Dentists Journal

Top Ten Stories of the Week
6/5/2021

All Dentists Journal · Previous Week · This Week · All Time List · Headlines

Share

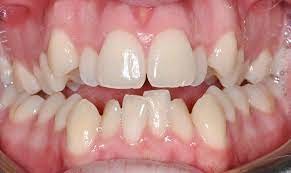
Untreated Alignment Problems Can Affect Your Oral Health

Different issues can affect the quality of a person’s smile. Dull, discolored teeth can be a concern, as can problems with dental damage or wear and tear. If your teeth are poorly aligned, you may find yourself upset because of gaps and overlaps that interfere with the way you look. If you have held off on orthodontic treatment, you should know that you are postponing more than just cosmetic dental improvements. By straightening your teeth, you can also reduce pressure on your jaw, and lower your cavity risk! Your Bellaire, TX dentist’s office can talk to you about your options for treatment.

What Kind Of Problems Can Crooked Teeth Cause?

If your teeth are crooked, your bite can be adversely affected. Over time, an uneven bite can demand too much from certain teeth, leading to premature wear and tear. The problem can also cause your jaw joints to experience discomfort, which can lead to TMJ dysfunction. As a result, you can experience frequent pains in your face, neck, and head, as well as trouble with teeth grinding.

Teeth that are too close together can be harder to clean, as they create spaces where it is difficult to effectively clear away bacteria and food debris. If this problem is not corrected, you can face a higher cavity risk.

Addressing Problems With Poor Dental Alignment Through Orthodontic Care

Orthodontic treatment can help you improve the way you look, while also making positive changes to your oral health. There are several approaches to treatment that can be advised. Traditional bracket and wire braces are useful for adjusting serious alignment issues, and they can lead to dramatic changes. If you feel self-conscious about the way you might look with braces, you can discuss lingual braces, which are affixed to the back of teeth, not the front.

It can be possible to make changes to the alignment of your smile through clear aligners. Clear aligners are removable, and hard to see, making them popular with people worried about the intrusion of orthodontic appliances in their lives. Your dentist can talk to you about what to expect from this treatment, if you are approved.

Keeping Up With Dental Care To Preserve Your Best Smile

If you want to maintain your best and healthiest smile, keep up with oral health exams. Your dentist can observe how problems like poor dental alignment might be affecting your well-being, and recommend an appropriate response.

(06/01/2021)
by Contemporary Dental and Orthodontics

More Information: https://contemporary-dental.com/2019/01/untreated-alignment-problems-can-affect-your-oral-health/


Views: 941
Share
Share

Can A Sinus Infection Cause Bad Breath?

You already don't feel your best, and then you notice (or someone mentions) that you have bad breath. Did you know that bad breath can be a telltale sign of a sinus infection? It’s true. That’s what happens when you have sinus drainage in the back of your throat. It’s not pleasant, but it is treatable and when the infection is gone, so is the bad breath associated with it. Here’s what you should know and can do.

What Are Sinus Infections?

Sinus infections occur when there's a fluid build up in your sinuses. Germs grow. Colds, allergies, smoking, or exposure to second-hand smoke, a weak immune system, and structural problems in the sinuses can all cause sinus infections. Symptoms include; a runny and/or stuffy nose, facial pain or pressure, headache, postnasal drip, sore throat, cough, and bad breath. Acute sinusitis lasts less than four weeks, whereas chronic sinusitis may last longer than three months.

How Do Sinus Infections Make Bad Breath?

The mucus in infected sinuses smells bad. Infected mucus drips out of the sinuses and down the back of the throat, where it meets the air you exhale, and the odor from the infection transfers to your breath.

How Do You Treat A Sinus Infection?

Many acute sinus infections clear up on their own. Symptoms can be soothed with over-the-counter (OTC) treatments such as antihistamine tablets, nose sprays, acetaminophen, and throat lozenges. Avoid using nasal decongestants for longer than three to five days. Drink plenty of (hot) liquids, use a humidifier and spray nasal saline as needed.

According to the Mayo Clinic, you should schedule an appointment with your doctor if you are experiencing sinusitis symptoms for more than ten days. He or she may prescribe antibiotics. Talk to your doctor if you get sinus infections often. He or she may want to do additional tests to find out why.

How Do You Get Rid Of Bad Breath Due To A Sinus Infection?

You can help improve the smell of your breath by brushing twice a day with a fluoride toothpaste.

If you feel under the weather and are experiencing upper respiratory symptoms and having issues with bad breath, check with your physician to see if a sinus infection is the cause.

(06/02/2021)
by Colgate

More Information: https://www.colgate.com/en-us/oral-health/bad-breath/sinus-infection-and-bad-breath


Views: 750
Share
Share

What are tonsils and adenoids?

Your tonsils and adenoids are part of your immune system. They’re similar to the lymph nodes found throughout the rest of your body.

Your tonsils are located in the back of your throat. They’re the two round lumps of tissue you see when you open your mouth wide. You can’t easily see your adenoids, but they’re found in the upper part of your nasal cavity.

Read on to learn more about how your tonsils and adenoids function and why some people have them removed.

What are their functions?

Both your tonsils and adenoids help to trap pathogens, such as bacteria or viruses, that enter your mouth or nose. They contain immune cells that produce antibodies that kill these pathogens before they can spread to the rest of your body.

Your adenoids are also covered by a layer of mucus and hairlike structures called cilia. The cilia work to push nasal mucus down your throat and into your stomach.

In addition, your tonsils and adenoids continue to grow until you’re between the ages of 3 and 7. Then, they start shrinking as you approach your teenage years. They may almost completely disappear in many cases.

What causes enlarged tonsils and adenoids?

Tonsils and adenoids often become enlarged or inflamed when they’re fighting a pathogen. However, some children have enlarged tonsils and adenoids without any underlying cause. Experts aren’t sure why this happens, but there may be a genetic link.

When your tonsils and adenoids are enlarged, you may have other symptoms as well, such as:

voice changes

trouble breathing through your nose

loud breathing or snoring

trouble sleeping

a runny nose

Underlying infections that can cause enlarged tonsils and adenoids include:

bacterial infections, such as strep throat

viral infections, such as mononucleosis or the flu

Tonsillitis and peritonsillar abscesses can also be caused by complications of these infections.

Non-infectious things can also irritate your tonsils or adenoids, causing them to enlarge. These include:

tonsil stones

tonsil cancer

allergies

gastroesophageal reflux disease

Why and how are they removed?

Sometimes, tonsils or adenoids should be removed. This is usually due to:

recurring tonsillitis

blockages that cause snoring or sleep apnea

tonsil cancer

While your tonsils and adenoids are your body’s first line of defense against many pathogens, they aren’t the only ones. Having your tonsils or adenoids removed, especially as an adult, usually doesn’t have much of an impact on your immune system.

The procedure itself is usually straightforward and done on an outpatient basis. You’ll be placed under general anesthesia while your doctor removes your tonsils, adenoids, or both. Following surgery, you might have some pain and inflammation for up to two weeks. Your doctor will likely prescribe some medication to help with the pain as you heal.

In the days following your procedure, you’ll need to stick to cold, soft foods, such as ice cream or yogurt. It’s also best to try to rest as much as possible for at least a week to reduce your risk of bleeding.

The bottom line

Your tonsils and adenoids are components of your immune system. They help trap pathogens that enter your nose and mouth. They often enlarge in response to irritation or an infection.

If your tonsils or adenoids are frequently infected or causing other symptoms, you may need to have them removed. This is a very common procedure, and most people can return to their usual activities about a week after surgery.

(06/03/2021)
by Healthline

More Information: https://www.healthline.com/health/tonsils-and-adenoids#takeaway


Views: 749
Share
Share

Reasons why eating ice does more harm than you know!

Pagophagia is the medical term for compulsively consuming ice or iced drinks. Children and pregnant women often experience this, but it can occur in anyone.

Many people who want to cool down or feel refreshed chew on ice or add it to a drink. Sucking on ice cubes can also help relieve dry mouth.

However, continually consuming ice, freezer frost, or iced drinks can indicate an underlying condition that needs medical attention. It can also damage the teeth.

Read on to discover the possible causes of ice cravings and the available treatments.

When a person compulsively craves and consumes ice, the medical term for this is pagophagia. It is a rare form of an eating disorder called pica.

People who experience pica may:

have depression

have a learning disability

be autistic

have schizophrenia

Pica can also affect children who have experienced stress, neglect, or abuse.

A person with pica may have compulsive cravings for nonfood items, such as hair, dirt, chalk, paint, charcoal, or clay.

If these cravings are persistent and last for longer than 1 monthTrusted Source, see a doctor, as medical attention may be necessary.

Pica is common in children and pregnant women, but it can develop in anyone.

Iron deficiency anemia

Some researchers have suggested a link between iron deficiency anemia and craving ice, but the underlying reasons remain unclear.For example, according to one study, around 4% of participants without iron deficiency anemia experienced compulsive ice chewing, while 56% of those with anemia had the experience.

People with anemia have low levels of red blood cells, which are essential for carrying oxygen around the body. In people with iron deficiency anemia, a lack of iron is responsible for the low levels of these cells.

A person with any form of anemia may experience:

fatigue

pale skin

dizziness or lightheadedness

heart palpitations

breathlessness

chest pain

a swollen tongue

cold hands, feet, or both

One study that looked at people with iron deficiency anemia found that 13 of the 81 participants had symptoms of pagophagia. Taking iron supplements eliminated ice cravings in some of these individuals.

Other research suggests that iron supplementation may also provide relief from other pica symptoms.

One theory about the link between anemia and pagophagia is that chewing ice makes people with iron deficiency anemia feel more alert. In a 2014 study, people with iron deficiency anemia who chewed ice performed better on tests for attention and response time.

The researchers suggest that the coldness might increase blood flow to the brain by constricting blood vessels or activating the nervous system.

Pregnancy, menstruation, and breastfeeding

Iron deficiency anemia may develop during pregnancy, menstruation, and breastfeeding. ResearchersTrusted Source note that during these times, people have an increased risk of compulsive ice cravings.

Emotional stress

Some people chew on ice to help cope with emotional stress.

In one case studyTrusted Source, for example, a woman’s ice cravings appeared with stress related to her son’s education and continued after that.

There may also be links between pagophagia and obsessive-compulsive disorder (OCD). People with OCD experience compulsive behaviors, obsessive thoughts, or both.

Nutritional problems

Underlying dietary issues can exacerbate cravings for ice.

Because it is common to add flavored syrups to shaved ice, cravings for ice may, in fact, be sugar cravings. It is important to eat flavored ice only in moderation, due to its high sugar content.

Dehydration

Mild dehydration can lead to ice cravings. Sucking on ice cubes can cool the body, quench thirst, and moisten dry lips. The symptoms of mild dehydration are thirst and darker-than-usual urine.Anyone who is experiencing symptoms of more severe dehydration, such as dizziness and confusion, requires treatment. This issue can lead to seizures and be life threatening.

Complications

Eating ice is not usually dangerous. However, depending on how frequently the consumption occurs and the underlying cause, a person may be at risk of:

Dental and oral issues

Consuming a lot of ice can damage tooth enamel and cause cracks or chips in the teeth. This can lead to further problems, such as increased sensitivity to temperature and oral pain.

In one case report, doctors related that a person who had chewed 30 ice cubes or more each day for over 20 years — using the teeth on the left side — experienced changes in the jaw and cavities on that side only.

People who continually chew ice may need dental work for cavities, including replacing lost fillings.

(05/28/2021)
by Medical News Today

More Information: https://www.medicalnewstoday.com/articles/321999#complications


Views: 786
Share
Share

5 Sneaky Dental Issues That Might Mean Big Trouble

1. Consistent bad breath

Aside from scaring away friends and family, your not-so-minty-fresh breath could be an early sign of gum disease, says Dr. Cram. Gum disease is particularly sneaky because it doesn’t cause pain in its early stages, so most people who have it may not realize it until lots o’ damage has already been done. Luckily, it doesn’t involve some torturous procedure to reverse. Just put a little more time and effort into brushing and flossing daily.

2. Red, swollen or bleeding gums

If your gums continue to swell or bleed despite your best brushing and flossing efforts, our experts say there’s a possibility you could be dealing with diabetes. So, if your pesky gum problems persist and you’re noticing other diabetes symptoms like extreme thirst or hunger, fatigue or blurry vision, go see your doc ASAP.

3. Stubborn tongue pain

Obviously if you down hot soup too fast or bite your tongue it’s going to be a little sore, but prolonged pain in the tongue or throat (more than two weeks) is one of the most common early signs of oral cancer, says Dr. Cram. Next steps: Monitor those symptoms and look out for any sores, lumps or lesions that won’t disappear. Pass that two week mark and to the doctor you go.

4. Spots or sores out of the blue

If clusters of tiny white spots have started popping up around your lower molars — womp, womp — you might have a viral infection in your near future, Dr. Froum says. Called “Koplik spots,” these little sores have developed a reputation as a highly predictive sign of measles. Tack on other symptoms like a fever, cough or runny nose, and you may be a few days away from that itchy measles rash. (Alas, you guessed it, a doctor’s visit is required.)

5. Hefty tooth discoloration

As tempted as you might be to blame yellow teeth on your coffee addiction, you might be looking at the wrong culprit: If your teeth have turned a shade of black or brown, it could mean you’re dealing with some deep-rooted tooth decay, Dr. Froum says. The solve: You might need to get a cavity filled — or (shudder) undergo a root canal treatment.

(05/31/2021)
by Jarman Dental

More Information: https://www.jarmandental.com/5-sneaky-dental-issues-might-mean-big-trouble-2/


Views: 895
Share
Share

6 Gross side effects of chewing gum

Chewing gum may increase your junk-food intake.  Many people chew on a stick of gum to reduce food cravings and, theoretically, help them avoid eating unhealthy foods. However, while research shows that chewing gum reduces your motivation to eat, your hunger and how much you end up eating, gum chewers’ meals end up being less nutritious than those eaten by non-gum-chewers.

For instance, people who chewed gum were less likely to eat fruit and instead were more motivated to eat junk food like potato chips and candy. This is likely because the minty flavor in the gum makes fruits and vegetables taste bitter.

It may trigger TMJ (Temporomandibular Joint Disorder) in your jaw.  Chewing gum can cause jaw muscle imbalance (if you chew on one side more than the other) and even TMJ or temporomandibular joint disorder in your jaw, which can be a painful chronic condition. Anytime you overuse a certain set of muscles, it can lead to contracted muscles and related pain, including headaches, earaches, and toothaches over time.

It may create gastrointestinal problems.  Chewing gum causes you to swallow excess air, which can contribute to abdominal pain and bloating seen with irritable bowel syndrome (IBS). Further, when you chew gum you send your body physical signals that food is about to enter your body. The enzymes and acids that are activated when you chew gum are therefore released, but without the food they’re intended to digest. This can cause bloating, an overproduction of stomach acid, and can compromise your ability to produce sufficient digestive secretions when you actually do eat food. Some people may also have adverse gastrointestinal symptoms, including diarrhea, from the artificial sweeteners that are commonly found in chewing gum.

It creates tooth damage – even from sugar-free gum.  If your chewing gum contains sugar, you’re essentially “bathing” your teeth in sugar while you chew away. This can contribute to tooth decay. Even if you chew sugar-free gum, there are still risks to your teeth because sugar-free gum often contains acidic flavorings and preservatives that may in fact lead to dental erosion, even if it contains cavity-fighting xylitol. Unlike cavities, dental erosion is a process of incremental decalcification, which, over time, literally dissolves your teeth.

It contains sheep byproducts.  Ewwww!  Chewing gum often contains lanolin, a waxy substance that’s derived from sheep wool, to help it stay soft. While not necessarily dangerous to your health, chewing on lanolin is not exactly appetizing.

It releases mercury from your fillings.  If you have mercury fillings, you should know that chewing gum may cause this known neurotoxin to release from the fillings into your body. According to one study: “…chewing gum has been shown to increase the release rate of mercury vapor from dental amalgam fillings… The impact of excessive chewing on mercury levels was considerable.” Every time you chew, mercury vapor is released and quickly finds its way into your bloodstream, where it causes oxidative processes in your tissues. If you chew gum, you’re going to be chewing often, which is why it’s particularly problematic for those with mercury fillings.

MOST CHEWING GUM CONTAINS ARTIFICIAL SWEETENERS

You might not pay much attention to the ingredients in chewing gum because, after all, it’s not actually swallowed. But the ingredients, many of which are potentially dangerous, do enter your body, directly through the walls of your mouth.

As with the toxic ingredients in personal care products like lotion, which are absorbed directly through your skin and into your bloodstream, the ingredients in gum also get absorbed by your body quickly and directly, bypassing the digestive system that would ordinarily help to filter some of the toxins away. One such type of harmful chemicals is artificial sweeteners, which are ubiquitous in chewing gum. Many people choose sugar-free gum on purpose, believing it to be healthier than other varieties. But even non-sugar-free brands may contain some sort of artificial sweetener. It is very unusual for them not to. One of the most commonly used artificial sweeteners in chewing gum is aspartame. Aspartame is metabolized inside your body into both wood alcohol (a poison) and formaldehyde (which is a carcinogen used as embalming fluid and is not eliminated from your body through the normal waste filtering done by your liver and kidneys). It’s been linked to birth defects, cancers, brain tumors, and weight gain.Sucralose (Splenda), another common artificial sweetener used in chewing gum, was approved by the US Food and Drug Administration (FDA) based on only two human studies, the longest of which lasted only four days – even though animal studies found the sweetener was associated with decreased red blood cells (a sign of anemia), male infertility, enlarged kidneys, spontaneous abortions, and an increased death rate.

You might also be surprised to learn that consuming artificial sweeteners can cause distortions in your biochemistry that may actually make you gain weight.Studies looking at this issue show very clearly that artificial sweeteners may actually cause greater weight gain than sugar by stimulating your appetite, increasing carbohydrate cravings, and stimulating fat storage. A good resource to understand this concept is the book by Dr. Mercola called “Sweet Deception”.

HOW TO FRESHEN BREATH NATURALLY

Minty goodness.  Grab yourself some mint leaves and chew. This natural remedy has been used for thousands of years is especially useful for garlic or onion breath (parsley leaves work well, too!). And unlike that nasty fake-food gum, swallowing the leaves after chewing will continue to provide freshness by promoting better digestion. Real food wins, again!

Baking soda to the rescue.  Need a quick, cheap, and easy natural breath freshener? Mix in a tsp. of baking soda into a cup of water. Swish some of this in your mouth and “ta-da!” instant mouth wash. You can even add a drop or two of peppermint essential oil (like this) for an extra kick.

Probiotics for the win. Since most bad breath is a result of poor digestion, helping your gut out is a long-term solution to bad breath. Fermented foods are full of real-food-goodness probiotics.

Spice is nice.  Chewing on the seeds of aromatic spices can give your mouth a boost of freshness. Seeds like clove, cardamom, and fennel have antimicrobial properties that can help freshen your breath.

(05/29/2021)
by Lake Norman Integrative Wellness

More Information: https://www.drakibagreen.com/chewing-gum-is-not-good-for-your-health/


Views: 783
Share
Share

Common Dental Myths You Should Stop Believing

Oral health needs adequate attention as it is linked with your overall health in several ways. Oral health is often referred as the mirror of the overall health of a person. There are many misconceptions related to oral health. Due to these misconceptions, many times people end up following wrong practices, ultimately landing up with oral health issues. Untreated oral issues can lead to severe complication in future. Here are some common misconceptions regarding oral health you need to know. These will help you improve your overall dental health.

Common dental misconception

1) Only sweets cause cavities

Anything sticky which stays in the mouth for a long time can cause an acidic environment in the mouth, causing cavities. Preferably after a meal, you should at least gargle or rinse with plain water, so that the layer formed on the teeth can be removed.

2) White teeth are healthy

Definitely white teeth are healthy, but the impression that yellow teeth are unhealthy is wrong. Enamel shade and thickness can vary from person to person which can give off a different colour other than white. White teeth are healthy but yellow teeth are healthy too. If you feel teeth are too yellowish show it to your dentist.

3) Brushing harder is better

The harder you brush, the more injury you are causing your teeth and your gums. Harder brushing causes abrasions that cause sensitivity. In fact, you should use a toothbrush with soft bristles and the brushing motion should be circular or vertical and not horizontal.

4) Drinking fluoride water for healthy teeth

Drinking fluoride water is recommended. It helps in strengthening teeth and re-mineralises the tooth enamel. But fluoride should be consumed in a limited quantity, for adults' it should be 1000 ppm per toothpaste, for children less than six years it should be less 500 parts per ppm in toothpaste. Excessive consumption of fluoride causes fluorosis.

5) Removing wisdom teeth affects your eyesight, memory

Due to evolution in our eating habits, our jaws have become smaller hence there is not enough place in our mouth to accommodate all the teeth, so sometimes they come slanting and it causes problems to the adjacent teeth. If that is the case then it is recommended that you get it checked by your dentist and get it removed and no it will not affect your memory or eyesight.

6) Bleeding gums is normal

Bleeding gums could be indicative of other underlying conditions such as nutritional deficiencies or diabetes and should not be ignored. Periodontitis which is a gum disease can lead to teeth mobility and loss of teeth. They are also related to heart diseases and can be avoided if proper oral hygiene is practiced.

Any missing teeth should be immediately replaced because even one tooth missing can harm the entire oral structure. Consumption of tobacco, smoking and alcohol usage should be reduced or stopped and if any changes in the insides of the mouth are noticed then a dentist should be immediately consulted.

(06/01/2021)
by NDTV

More Information: https://www.ndtv.com/health/oral-health-common-dental-myths-you-should-stop-believing-2406840


Views: 853
Share
Share

Understanding Molar Bands?

What are molar bands?

How do the bands work? 

Do molar bands have more advantages or disadvantages?

You might have all these questions while searching for the treatment to straighten your teeth and align your bite. Here, we have brought a quick guideline that will help you to determine the essential information about molar bands.

Read through the articles to know everything about molar bands. 

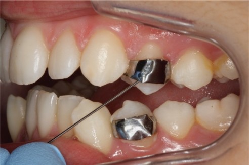
Molar bands, also known as orthodontic bands, are rings that are outfitted around your molars (back teeth) when constructing a set of braces. They are used in orthodontics to fit firm support to the archwire that runs along the braces’ span. 

The bands are generally made of metal or stainless steel, making them long-lasting and relatively easy to fit into a tooth. Orthodontists can also combine other brace parts made of steel or metal to molar bands for strong support. While molar bands are typically used with braces, only selected people will require them. 

Your dentist might recommend molar bands if there is a sizable gap between your molars. Also, it will be helpful if you need to realign your bite by straightening your teeth. Further, molar bands are a more suitable choice where a bracket on back teeth can easily tear when biting.

Molar bands are usually advised for people who have had corrective jaw surgery. In this situation, molar bands eliminate the risk of broken brackets, and the doctor can attach a surgical splint to these bands. Plus, orthodontists suggest molar bands in children whose teeth have not completely grown since the bands can go slightly under the gum. A molar band can be helpful to correct jaw growth or have large fillings.

How molar bands applied?

Your orthodontist will place elastic separators or spacers between the back teeth before applying the band.

You need to wear the separators for some time (ranging from a few hours to days). This will slightly separate your teeth and form room for each molar band. Your teeth might feel a bit tender once you get your spacers as they are moving your teeth.

When you return to the clinic, your dentist will place each molar band around a molar tooth and grasp it with a bonding agent. Having a band set around your molar is not usually painful; it also does not cause any discomfort. However, sometimes some patients feel minor pain due to soreness.

The soreness around your teeth or gums after getting a molar band is temporary and subside with time. When you get braces, you should follow up with your orthodontist regularly. Do not forget to mention the details of any discomfort while you visit your orthodontist.

However, what if you feel pain after getting molar bands?

Let’s look at the best way to alleviate pain induced by molar bands?

The first thing you should do is to avoid hard, crunchy foods such as popcorn, hard candy, ice, etc.. Instead, opt for soft foods to not injure the site to get pain. 

Take pain relievers. Over-the-counter pain relievers such as ibuprofen (Advil) can reduce inflammation. But, strictly follow your doctor’s guidelines and take medicine as directed.

Besides, you can also apply a topical oral pain reliever directly to the site of pain i.e., sore gums or teeth. Use soft wax to dental bands to relieve discomfort from bands rubbing against your gums. 

What are the advantages of molar bands?

Sometimes orthodontists choose to use brackets to anchor archwires in place. The brackets’ design makes it easier to brush and floss between the molars, resulting in improved dental hygiene.

Nevertheless, orthodontists oftentimes prefer to use molar bands due to their sturdiness that is not likely to loosen over time.

Another advantage is that orthodontists can attach additional parts to molar bands, like appliances that extend or reposition the upper or lower jaws.

Are there any downsides of molar bands?

One drawback of using molar bands is the increased risk of tooth caries. Since a molar band fully encompasses the tooth, it will be much more difficult to brush or floss where you have applied the molar band. A cavity can occur if food becomes stuck between the tooth and the molar band. To stop this from happening, most orthodontists use glues with fluoride to reduce the risk of decay.

Undoubtedly, the downsides of molar bands are easily manageable. If you really want to straighten the teeth and align the bite, the benefits clearly outweigh the drawbacks.

All in all, molar bands are useful to reduce the sizable gaps between the teeth and straighten the teeth. Since most of the people are concerned about their facial appearance and smile, molar bands are used as a restorative dental treatment. Consult the best orthodontist to get the molar bands and enhance your smile and improve teeth structure.

If you are looking for orthodontics Roswell GA, you have landed at the right spot. TruCare Dentistry provides a wide range of orthodontics dental care to improve your appearance and smile. Also, we offer comprehensive dental treatment from cosmetic to TMJ disorder and all kinds of dental problems. With us, you will get the best dental care to maintain optimal oral health.

(05/30/2021)
by Tru Care Dentistry

More Information: https://www.trucaredentistry.com/blog/know-everything-about-molar-bands/


Views: 965
Share
Share

Dental Implant Problems: What’s The Worst That Can Happen?

Dental implants have a 95% success rate but that doesn’t mean dental implant problems don’t happen.

While some of the issues are preventable by the patient, some develop as a result of poor procedural planning.

Although the risk of dental implant problems is low, it never hurts to be as informed as possible. In this article, we’ll share with you what can happen if you choose this type of dental procedure and it goes wrong.

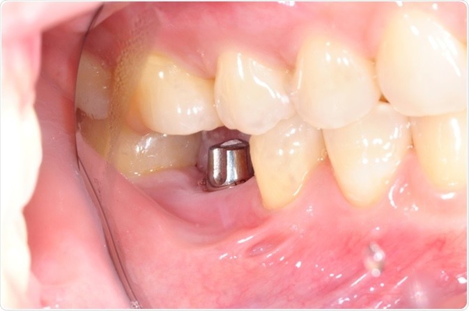
What are Dental Implants?

Dental implants are a modern alternative to dentures. During the procedure, a dental surgeon places a titanium fixture or frame into the jawbone. An artificial tooth is custom-made to affix to the fixture.

Over a few months’ time, the rod will fuse with the bone. In other words, the implant itself acts as a replacement root as the artificial tooth acts as a replacement tooth.

Types of dental implants

There are two main types of dental implants: endosteal and subperiosteal.

Endosteal implants get placed directly into the jawbone. After the surrounding gum tissue heals, another procedure connects the post to the implant. A dental professional attaches the artificial tooth to the post.

A subperiosteal implant is a metal frame with posts that fit onto the jawbone, below the gum. The gum tissue heals and the frame fuses to the bone. The posts protrude through the gums which the artificial teeth get mounted to.

Benefits of Dental Implants

There are many benefits to dental implants, which is why the procedure is so common today. These include:

Improved appearance/Self-esteem –

Improved speech.

Improved comfort.

Eating is easier.

Improved oral health.

Durability.

Convenience.

Your dental professional will speak to you about the reasons why you’re a suitable candidate for dental implants.

Common Dental Implant Problems

While there is a chance that things go wrong with dental implants, many of the problems are short-lived. Most of these occur during the early stages before the tooth gets attached.

Infection and Poor Healing

Receiving dental implants is surgery. The dentistry staff will follow all aseptic and sterile techniques, leading to a low chance of infection from the procedure itself. But, the mouth is full of bacteria and you can develop an infection.

You can expect swelling, mild pain, or discomfort for 1-4 days after your procedure. Beyond that, something may be wrong and you should consult your dentist.

Most issues involved with infections and poor healing are a result of patients not following the proper post-surgery directions. On rare occasions, an infection develops more than a month after surgery. In most cases, an underlying issue that wasn’t detected before the procedure took place caused the infection.

If an infection or poor healing gets caught early, it’s dealt with accordingly and the later stages can carry on with success.

A Medical Condition Affects Healing

If you suffer from cancer, gum disease, or diabetes, you may have delayed healing. This is also the case for people who smoke, drink alcohol, and take medications for other ailments.

You must make your dental surgeon aware of any pre-existing condition during the medical history screen.

Surgical Technique

It is important to find a reputable dentist who has gone through proper certification and has registered with the General Dental Council and is a member of the British Dental Association.

These dentists will be keen to the importance of aseptic and sterile techniques. They will understand the proper procedures and guidelines. This reduces your risk of infection and other dental implant problems.

Micromovement of the Dental Implant

Dental implants must be immobile for several weeks to allow osseointegration to take place. Any movement hinders this process will result in unstable implants.

During the first 8-12 weeks, the implant is vulnerable to not growing into the bone, and soft-tissue ingrowth occurs instead. This is very painful and you could end up back under the knife.

Follow the dietary recommendation from your dentist after the procedure. You may be on a liquid diet for a period of time.

Lack of Bone

Successful implants happen when it fuses with the bone on all sides. If your bone is less dense or deficient in any way, your dentist may need to perform extra steps to ensure the bone will have enough growth around the implant.

If your tooth is missing for an extended time, you could have lost bone volume. An experienced implant dentist can increase your volume with bone grafts or another technique. Sometimes, this may take an extra procedure.

Not Following Doctor’s Instructions

Not following doctor’s orders will result in implant failure or problems.

 

The instructions will be straightforward like reducing physical activity and keeping the site clean. You will also need to follow dietary restrictions and take your medication as prescribed.

(05/31/2021)
by Smile Spak

More Information: https://www.smilespauk.com/dental-implant-problems-whats-worst-can-happen/


Views: 918
Share
Share

What is a healthy tongue color?

While you might think of your tongue only being a certain color, the truth is that this small muscular organ can come in a range of colors. A tongue may turn red, yellow, purple, or another hue, and certain health conditions may even dictate its shape.

It’s not uncommon for your tongue to be a different color, but it’s still not a sign of optimal health.

If you’re wondering whether your tongue color is considered “healthy,” read on to learn what all the possible shades mean and when you should see a doctor.

Color of a typical ‘healthy’ tongue

While everyone’s tongue may look slightly different, a “typical healthy” tongue has similar characteristics. It ought to be pink, with a thin whitish coating on the surface.

Papillae are also prevalent on a healthy tongue. These are small nodules along the surface that help you eat and taste your food.

Colors of an ‘unhealthy’ tongue

When your tongue is not its normal pink color, you could have an underlying health issue. Below are other colors your tongue may be and what they could mean.

Red. A red (not dark pink) tongue could indicate as something as simple as a B vitamin deficiency, which can be remedied by supplementation. Scarlet fever, eczema, and Kawasaki disease may also cause your tongue to turn red. Red patches with white borders along your tongue is a rare, but harmless condition called geographic tongue.

Purple. Heart problems and poor overall blood circulation may cause your tongue to turn purple. A purple tongue may also be seen in Kawasaki disease.

Blue. Blue tongue may be indicative of poor oxygen circulation in the blood. This may be attributed to lung problems or kidney disease.

Yellow. Your tongue may have a yellow appearance if you smoke or use chewing tobacco. Sometimes jaundice and psoriasis may also cause yellow tongue.

Gray. Sometimes digestive issues may cause your tongue to turn gray. Peptic ulcers or eczema may also be to blame.

White. A white tongue is usually caused by white patches that grow on the surface. These are usually caused by fungal infections, such as oral thrush. Antifungal medications can clear these patches up. White tongue may also be caused by benign conditions such as leukoplakia or oral lichen planus, which creates the appearance of white lines. Sometimes leukoplakia may become cancerous.

Brown. This is usually harmless and caused by what you eat and drink. However, tobacco use is another cause of brown tongue, a harmful habit that could potentially lead to signs of oral cancer in the tongue, such as sores.

Black. A dark brown to black tongue is most commonly attributed to bacteria from poor oral hygiene habits. Diabetes is another potential cause of a black tongue. Sometimes your papillae can multiply and look hairy, which is a characteristic of a benign condition called hairy black tongue.

When to see a doctor

Long-term changes in color

Your tongue might look slightly darker or lighter from day to day. However, any long-term changes in color noted above should warrant a visit to the doctor.

Changes in size or shape

You’ll also want to see your doctor if you notice changes in the shape of your tongue, such as swelling, unusual lumps, or thinning.

Changes in moisture or coating

Any changes in moisture and coating also ought to be looked at, especially if you notice thick whitish or yellowish film on your tongue. This type of coating could extend to other areas of the mouth, which could indicate an infection.

The takeaway

You may not “see” your tongue on a regular basis, but this often overlooked body part can provide numerous insights into your overall health.

It’s important to clean your tongue every day so you quickly observe any potential changes. You can use a tongue scraper or do it with your toothbrush while brushing your teeth.

You should see a doctor if any changes in your tongue last for more than two weeks.

(06/03/2021)
by Healthline

More Information: https://www.healthline.com/health/tongue-color#healthy-color


Views: 801
Share