Dentists Journal

Top Ten Stories of the Week
5/29/2021

All Dentists Journal · Previous Week · This Week · All Time List · Headlines

Share

Trimethylaminuria and the Fishy Odor

Halitosis or bad breath can create embarrassing social situations for some people. Bad breath usually originates in the oral cavity, but in rare instances, it can be a systemic problem. One such cause is a genetic disease named trimethylaminuria, which is a metabolic disorder of the gastrointestinal tract according to the International Journal of Oral Science. Here’s what you need to know about the disorder and how it affects your oral heath.

Genetics

If you have this disorder, you have an inherited enzyme deficiency. Bacteria in the stomach produce trimethylamine from the precursors of trimethylamine-N-oxide and choline. It has a fishy odor, but it is normally converted back into trimethlamine in the liver by actions of an enzyme, and this by-product is typically odorless.

But if you lack the enzyme then there is an accumulation of trimethylamine, which is eventually excreted in the urine. Although much of the trimethylamine is found in the urine, it can also be found in sweat and the breath, causing an odor that has a distinct, fishy smell. The combination of this bad breath and body odor can diminish your self-confidence.

Trimethylaminuria Diagnosis and Treatment

In order to determine a diagnosis, your physician must rule out other disorders that may be causing uncontrollable body odor. In a suspected case of trimethylaminuria, a urine sample is analyzed to determine the trimethylamine and trimethylamine-N-oxide levels.

Trimethylaminuria symptoms are managed through diet adjustments, such as avoiding fish and other foods high in trimethylamine-N-oxide. Sometimes antibiotics are prescribed to attempt to correct your stomach’s flora (or bacteria). Activated charcoal can also be used to try to bind the trimethylamine in the stomach.

Effects on Your Oral Health

While there is no known or documented negative effect of trimethylaminuria on the teeth or gums, it is a potential cause of bad breath. The tongue is the area most likely to host the bacteria that cause bad breath, so a toothbrush with a built-in tongue scraper, like the Colgate® Total 360°® Flossing Toothbrush, can help scrub away this bacteria. In the end, however, don’t forget this is a medical problem that requires intervention from your dentist and physician.

To keep bad breath at bay, no matter of its origin, good oral hygiene goes a long way. Consider a daily regimen of mouthwash and toothpaste and invest in a quality toothbrush to freshen your breath and restore your confidence.

(05/24/2021)
by Beddington Dental

More Information: https://beddingtondentalclinic.com/trimethylaminuria-and-the-fishy-odor-0516/


Views: 990
Share
Share

Herpes zoster, shingles in mouth

You may have heard about shingles and how common it is. One out of every three people in the United States will develop shingles in their lifetime. Shingles is a viral outbreak triggered by herpes family called herpes zoster, which causes chickenpox. If you had chickenpox as a child, that same virus remains in your system and can reactivate later as shingles, a rash of blisters on parts of your body.

A shingles outbreak typically starts with sensitivity and a tingling or burning sensation on the skin. After a few days, the burning sensation turns into small red blisters. These blisters are highly contagious: even if a shingles outbreak begins in one part of your body, it can spread to other regions such as your mouth. Mouth shingles can be pretty worrying and painful, so you should know what it is and how to spot it so you can treat it quickly.

Can You Get Shingles in Your Mouth?

Yes, you can get shingles in your mouth—it is also called oral shingles. Once infection occurs with the herpes zoster virus, it remains in your system. Blister outbreaks may be rare or happen when you're stressed or immune-compromised. Unfortunately, these oral shingles blisters can be painful and take up to four weeks to heal. Shingles in the mouth can lead to:

Mouth sensitivity

Difficulty chewing

Fatigue

Muscle aches

Lack of appetite

Increased risk of bacterial infections

Oral Shingles Treatment

Shingles treatment can involve antiviral medications and anti-inflammatories to treat the blisters. If you're worried you have a shingles outbreak, call your primary care physician or dentist as soon as you feel a burning or tingling sensation or notice the blisters.

They may prescribe antiviral medications to treat the active viral outbreak. These medications can promote the recovery process. But they are most effective when you begin the regimen early. That's why you should seek immediate care if you suspect you may have shingles. Your physician or dentist may also recommend over-the-counter pain relievers to decrease inflammation.

Oral Care with Shingles

If you have developed new or have healing shingles blisters in the mouth, maintain proper oral hygiene so the ruptured blisters don't get infected. Be careful not to irritate the blisters with your toothbrush, which may slow healing and make them more painful. However, keep brushing your teeth and flossing daily. Your dentist may recommend an antibacterial mouthwash to keep your mouth clean to promote healing.

Shingles Prevention

Unfortunately, researchers aren't sure what exactly causes a shingles outbreak. Not every person who has had chickenpox gets shingles as an adult. Stress is also linked to blister outbreaks. Managing stress and being alert to medications that may compromise your immune system can help.

The shingles virus is common among adults, and you may not experience a shingles outbreak. But remember that if you do break out in those blisters, contact your physician or dentist, and they can diagnose shingles or another type of blister, help treat the active virus and help the blisters heal faster.

Healthcare providers or individuals over the age of 60 are at higher risk for shingles. You may choose to be vaccinated for the Herpes Zoster virus. These vaccinations are available through both pharmacies and medical offices.

(05/26/2021)
by Colgate

More Information: https://www.colgate.com/en-us/oral-health/mouth-sores-and-infections/what-to-do-with-shingles-in-mouth


Views: 842
Share
Share

3 Common Dental Issues in School Aged Children

When your children start getting their first teeth, it’s important to encourage regular brushing and flossing.

These habits started at a young age will go a long way in the prevention of multiple kinds of dental problems. But even with great oral hygiene, your school aged child can still develop some problem with his or her teeth or mouth.

Below we are going to give you three common problems to be on the lookout for.

Toothache

There are several different reasons why your child may have a toothache. These can include eruption of a new tooth, decay, infection, trauma to the tooth, grinding of the teeth, and many more.

If your child is complaining of a toothache for any reason, call your dentist. It’s better to be safe than sorry as only a dentist can thoroughly diagnose the cause. If you cannot get your child to the dentist right away try a few things to help in the meantime.

If your child has no allergies or problems taking over the counter pain relievers try medicine that contains either ibuprophen or acetaminophen.

If the mouth or teeth have been injured and the injury doesn’t warrant a trip to the emergency room, try placing a cold compress on the injured area to help reduce any swelling or pain.

If your child has pain from a cavity or if there is a facial swelling it’s very important that you DO NOT put heat on the area; this can make the situation worse. Call your dentist right away because your child may need an antibiotic to prevent spreading of the infection.

Tooth Decay

Tooth decay is preventable disease; however it still remains as the highest chronic childhood disease and is more prevalent than asthma. Decay is also known as dental cavities or dental caries and begins when the bacteria in the mouth form plaque on the teeth. The food that your child eats essentially feeds the bacteria in their mouths and spits out acid on the teeth. If plaque is left on the teeth the acids released from the bacteria can cause decay.

All children are at risk for forming decay. However, you can help prevent it by following some of the steps below.

Limit sweets and juices. Foods that are high in sugar, carbohydrates and/or starches are more likely to cause decay. It’s best to leave these items as special treats and not part of their daily nutrition.

Encourage good hygiene habits at a young age. As soon as those pearly whites come in you need to start brushing them. Brush them at least twice per day and floss the teeth as soon as they touch each other. Pay extra attention to the gum line to make sure your brushing off any plaque or food that may be retained.

Schedule regular dental cleanings and checkups with your child’s pediatric dentist. They will help give you and your child tips and pointers on how to continue to keep their mouth happy and healthy!

Canker Sores

Canker sores, also known as apthous ulcers, can be a common source of mouth pain in children.  These small ulcers are most frequently found at the base of the gums. They are typically white, gray, or yellow in color and can be quite painful depending on where it’s located in the mouth. They typical heal without issue in 7-10 days. These spots are not contagious and harmless, however it is always best to have a quick check by your child’s pediatric dentist to make sure it is not something more serious.

There is no cure for canker sores but there are some things you can do to help ease the discomfort.

Don’t eat spicy, acidic foods as these can irritate the canker sore.

There are some topical over the counter ointments that you can place over top of the sore that help numb that pain. Call your child’s pediatric dentist for a recommendation as there are several brands available.

Give your child an over the counter pain reliever if advised.

If you have questions or concerns about your child’s teeth or mouth always call their dentist. They have the knowledge and equipment in order to help child get out of pain.

(05/23/2021)
by Port Pediatric Dentistry

More Information: https://portpediatricdentistry.com/3-common-dental-issues-in-school-aged-children/


Views: 1,025
Share
Share

The Relationship between Dental Health and Dairy Products

It’s no secret that your hygiene routine is a primary factor in maintaining your teeth. For the most part, drinking enough water with your food and brushing and flossing between meals can help you avoid tooth decay.

However, did you know that while some of the foods you consume invite cavities, others can actually help fight them? Dairy is one of them.

Today’s post covers some of the benefits (and potential drawbacks) the dairy products in your diet can have on your dental health.

Dairy Fortifies Your Teeth

While it’s not exactly the same material as bone, your teeth are pretty darn close. In fact, they’re actually stronger, made of the absolute hardest tissue in the entire body – dentin. Where does dairy come in? Products commonly contain three key nutrients that help fortify those tissues over a lifetime:

Calcium. Calcium is a key nutrient in maintaining both strong bones and those pearly whites. What’s more, the calcium in the milk you drink and the cheese and yogurt you eat actually mixes with the plaque that sticks to your teeth, neutralizing the effects of the acids it creates. Dairy products are the foods that are richest in calcium.

Vitamin D. Vitamin D is the nutrient your body utilizes in order to absorb calcium, which is why dairy products are often marked “fortified” with it. Typically, with normal levels of outdoor activity (20 minutes of sunshine a few times a week) and consumption of enough dark, leafy greens, you will get the Vitamin D you need. However, supplementing your dairy is a great way to ensure maximum calcium absorption.

Phosphates. Phosphates added to the dairy you consume are responsible a number of important oral balancing acts: maintaining pH stability, fortifying calcium content, and attracting proteins and minerals that would otherwise allow bacterial growth in the mouth.

Dairy Helps Keep Your “Pearlies” White

The remineralization process from Calcium, Vitamin D, and Phosphorus occurring with the dairy you eat and drink helps keep your teeth nice and bright.

Plus, chewing your cheese encourages saliva production, which is the body’s natural way of flushing food particles away from your teeth. Not only is this process of washing away food great for reducing bacteria, anything that might otherwise stain them won’t have the chance.

Dairy Drawbacks?

There aren’t very many drawbacks to the effects of dairy on your dental health, but a few specific situations may cause unwanted trouble.

While it’s true milk can provide temporary relief from stomach acid, the fat in it can actually stimulate acid production. If you suffer from heartburn afterward, try skim or low-fat milk to see if that helps. Lactose intolerance can leave you feeling acidy, as well.

Luckily there are plenty of lactose-free options on the market today. As far as the health of your teeth, when your stomach produces too much acid, in some instances it can wind up on your teeth, contributing to tooth decay over time.

Also, as with any food containing added sugars or starch, flavored dairy products like ice cream, fruit- or chocolate-flavored milks, and yogurts are likely to negate the benefits of these products. You’re better off sticking with a given dairy product in its most natural, additive-free, state. 

Besides these special circumstances, the relationship between dairy products and your dental health can really be a secret weapon against an unhealthy mouth.

(05/21/2021)
by Dr. Leonardo Frydman

More Information: https://www.southfloridadentalcare.com/the-relationship-between-dental-health-and-dairy-products/


Views: 989
Share
Share

What is Perio Breath?

Many of us have had those days where we may eat something and our breath pays the price for it. But, sometimes bad breath could be caused by something more serious than your most recent meal.

Oral issues such as gum disease may play a role in causing bad odors within the mouth, described as perio breath. Poor oral hygiene is the typical main player in gum disease, and can affect anyone no matter what age. In addition to bad breath, some other indicators of gum disease can include swollen, tender, or bleeding gums, tooth sensitivity, mobile teeth, gum recession, and pain when chewing.

Gum disease is a progressive disease, starting off in the early stages as gingivitis. Gingivitis can lead to periodontitis, a more serious form of gum disease, which can cause irreversible damage to your gums, teeth, and the bone surrounding your teeth. Not to mention, since the oral cavity is the window to the rest of the body, periodontal disease has also been linked to other systemic diseases, such as diabetes and heart disease.

So, what exactly is causing the bad odor? Bad breath, also known as halitosis, is a result of the bacteria within the mouth that produce volatile sulfur compounds --the source of the bad smell! These sulfur compounds can be exacerbated by oral infections and gum disease. According to research published in the Journal of International

Society of Preventive & Community Dentistry, approximately 80% of patients with some degree of gum disease also experienced continuous bad breath.

On the bright side, your dentist can help you manage bad breath depending on the underlying cause. Other conditions that can contribute to bad breath include dry mouth, tobacco use, certain food diets, and other systemic diseases.

Treating periodontitis sometimes can involve a deep cleaning, also known as scaling and root planing. This involves the removal of bacteria both above and below the gumline. In some more severe cases gum surgery may be needed.

Keep up with brushing and flossing habits, in addition to brushing your tongue to keep your teeth and gums healthy. Good oral hygiene habits will help lower your risk of both gum disease and halitosis.

(05/24/2021)
by Wellesley Dental Group

More Information: https://www.wellesleydentalgroup.com/blog/2020/01/whats-perio-breath#:~:text=Oral%20issues%20such%20as%20gum,anyone%20no%20matter%20what%20age.


Views: 925
Share
Share

Translucent Teeth: What Causes Them and How to Fix It

Have you recently found that the edges of your teeth have begun to look transparent? This can be a bit concerning when noticing it for the first time. To learn more about this somewhat common phenomenon—and how to fix it—check out these answers to patients’ most frequently asked questions.

1. Why do my teeth appear translucent?

Did you know that your teeth are comprised of multiple layers? The outermost layer is the protective shell known as the dental enamel, which is actually semi-translucent. The secondary layer is called your dentin—this can be off-white, grey, or even yellow. Together, these two layers make up the color of your teeth. The dentin layer, however, does not extend all the way to the edges of your teeth. This causes the edges to look translucent if your dental enamel wears away and loses its color.

2. What causes my dental enamel to break down?

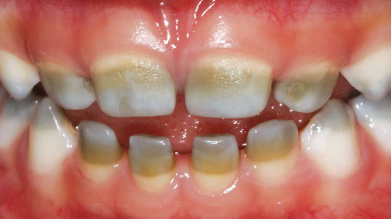
Dental enamel can break down for a number of reasons. The most obvious reason would be acid erosion, which is often a result of exposure to certain foods and beverages. Acid erosion can also result from stomach acid due to heartburn, acid reflux, morning sickness, or bulimia. Translucency of the teeth is also a surprising symptom of Celiac disease, as this condition can result in poor enamel development. Finally, you could also experience translucency as a result of Enamel Hypoplasia. This condition impacts the earliest stages of enamel development and causes your tooth enamel to lose minerals, giving your teeth the appearance of translucency.

3. How does this affect my oral health?

While the aesthetic appearance of translucent teeth may be your primary concern, it is also important to consider other oral health issues that can be associated with teeth translucency. Unfortunately, the wearing of your dental enamel can lead to tooth sensitivity, making it difficult to consume hot or cold beverages and foods. It can also make your teeth more susceptible to damage—even from your daily brushing routine!

4. Is there any way to prevent translucency from worsening?

While it isn’t possible to prevent conditions like Enamel Hypoplasia and Celiac disease, you can manage the effects of acid erosion. For starters, you can avoid consuming too many highly acidic foods and beverages, including citrus fruits, soda, and even coffee. If you do consume something acidic, remember to rinse your mouth out with water afterwards. Be sure to visit your doctor regarding other health conditions that cause acid erosion as well.

5. Is there any way to repair translucent teeth?

You’re in luck! There are quite a few ways that your dentist can help you with this condition. Cosmetic dentistry treatments—including veneers and bonding— can transform the appearance of your teeth entirely. Enamel remineralization is another option, in which your dentist fills the pores of your teeth with a combination of minerals that restore the whiteness and strength of your teeth.

(05/27/2021)
by Sunrise Dental Care

More Information: https://www.sunrisedentalcare.com/blog/translucent-teeth-what-causes-them-and-how-to-fix-it/


Views: 1,594
Share
Share

How an Alveolar Fracture Can Occur in Sports

Playing sports has many benefits, especially for children – physical fitness, positive self-esteem, and teamwork, to name just a few. The downside to sports at all levels, though, is the threat of injury. As minor as bumps, bruises, and sprained ankles, injuries can also be as major as broken bones and dental emergencies.

One such dental emergency is a fractured alveolar bone. Commonly known as the tooth socket, an alveolar bone that’s broken can lead to teeth misalignment and tooth loss. Since the alveolar bone might not be on your radar, let’s learn more about it, as well as:

What can lead to an alveolar fracture

How to protect your mouth (and your kid's mouth) during sports activities

What’s the Alveolar Bone?

The alveolar bone’s main function is to secure teeth to the maxilla and mandible (the upper and lower jaws). Also called the alveolar process, it’s actually two plates – or alveolar ridges – of a bone set in your jaws. The bone helps keep your teeth in their proper places by encasing each tooth's roots.

An alveolar fracture is a displacement of the bone, which research shows can be difficult to diagnose at a glance. So, it's in your best interest to seek a medical or dental evaluation if you experience a blow to the mouth.

An alveolar ridge fracture can also be quite obvious, with the teeth and gums appearing to be pushed back – and bloodied. This usually requires an emergency room visit.

If a tooth is knocked out, the alveolar bone can easily be reabsorbed, causing the tooth socket to close up. That’s why seeking treatment quickly is essential. If a misalignment occurs – whether mild or severe – you’ll do the right thing by getting treated immediately, as well.

What Causes an Alveolar Bone to Break?

When playing sports, a high-speed object or another athlete can impact the right (or wrong) spot against the gumline to cause an alveolar fracture. The impact might occur during such sports-related contact as:

Football tackles

Hockey body checks or being hit by a flying puck

Pitched or thrown baseballs– or an errant bat

Hits by lacrosse, field hockey, and ice hockey sticks

Basketball, rugby, volleyball, and soccer collisions or headbutts

Wrong moves in martial arts and wrestling

Boxing punches

Of course, some impacts are traditional elements of contact sports. But other blows to the alveolar bone can result from a wayward elbow, foot, or head.

How Can I Protect the Alveolar Bone?

It might surprise you to know that among college athletes, basketball dental injuries topped those suffered by football teams, according to research published in the journal Sports Health.

The conclusion: Football’s mandate to wear mouthguards saves football players’ oral cavities.

Amateur contact sports that involve speed and/or flying objects (including body parts) usually require mouthguards and helmets or faceguards. While other sports encourage other types of injury protection – padding, gloves, shin guards – there’s no mandate for the two protection items proven effective in preventing contact sport dental injuries. And, really, don’t most sports involve some contact?

So, take charge of your and your child’s dental health by investing in mouthguards to wear during sports activities. Your dental professional can create customized mouthguards that fit for optimum protection. And don’t forget helmets for football, baseball, boxing, cycling, hockey, and any sport where there’s a chance of facial or dental injuries.

Alveolar fracture treatment can involve wearing a splint for weeks, getting dental implants, or undergoing surgery (and all of its complications). But you can save yourself the pain, expense, and hassle of these treatments by wearing a mouthguard and helmet to avoid a broken alveolar bone.

Now that you’ve gotten to know an essential bone in your mouth, you can see why it’s important to protect it during various sports activities. And by preventing alveolar fractures, you can continue to reap the benefits of sporting life.

(05/21/2021)
by Colgate

More Information: https://www.colgate.com/en-us/oral-health/dental-emergencies-and-sports-safety/how-an-alveolar-fracture-may-occur-in-sports


Views: 956
Share
Share

Detecting Dental Issues in Elderly or Specially Needed Family Members

It is very difficult to manage the oral and dental hygiene of a close friend or relative and family member who cannot manage it himself or herself. For most people it is a very awful experience to have a close look into somebody’s mouth, even it it’s a loved one. But it is very necessary since, old people and people with special needs need support to ensure good oral hygiene and maintain dental health. This blog provides some easy to follow tips to what to look for and when to visit a dentist incase you are looking after an aged family member or a person with special needs.

At our clinics wherever we treat an aged patient or a patient with special needs, the first thing we check is if the patient has the capacity to consent for treatment. What it means is that this person can do the following:

Understand the pros and cons of the treatment being proposed

Remembers the information and patient education long enough to make a decision.

Express his/her decision

He/She will cooperate with the treatment.

A general rule to check the above is that if someone allows another person to brush his/her teeth then he/she may in most scenarios sit through most simple dental treatments. However, people who will not let anyone brush their teeth will be very difficult to manage on a dental chair and in most cases could be treated after they have been put to sleep with a general anaesthetic.

As a policy we do not administer general anaesthetic at Sabka Dentist Dental Clinics and usually refer a patient like the above to a hospital.

Here we will try to provide some insights on what to look for, how the problems can be treated and other things that one needs to consider.

Broken teeth: Teeth could break due to a number of reasons. They can have decay, which, when advanced enough, will cause cavities (holes) to form. Over time these holes will grow and, if they get big enough, the whole top of the tooth can break off, leaving just the root sticking out of the gum. Some people grind their teeth causing them to wear away or fracture. Fillings, despite what we in the dental world would like to believe, don’t tend to last for ever. When they fall out, they can leave the tooth looking broken. Finally, if someone falls over and hits their face, they may break a tooth from the impact. Generally, it is a good idea to get a broken tooth checked out by a dentist. If the person can make it into a dental surgery and cooperate with treatment – then there is often a lot we can do for them. If they have to be checked at home we are more limited in what we can do. We can smooth off rough edges to stop them cutting the cheeks or tongue and we may be able to patch up holes, but if the tooth is decayed, we will most likely only be able to slow down the rate of decay, rather than stop it. For people who cannot cooperate with any treatment awake, we have to ask if the dental problem is causing them pain? Is it making it difficult for them to eat? The answers to these questions can then be weighed up against the risks of a general anaesthetic.   

Loose or moving teeth: Seeing a tooth wobble about when you touch it can be a bit of a shock, but it is more common than you might realise. Adult teeth can be wobbly (or mobile which is a term most dentists use) for a number of reasons.

Gum disease (also known as periodontitis) can cause the bone that holds teeth in place to be lost. Over many years this will make teeth loose. Unfortunately, by the time the teeth are getting wobbly, much of the damage has already been done and the bone, once it has been lost, is unlikely to ever come back. It may be possible, with treatment, to get the teeth to firm up a little bit – but this would require the person’s teeth to be kept exquisitely clean, every day, for the rest of their lives. In some cases one has to ask whether this is a realistic prospect.

Overloading can be another reason why teeth become loose. An adult with a full set of teeth will have 14 or 16 teeth per jaw (depending on whether they have wisdom teeth) and the load placed on them when you bite together is spread across them all. Now imagine someone who has lost many teeth and now only has 5 or 6 left. The remaining teeth still have to take all of that load. It should not come as a surprise that this can make them a little wobbly. The good news is that this may not be a problem, and, provided they are kept clean, those teeth may keep going like that for many years.

Finally, infection is another common cause for teeth becoming loose. Generally these teeth will be sore to touch and may have a swelling or boil in the gum.

Dentures: Dentists usually quote that “Dentures are not a replacement for teeth. Dentures are an alternative to having no teeth”. This is important to bear in mind when you set your expectations for what is essentially a lump of plastic to behave exactly like natural teeth. That being said, dentures can be wonderful – giving people back their smile and perhaps helping them chew food a little better. Dentures, however, have a terrible habit of getting lost. One useful tip, if you’re ever having dentures made for a loved one, is to make an extra pair. Another tip would be to neverwrap a denture in a tissue. There have been plenty of cases where people have had their dentures accidentally thrown away because somebody thought it was waste. People will often complain that their dentures have become loose over time and have started to rub. This is generally because, over time, the shape of our mouths change – especially if we have lost teeth. In these cases, if the denture is otherwise fine, it may just need re-lining to make it fit a little more snugly. This is a relatively simple procedure. 

Ulcers: Mouth ulcers can be caused by a wide variety of things and, whilst they are normally not too serious, they can be very painful. It is certainly worth arranging for a dental checkup if they are affecting the person’s quality of life. If a single ulcer lasts more than 3 weeks, you should definitely arrange for an urgent check to make sure it isn’t anything more serious.

Pain: If your loved one is finding it more difficult to eat than usual and you suspect it is a mouth or tooth problem, please arrange for an urgent appointment for a Dental Checkup. The same can be said if they are reporting or displaying signs of unusual distress or pain that appears to be coming from the mouth. Swollen faces warrant an urgent appointment.

This should cover all the most common problems you may encounter. We hope this blog has been useful 

(05/22/2021)
by Dr. Preethi Nagarajan

More Information: https://sabkadentist.com/identifying-dental-problems-in-loved-ones-who-are-old-or-have-special-needs/


Views: 1,099
Share
Share

Hemangioma of the lip a purple spot on the lip

Lip Hemangiomas. This common lip discoloration is often caused by minor trauma such as that occurring at a dentist office, or even just biting your lip.

But there are various potential causes of a purple spot on your lip. Some of them are benign (not threatening to your health), while others could be signs of something more serious. The following list of conditions could help you narrow down what's behind the discoloration you're experiencing, but be careful not to self-diagnose – a healthcare professional is best-suited to diagnose and treat your condition. Some of the most common causes of a purple spot on the lip include:

A broken blood vessel, blood blister, or bruise

The purple spot on your lip could be the result of an impact, or perhaps you bit your lip, causing it to bruise. If you have a bruise on your lip, your purple spot should go away in a matter of days. If it doesn't, the condition could be something else. Contact your healthcare professional for an appointment.

Venous Lake

A venous lake is the swelling of a vein under your skin, tends to affect the elderly, and can show on your lip, ears, or face.

The cause is unknown, but it's believed to be associated with sun exposure. According to the American Osteopathic College of Dermatology, venous lakes are benign and don't cause pain or other symptoms. Treatment is typically for cosmetic purposes and includes light electrocautery, laser ablation, liquid nitrogen cryosurgery, or, more rarely, surgical removal.

Allergic Reaction

Certain foods, lipstick or chapstick, or another item that you're allergic to could have come into contact with your lip, causing it to turn purple. In most cases, an allergic reaction will go away on its own. If you're experiencing other symptoms like difficulty breathing or swallowing, get immediate medical attention.

Lip Cancer

According to Memorial Sloan Kettering Cancer Center, lip cancer is the most common oral cancer. Tobacco products, excessive alcohol consumption, and sun exposure all increase your chances of getting lip cancer. If you think you may have lip cancer, visit your healthcare professional for diagnosis and treatment right away. Catching this disease early increases your likelihood for successful treatment, whether your doctor recommends surgery or radiation.

If you've noticed a dark spot on your lip, or any other changes to the skin on your lips, it's always a good idea to see your healthcare professional for diagnosis. It may be a benign condition that will go away on its own, but if it's something more serious, you'll be happy to catch it early so you can begin treatment right away. 

(05/25/2021)
by Essence Medispa

More Information: https://www.essencemedispa.com/blog/hemangioma-of-the-lip-purple-spot-on-the-lip


Views: 5,348
Share
Share

Wearing Retainers After Braces: What to Know

Retainers are custom devices designed to hold your teeth in place. They’re often prescribed after orthodontic treatment, such as braces, to keep your bite in place after it’s been reshaped or corrected.

Wearing a retainer can be irritating, but it’s a mild inconvenience compared to having to go through having braces all over again.

This article will cover the basics of wearing your retainer, including how long you have to wear it every day, and how to keep it clean.

Types of retainers

There are three types of retainers that orthodontists prescribe after you’ve had your braces removed. Both types are prescribed to keep your teeth from moving and to settle them permanently in their new place.

Bonded retainer

The first type is called a bonded retainer. It’s attached to your teeth after your braces are removed to keep them in place for the first few months after treatment.

A bonded retainer is recommended if you need to wear your retainer at all times as a follow-up to orthodontic treatment.

Hawley retainer

The second type of retainer is the removable kind. Hawley retainers, also called wire retainers, can be taken out for cleaning and for eating meals.

Having a removable retainer doesn’t mean it’s any less important for you to wear your retainer and follow your orthodontist’s instructions.

Clear plastic retainer

The third type of retainer is another removable kind. Also called a molded retainer, it’s designed to mold to and fit the new position of your teeth perfectly.

Clear plastic retainers have become popular in recent years because they’re virtually invisible and more likely to be worn. This retainer isn’t the same thing as Invisalign, which is used to straighten teeth, not prevent them from moving out of position.

As for wear and use, be sure to follow your orthodontist’s instructions.

How many hours per day do you need to wear a retainer?

If you have a bonded retainer, you’ll be wearing it all day and all night. But if you have a removable retainer, the rules are a little bit different. You may receive different instructions depending on your specific treatment needs.

The typical guideline for a removable retainer is to wear it full time, except for mealtimes and cleanings, for the first 4 to 6 months after your braces are removed, according to the Canadian Association of Orthodontists.

How long do you need to wear a retainer after getting your braces removed?

According to the 2010 survey mentioned above, over 58 percent of orthodontists prefer to prescribe removable retainers after treatment with braces is complete.

Most of the respondents recommend wearing these retainers every day for 9 months and then dropping down to nightly wear after that.

You never stop needing to wear a retainer, though you may need to replace your retainer after a couple of years.

What happens if I don’t wear my retainer?

Throughout your life, your teeth move. If you’ve had braces already, you’re familiar with the fact that the location of your teeth in your mouth is subject to change according to factors such as your age and wearing orthodontic appliances.

Just because your orthodontic treatment is finished doesn’t mean that your teeth are going to stay in place.

If you don’t wear your retainer according to your orthodontist’s instructions, your teeth will tend to shift back into their old placement. This is known as relapsingTrusted Source. If you don’t wear your retainer, you may need orthodontic intervention again within 10 years, or even sooner.

If you try to skip wearing your retainer for a couple of weeks or months, your teeth may shift, and your retainer may not fit your teeth properly anymore.

Wearing a retainer according to your orthodontist’s instructions is essential to maintaining the results of your braces.

Your instructions will vary according to your specific needs. Some people need to wear a retainer all day, every day for 4 months, while others will be instructed to wear theirs for 12 months.

Almost all orthodontists instruct that you use some form of retainer each night, indefinitely, after your braces have been removed.

While a lifelong commitment to your retainer may be intimidating, it’s important to preserve the investment of orthodontic treatment.

(05/27/2021)
by Health Line

More Information: https://www.healthline.com/health/retainers-after-braces#takeaway


Views: 998
Share