Dentists Journal

Top Ten Stories of the Week
12/7/2024

All Dentists Journal · Previous Week · This Week · All Time List · Headlines

Share

Who Knew Brushing Your Teeth Could Be Life Saving?

Our parents, our dentists and popular culture have always touted the benefits of great oral health care — brushing your teeth, flossing regularly, and visiting your dentist at least twice a year.

What a lot of people don’t realize is that good oral care extends beyond your teeth, gums and mouth. Here are some studies that suggest that good oral health can also help reduce heart disease, osteoporosis, rheumatoid arthritis, and diabetes.

Heart Disease and Gum Disease

People who have gum disease are two to three times more likely to have heart disease, according to Harvard Health Publishing, although there may not be a direct link. Harvard suggests that people who don’t follow good oral health likely don’t follow other overall good health practices, which is why there is a link between people who have gum disease (periodontitis) and people who have heart disease.

With that said, how, then, does good oral health contribute to good cardiac health? Oral health extends beyond merely brushing and flossing your teeth. It also involves decreasing your sugar intake, quitting smoking, and losing weight. There are some studies that suggest that inflammation in the mouth can cause or worsen inflammation of blood vessels. Also, an increase in plaque in the mouth has a link to plaque in blood vessels.

Osteoporosis and Oral Care

Osteoporosis is a condition that causes bones to become less dense and more brittle. It is more common among older people, and more common among women than men. One of the risks with osteoporosis is fractures.

According to the NIH’s Osteoporosis and Related Bone Diseases National Resource Center, there is a strong connection between bone loss (osteoporosis) and tooth loss. In fact, women who have osteoporosis are three times more likely to lose their teeth as well.

Does one cause the other? The NIH says that isn’t clear. There’s a link but not necessarily a cause and effect. People who do not eat good diets are more likely to experience osteoporosis and periodontitis.

Bottom line: Visit your dentist at least twice a year for regular checkups, cleanings, and X-rays. Board certified dentists are trained to identify signs of bone decay, which can be a signal of bone loss throughout the skeletal system.

Rheumatoid Arthritis and Dental Care

Rheumatoid arthritis is an autoimmune disease that causes inflammation, pain and swelling in the body’s tissues and joints.

The research here is less about whether there is a direct link or cause-and-effect relationship between RA and oral health. It’s more about how practicing good oral health is even more important for people who suffer from autoimmune diseases.

An article published on Johns Hopkins Arthritis Center explains that some medications that RA patients take can also cause some mouth ulcers and other oral problems. That is why it is very important to brush and floss your teeth, as well as use a high quality mouthwash that not only protects against plaque buildup but also contains fluoride to promote remineralization.

Bottom line: Everyone should practice good oral health, but it is especially important for people who suffer from rheumatoid arthritis (RA) and other autoimmune diseases in order to prevent the spread of infections and tooth decay. 

Diabetes and Oral Health

While poor oral hygiene does not cause diabetes, it is important for people who have diabetes or are at risk for it to step up their dental care. Why? Diabetes sufferers are at higher risk for periodontal disease. Also, diabetes slows healing, so healthy gums and teeth lessen the risk for infection or diseases that originate in your mouth.

Bottom line: If you have diabetes or are at risk for it, step up your brushing, flossing and preventive dental care. Good oral health care could be the difference between living well with diabetes and struggling with it.

Healthy Mouth, Healthy You

The American Dental Association recommends the following for your oral health:

●    Brush your teeth twice a day.

●    Floss or use an interdental cleaner (like a dental pick) once a day.

●    Add an alcohol-free mouthwash if needed, as per your dentist.

●    See your dentist twice a year for regular checkups, cleanings and X-rays.

●    Don’t smoke.

●    See your dentist if you note signs of gum disease (bleeding, swelling, tenderness, odor).

(11/30/2024)
by Pittsburgh Healthcare Report

More Information: https://www.pittsburghhealthcarereport.com/who-knew-brushing-your-teeth-could-be-life-saving-how-good-oral-health-care-can-reduce-other-health-risks/


Views: 341
Share
Share

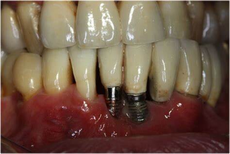
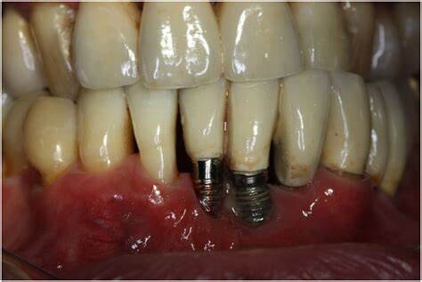
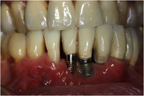
What Are the Signs of Dental Implant Failure?

Dental implant treatment is applied to obtain aesthetics and function similar to the natural tooth in cases where the natural tooth cannot be treated. Implant is a combination of the Latin words in and planto, which means to place inside. The process of placing implant teeth is called implantation.

Dental implants are among the reliable restoration methods in the prosthetic treatment of congenital or acquired jaw disorders, which are placed in place of the lost tooth or teeth. Generally, dental implants consist of three parts: titanium body, abutment and a natural tooth-like crown.

Successful treatments performed by a dentist specialised in the field of prosthetic dental treatment, with the correct treatment planning, the patient’s compliance with the physician’s warnings during the treatment process and the quality materials used can be used for many years.

Conditions such as age, genetics, systemic and oral diseases, medications, smoking and alcohol use, nutrition, pregnancy, suitability of the jawbone for the application are among the patient-dependent factors and are evaluated separately by the dentist in treatment planning. Some precautions to be taken before implant treatment increase the success of the implant after early and long-term use.

Symptoms frequently encountered in unsuccessful dental implant applications; severe and continuous toothache, infection and long-term swelling in the gums, movement of the implanted tooth to the extent that the patient can notice, inability to stay fixed in place, dislocation or fracture, gingival recession in the implanted area, difficulty and pain in biting, chewing functions, difficulty in speaking, numbness and tingling in the tongue and lips due to nerve damage caused by implants positioned at an incorrect angle close to the nerve, pain and infection due to damage to neighbouring teeth, allergic reaction to the material used.

Necessary treatments are applied to problems in the teeth, gums and jawbone caused by unsuccessful applications. If there is a loss of bone tissue, bone graft treatment is expected to be completed to improve the area. After the necessary healing process, implant treatment can be started again when the risk factors of various diseases are evaluated and the implant is ready for application.

Implant success and lifetime can be increased by taking into account the dentist’s recommendations on nutrition and oral care during and after the treatment process. After the treatment, the patient is called for controls at intervals of 3-6 months. Dental radiographic controls are performed every 18-24 months to observe the change in the implanted bone tissue.

(11/29/2024)
by Antalya Dent Smile

More Information: https://antalyadentsmile.com/what-are-the-signs-of-dental-implant-failure.html


Views: 402
Share
Share

Four Ways To Keep Up Good Dental Hygiene As You Get Older

Good dental hygiene and oral care habits are important at any age. But as you get older, you might find yourself wondering if your dental routine needs some tweaking, or if certain life changes have also caused changes in your mouth. Whether you have all of your original teeth, some of them or a full set of dentures, diligently caring for your mouth is just as important when you get older as it was when you were a kid.

1.- Fluoride Is Still Important

Fluoride isn't just for children. Even if you're over 50, it's still important to protect the surface of your teeth and ward off decay. The Mayo Clinic notes that older individuals have an increased risk for cavities, making it doubly important for you to make sure fluoride is a part of your daily routine. When brushing – twice a day – use a fluoride toothpaste. Drinking fluoridated tap water can also help you defend against tooth decay as you get older. If you are particularly concerned about cavities or have had a few as you've aged, your dentist might even give you an in-office fluoride treatment for an added level of protection.

2.- Watch Out for Dry Mouth

Although getting older doesn't necessarily make dry mouth more likely, certain features of aging, such as more regular medications or a chronic condition, can increase your risk for dry mouth – along with cavities or decay. Dry mouth can also affect the fit of your dentures, according to the National Institute of Dental and Craniofacial Research, often causing chafing between the dentures and your gums.

If you suffer from dry mouth, there are a few improvements you can make to your dental hygiene to reduce your symptoms. You can use a moisturizing mouthwash or spray, or chew sugar-free gum, which encourages the production of saliva. Another option is to use an artificial saliva product, often available from the pharmacy without a prescription. According to the American Dental Association, it contains ingredients that allow it to closely mimic real saliva.

You can also consult your doctor or dentist if your dry mouth is caused by medication. Adjusting your dose or trying a new medicine can help alleviate certain symptoms.

3.- Caring for Your Dentures

According to the American College of Prosthodontists, more than 178 million people in the United States are missing at least one tooth, and tooth loss is more likely to occur in older people. If you're among that group, it's still important to take care of those dentures just as you would care for real teeth. Use a toothpaste that is specially made for dentures, and make sure you clean them on a daily basis. You'll also want to brush your gums and tongue with a soft toothbrush to remove any bacteria and food particles from your mouth. If you have partial dentures, be sure to floss between the implants before you put the dentures back in. Your dentist can give you specific instructions on taking care of your dentures, so that they last as long as possible.

4.- Don't Forget about Gum Disease

Whether or not you have all of your real teeth, gum disease remains a big concern among older individuals. A study published in the Journal of Dental Research found that nearly 64 percent of adults over age 65 had severe or moderate periodontitis in 2009 and 2010. Albeit common, gum disease doesn't have to be a cost of getting older. Maintaining good dental hygiene and seeing your dentist regularly will help you prevent it or treat it quickly.

A healthy smile looks great at any age. Keeping up with good hygiene habits, visiting your dentist regularly and making changes to your routine as your body changes will help you keep a great-looking smile for life.

(11/29/2024)
by Colgate

More Information: https://www.colgate.com/en-za/oral-health/oral-care-age-55-up/four-ways-to-keep-up-good-dental-hygiene-as-you-get-older-1014


Views: 312
Share
Share

How Do You Fix Dentin Hypersensitivity?

Dentin hypersensitivity is a common condition caused by exposed dentin, which can result in severe, persistent pain and discomfort. Although it can affect people of any age group, it is mostly seen in people between ages 20-40.

Common triggers for dentin hypersensitivity include:

Thermal (hot or cold foods)

Chemical (sour foods)

Tactile (hard foods)

How is dentin hypersensitivity fixed?

After taking a detailed history of your condition and identifying predisposing factors, your dentist may recommend:

At-home desensitizing therapy in mild to moderate cases

In-office desensitizing therapy or clinic treatment sessions if the pain is very severe or home therapy isn’t working

Endodontic therapy in extreme cases

At-home desensitizing therapy

Your dentist may advise you to use a toothbrush with soft bristles and give you toothpaste, mouthwash, chewing gum, etc., that contain desensitizing agents such as potassium nitrate, potassium chloride, or potassium citrate. Potassium causes diffusion (transport) along the dentinal tubules (internal dentin structure) and reduces the excitability of the interdental nerve fibers by blocking the axonic action.

In-office desensitizing therapy

This therapy can provide immediate relief from symptoms of dentin hypersensitivity. In-office desensitizing agents are materials that undergo a setting reaction (glass ionomer cement and composites) and those that do not undergo a setting reaction (varnishes and oxalates).

Either of these is applied over the dentin as a replacement of the enamel and helps form a protective cover that reduces tooth sensitivity.

Endodontic therapy

This involves removing the dentin-pulp complex of the affected tooth and filling it up. It is commonly known as root canal therapy.

What causes dentin hypersensitivity?

Our teeth are covered with a hard cement-like structure called enamel, under which lies the dentin layer, which has numerous nerve endings.

If there is loss of the protective layer of enamel due to abrasion or tooth decay and the dentin is exposed, this can cause excessive stimulation of the nerve endings and lead to severe pain or discomfort.

How is dentin hypersensitivity diagnosed?

People with dentin hypersensitivity may have symptoms such as chipped or fractured enamel or tooth decay. Many complain of pain or irritation when that part of the tooth is exposed to hot or cold foods.

To assess the severity of the condition, your dentist may apply slight pressure or a jet of air on the affected tooth and monitor your response.

How can dentin hypersensitivity be prevented?

It’s important to maintain good oral hygiene on a regular basis, which can help prevent tooth decay and damage to the enamel. 

Poor hygiene, faulty brushing techniques, using a toothbrush with hard bristles, using abrasive toothpaste, and excessive scrubbing can lead to erosion of the enamel layer.

(11/30/2024)
by Medicinenet

More Information: N


Views: 431
Share
Share

Mouth Conditions That Can Cause Pain

Sometimes we experience mouth pain and we ignore it thinking its from a minor reason, but sometimes when we ignore mouth pain, it means we are ignoring major oral issues. If your pain persists for a long period you should consult your doctor. Here are some mouth diseases that can cause pain:

1. Mouth ulcers

One reason for mouth pain can mouth ulcers, a condition caused by ill-fitting dentures, fractured teeth, or fillings. The symptoms include burning mouth, facial pain, and mandibular pain. If the pain persists for more than 3 weeks it should be discussed with your doctor. Usually ulcers related to these traumas resolve within a week after removing the cause. You can use anti-inflammatory and anesthetic throat spray for temporary relief. A good mouth wash should be used to maintain oral hygiene, you can also use our home remedies.

2. Abscessed Tooth

Another painful cause of dental pain is an abscessed tooth, an infection in your tooth. If your tooth pain is keeping you awake at night it can be due to an abscess which is more than just a toothache. Those with weak immune systems often get them. The middle part of an abscess is painful when touched. You should not push your infected abscess as it forces the infection deeper into tissues. The pain can be avoided temporarily with painkillers or natural remedies, like chewing a whole clove or using a used tea bag. This condition cannot be treated with painkillers and you should see a dentist as soon as possible. Avoid very hot or cold food and drinks. A root canal is the usual recommended treatment.

3. Oral candidiasis (Thrush)

This is a fungal infection of the oral mucosa caused by poor dental health, local trauma, diabetes, severe anemia, malnutrition, deficiency of iron, folate and vitamin B12, immuno-suppression, smoking, or drug use. It causes pain when eating and drinking and alters the sense of taste. Consult your doctor regarding the pain and its possible cause.

4. Painful tongue

A sore tongue can be caused by oral thrush or anemia. If you are feeling pain on your tongue without having bitten or burnt your tongue, its recommended to see your doctor. If you wear dentures clean them as often as you would clean your original teeth. Dentures should be brushed before soaking them to remove food particles. Its important to maintain good oral hygiene.

5. Gum Gingivitis or sore gums

Painful gums may be due to inflammation of gums known as gingivitis. There are several causes including hormonal changes during pregnancy. Its important to take care of your gums and keep them healthy. You can massage your gums with your finger tip. If the pain persists consult your doctor and should treat it accordingly. Pain in gums is also caused by localized sores.

(12/02/2024)
by Positive Med

More Information: https://www.positivemed.com/2014/02/05/5-mouth-conditions-can-cause-pain/


Views: 410
Share
Share

Teeth and Gum Care

With proper care, your teeth and gums can stay healthy throughout your life. The healthier your teeth and gums are, the less risk you have for tooth decay and gum disease.

How Should I Care for My Teeth and Gums?

There are four basic steps to caring for teeth and gums:

Brushing

Flossing

Eating right

Visiting the dentist

Tips for Brushing

Brush at least twice a day. If you can, brush after every meal. Brushing removes plaque, a film of bacteria that clings to teeth. When bacteria in plaque come into contact with food, they produce acids. These acids lead to cavities. To brush:

Place a pea-sized dab of fluoride toothpaste on the head of the toothbrush. (Use a soft toothbrush.)

Place the toothbrush against the teeth at a 45-degree angle to the gum line.

Move the brush across the teeth using a small circular motion. Continue with this motion cleaning one tooth at a time. Keep the tips of the bristles against the gum line. Avoid pressing so hard that the bristles lie flat against the teeth. (Only the tips of the toothbrush clean the teeth.) Let the bristles reach into spaces between teeth.

Brush across the top of the chewing surfaces of the teeth. Make sure the bristles get into the groves and crevices.

Use the same small circular motion to clean the backside of the upper and lower teeth -- the side that faces the tongue.

To clean the inside of the bottom front teeth, angle the head in an up-and-down position toward the bottom inside of the mouth and move the toothbrush in a small circle.

For the inside of the top front teeth, angle the brush in an up-and-down position with the tip of the head pointing towards the roof of the mouth. Move the toothbrush in a small circle.

Give your tongue a few gentle brush strokes, brushing from the back of your tongue forward. Do not scrub. This helps remove bacteria and freshens your breath.

After brushing your teeth for two to three minutes, rinse your mouth with water.

Replace your toothbrush with a new one every 3 to 4 months.

Tips for Flossing

Floss once a day. Flossing gets rid of food and plaque between the teeth, where your toothbrush cannot reach. If plaque stays between teeth, it can harden into tartar, which must be removed by a dentist. To floss:

Remove about an 18-inch strip of floss from the dispenser.

Wind the floss around the middle fingers of each hand, leaving a 1-inch section open for flossing. Floss the top teeth first, then the bottom.

Place the floss in your mouth and use your index fingers to push the floss between the teeth. Be careful not to push too hard and injure the gums.

Move the floss up and down against the tooth and up and around the gum line. The floss should form a C-shape around the tooth as you floss.

Floss between each tooth as well as behind the back teeth.

Use a clean section of floss as needed and take up used floss by winding it around the fingers.

Tips for Eating Right

Eat a variety of foods but eat fewer foods that contain sugars and starches. These foods produce the most acids in the mouth and the longer they stay in the mouth, the more they can damage the teeth. Hard "sucking candies" are especially harmful because they stay in the mouth a long time.

Snacking on sugary foods can lead to tooth decay because most people don't brush after snacks. Starchy snack foods, like potato chips, stick to the teeth. Avoid snacking on:

Candies, cookies, cakes and pie

Sugary gum

Crackers, breadsticks and chips

Dried fruits and raisins

Dental Check-Ups

Visit your dentist at least once every six months. To maintain healthy teeth and gums, it's important to have regular check-ups and professional cleanings. You should also see your dentist if you have pain in your teeth or mouth or bleeding, swollen gums.

You can also ask your dentist about dental sealants. Sealant is a material used to coat the top, chewing surfaces of the teeth. This coating protects the tooth from decay and usually lasts a long time.

(12/02/2024)
by Medicinenet

More Information: N


Views: 363
Share
Share

Fixing Mouth Issues: Tips for three Common Problems

Understanding the Basics of Oral Health

Maintaining good oral health is crucial for overall well-being. Your mouth is not only the gateway to your body but also an indicator of your overall health. Neglecting oral hygiene can lead to various problems, ranging from bad breath to serious dental issues. In this article, we’ll delve into three common mouth problems and provide effective tips for fixing them.

1.- Dealing with Bad Breath

Identifying the Causes

Bad breath, also known as halitosis, can be embarrassing and impact your confidence. It can stem from various factors, including poor oral hygiene, certain foods, smoking, dry mouth, or underlying health conditions.

Effective Solutions

Maintain Proper Oral Hygiene: Brush your teeth at least twice a day and floss daily to remove food particles and bacteria that can cause bad breath.

Use Mouthwash: Rinse with an alcohol-free mouthwash to help kill bacteria and freshen your breath.

Stay Hydrated: Drink plenty of water throughout the day to prevent dry mouth, which can contribute to bad breath.

Limit Odorous Foods: Minimize consumption of foods like garlic, onions, and spicy dishes that can leave a lingering odor.

Quit Smoking: Smoking not only stains your teeth but also contributes to bad breath. Consider quitting to improve your oral health and overall well-being.

Regular Dental Check-ups: Visit your dentist regularly for professional cleanings and to address any underlying dental issues contributing to bad breath.

2.- Combatting Tooth Sensitivity

Understanding Tooth Sensitivity

Tooth sensitivity, characterized by discomfort or pain when consuming hot, cold, sweet, or acidic foods, can significantly impact your quality of life. It occurs when the underlying dentin layer becomes exposed due to receding gums or enamel erosion.

Tips for Relief

Use Desensitizing Toothpaste: Opt for toothpaste specifically formulated for sensitive teeth, containing ingredients like potassium nitrate or strontium chloride to help alleviate sensitivity.

Practice Proper Brushing Techniques: Avoid aggressive brushing, as it can exacerbate sensitivity. Use a soft-bristled toothbrush and gentle, circular motions when brushing.

Avoid Acidic Foods and Beverages: Acidic foods and drinks can wear down enamel and increase sensitivity. Limit consumption of citrus fruits, sodas, and acidic beverages.

Consider Fluoride Treatments: Your dentist may recommend fluoride treatments or varnishes to strengthen enamel and reduce sensitivity.

Use a Mouthguard: If you grind your teeth at night, wearing a mouthguard can help protect your enamel and alleviate sensitivity.

Address Underlying Issues: If tooth sensitivity persists, consult your dentist to rule out underlying dental problems such as cavities or gum disease.

3.- Preventing and Treating Gum Disease

Recognizing Gum Disease

Gum disease, also known as periodontal disease, ranges from mild gingivitis to more severe forms that can lead to tooth loss. It’s caused by bacteria in plaque, which can irritate and inflame the gums if not properly removed.

Steps for Prevention and Treatment

Maintain Good Oral Hygiene: Brushing twice a day, flossing daily, and using an antiseptic mouthwash can help remove plaque and prevent gum disease.

Regular Dental Check-ups: Routine dental visits are essential for professional cleanings and early detection of gum disease.

Quit Smoking: Smoking weakens your immune system and increases your risk of gum disease. Quitting smoking can significantly improve your oral health.

Healthy Diet: A balanced diet rich in fruits, vegetables, and whole grains provides essential nutrients for gum health. Avoid sugary snacks and beverages, which can contribute to plaque buildup.

Professional Treatment: In cases of advanced gum disease, your dentist may recommend scaling and root planing, antibiotics, or surgical intervention to remove tartar and restore gum health.

Conclusion

Maintaining optimal oral health requires a combination of proper oral hygiene practices, a healthy lifestyle, and regular dental care. By addressing common mouth problems such as bad breath, tooth sensitivity, and gum disease proactively, you can ensure a healthy and confident smile for years to come.

(12/03/2024)
by Joannah David

More Information: N


Views: 440
Share
Share

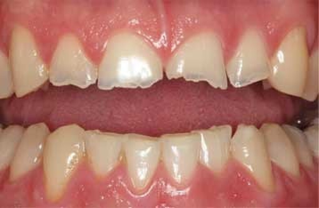
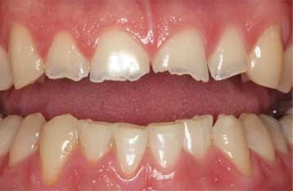
How to Manage Brittle Teeth

Did you know your tooth enamel is stronger than your bones? So, if your teeth chip or fracture easily, there's usually an underlying reason your teeth are so brittle.

It's essential to find the cause for your brittle teeth so that you can seek treatment – or at least learn to care properly for them to fortify your smile.

What Causes Brittle Teeth?

Though tooth enamel is tough, several habits and conditions can cause the enamel structure to weaken and the teeth to become brittle.

So, if your teeth are prone to breaking, it might be due to one of the following causes:

Grinding and Clenching Teeth: These habits wear away dental enamel.

Poor Oral Care: Decay, cavities, and lack of pulp can all result in brittle teeth, due to:

Inadequate brushing, which eventually destroys the tooth pulp

Overbrushing, which can erode enamel

Lack of or inadequate fluoride, which defends your teeth against all sorts of bad elements.

Nutritional Deficiencies: A range of vitamins and minerals are essential for healthy dental enamel. When your body is deficient in these essential nutrients, your teeth can weaken.

For example, research published in General Dentistry, the peer-reviewed journal of the United States Academy of General Dentistry, found that vitamin A deficiency causes tooth brittleness. And a lack of vitamin D results in poor absorption of minerals like calcium and phosphorus, which are vital for enamel strength.

The main causes of nutritional deficiencies are eating disorders and poor diets in general. Also, some medications prevent your body from absorbing nutrients.

Acids: Eating disorders can sometimes result in acid damage to enamel if a person vomits frequently or sucks on lemon wedges.

Other conditions and habits that produce enamel-weakening acids include:

Gastroesophageal acid reflux disease (GERD)

Severe morning sickness

Too much sugary food and beverages (especially fizzy drinks).

Dentinogenesis Imperfecta: In this inherited condition, the dentin doesn't form correctly, resulting in the abnormal formation of the middle layer of the teeth. This results in:

The teeth becoming discoloured

The teeth possibly becoming weaker, resulting in fracturing.

Dehydration and Dry Mouth: If your body's not producing enough beneficial saliva to clean your mouth and neutralise acids, this can cause issues leading to brittle teeth.

Ageing Teeth: When people age, the pulp and nerves supplying the teeth shrink, an article published in the University of Missouri Extension explains. This process reduces the amount of fluid moving into the tooth enamel. Dry dental enamel is weaker and more prone to breakage.

Older teeth have also received more exposure to chewing forces and acids that gradually cause thinner, more brittle enamel.

We want your teeth to be as strong and healthy as possible, so check out the available treatments for brittle teeth and learn the numerous ways you can manage your life to prevent or reduce the chances of having brittle teeth.

Brittle Teeth Treatments

Sorry to report that tooth enamel doesn't regrow. But dentists can treat brittle teeth to improve the enamel's strength. Ask your dental professional about these treatments:

Fluoride supplements and fluoride gels to remineralise teeth

Dental sealants to the chewing surfaces to protect teeth from fractures and decay

Veneers, thin shells that cover the teeth, to help prevent tooth breakage

Crowns, thicker and strong coverings for teeth, to help prevent cavities and breaks, especially after a root canal procedure.

Managing or Preventing Brittle Teeth

Fragile teeth require special care, but there are many actions you can take to achieve a healthy and attractive smile:

Ask about veneers or crowns to cover up the damage if your teeth are already chipped or fractured.

Treat causes affecting your sleep and eating behaviours with relaxation techniques, behaviour therapy, or psychotherapy. Ask your dentist and doctor to advise you on the help you deserve.

Seek medical attention for conditions that produce acid reflux or excessive vomiting.

Reduce the wear and tear on your teeth with a mouthguard to wear at night.

Talk with your doctor about your medications. Perhaps you can find substitutes that won't cause dry mouth and will let you absorb essential nutrients.

Sip water only throughout the day.

Consume a healthy diet that includes calcium-rich dairy products, plus fruit and vegetables. And avoid eating/drinking acidic or sugary foods/beverages that might damage tooth enamel.

Break your sugar habit or addiction. Need some help? The United States Cleveland Clinic offers a 10-day plan.

Brush twice daily with fluoride toothpaste on a soft-bristled toothbrush.

Brittle teeth don't have to hold you back. With a proper diagnosis of the cause, treatment and management techniques can improve the strength and appearance of your teeth – and your smile.

(12/03/2024)
by Colgate

More Information: https://www.colgate.com/en-za/oral-health/threats-to-dental-health/how-to-manage-brittle-teeth


Views: 442
Share
Share

How Many Teeth Can Be Replaced?

Losing your natural adult teeth, whether due to injury, decay, or simply the effects of aging, can significantly impact your quality of life. Your teeth play an essential role in allowing you to eat, speak, and smile properly. Fortunately, a number of tooth replacement solutions exist in modern dentistry. With the right treatment plan, it’s possible to replace multiple missing teeth or even a full set of natural teeth.

But how many teeth can you realistically have replaced through current dental treatments? What key factors determine the number of teeth you should replace? This comprehensive guide examines the tooth replacement options available, considerations for treatment planning, and what’s involved when replacing several or all of your natural teeth.

Common Tooth Replacement Procedures and Restorations

Several types of artificial teeth and tooth restorations can bring back your beautiful, functional smile:

1. Dental Implants

Dental implants are tiny titanium-alloy posts that your dentist surgically places into the jawbone, where they fuse with the bone over several months through the process of osseointegration. The implant acts as an artificial tooth root that can securely support one or more prosthetic teeth.

Implants can support three main types of tooth restorations:

Implant crowns – Individual tooth replica cemented onto an implant post.

Implant-supported bridges – Replacement teeth joined together and anchored on adjacent implants for a span of missing teeth.

Implant-retained dentures – Full or partial set of replacement teeth clipped or snapped into implants. Easier to insert and remove than fixed bridges.

Implants are considered the gold standard for tooth replacement due to their durability, natural look and feel, and long-term success rate. They also help maintain bone integrity since the implants integrate with the jawbone unlike removable dentures.

2. Dental Crowns

Crowns are tooth-shaped caps custom fabricated to fit over an existing tooth that has been prepared by filing it down. Crowns fully surround the visible portion of the tooth above the gum line to restore shape, size, and strength.

Crowns are commonly cement-retained to dental implants to replace single missing teeth. The crown essentially serves as the new artificial tooth.

3. Fixed Bridges

Traditional fixed bridges consist of artificial replacement teeth anchored to crowns cemented over adjacent natural teeth on each end. This provides a fixed non-removable prosthesis to fill a space left by one or more missing teeth.

The natural teeth supporting the bridge must be conditioned by reshaping them to serve as abutment teeth. Bridges typically require at least one healthy tooth on each side of the gap, or sometimes implants are used as anchors instead.

4. Removable Partial and Full Dentures

Removable dentures are prosthetic appliances made of durable acrylic resin that replaces some or all of the teeth with a set of artificial teeth. Partial dentures fill in areas of multiple missing teeth and have pink or gum-colored bases to blend with the gums. Conventional full dentures replace a whole upper or lower arch of teeth.

Dentures typically attach to nearby natural teeth with metal clasps and are removable by the patient as needed. Some newer partial dentures snap or clip securely into dental implants for added stability and retention.

5. All-on-4 Full Arch Dental Implants

The All-on-4 technique uses 4-6 dental implants strategically placed in the jawbone to support a full set of artificial teeth via a fixed bridge or hybrid denture. The implants bear the chewing load, avoiding the need to rely on the bone or soft tissue for support.

All-on-4 provides a full dental arch reconstruction in one visit if adequate bone volume exists. The prosthetic teeth are fixed permanently into place, providing immediate function for eating and speaking.

6. Full Arch Fixed Implant Bridges

Placing at least 6 dental implants per arch provides stability for a permanent fixed bridge of replacement teeth. The bridge is securely screwed into the implants, usually in the lab before placement. More implants means less load on each one and enhanced comfort and function.

For patients who qualify based on their bone condition, full arch bridges over multiple implants provide a highly functional and natural tooth replacement option. Maintenance is also relatively minimal compared to other restoration types.

Key Factors in Determining Teeth to Replace

Several important considerations help determine appropriate tooth replacement plans:

Your budget – Cost goes up for more implants versus removable options like partial dentures. Dental insurance may cover some procedures.

Existing oral anatomy – Need healthy natural teeth to support certain bridges. Sufficient bone volume for every implant site.

Lifestyle factors – Implants and fixed bridges usually better for more active lifestyles versus removable dentures.

Restorative goals – Fixed bridges or implants provide superior aesthetics compared to removable options. The number of teeth showing affects your smile.

Adjunct treatments – Some patients need bone grafting, ridge expansion, or sinus lift procedures to place implants.

Oral health maintenance – Keeping excellent hygiene around restorations needed to prevent complications.

Thorough planning with your dentist is required to decide the optimal tooth replacement solutions suited to your specific needs, desires, and overall health. There are often multiple excellent options in terms of treatment planning.

What’s Involved in Replacing Multiple Missing Teeth

Patients who are missing several non-adjacent teeth have various effective options for replacing them. Implants offer an excellent solution as they can be strategically placed to support crowns that fill in the gaps left by the missing teeth. Planning implant position carefully based on remaining natural teeth and tissue anatomy is crucial.

For short spans of one to three consecutive missing teeth, dental bridges anchored to healthy adjacent teeth may be an option. This assumes the supporting abutment teeth are sound. Combining bridges between certain teeth and implants to replace others in the same arch can work well.

Removable partial dentures remain a viable and affordable option to replace several missing upper or lower teeth in a row or spread apart. Modern partial denture materials and attachment systems provide a comfortable, natural, and functional restoration. Flexible partials that use thermoplastic nylon frameworks are also very comfortable and have no metal clasps.

The optimal combination of tooth replacement appliances for multiple missing teeth depends on your specific conditions. A tailored mix of options can effectively restore form and function.

What’s Required to Replace All Teeth in One Arch?

Patients who require replacement of all upper or lower teeth have various excellent options, including:

Conventional Full Dentures

Traditional complete dentures have been used for generations to replace a whole arch of missing teeth. Made of durable acrylic resin, full dentures rest on the gums and remaining alveolar bone to stay in place. Regular denture adhesives can improve retention further. Today’s denture materials provide a comfortable, natural fit and appearance.

All-on-4 Full Arch Implants

The All-on-4 concept uses just 4-6 dental implants placed at precise positions in the jawbone to support a full arch prosthesis. The implants provide immediate stability and stimulation to the bone. With adequate bone volume no grafting is required.

The replacement teeth attach via abutments to the implants which bear all the chewing load. All-on-4 provides a fixed, non-removable set of teeth in as little as one appointment if pre-fabricated components are used.

Full Arch Fixed Bridges Over Implants

Placing 6-10 dental implants per arch gives excellent support for a permanent bridge or fixed hybrid denture. More implants means less load on each one and reduced pressure on the bone. With good bone quality and volume, all upper or lower teeth can be replaced with a stable prosthesis on implants.

ull arch fixed implant restorations provide superior stability and often a better quality of life over removable options. However, higher cost is a factor, and maintenance requirements are still needed.

Frequently Asked Questions About Replacing Teeth

How many dental implants can be placed for a full arch restoration?

The number of implants that can be placed depends on available bone quality and volume at strategic locations. But generally 6-8 implants on each arch provides solid support for full mouth rehabilitation.

Can all teeth be extracted and replaced with dentures or implants in one visit?

Immediate full arch restoration is possible in select cases with advanced planning. But typically multiple visits are needed to extract teeth, contour bone, place implants, and insert prostheses over several months.

Is it better to do the upper or lower full mouth restoration first?

The maxillary arch is often prioritized first since lower teeth provide chewing force. But ensure adequate tooth replacement in both arches for proper bite alignment and to prevent bone loss.

What are the benefits of fixed implant teeth over removable dentures?

Dental implants fuse with the jawbone preventing bone loss compared to dentures. They have higher stability and retention for better comfort. And there are no restrictions on foods you can eat. However, implant procedures are more invasive and cost is higher.

Can dental implants and dentures ever be used together?

Yes, full or partial removable dentures can clip or snap onto implants for added retention and stability. These implant-supported dentures are less likely to slip and can feel more natural.

Conclusion

Losing your natural permanent teeth can negatively impact your quality of life. But modern dentistry offers many advanced replacements from single implants to full mouth restorations. With thorough planning, it’s possible to replace all or most of your teeth with comfortable, functional, and visually appealing solutions.

Implants provide the most natural and durable replacement options. Fixed implant-supported bridges and arches can effectively restore your entire upper or lower smile line. Removable partial and full dentures also remain excellent tooth replacement appliances. Combined options are also possible based on your specific needs and goals.

Consulting closely with your general dentist, prosthodontist, periodontist, and/or oral surgeon will guide you through the best options and sequence of treatment for your situation. Be sure to discuss all your concerns, desires, and expectations.

Replacing multiple teeth or even your entire set of natural teeth is a big decision and investment. But with modern techniques and materials, many solutions exist for achieving a beautiful smile you can be confident in again.

(12/04/2024)
by CDHP Dental Health Project

More Information: N


Views: 346
Share
Share

What to Do if a Dental Abscess Bursts on Its Own?

Few dental conditions are more unpleasant than abscesses, and if one bursts in your mouth, it can be both alarming and painful. It’s much better to see a dentist before it reaches this point, but sometimes it can occur because we don’t spot the abscess in time.

If this happens to you, the recommended action is to see a dentist as soon as you can, but even before this, there are certain actions you need to take – and to help you understand what they are, in this post we explain what to do if a dental abscess bursts on its own.

If you want to learn more about dental abscesses and get a preview of some of the things we’re going to be talking about, you can also watch this video before reading on.

What to Do if a Dental Abscess Bursts on Its Own The short answer

If you’re reading this because you have an abscess that’s just bust, you’re probably not interested in reading about a lot of theory – so let’s get straight to the point. Then, if you want to learn more about abscesses, you’ll find more info below.

So what should you do?

Here are the steps to follow:

Step 1. Remain calm

The first thing to remember if an abscess bursts spontaneously in your mouth is to remain calm.

It might be an upsetting experience and you may be in some pain or discomfort, but by remaining calm and in control of the situation, you will be able to take the necessary actions to resolve the immediate issues.

Step 2. Rinse your mouth

Mix up a saline solution consisting of one teaspoon of salt in a glass of lukewarm water and use it to rinse your mouth. It’s important to make sure the water is only lukewarm but not hot.

Swill the solution around in your mouth for around 30 seconds and then spit. Repeat the process two or three times to make sure your mouth is clean and the abscess has been disinfected by the saline solution.

Step 3. Manage the pain and swelling

After the abscess bursts, you may experience some pain or swelling, so your next concern should be to manage this.

The best way to do this is to apply a cold compress to the outside of your cheek where the abscess burst. This will help reduce the pain and swelling.

If the pain is more intense, you can also help to alleviate it by taking over-the-counter painkillers like ibuprofen. However, make sure you don’t take more than the recommended dose as explained on the package.

Step 4. Book an emergency appointment with a dentist

A burst abscess is considered a dental emergency, so your next step should be to book an appointment with a dentist at the earliest possible opportunity. Preferably, you should see a dentist the same day – or the next day at the latest.

If you’re finding it difficult to speak, you can ask somebody else to book the appointment for you.

Step 5. Continue to keep your mouth clean

Hopefully, you will be able to see a dentist very quickly, but in the meantime, you will need to ensure your mouth remains clean.

Continue to brush at least twice a day and preferably after meals too. You should also floss once a day.

Be careful when brushing around the site of the abscess so as not to irritate it further.

You should also use an antimicrobial mouthwash – or a saline solution if you don’t have mouthwash – to prevent the abscess from developing further infection.

Also, it’s highly recommended that you avoid smoking or drinking alcohol until after you have seen a dentist.

What is a dental abscess?

So now we’ve discussed the procedure you need to follow if an abscess bursts in your mouth, we can talk in a bit more detail about abscesses.

Let’s start at the beginning – what is a dental abscess?

A dental abscess is an infection of the mouth, face, jaw or throat that may begin as an infection in a gum, a tooth or a cavity. After the infection starts, the abscess will develop into a painful pocket of pus that is at risk of bursting in your mouth.

They are most common in people with poor dental health, and taking care of your teeth by brushing and flossing regularly can help prevent them from occurring.

Generally speaking, there are three types of dental abscess:

Periapical

This is the most common type of dental abscess and occurs when bacteria infect the pulp inside a tooth.

Periodontal

This kind of abscess occurs when bacteria infect the gums.

Gingival

This is the name given to an abscess caused by something like a food particle or a piece of broken tooth becoming stuck in the gum. This type of abscess can be extremely painful.

An important point to bear in mind is that dental abscesses don’t heal by themselves, so if you suspect you have one, you shouldn’t put off booking an appointment with a dentist because the quicker you have it looked at, the easier it will be to heal.

Treatment of a dental abscess

Treatment of an abscess will depend on the severity of the abscess and how far it has developed.

In some cases, a dentist will simply need to drain the pus and then treat the infection through the prescription of antibiotics.

However, if the abscess is more developed, the dentist may need to treat it with additional procedures, which may include root canal treatment or scaling and root planing.

(12/04/2024)
by CDHP Dental Health Project

More Information: N


Views: 413
Share