Dentists Journal

Top Ten Stories of the Week
2/13/2021

All Dentists Journal · Previous Week · This Week · All Time List · Headlines

Share

10 Signs You Have the Best Dentist

Many of us find bedside manner, a clean and welcoming environment, and an organized appointment system important when considering the medical doctors we go to. But have you ever considered what makes a good dentist and if your dentist lives up to these standards? With so many dentists to choose from, how do you know you've chosen the right one? It's helpful to outline what makes a quality dentist when considering your current care or deciding if you want to find a new dentist. If you're wondering whether or not yours is top of the line, we believe these are ten qualities that make a good dentist:

1. Actively Listens to You

A good dentist wants to help you, but the best dentists use their listening skills as much as they use their technical skills. A great doctor takes the time to listen to your concerns, never rushes to leave treatment, and will work with you to alleviate anything that might make you feel uncomfortable, like if you have fears about dental work.

2. Educates You

Because you didn't go to dental school, you rely on your dentist to educate you on oral health, medical issues, good oral health habits, and treatment options for potential problems. An ideal dentist is happy to take the time to explain your options and work with you to enhance your confidence. This could range from teaching you proper brushing techniques to going over the step-by-step of a potential procedure you need.

3. Respects Your Time and Resources

Thoughtful dentists are punctual and consider your bottom line when suggesting treatment. They have a staff who calls or texts to remind you of an upcoming appointment and helps you schedule future appointments with enough time for you to plan.

4. Keeps a Clean Office

The American Dental Association (ADA) suggests checking to ensure your dentist's office is "clean, neat and orderly," and that all dental instruments are sterilized. If you notice things like old gloves and dirty instruments in the dental operatory, your dentist could be contaminating the examination room, which spreads germs and can make you and other patients sick.

5. Only Promotes What Is Necessary

Good dentists won't try to upsell you on products and treatments you don't absolutely need and that you didn't ask for before an examination. A good dentist will have a team who helps you figure out what your dental insurance could partially or fully cover for procedures or products they want you to have.

6. Gets to Know You

When your dentist takes the time to get to know you, they can provide better care options that work according to your medical history. They can also help you with underlying issues that could go undetected in a quick, impersonal visit. When your dentist greets you warmly and asks about your family or work, you may be thinking these are signs your dentist likes you. They're also just signs that you have a quality dentist who cares about you and wants you to be comfortable during your dental appointment.

7. Values a Long-Term Relationship

The best dentist invests in making you a long-term patient. This means following up when it's time for an appointment, scheduling regular screenings or X-rays, and making you and your family feel recognized when you're in the office. If your dentist treats your appointment like a one-time job, it might be time to look for another dentist.

8. Cares About Their Staff

If you work in an office, it's probably a funny concept to think of a dentist as a boss, managing staff. But even in medical and dental practices, there can be a hierarchy of staff. It's worth observing how your dentist interacts with coworkers because it gives you an idea of their management style and the mood among the team working with you. It's a good sign to see a dentist who has a caring and passionate team around them because it means they've done something right to attract top talent!

9. Follows Up With You

Some dental procedures can be long and arduous, leaving you feeling out of sorts for a few hours afterward. A great dentist will follow up with you after a long or complicated procedure to make sure you're improving as expected and that no complications hinder your recovery.

10. Values You as a Patient

The best dentists have a way of letting their patients know they care about them personally. Whether it's space they give you to ask questions, their thorough examination at dental checkups, or walking you through different options for a procedure you need, your dentist can show they value working with you in many ways.

Choosing a dentist isn't a decision to take lightly. They should see you as a patient for life, not once or twice. The best dentist always gives you the care that you and your family deserve. If you go through the above list and find that your dentist is missing several of these qualities, that may be a sign you have a bad dentist. But luckily, there are plenty of dentists to choose from! You can visit the American Dental Association's tool, ask friends and family who they trust, and do more research online for dentists in your area. What matters most is feeling confident that your dentist is a good fit for you and your family. You should feel comfortable going to them for regular checkups and any procedures or issues that arise. If your dentist exhibits the above characteristics, they can make your dental appointment a very positive experience and even have you looking forward to the next time you see them!

(02/10/2021)
by Colgate

More Information: https://www.colgate.com/en-us/oral-health/dental-visits/ten-signs-you-have-the-best-dentist


Views: 887
Share
Share

What you should know about yellow tongue

Ordinarily, yellow tongue is a harmless condition that causes a thick, yellowish coating on the tongue. Yellow tongue tends to occur when dead skin cells, bacteria, or discoloring particles become trapped or buildup on the tongue’s surface.

Mostly, yellow tongue clears up with basic home care. But on rare occasions, the condition is a symptom of a more serious health condition that requires medical attention, usually jaundice.

The signs of yellow tongue vary depending on the cause. In the majority of cases, basic at home care, especially good oral hygiene, resolves cases of yellow tongue within a matter of days to weeks.

Fast facts on yellow tongue:

A wide variety of factors can cause or contribute to the development of yellow tongue.

Some medications and medical conditions can cause dehydration and dry mouth.

Though rare, in some cases yellow tongue is a sign of jaundice.

What causes it?

A few specific habits, conditions, and medications are known to increase a person’s likelihood of developing the condition. Causes of yellow tongue include:

Oral hygiene products with oxidizing agents: Some oral hygiene products, such as mouthwashes, rinses, and toothpaste, contain chemicals or particles that cause dry mouth, irritate skin cells on the tongue, or cause them to change color.

Poor oral hygiene, tobacco use, mouth breathing or dry mouth, foods with dyes, colorants, or those that stick to the tongue.

Many foods contain dyes or colorants that can stain the tongue yellow, or are sticky and remain stuck to the tongue, discoloring its surface.

Certain medications and drugs, several medications and drugs also contain staining particles, cause pigment discoloration, or weaken the immune system.

Common substances and medications that may increase the likelihood of developing yellow tongue include:

diabetes and many diabetes management medications

blood-thinning medications

antibiotics, lansoprazole (Prevacid), chlorhexidine (found in some disinfectant mouth rinses), iron salts, minocycline, bismuth subsalicylate, cancer and radiation medications, antipsychotic medications, some Illicit drugs, such as cocaine, can also cause the tongue to discolor.

When should people see a doctor?

In some instances, especially when accompanied by noticeable symptoms, yellow tongue can be a sign of more serious health complications, such as jaundice.

Reasons to seek medical attention for yellow tongue include:

symptoms of jaundice, including yellowing of the skin and whites of the eyes, bruising, fever, vomiting, nausea, fever, bloody diarrhea, and abdominal pain

concern over the appearance of tongue color change or other tongue changes

the color not going away with basic lifestyle adjustments, home remedies, or lasts longer than 2 weeks pain, symptoms that get noticeably worse for no apparent reason, very thick, pronounced skin cells on the tongue (papillae) that look like a layer of fur.

Are there any complications?

The only complications associated with yellow tongue are those linked to more serious underlying conditions, such as jaundice.

Potential complications of jaundice include:

liver scarring, failure, and cancer

gastrointestinal inflammation, damage, and swelling

fluid retention and swelling in the lower body

spleen inflammation and enlargement

cerebral palsy and deafness are severe complications in newborns.

Oral hygiene is an essential factor. The same habits and remedies that help treat yellow tongue also help prevent it. Common ways to treat and prevent yellow tongue include:

Increasing frequency and thoroughness of teeth brushing.

Brushing the teeth or rinsing using an antibacterial mouth rinse after meals. These are available to purchase in health stores, pharamacies, and online.

Brushing the tongue gently with a soft-bristled toothbrush.

Using a fluoride rinse. These are available to purchase in health stores, pharamacies, and online.

Scraping the tongue gently every day.

Rinsing out the mouth once daily for 60 seconds with a mixture of 1 part hydrogen peroxide to 5 parts water, rinsing the mouth with water several times after.

Applying baking soda directly to the tongue for 60 seconds before rinsing off.

Quitting smoking or using tobacco products.

Treating sinus infections.

 

(02/05/2021)
by Medical News Today

More Information: https://www.medicalnewstoday.com/articles/320022


Views: 1,109
Share
Share

What Happens If I Don’t Floss My Teeth?

If you do not floss your teeth, all sorts of problems will arise. Some of these problems will be limited to your mouth. Others will extend to other parts of your body. In fact, the failure to floss can lead to significant health issues that jeopardize your well-being.

Below, we take a closer look at what happens when you fail to floss.

Harmful Plaque Will Accumulate

It does not matter if people brush their teeth three times a day and rinse with mouthwash following every meal. The plaque will gradually build up if people do not floss their teeth. Food particles will accumulate between the teeth. Germs and sticky bacteria in film form, known as plaque, will thrive. Plaque can build up to the point that it not only looks quite unsightly but also causes other health issues to boot.

Your Breath Will Smell Bad

When people brush their teeth, the bristles of the brush do not move down between the teeth. Alternatively, flossing will pull out all the bacteria, plaque and food particles from these difficult-to-reach spaces. These are the nasty smelling bits of food that people need out of their mouths as quickly as possible. If the bits of food remain in place by the individual skipping flossing, then the individual's breath will inevitably smell terrible.

The Chances of Gingivitis Will Increase

As time progresses, more and more medical studies suggest proper oral health care including consistent flossing will prevent tooth decay as well as disease, dementia, diabetes and gum disease. If gum disease is left untreated, it will likely lead to periodontitis that gradually leads to bone resorption as well as tooth loss.

The bottom line is brushing in and of itself will not get rid of all of that built-up plaque below the gum line and near the teeth. Consider the fact that upwards of 700 unique strains of bacteria exist within the plaque. Flossing is the only way to eliminate this plaque. Otherwise, if the plaque is left alone, it will spur gum disease.

Additional Issues Stemming From the Failure to Floss

If swelling occurs within the mouth due to untreated gum disease or another issue stemming from the failure to floss, it can cause an array of additional health issues like inflammation that leads to heart disease. Failing to floss can also spur lung disease as dental plaque within the mouth causes the buildup of organisms that cause pneumonia.

The lack of flossing can even lead to diabetes. A study performed at the University of California shows elderly individuals who failed to floss at least once per day were nearly two-thirds as likely to develop dementia.

Failing to Floss can Compromise Your Appearance

The failure to floss really can ruin your smile. Flossing gets food that is trapped between the teeth out of those tight spaces for good. If this food is not removed from between the teeth with flossing, those teeth will gradually shift. Try to floss at least once per day. Ideally, you will floss after each meal.

(02/09/2021)
by Thanasas Family Dental Care

More Information: https://www.thanasasdds.com/blog/happens-dont-floss-teeth/#:~:text=The%20plaque%20will%20gradually%20build,other%20health%20issues%20to%20boot.


Views: 700
Share
Share

Dry mouth problems may be associated with disease in the eyelids

If you suffer from a dry mouth, the chances are that you also have dry eyes. The problem may be due to the sebaceous glands in the eyelids.

– If you suffer from a dry mouth, the chances are that you also have dry eyes. The problem may be due to the sebaceous glands in the eyelids.

– In overall terms, we can see that if a patient suffers from dry mucous membranes, dry mouth problems may also be a sign that they have more serious symptoms from dry eyes than those without dry mouth problems, explains Ida Fostad, PhD, from the Institute of Oral Biology.

Fostad carried out much of the work for her doctorate at the Harvard Medical School under the supervision of Professor Darlene A. Dartt. On her return to Norway she examined more than 300 patients at the The Norwegian Dry Eye Clinic for the project. She found a predominant number of dry mouth patients who also had defective sebaceous glands in their eyelids, and thus also suffered from dry eyes. eyelids, and thus also suffered from dry eyes.

Tears are prevented from evaporating.

The sebaceous glands on the inside of the eyelids secrete a layer of fat that remains on the surface of the film of tears and prevents evaporation. When the glands do not secrete sufficient fat, the protective layer becomes thin enough to allow some of the tear fluid to evaporate. With tear fluid reduced in this way, the patient suffers from dry eyes.

An important reason why the sebaceous glands cease to work is that the ducts become blocked by secretions and remnants of cells. – Then the glands can no longer empty out the secretion, and they gradually atrophy and cease to work, Fostad explains.

Most studies of the population show that between 5-30 per cent have dry eyes. In Norway it is assumed that at least half a million people suffer from dry eyes in varying degrees, while the frequency is particularly high in Asia.

Women and users of medication are at risk

Fostad’s project also showed that there was a greater risk of problems with dryness in both locations for women and for patients taking prescribed medication. 

Many drugs can inhibit secretion from the eye glands and salivary glands in different ways. One of the most common symptoms of the autoimmune disease, Sjögren’s syndrome, is dryness of both eyes and mouth. We also know that the disease chiefly affects women after the menopause, Fostad says.

She is also a dentist, and through her research she could see that patients who suffered from dry eyes in addition to dry mouth often had more serious problems with dry eyes.

(02/06/2021)
by UIO

More Information: https://www.odont.uio.no/english/research/news/2018/dry-mouth-problems-disease-in-eyelids


Views: 726
Share
Share

Coeliac Disease: Tooth, Tongue and Cheek Problems

In 2009 a study was conducted, the first study of it’s type, to see if there was a correlation between Coeliac Disease and a variety of problems that manifested in the teeth and other areas of the mouth.

This study was published in The Journal of Clinical Gastroenterology in 2009 and concluded that there was a link, and in 2011 the Journal of the Canadian Dental Association published the first clinical guidelines for dentists outlining the connection between Coelaic Disease and oral health problems.

Early diagnosis is very important, so children exhibiting any of the oral manifestations should be investigated as soon as possible.

Defects in tooth enamel, such as mottling, grooves, bands  and pits are a very common result of Coeliac Disease.  Mottling is probably the most prevalent way that Coeliac Disease presents in the mouth.  In some cases the shape of the teeth can be altered.   The defects are usually symmetrical.

Other indicators of possible underlying Coeliac Disease include:

Glossitis.  The tongue becomes smooth, shiny and red as a result of loss of the papillae (the little bumps on the surface of the tongue).

Aphthous ulcers.  These are painful ulcers that occur on the smooth tissues of the cheeks and gums.

Inflammation of the corners of the mouth.

Delayed or altered tooth eruption.

Oral lichen planus (a non-contagious disease of the oral mucous membranes).

Dry-mouth Syndrome.

If you notice that you or your child has any of these symptoms, it is definitely worthwhile investigating whether Coeliac Disease may be the underlying cause.

(02/07/2021)
by Dr. Ken Lipworth

More Information: https://lipworth.com.au/coeliac-disease-tooth-tongue-cheek-problems/


Views: 717
Share
Share

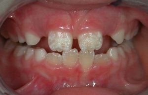
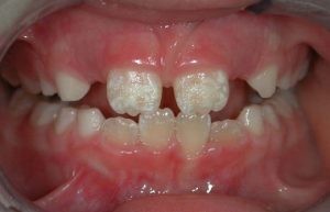
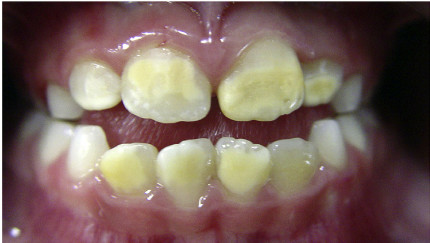
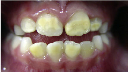
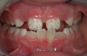
Emanel Hypoplasia

Enamel is that hard, protective, visible outside layer of the tooth. It keeps teeth strong and healthy! Have you ever noticed any discolorations or defects in your child’s tooth? You could be noticing enamel hypoplasia.

This condition is a defect that causes a lesser quantity of enamel than normal. It can appear as a white spot, yellow to brown staining, pits, grooves or even thin, chipped or missing parts of enamel. In severe cases, the enamel doesn’t develop at all.

Because of these surface irregularities, hypoplastic teeth can have the following dental problems: more sensitive to heat or cold or pain, more prone to wearing down from grinding or “tooth to tooth contact”, more susceptible to an “acid attack” from the sugars in our foods and drinks, more susceptible to trapping plaque and bacteria, and more prone to tooth decay.

If you see a concerning area on your child’s teeth, then its best to schedule an appointment with your pediatric dentist! It is important to check and monitor these teeth.

There are also many different treatment options if necessary depending on the severity of the hypoplasia and the child’s ability to cooperate during dental treatment. Options may include protective sealants, desensitizing agents like Silver Diamine Fluoride (SDF), esthetic composite resin or “tooth-colored” fillings, full coverage crowns, or microabrasion. If left untreated, cavities may form and lead to pain or dental infection.

Just because a baby tooth has hypoplasia, doesn’t mean a permanent tooth will. These irregularities can occur before, during, or after birth of the child. Your primary and permanent teeth are developing at different times.

There are many different causes of enamel hypoplasia from genetics to environmental factors. This list includes: inherited developmental conditions, vitamin deficiencies, maternal illness, medications given to mother prior to birth or to the child during early childhood when teeth are developing, preterm birth, low birthweight, trauma to the teeth, infection, malnutrition, systemic diseases, and smoking or drug abuse.

Good oral hygiene and a healthy diet are important for all of our patients, and especially those with hypoplastic teeth.

We recommend brushing twice daily with fluoridated toothpaste. Maintain a diet low in sugar and be sure to avoid those ooey, gooey, sticky snacks! And don’t forget to visit your dentist at least twice a year for a checkup, professional cleaning and fluoride application.

(02/07/2021)
by Heights Pediatric Dentistry and Ortodontics

More Information: https://www.heightspedoortho.com/blog/2019/10/3/what-is-hypoplasia


Views: 722
Share
Share

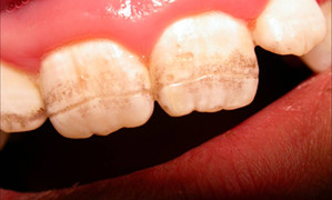
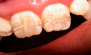
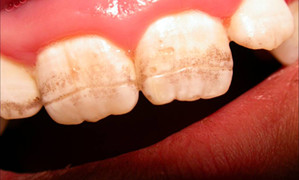
What Causes Tooth Enamel Defects In Children?

Almost 40 percent of baby front teeth have an enamel defect that can affect the appearance of the teeth and also make them susceptible to decay. Enamel defects can have several causes.

Tooth enamel begins to form before birth and can be affected by the health of the mother and the health of the child after birth. Primary incisors begin to mineralize, or harden, around 15 weeks after conception, and the enamel finishes maturing when the baby is two months old. The primary canine teeth begin to mineralize 19 weeks after conception and finish their enamel maturation process when the baby is nine months old.

Enamel hypoplasia occurs when a tooth has less enamel than normal. It can appear as a small pit or dent in a tooth or discoloration with excess white, yellow, or brown. Severe enamel hypoplasia can cause the entire tooth to appear small and misshapen. Enamel hypoplasia can occur in both primary and permanent teeth and requires immediate treatment because it can cause tooth sensitivity and cavities.

Over 75 percent of enamel defects in children are believed to be caused by developmental issues. Most developmental enamel defects are found in the middle third of the upper incisors along the neonatal line, a faint line in the tooth enamel caused by insufficient calcium.

Defects can have many other causes, such as premature birth, facial trauma at birth, infection in early childhood, malnutrition, illness or drug use during pregnancy, or genetic problems that affect enamel formation. Less than 25 percent of enamel defects in baby teeth are the result of minor facial trauma or pressure, which can occur during birth and cause a reduced thickness of enamel and hypoplastic spots on the canine teeth.

One option to treat enamel defects is to cover the area with a bonded microfilled composite resin that matches the color of the rest of the tooth. This is often the best treatment for very young children.

Another option to treat enamel defects in children is microabrasion, which uses acids and abrasives to remove dental stains and surface defects. The procedure can remove superficial enamel dysmineralization defects and decalcification lesions in children as young as 6.

(02/08/2021)
by CT Pediatric Dentistry

More Information: http://www.ctkidsdentist.com/blog/what-causes-tooth-enamel-defects/


Views: 625
Share
Share

Signs That Gluten is Causing Your Child’s Dental Problems

Celiac Disease is an autoimmune disease. It affects infants, children and adults and results in a permanent intolerance to gluten, a protein found in wheat, rye and barley. 

While not a food allergy, Celiac is nonetheless a common disorder and about 1% or more of North Americans may develop it and it can occur at any age. With progression, there is increasing damage to the villi of the small intestine, which are responsible for uptake of nutrients, leading to nutrient- related diseases such as osteoporosis, malabsorption syndromes, anemia, even lymphoma and other cancers.

Celiac is an inherited disease which can show up because of a variety of different conditions. The most important factor in preventing development of celiac in at-risk babies is breastfeeding up to a year or more, especially upon first exposure to gluten.

Studies show that the timing of the introduction of gluten and amount of gluten given is important. Babies ingesting gluten laden cereals, crackers or other gluten containing foods during the first three months of life are an increased the risk for development of celiac disease, compared to infants who were first given gluten around six months of age.

Can Gluten Cause Cavities?

Dr. Richard Herbold of Capital District Vitality Center in New York writes that gluten can be the culprit in extensive dental decay in children as well.   He writes:

Some parents are unprepared for the staggering dental bills and persistent cavities children get, even when they brush and floss regularly. Parents know to restrict sugar, but what they may not realize is that a hidden gluten intolerance and poor gut health, not a fluoride deficiency, may be the cause of those cavities. For many children, simply transitioning to a gluten-free diet works wonders for halting decay and improving dental health.

Gluten Cross-Reactors Can Cause Dental Problems Too

Wheat products, which make up about 20% to 50% of the American diet, contain higher levels of gluten than in the past. In addition, meat substitutes can contain it labeled as seitan, which adds to exposure levels. Ingestion of gluten, antibiotics, etc, causes damage to the barrier which protects the gut. The gluten particles are able to “leak” into the blood and travel to other parts of the body which causes a condition called gluten sensitivity (GS).

These partially digested particles put the immune system on alert which results in the dispatch of inflammatory messengers to other parts of the body, including the brain whenever the “enemy” is present. Gluten even crosses the blood brain barrier and inflames the brain tissues. Many studies have shown complete or partial remission of brain-related problems such as schizophrenia, depression, ADHD, autism, migraines and Alzheimer’s Disease when gluten is removed from the diet.

In Swedish studies from the 1990,’s prompted by an epidemic of celiac disease, it was found that babies given higher amounts of wheat baby foods were much more likely to develop celiac disease. 

For persons who have a relative or parent with celiac disease, the disorder can show up after a virus, accident, pregnancy, or stressful situation.

But celiac disease is often silent and insidious. A certain degree of damage must occur before the disease can be diagnosed through blood testing.  Although it is a relatively common condition, of those susceptible, 90% can remain undiagnosed. In fact, the average time to diagnosis in a Canadian study was 12 years.

(02/08/2021)
by The Healthy Home Economist

More Information: https://www.thehealthyhomeeconomist.com/signs-gluten-causing-childs-dental-decay/


Views: 732
Share
Share

Hand, foot and mouth disease

Hand, foot and mouth disease is a common childhood illness that can affect adults. It usually clears up by itself in 7 to 10 days.

Check if it's hand, foot and mouth disease

The first signs of hand, foot and mouth disease can be:

a sore throat

a high temperature, above 38C

not wanting to eat.

After a few days mouth ulcers and a rash will appear.

The symptoms are usually the same in adults and children, but can be much worse in adults.

It's possible to get hand, foot and mouth disease more than once.

How to treat hand, foot and mouth disease yourself

You cannot take antibiotics or medicines to cure hand, foot and mouth disease. It has to run its course. It usually gets better in 7 to 10 days.

To help with the symptoms:

drink fluids to prevent dehydration – avoid acidic drinks, such as fruit juice

eat soft foods like soup – avoid hot and spicy foods

take paracetamol or ibuprofen to help ease a sore mouth or throat.

A pharmacist can help with hand, foot and mouth disease

Speak to a pharmacist for advice about treatments, such as mouth ulcer gels, sprays and mouthwashes, to relieve pain.

They can tell you which ones are suitable for children.

How to stop hand, foot and mouth disease spreading

Hand, foot and mouth disease is easily passed on to other people. It's spread in coughs, sneezes and poo.

You're infectious from a few days before you have any symptoms, but you're most likely to give it to others in the first 5 days after symptoms start.

To reduce the risk of spreading hand, foot and mouth disease:

wash your hands often with warm soapy water – and teach children to do so

use tissues to trap germs when you cough or sneeze

bin used tissues as quickly as possible

do not share towels or household items like cups or cutlery

wash soiled bedding and clothing on a hot wash

Staying off school or nursery

Keep your child off school or nursery while they're feeling unwell.

But as soon as they're feeling better, they can go back to school or nursery. There's no need to wait until all the blisters have healed.

Keeping your child off for longer is unlikely to stop the illness spreading.

(02/05/2021)
by NHS

More Information: https://www.nhs.uk/conditions/hand-foot-mouth-disease/


Views: 723
Share
Share

How to prepare for dental procedures

Whether it's tooth extraction or a root canal, few people look forward to dental procedures. But it's likely that, at some point, you'll need to have some type of treatment beyond the normal cleaning.

More than 15 million root canals are performed annually, according to the American Association of Endodontists. About five million people have at least one wisdom tooth removed every year, per a study published in the American Journal of Public Health. No matter what the reason is for a dental procedure, there are a few things you can do in advance to get yourself ready for it.

Ask Questions

Asking your dentist or oral surgeon to explain things before certain dental procedures can help put your mind at ease and better prepare you to stay relaxed. One helpful question to ask is "how long will the procedure take?" Knowing the length of surgery, for example, will demistify certain aspects of it while letting you coordinate with the person who is picking you up.

You might also ask about your anesthesia options. During wisdom teeth extraction or a root canal, your dentist may give you the option of receiving a local anesthetic, meaning you'll be awake but unable to feel anything; or general anesthesia, meaning you'll be fully unconscious.

Ask for the details of the procedure, as well. If you're having your wisdom teeth taken out, know how many are being removed, any potential complications and if the procedure is being performed as a preventative measure or due to damage they've caused to other teeth. If you're having a root canal, you might want to ask about the risk for complications and when you'll experience relief.

Follow Your Dentist's Instructions

Along with asking for details about your procedure, it's just as important that you follow your dentist's instructions. Having asked you about any medications you take, he or she is sure to let you know if you need to avoid any of them before the day of your procedure. If you have certain conditions or proneness to infection, however, your dentist may prescribe you antibiotics beforehand. Depending on the type of anesthetic you receive during the procedure, you might need to avoid drinking or eating, as well – usually starting the night before treatment. Unsure about what you're supposed to do on the days or hours leading up to it? Remember you can always call your dentist and ask.

Check with Your Insurance

If you plan on using your dental insurance to cover your procedure, you should contact your provider in advance to make sure they can – and determine how much coverage they provide. Many insurers will give you a pre-treatment estimate to give you have a general idea of what your costs will be. Because there can be confusion about whether oral surgery is medical or dental in nature, contacting your insurance provider in advance is ultimately a good idea so that you know you are using the right policy.

Get Ready to Recover

Preparing for your recovery is just as important as preparing for the surgery itself. You'll be pretty "out of it" after the process, even if you've had only a local anesthetic, so you'll want to arrange to have a relative or friend take you home from the dentist's office. It's also helpful to learn about any medications you'll need to take after the surgery, so that you can stock up before. You might consider asking your dentist for any prescriptions in advance, too.

Although you do want to avoid brushing for about 24 hours after having teeth removed, jumping back into a regular oral care routine after a procedure is generally recommended. Use a brush with soft bristles, fluoride toothpaste and floss daily. Ask your dentist for more specific advice on caring for your mouth afterward, and remember that surgery and treatment is a much smaller hassle when you realize its benefits to your mouth and health are worth it.

(02/11/2021)
by Colgate

More Information: https://www.colgate.com/en-us/oral-health/dental-visits/dental-procedures-how-to-prepare


Views: 807
Share