Dentists Journal

Top Ten Stories of the Week
11/25/2023

All Dentists Journal · Previous Week · This Week · All Time List · Headlines

Share

Try Out These Easy Home Remedies For Gum Problems

If the pain is unbearable, of course, you will have to visit a dentist, but if you are suffering from mild pain then you can easily treat it at home. Here are 5 natural remedies that may provide quick relief from tooth and gum pain:

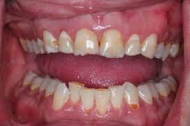
Tooth and gum pain is a common health issue that can be caused due to several reasons. It can either be simply by brushing too hard or due to tooth decay. No matter what the reason is, a toothache can be quite annoying and can even make it difficult to eat, talk or concentrate on any other work.

If the pain is unbearable, of course, you will have to visit a dentist, but if you are suffering from mild pain then you can easily treat it at home. Here are 5 natural remedies that may provide quick relief from tooth and gum pain:

Salt Water Gargle

Saltwater rinse is the most beneficial home remedy in curing gums inflamed by gingivitis. Salt has natural anti-inflammatory and antiseptic properties that ease swelling and fight bacteria-causing infections. Regular salt water gargling can help heal inflamed gums, reduce pain, combat bad breath and remove food deposits

How To Do

In a glass of lukewarm water add ½ teaspoon of salt and mix well. Swirl the solution in the mouth for a few seconds and spit out the solution. To get respite from gum pain repeat this 2 to 3 times a day

Aloe Vera Gel

Aloe Vera gel works well in treating gum disease owing to its strong anti-inflammatory and antimicrobial properties. It greatly helps in reducing the symptoms associated with gum disease when applied topically or used as a natural mouth floss.

How To Do

In a bowl add 2-3 tsp. of aloe Vera gel whisk well add little water to get the right consistency. Apply the gel onto the inflamed gums, let it stay for 10 minutes, and rinse off with water. You can also use this as a mouth rinse by adding enough water. Repeat this process twice daily to alleviate pain.

Lemongrass Oil

Lemongrass oil known for its astringent property helps in warding off bacteria from the dental cavity and averts the risk of tooth decay and gum disease. While it also exhibits inhibiting effects on the bacteria causing gum disease, prevents plaque formation, makes your teeth healthier, and strengthens gum.

How To Do

In a cup of water add 2- 3 drops of lemongrass essential oil and mix well, swirl this solution for up to 50 seconds and spit out. Repeat this process 2-3 times a day for the best result.

Turmeric Honey Gel

This natural herb is well-known for its strong anti-inflammatory, antimicrobial and antifungal properties which are valuable in preventing plaque and gingivitis. The active ingredient curcumin in turmeric is a potent antioxidant that helps to heal the bleeding and reddening of the gums. While honey helps in combatting oral bacteria linked with plaque formation.

How To Do

Rinse the mouth thoroughly, make a paste of turmeric powder by mixing it with honey, apply the gel on gums, let it stay for 15 minutes and swirl the water around the mouth and spit it out. Repeat this process twice daily for an instant result.

Coconut Oil Pulling

Coconut oil imbued with vast reserves of lauric acid exhibits potent anti-inflammatory and antimicrobial properties. Regular oil pulling using coconut oil remarkably lessens the plaque formation and improves the symptoms associated with gingivitis.

How To Do

 

Take about 2 tsp of coconut oil into your mouth, swish the oil well around the mouth for about 20 minutes and spit the oil out. Rinse your mouth well with water and brush your teeth.

(11/18/2023)
by The Statesman

More Information: N


Views: 504
Share
Share

The Best Ways To Prevent Tooth Extraction By Looking After Your Oral Health

Are you worried about having to get a tooth extraction? Tooth extractions can be painful and expensive, so it’s best to avoid them if possible. Fortunately, there are things that you can do to keep your teeth healthy and prevent extraction from being necessary. In this article, we will discuss 10 ways that you can look after your oral health to help prevent the need for a tooth extraction.

1) Brush Regularly: The most important thing that you can do to take care of your teeth is to brush them twice a day. Brushing removes plaque and bacteria from the surface of your teeth, which reduces your risk of cavities and gum disease. It’s important to use a soft-bristled toothbrush and to brush carefully, making sure that you reach all areas of your teeth.

2) Floss Daily: In addition to brushing, it is also important to floss daily. Flossing removes food particles and plaque from between your teeth, which can help to prevent cavities and gum disease.

3) Use a Mouthwash: Using an antiseptic mouthwash in addition to brushing and flossing can help to reduce the number of bacteria in your mouth, which can help to prevent tooth decay and gum disease.

4) Cut Back on Sugary Foods: Eating too much sugar can lead to tooth decay, so it’s important to limit your consumption. Avoid sugary snacks and drinks, including soda and fruit juice.

5) Quit Smoking: Smoking is bad for your oral health as well as your overall health. Smokers are more likely to have cavities, gum disease, and other oral health issues. If you smoke, quitting is the best way to protect your teeth and gums.

6) Visit Your Dentist Regularly: It’s important to visit your dentist for regular check-ups and cleanings. During a dental exam, your dentist can spot any problems with your teeth or gums before they become serious. This can help to prevent the need for a tooth extraction.

7) Wear a Mouthguard: If you play sports, it’s important to wear a mouthguard to protect your teeth from injury. A mouthguard can also help to reduce the risk of damage from grinding or clenching your teeth at night.

8) Use Fluoride Toothpaste: Using toothpaste that contains fluoride can help to strengthen your teeth and reduce the risk of cavities.

9) Avoid Chewing Hard Objects: Chewing on hard objects like pencils, fingernails, or ice cubes can damage your teeth. This can lead to cracks and chips that may require a tooth extraction.

10) Cut Back on Alcohol: Excessive drinking can lead to dry mouth, which increases your risk of cavities and gum disease. It’s best to limit your alcohol consumption if possible.

Conclusion

By following these tips, you can help to keep your teeth healthy and avoid the need for a tooth extraction. Brushing, flossing, and visiting your dentist regularly are all important steps to take to keep your teeth in good condition. If you’re concerned about the health of your teeth, talk to your dentist about other ways that you can prevent the need for a tooth extraction.

(11/17/2023)
by Mid Bay Dental

More Information: https://www.midbaydental.com/10-ways-to-prevent-tooth-extraction-by-looking-after-your-oral-health/


Views: 512
Share
Share

Ulcerative Colitis Mouth Sores

Are you one of the three million adults diagnosed with inflammatory bowel disease (IBD) in the United States? A correct diagnosis will help you find the best treatment and relief from your symptoms. If you have ulcerative colitis — a form of IBD — you might notice mouth sores on your cheeks and gums. Find out more about ulcerative colitis and how it impacts your oral health.

What Is IBD?

Inflammatory bowel disease (IBD) refers to two conditions — ulcerative colitis and Crohn's Disease. Both are characterized by chronic inflammation of the gastrointestinal (GI) tract. Ulcerative colitis occurs specifically in the colon and rectum, while Crohn's Disease can impact any part of the GI tract from mouth to anus. The cause of IBD is currently unknown, but the inflammation originates from a defective immune system that responds incorrectly to environmental triggers. Genetics also plays a role, as someone with a family history of IBD is more likely to develop the condition.

Prolonged inflammation can damage the GI tract and result in various symptoms. The most common include:

Diarrhea

Abdominal pain

Bloody stools

Weight loss

Fatigue

What Are Ulcerative Colitis Mouth Sores?

Ulcerative colitis can also affect the oral mucosa, the soft tissue inside your mouth on your gums and cheeks. Two types of ulcerative colitis mouth ulcers exist:

Aphthous ulcerations. Also known as canker sores, these lesions appear as round white or yellow spots and can cause pain or bad breath. You are more likely to experience canker sores during ulcerative colitis flare-ups when inflammation is higher. They can take a week or more to heal.

Pyodermatitis-pyostomatitis vegetans. This rare condition mostly affects those with IBD. It appears on the body as pustules in the skin folds, such as the armpits or groin, but it can also occur in the mouth. Pyostomatitis vegetans consists of red patches with multiple yellow or white pustules, which can erupt to form ulcers. These lesions can affect all areas of the mouth and throat but rarely involve the tongue or mouth floor.

How Do You Treat Ulcerative Colitis Mouth Sores?

Systemic treatment for your ulcerative colitis to reduce inflammation usually resolves any mouth sores. This treatment most likely involves drug therapy, including anti-inflammatory drugs, immune system suppressors, biologics, and other medications specific to your symptoms. Your physician will help you find the right drug to manage your IBD.

If you notice any new oral symptoms — such as mouth sores — or if the pain makes it difficult to eat or talk, contact your dentist. They might prescribe a topical cream or antiseptic mouthwash to help speed up the healing and reduce pain. Nutritional supplements might also help prevent any deficiencies from malabsorption that can lead to mouth sores.

When you have IBD, ulcerative colitis mouth sores might seem like one more thing to worry about. Thankfully, the overall treatment of your condition can help you find relief. Don't hesitate to talk to your dentist if your ulcers cause problems. They can help you care for your oral health so that you can focus on the rest.

(11/17/2023)
by Colgate

More Information: https://www.colgate.com/en-us/oral-health/mouth-sores-and-infections/ulcerative-colitis-mouth-sores


Views: 534
Share
Share

Short-Term Tooth Pain: When To Be Worried

You are enjoying your day, going about work as usual, when suddenly you feel a jolt of sharp pain running up your tooth. Or perhaps you spontaneously get a toothache even though you haven’t been chewing on anything. Maybe your gums feel sore just randomly during the day.

What is the cause of this sudden outburst of pain? Is it something to be worried about? Our friendly team at My Dentist Upland can help you get to the bottom of this mystery discomfort. Sometimes, it isn’t a big deal, and you can continue investing in good oral hygiene to get rid of the discomfort. But in other cases, this sudden pain may be a sign of something more serious.

Let’s take a look at some of these reasons for tooth pain, and their associated symptoms, so you know when you need to make an appointment with your dental care professionals.

Tooth Cavity

One of the most common reasons for sudden tooth pain or sensitivity could be because of tooth decay. This is usually called a “cavity”. This happens when a part of your tooth decays due to a buildup of bacteria, tartar, or plaque, and you should get it taken care of before you develop an infection.

If you are feeling sudden pain in this area, this means the decay is starting to become infected, so it’s important to visit your dentist ASAP to get the cavity filled.

Grinding Your Teeth or Clenching Your Jaws

Do you deal with a lot of stress in your daily life? Most people do, but the ways in which we deal with stress can be very different. For example, some people grind their teeth or clench their jaws down even without realizing it. This constant strain on your teeth can cause tooth sensitivity and dull pain, as well as headaches.

According to Healthine, there are many reasons why you may grind your teeth. It may not always have to do with stress and anxiety, but those are big contributing factors. No matter the reason, this can cause sudden pain in your teeth as they become weak to the sustained pressure. You should visit a dentist right away.

Receding Gums

If the pain is centered around your gums, rather than your teeth, this could be a sign that you are dealing with some issues with your gums. First, it’s important to know that receding gum tissue wears over time, and can weaken with age. Gums tend to recede naturally, but rapid recession is cause for concern. Gum recession can lead to the roots of your teeth being exposed, making you more prone to infections. If you are feeling really sensitive, have the dentist take a look at your gums as well as your teeth.

Gum Infection

Another reason to focus on your gums during sudden tooth pain is due to the fact that you may have a form of gum disease. This is known as gingivitis, and can later develop into something more serious known as periodontal disease. According to the CDC, gum disease affects almost half of American adults over 30. Although it is fairly common, it is still something very serious that needs to be looked at by a gum specialist right away.

Dental Procedures or Products

Of course, it could be possible that a previous procedure or product is causing your teeth to hurt. For example, if you recently got a filling, the drill work may make your teeth more sensitive. This type of sensitivity is temporary and should go away within a couple of weeks.

Some over-the-counter dental products, especially teeth whitening strips or bleaching products, can also cause sensitivity. Usually, this is due to an adverse reaction to a chemical in the product and you should stop using it until you can identify the source of the problem.

(11/18/2023)
by My Dentist Upland

More Information: https://mydentistupland.com/blog/short-term-tooth-pain-when-to-be-worried/


Views: 600
Share
Share

Abfraction Lesion: Causes And Treatment

If you've started to notice dents in your teeth where the tooth and the gums come together, you could have abfraction lesions forming. There is no need to worry, though. Your dentist can diagnose the problem and help you find the right treatment plan. Before you go to the dentist, here is what you should know about abfraction lesions.

What Are Abfraction Lesions?

Abfraction lesions are losses of tooth structure. The lesions occur gradually, The lesions occur gradually, with an indentation forming on the front of the tooth near the gumline that gets deeper with time. Abfractions are not cavities but are instead known as non-carious cervical lesions or NCCL. However, because they expose the softer portions of the teeth, like dentin, they can cause tooth sensitivity and mimic the symptoms of a cavity. Discovering the cause is an essential first step to treatment and management.

What Causes Abfraction Lesions?

Abfraction lesions have been attributed to excessive force placed on the teeth during chewing or teeth grinding. However, according to a review in Clinical, Cosmetic, and Investigational Dentistry, there are many factors, including chemical, biological, and behavioral factors, that may contribute to the development of abfractions.

For example, erosion and abrasions can also contribute to the formation of dental abfraction lesions. Tooth erosion occurs from exposure to acids, such as acid reflux or acidic foods and drinks. Tooth abrasion may be caused by improper brushing technique or the use of abrasive toothpastes. This combination causes gum recession and exposes the softer, less mineralized parts of the teeth called the cementum and dentin. Acidic and abrasive factors initiate the abfractions, but often stress from biting can deepen the lesion over time.

How Do You Treat Abfraction Lesions?

Proper abfraction treatment is based on the severity of the lesion and the reported sensitivity and aesthetic concerns. A dentist will usually fill the lesion when it extends below the gums, becomes decayed or challenging to clean, or exposes the tooth's pulp or nerve. Filling the lesion reduces sensitivity and restores the tooth structure. Your dentist may use composite or tooth-colored fillings to cover the notches and improve your smile's appearance.

If teeth grinding causes your abfractions, your dentist may fit you with a mouthguard to protect your teeth while you sleep. Orthodontics can also help prevent further abfraction lesions by realigning your bite and taking pressure off of certain areas of your mouth that may be prone to the damage. Although it won't cure abfractions, try a desensitizing toothpaste if your abfraction is minor. They help relieve the pain associated with tooth sensitivity and work for fast relief.

Your dentist and dental hygienist know how to recognize and modify risk factors for abfractions. If you have tooth sensitivity and you've noticed a lesion starting to form, there is no reason to worry. Talk with your dentist, and they will work with you to decide the best treatment plan for your smile.

(11/20/2023)
by Colgate

More Information: https://www.colgate.com/en-us/oral-health/threats-to-dental-health/abfraction-lesion-causes-and-treatment


Views: 506
Share
Share

How Does Dental Erosion Happen?

Do you see your teeth thinning or changing color over time? This could be dental erosion, which is when the minerals in your teeth slowly wear away over time. Your teeth are incredibly hard and strong because of their mineral content, but they can become thin and weak over time depending on the food you eat, what you drink, and how good your oral hygiene in. To avoid tooth erosion, avoid these foods and drinks and use these oral hygiene tips!

Dental Erosion

Tooth enamel is the hardest substance in the body, but even it can be broken down, overtime, by acids and bacteria in your mouth. Plaque that works to eat away at the enamel of your teeth can erode this tougher-than-bone material weakening the tooth structure and dimming the brightness of your smile.

Dental erosion not only affects the cosmetics of your smile, but also how your teeth function. Severe enamel erosion exposes the dentin underneath which can trigger pain and uncomfortable sensitivity.

Signs of Dental Erosion

The first indication of dental erosion will manifest as grooves in the teeth or a rougher-looking tooth surface with biting edges. Teeth often will appear discolored. Other symptoms are teeth sensitivity to heat, cold, acidic drinks and foods.

Common Causes of Dental Erosion

Diet is one of the biggest contributors to dental erosion. Foods and drinks with high acidity can threaten the enamel of your teeth and trigger demineralization. Saliva works to balance out the acids that food introduce into your mouth, but if you are constantly assailing your teeth with acidic foods and drinks, the mouth doesn’t have time for repair. Brushing after acidic foods and liquids have come in contact with your teeth is essential, BUT you need to time this brushing correctly. Wait for at least one hour after eating or drinking anything acidic before brushing your teeth to allow your teeth time to build up their mineral content again.

Another tip, chew sugar-free gum after eating. This will help produce more saliva to help cancel out the acids which form in your mouth after eating.

Risks for Dental Erosion

Certain medical conditions, diseases and medications can lead to dental erosion. People who suffer from bulimia often suffer from dental erosion due to the stomach acids that are regularly impacting their teeth. People with acid-reflux issues also have more mouth acids than most.

Avoid Foods with High Acidic Content

It’s not new news that sodas and carbonated drinks can cause dental erosion and we aren’t just talking about the high sugar content of these foods. Even carbonated waters can erode teeth because of the acids involved that make the soda a soda.Any drink with carbonation—including sparkling water—has a higher acid level, reports the American Dental Association.

High acidic foods like lemons, oranges, limes contain natural acids that can be harmful to your teeth. When it comes down to it, water is still the best drink for teeth. Milk is also a great choice because it helps to neutralize the acids in your mouth.

How Can You Fix a Tooth that Has Suffered from Dental Erosion?

Some dental erosion is slight enough that no treatment is necessary other than taking active steps to prevent it from worsening. With regular dental examinations and cleanings you can keep your teeth in tip-top shape.

If you have severe dental erosion, a dental bonding procedure or well-placed dental veneer can do wonders for your smile and the strength of the weakened tooth.

(11/20/2023)
by Mountain Aire Dentistry

More Information: https://www.broomfielddentists.com/how-does-dental-erosion-happen/


Views: 640
Share
Share

Bad Oral Habits Lead To Oral Health Issues

Oral health is a major concern for most people. However, some fail to give due importance to their oral health. This can result in serious dental problems that can also affect overall health. Listed below are some habits that can damage your oral health:

Tongue Piercing

A tongue piercing can stick through the tissue on the roof of the mouth and damage your tooth crowns. It can irritate the soft tissue and chip your tooth enamel, leading to serious oral health issues.

Additionally, this type of jewelry can wear down the teeth and its constant motion can also irritate the gums. Pain, bleeding, or other signs of infection may occur if the oral piercing isn’t removed in a timely fashion. 

Cleaning the tongue with a toothbrush and mouth rinse twice a day can help reduce the risk of infection. Avoid eating sticky or chewy foods that can get stuck around the metal post and cause irritation. 

Teeth Grinding

One of the most common oral habits is teeth grinding, also called bruxism. It is related to stress and typically occurs while you are asleep. If not addressed right away, it can lead to severe complications such as broken and chipped teeth or chronic headaches and migraines. Moreover, it can ruin the alignment of your teeth and make them appear shorter.

If your partner notices that you snore loudly at night or your breathing pattern is interrupted while you sleep, it might be a sign of sleep apnea that can also cause teeth grinding. It is imperative to visit a sleep center immediately if you suffer from any of these symptoms.

Nail Biting

Many people bite their nails without even realizing it. While nail biting may seem like a harmless habit, there are actually several negative oral health effects that come from repetitively biting your nails. For one, you can chip and damage your front teeth from chewing on your nails. 

You also put yourself at risk for infections such as paronychia or gum disease that can result from bacteria entering your mouth via the nail bed. If you notice that you frequently have hangnails or wounds on your fingers, you could be biting your nails subconsciously. Try to break this habit for good by substituting the behavior with something less detrimental, like chewing gum instead!

(11/22/2023)
by Trio Dental Care

More Information: https://www.triodentalcare.com/blog/bad-oral-habits-lead-to-oral-health-issues/


Views: 450
Share
Share

What Is Odontalgia?

Are you experiencing an intense shooting pain in your teeth or face making it hard to talk, eat, or even breathe normally? If so, you may be experiencing odontalgia. Odontalgia is the medical term for toothache and can range from mild discomfort to severe pain. It’s typically caused by a problem with one or more of the teeth, including infection, trauma, or decay. It can also be caused by an issue with the jaw, such as a malocclusion (misalignment of teeth).

Whatever the reason for odontalgia, it’s important to seek dental treatment right away. A qualified dentist can diagnose the reason for your odontalgia and provide appropriate care. Whether you need a filling, a root canal, periodontal treatment services, or another type of dental care, a dentist can help relieve your odontalgia and restore your oral health.

The team at Columbia Smiles, led by Dr. Michael Hsu, is dedicated to providing gentle, comprehensive dental care that helps patients find relief from odontalgia. Call us today at 410.834.0594 to schedule an appointment.

An Overview Of Odontalgia

Toothaches of any kind can be categorized as odontalgia, but they can vary in intensity and duration. It’s important to recognize the signs of odontalgia so that you can seek help right away. Common symptoms include:

Sharp, shooting pains

Dull ache or throbbing sensation

Pain that worsens when pressure is applied

Pain that radiates to other areas, such as the head or face

Difficulty eating or drinking fluids

Swelling of the gums around the painful tooth

Fever or chills

Unpleasant taste in the mouth

If you’re experiencing any of these odontalgia symptoms, contact a dentist right away to get an accurate diagnosis and appropriate treatment.

Common Causes Of Odontalgia

The most common cause of odontalgia is tooth decay, or cavities. When bacteria accumulate on the enamel of your teeth, they can create holes in the surface and eventually reach the root, leading to odontalgia. Other causes include:

Infection or abscessed tooth

Deep filling

Loose dental crown or fractured tooth

Broken filling

Sinus infection

Injury to the head, face, or jaw

Referred pain from the temporomandibular joint (TMJ) or other areas of the mouth

Grinding your teeth at night

Gum disease

Hot or cold foods and beverages

Finding Relief From Odontalgia

At Columbia Smiles, we understand the pain odontalgia can cause. Depending on what’s causing your tooth pain, your dentist may recommend a variety of services, including:

Cleanings and checkups  – Regularly scheduled cleanings and checkups can help identify odontalgia-causing problems early on, so they can be treated before becoming severe.

Fillings – If tooth decay is the cause of your odontalgia, a filling may be used to fill in the decayed area and prevent further damage.

Root canal – If odontalgia is caused by an infection or abscessed tooth, a root canal may be necessary to remove the affected pulp and prevent further decay.

Crowns – Damaged teeth that are causing odontalgia may require a dental crown to protect them from further harm.

Periodontal treatment – If odontalgia is due to gum disease, periodontal treatment may be needed to restore the health of your gums.

Surgery – In some cases, odontalgia may require surgery to repair jaw or face injuries.

No matter what the cause of odontalgia is, treatment is available to help.

(11/19/2023)
by Columbia Smiles

More Information: https://www.columbia-smiles.com/dental-blog/what-is-odontalgia/


Views: 513
Share
Share

Seven Things You Wish You Knew About Your Teeth Much Earlier

1. Your oral hygiene is linked to your overall health

When the mouth is directly connected to several vital organs, how there can’t be a link between oral hygiene and overall health? Several studies have proved that poor oral hygiene can cause several diseases such as:

Alzheimer’s disease

Cancer

Cardiovascular diseases

Diabetes complications

Inflammation

Kidney diseases

Respiratory diseases

With good dental hygiene, one can reduce the risk of all serious diseases and enhance overall health. Sometimes, a good quality toothbrush and toothpaste are all it takes to nip a majority of the serious diseases in the bud.

2. What you eat, shapes your teeth

Just like your diet plays a massive role in your overall health, what you eat has a huge effect on your teeth. A healthy diet makes your teeth stronger and enhances their life, while an unhealthy diet weakens your teeth and creates caries and cavities. Let’s start with the former. Calcium-rich food such as milk, cheese, yogurt, eggs, black beans, and green and leafy vegetables such as cabbage, kale, and spinach are excellent for your teeth.

In contrast, acidic and sugary foods can create plaque and tartar and harm your tooth and gum line in the long run. Snacking between meals is one of the biggest causes of dental cavities and decay. Alcohol and tobacco are also harmful to your teeth and so are tea and coffee when taken in large quantities. For stronger and everlasting teeth, take a nutrition-rich balanced diet and avoid snacking on acidic and sugary foods.

3. Select the right toothbrush and toothpaste

When it comes to exceptional dental hygiene, the right toothbrush and toothpaste play a huge role from the word go. The toothbrush you choose should have soft bristles and the toothpaste should have the recommended amount of fluoride, which is tremendously beneficial for your teeth as it enhances remineralization and reduces demineralization, bacterial growth, and acid production. Expert dentists recommend toothpaste with 1,350 to 1,500ppm fluoride.

Now, coming to your toothbrush, apart from ensuring that it has soft bristles you must replace it regularly. A good rule of thumb is to replace your toothbrush after every three months. However, if you brush more than twice a day then you should replace your toothbrush once the bristles have frayed and worn out. Usually, it’s between nine weeks and twelve weeks.

4. Know the right way to brush and floss

Brushing and flossing the right way is both an art and a science. It’s an art because you may have a unique style. Every morning when you hold the toothbrush, you are no less than an artist. You can do magic with it and give an alluring shine to your teeth. But there is a science to effective brushing. Some techniques are extremely effective and get maximum results with minimum effort.

Tilting the toothbrush to a 45-degree angle and moving it gently back and forth is extremely beneficial to the teeth. Brushing in a small circular motion is also helpful. Make sure that you don’t brush aggressively as over-brushing is more dangerous than under-brushing. Likewise, flossing has its techniques. Using a gentle rubbing motion between the teeth is the best way to floss. Take the utmost care not to snap the flossing thread when it touches the gum line.

5. Visit your dentist twice a year

As per American Dental Association, an average person should go for a dental checkup and cleaning at least twice a year. For an average person, the prestigious professional organization means that a young healthy person, who takes good care of their teeth and has no history of tooth problems, illness, or unhealthy habits such as drinking and smoking. This is the best preventive and protective measure.

For elderly people and people with dental problems and habits, the frequency of regular dental checkups is higher. Even though a majority of people know this, some follow while others don’t. Even if you brush your teeth twice or thrice daily and floss every night before going to bed, you must visit your dentist twice a year.

6. There are good bacteria and there are bad

Various studies have found that an average human mouth is a host to 250 to 300 types of bacteria. Among them, a majority can cause diseases when they enter the respiratory tract or the bloodstream. But some of them are good bacteria, also known as probiotics, which keep you healthy by facilitating digestion as well as fighting dental problems and gum diseases.

Now that you know that your mouth is home to both good and bad bacteria, it’s time to know how to increase the former and reduce the latter. You can increase the good bacteria by taking probiotics and foods such as yogurt. When it comes to bad bacteria, the pH level of your mouth plays a huge role. When the pH level drops, bad bacteria proliferate. Likewise, frequent snacking can reduce the pH level and cause bad bacteria to thrive. When the mouth becomes dry, bad bacteria get a conducive environment to multiply.

7. Some dental complications aren’t normal

Dental complications come in different sizes and severity. While some may be common and can go on their own without needing any treatment, others may be serious and need emergency care. Such complications, which qualify for dental emergencies, range from dental injuries, broken teeth, cavities that have invaded the dentin, bleeding gums, tooth abscesses, and infections.

(11/22/2023)
by Tru Care Dentistry

More Information: https://www.trucaredentistry.com/blog/7-things-you-wish-you-knew-about-your-teeth-much-earlier/


Views: 466
Share
Share

Anxiety Could Explain the Bad Taste in Your Mouth

Anxiety can cause a lot of unusual symptoms. But one of the strangest is the way that anxiety affects taste. Anxiety may genuinely cause a bad taste in your mouth, as though you've eaten something gross. It's one of the weirder symptoms of anxiety and while it's not dangerous, it is potentially distressing or irritating.

The good news is that a bad taste from anxiety is easy to understand, and generally fairly easy to reduce. In this article, we'll look at the most likely causes of bad taste, and the simple things you can do to reduce it.

Bad Taste = Anxiety?

Most people find it hard to believe that anxiety can affect your taste buds, but anxiety really does make a big difference for how your mouth adjusts to flavors. Bad taste is almost never the only anxiety symptom, however.

Diseases That Anxiety Makes Worse

It should be noted that in some cases, the bad taste in your mouth may be the result of a disease - like gastroesophageal reflux disease (GERD) - that is simply worse during periods of high anxiety. GERD isn't necessarily dangerous, but we know that anxiety can make the symptoms worse.

Talking to your doctor is always a good idea if you're nervous about your health. You may want to visit a dentist as well, just for a check-up, especially if you haven’t been recently.

Causes of Bad Taste From Anxiety

Bad taste in one's mouth seems like such an unusual anxiety symptom. That's because it's difficult to pinpoint the exact cause. It definitely affects many people with anxiety, but the reason for the bad taste may be linked to any or all of the following (or something else that’s not on the list):

Taste Changes The most likely reason is that stress causes your taste buds to change. How they change differs from person to person, but there is evidence that under periods of intense stress, a person's sense of taste is altered with it.

Mouth Breathing Anxiety also leads to rapid breathing - usually through the mouth. This type of rapid breathing may cause your tongue to dry up and ultimately taste a bit drier and less pleasant, which could be the cause of the unusual taste.

Over-thinking Similarly, when you have severe anxiety - especially panic attacks - it's not uncommon to be more sensitive to issues that are already pleasant. For example, you may have already had a bad taste in your mouth, but it wasn’t really bothering you or you weren’t even aware of it. During a panic attack, you may be more sensitive to things like taste, making you become more conscious and concerned about the bad taste that was already there.

It's also possible there are other issues at play here as well. We mentioned GERD, earlier, and acid reflux can create a bad taste that may be altered by anxiety. It's also possible that you're creating more mucus, which can have an unpleasant flavor. Salivary changes may create a bad taste as well, and it's possible for stress to allow bad smelling bacteria to flourish. It's difficult to know the exact cause, and it's possible that it could be any or all of those issues.

How to Address the Bad Taste

The good news is that improving the taste in your mouth is easy. If you often find that you have a bad taste in your mouth during times of anxiety, then finding something that tastes better is the solution. See if there is a breath mint you like, or a tic tac (although avoid peppermint if you think you may have GERD). There may be some gum available or water you can drink. These will all reduce the bad taste.

Ultimately, however, the long term and preventative solution is to make sure you're addressing your underlying anxiety - which is really the root of the problem.

(11/21/2023)
by Calm Clinic

More Information: https://www.calmclinic.com/anxiety/symptoms/bad-taste


Views: 435
Share