Dentists Journal

Top Ten Stories of the Week
10/2/2021

All Dentists Journal · Previous Week · This Week · All Time List · Headlines

Share

What Is The Gingival Sulcus?

Much like the cuff of a sleeve fits snugly against the wrist, the gum tissue in your mouth fits tightly around each tooth. Think of the gingival sulcus as the space between the edge of the sleeve and the wrist, with the sleeve representing your gums and the wrist representing a tooth. Knowing how to keep this space clean and its role in your oral health can help you avoid gum issues down the line.

What is the Gingival Sulcus?

The sulcus is “the point at which the tooth and gums meet,” or the natural space between the surface of the tooth and the surrounding gum tissue (also known as the gingiva). The cementoenamel junction, located at the bottom of the sulcus, helps keep the gums attached to the tooth surface. When the gum tissue is healthy, it is firm, pink to brown, and fits tightly around the tooth. A good sign of a healthy gingiva sulcus is a depth of 3mm or less, which your dental professional will periodically measure.

Measuring the Sulcus

Your dental professional may choose to conduct a periodontal screening assessment to determine your risk of developing gum disease. They will take a small ruler, called a periodontal probe, and place the probe just under the gum tissue to measure the pocket depth. The probe enters the gingival sulcus and gently presses against the spot where the gum tissue attaches to the tooth surface. In the sleeve example, it is easy to picture this concept by putting your finger under the cuff of your sleeve.

An Opening for Gum Disease

It's critical to thoroughly brush the area where the gums meet the teeth and floss between the teeth to keep the entire gingival sulcus clean. When plaque is allowed to build up on the gums at the base of a tooth, it can cause gingivitis, when the gums become inflamed and irritated. Luckily, you can reverse gingivitis with excellent oral care. However, if the plaque continues to build, the inflammation can lead to the gums detaching from the tooth, causing the space between the teeth and gums to deepen and allow even more plaque to accumulate. This deepening of the sulcus, also referred to as the development of a periodontal pocket, is an early indicator for periodontal disease. The National Institute of Dental and Craniofacial Research classifies periodontal disease as a site with gum attachment loss of at least 3 millimeters and a pocket depth of at least 4 millimeters. 

Unfortunately, gum disease is common among Americans—half of the people over 30 have periodontitis. While some risk factors are unavoidable due to genetics, age, medications, and health history, other preventable risks include smoking tobacco and unhealthy diet choices. 

Maintaining Gum Health

When plaque has packed into and invaded the gingival sulcus, further complications can arise, such as tooth loss. To stop the damage, your dental professional may recommend a more involved type of dental procedure called scaling or root planing to access the area under the gumline. If the damage caused by the bacteria is more severe, a dental professional can improve the health of the gums with surgical methods, such as a gum graft.

Whether or not you have periodontal disease or are at risk for it, the key to maintaining a healthy gingival sulcus is excellent oral care as well as regular dental checkups. Brush your teeth twice daily with a soft-bristle toothbrush and fluoride toothpaste, and clean between your teeth with an interdental device like floss, water flossers, or other interdental cleaners. Remember, plaque and bacteria can build up in the space between your teeth and gum. The more you care for that area, the healthier your gums, teeth, and smile will be.

(09/27/2021)
by Colgate

More Information: https://www.colgate.com/en-us/oral-health/mouth-and-teeth-anatomy/what-is-the-gingival-sulcus


Views: 713
Share
Share

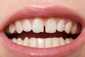
How To Fix Tooth Gap Without Braces

Braces are the most popular way to fix a tooth gap but we offer several other alternatives. A tooth gap, otherwise known as diastema, is very common in adults. The gap can be between any two teeth but it is most commonly seen between the front two teeth.  Braces are not the right fit for everyone, but everyone deserves the smile of their dreams. Here are other ways to fix a tooth gap without braces:

Tooth Gap Bands

Tooth Gap Bands are one of the quickest ways to fix a tooth gap. The bands are meant for patients with little misalignment and only a small gap in the front two teeth. The time required to fix the gap varies from 2 weeks to 6 months. This option is for patients who have a gap of 3.5 mm or less as Tooth Gap Bands are meant to fix small gaps in the front two teeth. This alternative to braces is a quick, affordable, and low pain option for fixing a small gap. The down side to Tooth Gap Bands is they often cause gaps in other teeth and your other teeth must be completely straight for them to work properly.

Dental Bonding

Dental bonding is a cosmetic dental procedure that covers the gap with a tooth-colored composite resin. The staff at Your Community Dental will carefully sculpt the durable plastic substance (resin) to the shape and size needed to cover the gap. The resin is applied as a liquid then a special light is used to strengthen and harden the resin and tooth together. Dental bonding is a low pain treatment that is a great option for many individuals.

Dental bonding is a quick and simple treatment that can take place in a single visit. The treatment:

The shade of resin is selected to perfectly match your natural teeth

Your tooth enamel will be prepared for the bonding

Your dentist will carefully incise the surface of your teeth and apply a conditioning liquid so the bonding material will adhere to your teeth

The bonding material is applied

The dentist will shape the material to match with your teeth

Once the bonding is shaped appropriately, the dentist will use the ultraviolet light to harden the bonding material

Finally, the bonding is polished and the treatment is complete

Dental bonding is usually recommended for patients who only have a small gap in-between the front teeth and whose remaining teeth are relatively straight. Before you jump on board for teeth bonding, it is important to speak with one of the dentists at Your Community Dental. If you smoke or drink coffee or wine regularly you may consider how this will affect the bonding material. Bonding material may become stained easily.

Porcelain Venners 

Porcelain veneers are extremely thin, tooth-colored shells custom-made for your teeth. They cover your front teeth to recreate a perfect, natural set of teeth. Despite how thin porcelain veneers are, they are strong and stable. Porcelain veneers are perfect for altering the size, color, and shape of your teeth. Porcelain veneers do not stain easily; they resist stains from drinks, food, and smoking and resemble natural teeth. They don’t require much alteration to your natural tooth but rather serve as a shell that is placed on top of the already existing tooth. They are custom made for the individual tooth and are almost impossible to distinguish between the veneers and natural teeth. The treatment process goes as followed:

Cleaning the teeth and determining the correct shade for the veneer

The tooth is prepared and ½ millimeter of the natural tooth enamel is removed to make room for the veneer

An impression of your tooth is made to create the veneer in the lab

The veneer is placed on your tooth to check if it fits correctly

The veneer is cemented on to the tooth

The veneer is light cured to make sure it is secured in place

Excess material is removed and the veneer is polished

Implants

Dental implants can be used to fix the gap in-between teeth if the gap is very large or a tooth is missing. A dental implant is a surgically placed metal post or frame that is implanted into the jawbone and your gums. Once this implant has been made the dentist can insert a replacement tooth in this spot. Implants are very secure way to replace a missing tooth. This is crucial in ensuring that a tooth will be secure when eating and speaking. Implants are placed in through the jawbone ensuring that they will be stable and abstain from shifting in the mouth. Receiving an implant requires no work to other teeth in the mouth. The replacement tooth can stand alone in a secure and stable manner that does not involve the surrounding teeth. Dental implants do require healthy gums and bone and a commitment to keeping your teeth healthy. It is also important to have routine dental checkups to ensure the long-term success of the implant.

There are two types of dental implants; endosteal implants and subperiosteal implants. Endosteal implants are directly implanted through a surgical procedure that implants directly into the jawbone. After the gum tissue is healed another surgery is needed to connect a post to the original implant. After these surgeries have taken place an artificial tooth is placed on the post. Subperiosteal implants are metal frames that are placed on to the jawbone just below the gum tissue. When the gum heals, the frame is secured into the jawbone. Then a post is attached to the frame and an implant is attached.

Dental implants are very costly but they are the longest lasting option.

Crowns

Like veneers, dental crowns can enhance the appearance of teeth. A dental crown encases the entire surface of a tooth. The dental crown can be used to fix a number of problems including dental gaps. Crowns are placed on the tooth and cemented in. This can only be removed by the dentist. A crown can be used to improve the appearance of a tooth or help aid the shape and alignment. Crowns can even be placed on implants to help create the desired tooth shape. Crowns can be matched to the color of your teeth with porcelain or ceramic crowns. Crowns also come in gold, metal, and acrylic, these are often the strongest and are great for back teeth.

(09/27/2021)
by Your Community Dental

More Information: https://yourcommunitydental.com/fix-tooth-gap-without-braces/


Views: 770
Share
Share

Why You Should Not Ignore Dental Issues Like Pain And Sensitivity

Why You Shouldn’t Ignore Dental Problems

Dental issues, no matter how insignificant they seem, should not be disregarded. It can be tempting to ignore a little bit of tooth pain or convince yourself that sudden sensitivity will go away on its own. However, even small problems like these should be addressed by a dental professional as soon as possible. Still unconvinced? Here are a few reasons why you shouldn’t ignore dental concerns.

Problems Worsen

Dental pain is not a condition but rather a symptom of the actual problem. Though a pain reliever can help you manage the pain, it will not address the underlying cause of the pain. The longer you ignore the root cause of your dental pain, the worse it will become. Only a professional, qualified Dentist can determine the cause of your discomfort and help to resolve it. Without prompt and proper treatment, the problem will only continue to get worse.

Irreversible Damage

Because dental conditions typically get worse over time, the damage can quickly become irreversible. This is most notably true when it comes to tooth decay. White spots on your teeth is a common sign of decay. Many people see this sign and don’t believe it’s an urgent issue, especially if they’re not in any pain. However, tooth decay begins to cause damage long before the effects are noticeable. When you and the dentist catch it in the early stages, it is easier to treat. The longer you put off treatment, however, the harder it will be to stop it and, often, involves complications, such as simple fillings becoming crowns or requiring a root canal. Tooth loss, dental pain and serious infection are the ultimate consequence of delaying timely treatment.

Possible Infection/Surge in Discomfort

A tooth that is uncomfortable is sending a message that something is wrong.  Often, pain is associated with infection of some sort.  Infection coursing unchecked through your body can cause major problems for your health in general.  Also, a tooth that is bothering you is, as they say, “one bite away” from really bothering you at a level that you can no longer choose to ignore.  These severe flair-ups usually happen at the most inconvenient of times, like over a long weekend or during travel.  Fixing the problem before it reaches these levels leaves you in control rather than being controlled by the circumstances.

More Expensive

Dental issues can also become more expensive to treat the longer you ignore them. These problems worsen over time, which means they will require more work to treat them. A longer and more extensive treatment also means higher costs. Save yourself some money and head to the dentist at the first sign of a problem.

(09/29/2021)
by Turner Dental Care

More Information: N


Views: 684
Share
Share

Cosmetic Dental Treatments, What You Need To Know

Cosmetic dental treatments are essentially any type of procedure or treatment type that improves the appearance of your teeth. They tend to fall into these main types:

Tooth restoration – repairing the appearance of teeth that have been damaged or become worn

Teeth whitening – lightening the shade of your teeth using chemicals

Tooth straightening – also known as orthodontics, adjusting the alignment of teeth, usually with braces

Many cosmetic dental treatments are only available to adults through private treatment, although some tooth restoration procedures e.g. fillings and crowns, are available to NHS patients. The cost of cosmetic dental procedures will vary, depending on what is required and who is carrying it out, but some courses of treatment e.g. veneers, can run into many thousands of pounds. If you’re considering undergoing cosmetic dental procedures, it’s important to understand the risks as well as the benefits, to make sure you can make an informed decision about your treatment plan and will know what to expect.

The most common cosmetic dental treatments

Some of the most popular types of cosmetic dental treatments include:

Tooth-coloured composite fillings

Rather than using an amalgam filling (silver-coloured), your dentist may suggest a ‘white’ or ‘tooth-coloured’ composite filling, especially if the tooth being filled is at the front of the mouth or will be visible when speaking or smiling.

Veneers

A thin layer of porcelain or resin is placed over the front of worn, discoloured or damaged teeth to restore their appearance. Veneers can also be used to make crooked teeth appear straight or to cover small gaps between teeth.

Teeth whitening

You can have your teeth professionally whitened by a dentist, using a gel containing bleach. Usually this involves having to wear a mouth tray for a set period of time to allow the chemicals to work.

Teeth straightening

Teeth are usually straightened over time using a type of braces. There are several different types of braces that work in slightly different ways, and some are more visible than others. They all gradually move teeth by applying pressure to push them into the desired positions. Usually, braces will need to be worn for between a few months and a few years, depending on the treatment type.

The risks of cosmetic dental treatments

Composite fillings are not always as durable as amalgam ones, meaning that they are not necessarily suitable for all types of fillings or circumstances and could need replacing or repairing after a period of time. Your dentist should discuss this with you before you agree to a treatment plan including a composite filling.

Veneers can fail or require replacing if they are fitted poorly or if an appropriate cleaning and oral health routine is not maintained after the procedure. They can last for several years if the procedure is successful, but are likely to need replacing at some point.

Tooth whitening can permanently damage your teeth if the treatment is not carried out correctly. Home whitening kits are especially dangerous, but even professional tooth whitening procedures done by dentists can go wrong if instructions are not followed precisely or the treatment is carried out poorly by a dental professional. Tooth whitening treatments don’t give permanent results; they can last for a couple of years, but the effects of the treatment will wear off eventually. Tooth whitening can also result in increased sensitivity in your teeth and gum irritation, in some cases.

Braces can be uncomfortable to wear and can be difficult to clean and maintain, so they are not for everyone. Some cases of tooth misalignment may be too severe to be treated with braces.

(09/24/2021)
by Dental Law Partnership

More Information: https://dentallaw.co.uk/cosmetic-dental-treatments-need-know/


Views: 844
Share
Share

Are You Having Receding Gums Problem, Then Try These

Are you above the age of 40? Please be careful because the issue of receding gums might affect you. A common form of gum disease is this receding gums and it takes place when the gums pull away from the teeth’s surface. As a result, the root of the teeth gets exposed.

There are many reasons why this receding gums issue occurs in us and these are improper dental care, hormonal changes, bacterial infections, brushing teeth hard for long time, plaque build up etc.

This receding gum is also known by other name ‘Gingival Recession’. Important information is there are chances that this issue could even occur in teenaged persons or those around the age of 10.

By these remedies we could treat this receding gums issue in us.

Coconut oil pulling :

For maintaining good oral health doing coconut oil pulling is essential. It is worthy to note that the build of harmful bacteria and germs could be prevented by the anti-inflammatory as well as anti-bacterial property of coconut oil pulling. In the first step, coconut oil is taken in the mouth and swished for 15 to 20 minutes. It is allowed to go between the teeth and then spitted out. Finally the teeth are brushed with a mild tooth paste.

Using eucalyptus oil :

The anti-inflammatory property of this oil helps in treating receding gums issue effectively. The growth of new gum tissue would be stimulated. In the first step, a cup of water is taken and to that is added few drops of eucalyptus oil. In the next step, this combo is taken in the mouth and rinsed well.

Intake of green tea :

Intake of green tea could provide us many health benefits is known. What many do not know is the fact that intake of green tea every day for few weeks could improve the health of teeth and gums too.

Using aloe vera gel :

It is said that swollen and sore gums due to gums receding could be treated by aloe vera having anti-inflammatory properties. In step one, gel is removed from the leaves and is applied on the gums every day. It is allowed to stand for 10 minutes and finally washed.

(09/28/2021)
by Live Chennai

More Information: https://www.livechennai.com/healthnews.asp?newsid=48981&catid=10


Views: 776
Share
Share

Serious health problems caused by bad oral health

When it comes to dental health, prevention is definitely cheaper than cure. But not caring enough for your teeth can also cut your life short because research suggests poor oral health increases your risk of overall mortality. Here are some ways in which not caring enough for your teeth can cause life-threatening problems.

Dental Hygiene & Diabetes Risk

Dental caries or tooth decay is a common chronic condition that affects many diabetic patients. Since oral health care among diabetics is an overlooked concern, most patients do not seek immediate medical attention for dental cavities. But if left untreated, it can lead to pain, infection, and eventual tooth loss. Without a proper set of teeth, the diabetic's quality of life and nutrition gets severely hindered. But that's not all. A diabetic patient who had not formerly taken treatment for tooth decay almost died when the infection from the tooth spread to his jaw bone. Eventually, the infection spread to his neck and blocked his air supply because there was too much pus.

Poor Dental Hygiene Can Lead To Dementia

Poor oral health can affect the brain. Substances that are released from gums inflamed by infection can actually kill brain cells and lead to memory loss. Dementia and possibly even Alzheimer's disease can result from gingivitis when the bacteria in the mouth spreads to the nerve channels or enters the bloodstream.

Cardiovascular Risk

Having poor oral health puts a person at risk for heart disease. If the gums are inflamed due to the bacteria that causes periodontal disease, that same bacteria can actually get into the bloodstream causing the arteries to build up plaque and harden. This hardening of the arteries is called atherosclerosis, and it is very serious. It leads to blood flow problems and heart blockages, and it increases the likelihood of having a heart attack. The damaging impact on the arteries and blood vessels can lead to hypertension and increase the risk for strokes. Endocarditis can also develop, which is an often fatal condition that occurs when the lining of the heart becomes infected.

Luckily, you can prevent gum disease with regular teeth cleanings and proper oral hygiene. This will reduce your risk of developing cardiovascular disease and keep your smile healthy and strong.

Poor Dental Health & Infertility

There is a link between poor oral health and problems with infertility in women. Gum disease can lead to various overall health issues that can make it more difficult for a woman to conceive and sustain a healthy pregnancy. It can actually take longer for a woman with poor oral health to get pregnant than it would for a woman who has good dental health.

Premature Cancer Deaths

Not brushing thoroughly could increase your risk of dying prematurely from cancer says a cohort study. All thanks to the harmful bacteria in the oral cavity. A total of 1390 patients were assessed in the study for a period of 24 years, starting in 1985. The researchers found that patients who had a high bacterial load on the surface of their teeth and gum pockets were likely to die of cancer before time. Their risk of dying increased by a whopping 80 percent!

Rheumatoid Arthritis

According to the National Rheumatoid Arthritis Society, people with gum disease were four times more likely to have Rheumatoid Arthritis. Both diseases have inflammation in common. The oral bacteria from gingivitis can increase inflammation throughout the body. This makes the risk for developing rheumatoid arthritis, a painful and debilitating inflammatory disease, much higher.

Kidney Disease

Chronic kidney disease is a serious health problem that affects the kidneys, heart, bones, and blood pressure. Infections in the body such as periodontal disease can lead to kidney disease. People with gum disease generally have weaker immune systems and are more likely to acquire infections. Many people who suffer from very poor oral health also suffer from kidney disease. Kidney disease can be fatal if it leads to kidney failure or cardiovascular disease.

What you can do for your dental hygiene

By staying on top of oral hygiene, you can ward off cavities and even reverse gingivitis. But it's going to take extra effort now. These steps can help keep your mouth and the rest of you healthy:

-Brush your teeth at least twice a day and floss at least once.

-If you have dry mouth, ask your dentist about a prescription toothpaste or mouth rinse with fluoride to help protect against cavities.

-If you find brushing difficult because of arthritis, try an electric toothbrush or a toothbrush with an ergonomic handle.

-Avoid smoking, which is a risk factor for gum disease.

Healthy teeth are clean and free of pain caused by cavities and disease. Healthy gums are pink and do not bleed when brushed or flossed.

Oral health is an indicator of overall health. Taking care to prevent oral health problems like gingivitis and periodontal disease can go a long way toward decreasing the risk for more serious health problems throughout the body.

(09/25/2021)
by The Health Side

More Information: https://www.thehealthsite.com/diseases-conditions/can-cavities-kill-you-hidden-dental-dangers-that-may-threaten-your-whole-body-788325/


Views: 654
Share
Share

Benefits Of Tooth Polishing And Why You Should Get Teeth Polished

A beautiful smile with white aligned teeth can work wonders for your personality. You feel confident at work and in social circles. Cosmetic dentistry offers a way to help you get that beautiful smile with polished white teeth. Know all about teeth polishing and why and how it can be of immense benefit to you and your oral health.

What is dental polishing?

Some people can confuse teeth cleaning with teeth polishing and consider the two to be one and the same. There is a fine line of difference and, if you ask a professional dentist what is dental polishing you are likely to receive a more precise answer.

The simple answer is that it is a finishing procedure, usually applied after teeth cleaning and whitening procedures. Polishing is also used to remove surface stains and sometimes after dental surgery in order to remove bacteria. A standard procedure makes use of a small rubber cup and polishing paste in fine, medium or coarse grade.

An alternative is to use air and water jet along with a fine abrasive to polish teeth. The benefits of polishing teeth The obvious benefit to getting teeth polished is that you have a bright smile. However, the benefits of polishing teeth go beyond just good looks. Periodic polishing of teeth ensures that there is no build up of plaque and tartar.

The enamel of your tooth is preserved.

Plaque and tartar breed bacteria that can cause bad breath and even cardiovascular issues. There are fewer chances of dental caries and you retain use of your teeth throughout your life. Neglect can lead to infection of the tooth. Undergo teeth polishing twice a year and you need not worry about swollen gums, receding gums and tooth loss or toothache.

Teeth polishing procedure

There are two prevalent teeth polishing procedures. One method is to use a soft rubber cup into which the dentist fills fine, coarse or medium grade paste. The rotary tool rotates the cup and when it is pressed against the tooth it helps in the removal of plaque and stains.

The second method uses air and water jet in conjunction with glycine or sodium bicarbonate to address stains that are deeper or where teeth are more sensitive. Polishing teeth after scaling Plaque, tartar, and calculus can and do build up on teeth over time. Plaque is a sticky film that breeds bacteria and, in a day, it transforms into harder calculus or tarter.

Brushing cannot remove calculus and the scaling procedure is the only way to remove the hard deposit. Polishing is a finishing process in which stains may be removed and teeth become smooth and shiny. Though not absolutely necessary, polishing teeth after scaling does help to remove stains and remove bacteria from tooth roots that the normal scaling procedure could not reach and remove.

Everyone should undergo the polishing procedure because even regular brushing cannot prevent tartar build up. It is best to undergo this procedure at least once every three months. Polishing does help teeth look better and whiter but if your teeth are fine after the scaling procedure you may opt for polishing just twice a year.

Difference between teeth polishing and whitening

Some people are confused as to the difference between teeth polishing and whitening. Teeth whitening procedure usually is carried out by a cosmetic dentist using gels that contain peroxide applied to the teeth after placing protective shields over the gums. Some dentists may use a laser to intensify the bleaching action of teeth whitening pastes or gels.

The duration and frequency of teeth whitening depend on how deeply stained your teeth are and the extent of discoloration. On the other hand, teeth polishing is a mechanical procedure using a rubber cup filled with a polishing paste or water-air jet with glycerin or sodium carbonate to smoothen the surface of the teeth. It does not whiten teeth but teeth look cleaner and brighter.

Is polishing teeth good or bad?

Tooth scaling is essential in order to remove deposits and keep your teeth and gums healthy. Opinions are divided and one of the most frequently asked questions is: Is polishing teeth good or bad? Some dentists are of the opinion that teeth polishing procedure offers no tangible health benefits and it is not absolutely necessary. If not done properly, polishing can remove the thin protective enamel and cause dental sensitivity.

Undergoing a scaling procedure every two or three months is good for gums and teeth. It may not be mandatory for you to follow this up with teeth polishing every time. What teeth polishing procedure can do for you is that it imparts a smooth and finished look to your teeth. You look and feel good.

As in any other dental procedure, let your dentist check your teeth and advise whether polishing is advisable or not in your case. Teeth polishing side effects If not done properly any dental procedure has side effects. Scaling, for instance, can be overdone and damage the tooth enamel and also the gums. Some of the teeth polishing side effects you may encounter depend on the way it is done and the state of your gums and teeth.

If you opt for scaling it does not follow that you must necessarily undergo teeth polishing. Keep in mind that polishing can affect the fine enamel layer that contains fluoride. Enamel does regrow in time but still, if you have sensitive teeth or gum conditions then you should think twice before getting your teeth polished. If a tooth has an infection within or if gums are inflamed then you should get these conditions treated.

Another thing to keep in mind is that the polishing compounds may cause allergic symptoms, especially in those with respiratory problems and in cases where the individual has hypertension. Your dentist will certainly ascertain pre-existing conditions before recommending the polishing procedure.

Teeth polishing is a cosmetic finishing procedure that does offer benefits when properly done by expert dentists especially after a cosmetic teeth whitening procedure. Your teeth positively will sparkle and shine!

(09/29/2021)
by Tru Care Dentistry

More Information: https://www.trucaredentistry.com/blog/the-many-benefits-of-tooth-polishing/


Views: 796
Share
Share

Mold Can Cause Dental Issues

If we have sore, swollen or bleeding gums, most people would consider the cause to be poor dental care. This can certainly be the case. However, mold infestation of the delicate linings of the nose, mouth, throat and sinuses can also be a major cause.

Dentists may not consider the fact that mold in the home could be contributing to their patients’ oral health issues. According to the Cleveland Clinic, mold spores can become lodged in mucus membranes, irritating the mucus membranes and causing swelling and a burning sensation. Bleeding may also result.

Mold in the Sinus and Nasal Cavities Can Cause Dry Mouth

If mold is causing your nose to be stuffed up, causing you to breathe through your mouth, that can be bad for your teeth. That’s because breathing through your mouth dries out your mouth and decreases the production of saliva. Saliva helps wash away food particles and neutralizes acid in the mouth, so without adequate saliva, tooth decay and cavities may result. A dry mouth can also lead to gum disease and cause bad breath.

Mercury Can Be a Contributing Factor

If you’ve been trying to uncover all of the root causes behind the mold growth in your body, you will have to consider the impact of heavy metals. Mold feeds on the metals. And in the mouth, there are a number of things that can occur that can be triggers for mold growth and other autoimmune diseases, including those seemingly ordinary silver fillings (amalgams) many of us have.

Many people don’t realize that dental amalgams, often called “silver” fillings, actually contain 50 percent of mercury by weight. A small amount of ongoing mercury exposure comes from mercury vapor out gassing from such fillings.

Mercury exposure can also occur when old fillings fail and need to be replaced. IMPORTANT: Careful protocols need to be followed by your dentist to ensure that you, as well as your dentist, do not have greater exposure to mercury than necessary.

Molds Make Dangerous Mycotoxins (toxic substances that cause big health problems)

Some types of mold produce toxic substances called mycotoxins. Exposure to mycotoxins causes additional health problems beyond those triggered by inhalation of mold spores. It’s the mycotoxins produced by stachybotrys chartarum, also referred to as black mold, that makes this strain of mold so hazardous. Some mycotoxins can cause the mucus membranes to bleed, triggering nose bleeds are well as gums that bleed easily.

Mycotoxins also damage the immune system, creating a climate where the body cannot control or eliminate mold, viruses and bacteria from your body. This causes complicated health problems, and often creates irreparable damage to the body.

Take Matters Into Your Own Hands

Step One – Get into a Clean EnvironmentGetting out of the moldy environment is the MOST IMPORTANT and MOST POWERFUL treatment available. Getting away from the toxic exposure is the most difficult step, but consistently works every time.

In addition to getting the medical and dental treatment you need, you must arrange to have the mold removed from your home in order to prevent further harmful exposure. The U.S. Environmental Protection Agency (EPA) recommends consulting your physician before attempting to remove mold yourself if you are experiencing mold-related health problems, since the process of removing mold stirs up the mold spores and exposes you to the mycotoxins that are making you sick. Whether you want to hire someone to do the work for you or plan to do it yourself, you can schedule a free consultation with a mold removal professional to get more information about the cleanup process.

Step Two – See an Ear, Nose and Throat Specialist (ENT) and/or a PeriodontistIf you are experiencing other symptoms of mold-related illness, such as coughing, sneezing, headaches, a sore throat, or a rash or hives, see your internist or primary care physician. Ask your physician to give you a referral to a ENT for breathing issues and/or a Periodontist for gum issues. Make sure you tell your doctor about any dental issues you are experiencing along with your other symptoms.

Your situation may call for a Sinus CT SCAN. This imaging will reveal fungal balls or obstructions in the sinuses. If sinusitis is a persistent symptom, having this done by a qualified ENT can inform treatment, because fungi growing in the sinus cavities can excrete mycotoxins and continue to make a person sick, even after they are in a mold-free environment.

If you are being treated by both a medical doctor and a dentist or periodontist for mold-related health problems, you can sign a release of information form allowing your health care providers to communicate regarding your diagnosis and treatment. It is important that your doctors works together to properly treat you.

Step Three – Clean Up Your DietMold thrives on sugar. If you have a fungal infection of any kind, it is important that in addition to seeking professional medical help, you also begin battling the fungus by avoiding certain foods and drinks. If mold or yeast within the body is not fed what it needs to survive, it’s growth will slow down, and can potentially be more easily eliminated from the body.

Whether it’s white, brown, or a healthier choice, such as coconut sugar, it is still sugar, and sugar is a fungi’s best friend. Until you have eliminated the mold in your body, you need to say goodbye to sugar in all its forms (or strictly monitor your intake of the healthier options). This includes ‘healthy’ sugar alternatives (coconut flakes, fruit-derived sugars), aspartame and splenda (diet sodas & “sugar-free” foods), maple syrup, molasses, and even honey. Basically, stay away from fructose, lactose, maltose, glucose, mannitol, and sortbitol.

Other foods that support mold growth are:

Processed Foods: Anything in a can, box, or bottle has been processed and is not considered a “whole food.” Most everything that is pre-packaged will contain sugar or some additive for “freshness” that acts as a sugar in the body and will feed the fungus. This includes canned, bottled, boxed and packaged foods. Most contain sugar, have loads of salt, and other chemical preservatives that play havoc with your digestive system (Manages your immune system).

Foods Already Containing Yeast or Mold: Stay away from dairy! No milk, no sour cream, no buttermilk, no butter, and worst of all? Cheese. Don’t eat cheese,

Alcoholic Drinks: Not only is alcohol a literal poison, it’s also one of fungus’ most beloved pals. No wine, no beer, no cider, no brandy, no whiskey, no gin, no rum.

Processed and Smoked Meats:  Hot dogs, smoked fish, ham, bacon, sausages, corned beef, pastrami… Basically, if it doesn’t resemble the original animal, don’t eat it. Have you tried veganism? No, that salad suffocated by chicken strips doesn’t count. Look, nobody’s judging you here, maybe you can’t be a vegan for the love of animals, but you most-certainly could be a vegan because you hate plants! Give it a try or do a little research on where your meat comes from and how it’s made, for your own sake.

Edible Fungi:  No mushrooms, no truffles. They belong to the fungi family, just like mold.

Condiments: That includes ketchup… and the mustard, too. No condiments (or pickled foods) containing sugar or vinegar. Hold the mayo.

Malt Products: Breakfast cereals, Malt-O-Meal, candies, and chocolate malt shakes.

Fruit Juices: All packaged fruit juices may potentially contain molds. (Fresh fruit juices made in your home are OK in moderation. Beware: They also contain loads of sugar.

Dried Fruits: Dried raisins, apricots, prunes, figs, dates, etc., due to moldy processing, and also load of sugar.

(09/28/2021)
by Mold Help

More Information: https://www.mold-help.org/mold-can-cause-dental-issues/


Views: 846
Share
Share

Stop Teeth Grinding Before it Creates Dental Problems

Chronic stress is like a tea kettle on the boil—all that “steam” has to go somewhere. We often do this through behaviors like biting our nails, binging on comfort food—or grinding our teeth. That latter habit, however, could have a detrimental effect on teeth, including excessive enamel wear or even fractures.

Also known as bruxism, teeth grinding is the forceful and often involuntary contacting of teeth that often generates abnormally high chewing forces. While not considered a relatively big problem with young children, it can be if you’re an adult. While there could be other causes, chronic stress is often a  prime factor for adults with bruxism.

While teeth grinding can occur during the day when you’re awake, it often occurs at night during sleep and may be associated with other sleep disorders like snoring. Although you might not be consciously aware of a grinding episode as it happens, you may notice its effects the next morning, including sore jaws or headaches. Over time, your dentist may begin noticing its effects on your teeth.

So, how can you lessen teeth grinding? For starters, if you’re a tobacco user, quit the habit. Many studies indicate tobacco users report twice the incidence of teeth grinding as non-users. Excessive caffeine, alcohol or drug use can also contribute.

People have also found it helpful to address chronic stress through a number of relaxation techniques like meditation, more relaxing bedtime preparation, bio-feedback or therapy to “de-stress.” Although there’s not a lot of empirical evidence for these techniques’ effectiveness, there’s much anecdotal data from people who’ve found stress relief from them.

There’s also a dental treatment using an occlusal guard that, while not stopping bruxism, can help prevent dental damage. Usually worn during sleep, the custom-made guard fits over the teeth of one jaw, usually the upper. Its high impact plastic prevents the teeth from making solid contact, thus reducing the biting force. You may also be able to reduce bruxism effects through dental work and orthodontics,

You and your dentist can explore the options to find the right treatment strategy for you. By taking action now, you may avoid much more extensive—and expensive—problems with your teeth down the road.

(09/25/2021)
by Dr Skinner DMD, P.A.

More Information: https://www.doctorskinner.com/blog/post/stop-teeth-grinding-now-before-it-creates-dental-problems-later.html


Views: 617
Share
Share

Don´t Ignore These Commonly Overlooked Dental Problems

Maintaining your oral health should be a matter of routine, with daily brushing, flossing, and regular professional cleanings and checkups at your Marco Island Dentist’s office. But no matter how diligently one follows proper dental care regimens, oral health problems can arise. Many dental problems become obvious due to pain or other signals such as bleeding of the gums. But some dental problems may arise without readily apparent symptoms, compromising your oral health until identified by your dentist.

To help you better recognize such subtle yet damaging oral health conditions, Island Tower Dentistry offers these pointers about the four most commonly overlooked dental problems:

Cavities

Cavities can be easily overlooked because they rarely cause pain during their early stages. In fact, most cavities remain unnoticed until identified during a dental exam or until the decay starts eating into the inner pulp where sensitive nerves will start sending you pain signals. Early-stage, small cavities are typically hard to see, but any new discoloration spots, especially near the gum line, may indicate the presence of one. If you see a black spot, or even a hole, in your tooth, the cavity is beyond the early stage and starting to do significant damage. When a specific tooth causes pain, is sensitive to temperature, or aches with the pressure of chewing, it might be the nerve impulse warning that you have a cavity. In any of these cases, you should contact your dentist to have it checked out and forestall potential continued deterioration.

Bruxism

Many people unconsciously grind their teeth while they’re asleep, and some even when awake. While bruxism, the technical term for teeth grinding, can be caused by stress and anxiety, bruxism while asleep may be a symptom of sleep apnea. Whatever the cause, bruxism compromises oral health and should be treated. Teeth grinding wears away at tooth enamel and can cause teeth to fracture or chip. Enamel loss makes teeth more sensitive and more susceptible to damage from other dental conditions. You can identify signs of bruxism by paying close attention to your jaw during the day and noting whether and how often you clench it and if it leads to grinding. Symptoms of sleep-related bruxism may include jaw, neck, or facial soreness upon awakening and on into the day. 

Gum Recession

Receding gums can be caused by a number of things. Genetics can be a factor and gum disease is a common cause, but people who brush their teeth too vigorously can also wear away gum tissue. Gum recession can compromise oral health by potentially exposing the underlying roots of teeth, which lack enamel that helps guard against decay. While early stages of gum recession are typically hard to notice, temperature sensitivity can be one early warning sign. Also, check your gum lines regularly to see if any of your teeth appear to be more exposed than they should be. If you suspect gum recession, make sure you tell your dentist, so that they can further assess it, determine its cause, and offer appropriate treatment.    

Gingivitis

Gingivitis—the first stage of gum disease—is easily overlooked by individuals, but regular dental exams usually identify it early in its progression. If found, professional cleaning and good dental hygiene practices can often reverse it. Persistent bad breath is one early warning signal that some people overlook, but most people realize they have a problem when it presents with loose teeth and/or red, swollen, and sore gums that tend to bleed with brushing and flossing. Consider scheduling a checkup with your dentist should any of these symptoms persist for more than a week.   

(09/26/2021)
by Island Tower Dentistry

More Information: https://www.marcoislanddental.com/most-overlooked-dental-issues/


Views: 858
Share