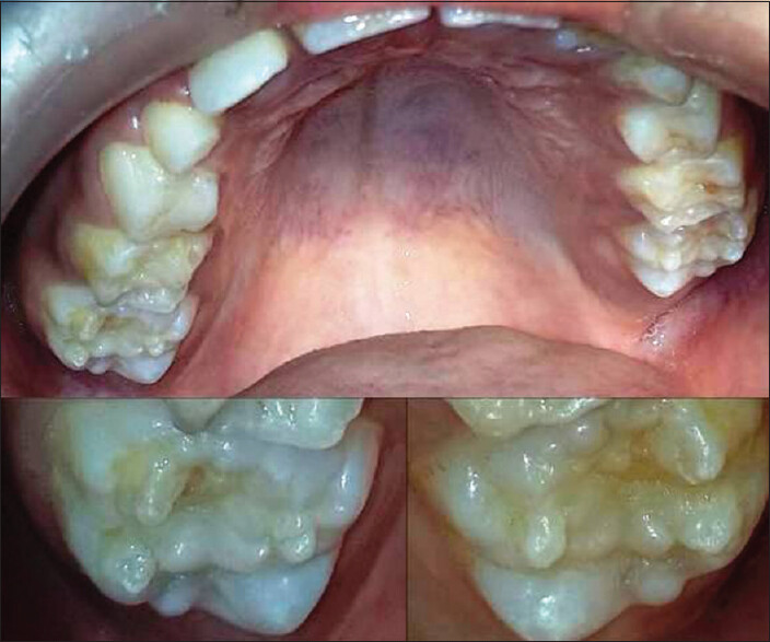
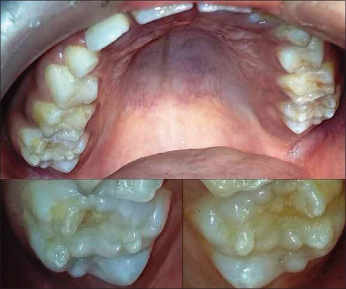
What Are Mulberry Molars?

Mulberries. They sound like something you find in a scrumptious pie or jam. Mulberry molars, on the other hand, are a tough pill to swallow. After your child loses their baby teeth, their permanent teeth come in when they're around 5 or 6. Occasionally these fresh molars are abnormally shaped with small bumps, reminiscent of mulberry fruits, according to the Rutgers School of Dental Medicine. While mulberry molars can be alarming for parents — they can be easily treated.

What's The Cause of Mulberry Molars

The cause of mulberry teeth stems from congenital syphilis. When pregnant women with syphilis transmit the disease to their child, it can result in mulberry molars. While syphilis is a noticeable STD from a bacterial infection, notes the Mayo Clinic, congenital syphilis usually doesn't show signs with newborns. But tooth abnormalities, like mulberry molars, can arise later on. Congenital syphilis can also hurt your child's tooth buds, which can lead to mulberry molars or possibly Hutchinson teeth. Mulberry molars have also been linked to severe enamel hypoplasia or thin enamel.

How Do You Diagnosis Mulberry Molars

Often, dentists in developed countries have never treated a case of mulberry molars, notes the Head and Neck Pathology report. But they should be able to identify it as the bumpy surface makes the condition very recognizable. Syphilis is diagnosed via a blood test. Antibodies to the bacteria are present in the blood of those with syphilis. It's a severe condition if passed along to babies — consequently, pregnant women should be tested.

What's The Treatment For Mulberry Molars

Cavities commonly occur if mulberry molars are present. For that reason, crown restorations help not only the look of the teeth but also their strength. Your pediatrician should be able to treat syphilis in children with mulberry teeth by administering penicillin. If allergic to penicillin, antibiotics may also be a course of action.

While mulberry molars are an unpleasant abnormality — successfully treating them is the norm. If you notice anything unusual with your children's teeth, reach out to your dental professional today.

(02/03/2022)
by Colgate

More Information: N

Views: 1,246
Share


My BEST Dentists Journal Headlines