My BEST Dentists Journal

All Journal Entries
Share

Why Can I See My Teeth Through My Gums?

If you have recently asked why can I see my teeth through my gums, you should book yourself an appointment with a dentist. Changes or abnormalities in your gums can be a sign of periodontal disease, which needs to be treated as soon as possible. Ignoring it could be an incredibly risky option.

In this article, you will find information on what can cause gum health to deteriorate and reveal your tooth root together with symptoms of gum disease. Ensure you see your dentist if you have gum issues or it may lead to tooth loss, affect the bone in your jaw, or cause other health complications.

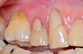
The Appearance of Healthy Gums Versus Unhealthy Gums

When your teeth and gums are healthy, there will be about three mm between your gums and teeth. In people who have gum disease, the gums have often pulled away from the teeth and exposed the roots of the teeth.

When the gum has receded, you will notice a wider gap between the gum and the tooth. As well as the periodontal pocket between the tooth and gum, you are also likely to see more of the tooth than before, making your teeth look bigger.

Symptoms of Exposed Roots

Gum recession is usually very gradual and by the time you notice it, the gum disease may already have caused significant damage. Therefore, it is important to know the symptoms that may indicate you have an exposed tooth root.

Bleeding Gums

Often the first and most noticeable sign of trouble is bleeding during brushing or flossing. If you discover blood when you spit out the toothpaste or after flossing, it may be a sign of a serious inflammation of the gingival tissues.

Swelling

If you have exposed roots, you may notice that your gum tissue is swollen in a particular area of the mouth. This can be caused by the inflammation of the tissue in the gums. They may also look red rather than pink. Swollen gums are also likely to cause irritation or pain, especially during brushing and flossing or when you bite into food.

Tooth Sensitivity

Another early sign of issues with your gums is sensitive teeth. Your teeth may be sensitive when you brush them or you might notice it when you are eating or drinking hot and cold food and beverages.

Bad-Smelling Breath

If you have a bacterial infection or inflamed tissue in your gums, you may notice a bad smell when you are cleaning your teeth. The bacteria can also travel from the gums to elsewhere in your body and cause bad-smelling breath.

Periodontal Disease

If receding gums expose the roots, it may lead to chronic periodontitis, which is the most common form of periodontitis where the periodontal membrane of the teeth is inflamed. It can also affect the periodontal ligaments, which are a group of tissue fibers helping to attach the teeth to the bone.

Severe cases may cause lesions on the face caused by the necrosis of gingival tissues, alveolar bone, and periodontal ligaments. It may also cause a periapical cyst to form, which is a pathological cavity that often contains soft matter or fluid and has epithelium in the lining.

Why Do Gums Pull Away From Your Teeth?

Not taking proper care of their teeth can lead to exposed roots. Without regular brushing and flossing, plaque will build up on the teeth. Over time, it will harden and become tartar and push gums away from the teeth.

Gingivitis

Gum Recession caused by gingivitis is the most common reason for root exposure. Gingivitis is caused by tartar buildup. If the condition is not addressed, it may develop into periodontal disease, more commonly called gum disease.

Do not delay contacting your dentist when you have gum recession. Your dentist will ensure you get proper treatment for the infection before you lose any teeth. They will also be able to advise how to look after your gums properly to avoid further gum recession.

Oral Injury

The recession can also be caused by an outside force. If you have hurt your mouth, for example, as a result of a fall, this type of dental trauma can lead to exposed roots. Your dentist will know how to treat the result of that injury and prevent further damage.

Sometimes your gum might recede on one side of your mouth only. This can be the result of abnormal wear patterns or if the gum has a severe abrasion like a scratch from your nail. For the majority of people, the latter is likely to heal on its own but when it does not, visit your dentist.

Misalignment

If your teeth are not in the correct alignment, it may expose the roots and place additional strain on your teeth. Misalignment can be a result of, for example, an adult tooth growing in before a baby tooth has fallen out or teeth shifting into a potential area of space if you have lost a tooth.

A Medical Condition

Some medical conditions, such as sickle cell anemia, diabetes, and lupus will increase the risk of gum disease and gum recession. These conditions can weaken the immune system, meaning you can get diseases more easily. Oral cancer can also cause your gums to recede and requires immediate care.

Medications

There are some medications, such as antibiotic treatment or chemotherapy that can make you more susceptible to gum problems and tooth decay. If the problems are not treated, they may progress to periodontal disease or gingivitis.

Oral Surgery

If you have had surgery on your mouth, it can increase the likelihood of gum disease. Looking after your oral health following periodontal surgery can aid recovery and prevent gum disease. Your dental surgeon will be able to advise you on how to best look after your teeth and gums.

Aging

While patients of all ages can get receding gums, aging can also cause gum recession. With age, the muscle structure in your gums changes, which can lead to receding gums and teeth becoming looser.  If not addressed, it is likely to lead to tooth loss.

Dental Cleaning

If the gum recession is caught early, a deep cleaning procedure may be enough to treat it. Dental cleaning involves the removal of dental plaque from areas you may not be able to reach home. Your dentist may also apply fluoride to your teeth to protect them. A professional cleaning will also give you a fresh clean feel.

Root Canal Treatment

If the condition has progressed too far to be treated by dental cleaning, your dentist may suggest root canal therapy. This non-surgical therapy is used to relieve pain caused by dental infections. During the process, the dentist will remove the inflamed pulp from your tooth and clean and disinfect the surfaces of the tooth.

Gum Graft

Sometimes gum recession can be treated by gum graft, which is a surgery where gum tissue that has been lost is replaced. This will add more volume to the gum line and improve your oral health.

Gum graft restorations have an excellent success rate and can help save your natural teeth. It can also be a protective measure for people who are more at risk of gum disease. Sometimes, laser procedures can be used as an alternative to gum grafts to stimulate gum growth.

Tooth Extraction

The treatment of extreme levels of periodontal disease may require tooth extraction. You will have dental surgery to remove the tooth. Following tooth extraction, you may choose to get a dental implant, which goes into the jawbone and holds a false tooth firmly in place.

Your best chance of preventing exposed roots is to establish an oral hygiene routine as part of a healthy lifestyle that includes brushing your teeth twice a day. You should also floss your teeth once a day.

For brushing, use a medium or soft toothbrush rather than a hard toothbrush because too hard brushing can also cause gum recession over time. Using an electronic toothbrush can help you apply the correct pressure when brushing.

Visit your dentist regularly. The American Dental Association (ADA) recommends that everyone should see a dentist at least once a year. For some people, it may be twice a year, depending on the health of your teeth.

Do not skip appointments as they help catch issues early. Early diagnosis means less invasive methods are required to address the issue.

(04/23/2024)
by CDHP Dental Health

More Information: N

Views: 407
Share


My BEST Dentists Journal Headlines