Dentists Journal

Top Ten Stories of the Week
2/17/2024

All Dentists Journal · Previous Week · This Week · All Time List · Headlines

Share

What Is A Periodontist And Signs You Should See One?

one of the many branches of dentistry is periodontics. Here are some signs that clearly indicate that you need to visit a periodontist immediately. Dentistry is a wide field that encompasses several different branches such as orthodontics, endodontics, prosthodontics, pediatrics, oral and maxillofacial, oral pathology, and periodontics. Four years of dental school qualifies an individual to practice general dentistry. For specialization, a general dentist has to undergo additional years of education and training.

Like all other dental specializations, a periodontist must undergo special training and education in the field. These individuals have the expertise and experience in treating gum-related problems and diseases. They not only have the expertise to diagnose periodontal diseases, but they have the knowledge and experience to treat these diseases

Periodontists provide treatment to patients that are in need of high-quality care due to severe gum diseases or complicated medical history. A general dentist may advise a patient to visit a periodontist when they need treatments such as scaling, root planing, or root surface debridement. Here are some signs that indicate that you need to see a periodontist right away! If you experience any of the following signs, you need to visit a periodontist immediately!

Swollen and Bleeding Gums

The most obvious signs that your gums are in bad shape is that they begin to swell, bleed, and appear red. When your gums bleed when you brush your teeth or floss, it is an indication that your gums need treatment. By visiting a periodontist, you can address a severe gum problem way before it gets serious.

Pain and Discomfort while Chewing

Pain and discomfort in your teeth are traceable. You can point to the exact the tooth that is causing the pain. However, if you experience pain while chewing within, around, or underneath your gums, you need to visit a periodontist.

Changes in Bites

Experience any changes in your bites? If your teeth begin to feel different while chewing, brushing, or talking, it is a sign that you are falling victim to a periodontal problem. Leaving this unaddressed for long can turn the minor issues into serious and long-term periodontal problems.

Chronic Bad Breath

Persistent bad breath even after extensive oral care indicates that

there is a problem in your gums. It is one of the first signs of gum disease. If you are experiencing a similar situation, make sure you schedule an appointment with a periodontist.

Teeth Begin to Feel Loose

Loose teeth might not be such a big issue for a baby and a young kid, but for an adult, it is a serious concern. If any of your teeth begin to feel loose, visit a periodontist without giving the idea any second thoughts. The sooner you realize you need a periodontist, the better it is for your gums. They can help in a timely diagnosis of gum diseases and addressing the problems before they become serious!

 

(02/09/2024)
by Boulder Total Dentistry

More Information: https://www.btdentistry.com/what-is-a-periodontist-and-signs-you-should-see-one/


Views: 526
Share
Share

Itchy Gums: Root Causes, Treatments, Prevention And Outlook

Itchy Gums: Root Causes, Treatments, Prevention & Outlook

Itchy gums may be the result of several different conditions, like gingivitis, periodontal disease, or an allergic reaction. To identify the best treatment for your itchy gums, you first need to know the root cause of the itch.

Remember, your gums are an important part of oral health, just like your teeth!

In some cases, itchy gums may be a sign of a more serious problem.

You can work with your dentist to correct an itchy mouth, but there are also many home remedies you may find that make a big difference. Even flossing the right way and using a three-sided toothbrush can help prevent and reverse gum itching.

Causes of Itchy Gums

Discovering the possible causes of your itchiness are vital to treating your issue. The 9 most common causes of itchy gums are:

Plaque buildup: Can irritate the gum line and lead to itchy gums. Even worse, plaque can turn into tartar, which is even harder to get off your teeth.

Gingivitis: One of the earliest stages of gum disease. Even in this early stage, gums can experience itchiness.

Periodontal disease (AKA gum disease or periodontitis): Can cause bleeding gums and tooth loss in addition to itchy gums. Periodontitis is a serious threat to your dental health (and your overall health), so this isn’t an issue you should ignore.

Allergies: May irritate your gums. Food allergies (especially to raw fruits), seasonal allergies like hay fever, allergies to medications, or even pet allergies can cause oral allergy syndrome. If the roof of your mouth itches, this is a good sign it’s allergies.

Dry mouth: An inability to make enough saliva is often accompanied by itchy gums. What causes dry mouth? Common causes of dry mouth include an allergy, a medication side effect, or a medical condition.

Hormonal changes: Especially during puberty, pregnancy, menstruation, or menopause, women may experience gum sensitivity and itching due to hormones.

Gum injuries: You can sustain a gum injury while playing a sport, after wisdom teeth surgery or another dental procedure, or due to bruxism. Teeth grinding, or bruxism, can trigger jaw pain, headaches, and itchy gums.

Ill-fitting dental devices: If there is a gap between your dentures and your gums, an infection can grow without you knowing it. Typically, the bacterial infection will inflame your gums.

E-cigarettes and vaping: Can irritate gums and cause itchiness.

Gums may also itch as a result of teething (during childhood or wisdom tooth eruption), viral infections like herpes or canker sores, or a tooth abscess.

Can sinusitis cause itchy gums? Yes, sinusitis can cause itchy gums due to extra mucus that can accelerate plaque production.

Sinusitis — inflammation of the sinuses — brings with it extra mucus. Since plaque is made up of bacteria, mucus, and other particles, it may cause more plaque to form on your teeth. Plaque and its successor, tartar, can irritate gums and lead to itchiness.

Do gums itch when healing? Your gums might itch during the healing process after a gum injury, like a canker sore on your gums or after a tooth extraction.

This is a normal part of healing. For the best recovery results, avoid touching or scratching your gums while this is happening.

Symptoms Your Dentist May Look For

Your dentist will consider the symptoms that occur along with your itchy gums to identify the root cause.

If your itchy gums are caused by gum disease, other symptoms may include:

Gums that are swollen, red, or tender

Bleeding gums — when brushing, flossing, or eating

Receding gum line — when gums pull away from teeth

Pus in between your teeth and gums

Mouth sores

Loose teeth

Chronic bad breath

If your itchy gums are caused by allergies, you’ll probably have itching on the roof of your mouth.

If your itchy gums are caused by dry mouth, you may have low saliva production and thick-textured saliva.

If your itchy gums are caused by a gum or tooth abscess, they’ll likely be accompanied by painful swelling, redness, and aching in your gums or teeth.

Treatments for Itchy Gums

For allergies: Your dentist may prescribe antihistamines for allergy-related itchy gums.

For tartar buildup: A root planing and scaling with a dentist or periodontist can address plaque and tartar buildup. You may also be prescribed a lasering for extra tartar removal.

For injuries: Athletes and active patients should wear a mouthguard to prevent injuries that can cause itchy gums. You can get a custom-fitted mouthguard from your dentist.

For sinusitis: Your dentist may refer you to an ENT for recurrent sinus problems. He or she may also recommend a nasal spray to clear your sinuses.

Itchy Gums Home Remedies & Prevention

1. Good Oral Hygiene

Dental hygiene practices go a long way in preventing issues that can lead to itchy gums. Here are the basics:

Brush your teeth with a high quality toothpaste at least twice a day. A good rule of thumb is to brush for two minutes after every sugary food eaten.

Flossing is paramount to dental care.

Mouthwash is also a safe method of preventing plaque buildup and gum disease. I’d suggest an alcohol-free mouthwash for best results.

Don’t skip your teeth cleanings, which should be scheduled every 6 months at the least.

Using the right toothbrush is important. A triple-sided toothbrush offers the best offense against plaque. Only a three-headed toothbrush can cover every angle, even for people with great brushing habits.

If brushing after every meal is inconvenient, simply rinsing your mouth after meals is less effective, but still cuts down on bacteria growing in your mouth.

2. No Tobacco, Smoking, or Vaping

If you smoke (anything), use tobacco, or vape, you’ll need to quit to address your itchy gums.

Along with all the other health problems it causes, smoking often irritates the gums.

Chewing tobacco might be more likely to cause your gums to itch than smoking it. Also, e-cigarettes and vaping can result in just as much gum irritation as traditional smoking.

Tobacco interferes with the blood flow to your gums, which means gums take longer to heal.

Quitting smoking isn’t easy. But it is essential to good oral health.

3. Salt Water Rinse

A highly saturated salt water rinse may relieve itchy gums or other gum irritation.

For an easy, effective salt water rinse for your gums:

Mix a spoonful of salt in one cup of room temperature water.

Swish it around your mouth, making sure to reach the corners of your mouth.

Spit it out into the sink after about 30 seconds.

Repeat 3-5 times each day.

4. Ice Cubes

Cooling the gums by sucking on ice cubes can numb discomfort and reduce gum itchiness.

5. Dietary Changes

If your diet is triggering itchy gums, you will probably need to reduce your intake of sugary, acidic, and/or starchy foods to correct the root issue.

When you do eat these triggering foods, rinse your mouth with water immediately afterwards, then brush about an hour later to prevent additional plaque buildup.

If you or your doctor suspect you have oral allergy syndrome (OAS), avoid eating raw produce. When you do eat raw fruits or vegetables, peel them first.

A 3-Sided Toothbrush to Prevent Gum Disease?

It’s almost impossible to reach every angle needed to fight plaque and gum disease that can cause itchy gums. Fortunately, new technology has made the fight a lot easier.

Using three distinct brush heads works teeth from three different angles at the same time.

Multiple scientific studies have shown how effective these triple-headed toothbrushes can be at removing plaque and preventing gum disease.

A recent review concluded that three-headed toothbrushes worked marginally better than single-headed toothbrushes when a person brushed their own teeth. But, the triple-headed toothbrush was significantly more effective when a caregiver brushed a person’s teeth.

Although a dentist could effectively remove plaque from a child’s teeth with both a three-headed and traditional toothbrush, the child’s mother had much better success with the triple-headed toothbrush in a 2011 study.

Less plaque in under half the time? Seems like an easy answer to me. Use a three-sided toothbrush to defend against itchy gums!

Itchy Gums with Braces

Braces may cause gum irritation, especially at first. Follow these tips to prevent itching and ensure healthy gums with braces:

Floss well with a floss threader or water flosser designed to clean around braces.

Brush for 2 minutes, then make sure your brackets look clean (as well as your teeth).

After you brush, rinse your mouth out with mouthwash to further reduce the risk of gum disease.

Trying to get relief from irritated gums after getting braces? Gargling salt water or gently sucking on an ice cube are two safe and easy home remedies for itchy gums in people with braces.

When to See Your Dentist or Doctor

You should see your dentist (or doctor) about itchy gums if:

You experience itchy gums and/or related symptoms for 3 days with no relief

Your itchy gums are accompanied by bleeding, painful gums (signs of gum disease)

You are also experiencing very bad breath (could be caused by gum disease or an abscess)

You have severe pain or tenderness in your teeth or gums (could be caused by gum disease or an abscess)

You have recurring symptoms of oral allergy symptoms, like itching and/or swelling of the face, throat, mouth, or tongue after eating raw produce

Looking to the Future

Most causes of itchy gums, like allergies or plaque buildup, can be corrected by your dentist and/or simple home remedies. By following a healthy diet, practicing good oral hygiene, and using a three-sided toothbrush, you may be able to prevent itchy gums in the future.

Other helpful home remedies for itchy gums include a salt water rinse, ice cubes, and quitting your smoking, vaping, or tobacco habit.

However, if you experience itchiness in your gums due to periodontal disease or a tooth abscess, you should seek dental treatment right away to avoid dangerous complications.

(02/09/2024)
by Triple Bristle

More Information: https://www.triplebristle.com/blog/periodontitis/itchy-gums


Views: 412
Share
Share

Things To Know About Mouth Guards

Mouth guards are useful pieces of dental equipment designed to protect your teeth. Mouth guards are used at night to prevent or decrease teeth grinding. Mouth guards are also encouraged for athletes to wear when they play their sports. Mouth guards prevent tooth avulsions and help keep your teeth, gums, and tongue protected. Continue reading to learn more about mouth guards.

1) There Are Different Types Of Mouth Guards

If you have heard of mouth guards before, you have likely either had issues with bruxism (teeth grinding) in the past or played a contact sport. But did you know that there are different types of mouth guards and different ways that mouth guards are made? As previously mentioned there are really only two reasons why mouth guards exist, one is to decrease teeth grinding and the other type is to protect athletics.

The first type of mouth guard is for athletics and typically is sold at athletic stores. This type is usually one-size-fits-all, but the truth is that this type of mouth guard does not fit all. Most often these will be bulky and give little protection. 

The second type is only available at the dentist and can be used as night guards or athletic guards. The dentist will use a moldable material to get the imprints of your teeth and use those impressions to create a custom-fit mouth guard. This type of mouth guard will give the best protection of the different options but is also the most expensive. 

The third type of mouth guard can be bought online and is used at night. It is the boil and bite option. After you get this mouth guard, you will need to put it in boiling water to soften the material and then bite down on the plastic to make impressions. This option can be an alright option for grinding teeth, but can be very uncomfortable and would not be effective for athletics.

2) Mouth Guards Need To Cared For Properly

Another important thing to know about mouthguards is that there is a proper way to care for mouth guards in order to keep your mouth healthy and help your mouth guard last. The first tip is to make sure that you rinse out your mouth guard after every use. It is also important to make sure that every once and a while you wash the mouth guard with soap and water. 

Oftentimes if you get your mouth guard from the dentist, you will receive it in a protective case. Make sure to keep your mouth guard in that case when it is not in use. Keep the case clean and if the mouth guard does not come with a case, be sure to get one and put the case in a safe spot. Lastly, keep your mouth guard in a spot that is out of the sun or another heat source. If a mouth guard is exposed to enough heat then the mold can change and it will no longer fit your teeth correctly.

3) Mouth Guard Myths

The last thing that this article will do for you is myth bust some of the mouth guard misconceptions that are going around. One of these myths is that mouth guards impede your speech and ability to breathe when playing sports. While some mouth guards (specifically the store-bought mouth guards) can cause some discomfort, if you get a custom mouth guard that fits your mouth correctly, it will not remove your ability to speak. A mouth guard that you can close your mouth with should not cause speech impediments. 

Another misconception is that you cannot wear mouthguards with braces. The opposite is true; if you have dental implants, braces or crowns and play sports, mouth guards are particularly important because you have metal in your mouth that could cause abrasions on your gums if your mouth is hit.

(02/10/2024)
by Sunset Dental Care

More Information: https://www.dentistsunset.com/things-to-know-about-mouth-guards/


Views: 409
Share
Share

Know About Severe Problems with Your Teeth and Gums

Dental and oral problems are never any fun, but the good news is a wide range of these problems are preventable and treatable. Oral health is a vital part of your well-being and overall health. Poor oral hygiene can lead to a myriad of oral problems ranging from gum disease, oral cancer to overall health complications. Learning about some of the severe dental problems will go a long way to enabling you to prevent their occurrence. Here is a list of severe problems with your teeth and gums.

Gum Disease

Gum disease is a bacterial infection brought about by plaque and tartar accumulation in the mouth. The bacteria act on the gum tissue and ligaments that hold the teeth in place, eating it away. The first stage of gum disease is known as gingivitis. This is the early stage that can be easily reversible. If this disease is not treated, it can lead to more serious complications with your gums. It is possible to suffer from this type of gum disease without necessarily knowing that you have it. That is why it is always essential to visit your dentist on a regular basis. The advanced level of gum disease is known as periodontitis. At this level, the bacteria have formed deeper pockets on the gum and teeth are more exposed. If you are at this stage, visit your dentist for a deep dental cleaning. Also, make sure you practice good oral hygiene at home.

Tooth Decay

Tooth decay is another serious dental disease that, when left untreated can lead to tooth loss. This type of complication occurs when bacteria in plaque is allowed to sit on the surface of the teeth for a long time. These bacteria produce a certain type of acid that eats away the enamel of the teeth slowly, resulting in some holes known as cavities. The likelihood of developing tooth decay entirely depends on lifestyle. Therefore, avoid taking starches and sugars and take some teeth healthy meals.

Tooth Infection

This occurs when the root, which is the bottom part of a tooth, gets infected and fills up with bacteria. If left untreated, tooth infection will damage the inner part of the teeth including the nerves and pulp tissue. A deep crack, cavity or fracture on the tooth can lead to infection. Therefore, if you suspect you’re suffering from this condition make sure that you’ve seen a dentist as early as you can.

Missing Teeth

Statistics have it that average adults between the age of 20 and 65 have three or more missing teeth. If you are part of these statistics, you must get the problem solved as early as possible. Space between your teeth can lead to a lot of undesirable traits, such as it might affect the way you speak and eat. Also, it may cause bone loss around the missing teeth, shift of other teeth and may also affect your facial structure.

Bottom Line

Mentioned above are just a few some of the severe dental problems. Others include oral cancer, severe bad breath, and sensitivity among others. As mentioned above, the good thing is that all these problems can be treated with a good dentist especially if diagnosed early. Visit us at Carrum Downs Dental Clinic for diagnosis, treatment as well as preventive care.

(02/10/2024)
by Carrum Down Dental

More Information: https://carrumdownsdental.com.au/know-about-severe-problems-with-your-teeth-and-gums/


Views: 569
Share
Share

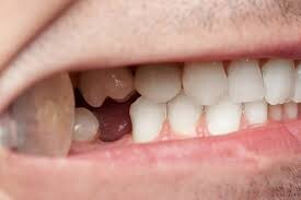
What is the Best Alternative for a Missing Tooth?

A missing tooth significantly impacts how well your mouth works, your smile, and your self-confidence. If a tooth is missing, it needs to be replaced ASAP! And you have two options:  a dental implant or a dental bridge.

Understanding Your Options for a Missing Tooth

The structure of your tooth includes the bone, ligaments, and nerves surrounding it. When this structure is removed, everything around your missing tooth begins to deteriorate. This is why it’s important to replace missing teeth ASAP.

Dental implants and dental bridges address the same challenges but different options. Here’s what you need to know about implants and bridges to determine what’s best for you.

What is a Dental Implant?

A dental implant is a titanium metal post, an abutment, and a crown. It replaces the structure of a missing tooth. New bone grows around metal implanted where your tooth used to be for the next two months. This is called osseointegration. Once your dentist tests the new structure and deems it secure, he screws a crown on top of the implant and seals it into place.

The Pros and Cons of a Dental Implant

The pros of a dental implant:

Less of a burden is placed on surrounding teeth

Healing of the bone structures and gums under the tooth is promoted

Long-term risks to the jaw are reduced

High-quality dental implants last a lifetime

The cons of a dental implant:

It’s costly, especially when more than just one tooth needs to be replaced or other teeth in different spots need to be replaced. Replacing one tooth with an implant can cost several thousand dollars.

Implants tend to take longer. And they require multiple procedures to reach completion. Oral surgery is often a required part of the implant process. So your mouth takes months to heal after the initial implant is implanted.

What is a Dental Bridge?

If a large number of teeth need to be replaced, your dentist may use a traditional dental bridge instead of an implant.

A dental bridge is an appliance that attaches to the healthy teeth surrounding the gap left by a missing tooth. Traditionally, the two teeth on opposite sides of a gap are shaved down to accommodate a bridge.

A cap is then placed over each tooth accompanying the bridge, replacing the missing tooth. Dentists often use a Maryland bridge. These devices are embedded into the neighboring teeth, instead of one fully capping them.

If there aren’t teeth on both sides of a gap, a dentist may install a cantilevered bridge. This type of bridge is attached to a single tooth on one side. Then the bridge structure hangs over the gap.

 

The Pros and Cons of a Dental Bridge

The pros of a dental bridge:

Offer a quicker process for replacing missing teeth. They typically take no longer than a few weeks

Considered to be one of the most cost-effective methods for replacing missing teeth

Don’t require bone grafting if bone loss is present. Bridges also offer a quicker process for replacing missing teeth.

The cons of a dental bridge:

Dental bridges place a greater strain on surrounding structures, especially the two teeth which are attached to the appliance. For this reason, a bridge isn’t expected to last a lifetime.

Unlike dental implants, bridges don’t address underlying structural problems. This means long-term bone loss issues due to the removal of teeth will continue even after the gap is addressed with a bridge.

And cantilevered bridges are especially notorious for creating problems. They place a high level of stress on the single tooth to which they’re attached. Maryland bridges often come with problems, too. Since there is a small amount of tooth to which they are attached, they have a limited in the amount of force they can absorb. And Maryland bridges must be properly maintained. Poor maintenance can lead to losing additional teeth.

Using Both Implants and Bridges

 

There are cases where dentists recommend using both implants and bridges in a patient’s mouth. For example, an implant can be put at one end then attach a cap the other end of a row of missing molars. This creates a bridge from an implant post to a healthy tooth or another implanted tooth.

(02/11/2024)
by Davis Dental P.C.

More Information: http://www.davisdentalpc.com/2019/06/15/best-alternative-missing-tooth/


Views: 538
Share
Share

Why is a Tongue Evaluation Important?

Your mouth is one of your body’s most important warning systems. Tongue lesions may indicate a local disease process or an overall systemic issue. Approximately 15.5 percent of US adults present with tongue lesions according to the National Health and Nutrition Examination Survey. This percentage increases with tobacco use and if an individual wears dentures. It is important that everyone is comfortable doing a tongue evaluation on themselves. After you do it once or twice, you will see how quickly it can be done.

How to evaluate your own tongue?

In between dental visits, it is important to evaluate your tongue for any changes. This is easily done in four steps:

Look at the top of your tongue for any new areas of discoloration or growths.

Use the back end of your toothbrush to gently depress the center of your tongue and say Ahh- evaluate the back of your tongue near your throat.

Use a clean facecloth to gently grab the tip of your tongue and pull it gently out and to each side. Look at the side border of the tongue for any changes.

Lift up your tongue to the roof of your mouth so that you can visualize the under-surface of your tongue. Also, use this opportunity to evaluate the floor of your mouth.

If you see anything unusual or if you have new and unexplained pain and or symptoms, contact your dentist for an evaluation.

Here are some common tongue conditions:

Median Rhomboid Glossitis

Presents as a smooth shiny lesion in the central part of the tongue. May be asymptomatic but patients can have a burning or itching sensation. A yeast infection is thought to be the cause of this condition.

Benign Migratory Glossitis

Also known as geographic tongue. Is an inflammatory condition characterized by alternating raised plaques and smooth, atrophic areas. The lesions are “migratory” and can change over hours. Etiology is unknown but an association with psoriasis has been found.

Atrophic Glossitis

Presents as a smooth or glossy appearance partially or throughout the dorsum of the tongue. Typically due to a nutritional deficiency or an underlying disease or medication use.

Hairy Tongue

Benign condition with obvious discoloration (black, tan, white) on the dorsum of the tongue. Can be caused by smoking, xerostomia, poor oral hygiene, excessive coffee/tea consumption, and medications. Treatment involves discontinuation of the responsible agent and/or gentle tongue scraping.

Oral Hairy Leukoplakia

Commonly presents as a white, asymptomatic, corrugated plaque on the lateral border of the tongue that does not rub off. Is an Epstein Barr infection found in immunocompromised individuals especially those with concomitant HIV infection?

Leukoplakia

Adherent white patch found anywhere in the mouth but commonly found on the tongue and the floor of the mouth. Strongly associated with tobacco use but not necessary to occur. A biopsy is necessary to rule out a malignancy.

Squamous Cell Carcinoma

The most common oral malignancy. Can have a varied presentation: patch, nodule, or ulcer. Can be red or white or a mixture of both. Found most commonly are the lateral and ventral surfaces of the tongue as well as the floor of the mouth. A biopsy is indicated as soon as a lesion is identified.

(02/15/2024)
by Herman Ostrow

More Information: https://ostrowonline.usc.edu/why-is-a-tongue-evaluation-important/


Views: 500
Share
Share

How an Orthodontist Can Improve the Function of Your Mouth

Orthodontic care from an orthodontist is not just about achieving a straight, attractive smile; it is also about optimizing mouth function and overall oral health. In this review, we discuss how treatment from an orthodontist can help improve mouth function.

What are common mouth function issues and symptoms?

Mouth function issues are relatively common and can arise for various reasons, such as malocclusion, TMJ disorder, bruxism, a malformed palate, and missing teeth. These issues can impact how a person speaks, chews, and maintains oral health. These issues often exhibit distinctive signs and symptoms, making early detection crucial for effective intervention. Common ones include:

Pain or discomfort

Difficulty chewing

Difficulty swallowing

Speech issues

Limited mouth opening

Jaw clicking

Lockjaw

Headaches

Patients should seek intervention from their orthodontist if they exhibit any of these symptoms for an extended period. There are effective orthodontic treatment solutions in almost every case.

How an orthodontist can treat function-related oral concerns

Orthodontic treatment is more than just braces or clear aligners. A patient must go through several steps to fix issues that contribute to function-related problems. These include:

Early orthodontic care

Tooth extraction and spacers

Braces and clear aligners

Retainers

Early orthodontic care

Early orthodontic care, often referred to as interceptive or pediatric orthodontics, targets children as young as seven years old. At this age, a child's mouth is still developing, making it an opportune time to identify and rectify issues before they become more challenging to manage.

Early orthodontic treatment typically involves the use of appliances like palatal expanders, early braces, or space maintainers. The exact treatment plan varies depending on the child's unique needs and their age. Regular check-ups with an orthodontist help monitor progress and make necessary adjustments.

Overall, early orthodontic care is pivotal in setting the foundation for improved mouth function. By addressing dental and jaw issues in their early stages, children can enjoy better oral health, enhanced facial aesthetics, and increased comfort when biting, chewing, speaking, and breathing.

Tooth extraction and spacers

Tooth extraction may sound daunting, but it is a strategic step in orthodontic treatment designed to create space within the mouth. It helps address overcrowding and alignment issues and allows for more effective braces or clear aligners treatment.

Spacers or separators are often used to maintain the space created by the missing tooth or teeth, or they may be used without tooth extraction. These small, unobtrusive devices are inserted between adjacent teeth. They help prevent drifting before braces or clear aligners treatment.

Braces and clear aligners

After the initial phases of early orthodontic care and potentially, tooth extraction and spacer use, the next steps in the journey toward improved mouth function often involve using orthodontic appliances like braces and clear aligners. Braces are one of the most traditional and effective orthodontic treatments. They consist of brackets attached to each tooth, connected by wires and bands. They apply controlled pressure to move teeth into their desired positions, addressing issues like misalignment, crowding, and irregular spacing.

Clear aligners offer a discreet and convenient alternative to traditional braces. They consist of a series of removable, custom-fitted trays. They are nearly invisible, enabling individuals to straighten their teeth with minimal impact on their appearance.

The choice between braces and clear aligners depends on individual needs and preferences. An orthodontist will assess the patient's specific issues, treatment goals, and lifestyle factors to determine the most suitable option. In general, braces are recommended for patients with more severe alignment concerns.

Retainers

After the completion of orthodontic treatments like braces or clear aligners, the final step in preserving optimal mouth function and a healthy smile often involves the use of retainers. These devices play a crucial role in ensuring that the results of orthodontic work endure over time.

Retainers help stabilize teeth in their newly aligned positions. Without retainers, there is a tendency for teeth to gradually shift back to their original positions over time. Orthodontists recommend wearing retainers for as long as possible to ensure the stability of the orthodontic results. Regular follow-up appointments with the orthodontist are essential to monitor progress and make any necessary adjustments to the retainer.

(02/13/2024)
by Price Family Orthodontics

More Information: https://www.pricefamilyortho.com/blog/how-an-orthodontist-can-improve-the-function-of-your-mouth/


Views: 416
Share
Share

Crooked Teeth and Oral Health

Everyone’s smile is unique, and there is beauty to be found in all of them. However, sometimes the very thing that makes our smiles unique can be damaging to our oral health. For example, crooked teeth can add character to your smile. Yet, crooked teeth can cause several dental issues for some people. So, although you should never feel pressured into cosmetic fixes, you should always consider your oral health. 

HARDER TO CLEAN

Depending on how crooked your teeth are, it can be much harder to clean them properly. While you brush your teeth, it can be easy to miss certain spots because your teeth are twisted. Additionally, some crooked teeth can make it nearly impossible to floss. Crooked teeth can even cut the floss. If you can’t reach all the surfaces of your teeth, you cannot get rid of all the necessary plaque. 

Plaque is a damaging bacteria that can ruin your teeth and gums. It is a harmful bacteria that chemically erodes the enamel of your teeth. Without all of your enamel, your teeth can slowly decay, increasing sensitivity, infection, and tooth loss.

Additionally, plaque irritates your gums, causing them to become swollen or inflamed. This is the beginning stage of gum disease, an infection that deteriorates your gum tissues and bones. 

Straightening your teeth can make it easier to remove plaque and reduce your risk of tooth decay and gum disease. 

PROBLEMS WITH CHEWING AND SPEAKING

When you close your jaw, your teeth should meet together at the flat portions of the top of your teeth. However, crooked teeth can interfere with a good bite pattern. If your teeth are not straight, eating can become painful. Also, it may be difficult for you to chew your food properly, which can hinder your digestion.

With crooked teeth, you may also notice a speech impediment. This is because your speech depends on the location of your teeth. As you speak, your tongue hits different places in your mouth, including your teeth. If they are not aligned properly, the sound you are trying to make may not sound right. 

FASTER WEAR AND TEAR

If your teeth do not strike correctly, your teeth will wear down faster than average. This is because the points and ridges on your teeth will erode before the flat portions. Unfortunately, this does not just change the shape of your teeth. Crooked teeth can damage your enamel. As your teeth wear down, it removes the outer layer of your teeth—the enamel. 

The enamel is responsible for protecting your teeth from bacteria and other harmful substances. However, when erosion occurs, the enamel can no longer defend your teeth. This means that you are more likely to develop tooth decay. 

Straightening your teeth is not just a cosmetic issue. The alignment of your teeth is directly related to your oral health. Therefore, you should talk to your dentist about your options.

(02/12/2024)
by Fox Hall Smiles

More Information: N


Views: 466
Share
Share

Menstruation Gingivitis: Why Your Gums Hurt Before Your Period

Periods can be painful. Even before they start you could experience pain like cramps. You might also feel as though your teeth hurt before your period. Technically, it's not your teeth that hurt—it's your gums. And it's a condition known as menstruation gingivitis.

What Is Menstruation Gingivitis?

Gingivitis is inflammation of the gums, which is the soft tissue around your teeth. Usually, gingivitis is a form of early-stage gum disease caused by excessive amounts of plaque on your teeth. Risk factors for gingivitis include poor oral hygiene, a family history of gingivitis, smoking, and diabetes.

Menstruation gingivitis is an inflammation of the gums that isn't necessarily caused by poor oral hygiene. It is a type of gingitvitis associated with female sex hormones during a menstrual cycle.

Research suggests that menstruation gingivitis is most likely to start in the days leading up to a period and go away once menstruation begins.² A 2019 study examined 318 participants with mostly good oral hygiene for signs of gingivitis during different stages of their menstrual cycle. The results showed that 25% of 106 participants had signs of gingivitis leading up to their period. Meanwhile, only 5% of a different set of 106 participants had signs of gingivitis during their period. Among the final set of 106 participants who were looked at after their period, no one had gingivitis.

What Causes Menstruation Gingivitis?

The association between the menstrual cycle and the gums involves hormonal changes. The increase in the hormones estrogen and progesterone that occurs right before a period can increase blood flow to the gums, making your gums more sensitive to plaque and bacteria.

Even small amounts of plaque can irritate the gums when these hormonal changes occur.³ In turn, the gums can become inflamed, red, and swollen. They may also bleed more frequently, especially with brushing and flossing.

However, these hormonal changes are brief and temporary. During the menstrual cycle, the rise in estrogen and progesterone levels happens during the luteal phase, which typically occurs after ovulation and 14 days before menstruation. These hormones plummet right as menstruation begins.⁵ Menstruation gingivitis symptoms typically peak and recede within that same pattern as well.

Menstruation Gingivitis Symptoms

The symptoms of menstruation gingivitis are the same as those of gingivitis that isn't related to menstruation. Starting as early as two weeks before your period, you may notice bright red, swollen gums. Your gums may also bleed.⁴ It is common for gingivitis to be painless, though some people may experience pain in the gums.

It might feel more uncomfortable to brush and floss your teeth during this time, but it's important to maintain a consistent daily oral hygiene routine, as it can help reduce inflammation and bleeding and also prevent more serious gum disease.

When to See a Healthcare Provider

Gingivitis symptoms are usually not severe and will go away after menstruation. But you can talk with your provider about ways to manage inflammation.

If symptoms continue or occur beyond menstruation, this could be a sign of a more serious gum condition or gingivitis unrelated to hormones. A dentist can figure out the cause of your symptoms. When caught early, gingivitis can be managed and even reversed with the right treatments, avoiding further complications.

Diagnosis

When diagnosing gingivitis, a provider will examine all of the soft tissue around the teeth for signs of inflammation, such as redness and swelling. Gums that excessively bleed during oral cleanings can be another sign of gingivitis. A provider may measure the space around the teeth and gums to evaluate the extent of any gum disease.

If symptoms only occur in the week or two before menstruation in someone with a history of healthy gums and good oral hygiene, it is likely to be menstruation gingivitis. A provider would be able to rule out other types of gingivitis.

How to Manage Menstruation Gingivitis

Once menstruation gingivitis sets in, symptoms should resolve quickly once menstruation starts.² In the meantime, continue with a brushing and flossing routine every day. Keeping your mouth clean can help reduce plaque and bacteria buildup and may help prevent inflammation or infection.

Visit your dentist if symptoms are not manageable at home or if they persist after your period.

How to Prevent Menstruation Gingivitis

There's no sure way to prevent menstruation gingivitis, but similar to preventing gum disease, cleaning your gums and teeth regularly helps prevent plaque and bacteria buildup.

Practicing good oral hygiene every day—not just before you get your period—may help reduce symptoms and maintain healthy gums. Brushing twice a day with a fluoride toothpaste and flossing regularly after meals will help clean your mouth, reducing plaque buildup.¹,⁷ Mouthwash rinses may be an additional step to remove remaining plaque and food debris.

Having routine professional cleanings done by a dentist at least once a year, combined with an at-home oral care routine, can help reduce menstruation gingivitis in the long run.

Other Hormonal Changes Associated With Gingivitis

The menstrual cycle isn't the only time that hormones can lead to gingivitis.

Puberty

Increasing levels of estrogen and testosterone in prepubescent children can cause increased gum sensitivity. Known as puberty gingivitis, the change tends to happen earlier in adolescence for girls and later for boys.

Oral Contraceptives

Use of oral contraceptives may cause female sex hormones levels to rise, similar to a natural menstrual cycle, and may also lead to collagen buildup in the gums. These changes may lead to gum sensitivity and gingivitis.⁶,⁹ One 2019 study suggests that women who take birth control pills with a combination of estrogen and progestin for over 18 months, may be more likely to develop gum bleeding and inflammation.

Pregnancy

Hormonal changes during pregnancy are associated with gingivitis as well, but the difference is in duration of symptoms. While menstruation gingivitis is short term, pregnancy gingivitis can last for several months. This gingivitis usually happens between the second and eighth month of pregnancy. A dentist may recommend more frequent cleanings if needed.

Summary

It's not unusual for your gums to become inflamed just before your period starts. As hormones rise and fall during a menstrual cycle, some people can experience menstruation gingivitis. And it's not necessarily a sign of poor oral health.

If your gingivitis symptoms only occur in the days leading up to your period and then suddenly resolve when your period begins, it could be menstruation gingivitis. Other types of hormonal changes can lead to gingivitis as well. Usually, gingivitis related to hormones is not a major cause for concern, and you should make sure to keep up with your oral hygiene.

(02/14/2024)
by Health

More Information: N


Views: 644
Share
Share

What Is Preventive Dental Care And Why Is It Important?

Understanding The Basics And Importance Of Preventive Dental Care

As the name suggests, preventive dental care refers to a type of dental care that helps you maintain a healthy mouth. Through a combination of professional dental checkups and good at-home oral hygiene, you can completely avoid cavities, gum disease, and a variety of other oral health issues.

This is why preventive care is so important. It’s always better to prevent oral health issues completely, rather than treating them when they do occur. By taking good care of your mouth, you will keep your teeth healthy, save time and money by avoiding common oral health issues, and get peace of mind.

Tips For At-Home Preventive Care – Keep Your Mouth Healthy

Preventive care doesn’t just happen at the dentist. In fact, at-home oral hygiene is an extremely important part of maintaining a healthy mouth. So here are a few tips and steps you should take to maintain good oral hygiene at home.

Brush twice a day for two minutes – Brushing thoroughly twice per day is one of the best ways to keep your mouth healthy. We recommend brushing once after breakfast, and again after the final meal of the day. Make sure to clean all of your teeth thoroughly.

Floss once per day – Flossing helps keep your teeth clean and reduces your risk of gum disease. Floss at least once per day to keep your gums and teeth healthy.

Use fluoride toothpaste – Fluoride is essential for a healthy mouth. It attracts minerals that strengthen your teeth, which helps prevent tooth decay.

Maintain a tooth-healthy diet – Avoid sugary beverages, and drink water instead. You should also reduce the amount of sugary and starchy processed foods you eat. Try to eat more fresh fruits and vegetables, whole grains, healthy dairy, and lean meat.

Make lifestyle changes – Certain lifestyle changes like quitting smoking or tobacco use or reducing your alcohol intake can help improve your oral health. Dr. McCue can give you more information after your appointment at our office.

You Need To See A Dentist For A Checkup Every Six Months

Seeing a dentist for a checkup every six months ensures that you can catch any potential oral health issues early. Even if you take great care of your mouth, you should come and see Dr. Shaun McCue for a checkup every six months.

Getting a checkup gives you peace of mind, and ensures that you don’t have any hidden oral health issues. You’ll also be able to discuss your overall oral health with Dr. McCue, and learn more about the steps you can take to improve and protect your oral health.

(02/13/2024)
by McCue Dental Health

More Information: https://www.wauwatosadentists.com/what-is-preventive-dental-care-and-why-is-it-important/


Views: 511
Share