My BEST Dentists Journal

All Journal Entries
Share

What is gingivostomatitis?

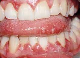
Gingivostomatitis is a common infection of the mouth and gums. The main symptoms are mouth or gum swelling. There may also be lesions in the mouth that resemble canker sores. This infection may be the result of a viral or bacterial infection. It’s often associated with improper care of your teeth and mouth.

Gingivostomatitis is especially common in children. Children with gingivostomatitis may drool and refuse to eat or drink because of the discomfort (often severe) caused by the sores. They may also develop fever and swollen lymph nodes.

Contact your doctor if:

symptoms worsen or persist more than a few days

your child experiences fever or sore throat

your child refuses to eat or drink

What are the causes of gingivostomatitis?

Gingivostomatitis may occur because of:

herpes simplex virus type 1 (HSV-1), the virus that causes cold sores

coxsackievirus, a virus often transmitted by touching a surface or an individual’s hand contaminated with feces (this virus can also cause flu-like symptoms)

certain bacteria (Streptococcus, Actinomyces)

poor oral hygiene (not flossing and brushing your teeth regularly)

What are the symptoms of gingivostomatitis?

Symptoms of gingivostomatitis can vary in seriousness. You may feel minor discomfort, or experience severe pain and mouth tenderness. Symptoms of gingivostomatitis may include:

tender sores on the gums or insides of cheeks (like canker sores, they are grayish or yellow on the outside and red in the center)

bad breath

fever

swollen, bleeding gums

swollen lymph nodes

drooling, especially in young children

a general feeling of being unwell (malaise)

difficulty eating or drinking due to mouth discomfort, and in children a refusal to eat or drink

How is gingivostomatitis diagnosed?

Your doctor will check your mouth for sores, the main symptom of the condition. More tests are not usually necessary. If other symptoms are also present (such as cough, fever, and muscle pain), they may want to do more tests.

In some cases, your doctor may take a culture (swab) from the sore to check for bacteria (strep throat) or viruses. Your doctor may also perform a biopsy by removing a piece of skin if they suspect other mouth sores are present.

What are the treatments for gingivostomatitis?

Gingivostomatitis sores usually disappear within two to three weeks without treatment. Your doctor may prescribe an antibiotic and clean the infected area to promote healing if bacteria or a virus is the cause of gingivostomatitis.

There are some actions you can take to relieve discomfort.

Take medications prescribed by your doctor.

Rinse your mouth with a medicated mouthwash containing hydrogen peroxide or xylocaine. These are readily available at your local drugstore. You can also make your own by mixing 1/2 teaspoon of salt in 1 cup of water.

Eat a healthy diet. Avoid very spicy, salty, or sour foods. These foods can sting or irritate the sores. Soft foods may also be more comfortable to eat.

Over-the-counter (OTC) pain relievers may also help. Continue to brush your teeth and gums, even if it hurts. If you don’t continue to practice good oral care, your symptoms could worsen. You’ll also be more likely to develop gingivostomatitis again. Gently brushing with a soft toothbrush will make brushing less painful.

How to prevent gingivostomatitis

Taking care of your teeth and gums may decrease your risk of getting gingivostomatitis. Healthy gums are pink with no sores or lesions. Good oral hygiene basics include:

brushing your teeth at least twice a day, especially after eating and before going to sleep

flossing daily

getting your teeth professionally examined and cleaned by a dentist every six months

keeping mouth pieces (dentures, retainers, musical instruments) clean to prevent bacteria growth

To avoid the HSV-1 virus that can cause gingivostomatitis, avoid kissing or touching the face of a person who is infected. Do not share makeup, razors, or silverware with them.

Frequently washing your hands is the best way to avoid the coxsackievirus. This is especially important after using public toilets or changing a baby’s diaper and before eating or preparing meals. It’s also important to educate children about the importance of proper hand washing.

What is the outlook for gingivostomatitis?

Gingivostomatitis can be mild, or it can be uncomfortable and painful. Generally, sores heal in two to three weeks. Treating the bacteria or virus with the right antibiotics or antiviral agents may help to expedite healing.

(10/27/2021)
by Healthline

More Information: N

Views: 865
Share


My BEST Dentists Journal Headlines