Dentists Journal

Top Ten Stories of the Week
8/21/2021

All Dentists Journal · Previous Week · This Week · All Time List · Headlines

Share

What is Considered a Dental Emergency?

The American Dental Association has provided the following guidelines for determining what is or isn’t a dental emergency.

1.- Emergency dental care that you should seek care for at this time:

Bleeding that doesn’t stop.

Painful swelling in or around your mouth.

Pain in a tooth, teeth or jaw bone.

Gum infection with pain or swelling.

After surgery treatment (dressing change, stitch removal).

Broken or knocked out tooth.

Abnormal tissue growth.

Snipping or adjusting wire of braces that hurts your cheek or gums.

2.- Non-emergency dental care you can reschedule for another time:

Regular visits for exams, cleanings and x-rays.

Regular visits for braces.

Removal of teeth that aren’t painful.

Treatment of cavities that aren’t painful.

Tooth whitening.

(08/14/2021)
by Cumberland Pediatric Dentistry

More Information: https://cumberlandpediatricdentistry.com/what-is-considered-a-dental-emergency/


Views: 917
Share
Share

What Is Enamel Hypoplasia?

Enamel is the hard, protective outer layer of your teeth. Enamel hypoplasia is a defect of the enamel that only occurs while teeth are still developing. Still, it can affect both baby teeth and permanent teeth. The condition results in thin enamel, which makes your teeth vulnerable to dental decay.

The visual signs of enamel hypoplasia include white spots, pits, and grooves on the outer surface of the teeth.

Tooth enamel is the hardest substance in your body, but it doesn’t contain living cells and can’t repair itself or improve on its own. So, if you or your child has enamel hypoplasia, you’ll need to have a dentist monitor your teeth and act quickly to repair problem areas.

What are the symptoms?

Some of the signs of enamel hypoplasia are obvious, but others are more difficult to detect and may not be noticeable until they cause major dental problems. Having thin tooth enamel can lead to:

pits, tiny groves, depressions, and fissures

white spots

yellowish-brown stains (where the underlying layer of dentin is exposed)

sensitivity to heat and cold

lack of tooth contact, irregular wearing of teeth

susceptibility to acids in food and drink

retention of harmful bacteria

increased vulnerability to tooth decay and cavities.

What causes it?

Defective enamel development can be the result of an inherited condition called amelogenesis imperfecta, or congenital enamel hypoplasia, which is estimated to affect about 1 in 14,000 people in the United States. This condition can also cause unusually small teeth and a variety of dental problems. Congenital enamel hypoplasia can happen alone or as part of a syndrome affecting other parts of the body.

Other hereditary syndromes that can cause enamel hypoplasia are:

Usher syndrome

Seckel syndrome

Ellis-van Creveld syndrome

Treacher Collins syndrome

otodental syndrome

22q11 deletion syndrome (velocardiofacial syndrome)

Heimler syndrome

Enamel hypoplasia can also result from prenatal issues such as:

maternal vitamin D deficiency

maternal weight gain

maternal smoking

maternal drug use

lack of prenatal care

premature birth or low birth weight

Environmental factors and other problems in infancy that can cause enamel hypoplasia include:

trauma to the teeth

infection

calcium deficiency

deficiencies of vitamins A, C, or D

jaundice, liver disease

celiac disease

cerebral palsy due to maternal or fetal infection.

How is it treated?

Early screening and diagnosis are crucial. That’s why children should see a dentist sometime between the appearance of their first tooth and their first birthday.

Treatment depends on the severity of the problem. Goals of treatment are to:

prevent tooth decay

maintain a good bite

preserve tooth structure

keep teeth looking their best

Some of the smaller defects that aren’t causing decay or sensitivity may not need treatment right away. They still require monitoring, though. Your dentist will probably want to apply topical fluoride to help protect teeth.

In the case of sensitivity, cavities, or tooth structure showing wear, treatment options include:

Resin-bonded sealant. This can improve tooth sensitivity.

Resin-based composite fillings. These can be made to closely match tooth color, which makes them ideal for use on front or back teeth. They’re also quite durable.

Dental amalgam fillings. These are made from a combination of durable metals. Due to the silver color, you may not want them on your front teeth.

Gold fillings. Like dental amalgam fillings, gold fillings are durable but lack a natural look. They also tend to be the most expensive.

Crowns. These completely cover the tooth.

Enamel microabrasion. This is a minimally invasive procedure to improve appearance of the teeth.

Professional dental whitening.

If your dentist offers a mercury amalgam filling, check first that this is suitable for you, as there may be a risk of toxicity. You should not haveTrusted Source a mercury amalgam filling if you:

are pregnant, planning to become pregnant, or breastfeeding

are under 6 years of age

have a neurological condition or kidney problems

have an allergy to mercury

There are cases in which a permanent tooth is so malformed that it may be best to extract it. If so, you might want to consult with an orthodontist first.

Here are a few other tips for keeping your teeth as healthy as possible:

Brush at least twice a day using a soft toothbrush.

If cold sensitivity is a problem, rinse with lukewarm water.

Keep sugary and acidic foods and drinks to a minimum, and always brush and rinse thoroughly after consuming them.

See your dentist regularly for check-ups and whenever you suspect a problem.

(08/13/2021)
by Healthline

More Information: https://www.healthline.com/health/enamel-hypoplasia#symptoms


Views: 875
Share
Share

All You Need to Know About Fissure Tongue

Fissured tongue is a benign condition affecting the top surface of the tongue. A normal tongue is relatively flat across its length. A fissured tongue is marked by a deep, prominent groove in the middle.

There may also be small furrows or fissures across the surface, causing the tongue to have a wrinkled appearance. There may be one or more fissures of varying sizes and depths.

Fissured tongue occurs in approximately 5 percent of Americans. It may be evident at birth or develop during childhood. The exact cause of fissured tongue isn’t known.

However, it may sometimes occur in association with an underlying syndrome or condition, such as malnutrition or Down syndrome.

Symptoms of fissured tongue

A fissured tongue can make it appear as though the tongue were split in half lengthwise. Sometimes there are multiple fissures as well. Your tongue may also appear cracked.

The deep groove in the tongue is usually very visible. This makes it easy for your doctors and dentists to diagnose the condition. The middle section of the tongue is most often affected, but there may also be fissures on other areas of the tongue.

You may experience another harmless tongue abnormality along with a fissured tongue, known as geographic tongue.

A normal tongue is covered with tiny, pinkish-white bumps called papillae. People with geographic tongue are missing papillae in different areas of the tongue. The spots without papillae are smooth and red and often have slightly raised borders.

Neither fissured tongue nor geographic tongue is a contagious or harmful condition, nor does either condition usually cause any symptoms. However, some people report some discomfort and increased sensitivity to certain substances.

Causes of fissured tongue

Researchers haven’t yet pinpointed the precise cause of fissured tongue. The condition may be genetic, as it’s often seen in higher concentrations within families. Fissured tongue may also be caused by a different underlying condition.

However, fissured tongue is thought by many to be a variation of a normal tongue.

Signs of fissured tongue may be present during childhood, but the appearance tends to become more severe and prominent as you age.

Men may be slightly more likely to have fissured tongue than women, and older adults with dry mouth tend to have more severe symptoms.

Conditions associated with fissured tongue

Fissured tongue is sometimes associated with certain syndromes, particularly Down syndrome and Melkersson-Rosenthal syndrome.

Down syndrome, also called trisomy 21, is a genetic condition that can cause a variety of physical and mental impairments. Those with Down syndrome have three copies of chromosome 21 instead of two.

Melkersson-Rosenthal syndrome is a neurological condition characterized by a fissured tongue, swelling of the face and upper lip, and Bell’s palsy, which is a form of facial paralysis.

In rare cases, fissured tongue is also associated with certain conditions, including:

malnutrition and vitamin deficiencies

psoriasis

orofacial granulomatosis, a rare condition that causes swelling in the lips, mouth, and area around the mouth

How fissured tongue is treated

Fissured tongue generally doesn’t require treatment.

However, it’s important to maintain proper oral and dental care, such as brushing the top surface of the tongue to remove food debris and clean the tongue. Bacteria and plaque can collect in the fissures, leading to bad breath and an increased potential for tooth decay.

Keep up with your normal dental care routine, including daily brushing and flossing. Visit your dentist twice each year for a professional cleaning.

(08/16/2021)
by Healthline

More Information: https://www.healthline.com/health/fissured-tongue


Views: 963
Share
Share

Why Go to a Sleep Dentist?

You may find yourself in a predicament if you need to see a dentist for a dental issue but are too afraid to go to one. Dentists are professionals who know how to take care of all types of oral health problems, but a lot of people have fears and anxiety when it comes to getting a dental procedure done. Fortunately, sleep dentistry can help you if you are one of these individuals.

What is Sleep Dentistry?

Sleep dentistry, which is also called sedation dentistry, is the use of medication during a dental procedure to help you relax and remain comfortable. These medications aim to help you relax by taking you into some level of unconsciousness. Sedation comes in several forms, including inhaled sedation, oral sedation, intravenous (IV) sedation, and general anesthesia.

There is also pain-free IV sedation. This method involves putting mild sedatives directly into your bloodstream just before the dental procedure. The sedative works faster than other methods used in sleep dentistry and is more effective in keeping you relaxed.

Depending on how you feel and the type of procedure you are getting done, your dentist may choose to give you a mild, moderate, or deep level of sedation. Under the minimal level, you’ll remain awake and be conscious of your surroundings. Moderate sedation will make you feel drowsy throughout the process, but you will not be completely asleep. Chances are, you will likely not remember much of the procedure afterward. Deep sedation essentially puts you to sleep throughout the procedure, and you will not remember anything afterward.

Benefits of Sleep Dentistry

Whether you need sedation during dental procedures depends on your level of anxiety and apprehension toward treatment and your dentist’s recommendation. Sedation is not just for situations where you are expected to feel pain. It is also beneficial for situations where you feel anxiety and fear of getting a dental procedure done. Sleep dentistry can help you feel relaxed and comfortable during the procedure by eliminating not only the sensation of pain but also your dread of expecting it.

By being somewhat or completely unconscious, you will forget about what’s going on around you, thus relaxing you and alleviating any fears. Sleep dentistry also helps your dentist perform your procedure in the best way possible without having to worry about keeping you calm. Finally, sleep dentistry is not expensive, and many patients can opt to use it without having to worry about a hefty and unaffordable bill.

(08/15/2021)
by Dr. Ernie Soto

More Information: https://www.drerniesoto.com/2019/12/13/why-go-to-a-sleep-dentist/


Views: 725
Share
Share

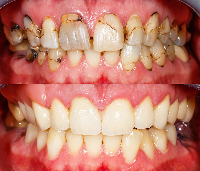
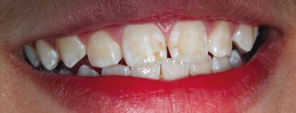
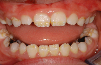
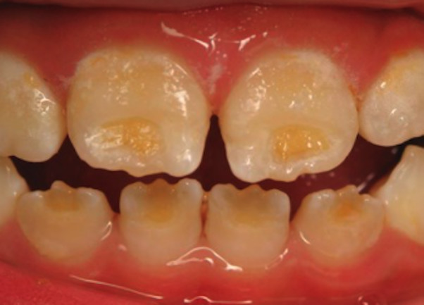
What causes rotten teeth, Symptoms and Treatment Options

Rotten teeth happens when you don’t detect the cavity and a sever tooth decay happens. There is more to your teeth than just a spectacular smile. If you are suffering from a serious form of tooth decay known as Rotten Tooth, you can experience more than just a toothache. Your overall health can be affected. If you have bad teeth, there are a number of options for saving a rotting tooth.

What Happens to a Rotten Tooth?

A rotten tooth is one that is severely decayed. The decay, also known as dental caries or a tooth cavity, begins with the breakdown of the tooth enamel. Plaque builds up and combines with bacteria to break down the enamel. Once the enamel has broken down, cavities develop. If you fail to treat your cavities, they will get worse. Dental caries is an open invitation to bacteria to further invade your teeth and beyond.

Dental caries does not discriminate. A tooth cavity can happen at any age. Baby bottle tooth decay is a breakdown of enamel caused by the sugar found in formula and extensive use of a baby bottle. The formula will pool around the teeth and combine with bacteria which accelerates breakdown in enamel. The condition is most common with a rotten back tooth or rotten bottom teeth. Thanks to a variety of available treatments, we can restore even those teeth you may believe to be permanently damaged.

What Causes Rotten Teeth?

Dental caries results from a combination of not taking care of your teeth, the foods you eat, and in some cases, drugs of abuse or even legally prescribed medications. Foods that are high in sugar or starch are known to aid in breaking down tooth enamel. If you consume a lot of sugary drinks, the deterioration of enamel is accelerated. The presence of naturally occurring bacteria also accelerates this process. The bacteria and food build up and cause an acid that attacks the enamel accelerating the breakdown.

Practicing good oral hygiene can slow the process of enamel deterioration and tooth decay. Brushing and flossing away the food following every meal takes away its opportunity to attack and break down your tooth enamel.

How do you know if you have a rotten tooth?

The first symptoms most people notice are sensitivity to hot and cold food and drinks. Sugary and sweets can cause similar sensitivity. You may feel pain when you bite into your food. When the level of decay progresses, toothaches become not only a regular event but more severe as time goes on. Bad breath that does not go away and having an unpleasant taste in your mouth are other common symptoms. You may experience swelling in the gums and in your face as the dental caries progress.

Visually, you might first notice discoloration as the enamel deteriorates followed by tiny holes in your teeth. You will also see dark spots as the decay becomes more apparent. As the decay gets worse, the toothaches will become unbearable, your teeth can crack, pieces of your teeth can break off, or a tooth can completely break at the gum line. You will start having trouble eating and may lose weight. It is possible you will lose important nutrients that are critical to your health. The symptoms of a rotten tooth will grow more severe as time goes by. You are more likely to notice this kind of symptom in a rotten back tooth or rotten bottom teeth. In comparison, rotten front teeth are relatively rare.

What are the Dangers of Rotten Teeth?

There are some significant dangers that can result from rotten teeth. Bacteria play a substantial role in tooth decay and rotten teeth. When bacteria penetrate the tooth, it can get into the gum tissue and cause an infection that can eventually work its way into the bloodstream. Infections can make you extremely ill. If they are not treated, the blood infections can turn into sepsis which, in a worst-case scenario, could kill you.

Symptoms that you may be experiencing a blood infection include severe fatigue, lack of energy, fever, nausea, vomiting, and diarrhea. If the infection develops into sepsis, you may become confused, experience hallucinations and ultimately lapse into a coma.

Tooth Decay Stages

There are three tooth decay stages. Early-stage decay is little more than an initial breakdown in the tooth enamel. There might be very tiny cavities, but early tooth decay stages can usually be reversed. Advanced tooth decay stages show significant cavities. At this stage, dental caries has gone further than just the enamel but have not yet reached the pulp of the tooth. Very advanced tooth decay stages show dental caries in the pulp of the tooth.

Your dentist will decide the level of treatment according to the level of decay. In addition, in most cases your dentists should be able to save the rotten tooth.

What to do for a Rotten Tooth

When putting together your plan for your rotten teeth treatment, your dentist will first consider the location of your tooth and the stage of the decay. They will also consider whether the tooth is a baby tooth or a permanent tooth. Throughout your life, your smile is not only your first impression but also your lasting impression. If your decay is on a front tooth, your dentist will take a different path towards restoration than when your decay is on a molar. No matter where your bad teeth are located, there are several options for saving a rotten tooth.

Decay that occurs on either your back teeth or your bottom teeth is treated with traditional fillings and crowns. It is more common for your back teeth to decay because they are harder to reach and may not get the care that your front teeth do when you brush and floss. No matter what stage of decay, you will notice a difference in your rotted teeth before and after treatment. With several options available, your rotten teeth do not need to be considered permanently damaged. The rotten teeth treatment options for each stage of decay are:

Early-Stage Treatment Options

Early-stage decay is a breakdown in enamel and perhaps a very small tooth cavity. At this stage, a simple fluoride treatment can reverse a tooth cavity and rebuild enamel. A fluoride treatment is not indicated if decay is already progressing to dark spots on the teeth or a steady case of bad breath. Early-stage decay may appear as more of a discoloration of the tooth. Regular hygiene appointments and daily oral care can keep your decay to a minimum when they can catch decay at the early stage.

Advanced Stage Treatment Options

If your tooth decay is in the advanced stage, your dentist can still easily restore the permanently damaged tooth. Cavities are visible to the naked eye at this stage of decay. Using a dental drill, the decayed areas are removed from the tooth. The empty spaces are then filled in with either porcelain, composite resin that is colored to match your tooth or an amalgam composed of various metals and porcelain. If the decay has weakened the tooth, your dentist will remove your natural crown and a customized replacement crown may be made to order. Crowns are made of either porcelain, gold, or a metal-porcelain combination. The custom crown will replace the natural crown on your tooth and will be cemented into place. It is not uncommon to have a rotten tooth under crown.

Very Advanced Stage Treatment Options

When decay reaches the inner pulp of your permanently damaged tooth, a root canal may be the last resort to save your tooth. Your dentist will need to remove the affected pulp and replace it with filling material. It is common practice to place medicine in the tooth beneath the filling material to fight any remaining bacteria. If the tooth is decayed beyond restoration, your dentist will need to extract the tooth. X-rays are used t0o confirm the need for root canals.

While the treatments listed above may well be indicated for rotten front teeth as well, especially when the decay is early stage, there are different methods for how do dentists fix rotten front teeth. No matter what the problem, ranging from tiny holes to the need for a full crown, in most cases your dentist can save the rotten tooth.

How Do Dentists Fix Rotten Front Teeth?

To give you the best smile possible, restoring rotten front teeth is different from your back teeth. Your front teeth are thinner than your back teeth, have fewer roots, and have different requirements when tiny holes or a tooth cavity is present. These treatment options are also appropriate if you have chipped or broken your front teeth. Your dentist can choose to put veneers over rotten teeth or putting your rotten tooth under crown. Whichever option you choose, the difference in your rotten teeth before and after treatment will give you back your smile.

Crowns for Front Teeth

When a crown is placed on a front tooth, it covers the entire tooth. Your dentist will need pictures and impressions so that color, size and shape match your other teeth. The dentist will then file down your tooth and then take a second impression. Photos and impressions are then sent to the laboratory where a perfect custom crown is created. Your new crown will be cemented into place and your dazzling smile will be restored. One benefit of having a rotten tooth under crown is its stabilizing quality. If your decay was very advanced, the crown will strengthen your tooth.

Veneers

Your dentist may be able to put veneers over rotten teeth. Veneers are ideal for situations where the decay is located on the front of your tooth, or if your teeth are chipped or broken. Veneers are ultrathin and are affixed to the front of your tooth. Your teeth are prepared for the veneer by being filed down to ensure that the veneer will fit right. In order to maintain the symmetry of your smile, many patients choose to place veneers on the teeth next to the one being repaired. Veneers are also popular for purely cosmetic purposes.

(08/17/2021)
by Omega Dentists

More Information: https://omegadentists.com/blog/rotten-teeth-symptoms-treatment/


Views: 1,153
Share
Share

When Is Lip Biting a Sign Of Other Conditions?

Perhaps you've recently noticed that you've developed a habit of biting your lips. Or maybe your child is unconsciously doing it. If you don't know much about lip biting, you're probably newly curious about the habit. Your first question might be, why do people bite their lips? For many, lip biting is an occasional nervous habit. However, did you know that others may chronically bite their lips due to an underlying medical condition? Let's go over the dental, psychological, and developmental disorders that could cause lip biting and when you should see a dental or medical professional.

Temporomandibular Disorders

The temporomandibular joint (TMJ), which connects your jawbone to your skull, is one of the most complex joints in the body. Numerous factors such as arthritis, grinding teeth, or injuries to the jaw can cause TMJ issues. People with TMJ disorders can experience many different symptoms, such as pain in the jaw joint or trouble opening and closing their mouth.

A study published in the Journal of Clinical & Diagnostic Research found that lip biting is also a common symptom of TMJ disorders, with 37 percent of the studied individuals exhibiting the habit of biting their lips or other objects.

Malocclusion

Common causes of a misaligned jaw (also known as malocclusion) include: your upper and lower jaws are not the same size, you have extra teeth, or have abnormally shaped or missing teeth.

Most teeth alignment problems are minor and don't need any treatment. But in some cases, a person may experience difficulty or discomfort when biting or chewing that requires professional intervention. According to the textbook Pediatric Dentistry, repetitive lip biting in children with an existing malocclusion can impede correction of the improper alignment.

Other Health Conditions

TMJ disorders and malocclusion aren't the only possible conditions that cause individuals to bite their lips. Some other health conditions and disorders that are psychological can also cause lip biting.

For example, the Anxiety and Depression Association of America (ADAA) explains that body-focused repetitive behaviors (BFRBs) are one of these disorders. People with BFRBs may repeatedly pull their hair, pick their skin, bite their lips, or perform other repetitive actions. According to an article published in the International Journal of Clinical Pediatric Dentistry, individuals with autism may also tend toward certain self-harm behaviors, such as biting their lips.

Treatment Options

We recommend that if you or your child have a habit of biting your lips often, the best first course of action is to see a dental professional about it! We believe that knowledge is power, and taking this initial step of having an honest conversation with your dentist can put your mind at ease. Many lip-biting treatments are available, but the first step is discussing it with your dental professional and figuring out the root cause.

If your dental professional suspects a TMJ disorder is to blame, they may suggest home remedies such as massaging the jaw muscles or limiting your diet to soft foods. If necessary, they may prescribe medications to help ease pain and inflammation in the jaw joint. Your dental professional may even recommend a nightguard or splint, which is a clear plastic device that fits over your teeth to help your jaw muscles relax. They may even refer you to other medical specialists, such as physiotherapists or oral surgeons, if your TMJ disorder is severe.

In some cases, you may need orthodontic treatment to correct your malocclusion and its associated issues. Your dental professional may recommend braces or other orthodontic appliances to adjust the positioning of your teeth. If overcrowding is part of the malocclusion problem, one or more teeth may get extracted to make room in your mouth. In rare cases, a patient may need surgery to reshape their jaw. Dentists don't treat lip biting's psychological and developmental causes, so they may recommend seeing your family doctor or an appropriate specialist. Mental health providers who specialize in BFRB disorders are the most equipped to treat them.

If you or your child bite your lips often, the habit could be a sign of several different underlying conditions, as outlined above. Or it could merely be an individual habit on its own! Rest assured that occasional lip-biting likely isn't a problem. However, chronic biting of the lips can be a distressing habit and can irritate the skin. If you're concerned about how often you or your child are biting your lips, talk to your dental professional or healthcare provider who helps you determine its severity, its causes, and the best form of treatment.

(08/18/2021)
by Colgate

More Information: https://www.colgate.com/en-us/oral-health/threats-to-dental-health/when-is-lip-biting-a-sign-of-other-conditions


Views: 729
Share
Share

How Long Does Teeth Whitening Last?

The length of time you can expect tooth whitening to last is based upon the type of whitener you’re using. Your lifestyle habits also have an effect.

Tooth whitening treatments are designed to reduce stains, not repel them. If you have good oral habits and keep your teeth clean, at-home products and dental procedures will last longer.

Keep in mind that the degree and type of tooth discoloration or stain you have matters. There are two types of tooth stains:

intrinsic (internal): caused by aging, trauma, infection, and medication. These deep, internal stains are harder to eliminate but can be removed, given the right type of treatment.

extrinsic (external): caused by food, cigarette smoke, and drink. Most whiteners only work on extrinsic stains.

Here are some of the most popular whitening treatments and how long they last.

Whitening toothpaste

If you use a whitening toothpaste twice daily, it may take anywhere from 2 to 6 weeks before you see any results. Users say these results can last for up to 3 or 4 months.

Whitening toothpaste can be used every day or several times a week. They contain ingredients that polish or whiten teeth, such as:

hydrogen peroxide

carbamide peroxide

mild abrasives

Toothpastes that only contain abrasives tackle surface stains and can’t change the internal color of teeth. Those that contain peroxide can whiten teeth and remove stains to varying degrees.

You may be able to prolong these effects if you continue to use whitening toothpaste. But some people are sensitive to the ingredients and find that their gums or teeth become uncomfortable with prolonged use. Many toothpastes containing abrasives are also not meant for long-term use.

Long-term use of whitening toothpaste may thin tooth enamel. If you plan to use whitening toothpaste long term, try alternating with a toothpaste designed to protect and strengthen enamel.

Whitening mouthwash

It may take up to 3 months before you see any effect from a whitening mouthwash.

Whitening mouthwashes usually contain hydrogen peroxide. You can use a whitening mouthwash daily, to help remove small degrees of surface staining.

Whitening mouthwash may be most effective when used to prolong the effect of other treatments, such as in-office whitening or whitening strips. When used alone, its effects are not dramatic, or long-lasting.

Whitening strips

Whitening strips vary in the number of treatments needed before you see results. Some strips provide superior results, which can last for up to 6 months.

Whitening strips are one of the most effective over-the-counter treatments for whitening teeth at home. Some brands are easier to use and more effective than others. Some use LED accelerator lights to provide more intense stain removal.

Whitening strips use peroxide to bleach teeth and remove stains. When used incorrectly or too often, they may be uncomfortable or harmful to teeth.

When used correctly, high-quality brands of whitening strips can remove both extrinsic and mild intrinsic stains, by bleaching teeth to make them whiter in color.

Whitening pens

Whitening pens take from 2 days up to a week. They provide minimal results that are usually not long-lasting.

Whitening pens are small, plastic tubes containing whitening gel that are transportable and used for spot stain removal. The gel washes away easily, so you can’t eat, drink, or rinse your teeth for about an hour after application.

Chairside bleaching (in-office tooth whitening)

If you maintain good oral hygiene, a chairside (or in-office) procedure should provide long-lasting results for 1 to 3 years.

This procedure is done in your dentist’s office. It usually requires only one visit.

This procedure uses a strong bleaching agent, such as highly-concentrated hydrogen peroxide or carbamide peroxide. Heat or light may also be used, to further accelerate the bleaching agent.

Are there side effects from teeth whitening?

The active ingredients in tooth whiteners can cause sensitivity to occur in teeth and gums. This is typically not long lasting. Some people find that long-term use of any whitener with peroxide or abrasives is uncomfortable.

There is also the potential for more serious side effects, including:

Gum burns and irritation: This is more likely to occur from at-home gel tray use or chairside whitening, but can be avoided by covering the gums completely prior to treatment and using custom fitted trays. If they do occur, gum burns and irritations are usually mild and temporary.

Gum whitening: The gums may become bleached, losing their color for a short period of time.

Gastrointestinal irritation or distress: If you swallow a whitening product, you may feel a burning sensation in your throat or a mild stomach ache.

Damage to tooth enamel or dentin: ResearchTrusted Source on this is inconclusive. Surface grooves on teeth and thinning enamel may occur from any type of whitener that uses strong bleaching solutions or abrasives.

Some users report tooth pain during or after whitening. If you experience pain, burning, or extreme sensitivity, call your dentist.

In some instances, the whitener may get into a cavity or cracked tooth, causing significant pain and a necessary dentist visit.

Keeping teeth clean and flossed will not only help to prevent cavities and gingivitis but also help keep teeth their whitest.

Brush at least twice a day, especially after meals.

Brush after a meal if you eat or drink things that stain teeth, unless you eat or drink something acidic, then it is better to wait 30 minutes.

Chew sugar-free gum or rinse with water after eating.

Add a whitening toothpaste or rinse to your regular dental routine between whitening treatments.

(08/19/2021)
by Healthline

More Information: https://www.healthline.com/health/how-long-does-teeth-whitening-last


Views: 835
Share
Share

What Happens During a Full Mouth Reconstruction?

Has your general dentist told you that you need a full mouth reconstruction to restore your teeth and smile? This is an important procedure for your health and the aesthetics of your teeth. You will likely go into your procedure with some questions and concerns. It is helpful to understand what will take place at the dentist’s office and what the results will look like. You can rest at ease knowing that there are many benefits to repairing damaged teeth and replacing missing ones.

Issues that lead to the need for full mouth reconstruction

Everyone should have a goal of maintaining healthy, strong teeth, and gums. Unfortunately, some people neglect these duties or do not attend to them effectively. People who experience tooth loss or damage can often trace these issues back to brushing and flossing. Failing to do these things each day can lead to decay and infections. These conditions can weaken teeth, causing cavities, fractures, and cracks. A tooth could even fall out or require extraction.

Accidents and injuries can also break or chip a tooth. A hard enough blow to the face or biting into an object can even dislodge a tooth. Tooth loss and damage can occur in a car collision. These issues can also happen while an individual is playing sports.

Preparation

Before starting full mouth reconstruction procedures, the patient will meet with the general dentist. The dentist will explain the upcoming process and outline how it will affect the patient’s smile and health. The person should ask any questions they have. This is also a good time to address concerns and ask about any potential side effects the procedure may have.

After the consultation, the dentist will do some preparatory work. This will include taking X-rays and making impressions of the mouth. This information will be important in making devices, such as crowns, veneers, bridges, implants, or dentures. Before a dentist can start treating the patient’s condition, tooth extraction may be necessary.

Making the patient comfortable

A full mouth reconstruction procedure will require numbing the mouth. The dentist will do this so the patient will not feel pain during the process. This happens with a local anesthetic that should wear off a few hours after the appointment. Some dental offices offer sedation or other methods to calm the patient.

Preparing the tooth

Some full mouth reconstruction procedures require work on the tooth before the dentist places the device. For crowns, the dentist must first reshape the tooth by shaving part of it off. This helps ensure that the cap will fit. For veneers, the dentist first removes a bit of enamel and roughens the tooth so the veneer will bond to it. If the patient is getting bridges, the dentist will first place crowns over the teeth adjacent to the gap in the mouth.

Prepare for your appointment

You do not need to feel overwhelmed for your full mouth reconstruction. These processes are involved but can have successful outcomes. Review these guidelines so you can feel ready when you visit the dentist. Start by talking to the dentist about whether a restoration makes sense for you.

(08/20/2021)
by Phoenix Family Dentistry

More Information: https://familydentistphoenix.com/blog/what-happens-during-a-full-mouth-reconstruction/


Views: 750
Share
Share

When Should You See an ENT Doctor for Throat Issues?

The human ear, nose and throat system is incredibly complex and highly interlinked, leading to the need for medical specialists who focus on this area alone. These specialists, known colloquially as ear, nose and throat doctors (ENT) offer expert guidance on the management of a wide range of health conditions. However, many people are unsure when a consultation with an ENT may be a suitable choice.

One of the reasons for this confusion is due to the three bodily areas that ENTs specialize in. After all, most specialists have a primary organ or bodily area that they focus on: cardiologists and the heart, dermatologists and the skin, pulmonologists and the lungs, and so on. ENTs, however, have three areas of specialization.

As a result, many people are unsure whether an ENT is the right choice if they are just experiencing an issue with one of the three areas – for example, if you have issues with throat health, but no symptoms related to the ears or nose. Below, we have put together a variety of instances when visiting an ENT specialist for problems with your throat is the right choice.

Infection: Throat infections are characterized by pain, inflammation and visible white spots on the tissue of the throat and tonsils. If you notice any of these symptoms, visit an ENT as soon as possible.

Injury: If you have injured your throat or suspect you may have done so, an ENT is the right choice to help ascertain the level of damage and provide the remedies you require.

A persistent sore throat: Sore throats are part and parcel of life and most resolve without any medical intervention whatsoever. However, if you have a sore throat that lingers for more than three weeks, then visiting an ENT is the best choice.

Problems swallowing: If you are struggling to swallow, or find that swallowing is uncomfortable, then an ENT is the right specialist to contact.

Voice loss: If you have lost your voice, also known as laryngitis, then a visit to an ENT can help to establish the cause and help you to find a solution.

You may have noticed that the points above are solely related to the throat. This is because you do not need to be experiencing problems with your ears or nose to visit an ENT.

This may sound strange, but to understand what ENTs do, it’s helpful to think of eating ice cream. Most people who have eaten ice cream will have, at some point, experienced the sensation that swallowing the cold ice cream makes their ear itch. This is entirely normal and transitory, but it’s also a great example of just how interconnected the ENT system is. The cold of the ice cream is “felt” in your ears due to how the nerves of the ear, nose and throat connect with one another – even though the ice cream goes nowhere near your ears, you can still feel it in (what seems to be) a completely separate part of the body.

This is why ENTs specialize in three bodily areas; because, medically speaking, they’re not really that separate from one another. The ear, nose and throat have nerves and structural connections which mean that to specialize in one area is effectively to specialize in all three; they cannot be treated distinctly, so there’s no requirement for an individual “throat specialist.” ENTs can treat each area separately, and as a combination.

So if you have throat problems, but no issues with your nose and ears, an ENT is still the right choice for you.

(08/16/2021)
by Grand Rapids Ear Nose & Throat

More Information: https://grentpc.com/practice-news/when-should-you-see-an-ent-for-throat-issues


Views: 864
Share
Share

Three Misconceptions About Dental Implants

If you have chosen to have dental implants inserted to fix a dental issue, or are still researching and picking the best option for you, then today we will look at some of the misconceptions about dental implants. Unfortunately, there are many surrounding the topic of dental implants, and today we will focus on three.

Top 3 misconceptions about dental implants

With dental implants becoming more popular as a solution for different dental issues, we will set the record straight about the top three misconceptions regarding dental implants.

Misconception #1: People will notice that I have dental implants, and it could make me self-conscious.

One reason that dental implants have become so popular is because of their visibility in the mouth. Most people who have suffered from teeth loss in the past were only given options that were quite noticeable when they were installed. However, with dental implants, people are given the option of having teeth restored using a device and solution that is not noticeable at all. Most people who choose dental implants and do not tell new acquaintances would never even know that they had implants.

Misconception #2: The cost of dental implants is not worth it, or I would never be able to afford it!

One thing that many people do not realize when they see the cost of dental implants is the long-term benefits. This also relates to the long-term expense of a solution to lost teeth. When compared to another popular tooth replacement solution like dental bridges, dental implants are still the most cost-efficient choice when it comes to restoring missing teeth.

Misconception #3: Dental implants are uncomfortable or do not feel very good.

Again, this is far from the truth when it comes to dental implants. Many people that have dental implants inserted have commented after the procedure and after all of the healing that it is far less painful than they ever imagined any solution to replacing missing teeth would be.

When it comes to dental implants, they look and feel like a natural tooth because of how they are constructed and inserted into the jawbone.

Dental implants are one of the best solutions people can choose. The other benefits include stimulation of the nerves and jawbone. This also leads to no other issues with having your outward appearance affected years down the road from deterioration of the bone.

Are there other misconceptions?

There seem to be a lot of misconceptions regarding dental implants. This includes misconceptions about recovery time and the maintenance after installation. Most dental professionals and dentist nowadays agree that dental implants are one of the best (if not the best) solutions for people who have lost a tooth or multiple teeth and are looking to restore and fill those gaps.

One of the best ways that you can learn all there is to know about dental implants is to speak to your dentist and be open and honest about what questions you have. They will also be happy to help with any reservations that you may be thinking about when choosing between dental implants or other restorative dental options.

(08/14/2021)
by G.J. Palmieri, DDS & Associates

More Information: https://lancasterpadentist.com/blog/3-misconceptions-about-dental-implants-debunked/


Views: 738
Share