Dentists Journal

Top Ten Stories of the Week
11/6/2021

All Dentists Journal · Previous Week · This Week · All Time List · Headlines

Share

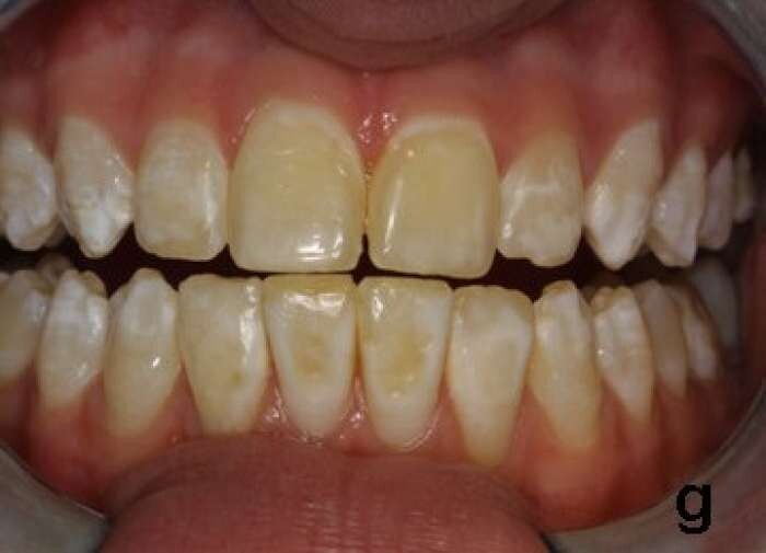
What is Hypocalcification and Hypercalcification?

What is Hypocalcification & Hypercalcification?

Hypocalcification

-defect in enamel that causes an insufficient amount of the minerals and calcium needed for healthy enamel. This can occur in baby teeth or permanent teeth.

Hypercalcification

-when there is too much calcium in the enamel.

This can be caused by an infection during the time of tooth formation.

Symptoms

-teeth have a chalky or opaque appearance-teeth are stained with white, yellow or brown stains

-teeth are weak causing them to become vulnerable to cavities and chipping or even breaking

-white spots on teethTreatment

-toothpaste and mouthwashes that help strengthen enamel

-brush at least twice a day

-limit sugary and acidic food and drinks

-drink lots of water

-maintain a proper diet

-see your dentist and hygienist regularly

Your dentist can recommend products to help strengthen the enamel.

You may need fillings, bonding, veneers or crowns. Your dentist may recommend whitening treatments.

You may also benefit from a mouthguard if you grind your teeth this will protect the enamel from further damage.

Once enamel is damaged you cannot bring it back however, you can to an extent restore weakened enamel by using products that help the remineralization process.

Book an appointment with your dentist if you are seeing any signs of enamel damage.

(11/03/2021)
by Oshawa Centre Dental Office

More Information: N


Views: 1,192
Share
Share

Five Things Your Dentist Wants You To Know, But Will Never Tell You

Hate the dentist? So does pretty much everyone else in your dentist office's waiting room.

“People say that to me every day!” says Maria Lopez Howell, D.D.S., a spokesperson for the American Dental Association. “I have a great rapport with my patients and they always say, 'I hate coming, I really love you, but I just hate coming.' I totally get that there's some anxiety involved in needing some treatment and keeping your mouth open for long periods of time and accepting recommendations, and so on. But, honestly, I love what I do so much that I don't take what they say to me personally.”

It’s a good thing your dentist loves what they do, despite the way you feel about their job—because sometimes they’re the only line of defense between your mouth and bad breath, cavities, gingivitis, even gum disease. That’s why it’s so important that you make twice-yearly visits to the dentist a priority, no matter how much you dread going; not only will they clean and polish your teeth, they’ll make sure you’re keeping up your dental hygiene at home in the most effective way (ahem, flossing).

But your dentist knows you’d rather be... pretty much anywhere else when you’re sitting in their chair, and they’re aware that some people don’t take advice very well when someone’s hands and several sharp, shiny tools are in their mouth. But they do have a few things to say that you need to hear. Get ready for some real talk:

"We Don't Expect You to Talk Back"

Dentists talk a lot considering their audience has a mouth full of sharp tools. “It’s like a monologue,” says Lopez Howell. “We don't expect you to talk back. We don't expect you to move your head."

For most responses, a thumbs up or thumbs down will suffice; if you’re really moved to talk back, most dentists will simply wait until you’re done talking to continue with the cleaning.

"Stop Lying About Flossing"

One of the first things the dentist is going to ask you about at your check-up is your flossing habits. Don’t waste time pretending you do it if you don’t, because “your gums don’t lie,” says Lopez Howell. “If your gums are bleeding, if you have some buildup underneath the gums or even above the gums, then it's a sign that you’re either not doing it at all or you need to be encouraged to do it in a way that's more effective.”

Basically, if it's obvious that you're not flossing, you're going to get schooled. So don't bother lying.

"You Can Swallow Your Spit During Cleanings—But We Wouldn't"

When the dental hygienist has the suction tool in your mouth during cleanings, let them use it. “Usually during a cleaning, it’s not just your spit in your mouth," Mazen Natour, D.M.D., a Manhattan-based prosthodontist. During cleanings, your mouth is also full of water from the cavitron (the ultrasonic scaler that the hygienist uses to clean your teeth), blood from inflamed gums, and tartar debris that the hygienist has scraped off of your teeth.

“Although all of this isn’t necessarily harmful, I believe the majority of patients would find it gross to swallow—if it were me, I would just let the hygienist suction whatever fluid is building up," Natour says.

(Kick-start your new, healthy routine with Women's Health's 12-Week Total-Body Transformation!)

"Yes, We Enjoy Picking Out the Plaque"

You know how much people love a good zit video, and dentists feel the same way when it comes to cleaning out the gunk between your teeth. “For some reason it sounds evil, but yes, at least to me, it brings some kind of satisfaction and the 'Yes! I got it!' feeling,” admits Natour.

"Please Don’t Move"

No one likes to be stuck in the dentist’s chair, but fidgeting around slows down the whole process. “Some people bob their knees or just sort of move their legs around and they don't realize that it moves their whole body,” says Lopez Howell. “So if we’re drilling, we’ll pause for a second and wait for them to settle.”

Remember, there are a lot of sharp tools near your face, so if you’re full of nervous energy, try deep breathing instead.

(10/31/2021)
by Women´s Health

More Information: N


Views: 630
Share
Share

Vasculitis and Oral Health

Vasculitis can affect all parts of the body and the mouth is no exception. Large, persistent and excruciatingly painful mouth ulcers are sometimes a characteristic of active Wegener’s Granulomatosis as is severe toothache that moves around the mouth, especially in the upper jaw.

When patients are severely ill with vasculitis (or any other disease) it is essential that their dental care is not neglected, as a period of neglect can cause permanent damage to teeth and gums. This can also apply where patients are suffering from restricted use of their hands or upper limbs.

Obviously, those taking immuno-suppressing drugs must take care as the mouth is one of the places where invading bacteria can most easily gain the upper hand. Some medication, especially some types used to control high blood pressure, can have the side-effect of making the gum tissues swollen so that they bleed and are more prone to infection.

Pre-existing dental disease, in the teeth or gums, may get worse due to steroids or immuno-suppression, so these need immediate attention by the dentist.

The vasculitis patient should tell their dentist that they have vasculitis. Also if the patient is taking steroids, immunosuppressing drugs or drugs to prevent osteoporosis, they must tell their dentist. The drugs used to counteract osteoporosis, such as the bisphosphonates or alendronates, can cause serious problems if a tooth has to be extracted.

Like in vasculitis generally, damage once done, cannot always be reversed. The best remedy, as usual, is prevention.

The proven most effective toothbrushing regime is to use an electric toothbrush with a rotary oscillating head, such as the Braun Oral B. Couple this with a toothpaste containing both fluoride and triclosan, such as Colgate Totalcare. If possible use dental floss or dental tape regularly or interdental brushes. For gum problems, use an antiseptic mouthwash containing a low dose of chlorhexidine, such as “Corsodyl”. This may be used daily for a short term, but in the long term, only as a weekly mouthwash as it can cause staining of the teeth, although this is easily removed.

(10/29/2021)
by Vasculitis uk

More Information: https://www.vasculitis.org.uk/living-with-vasculitis/oral-health


Views: 748
Share
Share

Why Do Dentists Check Your Tongue?

Have you ever noticed your dentist asks you to move your tongue around during a dental examination?

You may have thought it’s only to inspect your teeth, but it’s also to check your tongue.

Why?

Short answer:

Your tongue plays an essential role in tasting, chewing, swallowing, and speaking. You don’t want that impaired, right? Of course not!

But your tongue also tells the story of what’s going on in your oral and overall health.

Keep reading as we break down tongue health and what you need to know.

What exactly is the tongue?

A tongue is an important digestive organ located in your mouth. It forms the major part of the mouth floor between the lower arch of teeth located in the lower jaw or mandible.

A tongue consists of eight separate muscles and is covered with a mucous membrane and taste buds.

Its primary function is to facilitate the movement of food while chewing and swallowing.

But it’s also essential for taste and speech.

What happens when a tongue is unhealthy?

An unhealthy tongue can have a variety of problems associated with it.

Many tongue problems include:

Lumps, sores, or ulcerated areas

Burning sensation or tender feeling

General color changes of various types from white to black

Texture changes that are bumpy, smooth, or have grooves

Hairy or fuzzy appearance

Itching, scaling, or bleeding

Irregular movement or control problems

Pain or soreness

Patches or spots with color changes that can be red or white

Bumps, patches, or spots with texture changes that are smooth, raised, or irregular

Swollen, enlarged, or bloated tongue

Taste problems

Tremors or twitching occurrences

What causes tongue problems?

Many causes lead to problems, disorders, and diseases of the tongue. Among these causes are infections, inflammation, allergies, family genetics, metabolic problems, and nutritional deficiencies.

Problems of the tongue can be short term or chronic in nature.

Since any tongue symptom can be a sign of a serious disease or condition, you should seek prompt medical care.

Why dentists check your tongue

The primary reason:

Cancer!

Even though tongue cancer is rare compared to other types of cancer, it’s steadily on the rise… This text opens a new tab to a page on tongue cancer…!

Other reasons include infections and disease.

What causes tongue cancer?

Tongue cancer happens when cells in the tongue grow abnormally and form a cancerous growth, tumor, or lesion.

If the cancer forms in the front 2/3 of the tongue (the part you can stick out), it’s considered a type of oral cavity cancer. Whereas if the cancer forms in the back, it’s a type of oropharyngeal or throat cancer.

What’s the survival rate of tongue cancer?

The prognosis for tongue cancer treatment is related to the tumor’s size at the time of detection.

The 5-year relative survival rate is 67.1%.

But as it worsens, so does the survival rate.

For example, if the cancer spreads and metastasizes, that survival rate drops to 39.8%.

Prompt treatment is important because tongue cancer can spread rapidly to nearby areas, such as the mouth, throat, neck, jaws, and lymph nodes.

(10/29/2021)
by Brookside Dental

More Information: https://www.brooksidedental.com/blog/bellevue-dentists-have-healthy-tongue-information/


Views: 971
Share
Share

Four Tools To Help Dentists Improve Their Skills

You will be investing a lot of time and effort in your lifetime if you want to become a dentist. This means that you have to study hard in a dental school to get a diploma and the necessary certification. To pursue your goals and learn how to perform treatment for different dental needs, you have to know that the actual practice will expose you to a lot of challenges. This includes using tools and equipment.

If you are starting as a dentist at a clinic, here are a few pieces of equipment that can help improve your practice:

Appointment Software

Before you can start practicing, you will need to get clients first. However, you might find it difficult to convince people to go to your dental clinic.

The digital age provides a lot of businesses with a way to reach out to people who do not want to make an effort in setting appointments. There are a lot of software tools that dentists can use to run their clinics, and the appointment scheduling system will be the one to help you rake in customers. If you provide people with convenient access to you, you can improve your practice.

3D Printing

Dentists will likely need to do a lot of measurements when trying to create dental models for patients. However, you will find that it can be a time-consuming task if you do everything through manual processes. The digital age can provide dentists with a tool to solve such problems. 3D models are now a part of dentistry because they allow you to provide a more accurate and efficient output. 

Consider using 3D printing for your orthodontics practice. You will be able to improve your patients’ experiences, especially if you are dealing with kids. 3D printing is a fun and interactive way to share your impressions of their oral issues rather than explaining it to them in words they probably can't understand.

Latest Diagnostic Tools

Most major dental problems involve a lot of slicing the gums and pulling out teeth. The experience might be unpleasant for most patients, which is why there are a lot of them that fear a visit to the dentist. Fortunately, you do not have to perform surgery just to diagnose the problems in your patients’ mouths. You can use X-ray scanners and other tools to help you make an accurate diagnosis. This innovation saves dentists the time and effort for surgeries. You will also find that diagnostic tools are beneficial for your patients.

Improved Chair

The patients’ chair is probably the most iconic thing about being a dentist. All of the experience and tools you need will be around that chair, which is why you should make it the most comfortable spot in the area. You will have to surround yourself with the latest pieces of equipment to help you do your work efficiently. If you are able to make the dental chair comfortable, you will find no issues with improving your skills in dentistry.

There are a lot of things that can help you improve your skills as a dentist. However, you will be able to find that there are a few things you will be able to pick up after dental school. You can improve your skills to attract lots of patients for your clinic if you invest in these tools.

(10/30/2021)
by Fine Featherheads

More Information: https://www.finefeatherheads.com/4-pieces-of-equipment-to-further-improve-your-dentistry-practice/


Views: 680
Share
Share

Silver vs. White Fillings: What's the Difference?

Did you know that nearly all adults have had cavities at some point? A staggering 92 percent of adults between the ages of 20 and 64 have had cavities in their permanent teeth, while 26 percent have untreated cavities. Since cavities are so common, it's a good idea to offer your employees a dental insurance plan that covers fillings. Many plans cover silver fillings, but not white fillings, which can be confusing for you and your employees. Here's what you need to know about silver vs. white fillings so, should you develop a cavity, you can make an informed decision about which type of filling is best for you.

Silver vs. White Fillings: The Basics

Silver-colored fillings—also called dental amalgams—are made of a combination of metals such as silver, tin, copper and mercury. White fillings—also called composite fillings—are made of plastic and ceramic. Both types of fillings can be used to repair cavities, but many dental insurance companies cover only silver fillings. This may concern some employees, but there are good reasons for this policy.

Silver vs. White Fillings: What's the Difference?

Silver fillings are very durable, so they're a good choice for teeth that need to withstand a lot of force, such as molars. The material used in silver fillings also hardens more quickly, so it's easier for dentists to place it in moist areas, such as those beneath the gum line. Silver fillings are also less expensive than white fillings, so they're good for your bottom line. The main advantage of white fillings is their color. If you develop a cavity in a highly visible part of your mouth, you may prefer a tooth-colored filling. However, these fillings are weaker than silver fillings and might not last as long. Recurrent decay (the cavities that form underneath a filling) is also a bigger problem with white fillings than with silver fillings.

Choosing Fillings

Some employees may be concerned about the fact that silver fillings contain mercury. You can reassure them that silver fillings have been used for more than 100 years, and multiple studies have proven that they're safe. Reputable associations, such as the World Health Organization, the American Dental Association and the Centers for Disease Control and Prevention, all agree that silver fillings pose no risk. This is because the mercury is bound to other metals, which keeps it stable; plus, the mercury in dental fillings isn't the same kind of mercury (methylmercury) that's found in tuna or other fish and that can lead to health problems. Another possible concern is that since silver fillings don't match the color of your teeth, they won't look attractive. Fortunately, cavities usually develop in areas that are not readily visible, so the color of the filling isn't important. While it's possible to get a cavity on the front surface of a tooth, these surfaces are easy to clean and therefore not prone to cavities. Cavities tend to develop in areas that are hard to clean with a toothbrush, such as the grooves of molars, underneath the gum line or around the edges of crowns.

Fillings and Wellness

Every year, American workers lose a whopping 164 million hours of work due to dental issues or visits to the dentist. While many people don't think cavities are serious, untreated cavities can lead to complications, such as tooth pain, broken teeth or tooth abscesses, which can prevent employees from going to work. Additionally, complications such as broken teeth or tooth abscesses are also harder to fix than simple cavities, and that translates to even more missed work days and trips to the dentist. Severe abscesses can even become life-threatening and require hospitalization. Offering a dental plan allows your employees to have their cavities repaired at an early stage, which is better for both your employees and your company. Silver and white fillings both have their place in dentistry, but for most of your employees' dental needs, silver fillings will be suitable. These fillings are stronger, easier to place and less expensive than white fillings.

(11/01/2021)
by United Concordia Dental

More Information: https://www.unitedconcordia.com/business-services/employers/benefits-bridge/silver-vs-white-fillings-whats-difference


Views: 629
Share
Share

What Is An Alveoloplasty?

An alveoloplasty is a surgical procedure that reshapes and smooths out the jaw where a tooth or teeth have been extracted or lost. The part of the jawbone that houses the teeth is called the alveolus, and "plasty" means molding, so alveoloplasty is the process of molding or reshaping the jaw.

Tooth Extraction and the Jawbone

Why would someone need this procedure? When a tooth is extracted, the socket (the hole where the tooth was located) heals over the course of several weeks. However, once healed, the area may not be ready for a tooth replacement, such as a denture, bridge or implant. The healed area is called an edentulous ridge, and it may be uneven or bumpy, which will not allow for a nice fit of the replacement tooth or teeth. Smoothing out the jawbone prepares the mouth for successful placement of the new, artificial tooth.

When Is an Alveoloplasty Performed?

The procedure can be performed either at the time of tooth extraction or after the site has fully healed. When you prepare for your tooth extraction, your dentist will evaluate your jaw and decide if it needs recontouring. They will also determine if you need to see a dental specialist.

Dentists often conduct this procedure at the same time as the tooth extraction to shape the jawbone in a way that facilitates healing, according to a review published in Drug Invention Today. Alternatively, the procedure can be performed once the site has healed but before the artificial tooth has been placed to make sure the shape of the jaw supports the new device.

Steps of the Procedure

In either scenario — during tooth extraction or after healing — the patient will be under local anesthesia for the duration of the procedure. This ensures that the patient feels no pain. The dentist will make an incision at the gumline to expose the underlying jawbone. With a chisel or a burr on a handheld drill, the dentist will adjust the bone to the desired shape. They will close the gum tissue with stitches to allow for proper healing.

Your dentist will provide specific instructions on how to care for your mouth after the surgery, such as eating soft foods. The healing period will take several weeks. According to a study published in the Journal of Pharmaceutical Sciences and Research, the average time from alveoloplasty to placement of the artificial tooth was 23 days when the surgery was conducted simultaneously with tooth extraction. If the procedure is performed separately from tooth extraction, the time between surgery and tooth replacement may be closer to 65 days.

Ready for Tooth Replacement

Alveoloplasty is a fairly common procedure designed to prevent complications with tooth replacements. Once you have a smooth jawbone, your mouth will be ready for a dental fixed replacement tooth, such as an dental implant. Your dentist will be able to identify if you might benefit from this surgery and provide a recommendation on when it should be performed. Their guidance is aimed at improving your oral health and helping you achieve your ideal smile.

(11/02/2021)
by Colgate

More Information: N


Views: 643
Share
Share

Dead Tooth: Signs, Symptoms, and Treatment

Did you know that teeth can be either dead or alive? A tooth is considered dead if the nerve and pulp no longer receive any blood flow. This can be a result of decay or injury to the tooth. A dead tooth is also sometimes referred to as a non-vital tooth. A dead tooth can eventually fall out on its own if left untreated.

Signs and Symptoms of Dead Tooth

Here are some of the signs and symptoms to look out for if you think you may have a dead tooth.

Pain and swelling

Pain and swelling in the gums are some of the signs that manifest when you have a dead tooth. The pain can be due to an infection spreading on the surrounding tissue and bones. Generally, some people may not feel any pain at all, while some may experience mild to severe pain.

Discoloration

Discoloration can sometimes be one of the first signs of a dead tooth. The color of the tooth may turn to a dark grey shade, yellow, light brown, or even black. The tooth will have a distinct color from the rest f the teeth, and this can easily be noticed.

Loose tooth

In the last stages of a dead tooth, the tissues supporting the teeth may become weak and loosen the tooth from its socket. The tooth may eventually fall out on its own if not pulled out by a dentist. Other symptoms of dead teeth include bad breath and a bad taste in the mouth.

Dead tooth treatment

A dead tooth deserves immediate professional dental attention. If left untreated, the infection of the dead tooth may spread to the surrounding teeth, gums, and bone leading to a host of additional dental problems. Therefore, it is vital that you visit a dentist as soon as possible if you suspect you have a dead tooth.There are usually two treatment options when it comes to a dead tooth. Depending on the extent of the damage, a dentist may recommend a root canal treatment or an extraction.

Root canal treatment

The dentist may recommend a root canal treatment if the tooth has not been entirely infected and still has some supporting tissue and root. A root canal treatment involves the removal of the decayed tooth pulp and nerves, cleaning and disinfecting the pit left, and then filling it with an artificial dental filling material to restore the shape of the tooth. A root canal treatment may help save a tooth that could otherwise be lost.

Extraction

Extraction is always the last resort for a dead tooth. For a tooth that has been severely infected and damaged, an extraction will be the only viable option if there is not any supporting tissue to help support a root canal treatment. Luckily, you can replace the missing tooth with a dental implant, dental bridge, or denture if you want to restore the aesthetic or functional value of the tooth.

(11/01/2021)
by Carrum Downs Dental

More Information: https://carrumdownsdental.com.au/dead-tooth-signs-symptoms-and-treatment/


Views: 739
Share
Share

Why Oral Cancer Screenings Are Important?

You probably know that your dentist likes to see you every six months. That way, he or she can routinely watch for cavities and gum problems. But your dentist also is your first line of defense against something more serious: oral cancer.

The American Dental Association recommends twice-a-year dental checkups so you can have your teeth cleaned professionally and get a check for early signs of tooth decay and gum issues. But many dentists also use these routine visits to check for signs of cancer.

Oral cancer, which often appears as a growth or sore that does not go away, includes cancers of the lips, tongue, cheek, floor of the mouth, hard and soft palate, and throat. It can become life-threatening if you don’t find it and treat it early.

That’s why a cancer screening is an important part of each checkup, says Todd Coy, DMD, Director of Cleveland Clinic’s Department of Dentistry.

“Evaluation of the oral cavity, including the soft tissues, is part of my exam when patients are in the office for a checkup,” he says. “There are very few downsides to more frequent screening.”

What happens during a dental cancer screening

Before the exam, a dental hygienist will update your medical history. This is to find out if you have a new disease diagnosis or are taking any new medications since your last visit.

The medical history likely will ask questions about risk factors for oral cancer, which include smoking and excessive alcohol consumption. People who smoke and drink alcohol have an even higher risk of oral cancer.

Men are twice as likely to develop oral cancer as women, making it the sixth most common cancer among men.

The hygienist or dentist also will want to know about your current overall health, including any dental concerns. Don’t hesitate to share any questions or concerns you have.

During the cancer screening, your dentist will exam areas that are both inside and outside your mouth.

“A screening exam should include an extra-oral exam of the head and neck as well as an intra-oral exam of the lips, cheeks, tongue, palate, floor of mouth and gum tissues,” Dr. Coy says.

The dentist is looking for any lumps, sores or irregular tissue changes, including discoloration. If he or she finds anything suspicious, such as a lesion, the dentist may recommend a biopsy or refer you to an oral surgeon.

What signs should you watch for?

Common signs and symptoms of oral cancer include:

Lumps or bumps, rough spots/crusts/or eroded areas on the lips, gums or other areas inside the mouth

Velvety white, red, or speckled white-and-red patches in the mouth

Unexplained bleeding in the mouth

Unexplained numbness or pain/tenderness in any area of the face, mouth or neck

Persistent sores on the face, neck or mouth that bleed easily and do not heal within two weeks

Soreness or a feeling that something is caught in the back of the throat

Difficulty chewing or swallowing, speaking, or moving the jaw or tongue

Chronic sore throat, hoarseness or voice changes

Ear pain

Changes in your “bite”

Dramatic weight loss

Don’t wait for your checkup

A good rule of thumb is to see a dentist about lesions that do not clear up within two weeks. Dr. Coy says. “Examples would include red or white patches, ulcers, lumps or other growths,” he says.

Difficulty chewing, swallowing or speaking as well as any pain, numbness or change in your bite should also prompt a visit with your dentist or a physician right away.  

Don’t wait for a symptom to become painful, Dr. Coy says.

“It is important to understand that pain is not a predictable indicator. So don’t assume that because it doesn’t hurt that it isn’t a problem,” he says.

Having regular dental checkups will help you head off problems with your teeth. But your dentist is also in a good position to catch signs of oral cancer so you can get early treatment. Scheduling dentist appointments every six months is a good routine to follow.

(10/30/2021)
by Health Essentials

More Information: https://health.clevelandclinic.org/does-your-dentist-screen-for-oral-cancer-why-its-a-good-idea/


Views: 687
Share
Share

The real cause of your neck and body pain could be your teeth

There can be a direct link between head or neck pain and oral health. For many people experiencing all over neck and body pain, visiting with your dentist may provide clues to help you find the solution to those problems.

During any thorough examination of your teeth, dentists might ask whether you’ve been experiencing any headaches or neck pain. They know better than most how your mouth and teeth can cause residual pain in your body.

The gateway to the rest of your body

It’s important to note that what happens in the mouth can contribute to symptoms elsewhere in the body. This is often overlooked with people treating the symptoms but not the cause. This is when an oral check up can provide the answers you’ve been looking for.

The problem might be as simple as grinding your teeth. In actual fact, up to 80 percent of people who experience pain at the back of their head and neck fit into this category. Headaches can also stem from this problem.

Bruxism and neck pain

There is a direct link between a person grinding their teeth and experiencing back and neck pain.

How does this work? Typically, when someone grinds their teeth, it causes a forward head posture. If they are chronically grinding their teeth, this constant forward head posture can quickly cause strain on the neck.

Not to mention, this forward head posture can cause the back to overcompensate and lead to further back problems as well. A lot of these issues can stem from the mouth so it’s a visit with the dentist that you need to be making and not just the doctor.

Any dentist will tell you, it’s common to see people who have been treating the symptoms of their body aches and pains but not fixing the cause of the problem. When a client better understands this link between their oral hygiene and overall health, they can understand the problem and get it sorted faster.

Snoring and oral health

Snoring is another common issue that can often be linked back to the mouth. Snoring does not only affect someone’s health but it can also impact your lifestyle.

If you’re snoring, someone can experience heart-related issues, hypoplasia, and the like.

And, for these snoring-related issues, dentists can work with sleep practitioners to better understand the situation and try different options to alleviate the problem. In terms of oral care, dentists can provide mandibular advancement plates, etc., that can help alleviate snoring and, as a direct result, better your health.

It’s important to understand how your oral health and those aches and pains you’re experiencing can be part of the same problem and solution. 

(11/02/2021)
by The Dental Room

More Information: N


Views: 619
Share