Dentists Journal

Top Ten Stories of the Week
5/4/2024

All Dentists Journal · Previous Week · This Week · All Time List · Headlines

Share

Six Ways To Kick Your Soda Habit and Improve Your Oral Health

Sodas are packed with sugar and acids, which can damage your teeth. One soda a day can also add up to almost 1,000 extra calories per week, contributing to obesity, type 2 diabetes, and heart disease. Soda can be an indulgent treat, but it can harm oral health and wellbeing. Learn why soda can damage your teeth and our tips for quitting soda.

Why Is Soda Bad For Your Teeth?

Soft drinks have been linked to tooth decay for people of all ages. The acids and acidic sugar ingredients in soft drinks can soften tooth enamel, contributing to cavities. In extreme cases, if the enamel damage does not get treated, grinding of the teeth or other conditions can lead to tooth loss.

When you consume sugary soft drinks, the sugar coats the teeth and feeds the bacteria that live in your mouth. This results in acid production, which can damage tooth enamel, so the fewer sugar-sweetened beverages (like soda) you consume, the better it is for your mouth. However, sugar-free drinks aren't perfect, either. Even if a soda doesn't have sugar, it can contain those acidic ingredients that damage enamel.

How To Stop Drinking Soft Drinks

If you want to take a step toward a healthier lifestyle, quitting soda drinking doesn't have to be painful! You can take several small steps to beat the habit, leading to a healthier smile and less sugar in your diet.

Start Small

Like any habit, quitting cold turkey isn't as successful as gradual progress. Setting ambitious or unrealistic goals can lead to shame and bigger indulgences when you slip short of your goal. Instead, set small, incremental goals that are challenging yet reachable. If you're a daily soda drinker, set a goal to drink soda only 2-3 times a week. When you reach that goal, set a goal for a week, and so on. As you set and achieve these goals, you'll have the confidence and willpower to make bigger ones – and you'll gradually lose the craving.

Swap soda for sparkling water

If it's the carbonation you crave, swap out your soda for sparkling water instead. These refreshing and bubbly drinks don't have the acidic ingredients or sugar to wear down your tooth enamel. And no calories! Sparkling water or seltzers can be an acquired taste, but they can satisfy those carbonation cravings.

Add flavor to your water

Perhaps sipping plain water doesn't sound appealing. Fortunately, there are many options for flavors. You can purchase pre-flavored water on the shelf; watch for sugar, calories, and acidic ingredients! Or you can infuse water yourself. Slice up cucumbers and lemons, and infuse them in a pitcher of water in your fridge. You can also add herbs like rosemary, citrus fruits, or berries.

Switch to green tea

If you rely on your daily sodas for caffeine, quitting soda may be difficult and lead to headaches and tiredness. But you don't have to ditch caffeine when you ditch the soda. You should try green tea! Green tea is packed with antioxidants and has up to 28 mg of caffeine, compared to soda's 22 mg. Also, by drinking unsweetened green tea, you won't have the typical sugar crash.

Avoid triggers

Breaking any habit can be difficult. Be mindful of when and where you tend to drink soda. If you always grab a soda at the gas station when you fill up, perhaps pay at the pump instead to avoid the temptation. If you always choose soda at a restaurant, order ahead, take your food to-go, or ask for your date to order water for you, so you don't order soda by habit.

If you feel a craving, reach for better options like sparkling water or green tea.

Use fluoride toothpaste and mouth rinse

Fluoride can reduce cavities and strengthen tooth enamel, so brushing with a fluoride-containing toothpaste reduces soda's effects. If you indulge in a sip of soda, promptly rinse your mouth with water or a mouthwash to remove traces of the drink that can prolong tooth enamel exposure to acids. Rinsing with a fluoride mouthwash can also help. Talk to your dental hygienist at your next appointment and ask them for recommendations on fluoride dental products.

Quitting soda can be difficult, especially if you have been drinking soda daily for years. But understanding how soda can damage your teeth and health and knowing these tips for quitting soda can set you in a new, healthy direction.

Swap for Sparkling

If it's the carbonation you crave, swap out your soda for sparkling mineral water instead. You'll still get the tingling sensation of carbonated soda, only without all the sugar and calories. It might take a few tries to acquire a taste for sparkling water, but it's worth a try if you prefer the consistency.

Flavor Your Water

Think plain water is too boring to drink? It may be the flavor you're after. By flavoring your water with fruits, vegetables and even herbs, you jazz up your usual aqua so you want to drink it. Try slicing a few cucumbers and adding them to your water, or mix up lemon slices and a few sprigs of fresh rosemary for a bright, savory water. Citrus works well as a water additive due to its naturally strong flavor.

Switch to Green Tea for Caffeine

Drinking soda may simply account for your daily caffeine in the morning, and giving it up can result in a few tired afternoons. But you don't have to ditch caffeine altogether. Instead, brew a cup of green tea: It's packed with antioxidants. You might even find that green tea doesn't make you as jittery as soda or diet soda due to their respective sugars.

Avoid Triggers

If you're always filling up a cup of soda at the gas station, opt to pay at the pump so you're less likely to buy a beverage. Knowing your triggers, like an afternoon slump or going out to eat, keeps you aware of the situations that spark the craving so you can teach yourself how to avoid that trigger altogether.

If you feel a craving coming on, decide its place to stop yourself from reaching for a soda. Pop a piece of gum in your mouth, for instance, or use a mouthwash. The minty flavor will remind you to avoid sugary drinks while making soda taste bitter, so you're less likely to drink up at a point of craving.

Does Your Drinking Method Matter?

How you consume a beverage might influence how sugars and acids interact with your teeth. Taking long sips and holding a drink in the mouth is most likely to lead to the greatest drop in pH. A lower pH indicates a more acidic environment, which increases your risk for erosion. Gulping the beverage, on the other hand, leads to a smaller drop in pH.

Using a straw to drink a sugary beverage might also help lower your risk of decay or erosion. It all depends on if the liquid comes in direct contact with your teeth out of the straw. Positioning the straw so that it's at the back of the mouth may help to reduce erosion risk.

Making the switch from a daily soda habit might be difficult, especially if it's a habit you've indulged in for years. But understanding the risk sugary drinks pose to your teeth should be enough to motivate you to learn how to stop drinking soda and take up a healthier choice. Your smile (and maybe even your waistline) will thank you!

(04/26/2024)
by Colgate

More Information: https://www.colgate.com/en-us/oral-health/nutrition-and-oral-health/why-is-soda-bad-for-your-teeth


Views: 562
Share
Share

What Is A Dental Emergency In children And How Can You Handle One?

Taking your child to the dentist is not an event that people tend to associate with an emergency. However, dental emergencies do exist , and they can often be upsetting or challenging to handle without access to the proper help. If your child encounters a dental issue, you may wonder how to deal with it, to whom you should speak about it, and what is a dental emergency. Let's get down to answering all these questions and more.

What Are Dental Emergencies?

Some oral health conditions require patience to deal with, as they can go without treatment for a short period. They either go away on their own, or you can resolve them with home care. But dental emergencies are not the sorts of issues that can wait. And when they occur in children, time is of the essence.

A dental emergency is any oral health condition or injury that threatens your life or long-term health. They typically require immediate attention to address them properly and without further complications. However, not every dental emergency is considered life-threatening at first or in need of an immediate visit to a dental office. But, these conditions still require urgent care to prevent them from becoming worse as time progresses.

Handling a Dental Emergency

If your child is experiencing the symptoms of an oral health condition that threatens or interferes with their quality of life, the most important thing is keeping them calm. Stress and anxiety can produce reactions that can worsen some conditions, and it's challenging for children to communicate fully when they are upset, in pain, or scared. Do your best to assure yourself and your child that things will be okay.

The first step is to contact an emergency dentist as soon as possible, especially in cases involving infection of the soft tissues or uncontrolled bleeding. These problems will not only worsen with time, but they can also spread to affect other parts of your body. When speaking to a dentist, make certain to accurately describe any symptoms and when you first noticed them. Also, inform the dentist of any mouth, jaw, or facial injuries your child may have sustained and the circumstances under which they occurred.

Most likely, the dentist will advise you to bring your child in for an emergency evaluation. General pediatric dentists tend to keep normal office hours. However, emergency dentists offer extended business hours to their patients, likely including nights and weekends. This is a critical distinction because dental emergencies can occur at any time. In addition, if you schedule an appointment with an emergency dentist, they will almost always make it a same-day appointment.

Common Dental Emergencies

It's not uncommon for children and adolescents to experience adverse oral health conditions. After all, they lead very active lifestyles and are fond of sugary drinks and snacks. In fact, according to the CDC , over half of adolescents aged 12 to 19 years will develop at least one cavity in their permanent teeth.

However, not every oral health issue your child experiences will be as simple as a cavity gained from too many bowls of cereal. It's vital to know what conditions or situations qualify as dental emergencies in your child. The most common dental emergencies include the following:

Toothaches

Toothaches are the most common oral health issue adults and children face. However, while many toothaches only require proper oral care at home to resolve, some are more severe. They have many causes, and there are times when a toothache is indicative of a more complex underlying condition. A toothache can be considered an emergency if:

There's also swelling of the gums, face, jaw, or neck that a cold compress will not alleviate.

It increases in intensity over time.

Your child develops a fever or earache.

Uncontrolled Bleeding of the Soft Tissues

Your child may experience occasional gum irritation or minor bleeding, particularly after a dental cleaning. However, if the bleeding doesn't stop or is accompanied by pain and swelling, it will require a trip to an emergency dentist. A continuous open wound in the mouth can lead to an infection if there isn't an infection already present.

Knocked-Out Teeth

Children and gap-toothed smiles go hand in hand. However, while it's natural for kids to lose teeth over time, it's usually due to baby teeth making way for permanent adult teeth. When a sudden trauma forcibly removes teeth from their socket, that is an emergency situation.

Lost teeth on their own are not life-threatening. But if you still have your child's tooth, it may be possible to reinsert it if you take action and schedule an emergency dental appointment quickly. Thirty minutes or less is the ideal length of time in which to visit a dentist with a knocked-out tooth.

Abscessed Tooth

An abscess is a serious condition in which bacteria from the tooth find their way into other parts of your child's mouth, causing an infection. This infection can easily spread through the soft tissues or even the facial and jaw bones, leading to fever, swelling, gum inflammation, severe pain, and difficulty swallowing or opening the mouth. If your child develops an abscessed tooth, it's critical to take them to an emergency dentist as soon as possible.

Broken Orthodontic Appliances

Braces and retainers are commonly used to help straighten and realign children's teeth. These appliances consist of metal, plastic, or ceramic parts that work to slowly move teeth into the correct position. However, these parts are not indestructible. Sometimes, a wire or bracket on your child's braces can snap, presenting an urgent situation.

In addition to greatly reducing the effectiveness of the braces or retainer, any metal parts that break could potentially stick out or create a hazard of poking, scratching, or cutting the soft tissues in your child's mouth.

(04/29/2024)
by Sweet Tooth Pediatric Dentistry

More Information: N


Views: 627
Share
Share

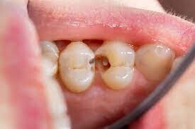
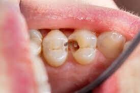
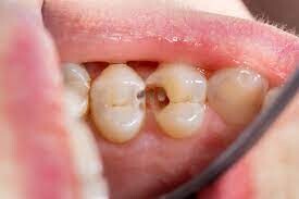
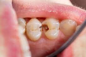
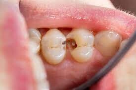
Cavities Between Teeth And How to Avoid Them

Cavities are an age-old problem, but cavities between teeth are especially bothersome for patients and dentists. When decay occurs between teeth, dentists must remove more tooth structure in order to access the area to place a filling. The best defence is to avoid forming cavities at all – especially between teeth! Using preventive measures will benefit both your oral and systemic health, and healthy habits will help to control the acid formula that contributes to enamel damage and tooth decay.

Causes

What causes a cavity? National Oral Health Programme notes that all teeth in the end say keep us healthy and cavity free and then you will welcome happy permanent teeth. When the bacteria that is naturally present in the mouth combines with the sugars you eat, acid forms. This acid will begin to demineralise the tooth enamel, causing white spots that signal a weakening of the tooth. Demineralisation can lead to irreversible damage to the enamel, and then cavities may form. Cavities are permanent damage to the tooth that your dentist will need to repair with a filling.

Cavities between teeth have the same origin and physiology as cavities on other surfaces of the teeth. The approach for treatment is different, in that dentists must remove more tooth structure in order to access the area to place a filling.

Avoiding Cavities

Avoiding cavities between teeth requires more effort than preventing cavities on other tooth surfaces. To clean the in-between, or interproximal, areas, floss daily or use another type of interdental cleaner. Removing food debris and plaque is essential. In addition to basic oral hygiene, a diet low in sweets, drinking fluoridated water and brushing with a fluoride toothpaste will help to avoid cavities.

See your dentist every six months to 12 months, so he or she can identify cavities in the early stages and begin treatment right away. Your dentist may take X-rays at your appointment to detect any cavities hiding between your teeth.

Cavities, especially the ones that form between the teeth, can lead to pain and multiple trips to the dentist. The best strategy is to prevent the decay from forming in the first place. Keep up with your healthy habits to enjoy your healthy mouth and body!

(04/27/2024)
by Colgate

More Information: https://www.colgate.com/en-in/oral-health/cavities/cavities-between-teeth-how-to-avoid-them


Views: 456
Share
Share

Does Taking Vitamin K2 Actually Benefit Your Oral Health?

Healthy eating habits are an important part of good oral hygiene. Your body will be more healthy if you eat well and limit the intake of foods and drinks that could damage your teeth.

Is Vitamin K2 one of the vitamins that can help your gums and teeth? Is Vitamin K2 a vitamin that can benefit your gums and teeth? We will give you the facts about Vitamin K2 so that you can make informed decisions for your oral health.

What is Vitamin K2 and how can it help you?

Vitamins are vital for the body to perform many essential functions. Vitamins can be obtained by eating a well-balanced and healthy diet. Supplements can also be used if your body isn’t receiving enough vitamin intake from whole foods.

Vitamin K is absorbed by fats in your diet, and stored in your body’s fat tissue (it is fat-soluble). Vitamin K1 (the chemical composition phylloquinone), and vitamin K2 (“the chemical compound menaquinone”) are two forms of this vitamin.

Where does K2 come from?

Vitamin K1 can be found mostly in dark leafy greens, and vegetable oils. Vitamin K2 is found in:

Blue Cheese

Gouda and Swiss cheese are hard cheeses.

Eggs

Pork

Chicken

Nato, a Japanese fermented food made from soybeans, is also available.

What are the benefits of Vitamin K2

Vitamin K is vital for healthy bones and blood clotting. According to a study published in Integrative medicine: A Clinician’s Journal, vitamin K2 can also be useful in keeping the blood vessels’ walls free from calcium deposits.

What does Vitamin K2 do for your oral health?

There have not been any human studies that prove vitamin K2’s effects on oral health. There have been only discussions and hypotheses about the possible benefits of vitamin K2 to your teeth. One such article was published in Health Hypotheses.

This hypothesis suggests that vitamin K2 could play a role in the prevention of cavities. However, more research is needed on this subject.

What is the recommended amount of Vitamin K2?

The Office of Dietary Supplements states that you can get the recommended vitamin K intake by eating a balanced diet. It also depends on your age, gender, and if you are breastfeeding.

0-6 Months 2 Micrograms

7-12 Months 2.5 Micrograms

1-3 Years30 Micrograms

4-8 Years 55 Micrograms

9-13 year60 micrograms

14-18 year75 micrograms

Adult men aged 19+120 micrograms

Adult women 19+ 90 micrograms

Pregnant/breastfeeding teens 75 micrograms

Pregnant/breastfeeding women 90 micrograms

Vitamin K Supplements: Should You?

Vitamin supplements are recommended by most dentists only if certain vitamins are not available in your diet. If you are a vegetarian or vegan, vitamin K2 may not be available to you without eating meats and cheeses. Vitamin supplements may be required for certain medical conditions.

You can ask your dentist and health professionals any questions you may have about vitamin K2.

Although Vitamin K2 has some important benefits, the effects of vitamin K2 on your oral health are yet to be established. A healthy diet should include adequate amounts of menaquinones. The best way to maintain good oral hygiene is to brush your teeth at least twice a day. Brush your teeth at least twice daily and make sure you brush your tongue.

Other helpful products such as antimicrobial mouth rinses and tongue scrapers may also be available. Regular appointments with your dentist are a must. Vitamin K2 is not a supplement that can protect your oral health, but good oral hygiene is an excellent supplement to help you smile.

(04/26/2024)
by Arrow Dental Arts

More Information: https://arrowdentalarts.com/home/does-taking-vitamin-k2-actually-benefit-your-oral-health/


Views: 430
Share
Share

Dentist Warns Of Six Changes In Your Mouth That Could Be A Sign Of Serious Illness

Medical experts have revealed six red flags that people should look out for, which may be a sign of serious illness.

Dentists have told people to keep an eye on certain symptoms which may be indicators for a heart attack or osteoporosis.

Examples include jaw ache and loose teeth, which could be cause for concern.

Dr Rizwan Mahmood, from Ruh Dental, explained how many diseases can spur changes and tell-tale signs in a person's mouth.

He said: “This is why people should visit their dentist at least twice a year for check-ups and cleaning.

"Analysing oral health regularly, along with brushing and flossing at home, can help keep your physical health in good order too.

“It’s also wise to be aware of any changes in the mouth, as well as pain. If you notice anything untoward, see your dentist or medical practitioner straight away."

Here are the six symptoms that Dr Mahmood says people should watch out for.

1.- Pain and discomfort in the jaw

"Occasionally, pain or discomfort in the jaw could be indicative of a heart attack," he said

"Although the chances are rare, it’s important to recognise these symptoms which could save someone’s life.

"Your jaw could hurt with cardiac arrest because the nerves that detect pain coming from the heart, travel to the same general area in your spinal cord as they share the same nerve pathway. These signals then work their way up to the brain. So, in essence your jaw is signalling pain on behalf of your heart."

Temporomandibular disorder (TMD) is a condition, which isn't usually serious, that affects the movement of the jaw.

Signs include: pain around your jaw, ear and temple; clicking, popping or grinding noises when you move your jaw; a headache around your temples; difficulty opening your mouth fully and your jaw locking when you open your mouth.

2.- Loose and wobbly teeth

Dr Mahmood explains the reason behind your teeth becoming loose or falling out may be down to gum disease.

It could also be the onset of osteoporosis, which is a disease that weakens the body's bones and bone density.

“There have been studies showing links between osteoporosis and bone loss in the jaw which the teeth anchor into," he said.

"This should be investigated further if you’re experiencing random tooth loss."

3.- Changes on the surface of teeth

Changes in tooth enamel and the surface of teeth could be signs of an eating disorder.

That's according to Dr Mahmood who says teeth which "appear eroded and translucent" can be a tell-tale for the likes of bulimia or acid reflux.

He added: “Stomach acid is abrasive and can steadily wear away at tooth enamel.

"Excessive vomiting can also prompt dry mouth, dry and cracked lips, loss of tooth enamel, swollen salivary glands and sensitive teeth.

Tooth decay can be caused by the over-consumption sugary food and drink and not cleaning your teeth and gums.

If you have a hole in your tooth you may get toothache, a sharp pain when you're eating or drinking hot cold or sweet things, and white, brown of black spots on your tooth.

4.- Smelly breath

This can also be known as halitosis and is the result of a dry mouth or can be due to eating certain foods and drinks.

But Dr Mahmood says it can be a sign of gum disease or gingivitis.

“Bad breath can also be symptomatic for something underlying, something more serious," he explained.

"It could be a pointer to a sinus infection, diabetes, a chronic lung infection, liver or kidney disease."

The NHS recommends the best way to avoid bad breath is to keep your teeth, tongue and mouth clean by brushing them gently twice a day with a fluoride toothpaste.

5.- Sore and bleeding gums

Dr Mahmood warns bleeding or aching gums might be an indicator of something worse, like gum disease.

He said: “Gum disease can be prevalent in people with underlying conditions such as diabetes, an ailment which can weaken the immune system – putting you in danger of infection.

“If you have diabetes, you’re more likely to suffer with a gum disease known as periodontal disease. This is inflammation in the gums and the bones around your teeth. Periodontal disease also causes bad breath (halitosis) and even loss of teeth.

Diabetes can cause a dry mouth because of a lack of saliva which in turn can cause ulceration and tooth decay. Furthermore, you are also prone to developing oral thrush as it can impact the way your body fights off infections.

“This can put your gums at risk of inflammation because of the bacteria living in plaque. Other signs of diabetes include oral fungal infections, dry mouth, and fruity smelling breath,” he added.

“Fruity-smelling breath can be a sign of diabetic ketoacidosis which is a dangerous and potentially life-threatening condition in which your blood sugar is so high it starts turning acidic. But as dentists we are constantly working around the mouth and can pick up on this distinctive oral scent.”

6.- Sores and lumps in the mouth

Dr Mahmood has warned people to keep an eye out for canker sores, which can be the result of fungal infections.

Symptoms to look out for include lumps and sores in your mouth and they should always be checked out by a professional

He added: "Oral cancer often starts as a small white or red spot or sore in the mouth and it is more likely to affect smokers or alcohol drinkers. Signs of oral cancer include sores that don’t heal easily, hard spots, rough areas, discoloured tissues, numbness and changes in the way teeth fit together.

“Lumps or irregular tissue in the mouth or inner cheek, head or neck, should all be checked out too. Please note that oral cancer isn’t something you should try and diagnose at home, see your dentist who will refer you to a specialist if needed."

(04/29/2024)
by Mirror

More Information: N


Views: 403
Share
Share

Dentist Approved Foods For Healthy Teeth And Gums

You are what you eat, so the saying goes. And that’s certainly true when it comes to your dental health — your dentist will tell you that you should avoid sugary and acidic foods and drinks that are bad for your teeth. But did you know that some foods support healthy teeth and gums? We’ve put together this list of some of the top tooth-friendly foods to eat for great dental health.

1. Crunchy vegetables

As well as being a rich source of vitamin C, crunchy vegetables eaten raw, like carrots, celery, peppers and peas, can help remove plaque from your teeth. This keeps them clean and reduces the chances of tooth decay and gum disease.

2. Salmon

This delicious fish is rich in omega-3 fatty acids. While these powerful “healthy fats” are best known for lowering your risk of cardiovascular disease, they also protect your mouth from gum infections and help gums heal quicker if you are undergoing treatment.

3. Strawberries

It may surprise you to know that strawberries are a natural tooth whitener. This is due to malic acid, which has natural stain-removing and whitening properties. It’s also found in high quantities in apples and watermelons.

4. Dairy products

Make sure you include dairy products like milk, cheese and yoghurt (or soy or almond milk if you follow a vegan diet) for healthy teeth. These foods are high in protein and calcium, meaning they strengthen tooth enamel and help guard against decay and tooth loss.

5. Onions and garlic

Believe it or not, onions and garlic are actually great for your dental hygiene! While they are commonly linked with bad breath, the opposite is actually true. Onions and garlic have strong antibacterial properties, which means they help to reduce the bacteria in your mouth that can lead to tooth decay, inflamed gums and bad breath.

6. Sugar-free gum

Chewing sugar-free gum for 20 minutes after meals helps your mouth to produce more saliva and, in turn, reduce the risk of tooth decay. Saliva is essential to your oral health as it helps to wash away food particles and neutralise the acid produced when food is broken down by bacteria in your mouth.

7. Nuts

Sugar- and salt-free nuts make a tasty snack that’s good for many aspects of your health. Their high fibre and calcium content means they can help make tooth enamel stronger. Chewing on nuts also stimulates saliva production to help protect against tooth decay.

8. Mint

Mint is associated with fresh breath — and there’s a good reason behind this link, as it’s known to have antibacterial qualities. Enjoying a cup of mint tea after meals will not only freshen your breath but also help you digest your food. You could alternatively chew a fresh mint leaf to benefit from its antibacterial qualities.

9. Wholegrain foods

Wholegrain foods like wholemeal bread, brown rice and oats are packed full of minerals and B vitamins, which are great for health. Include them in abundance in your diet to keep your teeth strong and your gums healthy.

10. Cinnamon

This distinctive-flavoured spice is great for dental hygiene thanks to its antibacterial properties. You can make your own mouthwash at home to help prevent plaque and bacteria build-up by boiling some water and adding some cinnamon. Once it’s cooled, use it like regular mouthwash for a great-tasting rinse.

(04/27/2024)
by Somersmiles Dental

More Information: N


Views: 403
Share
Share

How Your Lifestyle Affects Your Tooth Color?

For most people, naturally, white teeth are hard to come by. While genetics play a vital role in the colour and component of your teeth, some conditions and lifestyle choices can have a great influence. Some may suffer from teeth discoloration due to a number of reasons such as fluorosis, some medications, among other causes. However, some teeth discoloration can be tied to a person’s lifestyle.

How your lifestyle affects the color of your teeth

Some lifestyle choices can have an effect on the colour of your teeth. Here is how

1. Smoking

Smoking has been isolated as one of the major causes of teeth discoloration. Not only is smoking bad for your general health, but it can also greatly affect your oral health. Smoking, in particular, has been attributed to yellow or even dark teeth discoloration. The nicotine in tobacco is the main culprit in causing yellow stains on teeth. With continuous smoking, the staining will even turn darker and harder to remove.

2. Beverage choices

In a world of fast food, it is not very uncommon to come across die-hard coffee and soda drinkers who religiously swear by these beverages. Beverages such as coffee, soda, tea, and red wine can also discolour your teeth over time. Additionally, some beverages such as soda and some energy drinks are highly acidic and can erode the enamel. Once the enamel is eroded, the dentin, which is more dark-coloured or yellowish in colour, is exposed, changing the look of your teeth.

3. Oral hygiene

How you choose to take care of your oral health will determine how your teeth look. Good oral hygiene will mean brighter and healthy teeth, while poor oral hygiene will mean unsightly stained, dark-coloured, and dull teeth. Simple oral hygiene practices such as brushing and flossing your teeth regularly go a long way in securing that bright smile. It is also very important to go for recommended regular dental check-ups at your dentist for routine scaling and teeth cleaning.

4. Teeth grinding and jaw clenching

Some involuntary habits like teeth grinding can also contribute to teeth discoloration. Teeth grinding wears down the teeth enamel, exposing the dentin, which is more prone to discoloration over time. The same applies to jaw clenching. Visit Springvale Dental Clinic to learn about treatment options for these conditions/habits.

5. Environment

High fluoride levels in drinking water can also affect the colour of your teeth. If children are exposed to high fluoride levels in the developmental stage of their teeth, it may cause permanent teeth discoloration.

6. Medication

Some medications, such as antibiotics like tetracycline and doxycycline, are known to alter the enamel formation in children below eight years.

(04/30/2024)
by Linked in

More Information: https://www.linkedin.com/pulse/how-your-lifestyle-affects-tooth-colour-vijay-ramasundaram?trk=article-ssr-frontend-pulse_more-articles_related-content-card


Views: 523
Share
Share

Six Warning Signs of an Oral Health Disorder

More than a quarter of adults have untreated tooth decay, and about half have symptoms of gum disease. More than half of kids have cavities too. Prompt treatment of decay, infections, and other problems is important for preventing more serious issues, and that means you need to know what symptoms to look for.

At Pacific Oral & Maxillofacial Surgery Center in Oakland, California, Brandon Kang, DDS, helps patients get the care they need to enjoy optimal oral health and beautiful smiles at every age, using special technology to identify underlying problems. In this post, learn six common symptoms to watch out for.

1. Bleeding gums

Bleeding gums are a hallmark symptom of gum disease, a leading cause of adult tooth loss. Gum disease happens when bacteria build up along your gum line, releasing toxins that irritate your gums. 

Ongoing irritation and inflammation quickly lead to bleeding gums, especially during brushing and flossing. Ignoring bleeding gums allows gum disease to progress to a more serious stage, causing infections that dramatically increase your risk of tooth loss.

Other problems can also cause bleeding gums, including abscesses, other infections, and oral cancer. In any case, bleeding gums are never normal, and they should always be checked by our team.

2. Swollen or tender gums

Bleeding isn’t the only symptom that shows up in your gums. If your gums are swollen, sore, or especially red, that can also be a sign of an underlying problem.

While swelling and tenderness can be associated with advanced gum disease, these symptoms can also be a sign of an underlying infection or a tooth abscess, a type of infection that can quickly spread to your bones and bloodstream.

3. Tooth pain when biting or chewing

Your teeth are made for biting and chewing, so if these simple functions cause any amount of pain, that’s a sign you have a problem. It could be something as simple as a lodged piece of food that just needs a bit of expert flossing to remove. 

Or it could be a symptom of tooth decay, infection, oral cancer, or another oral health problem. Dr. Kang evaluates your tooth and the tissues surrounding it to determine the cause and prescribe the best treatment.

4. Chronic bad breath

Occasional bad breath usually isn’t anything to worry about, especially if it follows a meal of particularly odiferous foods, like garlic, onions, or coffee. When bad breath is chronic or persistent, it can be a sign of an underlying problem, like a cavity or an infection.

Bad breath is also more common among people with dry mouth, another chronic condition that happens when you don’t produce enough saliva. Dry mouth also increases your risks of decay and infection. Prescription rinses and other simple solutions can help.

5. Changes in tooth color

Teeth naturally become yellower with age, as your enamel layer wears away and reveals more of the underlying yellowish layer of dentin. But if one or a few teeth are darker than the neighboring teeth, it’s often a sign of internal tooth damage.

In these instances, a tooth may change color because of internal decay or traumatic damage to your tooth. Damage to your tooth root can also lead to a discolored tooth.

6. Tooth sensitivity

Enjoying an ice cream cone or a hot cup of coffee shouldn’t cause tooth pain. But for people with tooth sensitivity, hot and cold foods and drinks (and sometimes sugary foods) can cause significant discomfort.

Sometimes, tooth sensitivity happens because the protective layer of enamel is especially thin. But other times, cavities, tiny cracks or chips, or infections can lead to sensitivity too. Having a checkup is the best way to determine why your teeth are sensitive.

Annual checkups are the key to spotting oral health problems as early as possible. If it’s been a while since your last checkup or if you have any unusual symptoms.

(04/28/2024)
by Pacific Oral & Maxillofacial Surgery Center, Oakland, CA

More Information: https://www.pacificoms.com/blog/6-warning-signs-of-an-oral-health-disorder


Views: 522
Share
Share

Frequent Headaches? The Cause May Be in Your Mouth

Did you know that in many cases, frequent, or even constant headache pain can be treated more effectively by your dentist, instead of by your GP?

Headaches are strange beasts. Their cause is often elusive, and they can range from mildly irritating to unrelentingly painful.

Since frequent headaches can interfere with your quality of life, if you experience pain that remains after treatment from a physician, you might wish to see your dentist. After all, you may be suffering from what is called a dental headache.

What Can Trigger a Dental Headache?

Most dental headaches are classified as tension headaches, and are the result of muscular tension that builds up in the region of the face and jaw. Frequently, this tension is a symptom of malocclusion, or – to put it simply – a bad bite.

All sorts of things can cause a bad bite, including previous dentistry, orthodontics or incoming wisdom teeth. Having a bad bite essentially means the chewing surfaces of the teeth do not meet along a smooth curve when the jaw is shut. This causes the muscles in the jaw to continually overcompensate for the imbalance, resulting in pain and soreness that radiates throughout the head.

Understanding Referred Pain

This radiating of headache pain is part of why a headache can be difficult to diagnose. Because of the complex nerve structure in this region of the body, where pain is often referred from its place of origin to other locations throughout the skull, patients experiencing such pain can unwittingly steer a doctor away from a proper diagnosis by merely focusing on the localization of the pain.

So, in instances of referred pain, even though we may be experiencing discomfort in the temple region of our head, for example, the true origin of the pain may be in the musculature surrounding the jaw and the result of an improper bite.

The good news is, malocclusion can be fixed rather easily by reshaping teeth that might be too high, or by wearing an orthotic that corrects your bite over time.

TMJ and Bruxism

Two other issues we see in the dental world that can result in frequent and/or constant headaches are Temporomandibular Joint Disorder (TMJD) and teeth grinding (Bruxism). 

TMJD occurs as a result of problems with the mechanism of the jaw and its surrounding muscles, and 99% of the time is the result of an injury to the joint. Anything from whiplash to sports trauma, or even something as simple as having your mouth extended too wide for too long in your dentist’s office can trigger TMJ.

If you experience frequent “popping” or “clicking” of your jaw, particularly if you’ve ever experienced trauma in this area of your head, you’ll want to visit your dentist for a checkup. 

Lastly, Bruxism, a habit even babies can develop, can be another cause of frequent headaches. After all, grinding your teeth for hours upon hours as if you were consuming a Thanksgiving feast all night long, puts the muscles of your face through a tremendous workout without rest.

If you find that you often wake with a headache that goes away shortly after rising, you may be, in fact, grinding your teeth.

So there you have it, the story of the headache your dentist is best primed to correct.

It’s also worth mentioning that, aside from headache causes described above, headache pain can also be caused by more familiar dentistry issues like cavities, a tooth infection or an abscess. All the more reason to visit your dentist to see if that headache you’re always suffering from is actually coming from your mouth.

(05/02/2024)
by Petellin Family Dental

More Information: N


Views: 513
Share
Share

Don’t Like Dentures? Go for Dental Implants Instead!

Tooth loss can be a nightmare, and while there are many tooth replacement options available, some are not usually the best. Dentures, for instance, are only temporary and have to be removed when you have to eat. If you are looking for a more permanent tooth replacement solution, you may consider a dental implant procedure.

What is a dental implant procedure?   

A dental implant procedure is a dental surgery/ operation whereby a metal implant is embedded into your jawbone to replace a missing tooth. It is a more permanent solution to tooth loss as compared to dentures or bridges.

Types of dental implants

Single-tooth implant

A single tooth implant is usually recommended for the replacement of front teeth because the implant does not interfere with the adjacent teeth, like in dental bridges.

Multiple dental implants

For the replacement of several adjacent teeth, multiple dental implants are recommended. In most cases, two implants are installed so that no adjacent teeth are drilled to attach the dental bridge.

Full mouth dental implants

Full mouth dental implants are for people who have lost most of their teeth to give them an entirely brand new smile. These types of implants can be permanent or removable and are usually mounted on four implants or two implants, depending on how the replacement is going to be done.

What to expect during a dental implant procedure

A dental implant procedure usually happens in stages over a certain period of time, depending on your diagnosis. To have your dental implants installed at Springvale Dental Clinic, our dentist will have to do an examination before recommending the most appropriate type of dental implants for you. The process usually begins with a series of scans and/or x-rays to enable the dentist to determine the most appropriate position for your tooth replacement.

Since this is a minor surgery, the first step usually involves administering local anaesthesia to alleviate the pain during the operation. The dentist will then lodge a metal implant called a fixture into your jawbone using special instruments. You may have to wait a few months for the bone to grow around the fixture. This is to help secure the implant into your jawbone without a chance of being unstable. A foundation called an abutment is then screwed or cemented onto the implant. This will act as the connection between the dental fixture and the crown or bridge. The dentist will take a mould of your teeth to create an artificial replacement of your tooth. This is often only applicable for single tooth replacement. For replacement of more than one tooth, a dental bridge may be applied. The crown is the only part of the implant that will remain visible after the whole procedure is complete, so the dentist has to make sure that the mould resembles your natural tooth because the gums will grow around the new implant.

(04/30/2024)
by Linked in

More Information: https://www.linkedin.com/pulse/dont-like-dentures-go-dental-implants-instead-vijay-ramasundaram


Views: 384
Share