Dentists Journal

Top Ten Stories of the Week
11/4/2023

All Dentists Journal · Previous Week · This Week · All Time List · Headlines

Share

Should I Upgrade To A Fancy Toothbrush?

If you’re obsessed with your teeth like we are, you know that brushing your teeth every day is a must. And we brush and floss twice a day. But, do you ever wonder if you could be doing more for your dental health? Have you been considering investing in an electric toothbrush lately? Before you go out and buy one, make sure to do your research. You may benefit from one, or you could be fine with what you’re currently using. Keep reading to learn more about electric toothbrushes.

Electric toothbrushes are toothbrushes that are able to vibrate and/or rotate, which helps remove plaque from teeth and gums. The vibration causes micro-movements that clean your teeth every time you move your toothbrush along your teeth. They can be battery-powered, or charge in a base that’s plugged into an outlet in your home.

Electric toothbrushes can range in price and efficiency.

Easier To Use

Electric toothbrushes could be easier to use for certain people, especially those who have mobility issues or concerns. If you or someone you know has mobility issues, such as carpal tunnel, arthritis, or multiple sclerosis, you may benefit from an electric toothbrush.

Timers

An electric toothbrush with a built-in timer can help you better gauge your brushing time. Brushing your teeth long enough can sufficiently remove plaque from your teeth and gums.

Orthodontic Appliances

Electric toothbrushes can be particularly helpful for people who have orthodontic appliances, like braces, because it makes reaching and cleaning certain spots easier.

People with appliances who already had good oral health may not be impacted, whether they use an electric toothbrush or a manual one. But, if you have had issues in the past, an electric toothbrush could make life with a new appliance easier or ease the transition.

(10/27/2023)
by Deeter Dental

More Information: N


Views: 664
Share
Share

Dry Socket Prevention: Caring For Yourself After An Extraction

Let's take inventory. A crisp, dry-cleaned shirt. Good. An energy-efficient washer and dryer. Great. A dry January. Good luck. But what about a dry socket? Is that good? Mmm, not-so-much. A dry socket is what happens when a tooth extraction goes awry. But if you heed your dentist's advice and note the tips below, there should be no reason you can't prevent a dry socket from occurring to you.

What Causes a Dry Socket?

Before we get into preventing a dry socket, let's dive deeper into how you might get one. That starts with a tooth extraction or exodontia, a procedure to get one of your teeth pulled. You may need a tooth extraction due to:

Damaged or decayed tooth

Crowded mouth or impacted teeth

Infection or risk of infection

There are a few complications that could arise from a tooth extraction. A dry socket is the most common complication but also very avoidable.

What Is a Dry Socket?

A blood clot, the right kind, forms to protect the bone and nerves at your tooth extraction site. Sometimes, though, the clot can become dislodged and not heal properly. It allows the nerves and bones to go unprotected from bacteria leading to significant pain and discomfort. A dry socket also slows down the recovery process, so it's best to see your dentist again right away.

How to Prevent Dry Socket

We know what caused it. We know what it is. Now, we turn to prevention. How you prevent a dry socket is actually quite simple. It should be familiar to anyone who practices proper oral hygiene. Keep your tooth extraction site clean and healthy after getting your tooth pulled. You can do that by following these tips:

Food and drink

Don't eat anything hard, sticky, or chewy for several days after the procedure. Avoid straws, eating on the side of the extraction, and sugary, caffeinated, alcoholic beverages. Soft foods and a lot of water are your friends.

Tobacco use

This one is pretty self-explanatory. Don't use tobacco. Smoking will expose bacteria to the site, and chewing tobacco will hurt the clot. And both slow the healing.

Hygiene

Take a day off before tending to the extraction site. You can still carefully brush your other teeth and tongue. After 24 hours, you can rinse with an antibacterial mouthwash to clean up the extraction site.

Rest

Allow yourself some time to heal and relax. Stay away from anything or any activities that are too physical or could affect your mouth in any way. A few days of "you" time in bed streaming your favorite show never hurt the healing process.

Treating a Dry Socket

If you do have to endure a dry socket, see your dentist right away. They can tend to the site and help lessen the pain. Your dentist will treat the dry socket with:

Paste

A medicated dressing (dry socket paste) will help number the pain

Pain Reliever

A nonsteroidal anti-inflammatory drug, such as aspirin or ibuprofen

Don't worry about the tooth extraction. That's out of your hands. Just focus on what you do after. Be sure to follow your dentist's advice, be smart, and gently and adequately care for your tooth extraction site. If you do all that, you'll definitely be dodging that dry socket.

Oral Care Center articles are reviewed by an oral health medical professional. This information is for educational purposes only. This content is not intended to be a substitute for professional medical advice, diagnosis or treatment. Always seek the advice of your dentist, physician or other qualified healthcare provider.

(10/29/2023)
by Colgate

More Information: https://www.colgate.com/en-us/oral-health/tooth-removal/dry-socket-prevention-after-extraction#


Views: 527
Share
Share

Rash Around the Mouth? Perioral Dermatitis And What It Means For You

You try to take care of your skin, but despite applying sunscreen and regularly cleansing and moisturising your face, you may still notice a rash around your mouth. As far as skin conditions go, MedlinePlus notes that rashes around the mouth are most likely to affect young women and children, but can ultimately affect anyone. This condition is called perioral dermatitis, and its causes might surprise you. By understanding what it is and how to treat it, you can soothe your rash to reveal healthy, glowing skin once again.

Rash Around the Mouth: Causes

People with sensitive skin are most likely to suffer from perioral dermatitis, as it's generally associated with topical products. This means the very products you use to keep your skin and mouth healthy could be causing your rash break-out. Here are some of the most common causes of the condition:

Topical steroid creams

Inhaled steroids

Poor skin hygiene, such as failing to wash your face regularly

Using too many irritating topical products

Fluoridated toothpaste

Make-up

Hormonal changes or taking oral contraceptives

An oral infection

Different individuals may experience different symptoms of perioral dermatitis, but it generally manifests as red, flaky skin around the mouth, a burning sensation, bumps, and even an accompanying rash on the nose, forehead and cheeks.

Treatment Options

Perioral dermatitis is typically treated by a dermatologist, but your treatment plan will vary depending on the cause of the rash. MedlinePlus recommends stopping the use of any products that could be irritating your skin, including new make-up, harsh cleansers and sunscreen. Instead, substitute your usual cleanser with warm water and, with your doctor's permission, a mild soap. You can also talk to your doctor about any steroid medications you may be taking or applying, and adjust your dosage to account for your rash.

For stubborn cases, the American Osteopathic College of Dermatology suggests stopping the use of fluoridated toothpaste. If your dermatologist thinks your rash may be due to using fluoridated toothpaste, consider using a fluoride-free toothpaste instead. It's unlikely that you'll have to swap out your toothpaste forever, since the condition can resolve itself with changes to your hygiene routine, habits and even hormones.

Your dermatologist may also be able to prescribe antibiotics to help clear up your skin and get rid of the embarrassing and often painful rash around your mouth. Together, you can come up with a treatment plan to help soothe your skin and balance out your complexion.

Even if you're taking all the necessary steps for a healthy skin, a rash can still break out around your mouth and make you feel like your favourite products and make-up are suddenly working against you. The good news is that, once you isolate the issue, you can work with your dermatologist and dentist to follow treatments and use products that help keep your skin calm, clear and rash-free.

(10/28/2023)
by Colgate

More Information: https://www.colgate.com/en-za/oral-health/adult-oral-care/rash-around-mouth-perioral-dermatitis-and-what-it-means-for-you


Views: 517
Share
Share

How To Brush Your Teeth With Sensitive Gums?

Due to multiple causes, gums can suffer from hypersensitivity, which makes them much more vulnerable to external factors. Whether it is due to insufficient care and cleaning, some kind of disease, or after having undergone a deep dental cleaning, it is necessary to learn how toóhow to brush the teeth without damaging the gums so that their condition improves little by little.

Sensitive gums, which are swollen or bleeding, gradually improve with the passage of time. In the meantime, it is essential to provide them with the utmost care, which should be more exhaustive in these moments of maximum vulnerability.

Do you know the brushing technique to avoid damaging sensitive gums?? We explain how to do it properly according to the recommendations of dental experts.

1 What is gingival sensitivity?

2 How to brush your teeth with sensitive gums?

3 Brushing techniques for sensitive gums

3.1 Bass technique for patients with gingivitis or periodontitis

4 How to brush your teeth without damaging your gums step by step

What is gingival sensitivity?

Gingival sensitivity is the increased sensation of discomfort and pain in the gums gums due to inflammation of the soft tissue covering the tooth. covering the tooth. It corresponds specifically to a symptom of gingivitis, a gum infection that causes irritation, redness and inflammation of the gums.

The main cause of gingivitis, and therefore of the appearance of sensitive gums, is poor oral hygiene, which favors the accumulation of tartar and the formation of dental plaque. oral hygiene, which favors the accumulation of tartar and the formation of dental plaque under the gum tissue surrounding the teeth.

The morehe longer The longer dental plaque remains on the teeth, the greater the progression of gum infection. Over time, gingivitis gingivitis progresses with inflammation and bleeding, and can lead to periodontitis, one of the main causes of gingivitis.and can lead to periodontitis, one of the main causes of gingivitis.s of tooth loss in the patient.

How to brush your teeth with sensitive gums?

People with sensitive gums are more prone to discomfort during brushing. Nevertheless, oral hygiene is of the utmost importance and should be performed as consistently as in a person with good gingival health.

By following the proper guidelines, the pain caused by gum sensitivity will be less or virtually nonexistent. It is very important to to use a specific technique and accessories so that the gums do not hurt or bleed during brushing. during brushing.

If you have sensitive gums, preferably use a soft or extra-soft gum brush or a soft or extra-soft bristled brush with a handlewith a handle that allows you to hold it firmly. Toothpaste should be fluoride toothpaste, and in some cases, specific to treat tooth sensitivity.

In addition to toothpaste and toothbrush, complete oral hygiene includes flossing, interdental brushes and mouthwash. floss, interdental brushes and mouthwash.. The latter may contain chlorhexidine for the treatment of gingivitis, as recommended by your dentist or hygienist.

Brushing techniques for sensitive gums

There is a false belief among patients that the more pressure the toothbrush exerts on the teeth and gums during oral cleaning, the better the result. A overly aggressive brushing has the opposite has the opposite effect to the desired one: it can cause damage, bleeding and recession of the gums, as well as progressive wear of the tooth enamel.

Although there are different brushing techniques with which dentists instruct their patients to learn how to properly care for their oral hygiene, there is one in particular that is indicated for sensitive gums.

Throughthe Bass technique, you can learn how to brush your teeth withouthow to brush your teeth without damaging the gums when there is some sensitivity.

Bass Technique for patients with gingivitis or periodontitis

The Bass technique is a specific toothbrushing technique that focuses on the removal of plaque. focuses on the removal of dental plaque from the gingival dental plaque from the gingival sulcus. It is precisely in this space between the gum and the tooth where the plaque that causes gingivitis accumulates.

Performing gentle sweeping movements horizontally along the gum line, it is possible to remove food debris and prevent the formation of dental biofilm in the gingival sulcus.it is possible to remove food debris and prevent the formation of dental biofilm in the gingival sulcus, improving the state of health of sensitive gums.

How to brush your teeth without damaging your gums step by step

Next, let's see how to perform the Bass technique for brushing teeth with sensitive gums while avoiding irritation and bleeding:

Start by applying a small amount of toothpaste to the toothbrush.

Place the toothbrush horizontally on the gum line, just where it meets the tooth, forming a 45 degree angle.just where it meets the tooth, forming a 45-degree angle.

Perform horizontal vibrating movements over the gingival sulcus, just above the junction between gum and tooth, covering one, two or three teeth depending on the size of your brush head, to reach the bottom of the groove.

After a few seconds of vibrating movement, make a vertical vertical dragging movement moving the brush gently from the gingiva towards the edge of the tooth.

Cover the entire surface of the outer surface of the teeth, both upper and lower dental arches. Once you have finished, repeat the operation on the inner side, placing the brush at a 45-degree angle.

Take the time to do a thorough cleaning and soft, dedicate 3 to 5 minutes to cover the entire surface of the teeth.. Do not forget to brush also the chewing surface of the molars and tongue.

If you notice discomfort or slight bleeding during brushing, the pressure exerted is greater than recommended. Correct the technique by making smoother movements and without pressing the brush on the teeth and gums.

Complete oral hygiene with dental floss or interproximal use of dental floss or interproximal brushes, as well as an alcohol-free mouthwash.as well as an alcohol-free mouthwash.

Remember that tooth brushing should be done at least 3 times a day, always after every meal.

It is very important that when performing this brushing technique, do not apply strong pressure with the toothbrush. Avoid irritation and bleeding of the gums, as well as abrasion of the dental enamel.by learning how to brush your teeth.óhow to brush your teeth without damaging the gums with the Bass technique. If you notice that the bleeding persists, go to your dental hygienist, who will be your ally in improving your brushing technique.

(10/27/2023)
by Kin

More Information: N


Views: 639
Share
Share

Good Oral Health Can Boost Your Immune System

Wash your hands, don’t touch your eyes, take vitamin c, eat well, and exercise. We’ve all heard the many ways we can stay healthy, but what isn’t often talked about is how important your oral health is to your immune system. Dental cleanings are essential to keeping healthy throughout the year and can reduce the risk for viruses, infection, and more. Learn how to boost your immune system and stay healthy.

Boost Your Immune System: Why Oral Health is Important to Every Aspect of Your Body

Bacteria Playground: The fact is, there are hundreds of different types of bacteria living inside your mouth. When a virus comes in contact with that bacteria, it can use it to boost itself and multiply. Not a very pleasant thought, but true nonetheless. When a virus enters your mouth, it doesn’t just affect your mouth, but spreads to your entire body and compromises your immune system. When your gums become inflamed with bacteria, then your whole body suffers and can also become inflamed.

Gum Disease and Respiratory Illness: Periodontal disease, also known as gum disease, is also a main cause for respiratory diseases according to the American Academy of Periodontology. “Bacteria that grow in the oral cavity can be aspirated into the lung to cause respiratory diseases such as pneumonia, especially in people with periodontal disease.” While visiting your dentist for regular checkups is extremely important for gum disease prevention and detection, at-home oral care is also necessary.

Make sure to brush and floss your teeth regularly to fight gum disease and keep your immune system healthy. And don’t forget to schedule your dental exam every 6 months — here’s why: Why Do I need to have a Dental Exam Every 6 Months? 

Help Your Mouth and Boost Your Immune System

While taking care of our mouth involves the obvious factors of brushing and flossing, it also involves eating healthier overall. A well-rounded diet that is low in sugar will help keep your mouth healthy and reduce bacteria, plaque, boost your immune system and more. As the Mayo Clinic stated, your mouth is a window to your overall health. Everything in your body is connected. When one area suffers, the whole body suffers.

To keep your immune system strong, try to:

Minimize stress.

Brush regularly.

Floss regularly.

See a dentist for regular checkups.

Eat a healthy diet.

Wash your hands often.

Get an adequate amount of sleep.

Avoid smoking.

Avoid high-sugar foods.

(10/30/2023)
by Adams Dental

More Information: N


Views: 529
Share
Share

Natural Ways to Improve Oral Health

Let’s face it, maintaining your oral health in a world inundated with processed foods, sugary beverages, and artificial oral hygiene products has become increasingly difficult. 

Sure, you brush your teeth at least twice a day. Maybe you see your dentist on a (semi) “regular” basis. But like they say in those cheesy home shopping network commercials, there’s just gotta be a better way! Fortunately for you, good ol’ Mother Nature’s got your back! 

Here are some “natural” things you can employ to improve your oral health.

The best way to solve a problem is to get down to its root cause. In the case of oral health, you need to rethink oral hygiene. 

For example, conventional thinking encourages the use of mouthwash because of their “antibacterial” properties. So you are probably accustomed to choosing mouthwashes that can kill as much bacteria in your mouth as possible, right? Unfortunately this approach may actually do more harm than good because you end up killing both the harmful andbeneficial bacteria in your mouth. As such, you should strongly consider swapping conventional mouthwash with a more “natural” version. 

And the best part? You can make it yourself! You just need to rememberthe key ingredients for “natural” mouthwash are sea salt, baking soda, and essential oils like tea tree, clove, or peppermint and these that won’t unbalance the delicate bacterial ecosystem in your mouth area. We recommend using ourOraRestore Essential Oil Blend for Oral Health, just add water and sea salt (baking soda is optional) and you have a great instant mouthwash!

Just like with conventional toothpastes, conventional mouthwashes typically contain alcohol and other ingredients that throw off the natural balance of your mouth’s microbiome. 

Another natural approach to oral hygiene is the Ayurvedic method called “oil pulling”. This involves swishing a tablespoon of oil (such as coconut oil) in your mouth for about 15 to 20 minutes. The idea being that the oil “pulls” the bad bacteria away from your teeth, gums, and tongue. 

Be careful not to gargle or swallow the oil while you are doing this though. You should also be careful to spit out the oil in a container you can toss in the trash as the oil could clog up your drain if you spit it all out into your sink. 

While it may seem odd and it certainly is time consuming, consider thebenefits of oil pulling. Aside from helping you get rid of the harmful mouth bacteria and reducing bad breath, (depending on the oil used), oil pulling also can also help prevent cavities, as well as reduce gum inflammation and promote gum health. There is also anecdotal evidence that suggests oil pulling can help whiten your teeth.

Add Oral Health-Friendly Food to Your Diet

If you eat right, you’llfeel right. Adding food with “oral-friendly” properties can also do wonders for your oral health!

For example, did you know thatapples, carrots, and celery are also known as “dental detergents”? This is because eating them increases the flow of saliva in your mouth, which helps clean your mouth!

Eating raw onions may sound off-putting, butonions have antibacterial and antimicrobial properties that can help kill off harmful bacteria in your mouth. In fact, studies have shown that rawonions contain properties that can specifically attack bacteria responsible for cavities and gum disease.

If you’re a sushi lover, you’re gonna love this!Wasabi may have properties that prevent tooth decay. This cruciferous crop contains a substance called isothiocyanates, which has been found to inhibit the growth ofStreptococcus, a bacteria mainly responsible for tooth decay. So, if you eat (fresh) wasabi two to three times a week, you will significantly reduce your risk of developing cavities.

Drink Enough Water for Better Oral Health

Yes, staying well hydrated is important for overall health, but did you know that water intake also does wonders for your oral health? 

You probably already know the recommended daily water intake to promote health is 3.7 liters for men, and 2.7 liters for women. (This can vary due to factors such as environment, physical activity, and overall level of health.) 

Water cleans your mouth, and helps get rid of any lingering food particles, or residue from other beverages you may have drunk. This is super important if you enjoy drinking soda, or other acidic beverages. 

Water also helps wash away any harmful cavity-causing bacteria, as well as helps support vital saliva production. Dry mouth, low saliva, contributes to weaker teeth and higher levels of bacteria-related oral health problems. Keeping your gums properly hydrated goes a long way towards keeping them healthy. Having healthy gums lowers your risk of gum disease, as well as tooth loss. 

Turmeric Is a Natural Anti-Inflammatory Agent

Turmeric has been a part of natural medicine for centuries and maybe one of the most studied herbal supplements.

It comes from a plant called Curcuma Longa, actually a type of ginger, that is found in Southeast Asia. The active agents in turmeric are called curcuminoids (from the name of the plant) and these agents have loads of benefits. One of turmeric’s best-known benefits is its ability to tackle inflammation.

And, as chronic inflammation is one of the health issues associated with poor oral health and gum disease, controlling inflammation while you are tackling the oral health problems is a very good idea.

But one problem with taking turmeric straight is that it is not easily absorbed and put to use in your body. To improve absorption and get more efficiency out of the curcumin it is important to combine it with black pepper. Black pepper has an ingredient called piperine that teams up with the curcumin and boosts its uptake.

Definitely worth a try if you are experiencing any form of inflammation.

Conclusion

Taking a more natural approach to your oral health doesn’t have to be difficult, or even terribly complicated. But by pivoting towards a more holistic, more natural approach can result in not just healthier teeth and gums, but also a healthier you.

(10/31/2023)
by Great Oral Health

More Information: N


Views: 476
Share
Share

Why Do My Teeth Not Feel Clean After Brushing?

It’s a common frustration – you spend time thoroughly brushing your teeth, only to still feel like your mouth isn’t completely clean afterwards. There’s various reasons why teeth may not feel freshly brushed. Read on to gain a more comprehensive understanding of the factors that can contribute to teeth feeling unclean after brushing.

While brushing is a daily habit for most, there are many variables that impact how clean teeth feel post-brushing. Understanding the science and methodology behind oral hygiene can help troubleshoot what may be missing from your routine.

Insufficient Brushing Duration

The American Dental Association recommends spending 2 full minutes brushing teeth. This allows time for the toothbrush bristles to mechanically remove the sticky biofilm plaque coating teeth. Plaque contains colonies of bacteria which contribute to cavities and gum disease.

Brushing less than the suggested 2 minutes means plaque will still be left on tooth surfaces. Rushing through brushing skips hard to reach back molars, lingual surfaces and interproximal spaces between teeth. When plaque remains, it leads to that unclean mouth feel.

Set a 2 minute timer and brush for 30 seconds increments per quadrant of the mouth. Consistently brushing too quick can allow plaque buildup in overlooked areas like between back teeth.

Ineffective Brushing Technique

Proper brushing technique is equally crucial for a just-brushed clean sensation. Scrubbing back and forth vigorously seems logical but can damage tooth enamel and irritate gums. The ADA instead recommends using short, gentle circular motions to clean each tooth.

Bristles should contact teeth and gums at a 45 degree angle. This allows bristles to penetrate and remove plaque beneath the gumline. Plaque naturally accumulates along the dentogingival border. Failing to angle brush bristles correctly does not efficiently scrub this area.

Apply light pressure while brushing – enough to feel bristles removing debris but not abrasive on gums. Improper technique like brushing too vigorously can leave plaque behind. Reevaluating motions helps optimize the brushing process.

Difficult to Reach Areas Are Missed

The crowns of teeth you can see and easily access get brushed sufficiently. But inadequate access to interproximal surfaces between teeth is common. Bacteria and plaque accumulate in these hidden spots. The area where teeth contact each other contain tight embrasures vulnerable to plaque.

Some tooth alignment in certain individuals creates additional hard to brush zones. Crowding, braces, dental work like implants or bridges block the toothbrush from correctly contacting all areas.

Plaque left in these hard to reach embrasures and surfaces then leads to feeling unclean. Using tools like floss, interdental brushes, water flossers improve access to these regions.

Using Too Much or Too Little Toothpaste

Surprisingly, the amount of toothpaste used also factors into post-brushing cleanliness. Too little paste contains insufficient abrasives to mechanically clean. Too much can leave a residue and film which makes teeth feel unclean.

Aim for a pea sized amount – about 0.3 grams – of fluoride toothpaste for adults. Foam and bubbles do not drive plaque removal, so focus just on coating bristles not lathering the mouth. Dispense paste directly onto bristles, not tongue. Rinse away excess.

Kids ages 3-6 need a smear the size of a grain of rice for cavity protection. Overall, using the effective amount of paste helps optimize the brushing process.

Food Debris Left in Mouth After Eating

After eating meals and snacks, food debris sticks to tooth surfaces and lingers in the mouth. These food particles interact with bacteria to form plaque and may cause teeth to feel unclean.

Swishing vigorously with water is recommended after eating to help dislodge and rinse away food debris. Brushing right after eating when enamel is softened temporarily is not ideal. Waiting 30-60 minutes allows saliva to naturally buffer acids and remineralize enamel after eating.

Any sugary residue from snacks left in the mouth promotes rapid bacteria growth. Be sure to rinse well after consuming sweets.

Insufficient Hydration and Dry Mouth

Having inadequate saliva flow can prevent the mouth from being able to self-cleanse. Saliva helps wash away plaque, neutralize damaging acids and provides antimicrobial compounds.

Certain medications, chronic medical conditions, aging, mouth breathing and dehydration reduce salivary flow. Consistently low moisture in the oral cavity allows bacteria to proliferate, leading to that feeling of uncleanliness.

Be sure to drink adequate water, use a humidifier, avoid caffeine/alcohol, chew sugar-free gum and speak to your doctor about addressing causes of dry mouth. Proper hydration promotes saliva flow to rinse away plaque.

Buildup of Bacteria on Tongue

While brushing focuses on tooth surfaces, bacteria and plaque also accumulate on the tongue. The moist, warm environment of the mouth promotes microbial colonization in tongue fissures and papillae.

Bacteria buildup on the tongue can contribute to unwelcome mouth odors. Acidic and putrefactive compounds are produced as byproducts of bacteria on the tongue.

Gently brushing or scraping the tongue surface helps remove this buildup of microbes. Special tongue scraper tools are designed to clean the tongue and leave the mouth and breath feeling fresher.

Now that we’ve explored multiple reasons why teeth may feel unclean after brushing, here are some tips to help optimize brushing:

Set phone timer for 2 minutes, allotting 30 seconds per mouth quadrant

Use proper brushing motions – gentle circles with 45 degree angled bristles

Include interdental tools like floss,Proxy Brushes, irrigators to clean between teeth

Only use a pea-sized amount of fluoride toothpaste

Drink water and wait 30-60 minutes between eating and brushing

Address causes of dry mouth to promote saliva flow

Clean the tongue surface as well as teeth

Have regular professional dental cleanings to remove hardened tartar

Evaluate if different brush heads, toothpaste or rinses could improve clean feeling

Implementing small adjustments to your oral hygiene regimen can go a long way towards getting that truly clean mouth feel after brushing. Always seek advice from your dentist if problems persist. Maintaining excellent oral hygiene is a lifelong endeavor that pays off through improved dental and overall health.

(10/28/2023)
by CDHP Dental Health Project

More Information: N


Views: 676
Share
Share

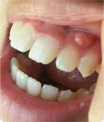
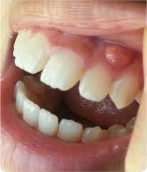
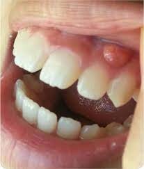
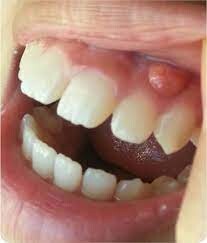
Why Do I Have a Hard Bony Lump on My Gum?

If you’re experiencing a hard bony lump along your gumline, it can be terrifying. In general, bony bumps aren’t a cause for concern, as your dentist or oral surgeon can inspect your gums and offer adequate treatment. But why do hard lumps appear at all? In this article, we’ll be exploring the possible causes of your hard, bony lump and help you learn about potential treatment options for your condition. 

Why Do You Have a Hard Bony Lump on Your Gum? What Causes It? 

Bony growths, also known as exostosis or osteomas, form on top of existing bone and are often the culprit for bone spurs along the gumline. It can be caused by chronic bone injury or irritations. However, some bony growths can appear after a tooth extraction, as tooth extractions can sometimes cause irritations to the underlying jawbone during the procedure. 

However, not all bony growths are caused by tooth extractions or bone injuries. In these cases, you must receive a proper diagnosis from your dentist or oral surgeon to get treatment. Some potential causes include: 

Cysts: Dental cysts are small bubbles that contain liquid, air, and other soft materials. These sacs contain clear fluid and have many causes, with the most common being canker sores. However, other causes can include leukoplakia, gingivostomatitis, and oral thrush. Cyusts grow gradually over r the gums and don’t usually cause symptoms unless it’s infected. In these cases, pain and swelling often appear around the bump and can appear or feel hard like bone. However, dental cysts are often easier to treat, as your dentist can surgically remove the cyst with no hassle at all. 

Canker Sores: As cysts are often caused by canker sores, canker sores are painful lumps that cause discolorations and white spots along the mouth. These sores can typically be caused by various conditions such as oral thrush, ulcers, aphthous ulcers, and other conditions that lead to open sores in the mouth. Over time, these sores can potentially harden and feel bony at times as they attempt to heal. In most cases, canker sores typically go away within a few weeks. However, you can contact your dentist for pain relief options. 

Fibromas: Fibromas are considered the most common cause of hard lumps along the gum line, especially if they aren’t caused by cysts or canker sores. These are noncancerous bumps that appear when the gum tissues are irritated or injured. These can appear due to dentures, braces, or other dental devices worn along the gum line, and fibromas are defined by their dome-shaped appearance. 

Mandibular Torus: Mandibular torus are bony protrusions that appear on the gums, either in the upper or lower jaw. While the exact cause of this condition is unknown, these are considered quite common and don’t always require immediate treatment. If you’re concerned about this formation along your gums, you can always seek an oral surgeon for treatment. 

Dental Abscesses: An abscess is a bacterial infection that creates a pus-filled pocket. These bumps along the gums can cause pain in and around the affected area and feel warm to the touch. Gum infections such as abscesses can lead to further abscesses and are often caused by gum disease. Periodontists best treat this condition, as they can effectively clean out the bacteria and eliminate the source of the problem. 

All of these conditions are considered the most common causes of hard, bony lumps along the gumline. However, other conditions, such as oral cancer, oral lichen planus, and other tumors, can contribute to its cause. If you’re experiencing a hard, swollen spot along your gum line, then it’s essential to seek out an appointment with your dentist as soon as possible to diagnose it and treat it if you notice any of the following symptoms associated with the bump: 

Signs of fever

Signs of throbbing pain

Any foul taste in your mouth

Signs of foul-smelling breath

Sores that don’t heal

Sores that are getting worse

Lump that won’t go away after a few weeks

Signs of red or white patches along the mouth or on your lips

a bleeding sore or lump

In the meantime, it’s important to try and keep the area clean and stable as much as possible to monitor your oral health and reduce any signs of irritation, bleeding, or potential infection. Make sure to get regular dental cleanings, floss daily, and brush your teeth twice a day with fluoride toothpaste to keep your teeth clean and fresh until your next appointment. 

(10/30/2023)
by Tulsa Precision Dental

More Information: https://tulsaprecisiondental.com/why-do-i-have-a-hard-bony-lump-on-my-gum/


Views: 675
Share
Share

Top Six Minerals and Vitamins for Teeth and Gum

Minerals and vitamins are nutrients that are essential for human health and well-being. They play a crucial role in our initial growth and later in maintaining our health. They are also important if you want to have healthy teeth and gums. In order to maintain your oral health, you need to have a balanced diet with a sufficient amount of vitamins and minerals. If you would like to learn more about the adverse effects of vitamin and mineral deficiency check out our previous blog post. In this post, we would like to share the top six vitamins and minerals that are key in protecting your teeth and dental health. Since our approach is that of holistic dentistry, we will provide natural food sources for each micronutrient that is discussed here.

1.- Calcium

This mineral is perhaps the most important micronutrient for your oral health as it solidifies and strengthens the tooth enamel. We need calcium in our body for stronger bones and teeth.

Natural food sources for calcium are Dairy Products, Leafy Green Vegetables, Beans, and Seeds.

2.- Vitamin D

According to some studies, 75% of the population suffers from Vitamin D deficiency which is a major cause for concern due to this vitamin’s importance for our health. One of the primary functions of Vitamin D is to help the body absorb calcium. Even if your diet includes rich foods with lots of calcium, the lack of Vitamin D in your body will prevent you from absorbing important minerals such as calcium. Vitamin D ensures the health of your teeth by carrying and depositing calcium in the bones and teeth.

Natural food sources for Vitamin D are Milk, Yogurt, Kale, Eggs, and Hard Cheese.

3.- Vitamin C

Vitamin C is essential for your gums. If you have bleeding gums when you are brushing and flossing then you are likely suffering from Vitamin C deficiency. It is also important in holding your teeth in their place by supporting blood vessels around them. Additionally, Vitamin C helps to boost your immune system.

Natural food sources for Vitamin C are fruits and vegetables in general, but more specifically citrus fruits, berries, and spinach.

4.-Vitamin A

Another vitamin that supports the structure of your teeth is Vitamin A. It is a key nutrient for building tooth enamel.

Natural food sources for Vitamin A are meats, fruits like orange, and vegetables like sweet potato, and carrots. 

5.- Fluoride

If you hate cavities then you must love fluoride! Yes, the main benefit of fluoride is its ability to lower the risk of cavities on your teeth.

If you live in an area where the water has fluoride and you brush your teeth with toothpaste that has fluoride in it then you are most likely receiving enough of this mineral.

As part of Issaquah Premier Dental’s annual dental cleaning, we offer fluoride treatments to reduces the risk of cavities for our patients.

6.- Phosphorus

After calcium, phosphorus is the second most abundant mineral in our body. We need it for the energy it provides and its role in the growth and development of our teeth and bones.

Natural food sources for phosphorus are Milk, Eggs, Peas, and Meat.

Minerals and Vitamins for Better Teeth & Gums

The best way to ensure your teeth are in top shape is to follow a healthy diet that includes various micronutrients especially the ones mentioned in this article. In general, it is a great idea to eat lots of fruits and vegetables as part of your diet especially considering the fact we usually do not eat enough of greens. A smart diet coupled with regular dental checkups will help you maintain your teeth strong and healthy for many years to come!

(11/01/2023)
by Issaquah Premier Dental

More Information: https://www.issaquahpremierdental.com/top-6-minerals-and-vitamins-for-teeth-and-gum/


Views: 772
Share
Share

The Connection Between Your Dental Health and Vision

You care for your teeth to keep them healthy and strong, but, as you may know, poor dental health can negatively affect other systems in your body. There is a connection between diabetes and gum disease, for instance, and bacteria from tooth decay can impact your heart health. What you may not realize, though, is that there is a connection between your dental health and your vision. Could caring for your teeth actually protect your vision?

What is the connection between oral health and eye health? According to the American Academy of Ophthalmology, oral infections, including periodontal disease, cause an inflammatory response that can damage the optic nerve and cause vision loss. Additionally, people who have old mercury fillings may be at risk for vision problems that include iritis, color-vision issues, retinitis pigmentosa, and the formation of cataracts.

Poor dental hygiene is also known to contribute to the development of open-angle glaucoma. A degenerative eye disease, open-angle glaucoma results from increased fluid build-up in the eye that places damaging pressure on the optic nerve. Left untreated, this condition can cause vision loss and even blindness. One recent study found that the number of natural teeth a person has, an indication of the person’s dental care, is related to the risk of developing glaucoma.

While seeing an eye doctor is important for keeping your eyes healthy, it seems to be just as important to practice good dental habits. These habits include brushing teeth at least twice a day and flossing at least once, rinsing daily with an anti-bacterial mouthwash, having old fillings replaced with safer materials, and seeing a dentist for gingivitis treatment or a root canal for a badly diseased tooth. Eating a nutrient-dense diet and avoiding unhealthy practices like smoking and using your teeth for things unrelated to chewing food are also healthy habits. It is also a good practice to see a dentist twice a year for preventative cleanings and follow-up exams.

(10/31/2023)
by Park 56 Dental

More Information: https://www.park56dental.com/blog/2023/04/the-connection-between-your-dental-health-and-vision/


Views: 601
Share