My BEST Dentists Journal

All Journal Entries
Share

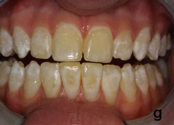
What is Hypocalcification and Hypercalcification?

What is Hypocalcification & Hypercalcification?

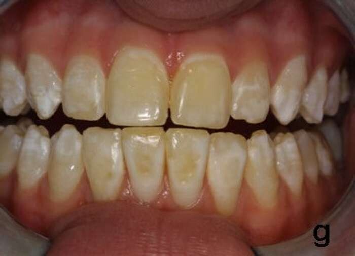
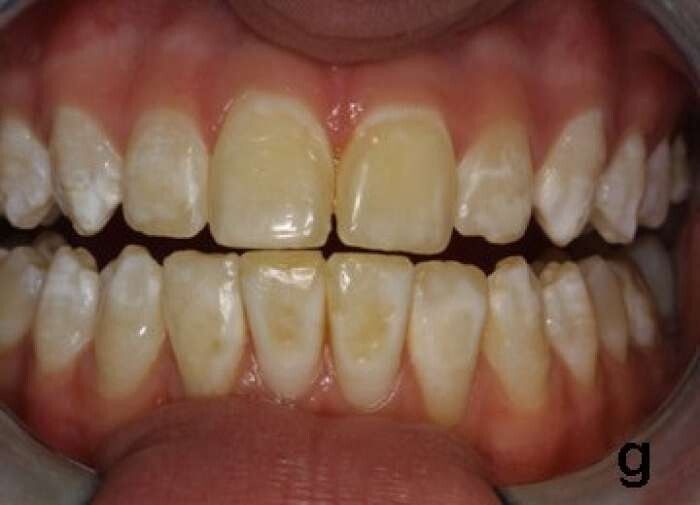
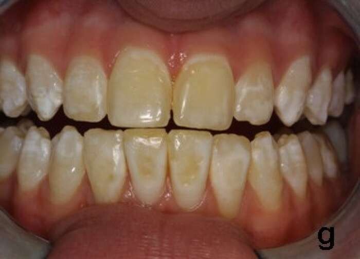
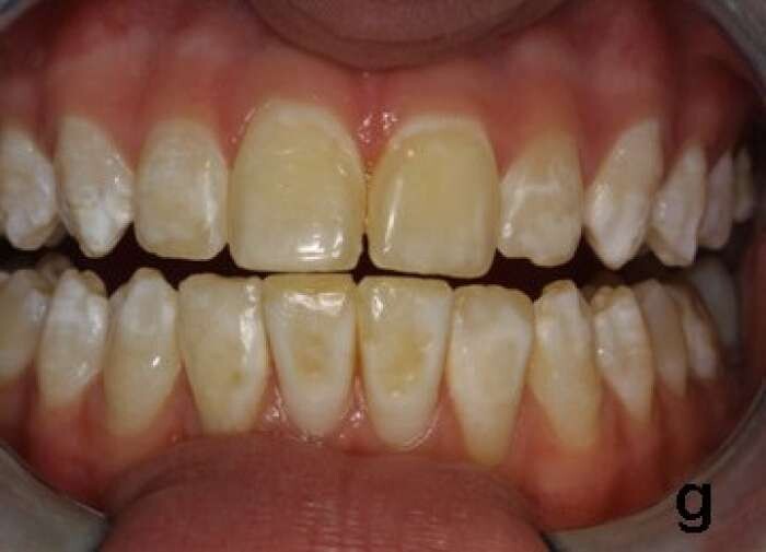
Hypocalcification

-defect in enamel that causes an insufficient amount of the minerals and calcium needed for healthy enamel. This can occur in baby teeth or permanent teeth.

Hypercalcification

-when there is too much calcium in the enamel.

This can be caused by an infection during the time of tooth formation.

Symptoms

-teeth have a chalky or opaque appearance-teeth are stained with white, yellow or brown stains

-teeth are weak causing them to become vulnerable to cavities and chipping or even breaking

-white spots on teethTreatment

-toothpaste and mouthwashes that help strengthen enamel

-brush at least twice a day

-limit sugary and acidic food and drinks

-drink lots of water

-maintain a proper diet

-see your dentist and hygienist regularly

Your dentist can recommend products to help strengthen the enamel.

You may need fillings, bonding, veneers or crowns. Your dentist may recommend whitening treatments.

You may also benefit from a mouthguard if you grind your teeth this will protect the enamel from further damage.

Once enamel is damaged you cannot bring it back however, you can to an extent restore weakened enamel by using products that help the remineralization process.

Book an appointment with your dentist if you are seeing any signs of enamel damage.

(11/03/2021)
by Oshawa Centre Dental Office

More Information: N

Views: 1,264
Share


My BEST Dentists Journal Headlines