Dentists Journal

Top Ten Stories of the Week
12/26/2020

All Dentists Journal · Previous Week · This Week · All Time List · Headlines

Share

What is Oral Myiasis?

‘Oral’ means something related to the mouth, and it can be related to teeth, gums, tongue, and maxillary Sinus.

Maxillary Sinus is crucial in dentistry; it is located inside the skin in the facial bone below the eyes and front of the ear, and it’s an air cavity lined by cells.

It transfers infection from teeth and oral cavity towards the brain, nose, and vice versa. Sinuses have close relations with the upper 2nd Molars of each side. 

‘Myiasis’- It has 2 Greek words, ‘Myia’ means fly insects that fly and ‘as is’ means disease. Flies hatch their larvae (their eggs) on the dead tissue. The larva eats the dead tissue and gets it’s nourishment from it and turns into an adult insect and flies away.

So, Oral Myiasis is a rare disease caused by the Larvae of dipterans. It is reported mostly in developing countries. Myiasis can occur in various parts of our body, not only in the oral region. It can be in the skin, nose, ear, eyes.

What Are The Causes Of Oral Myiasis?

It is caused by flies of order Dipterans, as previously said. Sarcophagidae, Calliphoridae, Oestridae, and Muscidae are genera from the order Dipterans. 

Sarcophagidae – Flesh fly

Calliphoridae – Blowfly

Oestridae – Bot fly

Muscidae – Housefly

Those were some examples of genera. Mostly, it is Chrysomya bezziana (Old Screwworm or Screwworm). It is an obligate parasite; it needs some dead tissue for its species survival, propagation, and reproduction. Its female lays eggs in open wounds, ulcers, scratches, or mucous membranes.

Suppose any injury or cut occurs and remains in direct contact with the air and external environment or not banded properly in its treatment. In that case, it serves as an open wound. Ulcers happen when stomach acid damages the lining of the digestive tract. The mucous membrane is the skin and gingival of the mouth.

This disease three modes of infestation:-

Accidental: when larvae ingested along with food.

Semi specific: larvae are laid on necrotic tissue.

Obligatory: larvae affect intact skin.

Treatment Of Oral Myiasis:

We highly recommend you take the patient to a concerned dental surgeon for treatment as soon as you observe symptoms. It will be good if treatment is done early to contain its infection.

However, the treatment is the surgical removal of larvae. And the result of the activities of larvae is treated after its removal. Turpentine solution help in the extraction of maggots.

(12/21/2020)
by Nasir Ahmad Khan

More Information: https://biowellbeing.com/oral-health/oral-myiasis/


Views: 1,545
Share
Share

Causes Of Diastema Between The Teeth

When you have extra space between two or more of your teeth, your doctor calls this spacing issues or gap teeth. Gappy teeth are quite common, but sometimes they can become a bit of a bother. Maybe you don’t like the look of them or find that food gets trapped, causing issues with your gums.

Gap teeth can create pockets between your teeth and gums where food can get stuck. It can make your gums tender and sore and even lead to gum disease. Fortunately, that gap doesn’t have to be permanent.

Causes Of Gaps Between The Teeth:

Gapped teeth, which are also called diastema, cause distinct gaps between the teeth. Diastema is a term used most often for the gap between the front two upper teeth, the most common gap in the mouth. 50-60% of children under the age of 5 have this gap, and it will usually close on its own by the age of 8 or 9. If the gap hasn’t closed even after the adult canine and incisor teeth have come in, it may not close on its own at all.

Aside from genetics, there are a few other reasons why gaps in the teeth may develop. For example, if there is a size mismatch between your child’s jaw and teeth size, there may be extra room in the jaw for the teeth to space apart. Additionally, childhood habits like pacifier use or thumb-sucking can also result in gaps between the two front teeth.

Another cause of gaps in the teeth is frenum issues. The maxillary labial frenum is a strip of tissue that connects the underside of the upper lip to the gum tissue between the two front teeth. If this strip of tissue is too thick, it can prevent the two front teeth from closing together.

Closing Dental Gaps:

Gaps in the teeth can be closed in a number of ways. The most common fix for gapped teeth is through the use of orthodontic braces. But other cosmetic procedures can be used to close the gap, including dental veneers, a dental bridge or implant or even partial dentures. The treatment depends on the location of the gap and why it’s occurring.

Gaps in the teeth can cause problems with speech and self-esteem. Luckily, there are a number of ways to achieve the smile you’ve always wanted and would be proud to show off!

(12/19/2020)
by Severance Dental

More Information: https://severancedental.com/blog/causes-gaps-between-teeth


Views: 1,097
Share
Share

Recommended Self-Care Steps for Better Dental Health

According to functional medicine, the gut is at the center of autoimmune disease. This is why there’s often a focus on symptoms of intestinal permeability (leaky gut) and other digestive distress as possible indicators of autoimmunity.

What most people don’t realize, though, is that the gut isn’t just the stomach and intestines but the mouth, too. When we consider the many potential triggers of autoimmune thyroid disease, we have to think about our mouths—especially the teeth and gums.

An abscess, infection, root canal, dental surgery, dental X-ray, fluoridation procedure, amalgam fillings…all are possible igniters of autoimmune disease. Could an unknown or unaddressed dental issue have triggered your thyroid condition?

I recommend beginning to think about your dental timeline to see if you can trace any decline in your health to a dental procedure. In the meantime, let’s look at some of the potential dental triggers of Hashimoto’s and how you might address them so that complete healing can happen.

Recommended Self-Care Steps for Better Dental Health

Of course, one of the most vital factors in maintaining healthy gums, teeth, and mouth is our own self-care practices. Some consistent, focused effort here can minimize the need for invasive dental work (anything beyond a cleaning) and reduce inflammation.

Let’s look at a few strategies you can implement on an ongoing basis that will help improve and maintain oral health.

Create an alkaline environment

Dental cavities are related to the pH of our mouth, which allows for specific bacterial species to proliferate, as well as the nutrition we take in. Cutting back on sweets, soda, tea, and coffee, and following any of my Root Cause-approved diets, can help reduce the acidity in the mouth.

You can also try brushing your teeth with baking soda for one week to help create an alkaline environment in the mouth, making it more difficult for the pathogenic bacteria to survive.

Use a proper tooth-brushing method

Many of us are not familiar with proper brushing techniques. While brushing your teeth, aim at the gum line, as that’s where most of the pathogenic bacteria live. You can do this by angling your toothbrush up to reach upper teeth and angling it down to reach lower teeth.

The most helpful way to brush is through applying gentle pressure and a jiggling motion; Sonic toothbrushes can do the work for you. Flossing is also an important daily habit to start as this will help to dislodge food particles (aka, food for the pathogenic bacteria).

Eliminate pathogenic mouth bacteria

Eliminating pathogenic mouth bacteria can be challenging as the mouth bacteria form biofilms, also knows as dental plaques, that protect them from the usual methods of removal. Some strategies that may help eliminate bacteria are:

Water picking: Using a waterpik may be helpful in displacing pathogenic bacteria, allowing for their removal.

Oil pulling: Oil pulling is an old Ayurvedic remedy of swishing around sesame oil or coconut oil in the mouth and between the teeth.

To try: First thing in the morning, put one tablespoon of either sesame or coconut oil in the mouth and swish around for 5-20 minutes until the oil turns white. Then, the oil is spat out along with the toxins in it.

In theory, this method helps to break down the “homes” of bacteria, which are usually made of microcapsules of oil. While water won’t penetrate those microcapsules, sesame oil can, and mixes readily with the bacteria and becomes white in color.

Cranberry juice: Cranberry juice has been found to have anti-adhesion properties which prevent the attachment of the bacteria to our body’s surfaces and may also help to dissolve the protective coats that store the bacteria.

Oral probiotics: Oral probiotics are an accelerated way of getting beneficial bacteria into our mouths so that they can displace pathogenic bacteria and reduce inflammation in the mouth.

Dr. Jeffrey D. Hillman was able to identify strains of probiotic bacteria from volunteers with healthy teeth and gums. He isolated these bacteria and put them together in a probiotic mix called ProBiora3, which can be found in EvoraPlus.

This type of bacterial mix works to crowd out the pathogenic bacteria and has been reported to whiten teeth, reduce gum bleeding, inflammation, and biofilms of pathogenic bacteria. The probiotics are available as orally dissolvable mints that are to be taken twice per day for 30-90 days.

You can also try a probiotic toothpaste. Designs for Health makes PerioBiotic toothpaste, a special probiotic toothpaste that is free of fluoride and triclosan and packed with probiotics.

The key to getting the most benefit from this toothpaste is to forgo rinsing your mouth after brushing your teeth, allowing the beneficial bacteria to stay in your mouth longer. It feels strange and first, but eventually, you will get used to it.

I recommend trying and continuing with some of the self-care steps I’ve introduced here. If you find you want a more comprehensive routine, visit page 326 of Hashimoto’s Protocol for the Root Cause Basic Dental Protocol.

Next Steps

Dental triggers of Hashimoto’s are frequently overlooked, but you now know that dental history must be considered when thinking about potential igniters of autoimmunity.

(12/20/2020)
by Izabella Wentz

More Information: https://thyroidpharmacist.com/articles/dental-triggers-hashimotos/


Views: 1,248
Share
Share

Tooth loss, could be latest symptoms linked to COVID

The lengthy list of symptoms linked to coronavirus may have a terrifying new addition: tooth loss.

At least three recovered COVID-19 patients — 2 adult women and a 12-year-old boy — have had a tooth fall out amid their recovery from the fast-spreading disease, according to The New York Times.

Earlier this month, Farah Khemili felt one of her bottom teeth wiggle when she popped a wintergreen breath mint into her mouth. Less than 24 hours later, the tooth fell out of her mouth and into her hand. There was no pain or blood afterward.

The 49-year-old from New York battled coronavirus in the spring and has since joined a Facebook support group with fellow “long haulers,” where she has discussed her symptoms with other surviving patients. And while tooth loss has not officially been linked to coronavirus, several other members of the social media page have shared similar experiences.

The founder of the online support group said her 12-year-old son similarly lost an adult tooth after beating back the illness while a second woman reported one of her teeth fell out while she snacked on some ice cream. They similarly saw no blood following the tooth loss.

Others have said they experienced sensitive gums and their teeth turning gray or chipping.

University of Utah periodontist Dr. David Okano told The Times that it’s an “extremely rare feat” for teeth to “literally fall out of their sockets.” He expressed skepticism over the suggestion that COVID could knock out adult teeth on its own, but acknowledged its possible the disease exacerbates already-existing dental issues.

Despite a lack of evidence, experts have called on dentists and medical professionals to be on the lookout for such symptoms — especially because an estimated 47% of adults over the ago of 30 have some form of periodontal disease, according to a 2012 report from America’s Centres for Disease Control and Prevention.

Dr. Michael Scherer, a prosthodontist in Sonora, Calif., speculated dental issues experienced by COVID patients could be actually be an immune response, known as a cytokine storm, manifesting in the mouth.

“If a COVID long-hauler’s reaction is in the mouth, it’s a defense mechanism against the virus,” he told The Times, noting other inflammatory health conditions, like cardiovascular disease and diabetes, can also correlate with gum disease.

“Gum disease is very sensitive to hyper-inflammatory reactions, and COVID long-haulers certainly fall into that category.”

(12/18/2020)
by New York Daily News

More Information: https://www.nydailynews.com/coronavirus/ny-covid-teeth-falling-out-potential-new-symptom-20201127-xiq5bc2ahjcljijmkc2uiv4vpa-story.html


Views: 1,055
Share
Share

These Dental Issues Could Be Causing Your Migraine

Did you know that your headache or migraine could be caused by a dental issue? When people use the word “headache,” sometimes they are just describing an irritating issue that is facing them. However, many people deal with real headaches or migraines in some situations. These painful headaches can accompany different types of conditions, and they are not all restricted to the head. In some cases, there is a correlation between headaches, migraines and your teeth.

What is a migraine?

The Migraine Research Foundation describes a migraine as not merely an intense headache. People suffering from chronic regular migraine may experience a migraine 15 days monthly with each episode lasting from four hours to as long as three days.

Nausea, facial tingling, dizziness and sensitivity to sound and light are all symptoms that may accompany migraines. They can mess up the lifestyle of people suffering from them, causing multiple absences from work or school. Migraines may even make them vulnerable to conditions such as depression and anxiety.

Common dental issues that can cause a migraine or headache:

Bad bite:

Missing, loose, sore or misaligned teeth may contribute to what is regarded as a “bad bite.” This causes intense pressure on the jaw muscles, repeated problems in aligning the teeth and difficulty swallowing or closing the mouth

Teeth grinding or clenching:

This dental issue can be caused by stress or misaligned teeth. It can result in muscle or gum inflammation that may trigger headaches and migraines. The usual signs of teeth grinding include sore jaws, a dull recurrent headache, tender teeth, tongue indentations, issues with opening and closing the mouth and a clicking noise when opening the mouth. This condition can damage fillings and crowns, chip or break the tooth or cause flattened and sensitive teeth

Tooth decay:

Tooth decay and gum disease can push pain to the head. This makes the patient think they have a headache and not an oral infection. Many headaches can be caused by redirected pain, where the pain is experienced in an area of the body different from the original cause of the pain

Visit the dentist:

Visit the dental office regularly and inform them immediately if you are dealing with migraines or a headache and any of the symptoms mentioned above. The dentist will be able to correct your dental issues and possibly your migraine as well with a minor dental procedure or mouth guard. They may even diagnose a more serious dental health issue that requires immediate attention.

Many people overlook warning signs, mistaking them for regular headaches or migraines or avoid the dentist because of anxiety. The truth is that most people would rather not seek professional help until the problem worsens severely. At that stage, the damage may be permanent or more expensive and burdensome.

Final note:

Sadly, when people refuse to see the dentist periodically for an appointment, dental issues that cause migraines and other health issues can be misconstrued and left untreated. Remember to book an appointment with a dentist immediately after you notice the signs.

(12/18/2020)
by McCarthy Dentistry

More Information: https://www.mytotaldentistry.com/blog/these-dental-issues-could-be-causing-your-migraine/


Views: 883
Share
Share

The Best Toothpaste for the Three Most Common Dental Issues

Picking the right toothpaste can be tricky, especially with so many on the market all claiming to do similar things. While these toothpastes do have some of the same ingredients, the amounts of these ingredients differ. No mouths the same, and they require a different toothpaste and ratio of ingredients to care for them. We’ve selected three of the most common dental issues and suggested what to look for when selecting a toothpaste to correct these issues.   

Sensitive Teeth 

Sensitive teeth can be caused by weakening tooth enamel. When looking for a toothpaste to prevent enamel depreciation, it is best to find one with high levels of potassium nitrate and fluoride. Potassium nitrate fills cracks in damaged teeth and offers immediate relief. Fluoride will help restore tooth enamel and protect against future cavities and acute pain from heat, cold, or sugars, and from chronic aching.

Teeth Discoloration

There are two types of teeth discoloration: Extrinsic and Intrinsic. Extrinsic stains are caused by trapped bacteria and plaque. Mild consumption of coffee, tea, wine and light smoking can lead to these types of stains. The best way to remove them is with a whitening toothpaste. Intrinsic stains are internal discoloration caused by heavy smoking, heavy coffee drinking, and certain antibiotics. Intrinsic stains cannot be removed via toothpaste, and may require in-office teeth whitening or veneers.

Gum Recession 

Gum Recession can be caused by bacteria, gingivitis, poor brushing, and age. High levels of alcohol in toothpaste and mouthwashes can further gum recession. The alcohol can dry the mouth which leads to accelerated levels of bacteria. Be sure to look for a toothpaste that targets gingivitis and bacteria to fight against further gum recession.

Your mouth is unique and requires special care. If you are suffering from any of these issues, you may want to consider choosing a toothpaste that will help correct them. It is always best to check with your dentist to learn which toothpaste is best for you. 

(12/22/2020)
by Beall Dental Center

More Information: https://www.bealldentalcenter.com/the-best-toothpaste-for-the-three-most-common-dental-issues/


Views: 1,005
Share
Share

How to Avoid Dental Issues for Vegan and Vegetarian Lifestyles

You know that what you eat directly impacts the health of your teeth but did you also realize that certain dietary habits including being vegetarian or vegan may actually result in vitamin deficiencies? Some vegetarians and vegans experience deficiencies in calcium, vitamin D and fiber putting them at increased risk for periodontal disease.

If you do not eat meat or any animal-based food, it’s important to be aware of food alternatives and supplement options that can help you maintain not only oral health but whole body health.

Research has confirmed the importance of calcium for your teeth and bones. According to a study published in the Journal of Periodontology, calcium deficiencies are also directly linked to gum disease, which is a leading cause of tooth loss.

Researchers discovered that people who consume less than the recommended daily amount of calcium are almost twice as likely to have periodontal disease, an infection caused by bacteria that accumulate between the teeth and gums.

Dairy products such as milk, cheese and yogurt are the best sources of calcium (ADA). However, for vegans, there are several other types of non-dairy sources of calcium that you can choose to ensure your daily calcium intake. Bean products, such as tofu, as well as sesame seeds, nuts, dried fruit, and green leafy vegetables particularly okra and curly kale are excellent choices and today, certain products like soy milk alternatives, bottled water, breakfast cereals and orange juice are also fortified with extra calcium.

Meat generally offers high fiber that help to clean teeth of food particles and sugars during the chewing process. However, fresh fruits and vegetable can provide similar increased saliva production that also neutralizes acids. Although fresh fruits and vegetables do contain carbohydrates that can be fermented by bacteria, the fiber content counteracts the effect and helps clean the teeth, therefore protecting against dental caries.

The best choices to supplement fiber usually supplied by meats include high fiber, low-acid beans and legumes or whole grain products (Mayo Clinic).

There are also numerous supplement options you may want to consider to reach the recommended daily intake of key vitamins and minerals. These supplements also offer additional dental health benefits.

-Coenzyme Q10 promotes gum healing and cell growth.

-Lysine combats canker sores.

-Vitamin C with Bioflavonoids promotes healing, especially of bleeding gums.

-Calcium and Magnesium help prevent bone loss around the gums.

-Vitamins A and E are needed for healing gum tissue.

-Grape Seed Extract is a powerful antioxidant and anti-inflammatory.

-Zinc plus Copper enhances immune function.

-Aloe Vera Gel eases inflamed gums and soothes the tissues when applied directly to the affected area.

-Chamomile Tea is soothing to gum tissues.

-Green Tea is helpful in decay prevention and decreases plaque.

-Clove Oil is good for temporary relief of tooth and gum pain.

-Echinacea keeps inflammation down and enhances immune function.

Remember, before you begin any serious diet adjustments, it’s important to discuss them with your physician. 

(12/23/2020)
by Dental Health & Wellness Boston

More Information: https://dentalhealthandwellnessboston.com/how-to-avoid-dental-issues-for-vegan-and-vegetarian-lifestyles/


Views: 1,013
Share
Share

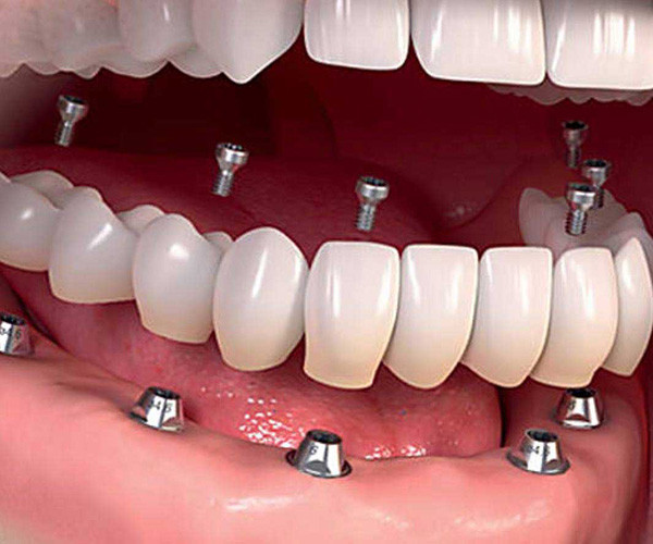
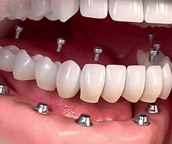
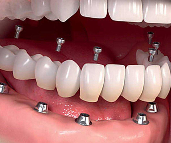
Yes it is possible to get a whole new set of teeth

Struggling with dental issues can be painful and stressful. If you’ve been dealing with tooth loss and wish you could have a new set of teeth, implant surgery can make this happen.

Dental implants have been in use for decades now and have an excellent track record. These teeth act just like your regular teeth so you have no food restrictions and they don’t need a complicated maintenance routine, just good oral hygiene practices and routine check-ups will suffice to keep them in good shape.

Why should I choose implants over dentures?

Dentures are a temporary, removable set of replacement teeth that fit into your jaw. Unfortunately, they have a tendency to move when you’re eating or speaking. This can make it difficult to speak clearly or to enjoy a meal. Dentures also need an intensive care routine to keep them in good shape.

But with dental implants these problems are avoided as your replacement teeth are firmly fixed and immovable. They are more comfortable and behave exactly as your natural teeth would.

Can I have all my teeth pulled and get implants?

Yes, it is possible to get a whole new set of teeth. This is often the route chosen by those who have been dealing with dental distress for years.

Permanent dental implants are made with metals like titanium or zirconia. They are embedded well into the gum line and act just like the roots of your teeth. Replacement teeth are then affixed onto these implants. Dental implants can last a lifetime and are considered to be a permanent solution for tooth loss. All-on-four and all-on-six dental implant surgeries can be done to give you a new set of teeth in just one jaw or your entire mouthful of teeth.

The experienced dentists at Dental Artistry are able to insert implants in your jaw and fix in a whole new set of teeth that are anchored firmly by the implants. Not only are these a permanent, more efficient solution but they also prevent bone loss or erosion and the consequent sagging of the face often associated with dentures.

How many implants are needed for a full mouth?

Dental Artistry offers the option of giving you a full set of teeth with just four sets of implants. This surgical procedure is called all on four. One implant can hold in place multiple teeth. Sometimes your dentist may recommend that you have six implants instead of six, this is called the all on six procedure. Your dentist will advise how many implants are best for your needs.

How much is a full top set of dental implants?

Every mouth is different, and the final costing will depend on the specific procedures that need to be carried out for your teeth. An approximate costing for a full upper set of teeth would fall somewhere between NZ$18,000 and NZ $30,000. Learn more about the cost of dental implants. Dental Artistry offers finance options so you can book a consultation and discuss this.

How much does it cost to replace all your teeth?

 

The cost of replacing all your teeth is about double the cost of replacing a full set of your upper or lower jaw. While contemplating the financial investment, do take into account that these implants can last a lifetime and provide long-term benefits like preventing bone erosion, removing any diet restrictions (that you would otherwise have due with other forms of teeth replacement) and are easy to care for. Many who undergo this procedure comment on their newly regained confidence as well.

(12/20/2020)
by Dental Artistry

More Information: https://dentalartistry.co.nz/can-i-replace-all-my-teeth-your-options-for-full-mouth-tooth-replacement/


Views: 1,171
Share
Share

The pursuit of oral health excellent in both function and beauty is my passion says Dr James Mattingly

James R. Mattingly, V., D.D.S. received his Bachelors degree from the University of California, Davis. He then graduated in 1997 with high honors from the University of the Pacific, School of Dentistry in San Francisco, California. Dr. Mattingly has been inducted into both Local and National Dental Honary Academic Societies for the pursuit of excellence in dentistry.

He participates in community outreach and church activities throughout the year. In addition Dr. Mattingly enjoys a healthy lifestyle of both body and mind through physical fittness, sports, and the fine arts. Dr. Mattingly is happily married and the proud father of a beautiful little girl and a boy.

"These five words (comfort, convenience, quality, respect and education) embody the essence of our practice and our commitment to the public," says Dr Mattingly.  "Our top priority is to honor and serve the individual needs of each patient while making their visit relaxing and smooth. We offer a wide range of expertise including cosmetic, implant, preventative and restorative dentistry as well as Invisalign and dental sleep apnea appliances. We are passionate about helping our patients reach the highest level of oral health possible so they can enjoy the benefits of a beautiful smile."

(12/22/2020)

More Information: https://mybestdentists.com/JamesRMattinglyV


Views: 2,139
Share
Share

The Dental Issues to Avoid for a Strong Oral Health

Do you want strong and healthy teeth so you can have a beautiful and functional smile? If so, then it’s important to take good care of your teeth and gums on a regular basis. In order to do so, you need to do all you can to prevent the dental issues that can alter the condition of your oral health. Those dental issues are:

–Enamel erosion: Enamel erosion can cause extreme tooth sensitivity. It generally occurs when you eat and drink acidic foods and beverages. The acid in the products can wear away your tooth enamel and expose the sensitive layers of your teeth. It’s important to strengthen your teeth with fluoride and avoid consuming acidic products as much as possible.

–Tooth decay: Tooth decay is a serious dental issue that can cause severe pain and can alter your oral health. This problem usually develops when you have poor oral hygiene habits. If you don’t remove the bacteria, food particles, and plaque from your smile, there is a chance they can attack your teeth and cause cavities. If the cavities are left untreated, it can result in root canal therapy or even tooth extraction. It’s best to avoid this dental issue by brushing twice a day, flossing once a day, rinsing daily, and visiting Dr. Firoz Lalani every six months.

–Gum disease: Gum disease is a dangerous dental issue that needs to be prevented at all costs. You can prevent it by brushing twice a day, flossing once a day, and visiting Dr. Firoz Lalani twice a year. The cleaning and checkup is vital because it involves the only treatment that can completely remove the plaque from on and between your teeth, which is the substance that causes gum disease. If you don’t prevent and treat gum disease, it can result in receding gums and loose and lost teeth.

(12/22/2020)
by A Dental Care

More Information: https://www.adentalcare.com/blog/the-dental-issues-to-avoid-for-a-strong-oral-health/


Views: 1,086
Share