Dentists Journal

Top Ten Stories of the Week
11/5/2022

All Dentists Journal · Previous Week · This Week · All Time List · Headlines

Share

How To Ease Mouth Pain If You Cannot Make It To The Dentist Right Away

A toothache can sometimes come out of the blue and cause immense pain and discomfort. Unfortunately, they often intensify quite rapidly, which means you may have to deal with the pain for a few hours or even overnight before you can get in to see a dentist.

When you find yourself in this situation and are looking for some quick pain relief, there are some home remedies you might try that can make a difference. Here are some of the most commonly used methods to ease mouth pain:

CLOVE OIL AND OLIVE OIL

Clove oil contains the chemical eugenol, which has both anesthetic and antibacterial properties. At one point, the FDA actually approved clove oil as a treatment for tooth pain, although it no longer does today. Still, some dentists will suggest using it as a temporary solution for pain. Simply soak a cotton ball in 3 drops of clove oil and a one-fourth of a teaspoon of olive oil. Then put the cotton ball near or on the tooth that is causing pain and bite down. You should feel some relief after a few minutes.

IBUPROFEN AND ACETAMINOPHEN

If you are experiencing major pain from a toothache try using over the counter pain medications such as ibuprofen and acetaminophen. These can be used to reduce inflammation and address the pain. Often, pain will begin to spread through the jaw and into the head. Use pain medications to help manage that pain. Some people have suggested using a combination of both pain relievers by rotating when they take them.

COUGH DROPS

Many cough drops on the market contain some amount of menthol or even benzocaine, which are types of anesthetic. Even though it is a very small amount of anesthetic, it can still work to relieve minor tooth pain. When you are in pain, try popping a couple of cough drops in your mouth and suck on them. Be sure not to chew them as this may just cause more pain.

SALT WATER FLUSH

More often than not, small bits of food trapped in between your teeth are what cause the pain. You can try flushing that food out with warm salt water or mouthwash to get relief. If flushes do not work, try flossing or using an interdental brush to remove food in between teeth.

Even if you find a solution that works to relieve a minor toothache, you will still want to give Smile Concepts a call as soon as possible to set up an appointment. It is important to have the issue looked at to see if there are other issues at work, such as a cavity or gum disease. 

(10/28/2022)
by Smiles Concepts

More Information: https://www.smileconceptsaz.com/how-to-ease-mouth-pain-if-you-cannot-make-it-to-the-dentist-right-away/


Views: 747
Share
Share

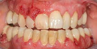
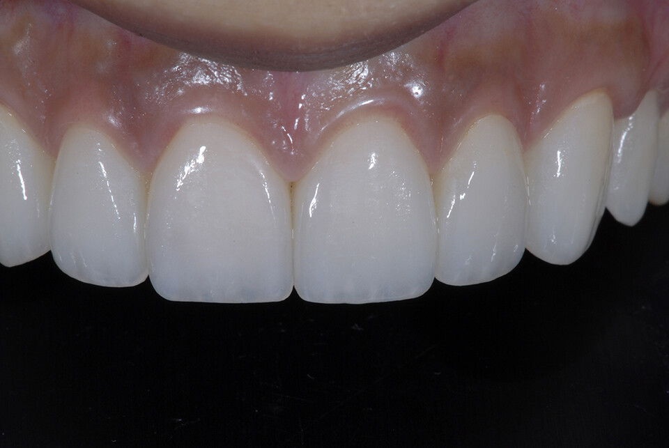
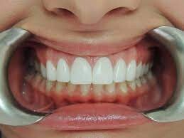
Four Signs Of Healthy Interdental Papilla

Although it has a complicated-sounding name, interdental papilla have a simple function: they're the gums between your teeth. Gum health is essential to your overall dental health, so it's important that you make sure these small sections of gum tissue are in great shape. There are a few clear signs that your interdental gums are healthy (and some signs that you might need to visit your dentist to help get them healthier). Keep an eye on your gums for clues to your oral health and act quickly if you notice signs that they need some extra TLC.

Signs of Healthy Interdental Papilla

Don't discount the health of the tiny bit of gum tissue between your teeth. Although they're small, they help to protect the roots of your teeth from exposure, bacteria and the effect of food between your teeth. Here are some of the signs that they're in good shape:

Healthy pigmentation. Healthy gums will exhibit a coral pink colour. Gums that are dark red or bleed frequently between the teeth can be a sign of gingivitis and unhealthy gums.

Firm attachment. Your interdental papilla are what stands between the roots of your teeth and harmful bacteria and food particles. When healthy, they attach firmly between teeth without leaving gaps. When gums begin to leave gaps or recede down the teeth, it's a sign that they're not as healthy as they should be.

Triangular shape. Another sign of receding gums is the shape of the papilla between your teeth. When healthy, there should be a small triangle of tissue between each set of teeth. Papilla should also be equivalent to the size of the teeth they are next to, with molars having large papilla and canines having small papilla.

Pain- and blood-free. The gum tissue that fills the space between your teeth is called the papilla. The National Health Portal of India notes that gum disease, also known as periodontal disease, is a chronic bacterial infection affecting gums and bone supporting the teeth. It may be in the form of simple gum inflammation or a serious disease that can cause major harm to gums and supporting bone. Its symptoms include red, swollen, tender gums and bleeding among others.

If you notice that the gums between your teeth aren't as healthy as they should be, you should start taking better care of them right away. Naturally, good oral hygiene habits are the first defence in keeping your interdental papilla healthy and better able to do their job in protecting your teeth. Brushing twice daily is key. You may want to use a soft-bristled toothbrush for sensitive or swollen gums.

Your interdental papilla have an important part to play in your overall oral health. By taking the time to examine them and look for signs that they might be suffering, you can address small issues before they become big problems during your next dental check-up.

(10/30/2022)
by Colgate

More Information: N


Views: 508
Share
Share

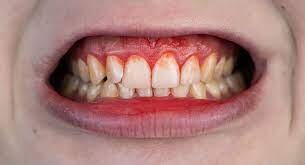
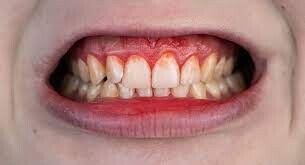
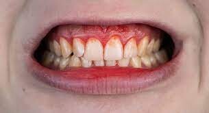
Gingivitis: What is it and what are the Symptons?

If brushing your teeth makes your gums swell, hurt or bleed, you might have gingivitis. But don't worry — gingivitis is reversible and preventable! With early intervention, your dental professional can treat and even reverse its effects. Start healing your gums today by setting up a dental appointment and improving your oral hygiene routine.

What Causes Gingivitis?

Gingivitis, known as the earliest stage of gum disease, occurs when plaque or tartar builds up around your gumline and causes your gums to become inflamed. This inflammation can cause the gums to become bright red, swell, feel tender, and even bleed after brushing or flossing. However, not everyone with gingivitis experiences these symptoms, and many have the condition for a long time without even realising it. If left untreated, gingivitis can lead to more severe forms of periodontal disease, such as periodontitis, which can cause permanent damage to your teeth, gums and jawbone.

How to Treat Gingivitis

Can you cure gingivitis? Absolutely. With the help of your dental professional and consistent oral care at home, your gums will thank you for the extra attention.

Professional Dental Treatment for Gingivitis

At your next oral exam, the dentist, dental therapist or dental hygienist can diagnose gingivitis just by looking at your teeth and gums. A thorough cleaning will remove any plaque from the surfaces of your teeth or under your gumline that causes inflammation. If the plaque calcifies, your teeth might require more advanced techniques known as scaling and root planing to thoroughly remove all the tartar and smooth the root surfaces that trap bacteria. Your dentist will examine any tooth positioning abnormalities or dental work — such as crowns, bridges or restorations — and make recommendations for any repairs that might make it easier for you to clean your gums and teeth at home. For more severe cases, your dental professional might use a dental probe to measure any pockets that develop at the gumline to see if the condition is progressing.

Consistent Oral Care Routine to Fight Gingivitis

After you receive an exam and dental hygiene treatment, your gingivitis care has just begun. Your dentist, dental therapist or dental hygienist will give instructions on a proper home oral routine, but at the very minimum, follow these guidelines:

Brush your teeth twice a day. If regular brushing is already part of your routine, double-check that you are using the correct technique. Your healing gums might require a gentler touch first, so make sure you are using a soft-bristled brush and applying the right amount of pressure.

Clean between your teeth once a day. Daily flossing between your teeth and under your gumline will remove irritants like bacteria and food debris and help reduce inflammation. Also, try other interdental cleaners like brushes or water flossers.

Add a mouth rinse for extra protection. An over-the-counter mouth rinse provides an additional method for treating infection and controlling bacterial growth in the mouth, especially after receiving a professional dental hygiene treatment. Look for an antiseptic mouthwash or ask your dental professional for a recommendation.

Gingivitis Prevention

Your gingivitis cure begins with taking ownership of your oral health. If you notice any tenderness, swelling or bleeding in your gums, make an appointment with your dental practice. By detecting gingivitis symptoms early and seeking treatment, you can more quickly and easily relieve your symptoms and restore your gum health.

(10/31/2022)
by Colgate

More Information: https://www.colgate.com/en-gb/oral-health/gum-disease/is-gingivitis-curable


Views: 609
Share
Share

Tips For Tongue Health

Our tongues contain flexible muscles that allow us to speak, chew, suck and swallow. The tongue is covered in touch and taste receptors that act as defenders to our bodies, enabling us to relish or avoid various foods.

To know about problems in your mouth, stick out your tongue and look in the mirror. A healthy tongue appears pink and covered with small nodules (papillae). Any variation from your tongue's normal appearance may be cause for concern.  

 COATED TONGUE

Food trapped in the gaps between the papillae leads to bacterial growth and bad breath (halitosis). Dryness in mouth due to dehydration or if saliva is reduced by dry mouth or siogren's syndrome, or if you breathe through your mouth (while asleep).

There may be a whitish-grey coating if your mouth hygiene is poor. A black, hairy tongue may indicate severe illness.

A simple and effective way to remove furry coating is by brushing your tongue with a tooth brush or tongue scraper regularly.

 TONGUE SORENESS

Tongue soreness may be due to candida common in diabetes, anemia, false teeth and those who use inhalers.

Deficiencies of vitamins (B12 or folic acid) or minerals (iron or zinc) can produce soreness, a smooth red tongue, and/or taste abnormalities.

SORE PATCHES OR ULCERS

Ulcers are more common in younger people and may last a couple of weeks.

Ulcers are triggered by stress, hormones, trauma (from tooth edges), foods (including nuts or fruit), additives used in toothpaste, and over the counter painkillers or mouth lozenges.

Sore white or red patches (on the tongue or anywhere in the mouth) are signs of an immune system disorder, abnormal cell changes or, rarely, mouth cancer.

Any abnormal patch, sore/ulcer, lump, bleeding or discoloration that lasts more than a couple of weeks should be shown to your physician

TIPS FOR TONGUE HEALTH

-Drink plenty of fluids

-Limit sugary or acidic drinks that can cause tooth decay

-Brushing teeth and your tongue twice daily helps to keep your mouth fresh

-Quit smoking - it's a risk factor for mouth cancer and causes bad breath

-Drink alcohol within recommended limits as it may cause dry mouth & tongue irritation

-Have regular dental checks.

(10/28/2022)
by Netmeds

More Information: N


Views: 621
Share
Share

Nine Dental Mistakes People Keep Making

We all want that picture perfect, notice-me smile, but nine all-too-common dental mistakes may be getting in our way.

1 . We skip our yearly check-ups.

Whether fear of the dentist, cost concerns, or just a laissez-faire attitude about oral health, 100 million Americans don’t see their dentist for a yearly cleaning and check-up. Many of us only visit our dentist if there is something really, really wrong, but regular dental visits can spot oral health problems early when they are easier (and cheaper) to treat. What’s more, these visits can help prevent many oral problems from developing in the first place. Some individuals who are at high risk for gum disease should visit their dentist even more regularly.

2. We wait too long to get a new toothbrush.

Is your toothbrush an antique? If so, it may be a breeding ground for the bacteria that cause decay and gum disease. Also, worn bristles can’t clean as well. Most Americans replace their brush just once or twice a year, but the American Dental Association (ADA) recommends using a clean, new one every three to four months or once the bristles become frayed.  

3. We don’t clean or store our toothbrush properly.

We often make mistakes when it comes to keeping our toothbrush clean. The best way to clean a brush and keep it that way is to thoroughly rinse it with tap water after brushing to get rid of any left-over toothpaste and debris. Never store your clean toothbrush too close to another person’s toothbrush because germs can transfer.

4. We don’t floss well enough or often enough.

Flossing is essential for good oral health, but how and when you do it makes a big difference. The American Dental Association (ADA) recommends flossing at least once a day. It’s easy to floss the front teeth and call it a day, but missing the back of your mouth including in-between and around your molars is a big mistake. Flossing removes the bacteria and food that lurks in-between your teeth where it will cause cavities, plaque, and gum disease. Ask your dentist for a quick tutorial on how, when and where you should floss each day.

5. We think cavities are just for kids.

Most adults have had at least one cavity, and more than 25% have some untreated decay. This sets the stage for root canal and/or tooth loss. During root canal, your dentist removes the inside of the tooth, and then cleans and seals it. It is much more invasive (and expensive) than having a cavity drilled and filled.

6.  We ignore warning symptoms.

Bad breath, bleeding gums, dry mouth, sores, lumps and/or thrush (a fungus infection in the mouth) are all red flags that something is wrong and you need to see your dentist. A growing body of research links a healthy mouth to a healthy body. Gum disease, for example, increases risk for heart disease, diabetes, and preterm childbirth.

7. We forget to brush our tongues.

Our tongues usually contain bacteria, and if we don’t brush or scrape them regularly, this bacteria leads to tooth decay and bad breath. Talk to your dentist about how and when to scrape your tongue.

8. We still smoke.

In addition to all of the other health ills associated with smoking, it also causes gum disease and stains teeth. Smoking hinders the immune system, which makes it harder to fight off a gum infection. If you smoke, it also impedes healing when your gums are inflamed. Talk to your doctor about how to quit.  

9. We drink soda.

Coffee consumption stains teeth and so does dark carbonated soft drinks. Soda–even the diet variety–is highly acidic, which means it can erode the enamel on your teeth. Even seemingly healthy but highly acidic citric juices or lemon- and lime-infused water can be harm teeth enamel. Caffeinated drinks and alcohol can also dry out your mouth. Without saliva, you can’t neutralize acids produced by bacteria or wash away food particles. Your best bet is to consume plenty of plain water.

(10/29/2022)
by Health Grades

More Information: https://www.healthgrades.com/right-care/oral-health/9-dental-mistakes-people-make


Views: 526
Share
Share

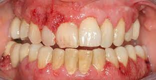
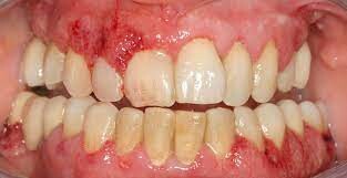
Five Causes of Bleeding Gums You Should Know

Noticed blood while brushing or looking at your teeth in the mirror? Well, don’t panic just yet. There are many causes of bleeding gums. While some can be easily reversed with simple lifestyle changes, others will need a visit to your dentist. We’ve created a list of the 5 most common causes of bleeding gums that should help you out.

What Causes Bleeding Gums?

As mentioned previously, there are plenty of reasons why your gums may bleed. Here are some of the common causes that we’ll discuss in detail below:

Gingivitis

Medications or other health conditions

Changes in dental hygiene routine

Brushing too vigorously

Pregnancy Gingivitis

1. Gingivitis

Gingivitis is the first stage of gum disease, professionally known as periodontal disease. The build-up of plaque on your teeth and along your gums is a common occurrence. However, if not removed regularly by brushing, it releases toxins that infect the gums. This results in swollen and tender gums that bleed while brushing. 

The good news is that gingivitis can be easily reversed with oral hygiene practices and regular dental check-ups and treatment. Since it’s the first stage of periodontal disease, you should get in touch with your dentist as soon as you start noticing the symptoms.

2. Medications & Other Health Conditions

Certain medications or diseases can also be behind bleeding gums. Blood-thinning medications reduce the blood's ability to clot, which can lead to bleeding. According to the Indian Dental Association, people with type-2 diabetes are at a higher risk of gum disease and bleeding gums.

This is why when you visit your doctor or dentist, let them know about your current health condition and the medicines you are taking. In case the bleeding gets serious, contact your doctor immediately.

3. Changes in Your Dental Care Routine

If you haven’t flossed before, you may face some bleeding when trying to floss for the first time. This should clear up within a week with proper care. In case it doesn’t, contact your dentist as it may be a sign of gingivitis. If you need to switch your toothbrush since it’s been worn out, consider which bristle will suit you - firm or soft. A firm-bristled toothbrush may also cause bleeding.

4. Brushing Too Vigorously

While brushing regularly is necessary for healthy teeth and gums, we need to be careful if we’re being vigorous. If your gums are bleeding, vigorous brushing may be the cause behind it. Switch to a soft or medium-bristled toothbrush and brush gently with care. Discuss the right toothbrush you need with your dentist.

5. Pregnancy Gingivitis

Swollen gums and bleeding while brushing are common during pregnancy. This is known as pregnancy gingivitis. Hormones tend to alter the body’s response to bacteria. This causes inflammation and gum disease. Maintaining good oral hygiene can prevent the bleeding from becoming worse.

No matter the cause, start the basics to prevent and stop bleeding gums. Use a soft-bristled brush and special toothpaste meant for your gums. Schedule and keep up with dental appointments. Feel free to discuss with your dentist ways to improve your oral health as well as concerns you may have.

(10/29/2022)
by Colgate

More Information: https://www.colgate.com/en-in/oral-health/gum-disease/5-causes-of-bleeding-gums-you-should-know-0613


Views: 523
Share
Share

What Is Strawberry Gum Disease?

People who develop gingivitis or other types of gum disease must not have the best oral care habits, right? Not so fast. While poor oral hygiene can increase your risk of gum disease, it's also true that gum disease isn't always linked to a lack of oral hygiene.

In some cases, gum disease can be a sign of systemic disease. So-called strawberry gum disease is one example of gum disease that develops due to another condition — in this case, granulomatosis with polyangiitis (GPA).

What Is Granulomatosis With Polyangiitis?

GPA is a type of vasculitis, a group of conditions that cause inflammation in the blood vessels. The good news about GPA is that it is pretty rare. The cause of GPA is unknown, but the condition doesn't seem to be genetic, and it also isn't contagious, meaning one person can't give it to another. Some research suggests that it might develop due to the immune system damaging the blood vessels and other tissues.

Symptoms of GPA

Strawberry gum disease, also known as strawberry gingivitis is a potential symptom of GPA, but like GPA itself, strawberry gingivitis is also pretty rare. While GPA most often affects the upper respiratory tract, people may notice symptoms such as:

Bloody cough

Nose bleeds

Wheezing

Voice changes due to inflammation in the windpipe

What Does Strawberry Gingivitis Look Like?

Strawberry gingivitis isn't the same as the type of gingivitis that develops due to poor oral hygiene. Instead, strawberry gum disease (also known as "hyperplastic granular gingivitis") causes the gums to become enlarged and nodular. The gums will often appear red and sore, and they might bleed easily. The lesions associated with the issue can occur all over the gums or only in certain areas, so strawberry gum disease can look different in different patients.

Diagnosing and Treating Strawberry Gum Disease and GPA

Treatment for strawberry gum disease is often different from treatment for other forms of gum disease. If you notice bumpy, red, or very swollen areas of your gums, you should talk to your dentist or doctor about the issue. Strawberry gingivitis is usually an early sign of GPA, and they may then screen you for GPA.

The process of diagnosing GPA often involves:

Biopsying the area

Performing a physical exam

Taking an X-ray of the lungs or other organs to see if there is inflammation

About one-third of patients with GPA have lung abnormalities that appear on an X-ray, even if the patient doesn't have respiratory symptoms. Treatment for GPA can often be ongoing, although many people recover from it within a few months if the condition is caught early and treated immediately. The most common treatments for GPA are corticosteroids and medications that suppress the immune system to reduce inflammation.

If you're concerned about the appearance of your gums, your best bet is to get a thorough exam from your dentist. Be sure to keep up with good oral care at home, and see a dental professional for regular dental hygiene appointments to keep your gums healthy.

(11/03/2022)
by Colgate

More Information: https://www.colgate.com/en-us/oral-health/gum-disease/what-is-strawberry-gum-disease


Views: 593
Share
Share

Can Receding Gums Grow Back?

If you think your teeth look longer than they did before, it could be because of your gums. Gum recession happens for many reasons, from brushing your teeth with too much pressure to grinding your teeth. Your oral care habits, the alignment of your teeth, your lifestyle choices and your genes also play a part when it comes to receding gums.

Since gum recession affects the look of your smile and may knock your confidence, you might be wondering, can receding gums grow back? While receding gums don't grow back on their own, you can talk to your dentist or periodontist about the number of treatments available to correct the issue and prevent it from getting worse.

What Happens When Gums Recede?

Your gums are meant to protect your teeth and do so in two ways. First, the attached gingiva securely connects your teeth to the bone. Second, the unattached, or gingival mucosa protects the insides of your cheeks and gums. The edge of the gum tissue, which surrounds your teeth, is known as the gingival margin. When the margin pulls away from the teeth, it leaves the roots exposed and more susceptible to decay and tooth loss.

Do receding gums grow back? Unfortunately, no. Once the gum tissue has pulled back and away from the teeth, it's gone for good, it's just not possible for the gums to grow back.

Receding Gums Treatment Options

While your gums won't return on their own, there are a few ways to treat gingival recession. The most appropriate treatment depends on how advanced the recession is and whether you have symptoms of periodontal disease. If there is a considerable amount of recession, your dentist might recommend a gum graft to replace the lost tissue. Gum grafting is a surgical procedure that usually involves taking tissue from one area, such as the roof of the mouth, then transferring it to the gum area. If you have signs of gum disease, the dentist might also perform a deep cleaning of the teeth, to remove any bacteria and debris, before the tissue is attached.

Another method of treating receding gums is known as the pinhole surgical technique. This technique involves manipulating existing gum tissue over the exposed roots, and studies have shown it has a high incidence of success and patient satisfaction.

Preventing Further Recession

Once your receding gums are treated, it's important to find a way to reduce the risk of further recession. In cases where the recession is mild, your dentist might recommend focusing on preventing further recession, rather than treating the existing recession.

If the recession is due to vigorous brushing or using a hard-bristled toothbrush, your dentist might advise you to ease up on brushing and to use less pressure or force. Doing so won't correct the existing recession but will make it less likely that your gums will continue to recede. One option is to switch to a soft-bristled toothbrush that helps protect enamel surfaces and gums instead of continuing to use a brush with hard or medium bristles.

Good oral care habits, such as brushing twice a day and flossing at least once daily, can also prevent additional gingival recession from occurring. If your receding gums are due to crooked teeth or a misaligned bite, correcting the bite or teeth can help slow or stop the recession. Since smoking and tobacco use increases your risk for receding gums, giving that up can also help prevent additional recession.

If you look in the mirror and notice that your teeth look longer or if you feel any sensitivity in your teeth due to receding gums, don't wait to see your dentist for advice and treatment. Your gums don't grow back, but there are ways to treat the issue to improve the look of your smile, boost your confidence and increase your oral health.

(10/31/2022)
by Colgate

More Information: https://www.colgate.com/en-gb/oral-health/gum-disease/can-receding-gums-grow-back-0217


Views: 846
Share
Share

What Makes Toothpaste Sweet?

Modern commercially available toothpastes are made without sugar sweeteners for obvious reasons. The link between sugar and cavity development is well established. However, the ingredients in toothpaste, while beneficial to tooth health, are far from pleasant tasting without a little help. Consequently, toothpaste manufacturers still sweeten and flavor their products to make them easier to use on a daily basis.

Manufacturers use a variety of non-nutritive sweeteners to make toothpaste more palatable. Not all non-nutritive sweeteners are created equal, however. While you might look to see if there’s fluoride in a toothpaste, more people than not skip over the sweetening ingredients without much thought. It’s worth taking a minute to see what’s sweetening your toothpaste to see if you could be getting a bigger benefit from your toothpaste. Grab your tube and read on to find out what makes toothpaste sweet.

Synthetic Sweet

Sodium saccharin is a chemical derived from coal tar. It is one of five artificial sweeteners approved by the US Food and Drug Administration. You may remember there was concern about saccharin’s safety, but early studies that linked it to cancer in rats were reexamined and found not to translate to cancer risk in humans.

Sodium saccharin is extremely sweet, so small amounts make toothpaste palatable and better tasting. Still, sodium saccharin is not linked to any benefits for oral health, so its only function in a toothpaste is to improve flavor.

Semi-Sweet

Sorbitol is classified as a sugar alcohol, a type of substance that contains neither sugar or alcohol. Sorbitol occurs in small amounts in certain fruits, particularly apples and peaches. However, the sorbitol in commercial products almost always is made from corn syrup.

Sorbitol is less sweet than table sugar, and it’s often used in combination with another sweetener in toothpastes. The bacteria most commonly studied for tooth decay, S. Mutans, can use sorbitol for energy, as can your body, so it’s not considered a non-nutritive sweetener like most sugar alcohols. It is known to have a laxative effect in larger amounts than used for brushing teeth. Sorbitol also has no benefit for tooth health and is used exclusively to improve the taste of toothpastes.

Sweet Victory

Xylitol is a sweetener that occurs in certain fruits and vegetables, especially corn and birch trees. It also is a non-nutritive sweetener, meaning it does not get used by the body for energy and generally does not raise blood sugar levels.

Xylitol is about as sweet as regular table sugar and has been shown in numerous studies to help prevent the formation of dental caries. The bacteria associated with caries disease cannot use xylitol for energy, and xylitol can help correct dry mouth, increasing saliva for additional tooth health benefits.

How to Choose the Right Toothpaste Sweetener

When choosing a toothpaste, a toothpaste sweetened with xylitol (all CariFree tooth gels use xylitol) offers additional benefits beyond one sweetened with sodium saccharin or sorbitol.

(11/01/2022)
by Carifree

More Information: https://carifree.com/blog/how-is-your-toothpaste-sweetened/


Views: 761
Share
Share

How To Prevent Cavities When You Have A Sweet Tooth

Thanks to years of education from parents, teachers, dental hygienists, and dentists, most of us are aware that eating candy and drinking sugary drinks can contribute to tooth decay. For those who enjoy the taste of sugar, satisfying their sweet tooth can lead not only to cavities, but also to feelings of guilt every time they indulge.

By following a few common sense practices, however, those who consume more sugar than average can maintain healthy teeth. Here are a few tips that can help prevent cavities for sugar lovers.

Brush Often

While this might seem elementary, a busy schedule often prevents you from brushing as often as you should. To keep your teeth clean, you should:

Carry a portable or disposable toothbrush with you at all times. Portable toothbrushes can be godsends for busy adults, such as sales representatives and insurance agents, who are on the road during the day. They allow you to quickly visit the restroom after eating a sugary dessert or snack and remove any food or sugar on the teeth. Many such toothbrushes are disposable and some even come with built-in toothpaste.

Change your toothbrush at home. If you consume a lot of sweets, chances are you're at risk for more plaque buildup than the average person, since plaque thrives in a carbohydrate-rich environment. Toothbrushes with triple-action bristles and diamond-shaped heads are designed to be better at cleaning hard-to-reach nooks and crannies. Powered toothbrushes can also make brushing more comfortable and enjoyable.

Other Tips

For those without the means or willingness to carry a toothbrush around, here are some other things to consider:

Use a mouthrinse to remove as much sugar and sticky residue as possible. While mouthrinses that contain fluoride are ideal, even swishing plain water around your mouth can help when no other option is available.

Chew a sugar-free gum after eating sweets to help clean your teeth. The gum will increase the production of saliva, aiding in removing any sugar coating the teeth.

Choose less sugary snacks. Obviously, fruits are a healthy way to satisfy a craving for sweets, but for those who don't want to substitute a banana for a donut, there are still some choices you can make to lessen the risk of cavities. For example, a slice of pound cake will not coat the mouth in sticky sugar for quite as long as a chocolate fudge brownie or piece of gooey taffy.

The key to prevent cavities after eating sugary foods is simply to prevent the mouth from remaining coated in the acid-forming sugars and other carbohydrates found in sweets after eating.

(11/02/2022)
by Colgate

More Information: N


Views: 611
Share