Dentists Journal

Top Ten Stories of the Week
10/24/2020

All Dentists Journal · Previous Week · This Week · All Time List · Headlines

Share

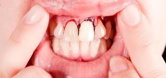
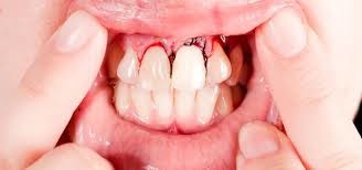
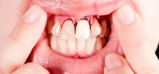
What is a dislodged tooth?

A dislodged tooth, also known as an avulsed, extruded or luxated tooth, is generally caused by trauma to the mouth which has resulted in the tooth being pushed up into or out of its socket usually through some sort of force or trauma like a fall or accident. To avoid the need for a painful and expensive root canal treatment, a lost tooth must be treated in as soon as possible.

What can I do if a permanent tooth gets knocked loose?

A tooth that has been partially or completely knocked out is considered a dental emergency and needs immediate treatment at the dentist. Contact an emergecny dentist and schedule an appointment as soon as possible.

If the tooth is still in its socket, attempt to replace the tooth to its correct position and press onto the crown till it sits level with the adjacent tooth.

If a tooth has been completely dislodged rinse the tooth with water, do not scrub the tooth, and attempt to place it back into its socket.

If a tooth cannot be placed back into the socket, drop it into a cup of milk and head to the dentist immediately.

How does a dentist save a dislodged or loose tooth?

It is possible to save a tooth that has been knocked out of its socket. Properly clean and story the tooth, and head to the dentist.

The dentist begins the process by anesthetizing and cleaning the affected area. If the tooth is visibly intact the dentist will reposition and stabilize your tooth, then perform a series of x-rays to see if the root’s nerves or blood vessels have been fractured or damaged.

The dentist may also recommend additional tests at follow-up appointments as x-rays may not be entirely accurate immediately following a tooth’s injury. Permanent damage to the root, nerve or blood vessels can require a root canal treatment to prevent the tooth’s discoloration or abscess, which is a serious infection.

If a child sustains a dislodged or knocked out tooth, in particular to a primary tooth treatment to save a tooth may not be as complicated or serious since permanent teeth are still developing.  In the case of permanent teeth, it is important to attempt to save and reposition the tooth with the help of the dentist.

Generally there are three main ways to save a loose or knocked out tooth:

Using a composite resin material along a wire and bonding it to the tooth

Bonding an orthodontic bracket to each of the teeth involved and connecting the braces with a wire

Fusing a synthetic cloth or metal mesh to the back of the affected tooth/teeth.

How does a knocked out tooth heal?

Keep in mind that without dental intervention, you risk permanently losing your tooth or causing an infection. Always follow instructions on care and cleaning provided to you.

Once the dentist has replaced a tooth in its socket, it can take a minimum of 7 to 10 days to heal and set within the socket. It is essential that you follow up with your dentist.  If upon further testing, it appears your tooth’s nerve or blood vessels are damaged, further treatment to save the tooth might be required.

(10/19/2020)
by Jefferson Dental Clinics

More Information: https://www.jeffersondentalclinics.com/dental-services/emergency-dislodged-tooth#:~:text=A%20dislodged%20tooth%2C%20also%20known,like%20a%20fall%20or%20accident.


Views: 1,434
Share
Share

A well-balanced, beautiful smile is more than just straight teeth says Doctor Ricardo Perez

Dr. Ricardo M Perez, DDS offers advanced care for your teeth and skin in one location where cosmetic dentistry and facial esthetics combine to help patients achieve enhanced appearance and confidence. A well-balanced, beautiful smile is more than just straight teeth. The confidence and freedom that come with it allow you to enjoy life spontaneously!

Likewise, our spa treatments for smooth, glowing skin work to empower you from the inside out. Insecurities regarding teeth and skin cause people to quickly close their mouths before getting a picture taken, or stay home when they should be out with family and friends. Who wants to live life like that? Surely, you don’t, and we care deeply that you don’t—that’s why we’re here.

A Gentle Approach to Cosmetic Dentistry

While there are numerous cosmetic dentists in the Pleasant Hill, California area, Dr. Ricardo M Perez, DDS is one of only a few that believes in providing patients with a minimally invasive approach to dental care. Not only do we offer safe, effective cosmetic dentistry using the latest technology, we also understand the importance of promoting and maintaining your overall health and wellness.

The health and appearance of your teeth and gums are connected to the health of the rest of your body, which we care about as well. Our spa services, ranging from facials to fillers and more, can work in conjunction with our cosmetic dentistry services for rejuvenation inside and out, or simply visit our spa on its own when you need a well-deserved boost in body and spirit.

Ricardo M Perez, DDS is a graduate of UCLA and the University of the Pacific School of Dentistry. He is one of less than 5% of dentists who have completed hands-on training courses in cosmetics and jaw relations.

(10/21/2020)

More Information: https://www.mybestdentists.com/RicardoMPerez


Views: 2,463
Share
Share

4 Signs You Need Emergency Dental Care

Damage to teeth and gums can’t be ignored. It’s always important to act quickly if something is wrong, but some dental issues are more pressing than others. How can you know the difference between a dental problem that needs to be solved soon and a problem that needs to be solved now?

We never want our patients to put off a dental procedure when it could lead to lasting harm, so we’ve compiled a list of important warning signs that mean you should get your teeth checked out as soon as possible. After all, you’ve only got so many teeth — it’s best to keep them all in good shape.

1. Dental abscesses

A dental abscess is a small collection of pus inside of a tooth or gums that is caused by a bacterial infection. If your symptoms include shiny red swollen gums, a fever, or pain that spreads to your jaw or neck, you may have an abscess, even if you don’t see it. Try to see us as soon as possible, but, in the meantime, you can reduce the pain of the abscess by avoiding cold drinks. Use a soft toothbrush to very gently clean the area until we can get you into the office.

2. Broken or missing teeth

It goes without saying that obvious physical damage to your teeth is one of the most urgent dental emergencies you can experience. If your tooth has been damaged, rinse your mouth with warm water immediately and call us as soon as possible. If your tooth has come out, gently try to put it back into the socket (without touching the root!) or keep it in your mouth to protect it until we can see you.

3. Significant pain or swelling in the teeth, gums or jaw

Constant pain or swelling in your mouth is never normal! This symptom may seem vague or common, but it could be a sign of major damage or an infection that could have nasty results if left untreated. Don’t tough it out. Call us and we will decide together whether you need to come in for an appointment.

4. Lost filling or crown

A crown or filling can become loose or even fall out for a variety of reasons. If you lose a crown or filling, it’s important to try to save it — we may be able to reuse it. Rinse the area with warm salt water and continue to brush the damaged tooth (gently!) until you can see a dentist.

Ignoring any of these four dental problems could result in the permanent loss of teeth. Infections can even spread to other parts of your body and cause serious general medical issues, so it’s extremely important to get your teeth examined if you experience any dental emergency on this list!

(10/18/2020)
by Capital Dental

More Information: https://www.mycapitaldental.com/4-signs-you-need-emergency-dental-care/


Views: 1,375
Share
Share

Dr. Scott Garrison is dedicated to helping his patient's pursuit of excellent periodontal and oral health

Dr. Scott Garrison has been in practice since 1987 when he joined the practice of Dr. Robert Taggart in Media. They practiced together for 18 years before Dr. Taggart retired in 2005. Dr. Garrison is a graduate of Ursinus College and received his Dental Degree from Case Western Reserve University in Cleveland.

He then received his specialty certificate in Periodontics as well as his Masters Degree in Dental Science from the University of Connecticut while on a training grant from the National Institutes of Health.

Dr. Garrison has been selected by his peers as a Top Dentist in Main Line Today for the past 10 years as well as one of the Top Periodontists in Philadelphia Magazine's Top Dentists.

Dr. Scott Garrison is dedicated to helping your pursuit of excellent periodontal and oral health. Periodontics is the dental specialty which helps preserve and repair the supporting structures surrounding your teeth. Damage to these structures is the primary cause of tooth loss.

The procedures that we perform include both surgical and non-surgical treatments to stop the progression of periodontitis. As a periodontist, dental implants are part of our speciality as well.

We use the latest technologies available in dentistry to aid our treatment. These include CBCT scans, as well as the latest Computer Navigated Implant Surgery. 

 

(10/20/2020)

More Information: https://mybestdentists.com/ScottGarrison


Views: 2,187
Share
Share

Different types of braces available to fix your dental issues

There are several different types of dental braces that may be recommended to improve alignment of teeth including traditional metal braces, ceramic braces, lingual braces and invisalign.

Traditional Metal Braces:

Traditional braces involve brackets and wires, usually made out of metal, which are attached to the teeth and allow their positioning to be altered as required.

Heat-activated archwires are a relatively new additional to traditional braces. These utilise body heat in the mouth to allow the teeth to move them more quickly and with less discomfort than was previously possible.

Ceramic Braces:

Ceramic braces are very similar to the traditional metal braces in size and shape, but they are constructed of a ceramic material that blends into the natural color of the teeth so that the braces are less noticeable.

This type is just as effective as traditional braces at achieving the movement of teeth into desired positions, but are much less noticeable due to their color, which makes them a more favorable alternative for some individuals. However, they are typically more expensive than traditional braces and may become stained if they are not properly cared for.

Lingual Braces:

Lingual braces similar to traditional braces in that they are made out of metal, but they are attached to the inside of the teeth so that they cannot be easily seen from the outside.

This type has the obvious advantage of not being visible to other people because they are hidden behind the teeth. However, they are less effective than traditional braces and often take longer to achieve desired tooth alignment. they may also be uncomfortable for the patient as they come into direct contact with the tongue. Finally, they tend to be more difficult to clean.

Invisalign:

Invisalign is the most distinct type of braces because they do not involve brackets and wires but instead utilize a series of custom-made clear plastic aligners that are worn over the teeth. These aligners are easy to remove and replace with the next one in the series every two weeks throughout the treatment period. Most individuals require between 18 and 30 different aligners to achieve the desired result.

This type of braces is preferable for many patients because they are almost invisible and allow greater freedom to eat and drink anything. However, they are considerably more expensive and can only be used to correct minor to moderate dental problems in teenagers and adults.

Self-Ligating braces:

Self-ligating braces are very similar in appearance to traditional metal braces, but utilize clips rather than elastic bands to hold the wire of the brace in place. As a result, there is less friction on the braces and it is usually easier for the individual to keep the braces and teeth clean.

This type of braces has similar efficacy to traditional metal braces and may increase control over the appliance, leading to more precise tooth alignment. However, they are often more expensive and are still visible from the outside.

(10/17/2020)
by Yolanda Smith, B.Pharm

More Information: https://www.news-medical.net/health/Types-of-Dental-Braces.aspx#:~:text=There%20are%20several%20different%20types,braces%2C%20lingual%20braces%20and%20invisalign.


Views: 992
Share
Share

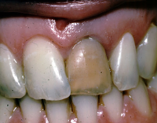
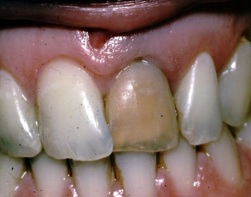
How to deal with a broken crown?

A crown is a common dental restoration used to preserve the teeth’s functionality, shape and size. Crowns protect teeth that are highly prone to fractures especially after root canal treatments; they cover dental implants and close gaps between cracked and worn teeth.

What happens if your crown breaks or falls out? Find out below.

Are there any quick fix for the patients until they see a dentist?

The best thing you can do is apply a little clove oil with a cotton swab or dental cement directly to the tooth surface if it feels sensitive. This might help a bit in terms of the sensitivity and pain relief. If the patient has the crown, it might be possible to slip it back over the tooth. Make sure that the inside of the crown is clean and then you can coat it with a tooth cement or dental adhesive paste which are both available in the dental section of the pharmacies. This is a temporary solution until the patient can visit their dentist.

How do dentists deal with broken crowns?

A lost or fallen out crown is rarely an emergency. However, sometimes it can be quite painful as the exposed tooth tissue might be sensitive if the tooth is vital (has a living pulp). It can cause a lot of discomfort psychologically or aesthetically if it is located within the anterior area. Depending on the case, it should be fixed as soon as possible.

What we normally do is ask the patient if they still have the crown. If so, after cleaning and thoroughly examining both the remaining tooth structure and the crown, we make sure that the core is not defective or carious. If clinical exam and X-rays prove that the crown fits and adapt well with the tooth structure, we might consider making the crown ready for re-cementation.

However, this is not always feasible. When the crown is lost or is defective, we advise to fit a temporary crown and we attempt to make a new crown after doing the necessary preparation. Unfortunately, in some cases, the tooth might not be restorable and we might consider other options such as extraction and implant replacement.

Post-surgery tips:

The immediate precautionary post-surgery steps involve taking it easy for the first day, especially for some types of cements. It is best to stay away from eating hard or sticky food to allow the cement the adequate time to set.

If you have numbed up during previous dental treatments you need to wait till the normal sensation returns before eating anything. Otherwise, there is the risk of biting your cheek or your lip. Hopefully, the next day you can test the bite of your crown to make sure it feels right with every type of jaw movement.

If you are not comfortable, please let your dentist know about it, so that they can adjust and correct it immediately. All of the above steps need to be taken into consideration when looking after your new crowns.

What is the key to maintaining long-lasting crowns?

As dentists, we need to make sure that the crown is made and fitted perfectly. We check factors such as the marginal seal and the adaptability of the crown margins to the tooth structure. No matter how hard the patient tries, a defective and ill-fitting crown will be difficult to maintain.

Once the crown is fitted and cemented, patients should:

Maintain excellent oral hygiene by brushing with preferably an electric toothbrush at least twice daily and flossing regularly to remove bacteria. Remember to clean and pay careful attention to where the teeth meet the gum.

Use fluoride and anti-bacterial mouthwash regularly to contribute to mechanical and chemical plaque removal.

Avoid chewing on hard food that can break the porcelain and take precautionary steps towards some destructive habits such as grinding by using a night guard.

(10/16/2020)
by Dr. Michael's

More Information: https://www.drmichaels.com/blog/how-to-deal-with-a-broken-dental-crown


Views: 1,841
Share
Share

We want to take the stress out of going to the dentist says Doctor Paul

Bertolasio Dental, located in Girard, Ohio provides variety of General, Advanced, Restorative and Cosmetic Dentistry. We offer our patients the best dental work available, and show them the same kindness, and understanding we would give our own families. Our top priorities are the patient’s experience and end result! We strive to help patients by providing flexible hours, timely service and visits and by offering a variety of finance options.

We want to take the stress out of going to the dentist by making sure that every single staff member is very understanding of the anxiety a visit to a dentist can cause and we all work to make sure that you feel at ease! Expect to be treated by smiling faces and a kind welcome when you visit our office.

Dr Paul is a 1994 graduate of the Ohio State University College of Dentistry. ​Dr. Paul has been a life long area resident and proud member of the local community. He and his wife Jane met at YSU and together they have 3 children: Giana, Vincenzo and Myla.

He completed his residency at Western Reserve Care System and has remained active in dental education through the years. He attends continuing dental education classes, taught pharmacology at YSU, and is clinical preceptor with North Side Hospital dental residency program.

(10/21/2020)

More Information: https://www.mybestdentists.com/PaulMichaelBertolasio


Views: 2,077
Share
Share

Diabetes and Your Smile

Did you know that 29.1 million people living in the United States have diabetes? That’s 9.3% of the population. Approximately 1.7 million new cases are diagnosed each year—and 8.1 million people living with diabetes don’t even know they have it.Diabetes affects your body’s ability to process sugar. All food you eat is turned to sugar and used for energy. In Type I diabetes, the body doesn’t make enough insulin, a hormone that carries sugar from your blood to the cells that need it for energy. In Type II diabetes, the body stops responding to insulin. Both cases result in high blood sugar levels, which can cause problems with your eyes, nerves, kidneys, heart and other parts of your body.So what does this have to do with that smile of yours — and how can you protect it? First, it’s important to understand the signs of diabetes and the roles they play in your mouth.

The Symptoms of Untreated Diabetes

The warning signs of diabetes affect every part of your body. After a blood test, you may be told by a doctor that you have high blood sugar. You may feel excessively thirsty or have to urinate a lot. Weight loss and fatigue are other common symptoms. Diabetes can also cause you to lose consciousness if your blood sugar falls too low.If diabetes is left untreated, it can take a toll on your mouth as well. Here's how:

You may have less saliva, causing your mouth to feel dry. (Dry mouth is also caused by certain medications.)

Because saliva protects your teeth, you’re also at a higher risk of cavities.

Gums may become inflamed and bleed often (gingivitis).

You may have problems tasting food.

You may experience delayed wound healing.

You may be susceptible to infections inside of your mouth.

For children with diabetes, teeth may erupt at an age earlier than is typical.

Why People with Diabetes Are More Prone to Gum Disease

All people have more tiny bacteria living in their mouth now than there are people on this planet. If they make their home in your gums, you can end up with periodontal disease. This chronic, inflammatory disease can destroy your gums, all the tissues holding your teeth and even your bones.Periodontal disease is the most common dental disease affecting those living with diabetes, affecting nearly 22% of those diagnosed. Especially with increasing age, poor blood sugar control increases the risk for gum problems.  In fact, people with diabetes are at a higher risk for gum problems because of poor blood sugar control. As with all infections, serious gum disease may cause blood sugar to rise. This makes diabetes harder to control because you are more susceptible to infections and are less able to fight the bacteria invading the gums.

How Your Dentist Can Help You Fight Diabetes

Regular dental visits are important. Research suggests that treating gum disease can help improve blood sugar control in patients living with diabetes, decreasing the progression of the disease. Practicing good oral hygiene and having professional deep cleanings done by your dentist can help to lower your HbA1c. (This is a lab test that shows your average level of blood sugar over the previous three months. It indicates how well you are controlling your diabetes.)

Your Diabetes Dental Health Action Plan

Teamwork involving self-care and professional care from your dentist will be beneficial in keeping your healthy smile as well as potentially slowing progression of diabetes. Here are five oral health-related things you can do to for optimal wellness:

Control your blood sugar levels. Use your diabetes-related medications as directed, changing to a healthier diet and even exercising more can help. Good blood sugar control will also help your body fight any bacterial or fungal infections in your mouth and help relieve dry mouth caused by diabetes.

Avoid smoking.

If you wear any type of denture, clean it each day.

Make sure to brush twice a day with a soft brush and clean between your teeth daily.

See your dentist for regular checkups.

 

(10/21/2020)
by ADA

More Information: https://www.mybestdentists.com/resources/AmericanDentalAssociation


Views: 3,205
Share
Share

What is the term, red white aesthetics in dentsitry?

The term “red-white aesthetics” refers to the interaction between color, structure and teeth position in relation to the posture and appearance of the gums.

The harmony and beauty of our smile is characterized by both our teeth and our gums. “Red-white” aesthetics refers to the gums (red) and the teeth (white).

In the following paragraph, a few parameters summarize what is considered beautiful in Europe and the USA.

The gums are pale pink, tightly attached to the teeth and resemble an orange-like pattern at close distance

The highest gum point is not always located in the tooth center. For example, the highest point on the 1er should be slightly outside or away from the tooth center so that a symmetric curve does not form

Furthermore, the gums do not run on a straight line from tooth to tooth. For example, the highest point of the 2er lies about 1-2 mm below an imaginary line between 1er and 3er

A smile appears young and dynamic if it shows more upper jaw than lower jaw teeth. Symmetry of the upper teeth is especially important for a harmonic appearance.  By contrast, a slight asymmetry of the teeth in the lower jaw contributes to a natural appearance

The small triangles between cutting edges (called inter-incision triangles) get larger towards the back, while teeth contact areas get smaller in the same direction

The center line of the upper 1ers should be in line with the facial center line, an imaginary line on the top of the papillae rising towards the back

The teeth cutting edges are not supposed to all be on the same plain. The cutting edges of the 2ers lie approximately 1-2mm below an imaginary line between 1er and 3er

Furthermore, the visible parts of the teeth also have specific characterizations; the 1er is the widest tooth and the 3er is the narrowest tooth

The height and width of a tooth should also have a particular relationship with the face; otherwise, frontal teeth can easily appear like buck teeth

Furthermore, accurate interaction between repletion, area and space contrast as well as translucence and opalescence are important in order to achieve a natural appearance

The first upper tooth is always the brightest

the second one is always a bit darker

and the third tooth is always the most yellow

These and other criteria are the characteristics that make the smile of the “stars” appear so attractive to us. However, an attractive smile can be planned and created for you by your dentist. There is nothing in the way of your own Hollywood smile!

(10/22/2020)
by Checkdent

More Information: https://www.google.com/search?rlz=1C1NHXL_esMX739MX741&ei=Oq-RX_DHKsTYsQXDtYC4Aw&q=What+is+Red+White+Aesthetics+in+dentsitry&oq=What+is+Red+White+Aesthetics+in+dentsitry&gs_lcp=CgZwc3ktYWIQAzIHCCEQChCgAToECAAQRzoICCEQFhAdEB46BQghEKABOgQIIRAVUKlhWKB6YNeDAW


Views: 874
Share
Share

How cosmetic dentistry can help with a variety of dental issues

Whether you’re dealing with cracked, crooked, or even missing teeth, you know that the condition of your teeth can affect the appearance of your smile as well as the health of your mouth.  

Dental implants can combat dental issues and restore the form and function of your mouth.

Cosmetic dentistry enhances your smile:

If you don’t like your smile, you’re not stuck with it. If you’re considering cosmetic dentistry, Digital Smile Design Simulation allows you to see how cosmetic dentistry treatments can beautify your smile and help with a variety of dental issues, including:

Stains, Chipped teeth, Cracks or fractures, Tooth decay, Crooked teeth, Missing teeth.

Cosmetic dentistry procedures can correct many of these issues without surgery.

Treating dental issues without surgery:

If you have cracks, stains, or decay, there are a variety of cosmetic dentistry procedures that can enhance the look of your smile and treat issues — all without surgery.  Cosmetic dentistry can offer a variety of nonsurgical cosmetic dentistry procedures, including:

Invisalign clear aligners to straighten your teeth without the hassle of metal braces

Veneers to restore cracked, misshapen, or damaged teeth

Same-day crowns to protect weak teeth, improve the appearance of misshapen teeth, and strengthen a tooth damaged by decay

Cosmetic dentistry can also treat dental issues with surgery:

Some dental issues are best addressed with surgical cosmetic procedures. Dental implants can restore the function of your mouth by replacing missing teeth.

A dental implant consists of three parts: a post (which serves as a prosthetic root), an abutment to connect the post to the crown, and a crown (which serves as a prosthetic tooth).

Dental implants are surgically implanted into your jaw, so they form a strong foundation for your prosthetic tooth. Dental implants create beautiful smiles, but they also eliminate the problems associated with missing teeth.

(10/20/2020)
by Roberto Palmieri, DMD

More Information: https://www.palmieridentistry.com/blog/how-cosmetic-dentistry-can-help-with-a-variety-of-dental-issues


Views: 977
Share