Dentists Journal

Top Ten Stories of the Week
5/20/2023

All Dentists Journal · Previous Week · This Week · All Time List · Headlines

Share

Types Of Periodontal Disease

Periodontal disease (also known as periodontitis and gum disease) is a progressive disease which affects the supporting and surrounding tissue of the gums, and also the underlying jawbone. If left untreated, periodontal disease can result in loose, unstable teeth, and even tooth loss. Periodontal disease is in fact the leading cause of tooth loss in adults in the developed world and should not be taken lightly.

Periodontal disease begins when the toxins found in plaque start to attack the soft or gingival tissue surrounding the teeth. This bacterium embeds itself in the gum and rapidly breeds, causing a bacterial infection. As the infection progresses, it starts to burrow deeper into the tissue causing inflammation or irritation between the teeth and gums. The response of the body is to destroy the infected tissue, which is why the gums appear to recede. The resulting pockets between the teeth deepen and, if no treatment is sought, the tissue which makes up the jawbone also recedes causing unstable teeth and tooth loss.

Types of Periodontal Disease

There are many different varieties of periodontal disease, and many ways in which these variations manifest themselves. All require immediate treatment by a periodontist to halt the progression and save the gum tissue and bone.

Here are some of the most common types of periodontal disease along with the treatments typically performed to correct them:

Gingivitis

Gingivitis is the mildest and most common form of periodontitis. It is caused by the toxins in plaque and leads to periodontal disease. People at increased risk of developing gingivitis include pregnant women, women taking birth control pills, people with uncontrolled diabetes, steroid users and people who control seizures and blood pressure using medication.

Treatment: Gingivitis is easily reversible using a solid combination of home care and professional cleaning. The dentist may perform root planing and deep scaling procedures to cleanse the pockets of debris. A combination of antibiotics and medicated mouthwashes may be used to kill any remaining bacteria and promote the good healing of the pockets.

Chronic Periodontal Disease

Chronic periodontal disease is the most common form of the disease, and occurs much more frequently in people over 45. Chronic periodontal disease is characterized by inflammation below the gum line and the progressive destruction of the gingival and bone tissue. It may appear that the teeth are gradually growing in length, but in actuality the gums are gradually recessing.

Treatment: Unfortunately unlike gingivitis, chronic periodontal disease cannot be completely cured because the supportive tissue cannot be rebuilt. However, the dentist can halt the progression of the disease using scaling and root planing procedures in combination with antimicrobial treatments. If necessary, the periodontist can perform surgical treatments such as pocket reduction surgery and also tissue grafts to strengthen the bone and improve the aesthetic appearance of the oral cavity.

Aggressive Periodontal Disease

Aggressive periodontal disease is characterized by the rapid loss of gum attachment, the rapid loss of bone tissue and familial aggregation. The disease itself is essentially the same as chronic periodontitis but the progression is much faster. Smokers and those with a family history of this disease are at an increased risk of developing aggressive periodontitis.

Treatment: The treatments for aggressive periodontal disease are the same as those for chronic periodontal disease, but aggressive periodontal disease sufferers are far more likely to require a surgical intervention. This form of the disease is harder to halt and treat, but the dentist will perform scaling, root planing, antimicrobial, and in some cases laser procedures in an attempt to save valuable tissue and bone.

Periodontal Disease Relating to Systemic Conditions

Periodontal disease can be a symptom of a disease or condition affecting the rest of the body. Depending on the underlying condition, the disease can behave like aggressive periodontal disease, working quickly to destroy tissue. Heart disease, diabetes and respiratory disease are the most common cofactors, though there are many others. Even in cases where little plaque coats the teeth, many medical conditions intensify and accelerate the progression of periodontal disease.

Treatment: Initially, the medical condition which caused the onset of periodontal disease must be controlled. The dentist will halt the progression of the disease using the same treatments used for controlling aggressive and chronic periodontal disease.

Necrotizing Periodontal Disease

This form of the disease rapidly worsens and is more prevalent among people who suffer from HIV, immunosuppression, malnutrition, chronic stress or choose to smoke. Tissue death (necrosis) frequently affects the periodontal ligament, gingival tissues and alveolar bone.

Treatment: Necrotizing periodontal disease is extremely rare. Because it may be associated with HIV or another serious medical condition, it is likely the dentist will consult with a physician before commencing treatment. Scaling, root planing, antibiotic pills, medicated mouth wash and fungicidal medicines are generally used to treat this form of the disease.

(05/12/2023)
by Red Rocks Family Dentistry

More Information: https://www.redrocksfamilydentistry.com/services/periodontal-disease/types-of-periodontal-disease/


Views: 428
Share
Share

Teeth Pain Medicine: What Are Your Options?

When a toothache strikes, treating the pain is top of mind. The first course of action is to make an appointment with your dentist to diagnose the cause and treat your pain. But for fast relief at home in the interim, here are some toothache medicine options that may alleviate the symptoms.

Common Causes of Toothaches

Your teeth and mouth are vulnerable to many issues that cause toothaches:

Sharp pain or a dull ache may accompany a cavity.

Extended throbbing may mean you are suffering from an infection or abscess in your tooth or gums.

You might mistake intense sinus pressure for a painful toothache. Mucous accumulation in your sinuses can create pressure on one or more of your upper teeth.

Gingivitis, which can lead to gum disease, can create areas that are sore around your teeth and gums.

Over-the-Counter Toothache Medicine

Depending on your symptoms, over-the-counter (OTC) medicine and temperature treatments are some ways you can help ease toothache pain while you're awaiting professional care.

Benzocaine is a topical anesthetic that temporarily soothes and relieves pain on the treated area. When spread over teeth and gums, the numbing sensation can decrease sore gum pain, the pang of a toothache and sinus-related toothache pressure. However, according to the FDA, benzocaine should not be used for children younger than 2 years old.

Nonsteroidal anti-inflammatory drugs (NSAIDs) are a safe way to alleviate tooth pain from cavities, gum disease or sinus pressure in the short-term. Some NSAIDs are available OTC. They not only cut the sharp pain accompanying a cavity, but also help reduce inflammation. You can decrease your inflammation, a painful symptom of sinusitis, gingivitis and abscessed teeth, with aspirin, ibuprofen or naproxen. However, NSAIDs shouldn't be used for more than 10 days without talking to your doctor.

Whereas NSAIDs act as a pain reliever and an inflammation and fever reducer, acetaminophen works as a pain reliever and fever reducer but doesn't treat inflammation. Because of its pain-relieving properties, acetaminophen is a good first line of pain defense for the sharp twinge accompanying the onset of a cavity as well as the extended throbbing that can often follow.

Home Remedies for Treating Oral Pain

Oftentimes, medicinal home remedies can help decrease pain in conjunction with OTC pain medicine.

When sinus pressure leads to a toothache, try a hot, steamy shower to help loosen the mucus buildup in your cheeks and relieve pressure on your teeth. Likewise, keep a cold ice pack on hand to numb the feeling of pressure on your upper teeth.

As an alternative to benzocaine, you may want to try clove oil, another numbing agent. You can apply clove oil directly on your pulsating tooth abscess or inflamed gums to bring quick relief.

Solution for Long-term Relief

If you feel your tooth beginning to ache or your gums becoming sore, pain relievers are only a stopgap until you can see your dentist. Keep in mind that delaying treatment may only worsen the underlying condition. Maintain your dental health by brushing twice daily with a toothpaste which repairs early teeth and gum damage, flossing once per day, and scheduling six-month checkups to catch potential problems before they become painful.

(05/16/2023)
by Colgate

More Information: https://www.colgate.com/en-in/oral-health/adult-oral-care/toothache-medicine-options-1117


Views: 538
Share
Share

Tongue Cracks: Symptoms and Causes

A fissured tongue is benign but may need extra oral care to remove debris. If cracks hurt or develop sores, it may be due to another health condition that needs medical attention.

When you look in the mirror and stick out your tongue, do you see cracks? You could be one of the 5 percent of the U.S. population who has a fissured tongue.

A fissured tongue is a benign (noncancerous) condition. It’s recognized by one or more deep or shallow cracks — called grooves, furrows, or fissures — on the top surface of your tongue. A fissured tongue is also called:

cracked tongue

lingua plicata

scrotal tongue

Symptoms of a fissured tongue

The symptoms of a fissured tongue are cracks on top surface of the tongue. Sometimes they extend to the tongue’s edges. The depth and size of the cracks or fissures vary. They may or may not be connected.

Debris can sometimes get trappedTrusted Source in the cracks of deep grooves. As such, people with tongue cracks are encouraged to brush the top surface of their tongue to remove any debris. This will also help prevent irritation or infection from occurring.

What causes tongue cracks?

Doctors don’t know why tongue cracks form. It’s believed to be hereditary. Sometimes a fissured tongue is seen alongside:

Melkersson-Rosenthal syndrome

orofacial granulomatosis

Down syndrome

A fissured tongue has been associated with geographic tongue and psoriasis, especially pustular psoriasis.

What is geographic tongue?

People with a fissured tongue sometimes also have a condition known as geographic tongue. It’s also called benign migratory glossitis.

Geographic tongue is a harmless inflammatory condition that affects the tongue’s surface. Usually, the entire surface of the tongue is covered with small, pink-white bumps. But with geographic tongue, patches of those tiny bumps are missing. These patches are smooth and red, sometimes with slightly raised borders.

Geographic tongue doesn’t indicate infection or cancer. It typically doesn’t cause health problems.

What is pustular psoriasis?

Pustular psoriasis is a very uncommon form of psoriasis. It’s the most severe form. It can cover the body with a combination of painful red skin and raised bumps fill with pus.

Treatment is focused on relieving symptoms. It may include phototherapy and medication, such as:

cyclosporine

acitretin

methotrexate

Takeaway

If you have cracks in your tongue, you might have a fissured tongue. It’s not a health risk, but consider brushing your tongue to make sure debris doesn’t get stuck in the cracks.

If your tongue is painful or has lesions alongside tongue cracks, discuss your symptoms with your doctor. They can help you find treatment to get relief.

(05/12/2023)
by healthline

More Information: https://www.healthline.com/health/tongue-cracks


Views: 564
Share
Share

Building Better Oral Habits

It can be difficult to remember to brush after every meal and floss every night, yet the reasons to take good care of our teeth are countless.

Poor dental hygiene can lead to many problems that can be costly to treat like cavities, gum disease and discolored teeth. A healthy mouth also means a healthy and bright smile. The benefits of a good dental hygiene routine far outweigh the effort involved. Here are some tips on building better oral habits!

30 Days is Key

Did you know that studies show that it takes 30 days to build a habit? It may feel impossible that all the things you endeavor to do could simply feel natural and become an easy daily routine, but simple repetition of an action or task over time creates grooves in your brain so that it can almost seem to run on automatic. This works for both negative and positive habits, so the key is to keep practicing your desired habits for at least 30 days!

You’re Better at Building Habits Than You Know

You may have thought in the past that you weren’t very good at building habits, but we all build habits every day without knowing it. Have you ever been driving home from work and not known how you arrived home already, not been able to remember the last few landmarks or turns? That is because you have done this so many times that your brain has developed the grooves to make its processes more and more efficient.

The science behind how our minds develop habits is good news because it means that habits are not outside our control, we get to choose our habits to be the things we want to do, too. You’re better at building habits than you might have thought, so why not start building better oral habits? Here are some tips.

Remember, Don’t Forget!

The main thing we need when starting out with new habits is reminders. Set up some cues or reminders to help you remember to brush your teeth after meals, before bed, and to include all the habits you’d like to develop such as brushing for a full 2 minutes and using floss and mouthwash once a day.

Ideas for reminders can range from putting a note in your phone’s to-do list or calendar, setting an alarm on your clock, posting some sticky notes on the mirror in the bathroom, or wearing a reminder such as a bracelet to cue your brain to the task when you see it.

There are even more creative options, too, such as giving your cat or dog a treat at a certain time every day when you are also supposed to complete a task. Once they get used to this, they won’t fail to remind you if you forget!

It’s All About the Tools

If you’ve gotten discouraged in the past about building better oral habits, don’t lose heart! You may have just not had the right tools to build the habits you wanted to. There are options available that might make things easier like flossing picks and interdental brushes to use instead of regular dental floss. Better tools with advanced features such as an electric toothbrush with a brushing app for your phone can also help to ensure your habits really are improving, and give you daily feedback and tips to help!

Talking to your dentist at your next exam may be helpful as well for making a plan towards building better oral habits in the future. An exam and cleaning can be a great launching pad to help you get started with your new commitment because you will want to maintain the clean, smooth feeling of your freshly polished teeth.

(05/15/2023)
by Perfect Smile Tulsa

More Information: https://www.perfectsmiletulsa.com/blog/building-better-oral-habits/


Views: 529
Share
Share

Tooth Pain When You Bite Down On It: Causes and Treatments

There are many reasons that you can feel pain in your tooth when you bite down. A range of conditions causes this kind of toothache, including cavities and damage to the teeth, sinus infection, and gum disease.

In addition to causing sharp stabs of pain when chewing or putting pressure on the tooth, these issues can lead to tooth loss and other problems.

This article looks at the conditions that lead to a painful bite, when to get help, and treatment options.

Why Does My Tooth Hurt When I Bite Down?

Most often, pain when you bite down, is caused by complications of poor oral hygiene or damage to the tooth. It can also arise from sinus pressure caused by infection. The following are common causes of tooth pain.

Cavity

The most common causes of a painful bite are cavities (holes in the teeth caused by tooth decay). According to the Centers for Disease Control (CDC), approximately 90% of adults over 20 have had at least one cavity. This issue occurs when the hard outer shell of teeth (tooth enamel) erodes when bacteria in plaque feed on sugars in your mouth.

Cavities can affect any part of the tooth; in cases of gum recession due to gum disease, the roots of the teeth can also be affected. It’s essential to treat cavities as they can progress to more serious issues, including infection and tooth loss.

Cracked Tooth or Other Injury

Tooth pain when you bite down can also arise from physical damage. Loosened or cracked teeth have many causes, including:

Accidents or falls

Impact

Natural wear and tear

Bruxism (teeth grinding)

Chewing on ice or very hard foods

Periodontitis

Periodontitis, or periodontal disease, is an advanced form of gingivitis in which the infection causes the gums to pull away from the teeth, and the underlying bone starts to lose mass and weaken. The toothache occurs from loosening teeth and decay that commonly results from this condition.

Periodontitis is very common, affecting nearly half of American adults over 30. It's a progressive condition and a significant driver of tooth loss.

Malocclusion

When properly aligned, the upper teeth should hang over the lower set, and the molars should interlock. If they aren’t lined up, a condition known as malocclusion, they can become worn down and damaged, and their stability can be affected. This can lead to loosened teeth, cracking, tooth decay, and an increased risk of gingivitis and periodontitis, all of which are associated with tooth pain.

Loose Filling or Crown

Dental fillings to repair cavities or dental crowns—specialized caps placed over damaged teeth—can also be at the root of tooth pain.

If these are loose, poorly fitting, or broken, the underlying structures can be impacted, causing discomfort when biting. This arises due to natural wear and tear, poor fit, dental infection, tooth decay under a crown, or teeth grinding.

Abscessed Tooth

Tooth decay, periodontitis, and damage to the teeth can cause the tooth's pulp to become inflamed and die.

This can lead to the formation of an abscess—a pocket of thicker fluid or pus—where the teeth meet the bone. This painful, serious condition can spread the infection to the bone, teeth, and surrounding tissues if untreated.

Pulp Necrosis

A common result of tooth decay is pulpitis, an infection of the pulp, which is the nerve and blood vessel-filled tissue surrounding the tooth root. This can lead to the death of these tissues, a condition called pulp necrosis.

Pulp necrosis can cause pain upon biting and lead to tooth abscess, among other serious dental issues.  

Pain in your teeth when biting can also be a complication of gum disease or gingivitis. Characterized by bleeding and inflammation in the gums and bad breath, this is a bacterial infection of the tissues surrounding bones and teeth.

Treatment For a Tooth That Hurts With Pressure

As with other dental issues, the specific treatment for tooth pain depends on the underlying cause. Dentists, dental specialists, and healthcare providers employ a range of treatments to take care of this issue.

Cavity

The specific treatment for a cavity depends on the scope of the damage and tooth decay. Several treatments may help, including the following:

Dental fillings: This is the standard approach to typical, unadvanced cavities. The dentist removes decayed tooth enamel and fills the gap with dental cement or composite material.

Root canal: If the cavity has caused infection of the pulp, the dentist performs a root canal. The affected tissue is removed, and the inside of the tooth is thoroughly cleaned out. Then, a temporary filling is placed, and time is given for recovery before the permanent restoration is put in place.

Extraction: In severe cases, the tooth's pulp can't be saved, and your dentist may recommend pulling the tooth out. Following a dental extraction, you may need a dental implant or bridge to replace it.   

Cracked Tooth or Other Injury

Dental procedures can be highly successful in repairing cracked or chipped teeth, which can treat toothache and other symptoms. Among the procedures considered are the following:

Dental bonding: The dentist uses a specialized resin to fill in the crack or chip, repairing damage and restoring the tooth's shape.

Veneers: In some cases, a thin porcelain or plastic shell (veneer) can be placed over the damaged tooth, permanently restoring it.

Dental crowns: A crown is a customized cap that can be placed over the remaining parts of damaged or cracked teeth. It's color-matched and shaped to fit in with the surrounding teeth.

Malocclusion

If the alignment of teeth is causing pain or otherwise affecting the health of the teeth, orthodontic treatments can help. The most common approaches include the following:

Braces or aligners: Your orthodontist may try to use clear or metal braces, brackets wired to put pressure on teeth to fix their alignment. Retainers, or other types of wearable aligners, may also be used.

Tooth removal: If the malocclusion is due to overcrowding of the teeth, tooth extraction may be considered. Once the tooth is removed, surrounding teeth migrate to fill up the space, which can fix the alignment issues.

Reshaping teeth: In some cases, the cosmetic dentist can file down, cap, or reshape teeth to fix their alignment. Veneers or dental crowns may also be used to support this work.

Jaw surgery: Very rarely, the position of the teeth needs to be adjusted by shortening, lengthening, or otherwise altering the shape of the jaw. The bone must sometimes be reinforced with a screw, wire, or plate. 

Periodontitis

More advanced gum disease, periodontitis, is progressive and irreversible. This condition is linked to tartar—a hardened, calcified plaque on the teeth—which can only be removed through dental procedures.

Chief among these is scaling and root planing, also known as deep cleaning. Scaling involves physically removing tartar from above and below the gum line, while root planing works to remove pockets of plaque near the tooth root.

Loose Filling or Crown

Generally, loose fillings or crowns can be easily repaired. If a filling becomes loose or falls out, the dentist can often cement it back into place or replace it. However, additional treatments, such as a root canal, may be needed if tooth decay is beneath the filling.

Similarly, dental crowns can be put back in place with a simple procedure if the underlying tooth structure isn’t affected by decay or damage.

Abscessed Tooth

Combatting the infection at the cause of the abscessed tooth is the primary goal of treating this condition. Specific approaches depend on the cause of the issue and can include:

Taking antibiotics to kill bacteria

Draining the fluids from the abscess to ease pressure and promote healing

Scaling and root planing to clean spaces between the gums and teeth

Root canal if the infection is due to tooth decay or damage

Pulp Necrosis

Endodontists—dentists that specialize in treating pulp—can treat pulp necrosis in several ways, including:

Fillings: Dental fillings may be needed to treat any cavities at the root of the infection. It can be restored or replaced if a loose filling is at fault.

Root canal: In a root canal, the dentist removes infected pulp tissues, disinfects, and cleans the tooth out in an initial appointment. In the second one, they fill in and restore the tooth.

Pulpectomy: This procedure involves removing irreversibly affected pulp through a small hole drilled into the tooth. This may be done alongside a root canal.

Dental implants: In severe cases, the tooth may need to be extracted and replaced with a prosthetic. This can be a dental implant or bridge.

When To See a Dentist

If you’re experiencing pain when biting down on food, you should have your teeth checked out. Signs that prompt a call to a provider include:

Pain and symptoms lasting 48 or more hours

Pain medications aren’t easing the pain

Fever, bright red gums

Swelling in the cheek or jaw

If your tooth pain is accompanied by swelling around the eye, neck, or mouth, or you have difficulty breathing, go to the emergency room.

(05/13/2023)
by Very Well Health

More Information: N


Views: 542
Share
Share

Dental Mistakes You Might Be Making Which You Need To Fix Today

Dental hygiene is considered to be one of the most foremost parts of your everyday routine. Not paying attention to your teeth and gums can lead to a of dental as well as other health problems. Dental problems do not only create problems in mouth which includes cavities and gums diseases but also on other parts of the body which include heart diseases, diabetes and even stroke.

That is the reasons doctors recommend to take utmost care of your dental health.

Here is a list of 5 dental mistakes you might be making and how to fix them:

Not brushing long enough

Brushing is a very important part of our daily routine and if we are not giving it enough time, it will give dental problems like cavities in the longer run. Dentists recommend that brushing your teeth twice a day for two minutes each time is the ideal time. Brushing for 2 minutes and cleaning all the hard to reach places ensures proper cleanup of your mouth.

 

 

 

Not replacing your toothbrush frequently

Toothbrushes also come with an expiry date but very few people know that. Old toothbrush can hold lot of bacteria and cause harm to the teeth and mouth. The more you use an old toothbrush, the less effective it gets with time. Dentists recommend toothbrush should be replaced after every 3-4months on a verge, or if you notice any bending or frying, then also they should be replaced. 

Brushing too vigorously

Brushing is an art which if not done properly can cause dental problems like bleeding in gums. Applying the right amount of pressure is the key to proper brushing. Best brushing includes removing all the food particles and plaque from your teeth. According to dentists, holding the toothbrush with just three fingers is the best way for brushing. and if there is sensitivity then using the toothbrush with soft bristles.

Brushing only the teeth and not gums and tongue

Brushing is processes which not only requires cleaning your teeth but also tongue and gums, because bacteria and germs are scattered everywhere in the mouth. Ignoring cleaning tongue and gums can help germs stay in the mouth and start the decaying process. When brushing clean your tongue with tongue cleaner or with toothbrush only and for gums, massage them with small and gentle circles with your toothbrush.

Brushing at wrong times

 There is an assumption that brushing right after eating or drinking can remove all the bacteria from the mouth but that is totally wrong an assumption. Brushing right after eating or drinking something acidic can harm the enamel on your teeth, as brushing can cause further pushing the acid further into your teeth enamel. It is advised by the doctor to at least wait for 30mintues before your brush or rinses your mouth with water. 

(05/15/2023)
by Doctor NDTV

More Information: https://doctor.ndtv.com/teeth/5-dental-mistakes-you-might-be-making-which-you-need-to-fix-today-2950805


Views: 403
Share
Share

What Is A Gingivectomy And When Should You Need One

The American Dental Association estimates that periodontal disease affects nearly half of Americans over the age of 30. Also known as gum disease, periodontal disease causes inflammation of the tissues supporting and holding the teeth in place.

One of the rare oral care procedures that can reverse the effects of gum disease is gingivectomy.

Gingivectomy is used to treat gum disease when root planing and scaling are no longer effective. This procedure treats the consequences of periodontal disease or addresses a gum problem that affects the teeth’ supporting structures.

Read on to find out more about this oral surgery procedure.

What Is a Gingivectomy?

A gingivectomy, also known as crown lengthening, is a form of oral surgery that involves removing gums in a minimally invasive to moderately invasive manner. The technique controls tissue overgrowth and improves the appearance of teeth by removing the gingiva.

The majority of people get gingivectomies only when they become adults. A gingivectomy is the best treatment option to make your smile look as it should.

This holds if you’ve taken drugs (such as some forms of blood pressure pills) or undergone hormonal changes (such as pregnancy gingivitis) that cause your gums to become bigger and look unnatural.

Others discuss obtaining one with their dentist as they have a gummy smile that causes their teeth to appear short.

Getting a gingivectomy instead of a more expensive aesthetic procedure is a less intrusive and more cost-effective option. As long as the procedure is done with a laser, you should notice spectacular effects the same day.

Candidate for gingivectomy

A dentist may recommend gingivectomy for those experiencing a gum recession as a result of:

gum injury

gum injury infections caused by bacteria

Gingivitis

aging

A dentist may offer a gingivectomy to anyone with gum disease to prevent further damage. It also makes it easier for your dentist to clean your teeth.

Gum disease frequently results in holes at the base of the teeth. These gaps can lead to the accumulation of:

Calculus

tartar

bacteria

plaque

Further damage can result from these buildups.

If your dentist discovers an infection or gum disease during a cleaning or dental care check-up and wants to stop it from progressing, he or she may propose this operation.

Gingivectomy Procedure

A gingivectomy takes between 30 minutes to one hour, depending on the amount of gum tissue removed by your dentist.

Minor operations involving one tooth or a few teeth will most likely just require one appointment. Major gum contouring or removal may need multiple visits— particularly if your dentist wishes to let one area heal before moving on to the next.

The following is how the procedure works:

To numb the area, the dentist injects a local anesthetic into the gums.

The dentist performs a soft tissue incision using a laser tool or a scalpel to cut away sections of gum tissue.

During the process, your dentist will most likely use a suction tool to remove extra saliva from your mouth.

The dentist may use a laser tool to vaporize excess tissue and sculpt the gumline after the tissue has been taken away.

As you heal, your dentist applies a soft dough-like substance and bandages to the area for gum protection.

How do scalpel and laser procedures compare?

Gingivectomy can be done in a number of ways, but the most common ones are with a scalpel or a laser. For many years, small surgical blades and other periodontal surgical instruments were used to cut the tissue and move the gingival margin into a better position during a gingivectomy.

Scalpel is easy to use, cuts cleanly with clear edges, wounds heal quickly, and there is no damage to the surrounding tissue. Scalpels have some drawbacks, like the need for anesthesia, bleeding that makes it hard to see, and the fact that the cut isn’t sterilized.

Light Amplification by Stimulated Emission of Radiation is what LASER stands for. Whether to do a traditional gingivectomy with a scalpel or a laser gingivectomy depends on a lot of different things.

In one study, they compared the two methods. First of all, with laser gingivectomy, the surgery was easier and took less time than with traditional gingivectomy.

In the traditional gingivectomy, there was bleeding, but there was less blood in the laser procedure. With laser gingivectomy, you need less anesthesia.

In laser gingivectomy, the pain after the surgery was less than in conventional gingivectomy. This could be because the heat from the laser shuts down the pain receptors, and the coagulation process makes the wound dry and less likely to get infected.

What To Expect After Surgery

You may have bleeding and swelling, as well as chapped lips or bruising, following your gingivectomy. You should use an ice pack every 15 minutes during the first two days to help with swelling. After the third day, you can use a heat pack every 20 minutes. Keeping your head raised will also help reduce swelling.

For the first 48 hours post-surgery, you may notice that your saliva appears pink. You should avoid eating hot meals and rinse your mouth to reduce bleeding. The bleeding will continue if you eat hot foods or rinse your mouth.

Gingivectomy Recovery and Healing Time

Most people recover quickly from a gingivectomy. Here’s what to anticipate.

The First Few Hours

You shouldn’t have to wait to go home. Most of the time, your dentist will only use local anesthesia, so you should be able to drive yourself home.

You might not feel pain right away, but as the anesthesia wears off a few hours after the procedure, the pain might get worse or last longer. Pain relievers like acetaminophen (Tylenol) or ibuprofen (Advil) that you can buy without a prescription may help.

Your gums may bleed for a few days as well. Change any bandages or dressings until the bleeding stops or your dentist says you can show your gums again.

Before sending you home, your dentist or a dental assistant should show you how to change your bandages or dressings. If they didn’t tell you how to do it or if you’re not sure what to do, call their office and ask.

The Next Few Days

You might have pain in your jaw. Your dentist will probably tell you to only eat soft foods while your gums are healing so that you don’t hurt or irritate them.

If pain or irritation in your cheeks makes its way into your mouth, try putting a cold compress on them.

Long-Term

After about a week, the pain and soreness will go away. Go back to the dentist to make sure the area is healing well and that you can go back to eating normally.

Lastly, keep your teeth in good shape. Don’t smoke, brush and floss your teeth twice a day, and eat less sugary foods.

How much does gingivectomy cost?

The price of a gingivectomy may vary.

The skilled team at Brownstone Dental is well known for providing the best dental care to the whole Houston community. For the entire family, we provide great dental care as well as a low cost of support.

Contact us right away to receive a more thorough pricing breakdown for your gingivectomy!

How do gingivectomy and gingivoplasty compare?

Gum tissue is removed during both operations. A gingivectomy removes diseased gum tissue that is around a gum pocket, whereas a gingivoplasty is performed to restructure gum tissue, typically for cosmetic purposes.

This is the fundamental distinction between the two surgeries. Gingivectomy and gingivoplasty can be combined, and in some circumstances, a gingivectomy can be used for cosmetic operations.

When to See a Dentist

If you think you might benefit from a gingivectomy, talk to your dentist. Some people receive a gingivectomy following braces only when advised by their orthodontist. Dental professionals can inform you if the operation is right for you and explain the benefits and drawbacks.

The most important advantage of a gingivectomy is that it improves your oral health. Preventative care check-ups are, of course, your best bet for avoiding these operations. Your dentist will be able to detect any potential problems early on, potentially preventing you from getting gum disease.

(05/17/2023)
by Brown Stone Dental

More Information: https://www.mybrownstonedental.com/what-is-a-gingivectomy/


Views: 701
Share
Share

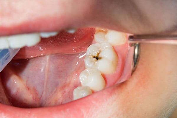
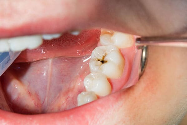
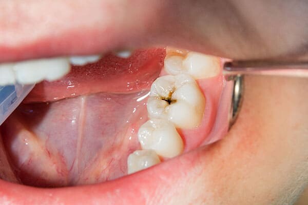
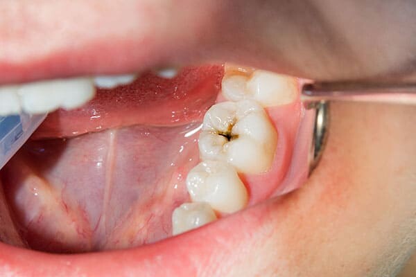
Dental Caries: Signs And Symptoms Of Tooth Decay You Must Watch Out For

Dental caries commonly known as tooth decay or cavity is one of the common dental issues. According to WHO, Dental caries is a major public health problem globally and is the most widespread non-communicable disease (NCD). In tooth decay, the outer layer or the enamel of the tooth gets damaged and develop into tiny holes and openings. There are multiple factors responsible for this condition. Some of these are bacterial infections, too much consumption of sugary foods and drinks, frequent snacking, poor oral hygiene, dry mouth, some eating disorders and acid reflux disorders.

Dental caries or tooth decay: Know the signs and symptoms

Cavities start small and gradually become bigger. Noticing the signs and symptoms of dental caries can help seek adequate treatment on time. Here are some warning signs and symptoms of dental caries you must watch out for.

1. Tooth stains

The initial sign of tooth decay may appear as a white spot that darkens with time into brown-black stains or tooth discolouration.

2. Pit or hole

When left untreated, pot or hole occurs on or around the stained area which in severe cases may lead to a fracture in the tooth.

3. Sensitivity to hot or cold

The enamel of the tooth starts to wear due to decay which results in exposure of the dentin layer present below enamel. Exposure of dentin to hot or cold food may stimulate nerve endings leading to unpleasant sensation in the tooth.

You may experience sensitivity to hot and cold as a sign of cavitiesPhoto Credit: iStock

4. Sensation to sweet

Just like hot or cold food sensitivity, sweet food may also lead to unpleasant lingering sensation in the tooth.

5. Toothache or abscess

When left untreated tooth decay invades the pulp of the tooth (soft tissue of tooth comprising nerve endings and blood vessels). Pulp exposure then leads to severe pain and even abscess formation in advanced cases.

If you experience any of these symptoms with toothache, then you must visit to your dentist.

(05/14/2023)
by Doctor NDTV

More Information: https://doctor.ndtv.com/teeth/dental-caries-signs-and-symptoms-of-tooth-decay-you-must-watch-out-for-2383798


Views: 549
Share
Share

Can I Drink Coffee After A Tooth Extraction?

Many of us love our caffeine fix first thing in the morning. Whether it's black coffee, a vanilla latte, or your standard iced skinny hazelnut macchiato, extra shot, light ice, and no whip. But — you may have to push pause on your order for a few days after getting your tooth pulled. While it's a very common and simple dental procedure, you'll need to properly care for yourself and follow your dentist's instructions to heal. So, should you drink coffee after a tooth extraction? The answer is — no, you should not. You should help your mouth on its way to a quick recovery so you can quickly get through the drive-thru coffee line.

How To Reduce Risk of Complications

When you hear the term "blood clot," it may not conjure up any pleasant thoughts. But they are necessary and help the healing after tooth extraction. However, according to the Mayo Clinic, when a blood clot doesn't develop before your wound heals as it should, a dry socket occurs. This can lead to considerable pain, discomfort, and a bad taste in your mouth. Drinking coffee increases the risk of a dry socket. Therefore, it's smart to turn off the coffee maker for a few days.

What to Eat and Drink After Tooth Removal

What your body consumers post-procedure influences the effectiveness and length of your recovery. So following your dentist's recommendation is vital. The University of Utah has created instructions for your entire week following the extraction. It features recommendations, tips, and what to expect, like plenty of water and a small meal upon arriving home. Soft and bland foods (eggs, mashed potatoes, cottage cheese, etc.) are always smart. It's also wise to continue to hydrate over the next few days, but not with hot beverages like coffee.

When Is It Safe to Drink Coffee?

Assuming your healing and recovery process is going swimmingly, you'll want to wait at least 5 days to reintroduce coffee back into your diet, says the University of Utah. But slowly and in small amounts. Within 2 weeks, your swelling should be minimal, and your cup of joe intake can return to its normal consumption level. Contact your dentist if you have any questions or if anything feels off.

How to Promote Healing

Diet is one key element in your healing. There are many other things you should do to make your recovery as smooth as possible. You should:

Be smart and stay away from anything that could prevent healing

Avoid tobacco, alcohol, and vigorous rinsing

Don't use a straw for 24 hours

Gently rinse with warm salt water after 24 hours

Apply a cold cloth or an ice bag for swelling

Brush and floss regularly but avoid the extraction area

Take any medications (if prescribed) as directed

So now you know if you should drink coffee after tooth extraction. And you know when you should drink coffee after tooth extraction. The key is allowing and helping your mouth to heal so you can drink coffee again. It just requires a little patience — and then you can return to your regular caramel latte, 3-pump, skim milk, lite water, no foam, extra hot drinking habits.

(07/02/2023)
by Colgate

More Information: N


Views: 625
Share
Share

How Acidic Foods and Drinks Can Impact Your Gum Health

Is it hard to go through your day without a couple of sodas or glasses of orange juice? If so, you need to be concerned about how these acidic beverages are affecting your mouth.

Consuming a lot of acid can lead to acid erosion of the enamel, and when this erosion occurs at the gum line, your entire mouth may be at risk of damage.

Signs that You’re Consuming Too Much Acid

Acid comes in a variety of forms – carbonated drinks, wine, juices, citrus fruits, and sugar, to name a few. When you consume too many acidic foods, you could begin to start noticing signs of erosion. Some of the earliest signs include:

Discoloration. During the early phases of erosion, your teeth will yellow. This occurs when the enamel layer thins out, exposing the underlying dentin.

Sensitivity. Once that enamel starts to wear away, you could feel pain when you eat hot or cold items. Sensitivity will increase as more enamel wears away, and excess acid can also leave the gums feeling inflamed and sore.

Later signs may include pain, cracks, and decay.

How the Gums Are Affected

As acid erosion wears away at your teeth, decay is often the result. This leads to problems with the gums, including gingivitis and possibly more advanced forms of gum disease. Symptoms of gum disease may include:

Swollen or red gums.

Gums that are tender and bleed easily.

Painful or difficulty chewing.

Bad breath that won’t go away.

Receding gums and teeth that appear to elongate.

Loose teeth and teeth that fall out.

Fortunately, there are ways to keep your mouth safe. Be sure to brush twice daily, floss regularly, and rinse your mouth out with water after you consume acidic foods or drinks. Also, visit your dentist regularly for your periodic cleanings. We’ll help to minimize the damage of acid.

(07/01/2023)
by East Main Dental Center, LLP

More Information: N


Views: 606
Share