Dentists Journal

Top Ten Stories of the Week
5/11/2024

All Dentists Journal · Previous Week · This Week · All Time List · Headlines

Share

Dry Socket: What Is It, And How Can You Avoid It?

Going to the dentist to get a tooth extraction is not all that uncommon—both children and adults can require the procedure. However, experiencing a dry socket is much less common, even though it typically occurs following extraction or wisdom tooth removal. Today, we discuss what it is, and how you can reduce the risk of experiencing a dry socket after a dental procedure.

What is dry socket?

Dry socket, also known as alveolar osteitis, is an uncomfortable dental condition that sometimes occurs after a tooth extraction or wisdom teeth removal.

When does it happen?

When you have your tooth extracted, you develop a blood clot over the removal site to protect the nerves and bone beneath the detached tooth. Typically, the clot forms and stays in place until your gums have healed and are back to normal.

A dry socket occurs when the blood clot at the site of the tooth extraction fails to develop. In some cases, the clot can become dislodged before the wound is healed. It’s important to prevent dry socket from happening as it can be very uncomfortable, and it can delay the healing of gums and your overall mouth.

How can you avoid it?

There are a few ways you can prevent dry socket. Here are some of them:

1. Don’t use straws after extraction

The suction in your mouth when you use a straw can dislodge your blood clot after an extraction. The best way to consume fluids is to drink straight from the glass or cup and avoid using straws, for about a week after your extraction.

2. Skip the smoke and tobacco

Smokers and tobacco users have higher risks of developing dry socket after an extraction. This is because the fast inhalation of smoking can easily dislodge or dissolve blood clot. Additionally, the chemicals in cigarette smoke and tobacco products can slow down the healing process, and may even cause an infection.

If you’re anticipating a tooth extraction, wisdom tooth removal, or any major dental surgery, you should start reducing or ideally completely cut your tobacco intake weeks before your appointment. If you’re having problems with quitting, try switching to a nicotine patch.

3. Consume soft foods

Post-surgery is a crucial time for your gums to heal. That’s why it’s important to go on a soft diet right after your surgery. And then you can slowly change your diet to heartier foods over the following few days.

4. Consult your dentist on medication interactions

There are specific medications that may negatively influence the formation of blood clots. It’s best to ask your dentist whether the medications you’re taking are safe to take after a major dental procedure.

5. Avoid strenuous work

It’s highly advisable to stray from heavy forms of work such as weight lifting or high-intensity physical exercises. These types of activity can cause tension in the surgery site, and re-open the wound.

6. Practise good oral hygiene

You can also prevent dry socket by simply practicing proper oral hygiene. This will help reduce germs and prevent infections that can break down and dissolve the blood clot. Discuss with your dentist how to brush your teeth following surgery, as it may be difficult to do it the way you are used to. Dentists may also prescribe an antibacterial mouthwash to use after your dental surgery.

7. Always follow the advice of your dentist!

No one wants to experience discomfort brought on by a dry socket. That’s why you should always follow the recommendations of your dentist before and after surgery.

(05/05/2024)
by Naenae Dental Clinic

More Information: https://naenaedentalclinic.co.nz/blog/dry-socket-what-is-it-and-how-can-you-avoid-it/


Views: 574
Share
Share

Chronic Oral Infections and Your Health

Dental bacteria can kill more than a smile. If you have experienced chronic oral infections, don’t floss regularly, and otherwise neglect your oral hygiene, you might be jeopardizing more than just your teeth – studies are revealing a link between neglecting your teeth and many serious health problems.

Dentists have known for years that oral infections pose a significant hazard to heart valves, but new research indicates that chronic dental infections may also contribute to hardening of the arteries, heart attack, stroke, and even pre-term births. The root cause seems to be the millions of bacteria living and breeding inside your mouth.

Even the healthiest mouth is not a sterile environment. There are many different resident bacteria around your teeth and gums and without proper care, oral bacteria can build up, find its way into your bloodstream, and from there, travel throughout your body. Inflammation sets in where bacteria finally settles, and your immune system can’t always fight off the resulting infection. Inflammation can create sites where fatty deposits form, resulting in clogged arteries and veins. Bacteria from your mouth may combine with blood-clotting cells called platelets, forming dangerous blood clots.

Heart disease and stroke

Gum disease is the most common chronic oral infection. It begins at or below the gumline, often painlessly and with no visible signs or symptoms, and can lead to inflammation of the gums and bone around your teeth. Left untreated, bacteria builds up cell by cell to form colonies along the gumline which can be resistant to antibiotics. Other germs will grow down your tooth and migrate into your blood vessels. Dental plaque (the sticky film of bacteria surrounding your teeth) can get mixed up with blood-clotting cells, forming a clump. These clumps of bacteria can irritate the walls of your blood vessels, and if they make their way to your heart, they may increase the formation of heart-stopping blood clots.

Research shows that the fatty deposits lodged in the carotid arteries of most stroke sufferers contain bacteria, and much of this bacteria comes from the mouth.

DiabetesWe also know that diabetics with gum disease have a greater risk of heart attack – perhaps three times more likely, according to some studies – than those with healthy gums.  

PregnancyPregnant women with gum disease are seven to eight times more likely to give birth prematurely, to low birth-weight babies.

Protect your health!Good oral hygiene practices and regular dental visits will greatly reduce your chances of tooth and gum infections, and protect your overall health. 

(05/03/2024)
by Tuxedo Dental Group

More Information: https://www.tuxedodental.ca/dental_library/chronic-oral-infections-and-your-health/


Views: 424
Share
Share

What Causes Tooth Sensitivity When Chewing?

When chewing or putting pressure on the teeth causes pain, it may be a sign of dental damage. Ignoring this type of tooth sensitivity may only make matters worse. Fortunately, restorative dentistry treatments are available to treat the underlying causes of tooth sensitivity and restore oral health. If you experience tooth sensitivity when chewing foods, it's important to see a dentist to find out if the teeth are healthy and structurally sound. To learn more about tooth sensitivity and chewing, schedule a consultation with  Bismarck, ND dentists Everett E. Heringer and Brielle Renz.

Tooth sensitivity can occur for a number of reasons. When tooth sensitivity happens when chewing, it's often due to pressure being applied to the nerves within the teeth and may be a sign of dental damage. Some possible causes of tooth sensitivity when chewing include:

Gum recession: Gum recession is a condition in which the gums pull away from the teeth, exposing the delicate structures of the tooth, including the roots, to plaque and bacteria, which can cause tooth sensitivity.

Enamel erosion: The teeth are protected by a strong outer layer called enamel. Acids, bacteria, and friction, like that caused by brushing the teeth too hard, can wear away the enamel. This leaves the teeth vulnerable to decay and can cause sensitivity when chewing or eating hot or cold foods.

Tooth decay: Tooth decay can allow bacteria to reach the inner structures of the teeth including the nerves and blood vessels, which can lead to a root canal infection and pain when chewing.

Dental fractures: Dental fractures can cause pain when chewing by allowing foods to reach the nerves of the teeth or from the pressure of broken portions of the teeth pressing against the nerves.

Cracked filling: Similar to a fractured tooth, a cracked or broken filling can press against the tooth's nerve, causing pain when chewing.

Treating tooth sensitivity begins with determining the underlying cause through a thorough dental examination. A dental exam is necessary to identify any oral health issues that may be responsible for tooth sensitivity. Once a cause is pinpointed, appropriate dental treatment may be performed.

Treatment may include tooth-colored fillings to repair a damaged filling or treat tooth decay, dental crowns to restore fractured teeth, or gum surgery to treat recessed gums. When dental pain is caused by a root canal infection, root canal therapy is generally the best course of action to treat the infection and alleviate dental pain.

Preventing Tooth Sensitivity

The best way to prevent tooth sensitivity is to practice good oral hygiene habits starting with brushing and flossing the teeth at least twice a day and scheduling regular dental exams and cleanings. Using a soft-bristled toothbrush can also help reduce the risk of enamel erosion and gum recession.

(05/03/2024)
by Heringer Dentistry

More Information: https://www.drheringer.com/blog/2017/04/06/what-causes-tooth-sensitivity-when-181319


Views: 424
Share
Share

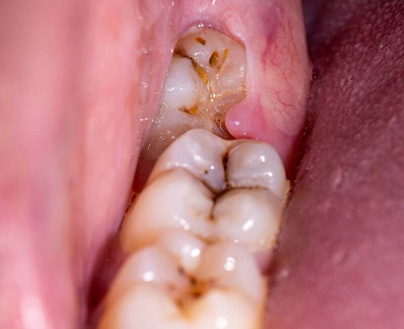
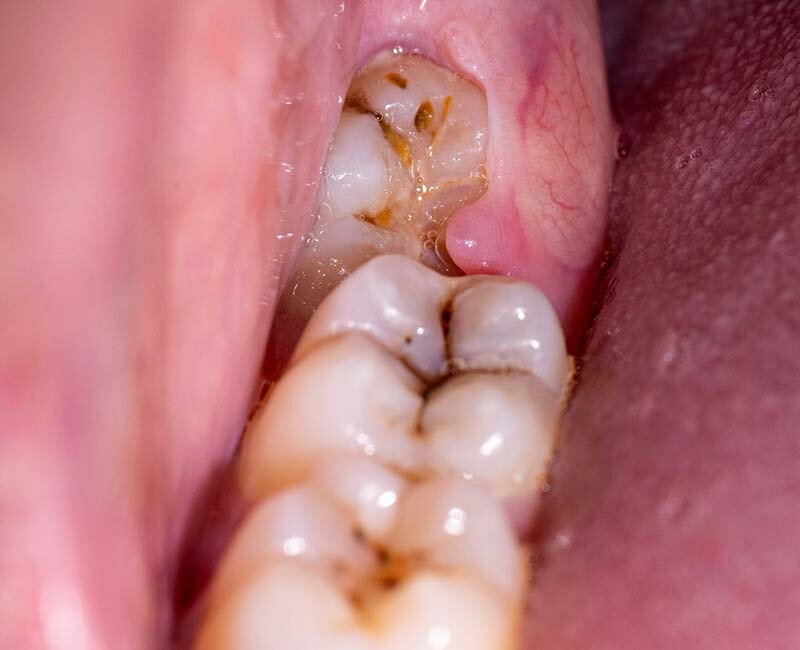
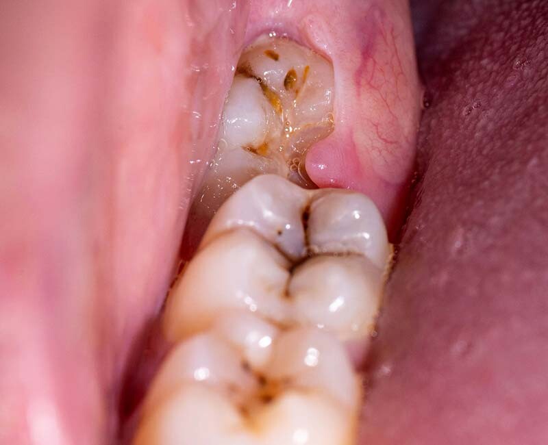
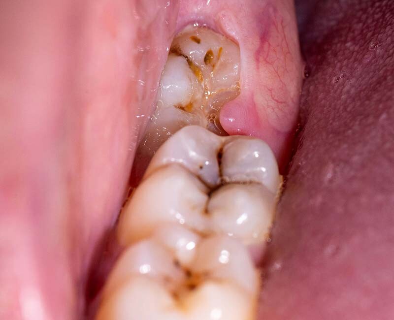
Problems Caused by Impacted Teeth

Many people across the country struggle with different dental issues. Impacted teeth is a common oral/dental problem that can often cause pain and discomfort in the mouth and jaw area. A lot of people often dismiss impacted teeth as a simple toothache, and don’t get the dental care they need in order to address the issue, ultimately leading to worsening problems.

What Is an Impacted Tooth?

An impacted tooth is simply another term for a tooth that has not completely broken through the gum tissue. A tooth can become impacted when there is not enough room within the jaw to accommodate the tooth. Some people naturally may have more impacted teeth than others, but the most common impacted teeth are a person’s third molars, also known as wisdom teeth.

4 Problems That Impacted Teeth Can Cause

Impacted teeth can cause someone a variety of issues from pain to even cysts, or lesions within the jaw. It is important to keep an eye out for any symptoms you think you may have with an impacted tooth and discuss these with your dentist or an oral surgeon.

1. Pain

The most common issue that comes along with an impacted tooth is pain. Whenever a tooth grows or erupts incorrectly, it can create pressure or get irritated easily, causing pain. Many people experience pain at the site of the impacted tooth, and others experience jaw pain under the impacted tooth.

2. Infections

The mouth is full of bacteria, both good and bad. If you have an impacted tooth that is struggling to erupt or is slow to break through, bacteria can infect the site. Food also can get stuck between crowded teeth causing cleaning issues, swelling, and infection.

3. Damage to Other Teeth

Whether it is your permanent adult teeth or wisdom teeth coming in, impacted teeth have the ability to cause damage to nearby teeth. When trying to break through the gum, the impacted tooth can push into or ‘crash’ into the other teeth around them, causing sensitivity and damage. They can also cause resorption of the roots of adjacent teeth.

4. Cysts

Cysts are another common problem caused by impacted teeth and occur when fluid forms around one of the eruption sites of a tooth. Cysts can result in pain and possibly damage to the roots and bone of surrounding teeth.

Do You Have an Impacted Tooth?

Don’t let tooth pain control your life. If you think you have an impacted tooth, you should consult with an oral surgeon and see what your next steps might be.

(05/04/2024)
by Oms Nashvile

More Information: https://omsnashville.com/blog/oral-surgery/problems-caused-by-impacted-teeth/


Views: 377
Share
Share

Coated Tongue: Symptoms, Causes, and Treatment

If you’ve looked in the mirror and noticed a white coating on your tongue, you’re in the right place. Some details may surprise you about this symptom. We’ve got the scoop on what causes your tongue to look this way, what the underlying cause might be, and what you can do about it.

When to See a Doctor for a Coated Tongue

A coated tongue (also known as white tongue) is a symptom that causes your tongue to appear to have a white coating. This typically occurs when bacteria, food matter, and other dead cells accumulate on your tongue between its papillae (the features on the surface of your tongue that provide its distinctive texture).

Coated tongue occurs when the papillae of your tongue are raised or swollen, increasing their surface area and allowing debris to become trapped. You may see that your entire tongue is covered or only patches or sections of it. You may also notice an unpleasant taste in your mouth.

A coated tongue may be benign (harmless) from your lifestyle that could clear up with proper dental care or could be the symptom of a serious health condition. We'll discuss this in more detail below.

Causes of a Coated Tongue

A coated or white tongue doesn’t refer to one underlying condition but is instead a symptom produced by many potential causes. No matter the cause of your coated tongue, improper dental care and poor diet will worsen your symptoms and increase your likelihood of developing other dental problems in the future.

Risk factors that may increase your likelihood of developing white tongue include:

Improper oral hygiene

Medications, including antibiotics

Alcohol, smoking, tobacco products, and illegal drugs

Chronic health conditions like hypothyroidism, diabetes, and syphilis

Oral health conditions, including leucoplakia, oral lichen planus, geographic tongue, and oral thrush

Weakened immune system

Trauma to your mouth

Tongue and lip piercings

Cancer treatment

Dehydration and dry mouth (also known as xerostomia)

Coated Tongue Treatment and Prevention

Because a coated or white tongue is associated with a range of health issues, it can be difficult to diagnose on your own accurately. The appropriate white tongue treatment for your individual care will vary based on its severity and the underlying cause.

Regardless of the underlying cause of your coated tongue, there are some powerful steps you can take that may help prevent or treat it. These symptoms may sometimes resolve on their own if you practice proper dental care and consume a healthy, balanced diet. According to the Cleveland Clinic, you should see a dental or medical professional if this symptom doesn’t resolve after a few weeks.

Steps you can take to treat or prevent your coated tongue may include:

Gently brush your teeth twice a day with a soft-bristled toothbrush (for a full two minutes each time!) using a toothpaste that contains fluoride.

Carefully clean between your teeth once a day using floss, a flossing device, or an interdental brush.

Rinse after cleaning your teeth or after meals using an antiseptic mouthrinse.

Consider using a tongue scraper to help remove build-up on your tongue. Be sure to use it with a gentle touch.

If you experience dry mouth or dehydration, drink more water and use sugar-free chewing gum to promote saliva productions.

Avoid smoking, tobacco products, and illegal drugs.

Consume a healthy, balanced diet that’s low in sugary and acidic foods and drinks.

Schedule regular visits with your dental professional at least every six months.

We recommend speaking with your dental or medical professional for their expert insight, especially because your coated tongue may indicate other health concerns that would benefit from your attention. You now boast a fantastic understanding of what exactly coated tongue is, what it's associated with, and how the power is in your hands to do something about it.

(05/04/2024)
by Colgate

More Information: https://www.colgate.com/en-in/oral-health/adult-oral-care/coated-tongue-symptoms-causes-and-treatment


Views: 446
Share
Share

Chronic Bad Breath? You May Need to Visit the Dentist

Embarrassed by chronic bad breath? Breath fresheners can be an effective short-term fix.

 But if bad breath persists despite a regular brushing and flossing regimen, it’s best to see your dentist for an exam. 

What Causes Bad Breath?

Bad breath, or halitosis, is an embarrassing problem that could signify a more serious medical issue, especially if you’re already practicing good oral hygiene. 

The tongue harbors many bacteria, which are normally kept in check by saliva. However, an excess of bacteria can form plaque on your teeth and gums—producing plaque and volatile sulfur compounds that cause bad breath.

Risk factors for bad breath include:

Smoking or chewing tobacco

Poor oral hygiene

Dry mouth due to medications

Gingivitis or periodontal disease

Medications that interfere with saliva production (antidepressants and antihistamines are common offenders)

High-protein diet

Good Oral Health is Essential for Overall Health

Maintaining good oral health is essential for overall wellness. 

Teeth and gums are vulnerable to decay, periodontal (gum) disease, tooth loss, and oral cancers. You can prevent many problems with regular visits to your dentist for exams, cleaning, and x-rays.

The American Dental Association recommends these steps for good oral health:

Brush your teeth twice a day with fluoride toothpaste. Use an ADA-approved soft-bristled brush. Floss once a day unless your dentist tells you otherwise. 

If you have gingivitis or periodontal disease, floss at least once a day and brush after meals whenever possible.

Visit your dentist regularly—at least twice a year—for checkups and professional cleanings. You may need professional cleanings more often If you have problems with your gums or periodontal disease.

If you use tobacco products, stop. Smoking increases the risk of developing oral cancer and causes bad breath, stained teeth, and mouth sores.

If you drink alcohol, do so in moderation (no more than one drink per day). Excessive alcohol consumption can damage the tissues of the mouth.

Common Signs of Dental Problems 

Many people don't realize that their oral health is an important factor in maintaining overall health. A healthy mouth can help prevent severe conditions such as heart disease, stroke, and cancer—not to mention periodontal disease that can lead to tooth loss.

Some signs of dental problems are obvious, such as bad breath or pain when chewing. 

These are common signs of dental problems: 

Bleeding gums. Bleeding may be a sign of gum disease caused by plaque. Left untreated, gum disease will worsen and may eventually lead to tooth loss and other problems.

Swollen or discolored gums. If you notice any changes in your gums, see your dentist. Changes in gum tissue may indicate a more serious problem.

Bad breath (halitosis). Bad breath can occur when your teeth decay or become infected. Halitosis can be eliminated with proper treatment for any dental problems.

Tooth pain or sensitivity. See your dentist if you’re experiencing persistent tooth sensitivity or toothaches. 

Embarrassed By Bad Breath? Schedule an Appointment Today

Good oral hygiene can help prevent embarrassing bad breath, but you should see your dentist if the problem persists.

A dental cleaning removes plaque and reduces your chances of developing cavities and gum disease that can lead to bad breath. Routine dental exams are the best way to protect your smile.

(05/06/2024)
by Dr Todd Paczewski

More Information: https://www.drtoddsmileon.com/chronic-bad-breath-you-may-need-to-visit-the-dentist/


Views: 398
Share
Share

What To Eat After Having Dental Work Done

Having dental work isn’t like other procedures where you can eat whatever you want afterward. In fact, it can be difficult to find something you can easily eat after dental treatment. Whether you’re recovering from oral surgery, a dental implant placement, a root canal, or even a filling and are having trouble finding easy-to-eat foods, you’re in luck. Your dentist in Alexandria has a whole list of foods you can eat after having dental work done. Let’s check out a few of our favorites. 

Avocados

A mushed-up ripe avocado is one of the best things you can eat after dental treatment. Not only is it easy to eat, but avocados can provide your body with needed healthy fats and a ton of nutrients, including vitamin C, vitamin K, potassium, and fiber. These are some of the reasons that it’s often called a superfood. 

Broth

Broth or soup is another excellent choice. Not only is it comfortingly warm, but it also requires little to no chewing. Beef bone broth, in particular, is also packed with protein, which is important. In fact, according to a study conducted by the University of Michigan, soft foods with healthy fats and protein like beef bone broth may also even help promote healing by repairing muscles and tissues and fighting off infection. Remember, if you’re recovering from wisdom teeth removal or other oral surgery, keep your broth warm and not hot. Hot foods and drinks can irritate gum tissue and make recovery take longer. 

Scrambled Eggs

This breakfast favorite isn’t only for mornings and would be easy to eat at any time following dental treatment. Similarly to bone broth, scrambled eggs are a healthy, protein-packed option that’s easy to eat and promotes healing. Besides, who doesn’t love breakfast for dinner? 

Fish & Potatoes

If you’re looking for something that feels more like a complete meal, look no further than fish and potatoes. Fish such as tuna, salmon, and tilapia are soft and easy to chew, and they contain a lot of heart-healthy fats. Pair fish with delicious mashed potatoes for a delicious, nutritious, and easy-to-eat meal. Spice up the dish by choosing sweet potatoes over russet. 

Ice Cream

We couldn’t complete this blog without turning to the age-old favorite of ice cream. This sweet treat is a go-to option for your dentist in Alexandria because it’s easy to eat and it’s cold. The coolness of ice cream is the perfect way to get some relief if you’re feeling sore and may even reduce swelling. Make sure to avoid flavors that contain nuts, frozen candy bars, or other hidden crunchy goodies. 

Even if you don’t necessarily feel like eating after dental treatment, it’s important that you do. If it’s easier, choose to eat several smaller meals or snacks throughout the day instead of large meals. Also, make sure to drink at least 64 ounces of water daily to keep your body and mouth properly hydrated. 

(05/06/2024)
by Braddock Dental

More Information: https://www.braddockdental.com/general-dentistry/what-to-eat-after-having-dental-work-done/


Views: 501
Share
Share

How Can I Prevent Gum Disease?

Gum disease is not something that anyone wants to deal with, however, it is often inevitable. This oral condition operates in a few different stages, ranging from mild to severe. In order to avoid entering the severe stages, it is important to take preventive measures. There are a few different ways that general dentists recommend fighting off gum disease. Ready to learn more about them?

Preventing gum disease

Outlined below are a few ways to prevent gum disease from developing. These recommendations come straight from a general dentist and should be taken seriously when trying to maintain good oral hygiene.

Practice good oral hygiene

One of the most common and simple ways to prevent gum disease is to practice good oral hygiene on a daily basis. Oral hygiene is crucial when trying to prevent any oral condition from developing, however, it is especially vital in the prevention of gum disease. Oral hygiene consists of regularly brushing the teeth, flossing at least once a day and rinsing a few times a week. 

Brushing the teeth and gum lines with a soft-bristled toothbrush will keep any buildup to a minimum. General dentists recommend doing this twice a day or after every meal. Flossing at least once a day will keep food out of the spaces in between the teeth, which will ultimately avoid excess buildups that could lead to gum disease. Lastly, rinsing with mouthwash or saltwater a few times a week can help clear out hard-to-reach areas that may contribute to gum disease. 

Regularly visit the dentist

Visiting a general dentist on a regular basis will also help fight off gum disease. Dentists are able to detect warning signs that patients may not be able to notice. Additionally, they can take x-rays and perform cleanings that can help catch gum disease in its early stages.

General dentists recommend an exam at least twice a year or every 6 months for patients of all ages. Dental cleanings should also be done at least twice a year or every 6 months, however, they can be done more frequently if the patient desires or if the dentist recommends it. Sometimes, it is recommended to fight off oral conditions, such as gum disease or cavities. 

Avoid excessive sugar consumption

It is hard to avoid eating sugar. It is practically in everything, however, it is possible to avoid excessive amounts. Sugar contains ingredients that break down the teeth and cause infections along the gum lines. It is best to avoid any consumption of large amounts. If it is necessary, general dentists recommend brushing immediately after to help prevent a bacterial buildup, which could lead to gum disease.

When trying to prevent or fight against gum disease, it is good to consult with a general dentist. They are able to offer up additional recommendations that may be patient-specific. 

(05/07/2024)
by Adlong Dental

More Information: https://www.adlongdental.com/blog/how-can-i-prevent-gum-disease/


Views: 515
Share
Share

Dentist Tips for Pain Relief

Dental pain can be very bothersome, even when not severe. If something is hurting inside your mouth, it could be due to one of the following:

Tooth decay, is caused by bacteria in the mouth that form plaque, which attacks the tooth enamel. Over time, this can lead to a hole in the tooth called a cavity.

Gum disease, which occurs when the plaque builds up along the gum line and causes irritation and inflammation of the gums.

Oral infection, which is caused by bacteria and can develop anywhere in the mouth. Dental pain can also be due to tooth sensitivity, which is a result of a thinning of the enamel caused by sweet and acidic foods.

How To Get Quick Relief from Dental Pain

If what you’re looking for is quick relief from dental pain, here are 9 tips for pain relief that dentists usually give patients.

Rinse your mouth with hydrogen peroxide. Gargling with hydrogen peroxide can help to relieve tooth pain. The hydrogen peroxide helps kill bacteria causing the pain, and it also helps reduce inflammation. You can also create a warm water and salt mix, which also has antibacterial properties. Rinse your mouth with it for relief.

Take over-the-counter pain medication. There are a few different types of pain medication that can help with tooth pain. Over-the-counter options like ibuprofen and acetaminophen can help reduce inflammation and pain and provide relief from dental pain.

Apply a cold compress to the outside of your face for 20 minutes at a time. A cold compress can help reduce tooth pain by numbing the area and reducing inflammation.

Try using dental floss or an interdental brush to remove food from the affected area. It could be that something stuck in between your teeth is causing dental pain.

Avoid eating hard, chewy, or sticky foods that may aggravate the pain. Try to avoid aggravating the pain and eat soft foods first before you can see a dentist.

Use clove oil. Clove oil is a natural remedy for dental pain. It has antiseptic and anti-inflammatory properties that help to reduce swelling and pain. Place a few drops on a cotton ball and apply it directly to the painful site.

Drink peppermint tea. Peppermint tea is often used as a home remedy for dental pain. The menthol in peppermint can help numb the area and reduce inflammation.

Use an oral numbing gel to numb the nerves in your mouth, which helps reduce dental pain. Apply it to the surface of your gums to ease the pain.

If your dental pain is severe, or if your pain has lasted for longer than a couple of days, the best tip is to see a dentist immediately. At-home remedies can only do so much. Having a dentist assess the pain and provide the appropriate treatment is the best way to find long-term relief.

Dental pain is usually caused by underlying dental issues that require dental treatment to resolve. At-home treatments are for quick relief and should not take the place of professional dental treatment. Lasting and effective pain relief requires identifying and tackling the cause of dental pain.

(05/07/2024)
by Dr Ernie Soto

More Information: https://www.drerniesoto.com/blog/9-dentist-tips-for-pain-relief/


Views: 376
Share
Share

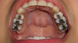
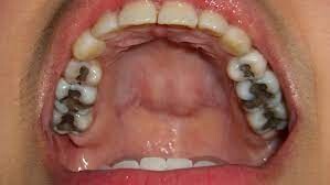
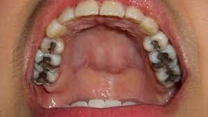
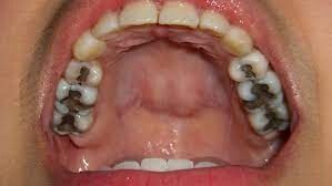
How Many Fillings Can One Tooth Have?

Do you have chipped, fractured, cracked teeth or dental caries? Dental fillings are ideal for repairing your affected teeth.

In addition, fillings safeguard your tooth from undergoing further damage, which may result in tooth loss, severe pain, sensitivity, or the need for extensive dental procedures.

Tooth cavity filling effectively protects the tooth enamel from erosion. Is it possible to have multiple fillings? Read on to find answers regarding dental fillings and your dental health from our expert dentists in Sanborn, IA.

Can your Teeth Undergo Multiple Fillings?

It’s possible to have several fillings in your tooth, but your dentist can’t place different fillers on the same tooth. Your tooth comprises other surfaces; damage can occur on any surface, including grooves or cusps.

If you take sugary foods in excess, decay may appear on your tooth’s biting surface and the sides. Plaque and bacteria thrive where sugar is present and multiply, leading to tooth decay and infection.

If your decay isn’t severe, your dentist can remove a portion of the decayed tooth and apply fillings with composite or amalgam. Fillers are also placed on your cracks or chips to seal the tooth from further damage.

The material used for your dental fillings must be uniform, and the tooth can be filled severally.

How Long Will Your Dental Fillings Last?

Dental fillings can last long if you observe proper oral hygiene and robust material. The timeframe needed to replace your old fillings also varies with your dietary lifestyle, among other aspects.

Despite how durable your dental fillings are, you need replacement, and in general, here are some of the types of fillings and the duration they can serve you:

Porcelain and ceramic fillings-between 5 to 7 years

Composite fillings- last for 5 to 15 years.

Amalgam fillings- serve for 5 to 25 years.

Gold fillings- about 15 to 20 years

How Many Times Can A Filling Be Replaced?

You can undergo tooth cavity filling in Sanborn several times. If the material lasts for up to 15 years, for instance, it doesn’t mean your tooth won’t be replaced again until the duration is over.

Various reasons may compel your dentist to fill your tooth more times, including:

Loose fillings-if you have dental fillings that are falling out, you need to visit your dentist for a replacement. It’s crucial to replace them before food particles are trapped between them and bacteria don’t slip into your affected tooth.

Cracked fillings-dental filling materials are vulnerable to damage, and they cause your tooth to become sensitive. During your dental exam, a broken filling will be replaced.

Leaking fillings- after fillings are placed, they are likely to leak, leading to sensitivity. You need to undergo an examination to determine if the fillings are the cause of sensitivity.

Worn-out fillings- dental fillings deteriorate with time, just like your natural tooth, and you need to undergo replacement.

Do All Cavities Need Fillings?

Your severely decayed tooth may fail to be repaired by dental fillings, and you need to undergo dental extraction. If your cavity has led to the infection of your tooth roots, you might undergo a root canal before the application of fillings.

However, minor tooth decay can be comfortably addressed by dental filings. A very small cavity may not require fillings, and once it’s detected early, the action of decay can be reversed.

Sometimes, your dentist may recommend you undergo other dental procedures before having dental fillings. You can also have dental sealants or crowns covering your dental caries.

What Do Fillings Do to Your Teeth?

Dental fillings address various issues, including the treatment of cavities to prevent further damage or dental extraction.

If you clench your teeth, your teeth surfaces wear out due to friction, and dental fillings are ideal for sealing the grooves from damage.

Dental fillings are beneficial in the following ways:

They seal minor chips, cavities, and fractures.

Dental fillings are applied to cover cavities and improve your bite.

They alleviate sensitivity that results from enamel erosion and decay.

Dental fractures, chips, cavities, or minor damages require fillings. At Sanborn Dental Associates, we recommend dental fillings to prevent your tooth from undergoing further deterioration.

(05/08/2024)
by Samborn Dental Associates

More Information: https://sanbornda.com/how-many-fillings-can-one-tooth-have/


Views: 376
Share