Dentists Journal

Top Ten Stories of the Week
10/28/2023

All Dentists Journal · Previous Week · This Week · All Time List · Headlines

Share

How do I pick the right toothpaste for my needs?

With so many toothpastes available in so many price ranges, it can be difficult to be sure you are selecting the right one for your needs. You need a product that not only protects against tooth decay, but also addresses any special concerns that the doctor and our team have raised. Look for the American Dental Association seal and do some research to find the toothpaste that best meets your needs.

Choose a Product Approved by the American Dental Association

The American Dental Association approves dental products such as toothbrushes, dentures, mouthwashes, dental floss, and toothpastes when they meet certain quality standards. Before products can display the seal, the American Dental Association must verify that the product does what it claims to do. Look for the American Dental Association seal on the toothpaste package before you buy it. Also, check to make sure that the toothpaste contains fluoride, which helps protect against decay.

Consider Special Needs

You may be depending on your toothpaste to perform extra tasks beyond cleaning your teeth. These are some common concerns that the right toothpaste can address.

Bad breath (halitosis)

Sensitive teeth

Plaque or gingivitis

Tartar

Yellowing teeth

The American Dental Association’s website has a tool that lets users input their requirements and view a list of the toothpastes that carry the American Dental Association’s seal and address those particular oral health needs.

Make Your Children’s Tooth-Brushing Experience Fun

If you select toothpaste that contains fluoride and has the American Dental Association seal, most types of toothpaste will be fine for your children as long as they have no special needs. Allowing your kids to select fun toothpaste can encourage them to enjoy the brushing experience more, so that they brush more frequently and do a better job.

The following toothpaste characteristics can make brushing more fun for children.

Fun flavors, such as bubble gum, berry, and watermelon

Sparkles and swirls that make the toothpaste appear more attractive

Toothpaste that comes in a pump

Toothpaste with a container decorated with superheroes.

(10/20/2023)
by Mapledale Dentistry

More Information: https://www.mapledaledentistry.com/blog/836705-how-do-i-pick-the-right-toothpaste-for-my-needs


Views: 621
Share
Share

Can dental issues cause bad breath?

Bad breath. For one reason or another, it's something we all experience at some point in life. Hopefully, it's because you've just eaten a lot of garlic and the smell will be gone with a good brush and some time. However, sometimes there are darker causes afoot – or perhaps, atooth.

Halitosis, as it's technically called, can be a symptom of a number of underlying oral health issues pertaining to your teeth, gums and tongue. In this article, we'll take a look at some of the most common causes of bad breath and how you can treat the problem at its root.

1. Dry mouth (xerostomia)

When saliva production is low, this is called drymouth or xerostomia, and it tends to be a side effect of some medications.

Saliva plays a number of important roles in the mouth, not the least of them regulating oral pH levels to break down and remove food debris from the mouth. Without enough saliva in your mouth, proteins such as cysteine and methionine can linger and produce sulfur contain compounds which give off unpleasant smells.

Brushing and flossing regularly can help to remove these proteins from your mouth, however it's a good idea to consult with your dentist about the possible causes of dry mouth if you have concerns.

2. Dry socket

If you've recently had a tooth extracted and are experiencing gum pain along with bad breath, it's likely you have dry socket. This occurs when a blood clot is lost from the gum, usually due to drinking through a straw or smoking. When the clot comes away, it's likely to be very painful – so this would usually be a stronger indicator of dry socket than bad breath.

That said, bleeding or food debris trapped in the socket can contribute to bad breath. Your dentist will need to clean the wound and apply new dressing to treat the dry socket.

3. Failed dental work

Sometimes, new implants or restoration work can fail, allowing food or bacteria to become trapped under the piece. When this happens, you may experience bad breath as well as an unpleasant taste in your mouth. It's important to talk to a dentist about this, so they can perform an x-ray and identify if a failed restoration is at play.

4. Tooth decay

When you don't brush regularly, you leave countless bacteria and acids in your mouth that work to wear down the enamel of your teeth. These alone can smell pretty unpleasant, but once they burrow into the soft pulp of the tooth, the smell can become significantly worse due to the intense build-up of bacteria. You're likely to also feel pain in the tooth or sensitivity to temperatures.

If you suspect a cavity, it's important to consult a dentist as soon as possible to reduce the potential for severe damage.

5. Gum disease

Perhaps the biggest offender when it comes to bad breath, gum disease can present itself at a number of different stages.

Its most basic stage is gingivitis – something most of us will have experienced at some point. On top of bad breath, symptoms include bleeding and/or inflamed gums. Gingivitis occurs when plaque is left to build up on your teeth and agitate your gums. During early-stage gum disease, your breath might smell like rotten eggs or cabbage. You can generally treat this yourself by ensuring you're brushing and flossing regularly and thoroughly.

Left unchecked, however, gingivitis can develop into periodontitis. This is a much more serious condition that must be treated by a dentist, and ideally identified early – before bacteria can spread to other parts of the body. If you're experiencing late-stage gum disease, your breath may smell metallic as a result of the iron in your blood breaking down or the rotten smell may intensify.

6. White tongue

If your teeth and gums appear healthy, it's time to look to your tongue instead. If you notice a white coating at the back of your tongue, this can be a sign of poor oral hygiene. Your tongue is covered in tiny crevices and much like your teeth, debris is prone to get caught there. This can include food particles, sulfur compounds, mucus and more. When left on the tongue, bacteria can start to break all these things down and release unpleasant smells.

Simply brushing your tongue or using a tongue cleaner every day can be enough to wash this away.

Do note that white patches on the tongue can instead be a sign of oral thrush or other conditions. If cleaning your tongue doesn't remove the white coating, consider seeking a professional's opinion.

(10/21/2023)
by City Dentists

More Information: https://www.citydentists.co.nz/dental-blog/can-dental-issues-cause-bad-breath/


Views: 600
Share
Share

Calcium Deposits on Teeth: Treatment and Prevention

Good oral hygiene habits can often prevent calcium — or tartar — from building up on your teeth. But you'll need the help of your dentist and dental hygienist to remove the buildup once it develops. Read on to learn what these calcium deposits are, how your dental professional removes them, and how to prevent them.

What are Calcium Deposits on My Teeth?

"Calcium deposits"— known more commonly as tartar or calculus — are a hardened layer of plaque or dental biofilm. Tartar is made of calcium phosphates, among other compounds, and looks white or off-white, so you may hear it called calcium.

Tartar can form anywhere on the tooth surface. It can be especially troublesome when it builds up between the teeth because many people neglect to clean between their teeth with floss, water flossers, or other interdental cleaners. Tartar irritates the gums and serves as a rough surface where disease-causing bacteria can collect, leading to periodontal disease and even inflammation in other parts of your body.

How Does Tartar Form?

Tartar buildup occurs when the accumulated bacteria that grows on teeth hardens on the tooth surface. Tartar is typically found on the inner surface of the front teeth and the outer surface of the upper molars next to the cheeks. These are common areas because salivary duct openings continuously feed saliva (which includes calcium) into the mouth.

Removing Calcium Deposits

Only a dental professional can remove tartar buildup on your teeth. They will scale the teeth with instruments specifically designed for this purpose. These tools can be metal-tipped hand instruments or ultrasonic tools that use specific wavelengths to remove tartar. If it's been a while since you've visited your dental hygienist, scaling may take more than one visit. If the tartar on the tooth surface is deep below the gumline, you may need deep cleaning with local anesthesia to ensure your comfort.

Dental hygienists are trained and knowledgeable about working with patients, and they provide optimal oral health preventive care. You should never try to scale your teeth at home, whether with store-bought dental kits or household objects like toothpicks. Trying scaling at home may damage your enamel or lead to further inflamed or bleeding gums.

Preventing Calcium Buildup

The best way to prevent calcium buildup on teeth is to keep them clean by thoroughly brushing and cleaning between your teeth every day and having your teeth cleaned professionally at least twice a year. Some people build up tartar more quickly and need more frequent dental hygiene treatment, but following your dental hygienist's care plan will improve your oral health.

Brushing with toothpaste helps prevent plaque, gingivitis, tartar buildup, cavities, and bad breath. Faithful daily oral hygiene practices and regular visits to your dental professional will help minimize dental problems and keep your mouth healthy.

(10/20/2023)
by Colgate

More Information: https://www.colgate.com/en-us/oral-health/plaque-and-tartar/how-to-prevent-calcium-buildup-on-teeth


Views: 519
Share
Share

Are fractured teeth salvageable?

If you've discovered one of your teeth has fractured or cracked, you might be wondering how severe your situation is. Breaking a tooth can be a pretty scary experience, and you might think about delaying seeing a dentist to avoid an extraction or any extensive dental surgery. However, you'll usually be better off seeking emergency dental care before a fracture can worsen.

In this article, we'll take a look at how teeth can break, whether fractured teeth can be salvaged and what options are available to treat a fractured or cracked tooth.

How can teeth break?

Teeth are naturally very strong, however can weaken over time due to plaque and bacteria wearing away the tough enamel layer. When this happens, teeth might fracture when eating particularly hard foods or grinding your teeth, for example. Otherwise, teeth may be fractured due to an impact such as being hit or falling during sports.

There are two main ways a tooth might break:

1. Cracked, but in one piece

When a cracked tooth doesn't hurt, it can be very hard to know there is a problem at all, so it's important to have regular dental check-ups.

Though your tooth is still one whole piece, there might be a crack, or cracks. A cracked tooth may or may not hurt, and is quite possibly not noticeable to the naked eye.

You'll most likely feel pain when biting down. If you suspect you have a cracked tooth, your dentist can use a special dye to highlight any possible cracks. When a cracked tooth doesn't hurt, it can be very hard to know there is a problem at all, so it's important to have regular dental check-ups.

Even when no pain is felt, the smallest crack can gradually worsen due to repeated biting forces, and lead to nerve damage. Alternatively, bacteria may enter the tooth through the crack and infect the pulp within, leading to the need for root canal treatment.

2. A piece has broken off (fractured)

A portion of your tooth may have broken off cleanly, or remain tethered only by the gums. A fracture like this should be treated as soon as possible. Doing so will often affect how simple or successful its repair will be.

If not treated immediately, the fracture may worsen or invite dental plaque and debris to accumulate. Should you be unable to visit a dentist with any urgency, try to avoid using the affected tooth as much as possible until you can seek treatment, and ensure you maintain your oral hygiene.

Can fractured teeth be salvaged?

Fractured teeth can be salvaged depending on the severity of the break. Minor tooth repairs include:

Basic smoothing using a dental drill, such as when the chip is limited only to the enamel layer of the tooth.

A small filling, or bonded restoration, can fill any larger albeit shallow fractures.

Bonding the broken fragment back in to place may be offered sometimes, but is not very common.

Even in the case of larger fractures, you may not need to have the tooth extracted. Instead, your dentist may consider placing a larger filling, which would require some drilling first. However, they might worry that a filling could leave the tooth at risk of further damage, especially if there are any cracks in the tooth.

Alternatively, your dentist might suggest a dental crown. A dental crown is an excellent option for any tooth that could be at further risk, as it reinforces the existing tooth and root, without requiring total extraction and replacement. Essentially, what remains of the fractured tooth will be filed down to make space for a crown, which is a specially molded false tooth made from ceramic, metal or specialist material.

Dental crowns are aesthetically similar to natural teeth and should be cared for in the same way. They're also a less invasive and risky alternative to a full implant, as you maintain the root of your natural tooth and can typically have the work completed in just two appointments.

Note that a tooth may not always be salvageable. For example, if a fracture extends below the gum line, surgery will be required. You'll know this is the case if part of the tooth is attached only by the gums. Other problematic fractures may occur if the damage reaches the pulp chamber of the tooth, in which case you will require root canal treatment.

Can cracked teeth be salvaged?

Surface-level cracks may not be as severe as you think. In some cases, the solution is simply to take the tooth out of occlusion. This means filing the tooth down to reduce the amount of biting pressure it receives as you eat.

Otherwise, your dentist might consider a dental crown. Because the crown cups the whole tooth above the gum line, it effectively splints the cracked tooth together to alleviate symptoms and prevent worsening.

As with fractures, any crack that extends below the gum line or reaches the pulp chamber of the tooth is likely to require gum surgery and/or root canal treatment.

Minimising fractured or cracked tooth pain

If you're experiencing a fracture or cracked tooth but don't, for any reason, feel you can seek immediate treatment, it's nonetheless vital you speak to a dental professional about your situation.

A dentist can recommend the best pain relief and oral hygiene patterns to help you minimise further damage and alleviate symptoms until you can undergo any necessary procedure. As mentioned above, sometimes the solution may even be as simple as shortening the tooth – which can often be done in the same appointment.

(10/21/2023)
by City Dentists

More Information: N


Views: 477
Share
Share

Factors to Examine When Diagnosing Oral Lesions

If you’ve ever had a small sore spot on the inside of your mouth, you might have been dealing with a lesion. Oral lesions are a fairly common occurrence and often benign, though usually uncomfortable. However, it’s hard to tell the difference between a harmless lesion and one that’s a symptom of a more serious condition. This guide to oral lesion diagnosis from Rutgers Health University Dental Associates introduces a few factors to consider when determining the cause of one.

What Causes Oral Lesions?

Oral lesions are fairly common and have a wide variety of causes. Many of these are relatively simple and easily preventable, including:

Minor injuries from cheek biting, or rubbing on sharp edges of teeth or sports mishaps

Food sensitivities to chocolate, coffee, strawberries, eggs, nuts, cheese, or spices

Allergic response to certain foods, oral hygiene products or dental work

Hormonal shifts and emotional stress

Some lesions, however, might have more serious causes, such as resulting from a gum or tooth infection. Others are signs of systemic conditions or skin disease. Very rarely, oral lesions that do not heal normally are a symptom of cancer. 

Factors to Consider

Most oral lesions appear very similar at first glance, making it difficult to tell what kind of lesion a person might be dealing with. By assembling some basic information, however, a patient can make it much easier for a doctor to diagnose the cause. Here are a few factors to consider:

Location, Quantity, and Distribution

The first factor to consider is location. If it’s near a loose brace wire or other rough material, the lesion might simply be the result of rubbing. Also, pay attention to how many lesions there are and whether they’re clustered together or scattered around the mouth.

Size, Shape, Color, and Consistency

Second, take note of what the lesion looks like. The size and shape of the lesion are key factors in diagnosing its cause. So is its color. Some lesions are red or pink, while others are pale white or even yellow. Finally, check its texture as it compares to the surrounding tissues. Is it swollen or cratered? Rough or smooth? Soft or hard and knotty?

History and Duration

A third important factor is the lesion’s history. Try to remember when the lesion first appeared and whether there had been any recent injuries to that area. Also, make a note of how long the lesion has been present without healing. This is because some lesion come and go while others persist without healing. If a lesion has been there a very long time with no signs of disappearing, it’s cause might be more serious.

Other Symptoms

While this factor is the last on the list, it’s not the least essential. Symptoms describe how a lesion feels like. Oral lesions may be associated with a variety of symptoms such as tenderness, pain, itchiness, burning, numbness, or bad taste. Symptoms are often the key to determining whether a lesion is a simple sore or is of a more serious nature. If you notice any symptoms that might be related, try to include them in your conversation with the doctor.

Trust Your Dentist

Though this guide may be helpful in deciding the severity of your oral lesion, you should always trust your dentist to provide a final diagnosis. Take the information you gather about your lesion and present it to a trained professional for a diagnosis you can trust. 

(10/24/2023)
by Rutgers Health

More Information: https://rutgersdentists.org/news/factors-examine-when-diagnosing-oral-lesions


Views: 479
Share
Share

Composite Filling Versus Amalgam Filling

If you love sweets and don’t pay enough attention to dental care, cavities are always a risk you’ll have to live with. Thankfully, with the advancements in dentistry over the years, you may be able to find a variety of options to consider for tooth repair. A dental filling is the most commonly carried-out procedure in the world. Approximately 90% of Americans develop at least one cavity between the ages of 20 and 64.

Although dental fillings are routinely performed, patients don’t generally question the material being used in the procedure. Instead, they consider the treatment as routine. However, it is vital for every patient to know their best options and which material will suit their smile.

Previously, silver amalgam filling used to be widely available and was considered as the patient’s first choice. But today, most dentists prefer to use composite resin as the primary material in dental fillings.

Composite Filling

A composite filling is a newer form of dental filling. It was firstly introduced in the 60s and, over the last few decades, has become the preferred choice of most dentists.

Resin composite dental filling is composed of ceramic and plastic compounds. These fillings have the ability to blend it right in and can exactly resemble the appearance of natural teeth. They are also popularly known as white filling and tooth-colored filling.

Pros and Cons of Composite Resin Filling

Composite fillings are prepared from a combination of acrylic and ceramic to help match your tooth enamel beautifully. This particular filling can give you the confidence you need because it practically looks as natural as your real teeth.

The process does not require you to lose too much tooth enamel and nor is the process of tooth preparation too long. Composite resin is used to fill small to medium-sized cavities in the front and back teeth and can easily bond with the surface of your tooth.

You can even use the composite filling to fix superficial flaws like a chipped or cracked tooth. The material of the filling is not affected by temperature and it, therefore, does not expand or contract like amalgam fillings.

Although composite fillings give you the perfect smile, it has a life span of only five to seven years, which is half the lifetime of an amalgam filling. The cost of the filling is comparatively higher than other fillings and requires a longer treatment process at the dentist’s clinic.

Amalgam Filling

Also known as silver fillings; these are made from a mixture of mercury, silver, tin, and copper. This filling material has remained widely present throughout history and continues to be used by dentists of today. Amalgam filling was first introduced in 1895.

The filling contains mercury, which takes up 50% of the compound to help bind the metals together, ultimately providing a strong, long-lasting filling. When the mercury in the filling is combined with other metals, the mercury forms a stable and steady compound. Colored fillings are also known as ceramic and porcelain.

Pros and Cons of Amalgam Filling

As discussed earlier, amalgam fillings have been in the market for 150 years and hence have established a trustworthy reputation amongst patients and dentists. This type of filling is comparatively less expensive and offers much longer-lasting results, provided that you’re properly taking care of it.

Generally, it can last up to 15 years. This is simply due to the metal alloy in the filling, which offers stronger and firmer resistance to damage. Amalgam filling has the ability to go hard very quickly, which makes this treatment less stressful for special needs patients or kids.

Having said that, amalgam filling can become quite embarrassing for people because of its visibility and noticeable quality. You can easily view an amalgam filling from a distance as its silver shiny color is hard to miss and with the passing time, it can cause the tooth to change its color to slightly grayish and dull.

Regardless of all the benefits amalgam filling has to offer, it has developed a bad reputation in recent years because of the presence of mercury. Mercury usage in products has been discouraged by doctors due to patients showing signs of allergies and sensitivities.

Composite Fillings vs Amalgam Fillings – The Importance of Dental Filling

Although dental enamel is one of the strongest tissues in your body, it is also vulnerable to bacterial contamination. Dental fillings are specifically designed to overcome decay in tooth enamel in order to restore and preserve a tooth’s appearance, strength and arrangement.

Bacteria can easily be accumulated if plaque is left untreated for very, long resulting in the bacteria invading the teeth and causing cavities. These cavities need to be treated with a dental filling so bacteria are not able to damage the affected tooth any further. Untreated cavities can result in severe damage to the tooth’s canal.

 

Keeping in mind the above, it goes without saying that dental fillings are crucial as a method of treating cavities and preventing the development of more serious problems later in life.

(10/22/2023)
by Anderson Lake Dental

More Information: https://andersonlakedental.com/dentist_eden_prairie/blog/amalgam-fillings-vs-composite-fillings/


Views: 515
Share
Share

Sudden Tooth Sensitivity and Possible Causes

Many people have some tooth sensitivity every now and then. It is estimated that between 12 and 50 percent of the population experiences occasional tooth sensitivity at some point in their life. If you are experiencing sudden tooth sensitivity, a prompt visit to your dentist is in order for the purpose of treatment for this condition.

We discuss in this article some of the possible causes of sudden tooth sensitivity.

Tooth Sensitivity and Pain

Tooth sensitivity is about the reaction of your tooth to a stimulus. It is a sensation that results when the dentin layer below the hard enamel of the tooth is exposed to a cold and/or hot stimulus.

Also referred to as dentin hypersensitivity, there are two main types of tooth sensitivity, namely: regional and global. Sensitivity is considered regional or localized when it affects just a tooth or two. It is global when the discomfort occurs throughout the mouth, impacting both teeth and gums. Ideally, you should seek the assistance of your dentist no matter which type you are experiencing.

What Causes Sudden Tooth Sensitivity?

Your tooth can become sensitive for a variety of reasons. One or more of the factors below may be responsible for sudden pain.

Tooth decay

If you experience enamel loss, dental caries or cavities can develop in your teeth. Dentin becomes exposed if no treatment is administered to prevent exposure. Pain can result whenever the affected area is exposed to hot, cold or even wind.

Gum-related problems

Gingivitis can cause sensitivity to the whole oral cavity. This inflammation of the gum line is capable of causing gum recession. Food particles and bacteria can become trapped in gums, when receded, causing pain and abrasions.

Excessive flossing, toothbrush abrasion, and pocket reduction procedure are also among factors that can impact your gums, thus promoting sensitivity.

Abscess

You could develop tooth sensitivity as a result of an infection. Infection contributes to enamel erosion and possibly an abscess, which can make you feel intense pain. Swollen lymph nodes and jaws are among other possible signs of an infection.

Diet

You are likely to experience sudden tooth sensitivity if you have been consuming more acidic foods or drinks. Avoid highly acidic food, and also those with high sugar content, these types of foods can erode your tooth enamel exposing the dentin and/or nerve layer.

Sinus infection

You are likely to experience sudden tooth sensitivity from a sinus infection. This is due to inflammation existing near nerves that are connected to the tooth.

Stress

A sensitive tooth may result when you are feeling stressed. This is more likely if you are the type that grinds your teeth when experiencing stress. Grinding puts significant pressure on the teeth, and with sensitivity, this is just one of the problems that can result.

Tooth whitening

Ingredients in some tooth whitening products have the potential to cause tooth sensitivity. These over-the-counter products can sometimes be harsh and very acidic. You are at risk for enamel deterioration when you use products containing such ingredients regularly. Your teeth can become suddenly sensitive as a result.

How soon your sensitive tooth improves will depend on the particular cause. You can learn more about this from your dentist.

(10/23/2023)
by Monroe Family

More Information: https://monroefamilydentistrync.com/sudden-tooth-sensitivity-possible-causes/


Views: 493
Share
Share

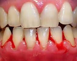
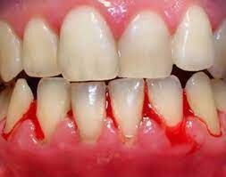
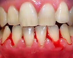
How to Stop Bleeding Gums

If you have experienced bleeding gums when you brush and floss, you are not alone. Maybe you have even shrugged it off as normal and not concerned yourself with what could be causing it. It is not normal for gums to bleed, so if you are experiencing it regularly, you should consider what steps you can take in order to stop your gums from bleeding.

Whether you are brushing and flossing too hard or you are experiencing a hormone surge, you still can help limit the amount your gums are bleeding. Here’s how.

1. BRUSHING AND FLOSSING

Brushing and flossing needs to happen at least once or twice a day, no matter what. Good oral hygiene removes food partials and bacteria that could be irritating your gums to the point of bleeding. Keeping up on oral care can help toughen up the gums, keeping them healthy and keeping any bad bacteria from penetrating them

2. STRESS REDUCTION

You might not have linked stress to your gums, but there is evidence that shows a link between stress and periodontal disease. Stress has a negative effect on the entire body, resulting in a potentially weakened immune system. With an inability to fight off oral bacteria, you might find your gums bleeding more. By reducing your stress level, you can improve your gum health.

3. SMOKING

Smoking is so bad for your body in many different ways. Smoking is known to cause lung cancer, heart disease, and strokes, but it is also a cause of gum disease. Smoking, much like stress, can reduce your body’s ability to fight off infection, putting your gums at a bigger risk of developing an infection. Smoking also draws in toxins from the cigarettes directly, resulting in recession of the gums as well as periodontal disease. Quitting smoking can help stop your gums from bleeding.

4. CUT DOWN ON YOUR SUGAR

Sugar intake throws off your bacteria levels for your entire mouth, including your gums. By reducing the amount of sugar and other carbohydrates that you eat, you can improve your overall oral health, and stopping your gums from bleeding.

5. BALANCED DIET

In addition to cutting down the amount of sugar that you are consuming, making sure that you are taking in the right amount of vitamins and minerals can also help keep your gums healthy. Taking in a lot of vitamin C and vitamin K can help boost your immune system while helping your blood naturally clot. It has been shown that vitamin K deficiencies cause excessive gum bleeding from an inability for the blood to clot once you start bleeding.

6. RINSE WITH SALT WATER

If the gum bleeding is a relatively new or infrequent event, you might have experienced some trauma in your mouth. Warm salt water can help rinse away any bacteria that might be causing your gums to be irritated. Make sure to keep the ratio with little salt in the warm water as too much can actually make it worse. Do not swallow the salt water either.

7. CALL YOUR DENTIST

Even though using these other home remedies to help combat your bleeding gums is helpful, the most important thing you can do is make an appointment to see your dentist.

(10/25/2023)
by Red Tree Dental

More Information: N


Views: 623
Share
Share

What Causes Coated Tongue: Symptoms, Causes and Treatmen

If the different parts of your mouth had resumes, the tongue wouldn't be able to fit all its skills on one page. Responsible for tasting food, working with the lips and teeth to talk a mile a minute, and helping with digestion and mouth cleaning, the tongue has many irons in the fire. The tongue can fall into poor health, though. A coated tongue, for example, indicates that it's time to visit a dental professional.

When to See a Dentist for a Coated Tongue

The tongue appears to be coated with a white layer when debris, germs and dead cells become lodged between enlarged papillae. The condition is typically harmless, despite the odd appearance. A white tongue can, however, be symptomatic of a serious health condition.

You should consult your dentist about a white tongue if it's painful, the coating lasts for longer than three weeks, or you're concerned about changes to your tongue associated with the coating.

Causes of a Coated Tongue

There are various reasons why the tongue can appear to be coated white. Conditions such as poor oral hygiene, mouth breathing and dry mouth are common. Alcohol consumption and tobacco usage are known to cause a number of health problems, a white tongue included. An all-soft or liquid diet can be a contributing factor, as well. Fever and congenital heart disease are also causes of a coated tongue.

White patches or coating can be a symptom of more serious health conditions, such as oral thrush and leukoplakia. These conditions require a visit to your doctor or dentist.

Oral Thrush

Thrush is a mouth infection caused by the Candida fungus, more commonly referred to as yeast. A typical healthy person has small amounts of Candida in the mouth, digestive tract and skin. Other microorganisms and germs keep the fungus from growing out of control. However, illnesses, stress and medications can all increase your Candida production.

The main symptom of oral thrush is white lesions that resemble cottage cheese, usually found on the tongue or inner cheeks. Thrush can happen in anyone, but it's more common in babies and toddlers, senior citizens, and people with compromised immune systems. It can result from:

Antibiotic and corticosteroid use

Smoking

Diabetes

Poorly fitted dentures

Serious diseases, such as HIV and cancer

Pregnancy

Thrush is treated with antifungal medications taken over 10 to 14 days.

Leukoplakia

Excessive cell growth in the mouth produces white patches on the tongue, a condition known as leukoplakia. Tobacco users are more prone to it than non-smokers. The presence of leukoplakia can sometimes indicate cancer, though your dentist needs to perform an evaluation for proper diagnosis.

Leukoplakia lesions typically resolve themselves. If the patches last longer than two weeks, consult your dentist.

Treatment of a Coated Tongue

Regardless of what's causing your white coated tongue, bad breath is usually a by-product. That's because of the extra germs hanging out on your tongue. Fighting bad breath from a coated tongue is as simple as maintaining good oral care habits.

Brush at least twice each day, complimented by flossing. Use a toothbrush suited to cleaning the teeth, tongue, cheeks and gums, to help remove germs. Schedule regular dental cleanings, too. Besides keeping your teeth clean and healthy, your dentist can identify the cause of a coated tongue and restore your oral health to tip-top shape.

(10/23/2023)
by Colgate

More Information: https://www.colgate.com/en-za/oral-health/adult-oral-care/coated-tongue-symptoms-causes-and-treatment


Views: 503
Share
Share

What Causes a Scab on the Lip?

Suddenly discovering a scab on your lip can be distressing. Besides causing you discomfort or pain, it might make you feel uncomfortable because it's so visible. So what causes a scab on your lip, and what should you do if it just won’t heal? Find out more about lip scabs so you can go back to smiling painlessly in no time!

What Causes a Scab on the Lip?

Scabs can often result from cuts or wounds on your lips that are now starting to heal. They may also appear when lips are cracked because of dryness.

Cold sores may also lead to scabs around the lips. Cold sores – caused by herpes simplex virus type 1 – are tiny fluid-filled blisters that appear on and around your lips, often in groups or patches. After the blisters break, you’ll see scabs form. These scabs can last several days.

Occasionally, the scab on your lip is not a cold sore and can be a sign of something more serious. The Mayo Clinic notes that if you see a flat, raised, whitish patch on your lip, it could be a sign of lip cancer.

How to Help the Scab on Your Lip Heal

Although scabs can be uncomfortable, it’s important not to pick them off or pick at them at all. The scab forming is a sign that your body’s immune system has started to protect the wound from getting infected, so letting the scab heal on its own is essential.

That said, there are things to do to make the healing process quicker or give yourself some relief. If the scabs are the result of cold sores, antiviral medicines can help them heal faster. Your doctor may also recommend ointments that numb the blisters, dry them out, or soften the crusts of the sores. Sunblock lip balm can protect your lips from the sun, a trigger for cold sores. Cold sores usually go away on their own in a few weeks.

If the scabs are caused by any trauma, like dryness or because of biting your lips, you can try applying lip balm, beeswax, or petroleum jelly for some relief.

What to Do if Your Scab Won’t Heal

According to MedlinePlus, you will know if your scab is infected if you see redness, yellow or green pus, or excessive clear fluid around it. Increased pain could be another sign that the area is infected. In this case, you should consult with your dentist or doctor immediately to get the right treatment.

If your scab isn’t healing on its own, it’s essential to see your doctor to ensure it’s not a sign of lip cancer. Early detection means that the cancer may be curable.

In most cases, the scab on your lip will heal on its own, but if it’s been a few days and you’re wondering why the scab won’t heal, it’s definitely worth checking with your doctor or dentist. Seeking additional treatment can go a long way in making you feel comfortable and confident.

(10/26/2023)
by Colgate

More Information: N


Views: 642
Share